The Assessment of Renal Functional Reserve in β-Thalassemia Major Patients by an Innovative Ultrasound and Doppler Technique: A Pilot Study
Abstract
1. Introduction
2. Materials and Methods
2.1. Subjects
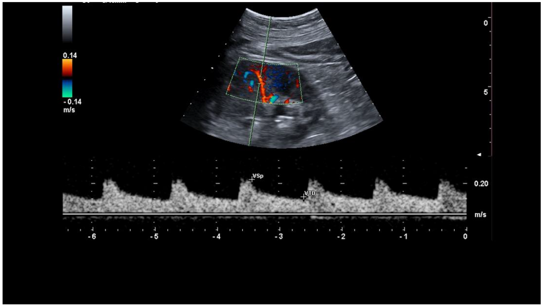
2.2. Baseline RRI Measurement
2.3. Renal Stress Test (RST)
2.4. Statistical Analysis
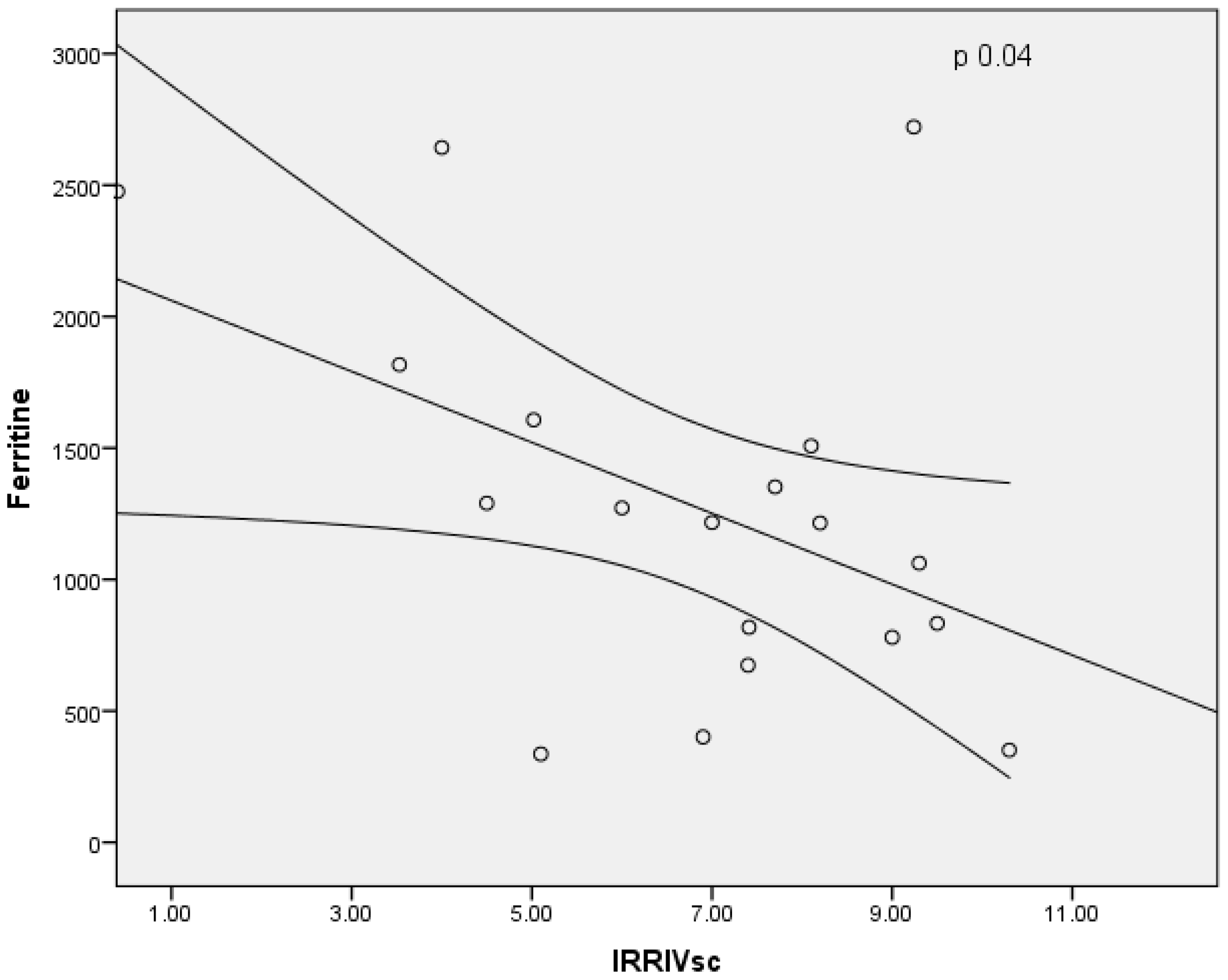
3. Results
4. Discussion
5. Conclusions
Author Contributions
Funding
Institutional Review Board Statement
Informed Consent Statement
Data Availability Statement
Conflicts of Interest
References
- Yesilipek, M.A. Stem cell transplantation in hemoglobinopathies. Hemoglobin 2007, 31, 251–256. [Google Scholar] [CrossRef]
- Rivella, S. β-thalassemias: Paradigmatic diseases for scientific discoveries and development of innovative therapies. Haematologica 2015, 100, 418–430. [Google Scholar] [CrossRef]
- Shinar, E.; Rachmilewitz, E.A. Oxidative denaturation of red blood cells in thalassemia. Semin. Hematol. 1990, 27, 70–82. [Google Scholar]
- Yuan, J.; Kannan, R.; Shinar, E.; Rachmilewitz, E.A.; Low, P.S. Isolation, characterization, and immunoprecipitation studies of immune complexes from membranes of beta-thalassemic erythrocytes. Blood 1992, 79, 3007–3013. [Google Scholar] [CrossRef]
- Origa, R. β-Thalassemia. Genet. Med. 2017, 19, 609–619. [Google Scholar] [CrossRef]
- Quinn, C.T.; Johnson, V.L.; Kim, H.Y.; Trachtenberg, F.; Vogiatzi, M.G.; Kwiatkowski, J.L.; Neufeld, E.J.; Fung, E.; Oliveri, N.; Kirby, M.; et al. Renal dysfunction in patients with thalassaemia. Br. J. Haematol. 2011, 153, 111–117. [Google Scholar] [CrossRef]
- Ginzburg, Y.; Rivella, S. β-thalassemia: A model for elucidating the dynamic regulation of ineffective erythropoiesis and iron metabolism. Blood 2011, 118, 4321–4330. [Google Scholar] [CrossRef]
- Demosthenous, C.; Vlachaki, E.; Apostolou, C.; Eleftheriou, P.; Kotsiafti, A.; Vetsiou, E.; Mandala, E.; Perifanis, V.; Sarafidis, P. Beta-thalassemia: Renal complications and mechanisms: A narrative review. Hematology 2019, 24, 426–438. [Google Scholar] [CrossRef]
- Sumboonnanonda, A.; Malasit, P.; Tanphaichitr, V.S.; Ong-ajyooth, S.; Sunthornchart, S.; Pattanakitsakul, S.; Petrarat, S.; Assateerawatt, A.; Vongjirad, A. Renal tubular function in beta-thalassemia. Pediatr. Nephrol. 1998, 12, 280–283. [Google Scholar] [CrossRef]
- Davis, L.E.; Hohimer, A.R. Hemodynamics and organ blood flow in fetal sheep subjected to chronic anemia. Am. J. Physiol. 1991, 261, R1542–1548. [Google Scholar] [CrossRef]
- Ravarotto, V.; Simioni, F.; Pagnin, E.; Davis, P.A.; Calò, L.A. Oxidative stress-chronic kidney disease-cardiovascular disease: A vicious circle. Life Sci. 2018, 210, 125–131. [Google Scholar] [CrossRef]
- Ravarotto, V.; Bertoldi, G.; Innico, G.; Gobbi, L.; Calò, L.A. The Pivotal Role of Oxidative Stress in the Pathophysiology of Cardiovascular-Renal Remodeling in Kidney Disease. Antioxidants 2021, 10, 1041. [Google Scholar] [CrossRef]
- Levante, C.; Ferrari, F.; Manenti, C.; Husain-Syed, F.; Scarpa, M.; Hinna Danesi, T.; De Cal, M.; Corradi, V.; Virzì, G.M.; Brendolan, A.; et al. Routine adoption of TIMP2 and IGFBP7 biomarkers in cardiac surgery for early identification of acute kidney injury. Int. J. Artif. Organs 2017, 40, 714–718. [Google Scholar] [CrossRef]
- Nalesso, F.; Cattarin, L.; Gobbi, L.; Fragasso, A.; Garzotto, F.; Calo, L.A. Evaluating Nephrocheck® as a Predictive Tool for Acute Kidney Injury. Int. J. Nephrol. Renov. Dis. 2020, 13, 85–96. [Google Scholar] [CrossRef]
- Di Leo, L.; Nalesso, F.; Garzotto, F.; Xie, Y.; Yang, B.; Virzì, G.M.; Passannante, A.; Bonato, R.; Carta, M.; Giavarina, D.; et al. Predicting Acute Kidney Injury in Intensive Care Unit Patients: The Role of Tissue Inhibitor of Metalloproteinases-2 and Insulin-Like Growth Factor-Binding Protein-7 Biomarkers. Blood Purif. 2018, 45, 270–277. [Google Scholar] [CrossRef]
- Palsson, R.; Waikar, S.S. Renal Functional Reserve Revisited. Adv. Chronic Kidney Dis. 2018, 25, e1–e8. [Google Scholar] [CrossRef]
- Sharma, A.; Zaragoza, J.J.; Villa, G.; Ribeiro, L.C.; Lu, R.; Sartori, M.; Faggiana, E.; de Cal, M.; Virzi, G.M.; Corradi, V.; et al. Optimizing a kidney stress test to evaluate renal functional reserve. Clin. Nephrol. 2016, 86, 18–26. [Google Scholar] [CrossRef]
- Sharma, A.; Mucino, M.J.; Ronco, C. Renal functional reserve and renal recovery after acute kidney injury. Nephron Clin. Pract. 2014, 127, 94–100. [Google Scholar] [CrossRef]
- Samoni, S.; Nalesso, F.; Meola, M.; Villa, G.; De Cal, M.; De Rosa, S.; Petrucci, I.; Brendolan, A.; Rosner, M.H.; Ronco, C. Intra-Parenchymal Renal Resistive Index Variation (IRRIV) Describes Renal Functional Reserve (RFR): Pilot Study in Healthy Volunteers. Front. Physiol. 2016, 7, 286. [Google Scholar] [CrossRef]
- Samoni, S.; Villa, G.; De Rosa, S.; Husain-Syed, F.; Guglielmetti, G.; Tofani, L.; De Cal, M.; Nalesso, F.; Meola, M.; Ronco, C. Ultrasonographic Intraparenchymal Renal Resistive Index Variation for Assessing Renal Functional Reserve in Patients Scheduled for Cardiac Surgery: A Pilot Study. Blood Purif. 2022, 51, 147–154. [Google Scholar] [CrossRef]
- Tublin, M.E.; Bude, R.O.; Platt, J.F. Review. The resistive index in renal Doppler sonography: Where do we stand? AJR Am. J. Roentgenol. 2003, 180, 885–892. [Google Scholar] [CrossRef]
- Harman, P.K.; Kron, I.L.; McLachlan, H.D.; Freedlender, A.E.; Nolan, S.P. Elevated intra-abdominal pressure and renal function. Ann. Surg. 1982, 196, 594–597. [Google Scholar] [CrossRef]
- Krumme, B.; Blum, U. Renal artery stenting. Nephrol. Dial. Transplant. 1996, 11, 2507–2508. [Google Scholar] [CrossRef]
- Ponte, B.; Pruijm, M.; Ackermann, D.; Vuistiner, P.; Eisenberger, U.; Guessous, I.; Rousson, V.; Mohaupt, M.G.; Alwan, H.; Ehret, G.; et al. Reference values and factors associated with renal resistive index in a family-based population study. Hypertension 2014, 63, 136–142. [Google Scholar] [CrossRef]
- Ponticelli, C.; Musallam, K.M.; Cianciulli, P.; Cappellini, M.D. Renal complications in transfusion-dependent beta thalassaemia. Blood Rev. 2010, 24, 239–244. [Google Scholar] [CrossRef]
- Lafferty, H.M.; Anderson, S.; Brenner, B.M. Anemia: A potent modulator of renal hemodynamics in models of progressive renal disease. Am. J. Kidney Dis. 1991, 17, 2–7. [Google Scholar]
- Hostetter, T.H. Hyperfiltration and glomerulosclerosis. Semin. Nephrol. 2003, 23, 194–199. [Google Scholar] [CrossRef]
- Alfrey, A.C. Role of iron and oxygen radicals in the progression of chronic renal failure. Am. J. Kidney Dis. 1994, 23, 183–187. [Google Scholar] [CrossRef]
- Sadeghi-Bojd, S.; Hashemi, M.; Karimi, M. Renal tubular function in patients with beta-thalassaemia major in Zahedan, Southeast Iran. Singap. Med. J. 2008, 49, 410–412. [Google Scholar]
- Aldudak, B.; Karabay Bayazit, A.; Noyan, A.; Ozel, A.; Anarat, A.; Sasmaz, I.; Kilinç, Y.; Gali, E.; Anarat, R.; Dikmen, N. Renal function in pediatric patients with beta-thalassemia major. Pediatr. Nephrol. 2000, 15, 109–112. [Google Scholar] [CrossRef]
- Mohkam, M.; Shamsian, B.S.; Gharib, A.; Nariman, S.; Arzanian, M.T. Early markers of renal dysfunction in patients with beta-thalassemia major. Pediatr. Nephrol. 2008, 23, 971–976. [Google Scholar] [CrossRef]
- Zhou, X.J.; Laszik, Z.; Wang, X.Q.; Silva, F.G.; Vaziri, N.D. Association of renal injury with increased oxygen free radical activity and altered nitric oxide metabolism in chronic experimental hemosiderosis. Lab. Investig. 2000, 80, 1905–1914. [Google Scholar] [CrossRef]
- Abbott, B.P.; Abbott, R.; Abbott, T.D.; Abraham, S.; Acernese, F.; Ackley, K.; Adams, C.; Adya, V.B.; Affeldt, C.; Agathos, M.; et al. Prospects for observing and localizing gravitational-wave transients with Advanced LIGO, Advanced Virgo and KAGRA. Living Rev. Relativ. 2020, 23, 3. [Google Scholar] [CrossRef]








| Baseline Data | Entire Cohort (n = 19) |
|---|---|
| Sex (male) | 10 |
| Age (years) | 33 ± 16 |
| Height (cm) | 159 ± 9 |
| Weight (Kg) | 57.9 ± 12.6 |
| BMI (Kg/m2) | 22.8 ± 3.6 |
| BSA | 1.73 ± 0.43 |
| Baseline sCr (umol/L) | 50 ± 11 |
| Baseline eGFR (mL/min/1.73 m2) | 130 ± 19 |
| Average Ferritin in last year (ng/mL) | 1282 ± 723 |
| Deferiprone (number of patient) | 5 |
| Deferoxamine (number of patient) | 5 |
| Deferasirox (number of patient) | 9 |
| Tubulophaty * (number of patient) * proteinuria, acute tubular necrosis or Fanconi syndrome | 14/19 |
| RRI baseline | 0.67 ± 0.06 |
| Delta RRI | 0.075 ± 0.033 |
| IRRIV (%) | 10.9 ± 4.3 |
| IRRIV SC (%) | 6.8 ± 2.5 |
Publisher’s Note: MDPI stays neutral with regard to jurisdictional claims in published maps and institutional affiliations. |
© 2022 by the authors. Licensee MDPI, Basel, Switzerland. This article is an open access article distributed under the terms and conditions of the Creative Commons Attribution (CC BY) license (https://creativecommons.org/licenses/by/4.0/).
Share and Cite
Nalesso, F.; Rigato, M.; Cirella, I.; Protti, M.P.; Zanella, R.; Rossi, B.; Putti, M.C.; Martino, F.K.; Calò, L.A. The Assessment of Renal Functional Reserve in β-Thalassemia Major Patients by an Innovative Ultrasound and Doppler Technique: A Pilot Study. J. Clin. Med. 2022, 11, 6752. https://doi.org/10.3390/jcm11226752
Nalesso F, Rigato M, Cirella I, Protti MP, Zanella R, Rossi B, Putti MC, Martino FK, Calò LA. The Assessment of Renal Functional Reserve in β-Thalassemia Major Patients by an Innovative Ultrasound and Doppler Technique: A Pilot Study. Journal of Clinical Medicine. 2022; 11(22):6752. https://doi.org/10.3390/jcm11226752
Chicago/Turabian StyleNalesso, Federico, Matteo Rigato, Irene Cirella, Maria Paola Protti, Ruggero Zanella, Bartolomeo Rossi, Maria Caterina Putti, Francesca K. Martino, and Lorenzo A. Calò. 2022. "The Assessment of Renal Functional Reserve in β-Thalassemia Major Patients by an Innovative Ultrasound and Doppler Technique: A Pilot Study" Journal of Clinical Medicine 11, no. 22: 6752. https://doi.org/10.3390/jcm11226752
APA StyleNalesso, F., Rigato, M., Cirella, I., Protti, M. P., Zanella, R., Rossi, B., Putti, M. C., Martino, F. K., & Calò, L. A. (2022). The Assessment of Renal Functional Reserve in β-Thalassemia Major Patients by an Innovative Ultrasound and Doppler Technique: A Pilot Study. Journal of Clinical Medicine, 11(22), 6752. https://doi.org/10.3390/jcm11226752

