Current Strategies to Control Recurrent and Residual Caries with Resin Composite Restorations: Operator- and Material-Related Factors
Abstract
1. Introduction
2. Methodology
3. Minimal Invasive Management of Deep Caries and the Fate of Residual Caries
3.1. Partial and Stepwise Caries Removal
3.2. Clinical Endpoint of Dentin Caries Excavation
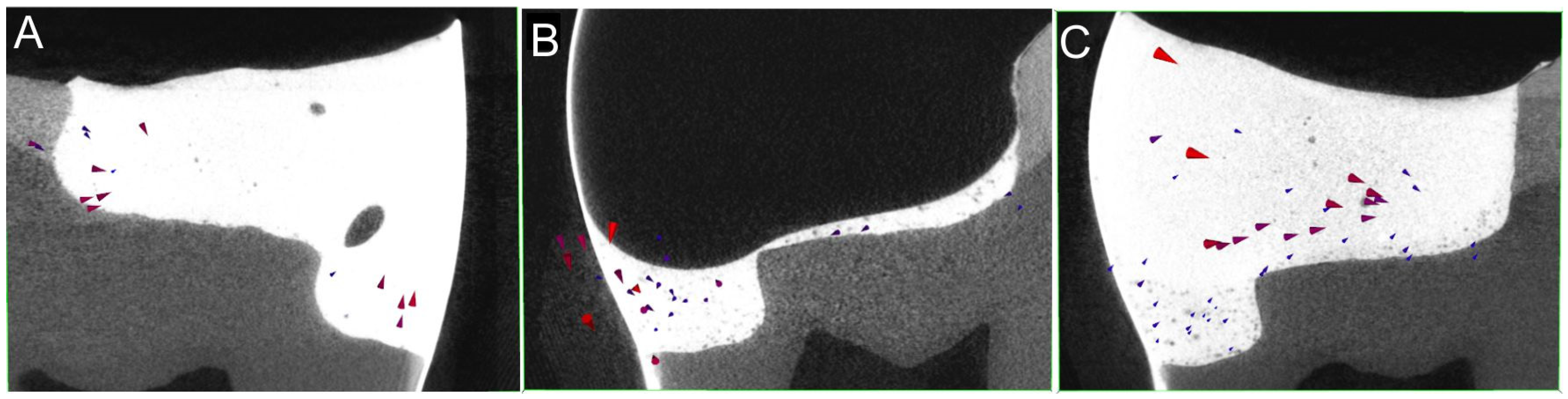
3.3. Diagnosis of Recurrent Caries
4. Clinically Challenging Class II Cervical Margins
5. Polymerization Shrinkage and Adverse Consequences of Marginal and Internal Gaps
5.1. Protocols to Improve Marginal SEAL and Interfacial Bonding
5.2. Biodegradation of Resin Bonds and Hybrid Layer
5.2.1. Mechanisms of Biodegradation of Resin Bonds to Dentin
5.2.2. MMPs Inhibitors
6. Contemporary Trends in Resin Composite Material Technology to Minimize the Risk of Recurrent Caries
7. Protocols to Improve Proximal Contours and Contact Quality
- An appropriately adapted matrix that contacts the greatest convexity point of the adjacent tooth surface. This is influenced by the cavity design, size, and configurations as well as by the operator skills of matrix selection, placement, and stabilization method in addition to the specific resin composite used and its insertion technique.
- Cervical seal and stability. This can be achieved using plastic/wooden wedges of appropriate size and shape, as well as separators, together with improving the cervical seal with Teflon tape or the Teflon floss method.
- The separation of adjacent teeth to compensate for the thickness of the used matrix. This can be achieved by the employment of separators, wedges, and ring separators.
- The coronal stability of the matrix, which is affected by matrix shape rigidity that can be secured by separating rings or by curing unbonded flowable composites against the tooth surface at peripheral matrix extensions.
- An undistorted matrix, which is influenced by all the previously mentioned criteria and associated factors.
8. Concluding Remarks and Future Perspectives
Author Contributions
Funding
Institutional Review Board Statement
Informed Consent Statement
Data Availability Statement
Acknowledgments
Conflicts of Interest
References
- World Health Organization (WHO). Sugars and Dental Caries. Available online: https://www.who.int/news-room/fact-sheets/detail/sugars-and-dental-caries (accessed on 11 September 2022).
- Innes, N.; Schwendicke, F.; Frencken, J. An Agreed Terminology for Carious Tissue Removal. Monogr. Oral Sci. 2018, 27, 155–161. [Google Scholar] [CrossRef]
- Bjørndal, L.; Simon, S.; Tomson, P.L.; Duncan, H.F. Management of deep caries and the exposed pulp. Int. Endod. J. 2019, 52, 949–973. [Google Scholar] [CrossRef]
- Kilian, M.; Chapple, I.L.C.; Hannig, M.; Marsh, P.D.; Meuric, V.; Pedersen, A.M.L.; Tonetti, M.S.; Wade, W.G.; Zaura, E. The oral microbiome—An update for oral healthcare professionals. Br. Dent. J. 2016, 221, 657–666. [Google Scholar] [CrossRef] [PubMed]
- Featherstone, J.D. Dental caries: A dynamic disease process. Aust. Dent. J. 2008, 53, 286–291. [Google Scholar] [CrossRef]
- Jain, A.; Bahuguna, R. Role of matrix metalloproteinases in dental caries, pulp and periapical inflammation: An overview. J. Oral Biol. Craniofacial Res. 2015, 5, 212–218. [Google Scholar] [CrossRef]
- Mazzoni, A.; Tjäderhane, L.; Checchi, V.; Di Lenarda, R.; Salo, T.; Tay, F.R.; Pashley, D.H.; Breschi, L. Role of Dentin MMPs in Caries Progression and Bond Stability. J. Dent. Res. 2015, 94, 241–251. [Google Scholar] [CrossRef] [PubMed]
- El Gezawi, M.; Wölfle, U.C.; Haridy, R.; Fliefel, R.; Kaisarly, D. Remineralization, Regeneration, and Repair of Natural Tooth Structure: Influences on the Future of Restorative Dentistry Practice. ACS Biomater. Sci. Eng. 2019, 5, 4899–4919. [Google Scholar] [CrossRef] [PubMed]
- Besinis, A.; van Noort, R.; Martin, N. Remineralization potential of fully demineralized dentin infiltrated with silica and hydroxyapatite nanoparticles. Dent. Mater. 2014, 30, 249–262. [Google Scholar] [CrossRef]
- Hollanders, A.C.C.; Kuper, N.K.; Maske, T.T.; Huysmans, M.D.N.J. Secondary Caries in situ Models: A Systematic Review. Caries Res. 2018, 52, 454–462. [Google Scholar] [CrossRef]
- Askar, H.; Krois, J.; Göstemeyer, G.; Bottenberg, P.; Zero, D.; Banerjee, A.; Schwendicke, F. Secondary caries: What is it, and how it can be controlled, detected, and managed? Clin. Oral Investig. 2020, 24, 1869–1876. [Google Scholar] [CrossRef] [PubMed]
- Mjör, I.A.; Toffenetti, F. Secondary caries: A literature review with case reports. Quintessence Int. 2000, 31, 165–179. [Google Scholar]
- Nedeljkovic, I.; Teughels, W.; De Munck, J.; Van Meerbeek, B.; Van Landuyt, K.L. Is secondary caries with composites a material-based problem? Dent. Mater. 2015, 31, e247–e277. [Google Scholar] [CrossRef]
- Chenicheri, S.; Usha, R.; Ramachandran, R.; Thomas, V.; Wood, A. Insight into Oral Biofilm: Primary, Secondary and Residual Caries and Phyto-Challenged Solutions. Open Dent. J. 2017, 11, 312–333. [Google Scholar] [CrossRef] [PubMed]
- Delaviz, Y.; Finer, Y.; Santerre, J.P. Biodegradation of resin composites and adhesives by oral bacteria and saliva: A rationale for new material designs that consider the clinical environment and treatment challenges. Dent. Mater. 2014, 30, 16–32. [Google Scholar] [CrossRef] [PubMed]
- Ferracane, J.L. Models of Caries Formation around Dental Composite Restorations. J. Dent. Res. 2017, 96, 364–371. [Google Scholar] [CrossRef]
- Jokstad, A.; Bayne, S.; Blunck, U.; Tyas, M.; Wilson, N. Quality of dental restorations FDI Commission Project 2-95. Int. Dent. J. 2001, 51, 117–158. [Google Scholar] [CrossRef]
- van de Sande, F.H.; Opdam, N.J.; Truin, G.J.; Bronkhorst, E.M.; de Soet, J.J.; Cenci, M.S.; Huysmans, M.C. The influence of different restorative materials on secondary caries development in situ. J. Dent. 2014, 42, 1171–1177. [Google Scholar] [CrossRef]
- Peumans, M.; Politano, G.; Van Meerbeek, B. Effective Protocol for Daily High-quality Direct Posterior Composite Restorations. Cavity Preparation and Design. J. Adhes. Dent. 2020, 22, 581–596. [Google Scholar] [CrossRef]
- Machiulskiene, V.; Campus, G.; Carvalho, J.C.; Dige, I.; Ekstrand, K.R.; Jablonski-Momeni, A.; Maltz, M.; Manton, D.J.; Martignon, S.; Martinez-Mier, E.A.; et al. Terminology of Dental Caries and Dental Caries Management: Consensus Report of a Workshop Organized by ORCA and Cariology Research Group of IADR. Caries Res. 2020, 54, 7–14. [Google Scholar] [CrossRef] [PubMed]
- Schwendicke, F.; Dörfer, C.E.; Paris, S. Incomplete caries removal: A systematic review and meta-analysis. J. Dent. Res. 2013, 92, 306–314. [Google Scholar] [CrossRef]
- Bitello-Firmino, L.; Soares, V.K.; Damé-Teixeira, N.; Parolo, C.C.F.; Maltz, M. Microbial Load after Selective and Complete Caries Removal in Permanent Molars: A Randomized Clinical Trial. Braz. Dent. J. 2018, 29, 290–295. [Google Scholar] [CrossRef] [PubMed]
- Elhennawy, K.; Finke, C.; Paris, S.; Reda, S.; Jost-Brinkmann, P.G.; Schwendicke, F. Selective vs stepwise removal of deep carious lesions in primary molars: 24 months follow-up from a randomized controlled trial. Clin. Oral Investig. 2021, 25, 645–652. [Google Scholar] [CrossRef]
- Thompson, V.T.; Craig, R.G.; Curro, F.A.; Green, W.S.; Ship, J.A. Treatment of deep carious lesions by complete excavation or partial removal. J. Am. Dent. Assoc. 2008, 139, 705–712. [Google Scholar] [CrossRef]
- Schwendicke, F.; Meyer-Lueckel, H.; Dörfer, C.; Paris, S. Failure of incompletely excavated teeth—A systematic review. J. Dent. 2013, 41, 569–580. [Google Scholar] [CrossRef]
- Bedran-Russo, A.K.; Karol, S.; Pashley, D.H.; Viana, G. Site specific properties of carious dentin matrices biomodified with collagen cross-linkers. Am. J. Dent. 2013, 26, 244–248. [Google Scholar] [PubMed]
- Barrett, B.; O’Sullivan, M. Management of the deep carious lesion: A literature review. J. Ir. Dent. Assoc. 2021, 67, 36–42. [Google Scholar]
- Laske, M.; Opdam, N.J.M.; Bronkhorst, E.M.; Braspenning, J.C.C.; van der Sanden, W.J.M.; Huysmans, M.C.D.N.; Bruers, J.J. Minimally Invasive Intervention for Primary Caries Lesions: Are Dentists Implementing This Concept? Caries Res. 2019, 53, 204–216. [Google Scholar] [CrossRef]
- Bjørndal, L.; Demant, S.; Dabelsteen, S. Depth and activity of carious lesions as indicators for the regenerative potential of dental pulp after intervention. J. Endod. 2014, 40, S76–S81. [Google Scholar] [CrossRef] [PubMed]
- Schwendicke, F.; Stangvaltaite, L.; Holmgren, C.; Maltz, M.; Finet, M.; Elhennawy, K.; Eriksen, I.; Kuzmiszyn, T.C.; Kerosuo, E.; Doméjean, S. Dentists’ attitudes and behaviour regarding deep carious lesion management: A multi-national survey. Clin. Oral Investig. 2017, 21, 191–198. [Google Scholar] [CrossRef]
- Nascimento, M.M.; Behar-Horenstein, L.S.; Feng, X.; Guzmán-Armstrong, S.; Fontana, M. Exploring How U.S. Dental Schools Teach Removal of Carious Tissues During Cavity Preparations. J. Dent. Educ. 2017, 81, 5–13. [Google Scholar] [CrossRef]
- Ricketts, D.; Innes, N.; Schwendicke, F. Selective Removal of Carious Tissue. Monogr. Oral Sci. 2018, 27, 82–91. [Google Scholar] [CrossRef]
- da Rosa, W.L.O.; Lima, V.P.; Moraes, R.R.; Piva, E.; da Silva, A.F. Is a calcium hydroxide liner necessary in the treatment of deep caries lesions? A systematic review and meta-analysis. Int. Endod. J. 2019, 52, 588–603. [Google Scholar] [CrossRef]
- Duque, C.; Negrini, T.d.C.; Sacono, N.T.; Spolidorio, D.M.P.; de Souza Costa, C.A.; Hebling, J. Clinical and microbiological performance of resin-modified glass-ionomer liners after incomplete dentine caries removal. Clin. Oral Investig. 2009, 13, 465–471. [Google Scholar] [CrossRef]
- Al-Omiri, M.K.; Alqahtani, N.M.; Alahmari, N.M.; Hassan, R.A.; Al Nazeh, A.A.; Lynch, E. Treatment of symptomatic, deep, almost cariously exposed lesions using ozone. Sci. Rep. 2021, 11, 11166. [Google Scholar] [CrossRef]
- Crystal, Y.O.; Niederman, R. Evidence-Based Dentistry Update on Silver Diamine Fluoride. Dent. Clin. N. Am. 2019, 63, 45–68. [Google Scholar] [CrossRef]
- Mese, M.; Tok, Y.T.; Kaya, S.; Akcay, M. Influence of ozone application in the stepwise excavation of primary molars: A randomized clinical trial. Clin. Oral Investig. 2020, 24, 3529–3538. [Google Scholar] [CrossRef]
- Hiraishi, N.; Sayed, M.; Takahashi, M.; Nikaido, T.; Tagami, J. Clinical and primary evidence of silver diamine fluoride on root caries management. Jpn. Dent. Sci. Rev. 2022, 58, 1–8. [Google Scholar] [CrossRef]
- Gou, Y.; Jin, W.; He, Y.; Luo, Y.; Si, R.; He, Y.; Wang, Z.; Li, J.; Liu, B. Effect of Cavity Cleanser With Long-Term Antibacterial and Anti-Proteolytic Activities on Resin–Dentin Bond Stability. Front. Cell. Infect. Microbiol. 2021, 11, 784153. [Google Scholar] [CrossRef] [PubMed]
- Nakrathok, P.; Kijsamanmith, K.; Vongsavan, K.; Rirattanapong, P.; Vongsavan, N. The effect of selective carious tissue removal and cavity treatments on the residual intratubular bacteria in coronal dentine. J. Dent. Sci. 2020, 15, 411–418. [Google Scholar] [CrossRef] [PubMed]
- DeSchepper, E.J.; White, R.R.; von der Lehr, W. Antibacterial effects of glass ionomers. Am. J. Dent. 1989, 2, 51–56. [Google Scholar] [PubMed]
- Hilton, T.J.; Ferracane, J.L.; Mancl, L. Comparison of CaOH with MTA for direct pulp capping: A PBRN randomized clinical trial. J. Dent. Res. 2013, 92, 16s–22s. [Google Scholar] [CrossRef] [PubMed]
- Bahcall, J.; Ashrafi, S.; Xie, Q. The Importance of Obtaining a Pulpal and Periradicular Diagnosis Prior to Restorative Treatment. Compend. Contin. Educ. Dent. 2019, 40, 27–31; quiz 32. [Google Scholar] [PubMed]
- Schwendicke, F.; Frencken, J.; Innes, N. Current Concepts in Carious Tissue Removal. Curr. Oral Health Rep. 2018, 5, 154–162. [Google Scholar] [CrossRef]
- Mua, B.; Fontanella, V.; Giongo, F.; Maltz, M. Radiolucent halos beneath composite restorations do not justify restoration replacement. Am. J. Dent. 2015, 28, 209–213. [Google Scholar]
- Ricketts, D.; Lamont, T.; Innes, N.P.; Kidd, E.; Clarkson, J.E. Operative caries management in adults and children. Cochrane Database Syst. Rev. 2013, 3, CD003808. [Google Scholar] [CrossRef]
- Bjørndal, L. The caries process and its effect on the pulp: The science is changing and so is our understanding. Pediatr. Dent. 2008, 30, 192–196. [Google Scholar] [CrossRef]
- Manton, D. Partial caries removal may have advantages but limited evidence on restoration survival. Evid. Based Dent. 2013, 14, 74–75. [Google Scholar] [CrossRef]
- Boushell, L.W.; Walter, R. Fundamentals of tooth preparation. In Sturdevant’s Art and Science of Operative Dentistry; Elsevier: Amsterdam, The Netherlands, 2019; pp. 120–135. [Google Scholar]
- de Almeida Neves, A.; Coutinho, E.; Cardoso, M.V.; Lambrechts, P.; Van Meerbeek, B. Current concepts and techniques for caries excavation and adhesion to residual dentin. J. Adhes. Dent. 2011, 13, 7–22. [Google Scholar] [CrossRef]
- Schwendicke, F.; Leal, S.; Schlattmann, P.; Paris, S.; Dias Ribeiro, A.P.; Gomes Marques, M.; Hilgert, L.A. Selective carious tissue removal using subjective criteria or polymer bur: Study protocol for a randomised controlled trial (SelecCT). BMJ Open 2018, 8, e022952. [Google Scholar] [CrossRef]
- Peskersoy, C.; Turkun, M.; Onal, B. Comparative clinical evaluation of the efficacy of a new method for caries diagnosis and excavation. J. Conserv. Dent. 2015, 18, 364–368. [Google Scholar] [CrossRef]
- Lai, G.; Zhu, L.; Xu, X.; Kunzelmann, K.-H. An in vitro comparison of fluorescence-aided caries excavation and conventional excavation by microhardness testing. Clin. Oral Investig. 2014, 18, 599–605. [Google Scholar] [CrossRef] [PubMed]
- Koç Vural, U.; Kütük, Z.B.; Ergin, E.; Yalçın Çakır, F.; Gürgan, S. Comparison of two different methods of detecting residual caries. Restor. Dent. Endod. 2017, 42, 48–53. [Google Scholar] [CrossRef] [PubMed]
- Aswathi, K.K.; Rani, S.P.; Athimuthu, A.; Prasanna, P.; Patil, P.; Deepali, K.J. Comparison of efficacy of caries removal using polymer bur and chemomechanical caries removal agent: A clinical and microbiological assessment—An in vivo study. J. Indian Soc. Pedod. Prev. Dent. 2017, 35, 6–13. [Google Scholar] [CrossRef] [PubMed]
- Wohlleb, T.; Kaisarly, D.; Rösch, P.; Kunzelmann, K.-H. Self-limiting caries excavation with a polymer bur: Adhesive bonding to residual dentin. Int. J. Adhes. Adhes. 2020, 98, 102509. [Google Scholar] [CrossRef]
- Lennon, A.M.; Attin, T.; Buchalla, W. Quantity of remaining bacteria and cavity size after excavation with FACE, caries detector dye and conventional excavation in vitro. Oper. Dent. 2007, 32, 236–241. [Google Scholar] [CrossRef]
- Eberhard, J.; Eisenbeiss, A.K.; Braun, A.; Hedderich, J.; Jepsen, S. Evaluation of selective caries removal by a fluorescence feedback-controlled Er:YAG laser in vitro. Caries Res. 2005, 39, 496–504. [Google Scholar] [CrossRef]
- Walsh, L.J. Caries diagnosis aided by fluorescence. In Dental Caries—Diagnosis and Management; Arkanslan, Z., Ed.; InTech Publishers: Rijeka, Croatia, 2018; pp. 97–115. [Google Scholar]
- Alleman, D.S.; Magen, P. A systematic approach to deep caries removal end points: The peripheral seal concept in adhesive dentistry. Quintessence Int. 2012, 43, 197–208. [Google Scholar]
- Augusto, R.; Nathaniel, L. Clinical Treatment of Deep Caries. Decis. Dent. 2019, 5, 10–12, 14. [Google Scholar]
- Neves, A.e.A.; Coutinho, E.; De Munck, J.; Van Meerbeek, B. Caries-removal effectiveness and minimal-invasiveness potential of caries-excavation techniques: A micro-CT investigation. J. Dent. 2011, 39, 154–162. [Google Scholar] [CrossRef]
- Elgezawi, M.; Hassan, K.; Alagl, A.; Al-Thobity, A.M.; Al-Mutairi, B.; Al-Houtan, T.; Sadaf, S. Complexity of comprehensive care treatments in undergraduate dental programs: The benefits of observing and assisting experienced faculty members. Saudi Dent. J. 2017, 29, 161–166. [Google Scholar] [CrossRef]
- Nair, S.; Nadig, R.R.; Pai, V.S.; Gowda, Y. Effect of a Papain-based Chemomechanical Agent on Structure of Dentin and Bond Strength: An in vitro study. Int. J. Clin. Pediatr. Dent. 2018, 11, 161–166. [Google Scholar] [CrossRef] [PubMed]
- Bastos, L.A.; Silva, F.L.; Thomé, J.P.Q.; Arnez, M.F.M.; Faccioli, L.H.; Paula-Silva, F.W.G. Effects of Papain-Based Gel Used For Caries Removal on Macrophages and Dental Pulp Cells. Braz. Dent. J. 2019, 30, 484–490. [Google Scholar] [CrossRef] [PubMed]
- Alkhouli, M.M.; Al Nesser, S.F.; Bshara, N.G.; AlMidani, A.N.; Comisi, J.C. Comparing the efficacies of two chemo-mechanical caries removal agents (2.25% sodium hypochlorite gel and brix 3000), in caries removal and patient cooperation: A randomized controlled clinical trial. J. Dent. 2020, 93, 103280. [Google Scholar] [CrossRef] [PubMed]
- Schwendicke, F.; Göstemeyer, G. Understanding dentists’ management of deep carious lesions in permanent teeth: A systematic review and meta-analysis. Implement. Sci. 2016, 11, 142. [Google Scholar] [CrossRef]
- Brouwer, F.; Askar, H.; Paris, S.; Schwendicke, F. Detecting Secondary Caries Lesions: A Systematic Review and Meta-analysis. J. Dent. Res. 2016, 95, 143–151. [Google Scholar] [CrossRef] [PubMed]
- Yildizer Keris, E.; Demirel, O.; Ozdede, M.; Altunkaynak, B.; Peker, I. Diagnostic accuracy of cone-beam computed tomography in detecting secondary caries under composite fillings: An in vitro study. J. Istanb. Univ. Fac. Dent. 2017, 51, 22–27. [Google Scholar] [CrossRef] [PubMed]
- Kasraei, S.; Shokri, A.; Poorolajal, J.; Khajeh, S.; Rahmani, H. Comparison of Cone-Beam Computed Tomography and Intraoral Radiography in Detection of Recurrent Caries under Composite Restorations. Braz. Dent. J. 2017, 28, 85–91. [Google Scholar] [CrossRef][Green Version]
- Baltacıoĝlu, İ.; Eren, H.; Yavuz, Y.; Kamburoğlu, K. Diagnostic accuracy of different display types in detection of recurrent caries under restorations by using CBCT. Dentomaxillofac. Radiol. 2016, 45, 20160099. [Google Scholar] [CrossRef]
- Matsuura, C.; Shimada, Y.; Sadr, A.; Sumi, Y.; Tagami, J. Three-dimensional diagnosis of dentin caries beneath composite restorations using swept-source optical coherence tomography. Dent. Mater. J. 2018, 37, 642–649. [Google Scholar] [CrossRef]
- Simon, J.; Lucas, S.; Lee, R.; Darling, C.; Staninec, M.; Vaderhobli, R.; Pelzner, R.; Fried, D. Near-infrared Imaging of Secondary Caries Lesions around Composite Restorations at Wavelengths from 1300–1700-nm. Dent. Mater. 2016, 32, 587–595. [Google Scholar] [CrossRef]
- Nedeljkovic, I.; De Munck, J.; Vanloy, A.; Declerck, D.; Lambrechts, P.; Peumans, M.; Teughels, W.; Van Meerbeek, B.; Van Landuyt, K.L. Secondary caries: Prevalence, characteristics, and approach. Clin. Oral Investig. 2020, 24, 683–691. [Google Scholar] [CrossRef] [PubMed]
- Abouelnaga, M.A.A. A Comparison of Gingival Marginal Adaptation and Surface Microhardness of Class II Resin Based Composites (Conventional and Bulk Fill) Placed in Layering Versus Bulk Fill Techniques; The University of Iowa: Iowa City, IA, USA, 2014. [Google Scholar]
- van der Vyver, P.; Vorster, M. New clinical innovations to ensure predictable Class II posterior composite resin restorations. Int. Dent. Afr. Ed. 2018, 7, 14–36. [Google Scholar]
- Dablanca-Blanco, A.B.; Blanco-Carrión, J.; Martín-Biedma, B.; Varela-Patiño, P.; Bello-Castro, A.; Castelo-Baz, P. Management of large class II lesions in molars: How to restore and when to perform surgical crown lengthening? Restor. Dent. Endod. 2017, 42, 240–252. [Google Scholar] [CrossRef] [PubMed]
- Purk, J. Morphologic and structural analysis of material-tissue interfaces relevant to dental reconstruction. In Material-Tissue Interfacial Phenomena; Elsevier: Amsterdam, The Netherlands, 2017; pp. 205–229. [Google Scholar]
- Milosevic, M. Polymerization mechanics of dental composites–advantages and disadvantages. Procedia Eng. 2016, 149, 313–320. [Google Scholar] [CrossRef]
- Moldovan, M.; Balazsi, R.; Soanca, A.; Roman, A.; Sarosi, C.; Prodan, D.; Vlassa, M.; Cojocaru, I.; Saceleanu, V.; Cristescu, I. Evaluation of the Degree of Conversion, Residual Monomers and Mechanical Properties of Some Light-Cured Dental Resin Composites. Materials 2019, 12, 2109. [Google Scholar] [CrossRef]
- Par, M.; Prskalo, K.; Tauböck, T.T.; Skenderovic, H.; Attin, T.; Tarle, Z. Polymerization kinetics of experimental resin composites functionalized with conventional (45S5) and a customized low-sodium fluoride-containing bioactive glass. Sci. Rep. 2021, 11, 21225. [Google Scholar] [CrossRef]
- Wang, Z.; Chiang, M.Y. Correlation between polymerization shrinkage stress and C-factor depends upon cavity compliance. Dent. Mater. 2016, 32, 343–352. [Google Scholar] [CrossRef]
- Montagner, A.F.; Kuper, N.K.; Opdam, N.J.; Bronkhorst, E.M.; Cenci, M.S.; Huysmans, M.C. Wall-lesion development in gaps: The role of the adhesive bonding material. J. Dent. 2015, 43, 1007–1012. [Google Scholar] [CrossRef]
- Tantbirojn, D.; Versluis, A.; Pintado, M.R.; DeLong, R.; Douglas, W.H. Tooth deformation patterns in molars after composite restoration. Dent. Mater. 2004, 20, 535–542. [Google Scholar] [CrossRef]
- Hyun, L.; Chitre, S.; Gill, K.; Chitre, S. A Brief Review on the Relationship between Gap Size of Composite Restoration and Secondary Caries. Dent. Adv. Res. 2016, 1, 103. [Google Scholar] [CrossRef]
- Feilzer, A.J.; De Gee, A.J.; Davidson, C.L. Setting stress in composite resin in relation to configuration of the restoration. J. Dent. Res. 1987, 66, 1636–1639. [Google Scholar] [CrossRef] [PubMed]
- Kaisarly, D.; El Gezawi, M.; Keßler, A.; Rösch, P.; Kunzelmann, K. Shrinkage Vectors in Flowable Bulk-fill and Conventional Composites: Bulk versus Incremental Application. Clin. Oral Investig. 2021, 25, 1127–1139. [Google Scholar] [CrossRef] [PubMed]
- Kaisarly, D.; El Gezawi, M.; Nyamaa, I.; Rosch, P.; Kunzelmann, K.H. Effects of boundary condition on shrinkage vectors of a flowable composite in experimental cavity models made of dental substrates. Clin. Oral Investig. 2019, 23, 2403–2411. [Google Scholar] [CrossRef] [PubMed]
- Kaisarly, D. Polymerisationsschrumpfung—Aktueller Stand und klinische Konsequenzen. Quintessenz Zahnmed. 2021, 6, 638–648. [Google Scholar]
- Kaisarly, D.; El Gezawi, M.; Xu, X.; Rösch, P.; Kunzelmann, K.-H. Shrinkage vectors of a flowable composite in artificial cavity models with different boundary conditions: Ceramic and Teflon. J. Mech. Behav. Biomed. Mater. 2018, 77, 414–421. [Google Scholar] [CrossRef]
- Kaisarly, D.; El Gezawi, M.; Lai, G.; Jin, J.; Rösch, P.; Kunzelmann, K.H. Effects of occlusal cavity configuration on 3D shrinkage vectors in a flowable composite. Clin. Oral Investig. 2018, 22, 2047–2056. [Google Scholar] [CrossRef]
- Kaisarly, D.; El Gezawi, M.; Rösch, P.; Kunzelmann, K.-H. Shrinkage vectors and volumetric shrinkage percentage of differently applied composites. Int. J. Adhes. Adhes. 2021, 105, 102793. [Google Scholar] [CrossRef]
- Kaisarly, D.; Langenegger, R.; Litzenburger, F.; Heck, K.; El Gezawi, M.; Rösch, P.; Kunzelmann, K.-H. Effects of application method on shrinkage vectors and volumetric shrinkage of bulk-fill composites in class-II restorations. Dent. Mater. 2022, 38, 79–93. [Google Scholar] [CrossRef]
- Kaisarly, D.; Meierhofer, D.; El Gezawi, M.; Rösch, P.; Kunzelmann, K.H. Effects of flowable liners on the shrinkage vectors of bulk-fill composites. Clin. Oral Investig. 2021, 25, 4927–4940. [Google Scholar] [CrossRef]
- Deliperi, S.; Alleman, D.; Rudo, D. Stress-reduced Direct Composites for the Restoration of Structurally Compromised Teeth: Fiber Design According to the “Wallpapering” Technique. Oper. Dent. 2017, 42, 233–243. [Google Scholar] [CrossRef]
- Zafar, M.S.; Amin, F.; Fareed, M.A.; Ghabbani, H.; Riaz, S.; Khurshid, Z.; Kumar, N. Biomimetic Aspects of Restorative Dentistry Biomaterials. Biomimetics 2020, 5, 34. [Google Scholar] [CrossRef] [PubMed]
- Carvalho, R.M.; Manso, A.P.; Geraldeli, S.; Tay, F.R.; Pashley, D.H. Durability of bonds and clinical success of adhesive restorations. Dent. Mater. 2012, 28, 72–86. [Google Scholar] [CrossRef] [PubMed]
- Carrilho, E.; Cardoso, M.; Marques Ferreira, M.; Marto, C.M.; Paula, A.; Coelho, A.S. 10-MDP Based Dental Adhesives: Adhesive Interface Characterization and Adhesive Stability-A Systematic Review. Materials 2019, 12, 790. [Google Scholar] [CrossRef] [PubMed]
- Maktabi, H.; Ibrahim, M.S.; Balhaddad, A.A.; Alkhubaizi, Q.; Garcia, I.M.; Collares, F.M.; Strassler, H.; Fugolin, A.P.P.; Pfeifer, C.S.; Melo, M.A.S. Improper light curing of Bulkfill composite drives surface changes and increases s. Mutans biofilm growth as a pathway for higher risk of recurrent caries around restorations. Dent. J. 2021, 9, 83. [Google Scholar] [CrossRef] [PubMed]
- Aggarwal, N.; Jain, A.; Gupta, H.; Abrol, A.; Singh, C.; Rapgay, T. The comparative evaluation of depth of cure of bulk-fill composites—An in vitro study. J. Conserv. Dent. 2019, 22, 371–375. [Google Scholar] [CrossRef] [PubMed]
- Vandewalker, J.P.; Casey, J.A.; Lincoln, T.A.; Vandewalle, K.S. Properties of dual-cure, bulk-fill composite resin restorative materials. Gen. Dent. 2016, 64, 68–73. [Google Scholar]
- Shafadilla, V.; Usman, M.; Margono, A. Effects of distance from tip of LED light-curing unit and curing time on surface hardness of nano-filled composite resin. J. Phys. Conf. Ser. 2017, 884, 012095. [Google Scholar] [CrossRef]
- Al-Harbi, F.; Kaisarly, D.; Bader, D.; El Gezawi, M. Marginal Integrity of Bulk Versus Incremental Fill Class II Composite Restorations. Oper. Dent. 2016, 41, 146–156. [Google Scholar] [CrossRef]
- Al-Harbi, F.; Kaisarly, D.; Michna, A.; ArRejaie, A.; Bader, D.; El Gezawi, M. Cervical Interfacial Bonding Effectiveness of Class II Bulk Versus Incremental Fill Resin Composite Restorations. Oper. Dent. 2015, 40, 622–635. [Google Scholar] [CrossRef]
- Burrer, P.; Par, M.; Attin, T.; Tauböck, T.T. Real-Time Feedback of the Applied Light-Curing Technique and Its Impact on Degree of Conversion of Composite Restorations-A Study with Undergraduate Dental Students. J. Pers. Med. 2021, 11, 1012. [Google Scholar] [CrossRef]
- Braga, R.R.; Ferracane, J.L. Alternatives in polymerization contraction stress management. Crit. Rev. Oral Biol. Med. 2004, 15, 176–184. [Google Scholar] [CrossRef] [PubMed]
- Fabianelli, A.; Sgarra, A.; Goracci, C.; Cantoro, A.; Pollington, S.; Ferrari, M. Microleakage in class II restorations: Open vs closed centripetal build-up technique. Oper. Dent. 2010, 35, 308–313. [Google Scholar] [CrossRef] [PubMed]
- Andersson-Wenckert, I.E.; van Dijken, J.W.; Kieri, C. Durability of extensive Class II open-sandwich restorations with a resin-modified glass ionomer cement after 6 years. Am. J. Dent. 2004, 17, 43–50. [Google Scholar]
- Cavalheiro, C.P.; Scherer, H.; Imparato, J.C.P.; Collares, F.M.; Lenzi, T.L. Use of flowable resin composite as an intermediate layer in class II restorations: A systematic review and meta-analysis. Clin. Oral Investig. 2021, 25, 5629–5639. [Google Scholar] [CrossRef] [PubMed]
- Catalán, A.; Martínez, A.; Muñoz, C.; Medina, C.; Marzialetti, T.; Montaño, M.; Jaramillo, A.; Meléndrez, M. The effect of preheating of nano-filler composite resins on their degree of conversion and microfiltration in dental fillings. Polym. Bull. 2022, 79, 10707–10722. [Google Scholar] [CrossRef]
- Demirel, G.; Orhan, A.I.; Irmak, O.; Aydın, F.; Büyüksungur, A.; Bilecenoğlu, B.; Orhan, K. Effects of Preheating and Sonic Delivery Techniques on the Internal Adaptation of Bulk-fill Resin Composites. Oper. Dent. 2021, 46, 226–233. [Google Scholar] [CrossRef]
- Khan, A.S. Effect of Ultrasonic Vibration on Structural and Physical Properties of Resin-Based Dental Composites. Polymers 2021, 13, 2054. [Google Scholar] [CrossRef]
- Kincses, D.; Böddi, K.; Őri, Z.; Lovász, B.V.; Jeges, S.; Szalma, J.; Kunsági-Máté, S.; Lempel, E. Pre-Heating Effect on Monomer Elution and Degree of Conversion of Contemporary and Thermoviscous Bulk-Fill Resin-Based Dental Composites. Polymers 2021, 13, 3599. [Google Scholar] [CrossRef]
- Bustamante-Hernández, N.; Montiel-Company, J.M.; Bellot-Arcís, C.; Mañes-Ferrer, J.F.; Solá-Ruíz, M.F.; Agustín-Panadero, R.; Fernández-Estevan, L. Clinical Behavior of Ceramic, Hybrid and Composite Onlays. A Systematic Review and Meta-Analysis. Int. J. Environ. Res. Public Health 2020, 17, 7582. [Google Scholar] [CrossRef]
- Galiatsatos, A.; Galiatsatos, P.; Bergou, D. Clinical Longevity of Indirect Composite Resin Inlays and Onlays: An Up to 9-Year Prospective Study. Eur. J. Dent. 2022, 16, 202–208. [Google Scholar] [CrossRef]
- Qanungo, A.; Aras, M.A.; Chitre, V.; Mysore, A.; Amin, B.; Daswani, S.R. Immediate dentin sealing for indirect bonded restorations. J. Prosthodont. Res. 2016, 60, 240–249. [Google Scholar] [CrossRef]
- Ashy, L.M.; Marghalani, H.; Silikas, N. In Vitro Evaluation of Marginal and Internal Adaptations of Ceramic Inlay Restorations Associated with Immediate vs Delayed Dentin Sealing Techniques. Int. J. Prosthodont. 2020, 33, 48–55. [Google Scholar] [CrossRef] [PubMed]
- Surdacka, A.; Strzyka, A.K.; Rydzewska, A. Changeability of oral cavity environment. Eur J. Dent. 2007, 1, 14–17. [Google Scholar] [CrossRef] [PubMed]
- Niu, L.N.; Zhang, W.; Pashley, D.H.; Breschi, L.; Mao, J.; Chen, J.H.; Tay, F.R. Biomimetic remineralization of dentin. Dent. Mater. 2014, 30, 77–96. [Google Scholar] [CrossRef] [PubMed]
- El-Gezawi, M.F.; Al-Harbi, F.A. Reliability of Bonded MOD Restorations in Maxillary Premolars: Microleakage and Cusp Fracture Resistance. Acta Stomatol. Croat. 2012, 46, 31–42. [Google Scholar]
- Frassetto, A.; Breschi, L.; Turco, G.; Marchesi, G.; Di Lenarda, R.; Tay, F.R.; Pashley, D.H.; Cadenaro, M. Mechanisms of degradation of the hybrid layer in adhesive dentistry and therapeutic agents to improve bond durability—A literature review. Dent. Mater. 2016, 32, e41–e53. [Google Scholar] [CrossRef] [PubMed]
- Tersariol, I.L.; Geraldeli, S.; Minciotti, C.L.; Nascimento, F.D.; Pääkkönen, V.; Martins, M.T.; Carrilho, M.R.; Pashley, D.H.; Tay, F.R.; Salo, T.; et al. Cysteine cathepsins in human dentin-pulp complex. J. Endod. 2010, 36, 475–481. [Google Scholar] [CrossRef]
- Pashley, D.H.; Tay, F.R.; Imazato, S. How to increase the durability of resin-dentin bonds. Compend. Contin. Educ. Dent. 2011, 32, 60–64, 66. [Google Scholar] [PubMed]
- Sezinando, A. Looking for the ideal adhesive—A review. Rev. Port. De Estomatol. Med. Dentária E Cir. Maxilofac. 2014, 55, 194–206. [Google Scholar] [CrossRef]
- El Gezawi, M.; Haridy, R.; Abo Elazm, E.; Al-Harbi, F.; Zouch, M.; Kaisarly, D. Microtensile bond strength, 4-point bending and nanoleakage of resin-dentin interfaces: Effects of two matrix metalloproteinase inhibitors. J. Mech. Behav. Biomed. Mater. 2018, 78, 206–213. [Google Scholar] [CrossRef] [PubMed]
- Hashimoto, M.; Fujita, S.; Nagano, F.; Ohno, H.; Endo, K. Ten-years degradation of resin-dentin bonds. Eur. J. Oral Sci. 2010, 118, 404–410. [Google Scholar] [CrossRef]
- Daneshkazemi, A.; Davari, A.; Akbari, M.J.; Davoudi, A.; Badrian, H. Effects of Thermal and Mechanical Load Cycling on the Dentin Microtensile Bond Strength of Single Bond-2. J. Int Oral Health 2015, 7, 9–13. [Google Scholar]
- Betancourt, D.E.; Baldion, P.A.; Castellanos, J.E. Resin-Dentin Bonding Interface: Mechanisms of Degradation and Strategies for Stabilization of the Hybrid Layer. Int. J. Biomater. 2019, 2019, 5268342. [Google Scholar] [CrossRef] [PubMed]
- Sulkala, M. Matrix Metalloproteinases (MMPs) in the Dentin-Pulp Complex of Healthy and Carious Teeth. Doctoral Dissertation, University of Oulu, Oulu, Finnland, 2004. [Google Scholar]
- Tjäderhane, L.; Buzalaf, M.A.R.; Carrilho, M.; Chaussain, C. Matrix Metalloproteinases and Other Matrix Proteinases in Relation to Cariology: The Era of ‘Dentin Degradomics’. Caries Res. 2015, 49, 193–208. [Google Scholar] [CrossRef] [PubMed]
- Montagner, A.F.; Sarkis-Onofre, R.; Pereira-Cenci, T.; Cenci, M.S. MMP Inhibitors on Dentin Stability: A Systematic Review and Meta-analysis. J. Dent. Res. 2014, 93, 733–743. [Google Scholar] [CrossRef] [PubMed]
- Elgezawi, M.; Haridy, R.; Almas, K.; Abdalla, M.A.; Omar, O.; Abuohashish, H.; Elembaby, A.; Christine Wölfle, U.; Siddiqui, Y.; Kaisarly, D. Matrix Metalloproteinases in Dental and Periodontal Tissues and Their Current Inhibitors: Developmental, Degradational and Pathological Aspects. Int. J. Mol. Sci. 2022, 23, 8929. [Google Scholar] [CrossRef]
- Akram, Z.; Daood, U.; Aati, S.; Ngo, H.; Fawzy, A.S. Formulation of pH-sensitive chlorhexidine-loaded/mesoporous silica nanoparticles modified experimental dentin adhesive. Mater. Sci. Eng. C Mater. Biol. Appl. 2021, 122, 111894. [Google Scholar] [CrossRef]
- de Menezes, L.R.; da Silva, E.O.; Maurat da Rocha, L.V.; Ferreira Barbosa, I.; Rodrigues Tavares, M. The use of clays for chlorhexidine controlled release as a new perspective for longer durability of dentin adhesion. J. Mater. Sci. Mater. Med. 2019, 30, 132. [Google Scholar] [CrossRef]
- Palasuk, J.; Windsor, L.J.; Platt, J.A.; Lvov, Y.; Geraldeli, S.; Bottino, M.C. Doxycycline-loaded nanotube-modified adhesives inhibit MMP in a dose-dependent fashion. Clin. Oral Investig. 2018, 22, 1243–1252. [Google Scholar] [CrossRef]
- de Moraes, I.Q.S.; do Nascimento, T.G.; da Silva, A.T.; de Lira, L.M.S.S.; Parolia, A.; Porto, I.C.C.d.M. Inhibition of matrix metalloproteinases: A troubleshooting for dentin adhesion. Restor. Dent. Endod. 2020, 45, e31. [Google Scholar] [CrossRef]
- Takahashi, N.; Nyvad, B. Ecological Hypothesis of Dentin and Root Caries. Caries Res. 2016, 50, 422–431. [Google Scholar] [CrossRef] [PubMed]
- Boelen, G.-J.; Boute, L.; D’Hoop, J.; Ezeldeen, M.; Lambrichts, I.; Opdenakker, G. Matrix metalloproteinases and inhibitors in dentistry. Clin. Oral Investig. 2019, 23, 2823–2835. [Google Scholar] [CrossRef] [PubMed]
- Chaussain, C.; Boukpessi, T.; Khaddam, M.; Tjaderhane, L.; George, A.; Menashi, S. Dentin matrix degradation by host matrix metalloproteinases: Inhibition and clinical perspectives toward regeneration. Front. Physiol. 2013, 4, 308. [Google Scholar] [CrossRef]
- Sabatini, C.; Ortiz, P.A.; Pashley, D.H. Preservation of resin-dentin interfaces treated with benzalkonium chloride adhesive blends. Eur. J. Oral Sci. 2015, 123, 108–115. [Google Scholar] [CrossRef]
- Zhou, W.; Liu, S.; Zhou, X.; Hannig, M.; Rupf, S.; Feng, J.; Peng, X.; Cheng, L. Modifying Adhesive Materials to Improve the Longevity of Resinous Restorations. Int. J. Mol. Sci. 2019, 20, 723. [Google Scholar] [CrossRef]
- Maenosono, R.M.; Bim Júnior, O.; Duarte, M.A.; Palma-Dibb, R.G.; Wang, L.; Ishikiriama, S.K. Diode laser irradiation increases microtensile bond strength of dentin. Braz. Oral Res. 2015, 29, 1–5. [Google Scholar] [CrossRef]
- Wang, J.h.; Yang, K.; Zhang, B.z.; Zhou, Z.f.; Wang, Z.r.; Ge, X.; Wang, L.l.; Chen, Y.j.; Wang, X.j. Effects of Er:YAG laser pre-treatment on dentin structure and bonding strength of primary teeth: An in vitro study. BMC Oral Health 2020, 20, 316. [Google Scholar] [CrossRef]
- Ramachandruni, N.; Moinuddin, K.; Smitha, R.; Naga Maheshwari, X.; Harish Kumar, T.V.S. Influence of Diode Laser on the Bond Strength of Self-Etching Adhesive Systems to Human Dentin: An in vitro Study. Contemp. Clin. Dent. 2019, 10, 338–343. [Google Scholar] [CrossRef] [PubMed]
- El-Hakim, N.; Mokhtar, A.; Hamza, T. Effect of Diode Laser Irradiation of Bonding Agents Before Curing Versus Standard Bonding Protocol on the Shear Bond Strength Between Resin Cement and Dentin. Braz. Dent. Sci. 2019, 22, 395–407. [Google Scholar] [CrossRef]
- Niu, L.; Dong, S.J.; Kong, T.T.; Wang, R.; Zou, R.; Liu, Q.D. Heat Transfer Behavior across the Dentino-Enamel Junction in the Human Tooth. PLoS ONE 2016, 11, e0158233. [Google Scholar] [CrossRef] [PubMed]
- Pomacóndor-Hernández, C.; Antunes, A.N.; Hipólito, V.; Goes, M.F. Effect of replacing a component of a self-etch adhesive by chlorhexidine on bonding to dentin. Braz. Dent. J. 2013, 24, 335–339. [Google Scholar] [CrossRef]
- Chatzistavrou, X.; Lefkelidou, A.; Papadopoulou, L.; Pavlidou, E.; Paraskevopoulos, K.M.; Fenno, J.C.; Flannagan, S.; González-Cabezas, C.; Kotsanos, N.; Papagerakis, P. Bactericidal and Bioactive Dental Composites. Front. Physiol 2018, 9, 103. [Google Scholar] [CrossRef]
- Kawai, K.; Tsuchitani, Y. Effects of resin composite components on glucosyltransferase of cariogenic bacterium. J. Biomed. Mater. Res. 2000, 51, 123–127. [Google Scholar] [CrossRef]
- Bourbia, M.; Finer, Y. Biochemical Stability and Interactions of Dental Resin Composites and Adhesives with Host and Bacteria in the Oral Cavity: A Review. J. Can. Dent. Assoc. 2018, 84, i1. [Google Scholar]
- Skudutyte-Rysstad, R.; Tveit, A.B.; Espelid, I.; Kopperud, S.E. Posterior composites and new caries on adjacent surfaces—Any association? Longitudinal study with a split-mouth design. BMC Oral Health 2016, 16, 11. [Google Scholar] [CrossRef][Green Version]
- Zhang, N.; Melo, M.A.S.; Weir, M.D.; Reynolds, M.A.; Bai, Y.; Xu, H.H.K. Do Dental Resin Composites Accumulate More Oral Biofilms and Plaque than Amalgam and Glass Ionomer Materials? Materials 2016, 9, 888. [Google Scholar] [CrossRef] [PubMed]
- Balhaddad, A.A.; Kansara, A.A.; Hidan, D.; Weir, M.D.; Xu, H.H.K.; Melo, M.A.S. Toward dental caries: Exploring nanoparticle-based platforms and calcium phosphate compounds for dental restorative materials. Bioact. Mater. 2019, 4, 43–55. [Google Scholar] [CrossRef]
- Zhang, K.; Zhang, N.; Weir, M.D.; Reynolds, M.A.; Bai, Y.; Xu, H.H.K. Bioactive Dental Composites and Bonding Agents Having Remineralizing and Antibacterial Characteristics. Dent. Clin. N. Am. 2017, 61, 669–687. [Google Scholar] [CrossRef] [PubMed]
- Vallittu, P.K.; Boccaccini, A.R.; Hupa, L.; Watts, D.C. Bioactive dental materials—Do they exist and what does bioactivity mean? Dent. Mater. 2018, 34, 693–694. [Google Scholar] [CrossRef] [PubMed]
- Spagnuolo, G. Bioactive Dental Materials: The Current Status. Materials 2022, 15, 2016. [Google Scholar] [CrossRef]
- Mitwalli, H.; Alsahafi, R.; Balhaddad, A.A.; Weir, M.D.; Xu, H.H.K.; Melo, M.A.S. Emerging Contact-Killing Antibacterial Strategies for Developing Anti-Biofilm Dental Polymeric Restorative Materials. Bioengineering 2020, 7, 83. [Google Scholar] [CrossRef]
- Garcia, I.M.; Balhaddad, A.A.; Ibrahim, M.S.; Weir, M.D.; Xu, H.H.K.; Collares, F.M.; Melo, M.A.S. Antibacterial response of oral microcosm biofilm to nano-zinc oxide in adhesive resin. Dent. Mater. 2021, 37, e182–e193. [Google Scholar] [CrossRef]
- Imazato, S.; Ma, S.; Chen, J.H.; Xu, H.H. Therapeutic polymers for dental adhesives: Loading resins with bio-active components. Dent. Mater. 2014, 30, 97–104. [Google Scholar] [CrossRef] [PubMed]
- Balhaddad, A.A.; Ibrahim, M.S.; Weir, M.D.; Xu, H.H.K.; Melo, M.A.S. Concentration dependence of quaternary ammonium monomer on the design of high-performance bioactive composite for root caries restorations. Dent. Mater. 2020, 36, e266–e278. [Google Scholar] [CrossRef]
- Duarte de Oliveira, F.J.; Ferreira da Silva Filho, P.S.; Fernandes Costa, M.J.; Rabelo Caldas, M.R.G.; Dutra Borges, B.C.; Gadelha de Araújo, D.F. A comprehensive review of the antibacterial activity of dimethylaminohexadecyl methacrylate (DMAHDM) and its influence on mechanical properties of resin-based dental materials. Jpn. Dent. Sci. Rev. 2021, 57, 60–70. [Google Scholar] [CrossRef] [PubMed]
- Makvandi, P.; Jamaledin, R.; Jabbari, M.; Nikfarjam, N.; Borzacchiello, A. Antibacterial quaternary ammonium compounds in dental materials: A systematic review. Dent. Mater. 2018, 34, 851–867. [Google Scholar] [CrossRef] [PubMed]
- Turp, V.; Sen, D.; Tuncelli, B.; Ozcan, M. Adhesion of 10-MDP containing resin cements to dentin with and without the etch-and-rinse technique. J. Adv. Prosthodont. 2013, 5, 226–233. [Google Scholar] [CrossRef]
- Nikaido, T.; Takahashi, R.; Ariyoshi, M.; Sadr, A.; Tagami, J. Protection and Reinforcement of Tooth Structures by Dental Coating Materials. Coatings 2012, 2, 210. [Google Scholar] [CrossRef]
- Nikaido, T.; Inoue, G.; Takagaki, T.; Waidyasekera, K.; Iida, Y.; Shinohara, M.S.; Sadr, A.; Tagami, J. New strategy to create “Super Dentin” using adhesive technology: Reinforcement of adhesive–dentin interface and protection of tooth structures. Jpn. Dent. Sci. Rev. 2011, 47, 31–42. [Google Scholar] [CrossRef]
- Tian, F.-c.; Wang, X.-y.; Huang, Q.; Niu, L.-n.; Mitchell, J.; Zhang, Z.-y.; Prananik, C.; Zhang, L.; Chen, J.-h.; Breshi, L.; et al. Effect of nanolayering of calcium salts of phosphoric acid ester monomers on the durability of resin-dentin bonds. Acta Biomater. 2016, 38, 190–200. [Google Scholar] [CrossRef]
- Li, W.; Qi, M.; Sun, X.; Chi, M.; Wan, Y.; Zheng, X.; Li, C.; Wang, L.; Dong, B. Novel dental adhesive containing silver exchanged EMT zeolites against cariogenic biofilms to combat dental caries. Microporous Mesoporous Mater. 2020, 299, 110113. [Google Scholar] [CrossRef]
- Hao, J.; Lang, S.; Mante, F.; Pavelić, K.; Ozer, F. Antimicrobial and Mechanical Effects of Zeolite Use in Dental Materials: A Systematic Review. Acta Stomatol. Croat. 2021, 55, 76–89. [Google Scholar] [CrossRef] [PubMed]
- Altankhishig, B.; Polan, M.A.A.; Qiu, Y.; Hasan, M.R.; Saito, T. Dentin Phosphophoryn-Derived Peptide Promotes Odontoblast Differentiation In Vitro and Dentin Regeneration In Vivo. Materials 2021, 14, 874. [Google Scholar] [CrossRef] [PubMed]
- Bermúdez, M.; Hoz, L.; Montoya, G.; Nidome, M.; Pérez-Soria, A.; Romo, E.; Soto-Barreras, U.; Garnica-Palazuelos, J.; Aguilar-Medina, M.; Ramos-Payán, R. Bioactive synthetic peptides for oral tissues regeneration. Front. Mater. 2021, 8, 655495. [Google Scholar] [CrossRef]
- Wu, J.; Weir, M.D.; Melo, M.A.; Xu, H.H. Development of novel self-healing and antibacterial dental composite containing calcium phosphate nanoparticles. J. Dent. 2015, 43, 317–326. [Google Scholar] [CrossRef]
- Althaqafi, K.A.; Satterthwaite, J.; Silikas, N. A review and current state of autonomic self-healing microcapsules-based dental resin composites. Dent. Mater. 2020, 36, 329–342. [Google Scholar] [CrossRef] [PubMed]
- Cho, K.; Yasir, M.; Jung, M.; Willcox, M.D.; Stenzel, M.H.; Rajan, G.; Farrar, P.; Prusty, B.G. Hybrid engineered dental composites by multiscale reinforcements with chitosan-integrated halloysite nanotubes and S-glass fibers. Compos. Part. B Eng. 2020, 202, 108448. [Google Scholar] [CrossRef]
- Bhadila, G.; Filemban, H.; Wang, X.; Melo, M.A.S.; Arola, D.D.; Tay, F.R.; Oates, T.W.; Weir, M.D.; Sun, J.; Xu, H.H.K. Bioactive low-shrinkage-stress nanocomposite suppresses S. mutans biofilm and preserves tooth dentin hardness. Acta Biomater. 2020, 114, 146–157. [Google Scholar] [CrossRef] [PubMed]
- Moussa, D.G.; Fok, A.; Aparicio, C. Hydrophobic and antimicrobial dentin: A peptide-based 2-tier protective system for dental resin composite restorations. Acta Biomater. 2019, 88, 251–265. [Google Scholar] [CrossRef] [PubMed]
- Boushell, L.W.; Sturdevant, J.R. Clinical significance of dental anatomy, histology, physiology, and occlusion. In Sturdevant’s Art & Science of Operative Dentistry; Elsevier: Amsterdam, The Netherlands, 2019; pp. 1–40. [Google Scholar]
- Loomans, B.A.; Opdam, N.J.; Roeters, F.J.; Bronkhorst, E.M.; Burgersdijk, R.C.; Dörfer, C.E. A randomized clinical trial on proximal contacts of posterior composites. J. Dent. 2006, 34, 292–297. [Google Scholar] [CrossRef]
- Saber, M.H.; El-Badrawy, W.; Loomans, B.A.; Ahmed, D.R.; Dörfer, C.E.; El Zohairy, A. Creating tight proximal contacts for MOD resin composite restorations. Oper. Dent. 2011, 36, 304–310. [Google Scholar] [CrossRef]
- Bailey, O. Sectional matrix solutions: The distorted truth. Br. Dent. J. 2021, 231, 547–555. [Google Scholar] [CrossRef]
- Saber, M.H.; Loomans, B.A.; El Zohairy, A.; Dörfer, C.E.; El-Badrawy, W. Evaluation of proximal contact tightness of Class II resin composite restorations. Oper. Dent. 2010, 35, 37–43. [Google Scholar] [CrossRef] [PubMed]
- de la Peña, V.A.; García, R.P. Sectional matrix: Step-by-step directions for their clinical use. Br. Dent. J. 2016, 220, 11–14. [Google Scholar] [CrossRef]
- Loomans, B.A.; Opdam, N.J.; Roeters, F.J.; Bronkhorst, E.M.; Burgersdijk, R.C. Comparison of proximal contacts of Class II resin composite restorations in vitro. Oper. Dent. 2006, 31, 688–693. [Google Scholar] [CrossRef]
- Bertoldi, C.; Monari, E.; Cortellini, P.; Generali, L.; Lucchi, A.; Spinato, S.; Zaffe, D. Clinical and histological reaction of periodontal tissues to subgingival resin composite restorations. Clin. Oral Investig. 2020, 24, 1001–1011. [Google Scholar] [CrossRef]
- Magne, P.; Spreafico, R.C. Deep margin elevation: A paradigm shift. Am. J. Esthet Dent. 2012, 2, 86–96. [Google Scholar]
- Samartzi, T.K.; Papalexopoulos, D.; Sarafianou, A.; Kourtis, S. Immediate Dentin Sealing: A Literature Review. Clin. Cosmet. Investig. Dent. 2021, 13, 233–256. [Google Scholar] [CrossRef]
- Magne, P. M-i-M for DME: Matrix-in-a-matrix technique for deep margin elevation. J. Prosthet. Dent. 2021. [Google Scholar] [CrossRef] [PubMed]
- Wang, R.; Liu, H.; Wang, Y. Different depth-related polymerization kinetics of dual-cure, bulk-fill composites. Dent. Mater. 2019, 35, 1095–1103. [Google Scholar] [CrossRef]
- Samartzi, T.K.; Papalexopoulos, D.; Ntovas, P.; Rahiotis, C.; Blatz, M.B. Deep Margin Elevation: A Literature Review. Dent. J. 2022, 10, 48. [Google Scholar] [CrossRef] [PubMed]
- Bresser, R.A.; Gerdolle, D.; van den Heijkant, I.A.; Sluiter-Pouwels, L.M.A.; Cune, M.S.; Gresnigt, M.M.M. Up to 12 years clinical evaluation of 197 partial indirect restorations with deep margin elevation in the posterior region. J. Dent. 2019, 91, 103227. [Google Scholar] [CrossRef] [PubMed]
- Fraga, M.A.A.; Correr-Sobrinho, L.; Sinhoreti, M.A.C.; Carletti, T.M.; Correr, A.B. Do dual-cure bulk-fill resin composites reduce gaps and improve depth of cure. Braz. Dent. J. 2021, 32, 77–86. [Google Scholar] [CrossRef] [PubMed]
- Ismail, H.S.; Ali, A.I.; Garcia-Godoy, F. Influence of Manual and Ultrasonic Scaling on Surface Roughness of Four Different Base Materials Used to Elevate Proximal Dentin-Cementum Gingival Margins: An In Vitro Study. Oper. Dent. 2022, 47, E106–E118. [Google Scholar] [CrossRef] [PubMed]




Publisher’s Note: MDPI stays neutral with regard to jurisdictional claims in published maps and institutional affiliations. |
© 2022 by the authors. Licensee MDPI, Basel, Switzerland. This article is an open access article distributed under the terms and conditions of the Creative Commons Attribution (CC BY) license (https://creativecommons.org/licenses/by/4.0/).
Share and Cite
Elgezawi, M.; Haridy, R.; Abdalla, M.A.; Heck, K.; Draenert, M.; Kaisarly, D. Current Strategies to Control Recurrent and Residual Caries with Resin Composite Restorations: Operator- and Material-Related Factors. J. Clin. Med. 2022, 11, 6591. https://doi.org/10.3390/jcm11216591
Elgezawi M, Haridy R, Abdalla MA, Heck K, Draenert M, Kaisarly D. Current Strategies to Control Recurrent and Residual Caries with Resin Composite Restorations: Operator- and Material-Related Factors. Journal of Clinical Medicine. 2022; 11(21):6591. https://doi.org/10.3390/jcm11216591
Chicago/Turabian StyleElgezawi, Moataz, Rasha Haridy, Moamen A. Abdalla, Katrin Heck, Miriam Draenert, and Dalia Kaisarly. 2022. "Current Strategies to Control Recurrent and Residual Caries with Resin Composite Restorations: Operator- and Material-Related Factors" Journal of Clinical Medicine 11, no. 21: 6591. https://doi.org/10.3390/jcm11216591
APA StyleElgezawi, M., Haridy, R., Abdalla, M. A., Heck, K., Draenert, M., & Kaisarly, D. (2022). Current Strategies to Control Recurrent and Residual Caries with Resin Composite Restorations: Operator- and Material-Related Factors. Journal of Clinical Medicine, 11(21), 6591. https://doi.org/10.3390/jcm11216591

