Microvascular Dysfunction in Hypertrophic Cardiomyopathy
Abstract
1. Introduction
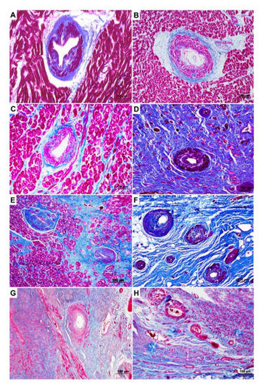
2. Coronary Microvascular Dysfunction in HCM
3. Diagnosis of Coronary Microvascular Dysfunction in HCM
4. Clinical Implications of CMD in HCM
4.1. CMD and Risk of Heart Failure
4.2. CMD and Risk of Sudden Cardiac Death
5. Treatment of CMD
6. Conclusions
Author Contributions
Funding
Institutional Review Board Statement
Informed Consent Statement
Data Availability Statement
Conflicts of Interest
References
- Gersh, B.J.; Maron, B.J.; Bonow, R.O.; Dearani, J.A.; Fifer, M.A.; Link, M.S.; Naidu, S.S.; Nishimura, R.A.; Ommen, S.R.; Rakowski, H.; et al. 2011 ACCF/AHA Guideline for the Diagnosis and Treatment of Hypertrophic Cardiomyopathy: A Report of the American College of Cardiology Foundation/American Heart Association Task Force on Practice Guidelines Developed in Collaboration With the American Association for Thoracic Surgery, American Society of Echocardiography, American Society of Nuclear Cardiology, Heart Failure Society of America, Heart Rhythm Society, Society for Cardiovascular Angiography and Interventions, and Society of Thoracic Surgeons. J. Am. Coll. Cardiol. 2011, 58, e212–e260. [Google Scholar] [CrossRef] [PubMed]
- Pelliccia, F.; Pasceri, V.; Limongelli, G.; Autore, C.; Basso, C.; Corrado, D.; Imazio, M.; Rapezzi, C.; Sinagra, G.; Mercuro, G. Long-term outcome of nonobstructive versus obstructive hypertrophic cardiomyopathy: A systematic review and meta-analysis. Int. J. Cardiol. 2017, 243, 379–384. [Google Scholar] [CrossRef] [PubMed]
- Cannon, R.O., 3rd; Rosing, D.R.; Maron, B.J.; Leon, M.B.; Bonow, R.O.; Watson, R.M.; Epstein, S.E. Myocardial ischemia in patients with hypertrophic cardiomyopathy: Contribution of inadequate vasodilator reserve and elevated left ventricular filling pressures. Circulation 1985, 71, 234–243. [Google Scholar] [CrossRef] [PubMed]
- Krams, R.; Kofflard, M.J.M.; Duncker, D.J.; Von Birgelen, C.; Carlier, S.; Kliffen, M.; Cate, F.T.; Serruys, P.W. Decreased Coronary Flow Reserve in Hypertrophic Cardiomyopathy Is Related to Remodeling of the Coronary Microcirculation. Circulation 1998, 97, 230–233. [Google Scholar] [CrossRef] [PubMed]
- Maron, B.J.; Wolfson, J.K.; Epstein, S.E.; Roberts, W.C. Intramural (“small vessel”) coronary artery disease in hypertrophic cardiomyopathy. J. Am. Coll. Cardiol. 1986, 8, 545–557. [Google Scholar] [CrossRef]
- Shariat, M.; Thavendiranathan, P.; Nguyen, E.; Wintersperger, B.; Paul, N.; Rakowski, H.; Crean, A.M. Utility of coronary CT angiography in outpatients with hypertrophic cardiomyopathy presenting with angina symptoms. J. Cardiovasc. Comput. Tomogr. 2014, 8, 429–437. [Google Scholar] [CrossRef]
- Van der Velde, N.; Huurman, R.; Yamasaki, Y.; Kardys, I.; Galema, T.W.; Budde, R.P.; Zijlstra, F.; Krestin, G.P.; Schinkel, A.F.; Michels, M.; et al. Frequency and significance of coronary artery disease and myocardial bridging in patients with hypertrophic cardiomyopathy. Am. J. Cardiol. 2020, 125, 1404–1412. [Google Scholar] [CrossRef]
- Dias, A.; Gil, I.J.N.; Santoro, F.; Madias, J.E.; Pelliccia, F.; Brunetti, N.D.; Salmoirago-Blotcher, E.; Sharkey, S.W.; Eitel, I.; Akashi, Y.J.; et al. Takotsubo syndrome: State-of-the-art review by an expert panel—Part 2. Cardiovasc. Revascularization Med. 2018, 20, 153–166. [Google Scholar] [CrossRef]
- Pelliccia, F.; Limongelli, G.; Autore, C.; Gimeno-Blanes, J.R.; Basso, C.; Elliott, P. Sex-related differences in cardiomyopathies. Int. J. Cardiol. 2019, 286, 239–243. [Google Scholar] [CrossRef]
- Crea, F.; Camici, P.G.; Merz, C.N.B. Coronary microvascular dysfunction: An update. Eur. Heart J. 2013, 35, 1101–1111. [Google Scholar] [CrossRef]
- De Gaspari, M.; Basso, C.; Perazzolo Marra, M.; Elia, S.; Bueno Marinas, M.; Angelini, A.; Thiene, G.; Rizzo, S. Small vessel disease: Another component of the hypertrophic cardiomyopathy phenotype not necessarily associated with fibrosis. J. Clin. Med. 2021, 10, 575. [Google Scholar] [CrossRef] [PubMed]
- Kim, E.K.; Lee, S.-C.; Chang, S.-A.; Jang, S.-Y.; Kim, S.M.; Park, S.-J.; Choi, J.-O.; Park, S.W.; Jeon, E.-S.; Choe, Y.H. Prevalence and clinical significance of cardiovascular magnetic resonance adenosine stress-induced myocardial perfusion defect in hypertrophic cardiomyopathy. J. Cardiovasc. Magn. Reson. 2020, 22, 30. [Google Scholar] [CrossRef] [PubMed]
- Tyan, C.C.; Armstrong, S.; Scholl, D.; Stirrat, J.; Blackwood, K.; El-Sherif, O.; Thompson, T.; Wisenberg, G.; Prato, F.S.; So, A.; et al. Stress hypoperfusion and tissue injury in hypertrophic cardiomyopathy: Spatial characterization using high-resolution 3-tesla magnetic resonance imaging. Circ. Cardiovasc Imaging 2013, 6, 229–238. [Google Scholar] [CrossRef] [PubMed]
- Karamitsos, T.D.; Dass, S.; Suttie, J.; Sever, E.; Birks, J.; Holloway, C.J.; Robson, M.D.; Jerosch-Herold, M.; Watkins, H.; Neubauer, S. Blunted Myocardial Oxygenation Response During Vasodilator Stress in Patients With Hypertrophic Cardiomyopathy. J. Am. Coll. Cardiol. 2013, 61, 1169–1176. [Google Scholar] [CrossRef] [PubMed]
- Marcus, M.L.; Chilian, W.M.; Kanatsuka, H.; Dellsperger, K.C.; Eastham, C.L.; Lamping, K.G. Understanding the coronary circulation through studies at the microvascular level. Circulation 1990, 82, 1–7. [Google Scholar] [CrossRef]
- Camici, P.G.; D’Amati, G.; Rimoldi, O.E. Coronary microvascular dysfunction: Mechanisms and functional assessment. Nat. Rev. Cardiol. 2014, 12, 48–62. [Google Scholar] [CrossRef]
- Udelson, J.E.; Bonow, R.O.; O’Gara, P.T.; Maron, B.J.; Van Lingen, A.; Bacharach, S.L.; Epstein, S.E. Verapamil prevents silent myocardial perfusion abnormalities during exercise in asymptomatic patients with hypertrophic cardiomyopathy. Circulation 1989, 79, 1052–1060. [Google Scholar] [CrossRef]
- Cardim, N.; Galderisi, M.; Edvardsen, T.; Plein, S.; Popescu, B.A.; D’Andrea, A.; Bruder, O.; Cosyns, B.; Davin, L.; Donal, E.; et al. Role of multimodality cardiac imaging in the management of patients with hypertrophic cardiomyopathy: An expert consensus of the European Association of Cardiovascular Imaging Endorsed by the Saudi Heart Association. Eur. Heart J.-Cardiovasc. Imaging 2015, 16, 280. [Google Scholar] [CrossRef]
- Peteiro, J.; Bouzas-Mosquera, A.; Fernández, X.-G.F.; Monserrat, L.; Pazos, P.; Estevez-Loureiro, R.; Castro-Beiras, A. Prognostic Value of Exercise Echocardiography in Patients with Hypertrophic Cardiomyopathy. J. Am. Soc. Echocardiogr. 2011, 25, 182–189. [Google Scholar] [CrossRef]
- Cortigiani, L.; Rigo, F.; Gherardi, S.; Galderisi, M.; Sicari, R.; Picano, E. Prognostic Implications of Coronary Flow Reserve on Left Anterior Descending Coronary Artery in Hypertrophic Cardiomyopathy. Am. J. Cardiol. 2008, 102, 1718–1723. [Google Scholar] [CrossRef]
- Ferreiro, D.E.; Cianciulli, T.F.; Saccheri, M.C.; Lax, J.A.; Celano, L.; Beck, M.A.; Gagliardi, J.A.; Kazelián, L.R.; Neme, R.O. Assessment of Coronary Flow with Transthoracic Color Doppler Echocardiography in Patients with Hypertrophic Cardiomyopathy. Echocardiography 2013, 30, 1156–1163. [Google Scholar] [CrossRef] [PubMed]
- Cannon, R.O., 3rd; Dilsizian, V.; O’Gara, P.T.; Udelson, J.E.; Schenke, W.H.; Quyyumi, A.; Fananapazir, L.; Bonow, R.O. Myocardial metabolic, hemodynamic, and electrocardiographic significance of reversible thallium-201 abnormalities in hypertrophic cardiomyopathy. Circulation 1991, 83, 1660–1667. [Google Scholar] [CrossRef] [PubMed]
- Dilsizian, V.; Bonow, R.O.; Epstein, S.E.; Fananapazir, L. Myocardial ischemia detected by thallium scintigraphy is frequently related to cardiac arrest and syncope in young patients with hypertrophic cardiomyopathy. J. Am. Coll. Cardiol. 1993, 22, 796–804. [Google Scholar] [CrossRef]
- Lorenzoni, R.; Gistri, R.; Cecchi, F.; Olivotto, I.; Chiriatti, G.; Elliott, P.; McKenna, W.J.; Camici, P.G. Coronary vasodilator reserve is impaired in patients with hypertrophic cardiomyopathy and left ventricular dysfunction. Am. Heart J. 1998, 136, 972–981. [Google Scholar] [CrossRef]
- Camici, P.; Chiriatti, G.; Lorenzoni, R.; Bellina, R.C.; Gistri, R.; Italiani, G.; Parodi, O.; Salvadori, P.A.; Nista, N.; Papi, L.; et al. Coronary vasodilation is impaired in both hypertrophied and nonhypertrophied myocardium of patients with hypertrophic cardiomyopathy: A study with nitrogen-13 ammonia and positron emission tomography. J. Am. Coll. Cardiol. 1991, 17, 879–886. [Google Scholar] [CrossRef]
- Gistri, R.; Cecchi, F.; Choudhury, L.; Montereggi, A.; Sorace, O.; Salvadori, P.A.; Camici, P.G. Effect of verapamil on absolute myocardial blood flow in hypertrophic cardiomyopathy. Am. J. Cardiol. 1994, 74, 363–368. [Google Scholar] [CrossRef]
- Garcia Brás, P.; Aguiar Rosa, S.; Thomas, B.; Fiarresga, A.; Cardoso, I.; Pereira, R.; Branco, G.; Cruz, I.; Baquero, L.; Cruz Ferreira, R.; et al. Associations between perfusion defects, tissue changes and myocardial deformation in hypertrophic cardiomyopathy, uncovered by a cardiac magnetic resonance segmental analysis. Rev. Port Cardiol. 2022, 41, 559–568. [Google Scholar] [CrossRef]
- Bogaert, J.; Olivotto, I. MR Imaging in Hypertrophic Cardiomyopathy: From Magnet to Bedside. Radiology 2014, 273, 329–348. [Google Scholar] [CrossRef]
- Sotgia, B.; Sciagrà, R.; Olivotto, I.; Casolo, G.; Rega, L.; Betti, I.; Pupi, A.; Camici, P.G.; Cecchi, F. Spatial Relationship Between Coronary Microvascular Dysfunction and Delayed Contrast Enhancement in Patients with Hypertrophic Cardiomyopathy. J. Nucl. Med. 2008, 49, 1090–1096. [Google Scholar] [CrossRef]
- Ford, T.; Ong, P.; Sechtem, U.; Beltrame, J.; Camici, P.G.; Crea, F.; Kaski, J.-C.; Merz, C.N.B.; Pepine, C.J.; Shimokawa, H.; et al. Assessment of Vascular Dysfunction in Patients Without Obstructive Coronary Artery Disease: Why, how, and when. JACC Cardiovasc. Interv. 2020, 13, 1847–1864. [Google Scholar] [CrossRef]
- Aguiar Rosa, S.; Rocha Lopes, L.; Fiarresga, A.; Ferreira, R.C.; Mota Carmo, M. Coronary microvascular dysfunction in hypertrophic cardiomyopathy: Pathophysiology, assessment, and clinical impact. Microcirculation 2021, 28, e12656. [Google Scholar] [CrossRef] [PubMed]
- Pelliccia, F.; Gersh, B.J.; Camici, P.G. Gaps in Evidence for Risk Stratification for Sudden Cardiac Death in Hypertrophic Cardiomyopathy. Circulation 2021, 143, 101–103. [Google Scholar] [CrossRef] [PubMed]
- Pelliccia, F.; Pasceri, V.; Marazzi, G.; Rosano, G.; Greco, C.; Gaudio, C. A pilot randomized study of ranolazine for reduction of myocardial damage during elective percutaneous coronary intervention. Am. Heart J. 2012, 163, 1019–1023. [Google Scholar] [CrossRef] [PubMed]
- Pelliccia, F.; Patti, G.; Rosano, G.; Greco, C.; Gaudio, C. Efficacy and safety of eplerenone in the management of mild to moderate arterial hypertension: Systematic review and meta-analysis. Int. J. Cardiol. 2014, 177, 219–228. [Google Scholar] [CrossRef] [PubMed]
- Spoletini, I.; Vitale, C.; Pelliccia, F.; Fossati, C.; Rosano, G.M.C. Androgens and cardiovascular disease in postmenopausal women: A systematic review. Climacteric 2014, 17, 625–634. [Google Scholar] [CrossRef]
- Marazzi, G.; Pelliccia, F.; Campolongo, G.; Quattrino, S.; Cacciotti, L.; Volterrani, M.; Gaudio, C.; Rosano, G. Usefulness of Nutraceuticals (Armolipid Plus) Versus Ezetimibe and Combination in Statin-Intolerant Patients With Dyslipidemia With Coronary Heart Disease. Am. J. Cardiol. 2015, 116, 1798–1801. [Google Scholar] [CrossRef]
- Maron, M.S.; Olivotto, I.; Maron, B.J.; Prasad, S.K.; Cecchi, F.; Udelson, J.E.; Camici, P.G. The Case for Myocardial Ischemia in Hypertrophic Cardiomyopathy. J. Am. Coll. Cardiol. 2009, 54, 866–875. [Google Scholar] [CrossRef]
- Shirani, J.; Maron, B.J.; Cannon, R.O., 3rd; Shahin, S.; Roberts, W.C. Clinicopathologic features of hypertrophic cardiomyopathy managed by cardiac transplantation. Am. J. Cardiol. 1993, 72, 434–440. [Google Scholar] [CrossRef]
- Spirito, P.; Seidman, C.E.; McKenna, W.J.; Maron, B.J. The management of hypertrophic cardiomyopathy. N. Engl. J. Med. 1997, 336, 775–785. [Google Scholar] [CrossRef]
- Maron, B.J. Hypertrophic cardiomyopathy: A systematic review. JAMA 2002, 287, 1308–1320. [Google Scholar] [CrossRef]
- Kawarai, H.; Kajimoto, K.; Minami, Y.; Hagiwara, N.; Kasanuki, H. Risk of Sudden Death in End-Stage Hypertrophic Cardiomyopathy. J. Card. Fail. 2011, 17, 459–464. [Google Scholar] [CrossRef] [PubMed]
- Melacini, P.; Basso, C.; Angelini, A.; Calore, C.; Bobbo, F.; Tokajuk, B.; Bellini, N.; Smaniotto, G.; Zucchetto, M.; Iliceto, S.; et al. Clinicopathological profiles of progressive heart failure in hypertrophic cardiomyopathy. Eur. Heart J. 2010, 31, 2111–2123. [Google Scholar] [CrossRef] [PubMed]
- Roncella, A.; Pristipino, C.; Cianfrocca, C.; Scorza, S.; Pasceri, V.; Pelliccia, F.; Denollet, J.; Pedersen, S.S.; Speciale, G. One-year results of the randomized, controlled, short-term psychotherapy in acute myocardial infarction (STEP-IN-AMI) trial. Int. J. Cardiol. 2013, 170, 132–139. [Google Scholar] [CrossRef] [PubMed]
- Cecchi, F.; Olivotto, I.; Gistri, R.; Lorenzoni, R.; Chiriatti, G.; Camici, P.G. Coronary Microvascular Dysfunction and Prognosis in Hypertrophic Cardiomyopathy. N. Engl. J. Med. 2003, 349, 1027–1035. [Google Scholar] [CrossRef] [PubMed]
- Castagnoli, H.; Ferrantini, C.; Coppini, R.; Passeri, A.; Baldini, K.; Berti, V.; Cecchi, F.; Olivotto, I.; Sciagrà, R. Role of quantitative myocardial positron emission tomography for risk stratification in patients with hypertrophic cardiomyopathy: A 2016 reappraisal. Eur. J. Pediatr. 2016, 43, 2413–2422. [Google Scholar] [CrossRef]
- Olivotto, I.; Cecchi, F.; Gistri, R.; Lorenzoni, R.; Chiriatti, G.; Girolami, F.; Torricelli, F.; Camici, P.G. Relevance of Coronary Microvascular Flow Impairment to Long-Term Remodeling and Systolic Dysfunction in Hypertrophic Cardiomyopathy. J. Am. Coll. Cardiol. 2006, 47, 1043–1048. [Google Scholar] [CrossRef]
- Radvan, J.; Choudhury, L.; Sheridan, D.J.; Camici, P.G. Comparison of Coronary Vasodilator Reserve in Elite Rowing Athletes Versus Hypertrophic Cardiomyopathy. Am. J. Cardiol. 1997, 80, 1621–1623. [Google Scholar] [CrossRef]
- Chan, R.H.; Maron, B.J.; Olivotto, I.; Pencina, M.J.; Assenza, G.E.; Haas, T.; Lesser, J.R.; Gruner, C.; Crean, A.M.; Rakowski, H.; et al. Prognostic Value of Quantitative Contrast-Enhanced Cardiovascular Magnetic Resonance for the Evaluation of Sudden Death Risk in Patients With Hypertrophic Cardiomyopathy. Circulation 2014, 130, 484–495. [Google Scholar] [CrossRef]
- O’Hanlon, R.; Grasso, A.; Roughton, M.; Moon, J.C.; Clark, S.; Wage, R.; Webb, J.; Kulkarni, M.; Dawson, D.; Sulaibeekh, L.; et al. Prognostic Significance of Myocardial Fibrosis in Hypertrophic Cardiomyopathy. J. Am. Coll. Cardiol. 2010, 56, 867–874. [Google Scholar] [CrossRef]
- Adabag, A.S.; Peterson, G.; Apple, F.S.; Titus, J.; King, R.; Luepker, R.V. Etiology of sudden death in the community: Results of anatomical, metabolic, and genetic evaluation. Am. Heart J. 2010, 159, 33–39. [Google Scholar] [CrossRef]
- Lu, D.-Y.; Yalçin, H.; Yalçin, F.; Zhao, M.; Sivalokanathan, S.; Valenta, I.; Tahari, A.; Pomper, M.G.; Abraham, T.P.; Schindler, T.H.; et al. Stress Myocardial Blood Flow Heterogeneity Is a Positron Emission Tomography Biomarker of Ventricular Arrhythmias in Patients With Hypertrophic Cardiomyopathy. Am. J. Cardiol. 2018, 121, 1081–1089. [Google Scholar] [CrossRef] [PubMed]
- Pitcher, D.; Wainwright, R.; Maisey, M.; Curry, P.; Sowton, E. Assessment of chest pain in hypertrophic cardiomyopathy using exercise thallium-201 myocardial scintigraphy. Heart 1980, 44, 650–656. [Google Scholar] [CrossRef] [PubMed]
- O’Gara, P.T.; Bonow, R.O.; Maron, B.J.; Damske, B.A.; Van Lingen, A.; Bacharach, S.L.; Larson, S.M.; Epstein, S.E. Myocardial perfusion abnormalities in patients with hypertrophic cardiomyopathy: Assessment with thallium-201 emission computed tomography. Circulation 1987, 76, 1214–1223. [Google Scholar] [CrossRef]
- Elliott, P.M.; Anastasakis, A.; Borger, M.A.; Borggrefe, M.; Cecchi, F.; Charron, P.; Hagege, A.A.; Lafont, A.; Limongelli, G.; Mahrholdt, H.; et al. 2014 ESC guidelines on diagnosis and management of hypertrophic cardiomyopathy: The task force for the diagnosis and management of hypertrophic cardiomyopathy of the European Society of cardiology (ESC). Eur. Heart J. 2014, 35, 2733–2779. [Google Scholar] [PubMed]
- Weissler-Snir, A.; Allan, K.; Cunningham, K.; Connelly, K.A.; Lee, D.S.; Spears, D.A.; Rakowski, H.; Dorian, P. Hypertrophic Cardiomyopathy–Related Sudden Cardiac Death in Young People in Ontario. Circulation 2019, 140, 1706–1716. [Google Scholar] [CrossRef] [PubMed]
- Ommen, S.R.; Mital, S.; Burke, M.A.; Day, S.M.; Deswal, A.; Elliott, P.; Evanovich, L.L.; Hung, J.; Joglar, J.A.; Kantor, P.; et al. 2020 AHA/ACC guideline for the diagnosis and treatment of patients with hypertrophic cardiomyopathy: A report of the American College of Cardiology/American Heart Association Joint Committee on Clinical Practice Guidelines. Circulation 2020, 142, e558–e631. [Google Scholar]
- Arnold, J.R.; McCann, G.P. Cardiovascular magnetic resonance: Applications and practical considerations for the general cardiologist. Heart 2020, 106, 174–181. [Google Scholar] [CrossRef] [PubMed]
- Rowin, E.J.; Maron, B.J.; Haas, T.S.; Garberich, R.F.; Wang, W.; Link, M.S.; Maron, M.S. Hypertrophic cardiomyopathy with left ventricular apical aneurysm: Implications for risk stratification and management. J. Am. Coll. Cardiol. 2017, 69, 761–773. [Google Scholar] [CrossRef]
- Maron, M.S.; Rowin, E.J.; Wessler, B.; Mooney, P.J.; Fatima, A.; Patel, P.; Koethe, B.C.; Romashko, M.; Link, M.S.; Maron, B.J. Enhanced American College of Cardiology/American Heart Association Strategy for Prevention of Sudden Cardiac Death in High-Risk Patients With Hypertrophic Cardiomyopathy. JAMA Cardiol. 2019, 4, 644–657. [Google Scholar] [CrossRef]
- Migliore, F.; Pelliccia, F.; Autore, C.; Bertaglia, E.; Cecchi, F.; Curcio, A.; Bontempi, L.; Curnis, A.; De Filippo, P.; D’Onofrio, A.; et al. Subcutaneous implantable cardioverter defibrillator in cardiomyopathies and channelopathies. J. Cardiovasc. Med. 2018, 19, 633–642. [Google Scholar] [CrossRef]
- Camici, P.; Neglia, D.; Fommei, E.; Varela-Carver, A.; Mancini, M.; Ghione, S.; Lombardi, M.; Parker, H.; Damati, G.; Donato, L. Treatment of hypertension with perindopril plus indapamide leads to reverse coronary microvascular remodelling and improved blood flow: 3D.05. J. Hypertens. 2010, 28, e42. [Google Scholar] [CrossRef]
- Lanza, G.A.; Colonna, G.; Pasceri, V.; Maseri, A. Atenolol versus amlodipine versus isosorbide-5-mononitrate on anginal symptoms in syndrome X. Am. J. Cardiol. 1999, 84, 854–856. [Google Scholar] [CrossRef]
- Mehta, P.K.; Goykhman, P.; Thomson, L.E.; Shufelt, C.; Wei, J.; Yang, Y.; Gill, E.; Minissian, M.; Shaw, L.J.; Slomka, P.J.; et al. Ranolazine improves angina in women with evidence of myocardial ischemia but noobstructive coronary artery disease. JACC Cardiovasc Imaging 2011, 4, 514–522. [Google Scholar] [CrossRef] [PubMed]
- Olivotto, I.; Camici, P.G.; Merlini, P.A.; Rapezzi, C.; Patten, M.; Climent, V.; Sinagra, G.; Tomberli, B.; Marin, F.; Ehlermann, P.; et al. Efficacy of Ranolazine in Patients With Symptomatic Hypertrophic Cardiomyopathy: The RESTYLE-HCM Randomized, Double-Blind, Placebo-Controlled Study. Circ. Heart Fail. 2018, 11, e004124. [Google Scholar] [CrossRef]
- Choudhury, L.; Elliott, P.; Rimoldi, O.; Ryan, M.; Lammertsma, A.; Boyd, H.; McKenna, W.; Camici, P. Transmural myocardial blood flow distribution in hypertrophic cardiomyopathy and effect of treatment. Basic Res. Cardiol. 1999, 94, 49–59. [Google Scholar] [CrossRef]
- Marazzi, G.; Campolongo, G.; Pelliccia, F.; Calabrò, P.; Cacciotti, L.; Vitale, C.; Massaro, R.; Volterrani, M.; Rosano, G. Usefulness of Low-Dose Statin Plus Ezetimibe and/or Nutraceuticals in Patients With Coronary Artery Disease Intolerant to High-Dose Statin Treatment. Am. J. Cardiol. 2018, 123, 233–238. [Google Scholar] [CrossRef]
- Hongo, M.; Nakatsuka, T.; Takenaka, H.; Tanaka, M.; Watanabe, N.; Yazaki, Y.; Sekiguchi, M. Effects of intravenous disopyramide on coronary hemodynamics and vasodilator reserve in hypertrophic obstructive cardiomyopathy. Cardiology 1996, 87, 6–11. [Google Scholar] [CrossRef]
- Kyriakidis, M.; Triposkiadis, F.; Dernellis, J.; Androulakis, A.E.; Mellas, P.; Kelepeshis, G.A.; Gialafos, J.E. Effects of Cardiac Versus Circulatory Angiotensin-Converting Enzyme Inhibition on Left Ventricular Diastolic Function and Coronary Blood Flow in Hypertrophic Obstructive Cardiomyopathy. Circulation 1998, 97, 1342–1347. [Google Scholar] [CrossRef]
- Soliman, O.I.; Geleijnse, M.L.; Michels, M.; Dijkmans, P.A.; Nemes, A.; van Dalen, B.M.; Vletter, W.B.; Serruys, P.W.; Cate, F.J.T. Effect of Successful Alcohol Septal Ablation on Microvascular Function in Patients With Obstructive Hypertrophic Cardiomyopathy. Am. J. Cardiol. 2008, 101, 1321–1327. [Google Scholar] [CrossRef]
- Aimo, A.; Pelliccia, F.; Panichella, G.; Vergaro, G.; Barison, A.; Passino, C.; Emdin, M.; Camici, P.G. Indications of beta-adrenoceptor blockers in Takotsubo syndrome and theoretical reasons to prefer agents with vasodilating activity. Int. J. Cardiol. 2021, 333, 45–50. [Google Scholar] [CrossRef]




Publisher’s Note: MDPI stays neutral with regard to jurisdictional claims in published maps and institutional affiliations. |
© 2022 by the authors. Licensee MDPI, Basel, Switzerland. This article is an open access article distributed under the terms and conditions of the Creative Commons Attribution (CC BY) license (https://creativecommons.org/licenses/by/4.0/).
Share and Cite
Pelliccia, F.; Cecchi, F.; Olivotto, I.; Camici, P.G. Microvascular Dysfunction in Hypertrophic Cardiomyopathy. J. Clin. Med. 2022, 11, 6560. https://doi.org/10.3390/jcm11216560
Pelliccia F, Cecchi F, Olivotto I, Camici PG. Microvascular Dysfunction in Hypertrophic Cardiomyopathy. Journal of Clinical Medicine. 2022; 11(21):6560. https://doi.org/10.3390/jcm11216560
Chicago/Turabian StylePelliccia, Francesco, Franco Cecchi, Iacopo Olivotto, and Paolo G. Camici. 2022. "Microvascular Dysfunction in Hypertrophic Cardiomyopathy" Journal of Clinical Medicine 11, no. 21: 6560. https://doi.org/10.3390/jcm11216560
APA StylePelliccia, F., Cecchi, F., Olivotto, I., & Camici, P. G. (2022). Microvascular Dysfunction in Hypertrophic Cardiomyopathy. Journal of Clinical Medicine, 11(21), 6560. https://doi.org/10.3390/jcm11216560

