Susac Syndrome: Description of a Single-Centre Case Series
Abstract
1. Introduction
2. Materials and Methods
3. Results
3.1. General Characteristics
3.2. Onset of Susac Syndrome and Course of the Disease
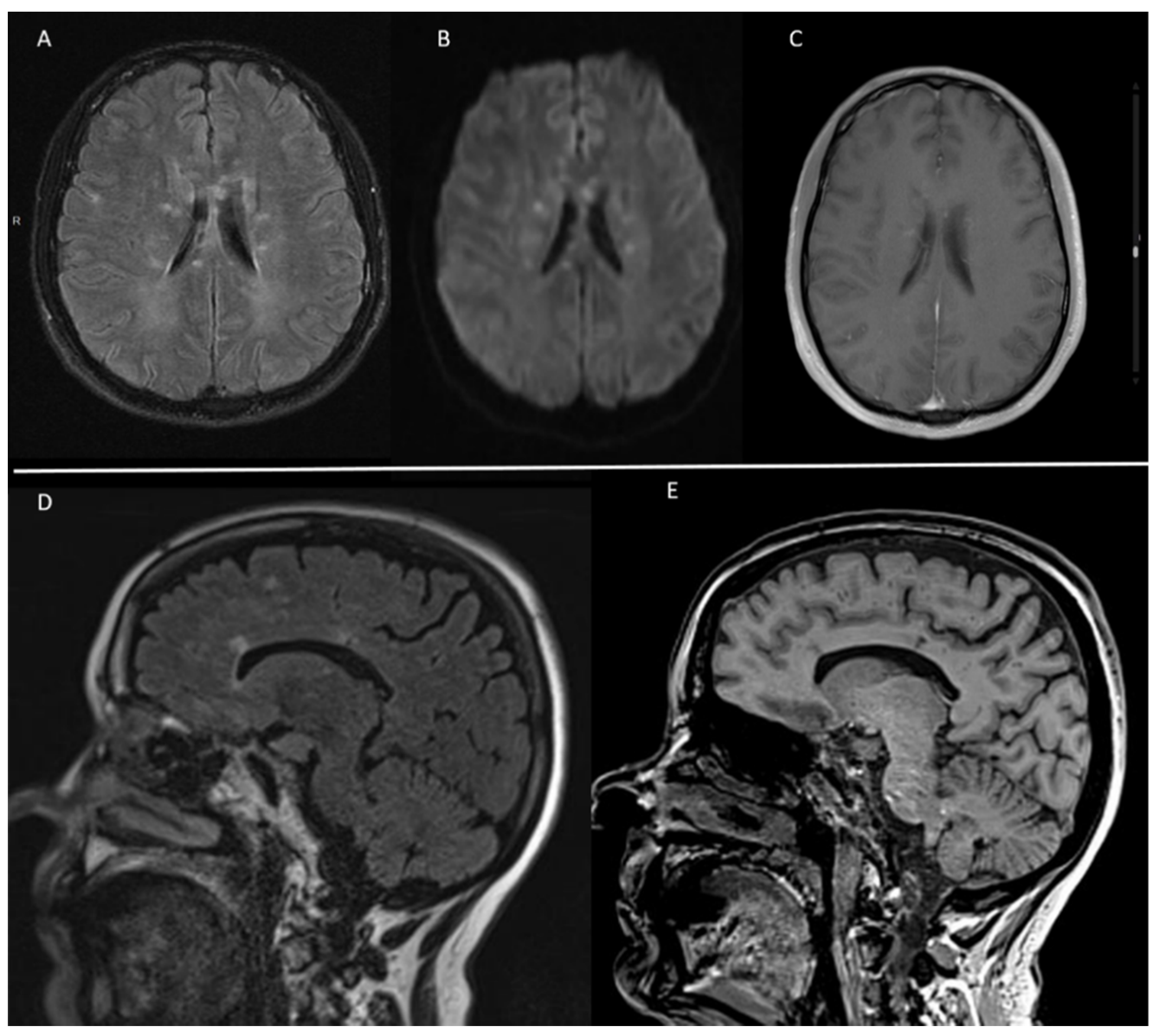
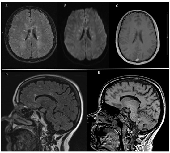
3.2.1. Neurological Characteristics
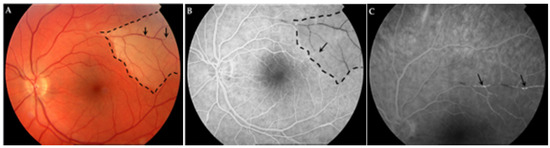
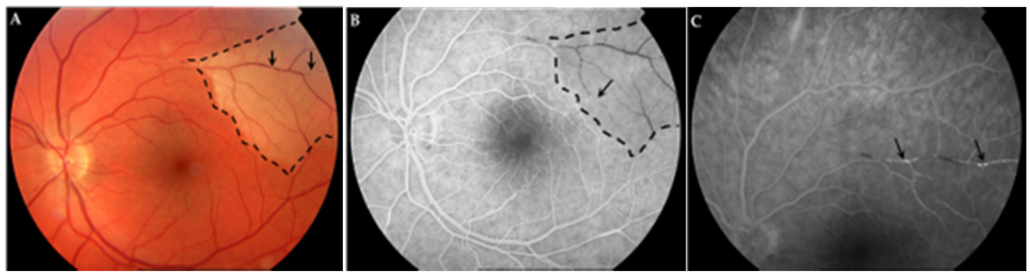
3.2.2. Ocular Characteristics
3.2.3. Ear Characteristics
3.3. Diagnostic Criteria
3.4. Laboratory Markers
3.5. Treatment
3.6. Outcome
4. Discussion
5. Conclusions
Author Contributions
Funding
Institutional Review Board Statement
Informed Consent Statement
Data Availability Statement
Conflicts of Interest
References
- García-Carrasco, M.; Mendoza-Pinto, C.; Cervera, R. Diagnosis and classification of Susac syndrome. Autoimmun. Rev. 2014, 13, 347–350. [Google Scholar] [CrossRef] [PubMed]
- Greco, A.; De Virgilio, A.; Gallo, A.; Fusconi, M.; Turchetta, R.; Tombolini, M.; Rizzo, M.I.; de Vincentiis, M. Susac’s syndrome —Pathogenesis, clinical variants and treatment approaches. Autoimmun. Rev. 2014, 13, 814–821. [Google Scholar] [CrossRef] [PubMed]
- Jarius, S.; Kleffner, I.; Dörr, J.M.; Sastre-Garriga, J.; Illes, Z.; Eggenberger, E.; Chalk, C.; Ringelstein, M.; Aktas, O.; Montalban, X.; et al. Clinical, paraclinical and serological findings in Susac syndrome: An international multicenter study. J. Neuroinflamm. 2014, 11, 46. [Google Scholar] [CrossRef] [PubMed]
- Gross, C.C.; Meyer, C.; Bhatia, U.; Yshii, L.; Kleffner, I.; Bauer, J.; Tröscher, A.R.; Schulte-Mecklenbeck, A.; Herich, S.; Schneider-Hohendorf, T.; et al. CD8+ T cell-mediated endotheliopathy is a targetable mechanism of neuro-inflammation in Susac syndrome. Nat. Commun. 2019, 10, 5779. [Google Scholar] [CrossRef] [PubMed]
- Marrodan, M.; Fiol, M.P.; Correale, J. Susac syndrome: Challenges in the diagnosis and treatment. Brain 2022, 145, 858–871. [Google Scholar] [CrossRef] [PubMed]
- Hardy, T.A.; O’Brien, B.; Gerbis, N.; Barnett, M.H.; Reddel, S.W.; Brewer, J.; Herkes, G.K.; Silberstein, P.; Garsia, R.J.; Watson, J.; et al. Brain histopathology in three cases of Susac’s syndrome: Implications for lesion pathogenesis and treatment. J. Neurol. Neurosurg. Psychiatry 2015, 86, 582–584. [Google Scholar] [CrossRef]
- Dörr, J.; Krautwald, S.; Wildemann, B.; Jarius, S.; Ringelstein, M.; Duning, T.; Aktas, O.; Ringelstein, E.B.; Paul, F.; Kleffner, I. Characteristics of Susac syndrome: A review of all reported cases. Nat. Rev. Neurol. 2013, 9, 307–316. [Google Scholar] [CrossRef]
- Mateen, F.J.; Zubkov, A.Y.; Muralidharan, R.; Fugate, J.E.; Rodriguez, F.J.; Winters, J.L.; Petty, G.W. Susac syndrome: Clinical characteristics and treatment in 29 new cases. Eur. J. Neurol. 2012, 19, 800–811. [Google Scholar] [CrossRef]
- Wilf-Yarkoni, A.; Elkayam, O.; Aizenstein, O.; Oron, Y.; Furer, V.; Zur, D.; Goldstein, M.; Barequet, D.; Hallevi, H.; Karni, A.; et al. Increased incidence of Susac syndrome: A case series study. BMC Neurol. 2020, 20, 332. [Google Scholar] [CrossRef]
- Rennebohm, R.M.; Egan, R.A.; Susac, J.O. Treatment of Susac’s syndrome. Curr. Treat. Options Neurol. 2008, 10, 67–74. [Google Scholar] [CrossRef]
- Vodopivec, I.; Venna, N.; Rizzo, J.F., 3rd; Prasad, S. Clinical features, diagnostic findings, and treatment of Susac syndrome: A case series. J. Neurol. Sci. 2015, 357, 50–57. [Google Scholar] [CrossRef] [PubMed]
- Rennebohm, R.M.; Susac, J.O. Treatment of Susac’s syndrome. J. Neurol. Sci. 2007, 257, 215–220. [Google Scholar] [CrossRef] [PubMed]
- Kleffner, I.; Dörr, J.; Ringelstein, M.; Gross, C.C.; Böckenfeld, Y.; Schwindt, W.; Sundermann, B.; Lohmann, H.; Wersching, H.; Promesberger, J.; et al. Diagnostic criteria for Susac syndrome. J. Neurol. Neurosurg. Psychiatry 2016, 87, 1287–1295. [Google Scholar] [CrossRef] [PubMed]
- van Swieten, J.C.; Koudstaal, P.J.; Visser, M.C.; Schouten, H.J.; van Gijn, J. Interobserver agreement for the assessment of handicap in stroke patients. Stroke 1988, 19, 604–607. [Google Scholar] [CrossRef] [PubMed]
- Ruiz de Morales, J.G.; Cordero-Coma, M.; Rovira, M.; Calleja-Antolin, S.; Espinosa, G.; de Las Heras, N. Autologous Hematopoietic Stem Cell Transplantation for Susac Syndrome. Ann. Intern. Med. 2020, 173, 315–317. [Google Scholar] [CrossRef]
- Karahan, S.Z.; Boz, C.; Saip, S.; Kale, N.; Demirkaya, S.; Celik, Y.; Demir, S.; Kurne, A.; Ozbek, S.E.; Terzi, M. Susac Syndrome: Clinical characteristics, diagnostic findings and treatment in 19 cases. Mult. Scler. Relat. Disord. 2019, 33, 94–99. [Google Scholar] [CrossRef]
- Triplett, J.D.; Qiu, J.; O’Brien, B.; Gopinath, S.; Trewin, B.; Spring, P.J.; Shaffi, M.; Ip, J.; Chan, F.; Chen, L.; et al. Diagnosis, differential diagnosis and misdiagnosis of Susac syndrome. Eur. J. Neurol. 2022, 29, 1771–1781. [Google Scholar] [CrossRef]
- Hantson, P.; Di Fazio, V.; Del Mar Ramirez Fernandez, M.; Samyn, N.; Duprez, T.; Van Pesch, V. Susac-Like Syndrome in a Chronic Cocaine Abuser: Could Levamisole Play a Role? J. Med Toxicol. 2015, 11, 124–128. [Google Scholar] [CrossRef]
- De Baerdemaeker, K.; Mabiglia, C.; Hantson, P.; Di Fazio, V.; Duprez, T.; Kozyreff, A.; van Pesch, V.; Sellimi, A. Acute Susac Syndrome in a Recent User of Adulterated Cocaine: Levamisole as a Triggering Factor? Case Rep. Neurol. 2020, 12, 78–83. [Google Scholar] [CrossRef]
- Vishnevskia-Dai, V.; Chapman, J.; Sheinfeld, R.; Sharon, T.; Huna-Baron, R.; Manor, R.S.; Shoenfeld, Y.; Zloto, O. Susac syndrome: Clinical characteristics, clinical classification, and long-term prognosis. Medicine 2016, 95, e5223. [Google Scholar] [CrossRef]
- Vodopivec, I.; Prasad, S. Short Follow-up Bias Confounds Estimates of the “Typical” Clinical Course of Susac Syndrome. J. Neuro Ophthalmol. 2017, 37, 149–153. [Google Scholar] [CrossRef] [PubMed]
- Belizna, C.; Duijvestijn, A.; Hamidou, M.; Tervaert, J.W.C. Antiendothelial cell antibodies in vasculitis and connective tissue disease. Ann. Rheum. Dis. 2006, 65, 1545–1550. [Google Scholar] [CrossRef] [PubMed]
- Egan, R.A. Diagnostic Criteria and Treatment Algorithm for Susac Syndrome. J. Neuro Ophthalmol. 2019, 39, 60–67. [Google Scholar] [CrossRef] [PubMed]
- Vodopivec, I.; Prasad, S. Treatment of Susac Syndrome. Curr. Treat. Options Neurol. 2016, 18, 3. [Google Scholar] [CrossRef]
- Rennebohm, R.M.; Asdaghi, N.; Srivastava, S.; Gertner, E. Guidelines for treatment of Susac syndrome—An update. Int. J. Stroke 2020, 15, 484–494. [Google Scholar] [CrossRef]


| Case 1 | Case 2 | Case 3 | Case 4 | Case 5 | Case 6 | Case 7 | Case 8 | Case 9 | |
|---|---|---|---|---|---|---|---|---|---|
| Sex | Female | Male | Male | Male | Male | Female | Male | Female | Female |
| Age at onset (years) | 19 | 27 | 23 | 46 | 33 | 30 | 59 | 54 | 37 |
| Age at diagnosis (years) | 20 | 27 | 23 | 46 | 34 | 41 | 59 | 54 | 38 |
| Diagnosis delay (months) | 12 | 5 | 1 | 0.5 | 8 | 120 | 5 | 2 | 1 |
| Organ involvement at disease onset | Complete triad | CNS and eye | Complete triad | CNS and eye | CNS and eye | Ear | CNS and eye | CNS and ear | Complete triad |
| Symptoms during evolution | Additional retinal artery thrombosis, aggravated hearing loss, and new CNS lesions | Repeated alteration of consciousness and new CNS lesions | Symptoms resolved and no relapse | Recurrent neurological symptoms | Additional ear involvement | Additional retinal artery thrombosis and decreased right cervical muscle strength | Complete triad in five months and recurrent neurological and eye involvement | Recurrent neurological symptoms | Symptoms resolved and no relapse |
| CNS manifestations | Headache, Left facial paresthesia | Headache, Impaired consciousness | Behavioral changes, Impaired consciousness, Confusion/ disorientation | Headache, Cognitive impairment, Confusion, Behavioral changes, Facial paresthesia, Gait impairment | Cognitive impairment, Impaired consciousness, Confusion, Hands paresthesia, Gait impairment | Headache, Decreased right cervical muscle strength | Headache, Cognitive impairment, Confusion/disorientation, Diplopia | Headache, Cognitive impairment, Confusion/ Disorientation, Hemimotor-hemisensitive syndrome, Paresthesias, Dysarthria, Diplopia, Ataxia | Cognitive impairment, Confusion/disorientation, Right-sided hemiparesis, Gait ataxia, Dysarthria |
| Eye manifestations | Bilateral visual loss | Blurred vision, Scotoma | Scotoma | - | Photopsias Scotomas | Visual loss of the right eye, Scotoma | Visual loss, Hemianopsia, Blurred vision | - | Blurred vision |
| Ear manifestations | Bilateral hearing loss | - | Right hearing loss | - | Bilateral hearing loss | Left hearing loss, Vertigo, Tinnitus | Left hearing loss, Vertigo | Left hearing loss | Bilateral hearing loss, Vertigo |
| Disease course | Polycyclic | Not classifiable | Monocyclic | Monocyclic | Monocyclic | Polycyclic | Monocyclic | Polycyclic | Monocyclic |
| Number of relapses | 4 | 3 | 0 | 2 | 0 | 1 | 3 | 3 | 0 |
| Organ Involvement | At Disease Presentation or During Follow-up | Organ Damage at Last Visit | |||||
|---|---|---|---|---|---|---|---|
| Patient | CNS | Eye | Ear | CNS | Eye | Ear | |
| 1 | |||||||
| 2 | |||||||
| 3 | |||||||
| 4 | |||||||
| 5 | |||||||
| 6 | |||||||
| 7 | |||||||
| 8 | |||||||
| 9 | |||||||
| Organ involvement at presentation Organ involvement during disease course Organ damage at last visit | |||||||
| Case 1 | Case 2 | Case 3 | Case 4 | Case 5 | Case 6 | Case 7 | Case 8 | Case 9 | |
|---|---|---|---|---|---|---|---|---|---|
| MRI | Callosal, periventricular, supratentorial grey matter pontine | Callosal, periventricular | Callosal, periventricular, supratentorial grey matter, basal ganglia, cerebellum, brainstem, perivascular and leptomeningeal contrast uptake | Callosal periventricular, basal ganglia | Callosal | Callosal, periventricular, subcortical cerebellum | Callosal periventricular, subcortical | Callosal, periventricular, centrum semiovale pontine, necrotic lesion on corona radiata | Callosal, periventricular, subcortical, basal ganglia, internal capsule, cerebellum |
| Visual acuity | Reduced | Reduced | Reduced | Normal | Reduced | Reduced | Reduced | Normal | Normal |
| Visual field | Altered | Altered | Altered | Altered | Altered | Altered | Altered | Normal | Not available |
| Retinal fluorescein angiography | Bilateral BRAO | Unilateral BRAO with infarction and bilateral vasculitis | Unilateral BRAO a, bilateral peripheral retinal non-perfusion | Bilateral BRAO with infarction | Bilateral peripheral retinal non-perfusion with unilateral vasculitis | Bilateral BRAO with infarction and vasculitis | Bilateral BRAO with infarction | Normal | BRAO with vasculitis |
| Audiometry | Bilateral sensorineural hearing loss | Normal | Right transmission hypoacusis | Normal | Bilateral sensorineural hearing loss | Left sensorineural hearing loss | Left sensorineural hearing loss | Bilateral sensorineural hearing loss | Bilateral sensorineural hearing loss |
| Cerebrospinal fluid | Pleocytosis | Pleocytosis, high levels of protein | Pleocytosis, high levels of protein | High levels of protein | - | Normal | High levels of protein | Normal | High levels of protein |
| Immunologic profile ANA APL ANCA AECA | 1/80 Negative Negative Negative | 1/80 aB2GPI IgM 43.3U/mL and weak LAC Negative NA | Negative Negative Negative Negative | Negative Negative Negative NA | Negative Negative Negative NA | 1/40 Negative Negative NA | Hep2 3–4 Negative Negative NA | 1/80 Negative Negative NA | Negative Negative Negative NA |
| EEG | NA | NA | Abnormal: diffuse slow background activity of frontal predominance, FIRDA type | Abnormal: generalized slowdown in bioelectric activity | NA | NA | NA | NA | NA |
| Diagnostic criteria at diagnosis | Definite SS | Probable SS | Probable SS | Probable SS | Definite SS | Definite SS | Probable SS | Probable SS | Definite SS |
| Treatment b | IV MP, oral steroids, MMF, IVIG, Cyclo, infliximab, RTX, ASA, plasma exchange, autologous hematopoietic stem cell transplantation | IV MP, oral steroids, cyclo, IVIG, ASA | IV MP, oral steroids, cyclo, ASA | IV MP, oral steroids, IVIG, ASA | IV MP, oral steroids, cyclo, ASA | IV MP, oral steroids, cyclo, IVIG, OAC, ASA | IV MP, oral steroids, cyclo, IVIG, MMF, ASA | IV MP, oral steroids, cyclo, IVIG, RTX, MMF, ASA | Oral steroids, IVIG, MMF, ASA |
| Residual damage | Headache, hemiparesis, visual deficit, and bilateral hearing loss | None | Hearing loss, visual deficit | Headache, instability | Hearing, visual and memory impairment | Hearing and visual deficit with glaucoma | None | Cognitive impairment, left lower extremity monoparesis and left hearing loss | Hearing impairment |
| Final Rankin | 1 | 0 | 1 | 1 | 1 | 1 | 0 | 2 | 3 |
| Follow-up (months) | 22 | 6 | 71 | 44 | 113 | 131 | 38 | 35 | 56 |
| Present Series | Dorr et al., 2013 [7] | Jarius et al., 2014 [3] | Karahan et al., 2019 [16] | Triplett et al., 2022 [17] | |
|---|---|---|---|---|---|
| Number of patients | 9 | 304 | 25 | 19 | 32 |
| Sex (%) | |||||
| Female | 44 | 78 | 72 | 63 | 53 |
| Male | 55 | 22 | 28 | 37 | 47 |
| Age at onset (years) | |||||
| Range | 19–59 | 8–65 | 17–56 | 19–66 | 21–61 |
| Mean or median | 36 | 32 | 28 | 33 | 37 |
| Symptoms at onset (%) | |||||
| Complete triad | 33 | 13 | 0 | 16 | 19 |
| CNS involvement | 88 | 67 | 72 | 95 | 100 |
| Eye involvement | 78 | 40 | 24 | 42 | 38 |
| Ear involvement | 56 | 37 | 20 | 42 | 63 |
| Manifestations during disease course (%) | NA | NA | |||
| Complete triad | 66 | 85 | NA | ||
| CNS involvement | 100 | 91 | 88 | ||
| Eye involvement | 89 | 97 | 96 | ||
| Ear involvement | 78 | 96 | 96 | ||
| Duration of symptoms prior to diagnosis (months) | |||||
| Range | 0.5–120 | NA | 0–126 | 0–39 | 0.5–100 |
| Mean or median | 5 | 5 | 7 | 3 | 3 |
| Length of follow-up (months) | NA | ||||
| Range | 5–131 | 1–252 | 0–204 | 0–84 | |
| Mean or median | 44 | 41 | 54 | 36 | |
| Relapsing course | NA | ||||
| % of patients | 33 | 42 | 76 | 16 | |
| Range of relapses | 1–4 | 1–10 | 1–6 | 0–1 |
Publisher’s Note: MDPI stays neutral with regard to jurisdictional claims in published maps and institutional affiliations. |
© 2022 by the authors. Licensee MDPI, Basel, Switzerland. This article is an open access article distributed under the terms and conditions of the Creative Commons Attribution (CC BY) license (https://creativecommons.org/licenses/by/4.0/).
Share and Cite
Beça, S.; Elera-Fitzcarrald, C.; Saiz, A.; Llufriu, S.; Cid, M.C.; Sanchez-Dalmau, B.; Adan, A.; Espinosa, G. Susac Syndrome: Description of a Single-Centre Case Series. J. Clin. Med. 2022, 11, 6549. https://doi.org/10.3390/jcm11216549
Beça S, Elera-Fitzcarrald C, Saiz A, Llufriu S, Cid MC, Sanchez-Dalmau B, Adan A, Espinosa G. Susac Syndrome: Description of a Single-Centre Case Series. Journal of Clinical Medicine. 2022; 11(21):6549. https://doi.org/10.3390/jcm11216549
Chicago/Turabian StyleBeça, Sara, Claudia Elera-Fitzcarrald, Albert Saiz, Sara Llufriu, Maria C. Cid, Bernardo Sanchez-Dalmau, Alfredo Adan, and Gerard Espinosa. 2022. "Susac Syndrome: Description of a Single-Centre Case Series" Journal of Clinical Medicine 11, no. 21: 6549. https://doi.org/10.3390/jcm11216549
APA StyleBeça, S., Elera-Fitzcarrald, C., Saiz, A., Llufriu, S., Cid, M. C., Sanchez-Dalmau, B., Adan, A., & Espinosa, G. (2022). Susac Syndrome: Description of a Single-Centre Case Series. Journal of Clinical Medicine, 11(21), 6549. https://doi.org/10.3390/jcm11216549

