Heart Team for Left Appendage Occlusion without the Use of Antithrombotic Therapy: The Epicardial Perspective
Abstract
1. Introduction
2. Materials and Methods
2.1. Patients Selection
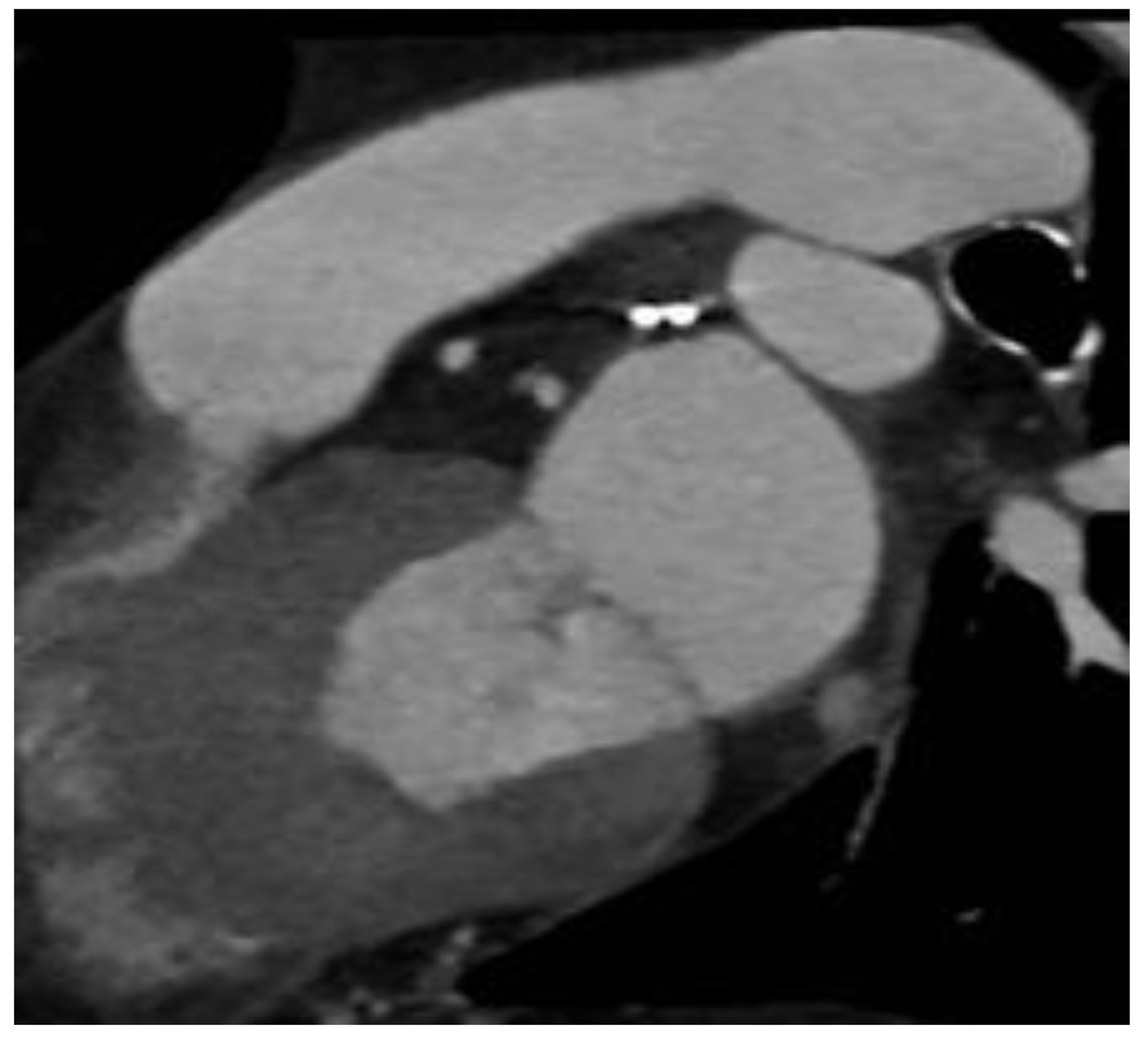
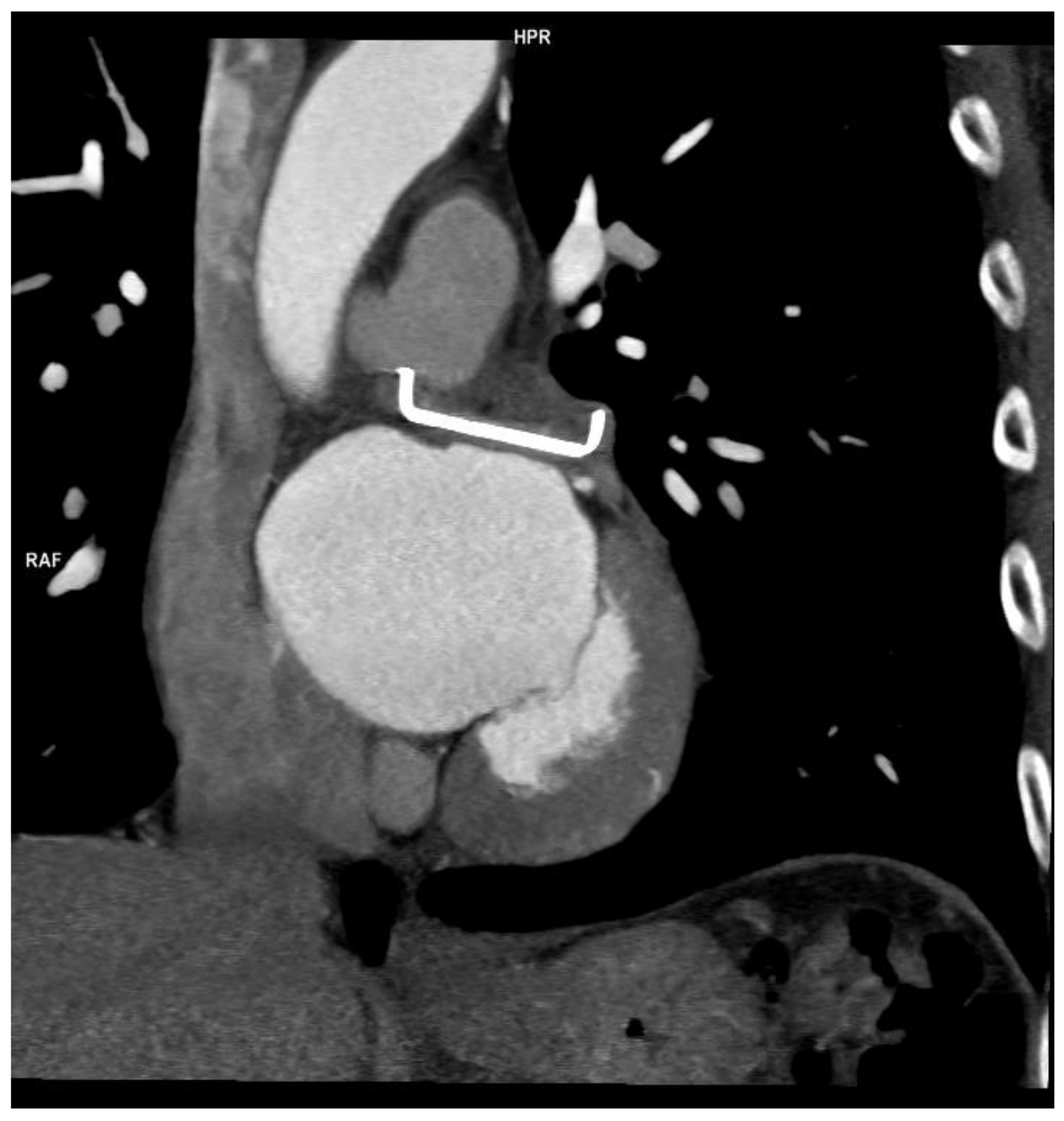
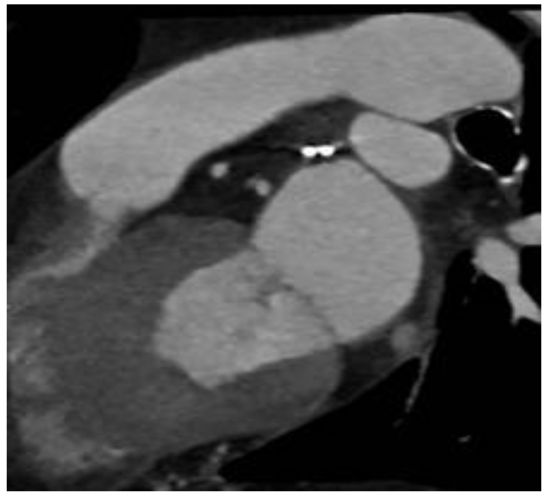
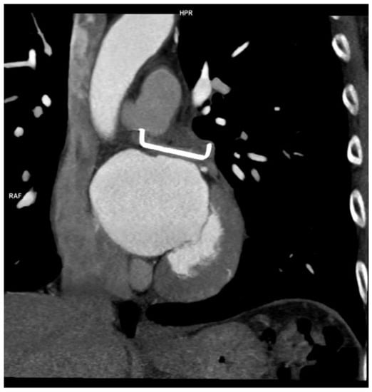
2.2. LAAO-T Procedure
2.3. Post Procedure Pharmacological Therapy
2.4. Follow up
2.5. Statistical Analysis
3. Results
3.1. Patients
3.2. Procedural Outcomes
3.3. Follow up
4. Discussion
5. Conclusions
6. Limitations
Author Contributions
Funding
Institutional Review Board Statement
Informed Consent Statement
Data Availability Statement
Acknowledgments
Conflicts of Interest
References
- Hindricks, G.; Potpara, T.; Dagres, N.; Arbelo, E.; Bax, J.; Blomstrom-Lunqvist, C.; Borian, G.; Castella, M.; Dan, G.; Dilaveris, P.; et al. 2020 ESC guidelines for the diagnosis and management of atrial fibrillation. Eur. Heart J. 2021, 42, 373–498. [Google Scholar] [CrossRef] [PubMed]
- Steinberg, B.A.; Gao, H.; Shrader, P.; Pieper, K.; Thomas, L.; Camm, A.; Ezekowitz, M.; Fonarow, G.; Gersh, B.; Goldhaber, S.; et al. International trends in clinical characteristics and oral anticoagulation treatment for patients with atrial fibrillation: Results from the GAREFIELD-AF, ORBIT-AF I, anf ORBIT AF II registries. Am. Heart J. 2017, 194, 132–140. [Google Scholar] [CrossRef] [PubMed]
- Ruff, C.; Giuliano, P.; Braunwald, E.; Hoffman, E.; Deenadayau, N.; Ezekowitz, M.; Camm, A.; Weitz, J.; Lewis, B.; Parkhomenko, A.; et al. Comparison of the efficacy and safety of new oral anticoagulants with warfarin in patients with atrial fibrillation: A meta-analysis of randomized trials. Lancet 2014, 383, 3955–3962. [Google Scholar] [CrossRef]
- Hankey, G.; Norrving, B.; Hacke, W.; Steiner, T. Management of acute stroke in patients taking novel oral anticoagulants. Lancet 2014, 9, 627–632. [Google Scholar] [CrossRef] [PubMed]
- Holmes, D.; Kar, S.; Price, M.; Whisenant, B.; Sievert, H.; Doshi, S.; Huber, K.; Reddy, V. Prospective randomized evaluation of the watchman left atrial appendage closure device in patients with atrial fibrillation versus long term warfarin therapy. J. Am. Coll. Cardiol. 2014, 8, 1–12. [Google Scholar] [CrossRef]
- Reddy, V.Y.; Sievert, H.; Halperin, J.; Doshi, S.; Buchbinder, M.; Neuzil, P.; Huber, K.; Whisenat, P.; Kar, S.; Swarup, V.; et al. PROTECT AF steering committee and Investigators. Percutaneous left atrial appendage closure vs warfarin for atrial fibrillation: A randomized clinical trial. JAMA 2014, 312, 1988–1998. [Google Scholar] [CrossRef]
- Osmancik, P.; Herman, D.; Neuzil, P.; Hala, P.; Taborsky, M.; Kala, P.; Poloczek, M.; Stasek, J.; Haman, L.; Branny, M.; et al. Left atrial appendage closure versus direct oral anticoagulants in high risk patients with atrial fibrillation. J. Am. Coll. Cardiol. 2020, 25, 3122–3135. [Google Scholar] [CrossRef]
- Turagam, M.; Osmancik, P.; Neuzil, P.; Dukkipati, S.; Reddy, V. Left atrial appendage closure versus oral anticoagulants in atrial fibrillation, A meta-analysis of randomized trials. J. Am. Coll. Cardiol. 2020, 76, 2795–2797. [Google Scholar] [CrossRef]
- Boersma, L.; Ince, H.; Kische, S.; Pokushalov, E.; Scmitz, T.; Schmidt, B.; Gori, T.; Meincke, F.; Protopopov, A.; Betts, T.; et al. Evaluating real world clinical outcomes in atrial fibrillation patients receiving the WATCHMAN left atrial appendage closure technology. Circ. Arrhythm. Electrophysiol. 2019, 12, e006841. [Google Scholar] [CrossRef]
- Hildick-Smith, D.; Landmesser, U.; Camm, J.; Diener, H.; Paul, V.; Scmidt, B.; Settergren, M.; Teiger, N.; Nielsen-Kudsk, J.; Tondo, C. Left atrial appendage occlusion with the Amplatezer Amulet device: Full results of the prospective global observational study. Eur. Heart J. 2020, 41, 2894–2901. [Google Scholar] [CrossRef]
- The ACTIVE Investigators. Effect of clopidogrel added to aspirin in patient with atrial fibrillation. N. Engl. J. Med. 2009, 360, 2066–2078. [Google Scholar] [CrossRef]
- Mc Neil, J.J.; Woods, R.; Nelson, M.; Reid, C.M.; Kirpach, B.; Wolfe, R.; Storey, E.; Shah, R.C.; Lockery, J.E.; Tonkin, A.M.; et al. Effect of Aspirin on Disability-free Survival in the Healthy Elderly. N. Engl. J. Med. 2018, 379, 1499–1508. [Google Scholar] [CrossRef]
- Asmarats, L.; Rodes-Cabau, J. Percutaneous left atrial appendage closure: Current devices and clinical outcomes. Circ. Cardiovasc. Interv. 2017, 10, e005359. [Google Scholar] [CrossRef]
- Granier, M.; Laugaudin, G.; Massin, F.; Stephane, C.; Pierre, F.W.; Cornelia, F.; Pasquie, J.-L. Occurrence of incomplete endothelization causing residual permeability after left atrial appendage closure. J. Invasive Cardiol. 2018, 30, 245–250. [Google Scholar]
- Lempereur, M.; Aminian, A.; Freixa, X.; Gafoor, S.; Kefer, J.; Tzikas, A.; Legrand, V.; Saw, J. Device-associated thrombus formation after left atrial appendage occlusion: A systematic review of events reported with the Watchman, the Amplatzer Cardiac plug and the Amulet. Catheter. Cardiovasc. Interv. 2018, 92, e216–e217. [Google Scholar] [CrossRef]
- Lakkireddy, D.; Afzal, M.R.; Lee, R.J.; Nagaraj, H.; Tschopp, D.; Gidney, B.; Ellis, C.; Altman, E.; Lee, B.; Kar, S.; et al. Short and long term outcomes of percutaneous left atrial appendage suture ligation: Results from US multicenter evaluation. Heart Rhythm. 2016, 13, 1030–1036. [Google Scholar] [CrossRef]
- Cartledge, R.; Suwalski, G.; Witkowska, A.; Gottlieb, G.; Cioci, A.; Chidiac, G.; Ilsin, B.; Merrill, B.; Suwalsky, P. Standalone epicardial left atrial appendage exclusion for thromboembolism prevention in atrial fibrillation. Interact. Cardiovasc. Thor. Surg. 2021, 34, 548–555. [Google Scholar] [CrossRef]
- Ohtsuka, T.; Nonaka, T.; Hisagi, M.; Ninomiya, N.; Masukawa, A.; Ota, T. Thoracoscopic stapler-and-loop technique for left atrial appendage closure in nonvalvular atrial fibrillation: Mid-term outcomes in 201 patients. Heart Rhythm. 2018, 15, 1314–1320. [Google Scholar] [CrossRef]
- Parikh, V.; Bartus, K.; Litwinowicz, R.; Turagam, M.; Sadowsky, J.; Kapelak, B.; Bartus, M.; Podolec, J.; Brzezinsky, M.; Musat, D.; et al. Long Term clinical outcomes from real world experience of left atrial appendage exclusion with LARIAT device. J. Cardiovasc. Electrophysiol. 2019, 30, 2849–2857. [Google Scholar] [CrossRef]
- Branzoli, S.; Guarracini, F.; Marini, M.; D’ognhia, G.; Penzo, D.; Piffer, S.; Peterlana, D.; Graffigna, A.; Gulizia, M.M.; Gelsomino, S.; et al. Heart Team for Left atrial appendage occlusion: A patient tailored approach. J. Clin. Med. 2022, 11, 176. [Google Scholar] [CrossRef]
- Branzoli, S.; Marini, M.; Guarracini, F.; Pederzolli, C.; D’onghia, G.; Centonze, M.; Pomarolli, C.; La Graffigna, A. Standalone totally thoracoscopi;55:3-81c left appendage clipping: Safe, Simple, Standardized. Ann. Thor. Surg. 2021, 111, 61–63. [Google Scholar] [CrossRef]
- Naylor, A.; Ricco, J.; de Borst, G.; Debus, S.; de Haro, J.; Halliday, A.; Hamilton, G.; Kakisis, J.; Kakkos, S.; Lepidi, S.; et al. Mangement of carotid and vertebral Artery disease. Gidelines of European society of vascular surgery. Eur. J. Vascual Endovasc. Surg. 2018, 55, 3–81. [Google Scholar] [CrossRef]
- Hackam, D.G. Optimal medical management of asymptomatic carotid stenosis. Stroke 2021, 52, 2191–2198. [Google Scholar] [CrossRef]
- Jones, W.; Williams, L.; Meschia, J. Validating the Questionnaire for Verifying stroke free status QSVS by Neurological history and examination. Stroke 2001, 32, 2232–2236. [Google Scholar] [CrossRef]
- Emmert, M.; Puippe, G.; Baumuller, S.; Alkadhi, H.; Landmesser, U.; Plass, A.; Bettex, D.; Scherman, J.; Grunenfelder, J.; Genoni, M.; et al. Safe, effective and durable epicardial left atrial appendage clip occlusion in patients with atrial fibrillation undergoing cardiac surgery: First long term results from a prospective device trial. Eur. J. Cardiothorac. Surg. 2014, 45, 126–131. [Google Scholar] [CrossRef]
- Sinard, T.; Jung, R.; Lehenbauer, K.; Piayda, K.; Pracon, R.; Jackson, G.; Flors-Umanzor, E.; Faroux, L.; Korsholm, K.; Chun, J. Predictors of device related thrombus following percutaneous left atrial appendage occlusion. J. Am. Coll. Cardiol. 2021, 78, 297–313. [Google Scholar] [CrossRef] [PubMed]
- Lip, G.Y.; Frison, L.; Halperin, J.L.; Lane, D.A. Comparative validation of a novel risk score for predicting bleeding risk in anticoagulated patients with atrial fibrillation: The HASBLED (Hypertension, Abnormal renal/liver function, Stroke, Bleeding History or predisposition, labile INR, elderly, drugs/alcohol concomitantly. J. Am. Coll. Cardiol. 2011, 2, 173–180. [Google Scholar]
- Friberg, L.; Rosenqvist, M.; Lip, G.Y. Evaluation of risk stratification schemes for ischaemic stroke and bleeding in 182678 patients with atrial fibrillation:the Swedish atrial fibrillation cohort study. Eur. Heart J. 2012, 33, 1500–1510. [Google Scholar] [CrossRef] [PubMed]
- Elmariah, S.; Doros, G.; Benavente, O.R.; Bhatt, D.; Connolly, S.; Yusuf, S.; Steinhubl, S.; Liu, Y.; Hsieh, W.; Yeh, R. Impact of clopidrogel therapy on mortality and cancer in patients with cardiovascular and cerebrovascular disease: A patient-level meta-analysis. Circ. Cardiovasc. Interv. 2018, 11, e005795. [Google Scholar] [CrossRef]
- Xu, Y.; Shoamenesh, A.; Sculman, S.; Dowlatshahi, D.; Salman, R.A.S.; Moldovan, I.; Wells, P.; Alkheraif, F. Oral anticoagulant re-initiation following intracerebral hemorrhage in non valvular atrial fibrillation: Global survey of the practices of neurologists, neurosurgeons and thrombosis expert. PLoS ONE 2018, 13, e0191137. [Google Scholar]
- Saperas, E.; Videla, S.; Dot, J.; Bayarri, C.; Lobo, B.; Abu-Subho, M.; Malagelada, J. Risk factors for recurrence of acute gastrointestinal bleeding form angiodysplasia. Eur. J. Gastroenterol. Hepatol. 2009, 21, 1333–1339. [Google Scholar] [CrossRef]
- Armengol, J. Anticoagulant treatment due to increased bleeding risk are common and have a high risk of stroke. J. Am. Coll. Cardiol. 2017, 12, 1369–1376. [Google Scholar]
- Perino, A.; Kaiser, D.; Lee, R.; Fan, J.; Askari, M.; Schmitt, S.; Turakia, M. Incidence and outcomes of patients with atrial fibrillation and major bleeding complications: From the TREART-AF study. J. Card. Electrophysiol. 2021, 62, 133–142. [Google Scholar] [CrossRef]
- Blackshear, J.L.; Odell, J.A. Appendage obliteration to reduce stroke in cardiac surgical patients with atrial fibrillation. Ann. Thorac. Surg. 1996, 61, 755–759. [Google Scholar] [CrossRef]
- Wunderlich, N.; Beigel, R.; Swaans, M.; Ho, S.; Siegel, R. Percutaneous Interventions for left atrial appendage exclusion: Options, assessment, and imaging using 2D and 3D Echocardiography. JACC Cardivasc. Imaging 2015, 8, 472–488. [Google Scholar] [CrossRef]
- Li, X.; Wen, S.N.; Li, S.N.; Bai, R.; Liu, N.; Feng, L.; Ruan, Y.; Du, X.; Dong, J.; Ma, C. Over 1 year efficacy and safety of left atrial appendage occlusion versus novel oral anticoagulants for stroke prevention in atrial fibrillation: A systematic review and meta-analysis of randomized controlled trials and observational studies. Heart Rhythm 2016, 13, 1203–1214. [Google Scholar] [CrossRef]
- Lee, R.; Vassallo, P.; Kruse, J.; Malaisrie, S.; Rigolin, V.; Andrei, A.; McCarthy, P. A randomized, prospective pilot comparison of 3 atrial appendage elimination techniques:internal ligation, stapled excision, and surgical excision. J. Thorac. Cardiovasc. Surg. 2016, 152, 1075–1080. [Google Scholar] [CrossRef]
- Gunda, S.; Reddy, M.; Nath, J.; Nagarj, H.; Atoui, M.; Rasek, A.; Ellis, C.; Badhwar, N.; Lee, R.; Dibiase, L.; et al. Impact of periprocedural management in patients undergoing a left atrial appendage ligation using lariat. J. Cardiovasc. Electrophysiol. 2016, 1, 60–64. [Google Scholar] [CrossRef]
- Caliskan, E.; Eberhard, M.; Alkadhi, V.F.H.; Emmert, M. Incidence and characteristics of left atrial appendage stumps after device-enabled epicardial closure. Interact. Cardiovasc. Thorac. Surg. 2019, 29, 663–669. [Google Scholar] [CrossRef]
- Litwinowicz, R.; Bartus, M.; Burysz, M.; Brzezinky, M.; Swalsky, P.; Kapelak, B.; Vuddanda, V.; Lakkireddy, D.; Lee, R.; Trabka, R.; et al. Long term outcomes after left atrial appendage closure with LARIAT device-Stroke risk reduction over five years follow up. PLoS ONE 2018, 13, e0208710. [Google Scholar] [CrossRef]
- Tilz, R.; Fink, T.; Bartus, K.; Wong, T.; Volger, J.; Netwich, K.; Panniker, S.; Fang, Q.; Piorkowsky, C.; Liosis, S.; et al. A collective European experience with left atrial appendage suture ligation using the lariat device. Europace 2020, 22, 924–931. [Google Scholar] [CrossRef] [PubMed]
- Srivastava, M.C.; See, V.Y.; Dawood, M.Y.; Price, M. A review of the LARIAT device: Insight from the cumulative experience. Spingerplus 2015, 4, 522. [Google Scholar] [CrossRef]
- Lempereur, M.; Aminian, A.; Freixa, X.; Gafoor, S.; Shakir, S.; Omran, H.; Beri, S.; Santoro, G.; Kefer, J.; Landmesser, U.; et al. Left atrial appendage occlusion in patients with atrial fibrillation and previous major gastrointestinal bleeding (from the Amplatzer cardiac plug multicenter registry). Am. J. Cardiol. 2017, 120, 414–420. [Google Scholar] [CrossRef] [PubMed]
- Hallas, J.; Dall, M.; Andries, A.; Andersen, B.; Aalikke, C.; Hansen, J.; Andersen, M.; Lassen, A. Use of single and combined antithrombotic therapy and risk of serious upper gastrointestinal bleeding: Population based case control study. BMJ 2006, 33, 726. [Google Scholar] [CrossRef] [PubMed]
- Nikura, R.; Nagata, N.; Yamada, A.; Akiyama, J.; Shimbo, T.; Uemura, N. Recurrence of colonic diverticular bleeding and associated risk factors. Colorectal. Dis. 2021, 14, 302–305. [Google Scholar] [CrossRef]
- Caliskan, E.; Sahin, A.; Yilmaz, M.; Seifert, B.; Hinzpeter, R.; Alkadhi, K.; Cox, J.; Holubec, T.; Reser, D.; Falk, V.; et al. Epicardial left atrial appendage Atriclip occlusion reduces the incidence of stroke in patients with atrial fibrillation undergoing cardiac surgery. Europace 2017, 104, 127–132. [Google Scholar] [CrossRef]
- Salzberg, S.; Grunenfelder, J.; Emmert, M. Left atrial appendage closure to prevent stroke in patients with atrial fibrillation: A call for the heart team approach. Europace 2015, 17, 1880–1881. [Google Scholar] [CrossRef][Green Version]
- Kany, S.; Metzner, A.; Lubos, E.; Kirchof, P. The atrial fibrillation heart team guiding therapy in left atrial appendage occlusion with increasingly complex patients and little evidence. Eur. Heart J. 2021, 43, 1691–1692. [Google Scholar] [CrossRef]
- Pillarisetti, J.; Reddy, Y.; Gunda, S.; Swarup, V.; Lee, R.; Rasekh, H.; Horton, R.; Massumi, A.; Cheng, J.; Barus, K.; et al. Endocardial (watchman) vs epicardial (lariat) left atrial appendage exclusion devices: Understanding the differences in the location and type of leaks and their clinical implications. Heart Rhythm 2015, 12, 1501–1507. [Google Scholar] [CrossRef]





| Characteristics | (n/N,%) |
|---|---|
| Male gender (n/N) | 119/180 (66.1%) |
| Age (Years) mean ± SD | 76.1 ± 7.4 |
| CHA2DS2VASc mean ± SD | 5.3 ± 1.6 |
| HASBLED mean ± SD | 3.8 ± 1.1 |
| <3 (%) | (12.4) |
| 3–5(%) | (79.7) |
| >5 (%) | (7.9) |
|
Ejection fraction mean (%) Ejection fraction <40% Renal function n/N Cr Cl< 30 n/N Cr Cl 30–50 n/N Dialysis n/N | 51.7 ± 8.3 16/180 (8.8) 23/180 47/180 3/180 |
| Cr Cl > 50 | 107/180 |
| Carotid Doppler Ultrasound (stenosis%) | |
| bilateral <50 | 160/180 |
| monolateral 50–70 | 16/180 |
| at least one > 70 | 4/180 |
| Previous SARS-CoV-2 n/N (%) | 12/180 (6.6) |
| Previous cardiac surgery n/N (%) | 4/180 (2.2) |
| Previous Stroke n/N (%) | 71/180 (40) |
| Previous stroke in (N)OACs | 20/180 (11.1) |
| Cerebral Hemorrhage n/N (%) | 84/180 (46.6) |
| Subdural n/N (%) Intraparenchimal n/N (%) Deg Cerebral Amyloid n/N (%) cAVM n/ N(%) Angiomas/cavernomas n/N (%) | 25 (13.8) 20 (11.1) 19 (10.5) 13 (7.2) 4 (2.2) |
| Aneurisms | 5 (2.7) |
| Miscellaneous | 27/180 (15) |
| Hemathologic disease | 11 (6.2) |
| Rendu Osler Weber syndrome | 7 (4) |
| Others | 9 (3.4) |
| GI Bleeding n/N (%) | 60/180 (33.3) |
| Anatomy unsuitable for endovascular device n/N (%) | 10/180 (5.5) |
| Total | 180 |
| Variable | |
|---|---|
| Duration of operation (min) m ± SD | 30.7 ± 16.6 |
| Hospital stay (days) m ± SD | 3.2 ± 0.9 |
| Post procedure antithrombotic therapy n/N | |
| SAPT | 4/150 |
| None | 146/150 |
| Pericarditis | 7/150 |
Publisher’s Note: MDPI stays neutral with regard to jurisdictional claims in published maps and institutional affiliations. |
© 2022 by the authors. Licensee MDPI, Basel, Switzerland. This article is an open access article distributed under the terms and conditions of the Creative Commons Attribution (CC BY) license (https://creativecommons.org/licenses/by/4.0/).
Share and Cite
Branzoli, S.; Guarracini, F.; Marini, M.; D’Onghia, G.; Catanzariti, D.; Merola, E.; Annicchiarico, L.; Casagranda, G.; Stegagno, C.; Fantinel, M.; et al. Heart Team for Left Appendage Occlusion without the Use of Antithrombotic Therapy: The Epicardial Perspective. J. Clin. Med. 2022, 11, 6492. https://doi.org/10.3390/jcm11216492
Branzoli S, Guarracini F, Marini M, D’Onghia G, Catanzariti D, Merola E, Annicchiarico L, Casagranda G, Stegagno C, Fantinel M, et al. Heart Team for Left Appendage Occlusion without the Use of Antithrombotic Therapy: The Epicardial Perspective. Journal of Clinical Medicine. 2022; 11(21):6492. https://doi.org/10.3390/jcm11216492
Chicago/Turabian StyleBranzoli, Stefano, Fabrizio Guarracini, Massimiliano Marini, Giovanni D’Onghia, Domenico Catanzariti, Elettra Merola, Luciano Annicchiarico, Giulia Casagranda, Chiara Stegagno, Mauro Fantinel, and et al. 2022. "Heart Team for Left Appendage Occlusion without the Use of Antithrombotic Therapy: The Epicardial Perspective" Journal of Clinical Medicine 11, no. 21: 6492. https://doi.org/10.3390/jcm11216492
APA StyleBranzoli, S., Guarracini, F., Marini, M., D’Onghia, G., Catanzariti, D., Merola, E., Annicchiarico, L., Casagranda, G., Stegagno, C., Fantinel, M., & La Meir, M. (2022). Heart Team for Left Appendage Occlusion without the Use of Antithrombotic Therapy: The Epicardial Perspective. Journal of Clinical Medicine, 11(21), 6492. https://doi.org/10.3390/jcm11216492

