Histopathological Evaluation of the Healing Process of Standardized Skin Burns in Rabbits: Assessment of a Natural Product with Honey and Essential Oils
Abstract
1. Introduction
2. Materials and Methods
2.1. Commercial Creames and Composite Preparation
2.2. Composite Preparation
2.3. Experimental Design
2.4. Histopathological Investigation
2.5. Morphometery
2.6. Statistic Analysis
3. Results
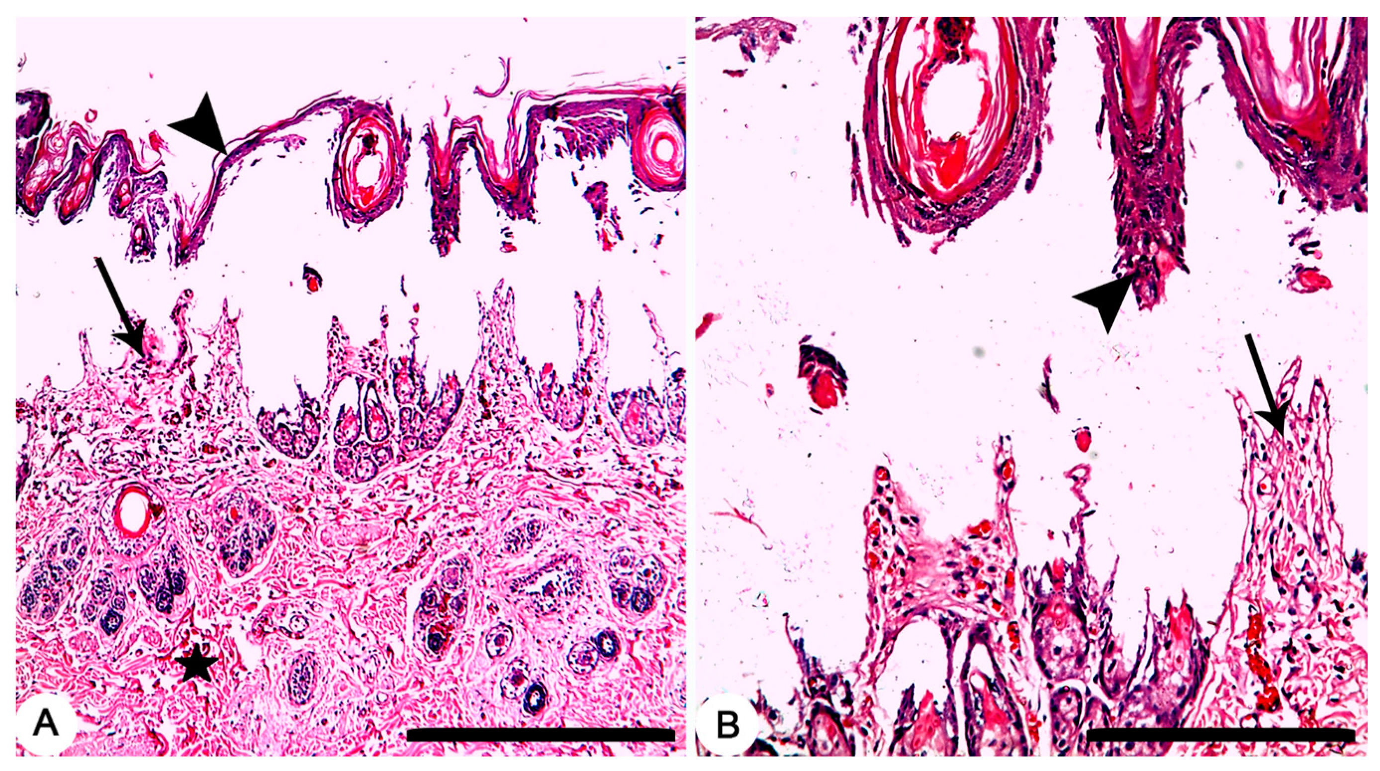
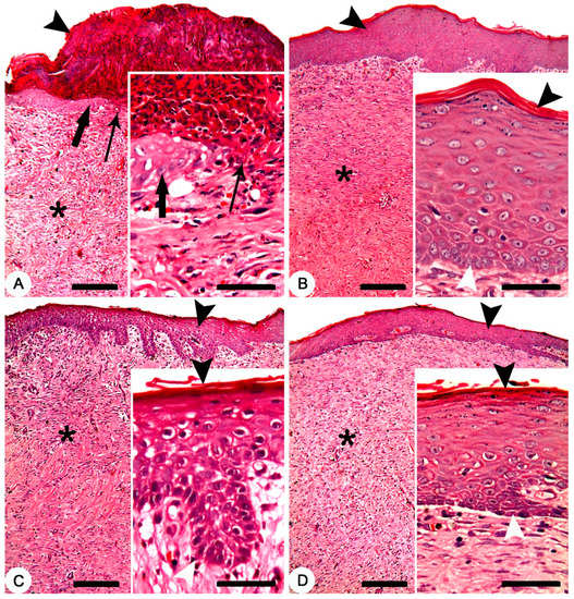
3.1. Pathological Evaluation of Skin Burns at the First Day of Induction
3.2. Pathological Evaluation of Skin Burns at the End of the Experiment
3.3. Morphometric Analysis
4. Discussion
5. Conclusions
Author Contributions
Funding
Institutional Review Board Statement
Informed Consent Statement
Data Availability Statement
Acknowledgments
Conflicts of Interest
References
- Forjuoh, S.N. Burns in low- and middle-income countries: A review of available literature on descriptive epidemiology, risk factors, treatment, and prevention. Burns 2006, 32, 529–537. [Google Scholar] [CrossRef] [PubMed]
- Peck, M.D.; Kruger, G.E.; van der Merwe, A.E.; Godakumbura, W.; Ahuja, R.B. Burns and fires from non-electric domestic appliances in low and middle income countries: Part I. The scope of the problem. Burns 2008, 34, 303–311. [Google Scholar] [CrossRef]
- World Health Organization. Burns. 2018. Available online: https://www.who.int/news-room/fact-sheets/detail/burns (accessed on 15 May 2022).
- Mssillou, I.; Agour, A.; Slighoua, M.; Chebaibi, M.; Amrati, F.E.; Alshawwa, S.Z.; Kamaly, O.A.; El Moussaoui, A.; Lyoussi, B.; Derwich, E. Ointment-based vombination of Dittrichia viscosa L. and Marrubium vulgare L. accelerate burn wound healing. Pharmaceuticals 2022, 15, 289. [Google Scholar] [CrossRef] [PubMed]
- Pavletic, M.M.; Trout, N.J. Bullet, bite, and burn wounds in dogs and cats. Vet. Clin. Small Anim. Pract. 2006, 36, 873–893. [Google Scholar] [CrossRef]
- Schwartz, S.L.; Schick, A.E.; Lewis, T.P.; Loeffler, D. Dorsal thermal necrosis in dogs: Aretrospective analysis of 16 cases in the southwestern USA (2009–2016). Vet. Dermatol. 2018, 29, 139-e155. [Google Scholar] [CrossRef]
- Alshehabat, M.; Hananeh, W.; Ismail, Z.B.; Rmilah, S.A.; Abeeleh, M.A. Wound healing in immunocompromised dogs: A comparison between the healing effects of moist exposed burn ointment and honey. Vet. World 2020, 13, 2793–2797. [Google Scholar] [CrossRef]
- Przadka, P.; Kuberka, M.; Skrzypczak, P.; Kielbowicz, Z. Healing of a large skin defect in a dog with concurrent ozonated olive oil application. J. Small Anim. Pract. 2022, 63, 42. [Google Scholar] [CrossRef] [PubMed]
- Jeschke, M.G.; van Baar, M.E.; Choudhry, M.A.; Chung, K.K.; Gibran, N.S.; Logsetty, S. Burn injury. Nat. Rev. Dis. Primers 2020, 6, 11. [Google Scholar] [CrossRef]
- Heidari, M.; Bahramsoltani, R.; Abdolghaffari, A.H.; Rahimi, R.; Esfandyari, M.; Baeeri, M.; Hassanzadeh, G.; Abdollahi, M.; Farzaei, M.H. Efficacy of topical application of standardized extract of Tragopogon graminifolius in the healing process of experimental burn wounds. J. Tradit. Complement. Med. 2019, 9, 54–59. [Google Scholar] [CrossRef]
- Van Yperen, D.T.; van Lieshout, E.M.M.; Nugteren, L.H.T.; Plaisier, A.C.; Verhofstad, M.H.J.; van der Vlies, C.H. Adherence to the emergency management of severe burns referral criteria in burn patients admitted to a hospital with or without a specialized burn center. Burns 2021, 47, 1810–1817. [Google Scholar] [CrossRef]
- Arturson, G. Pathophysiology of the burn wound and pharmacological treatment. The Rudi Hermans Lecture, 1995. Burns 1996, 22, 255–274. [Google Scholar] [CrossRef]
- Hargis, A.; Lewis, T. Full-thickness cutaneous burn in black-haired skin on the dorsum of the body of a Dalmation puppy. Vet. Dermatol. 1999, 10, 39–42. [Google Scholar] [CrossRef] [PubMed]
- Sumner, J.P.; Pucheu-Haston, C.M.; Fowlkes, N.; Merchant, S. Dorsal skin necrosis secondary to a solar-induced thermal burn in a brown-coated dachshund. Can. Vet. J. 2016, 57, 305–308. [Google Scholar] [PubMed]
- Magnusson, B.M.; Walters, K.A.; Roberts, M.S. Veterinary drug delivery: Potential for skin penetration enhancement. Adv. Drug Deliv. Rev. 2001, 50, 205–227. [Google Scholar] [CrossRef]
- Thomas, G.W.; Rael, L.T.; Bar-Or, R.; Shimonkevitz, R.; Mains, C.W.; Slone, D.S.; Craun, M.L.; Bar-Or, D. Mechanisms of delayed wound healing by commonly used antiseptics. J. Trauma Acute Care Surg. 2009, 66, 82–91. [Google Scholar] [CrossRef]
- Gupta, A.; Upadhyay, N.K.; Sawhney, R.; Kumar, R. A poly-herbal formulation accelerates normal and impaired diabetic wound healing. Wound Repair Regen. 2008, 16, 784–790. [Google Scholar] [CrossRef]
- Bulut, S.P.; Gurbuzel, M.; Karabela, S.N.; Pence, H.H.; Aksaray, S.; Topal, U. The investigation of biochemical and microbiological properties of four different honey types produced in turkey and the comparison of their effects with silver sulfadiazine on wound healing in a rat model of burn injury. Niger. J. Clin. Pract. 2021, 24, 1694–1705. [Google Scholar] [CrossRef]
- De Macedo, L.M.; Santos, E.M.D.; Militao, L.; Tundisi, L.L.; Ataide, J.A.; Souto, E.B.; Mazzola, P.G. Rosemary (Rosmarinus officinalis L., syn Salvia rosmarinus Spenn.) and its topical applications: A review. Plants 2020, 9, 651. [Google Scholar] [CrossRef]
- Kazemian, H.; Ghafourian, S.; Sadeghifard, N.; Houshmandfar, R.; Badakhsh, B.; Taji, A.; Shavalipour, A.; Mohebi, R.; Ebrahim-Saraie, H.S.; Houri, H.; et al. In vivo antibacterial and wound healing activities of Roman Chamomile (Chamaemelum nobile). Infect. Disord. Drug Targets 2018, 18, 41–45. [Google Scholar] [CrossRef]
- Anis, A.; Sharshar, A.; Hanbally, S.E.; Sadek, Y. A novel organic composite accelerates wound healing: Experimental and clinical study in equine. J. Equine Vet. Sci. 2021, 99, 103406. [Google Scholar] [CrossRef]
- Vaghardoost, R.; Mousavi Majd, S.G.; Tebyanian, H.; Babavalian, H.; Malaei, L.; Niazi, M.; Javdani, A. The healing fffect of sesame oil, camphor and honey on second degree burn wounds in Rat. World J. Plast. Surg. 2018, 7, 67–71. [Google Scholar] [PubMed]
- Auh, J.H.; Madhavan, J. Protective effect of a mixture of marigold and rosemary extracts on UV-induced photoaging in mice. Biomed. Pharm. 2021, 135, 111178. [Google Scholar] [CrossRef] [PubMed]
- Nakagawa, S.; Hillebrand, G.G.; Nunez, G. Rosmarinus officinalis L. (Rosemary) extracts containing carnosic acid and carnosol are potent quorum sensing inhibitors of Staphylococcus aureus virulence. Antibiotics 2020, 9, 149. [Google Scholar] [CrossRef] [PubMed]
- Sanchez-Marzo, N.; Perez-Sanchez, A.; Barrajon-Catalan, E.; Castillo, J.; Herranz-Lopez, M.; Micol, V. Rosemary diterpenes and flavanone aglycones provide improved genoprotection against UV-dnduced DNA damage in a human skin cell model. Antioxidants 2020, 9, 255. [Google Scholar] [CrossRef] [PubMed]
- Pazyar, N.; Yaghoobi, R.; Rafiee, E.; Mehrabian, A.; Feily, A. Skin wound healing and phytomedicine: A review. Ski. Pharmacol. Physiol. 2014, 27, 303–310. [Google Scholar] [CrossRef] [PubMed]
- Ariffin, N.H.M.; Hasham, R. Potential dermatological application on Asian plants. Biotechnol. Bioprocess Eng. 2016, 21, 337–354. [Google Scholar] [CrossRef]
- Ojeda-Sana, A.M.; van Baren, C.M.; Elechosa, M.A.; Juárez, M.A.; Moreno, S. New insights into antibacterial and antioxidant activities of rosemary essential oils and their main components. Food Control 2013, 31, 189–195. [Google Scholar] [CrossRef]
- Fernández-Ochoa, Á.; Borras-Linares, I.; Pérez-Sánchez, A.; Barrajón-Catalán, E.; Gonzalez-Alvarez, I.; Arráez-Román, D.; Micol, V.; Segura-Carretero, A. Phenolic compounds in rosemary as potential source of bioactive compounds against colorectal cancer: In situ absorption and metabolism study. J. Funct. Foods 2017, 33, 202–210. [Google Scholar] [CrossRef]
- O’G’Li, F.J.S. Chamomile: A herbal medicine of the past with bright future. Eur. Int. J. Multidiscip. Res. Manag. Stud. 2022, 2, 251–254. [Google Scholar]
- Marderosian, A.D.; Liberti, L.E.; Krikorian, A.D. Natural product medicine: A scientific guide to foods, drugs, cosmetics. Q. Rev. Biol. 1989, 64, 106–107. Available online: https://www.journals.uchicago.edu/doi/abs/10.1086/416216 (accessed on 31 May 2022).
- Thornfeldt, C. Cosmeceuticals containing herbs: Fact, fiction, and future. Dermatol. Surg. 2005, 31, 873–881. [Google Scholar] [CrossRef] [PubMed]
- Garbuio, D.C.; Ribeiro, V.D.S.; Hamamura, A.C.; Faustino, A.; Freitas, L.A.P.; Viani, G.; Carvalho, E.C. A Chitosan-coated chamomile microparticles formulation to prevent radiodermatitis in breast: A double-blinded, controlled, randomized, Phase II clinical trial. Am. J. Clin. Oncol. 2022, 45, 183–189. [Google Scholar] [CrossRef] [PubMed]
- Ferreira, E.B.; Ciol, M.A.; de Meneses, A.G.; Bontempo, P.S.M.; Hoffman, J.M.; Reis, P. Chamomile gel versus urea cream to prevent acute radiation dermatitis in head and neck cancer patients: Results from a preliminary clinical trial. Integr. Cancer 2020, 19, 1534735420962174. [Google Scholar] [CrossRef] [PubMed]
- Ogawa, T.; Ishitsuka, Y.; Nakamura, Y.; Okiyama, N.; Watanabe, R.; Fujisawa, Y.; Fujimoto, M. Honey and chamomile activate keratinocyte antioxidative responses via the KEAP1/NRF2 system. Clin. Cosmet. Investig. Derm. 2020, 13, 657–660. [Google Scholar] [CrossRef]
- El-Salamouni, N.S.; Ali, M.M.; Abdelhady, S.A.; Kandil, L.S.; Elbatouti, G.A.; Farid, R.M. Evaluation of chamomile oil and nanoemulgels as a promising treatment option for atopic dermatitis induced in rats. Expert Opin. Drug Deliv. 2020, 17, 111–122. [Google Scholar] [CrossRef]
- Ebrahimpour, N.; Mehrabani, M.; Iranpour, M.; Kordestani, Z.; Mehrabani, M.; Nematollahi, M.H.; Asadipour, A.; Raeiszadeh, M.; Mehrbani, M. The efficacy of a traditional medicine preparation on second-degree burn wounds in rats. J. Ethnopharmacol. 2020, 252, 112570. [Google Scholar] [CrossRef]
- Saporito, F.; Sandri, G.; Bonferoni, M.C.; Rossi, S.; Boselli, C.; Icaro Cornaglia, A.; Mannucci, B.; Grisoli, P.; Vigani, B.; Ferrari, F. Essential oil-loaded lipid nanoparticles for wound healing. Int. J. Nanomed. 2018, 13, 175–186. [Google Scholar] [CrossRef]
- Bayir, Y.; Un, H.; Ugan, R.A.; Akpinar, E.; Cadirci, E.; Calik, I.; Halici, Z. The effects of beeswax, olive oil and butter impregnated bandage on burn wound healing. Burns 2019, 45, 1410–1417. [Google Scholar] [CrossRef]
- Gupta, E. β-Sitosterol: Predominant phytosterol of therapeutic potential. In Innovations in Food Technology; Springer: Singapore, 2020; pp. 465–477. [Google Scholar]
- Solt Kirca, A.; Kanza Gul, D. Effects of olive oil on Striae Gravidarum in primiparous women: A randomized controlled clinical study. Altern. Health Med. 2022, 28, 34–39. [Google Scholar]
- Shalaby, K. Effect of olive oil acidity on skin delivery of diclofenac: In vitro evaluation and ex vivo skin permeability studies. J. Biomed. Nanotechnol. 2022, 18, 234–242. [Google Scholar] [CrossRef]
- Massoud, D.; Fouda, M.M.A.; Sarhan, M.; Salama, S.G.; Khalifa, H.S. Topical application of aloe gel and/or olive oil combination promotes the wound healing properties of streptozotocin-induced diabetic rats. Environ. Sci. Pollut. Res. Int. 2022, 29, 59727–59735. [Google Scholar] [CrossRef] [PubMed]
- Gul, U.; Khan, M.I.; Madni, A.; Sohail, M.F.; Rehman, M.; Rasul, A.; Peltonen, L. Olive oil and clove oil-based nanoemulsion for topical delivery of terbinafine hydrochloride: In vitro and ex vivo evaluation. Drug Deliv. 2022, 29, 600–612. [Google Scholar] [CrossRef] [PubMed]
- Donato-Trancoso, A.; Correa Atella, G.; Romana-Souza, B. Dietary olive oil intake aggravates psoriatic skin inflammation in mice via Nrf2 activation and polyunsaturated fatty acid imbalance. Int. Immunopharmacol. 2022, 108, 108851. [Google Scholar] [CrossRef] [PubMed]
- Baptista, S.; Pereira, J.R.; Gil, C.V.; Torres, C.A.V.; Reis, M.A.M.; Freitas, F. Development of olive oil and alpha-tocopherol containing emulsions stabilized by FucoPol: Rheological and textural analyses. Polymers 2022, 14, 2349. [Google Scholar] [CrossRef]
- Alnemer, F.; Aljohani, R.; Alajlan, A.; Aljohani, M.; Alozaib, I.; Masuadi, E.; Omair, A.; Al Jasser, M.I. The use of olive oil for skin health in a Saudi population: A cross-sectional study. Derm. Rep. 2022, 14, 9364. [Google Scholar] [CrossRef]
- Oguntoye, C.; Oke, B. A comparison of xylazine/ketamine, diazepam/ketamine and acepromazine/ketamine anaesthesia in rabbit. Sokoto J. Vet. Sci. 2014, 12, 21–25. [Google Scholar] [CrossRef]
- Knabl, J.S.; Bayer, G.S.; Bauer, W.A.; Schwendenwein, I.; Dado, P.F.; Kucher, C.; Horvat, R.; Turkof, E.; Schossmann, B.; Meissl, G. Controlled partial skin thickness burns: An animal model for studies of burnwound progression. Burns 1999, 25, 229–235. [Google Scholar] [CrossRef]
- Monaretti, G.L.; Costa, M.C.F.; Rocha, L.B.; Cintra, M.M.M.; da Cunha, M.T.R.; Pinheiro, N.M.; Noites, A.; Mendonca, A.C. Effect of capacitive radiofrequency on the dermis of the abdominal region. Lasers Med. Sci. 2022, 37, 619–625. [Google Scholar] [CrossRef]
- Hammam, W.E.; Gad, A.M.; Gad, M.K.; Kirollos, F.N.; Yassin, N.A.; Tantawi, M.E.E.; El Hawary, S.S.E. Pyrus communis L. (Pear) and Malus domestica Borkh. (apple) leaves lipoidal extracts as sources for beta-sitosterol rich formulae and their wound healing evaluation. Nat. Prod. Res. online ahead of print. 2022. [Google Scholar] [CrossRef]
- Moni, S.S.; Tripathi, P.; Sultan, M.H.; Alshahrani, S.; Alqahtani, S.S.; Madkhali, O.A.; Bakkari, M.A.; Pancholi, S.S.; Elmobark, M.E.; Jabeen, A.; et al. Wound-healing and cytokine-modulating potential of medicinal oil formulation comprising leaf extract of Murraya koenigii and olive oil. Braz. J. Biol. 2022, 82, e256158. [Google Scholar] [CrossRef]
- Taheri, M.; Amiri-Farahani, L.; Haghani, S.; Shokrpour, M.; Shojaii, A. The effect of olive cream on pain and healing of caesarean section wounds: A randomised controlled clinical trial. J. Wound Care 2022, 31, 244–253. [Google Scholar] [CrossRef] [PubMed]
- Devi, M.V.; Poornima, V.; Sivagnanam, U.T. Wound healing in second-degree burns in rats treated with silver sulfadiazine: A systematic review and meta-analysis. J. Wound Care 2022, 31, S31–S45. [Google Scholar] [CrossRef] [PubMed]
- Kadam, K.; Kiyan, S.; Uyanikgil, Y.; Karabey, F.; Cetin, E.O. Investigation of acute effects of topical Alpinia officinarum (galangal) treatment in experimental contact type burns and comparison with topical silver sulfadiazine treatment. Ulus Travma Acil Cerrahi Derg. 2022, 28, 15–26. [Google Scholar] [CrossRef] [PubMed]
- Singh, R.; Roopmani, P.; Chauhan, M.; Basu, S.M.; Deeksha, W.; Kazem, M.D.; Hazra, S.; Rajakumara, E.; Giri, J. Silver sulfadiazine loaded core-shell airbrushed nanofibers for burn wound healing application. Int. J. Pharm. 2022, 613, 121358. [Google Scholar] [CrossRef] [PubMed]
- Wang, J.; Yang, B.; Zhang, X.H.; Liu, S.H.; Wu, W. The effectiveness of silver-containing hydrofiber dressing compared with topical silver sulfadiazine cream in pediatric patients with deep partial-thickness burns: A retrospective review. Wound Manag. Prev. 2022, 68, 29–36. [Google Scholar] [CrossRef]
- Al-Arjan, W.S.; Khan, M.U.A.; Almutairi, H.H.; Alharbi, S.M.; Razak, S.I.A. pH-Responsive PVA/BC-f-GO Dressing materials for burn and chronic wound healing with curcumin release kinetics. Polymers 2022, 14, 949. [Google Scholar] [CrossRef]
- Albaridi, N.A. Antibacterial potency of honey. Int. J. Microbiol. 2019, 2019, 2464507. [Google Scholar] [CrossRef]
- Algethami, J.S.; El-Wahed, A.A.A.; Elashal, M.H.; Ahmed, H.R.; Elshafiey, E.H.; Omar, E.M.; Naggar, Y.A.; Algethami, A.F.; Shou, Q.; Alsharif, S.M.; et al. Bee pollen: Clinical trials and patent applications. Nutrients 2022, 14, 2858. [Google Scholar] [CrossRef]
- El-Seedi, H.R.; El-Wahed, A.A.A.; Zhao, C.; Saeed, A.; Zou, X.; Guo, Z.; Hegazi, A.G.; Shehata, A.A.; El-Seedi, H.H.R.; Algethami, A.F.; et al. A Spotlight on the Egyptian honeybee (Apis mellifera lamarckii). Animals 2022, 12, 2749. [Google Scholar] [CrossRef]
- Ghazalah, A.; Ali, A. Rosemary leaves as a dietary supplement for growth in broiler chickens. Int. J. Poult. Sci. 2008, 7, 234–239. [Google Scholar] [CrossRef]
- Das, S.; Horváth, B.; Šafranko, S.; Jokić, S.; Széchenyi, A.; Kőszegi, T. Antimicrobial activity of chamomile essential oil: Effect of different formulations. Molecules 2019, 24, 4321. [Google Scholar] [CrossRef] [PubMed]
- Shehata, A.A.; Yalçın, S.; Latorre, J.D.; Basiouni, S.; Attia, Y.A.; Abd El-Wahab, A.; Visscher, C.; El-Seedi, H.R.; Huber, C.; Hafez, H.M.; et al. Probiotics, prebiotics, and phytogenic substances for optimizing gut health in poultry. Microorganisms 2022, 10, 395. [Google Scholar] [CrossRef] [PubMed]







| Groups | Full Epidermal Thickness (µm) | Stratum Corneum Thickness (µm) |
|---|---|---|
| Normal skin | 184.6 ± 5.09 a | 22.8 ± 1.48 a |
| Non-treated | 3.9 ± 2.63 d | 0.5 ± 0.35 c |
| Composite-treated 1 | 177.8 ± 3.39 a | 20.8 ± 1.31 a |
| MEBO® cream-treated 2 | 126.0 ± 2.59 c | 5.0 ± 0.27 b |
| DERMAZIN®-treated 3 | 139.0 ± 6.38 b | 6.8 ± 0.21 b |
Publisher’s Note: MDPI stays neutral with regard to jurisdictional claims in published maps and institutional affiliations. |
© 2022 by the authors. Licensee MDPI, Basel, Switzerland. This article is an open access article distributed under the terms and conditions of the Creative Commons Attribution (CC BY) license (https://creativecommons.org/licenses/by/4.0/).
Share and Cite
Anis, A.; Sharshar, A.; El Hanbally, S.; Shehata, A.A. Histopathological Evaluation of the Healing Process of Standardized Skin Burns in Rabbits: Assessment of a Natural Product with Honey and Essential Oils. J. Clin. Med. 2022, 11, 6417. https://doi.org/10.3390/jcm11216417
Anis A, Sharshar A, El Hanbally S, Shehata AA. Histopathological Evaluation of the Healing Process of Standardized Skin Burns in Rabbits: Assessment of a Natural Product with Honey and Essential Oils. Journal of Clinical Medicine. 2022; 11(21):6417. https://doi.org/10.3390/jcm11216417
Chicago/Turabian StyleAnis, Anis, Ahmed Sharshar, Saber El Hanbally, and Awad A. Shehata. 2022. "Histopathological Evaluation of the Healing Process of Standardized Skin Burns in Rabbits: Assessment of a Natural Product with Honey and Essential Oils" Journal of Clinical Medicine 11, no. 21: 6417. https://doi.org/10.3390/jcm11216417
APA StyleAnis, A., Sharshar, A., El Hanbally, S., & Shehata, A. A. (2022). Histopathological Evaluation of the Healing Process of Standardized Skin Burns in Rabbits: Assessment of a Natural Product with Honey and Essential Oils. Journal of Clinical Medicine, 11(21), 6417. https://doi.org/10.3390/jcm11216417

