Next Article in Journal
XR (Extended Reality: Virtual Reality, Augmented Reality, Mixed Reality) Technology in Spine Medicine: Status Quo and Quo Vadis
Next Article in Special Issue
Resuscitative Endovascular Balloon Occlusion of the Aorta (REBOA) in Non-Traumatic Cardiac Arrest: A Narrative Review of Known and Potential Physiological Effects
Previous Article in Journal
Opioid Prescription Following Wrist and Ankle Fracture Fixation in Scotland—Tradition Prevails
Previous Article in Special Issue
Effect of Early Supraglottic Airway Device Insertion on Chest Compression Fraction during Simulated Out-of-Hospital Cardiac Arrest: Randomised Controlled Trial
 
 
Font Type:
Arial Georgia Verdana
Font Size:
Aa Aa Aa
Line Spacing:
Column Width:
Background:
Article

Carotid Artery Ultrasound in the (peri-) Arrest Setting—A Prospective Pilot Study

by
Moritz Koch
1,
Matthias Mueller
1,
Alexandra-Maria Warenits
1,
Michael Holzer
1,
Alexander Spiel
1,2,* and
Sebastian Schnaubelt
1
1
Department of Emergency Medicine, Medical University of Vienna, 1090 Vienna, Austria
2
Vienna Health Care Group, Department of Emergency Medicine, Clinic Ottakring, 1160 Vienna, Austria
*
Author to whom correspondence should be addressed.
J. Clin. Med. 2022, 11(2), 469; https://doi.org/10.3390/jcm11020469
Submission received: 18 December 2021 / Revised: 13 January 2022 / Accepted: 16 January 2022 / Published: 17 January 2022

Abstract

:
Point-of-care ultrasounds (US) are used during cardiopulmonary resuscitation (CPR) and after return of spontaneous circulation (ROSC). Carotid ultrasounds are a potential non-invasive monitoring tool for chest compressions, but their general value and feasibility during CPR are not fully determined. In this prospective observational study, we performed carotid US during conventional- and extracorporeal CPR and after ROSC with at least one transverse and coronal image, corresponding loops with and without color doppler, and pulsed-wave doppler loops. The feasibility of carotid US during (peri-)arrest and type and frequency of diagnostic findings were examined. We recruited 16 patients and recorded utilizable US images in 14 cases (88%; complete imaging protocols in 11 patients [69%]). In three of all patients (19%) and in 60% (3/5) of cases during CPR plus a full imaging protocol, we observed: (i) in one patient a collapse of the common carotid artery linked to hypovolemia, and (ii) in two patients a biphasic flow during CPR linked to prolonged low-flow time prior to admission and adverse outcome. Carotid artery morphology and carotid blood flow characteristics may serve as therapeutic target and prognostic parameters. However, future studies with larger sample sizes are needed.

1. Introduction

In Vienna, 42.6/100,000 inhabitants per year are treated after cardiac arrest (CA) and 11.3% of those survive to hospital discharge [1]. Rapid start of basic life support (BLS) and high quality of chest compressions are of utmost importance for favorable outcomes after CA [2,3]. However, chest compressions (CC) are highly susceptible to confounders such as tiring of providers; therefore, continuously monitoring CC quality is vital [4]. Carotid ultrasound (US) is currently seen as a potential non-invasive monitoring tool for CC efficacy [5,6]. Furthermore, it facilitates the detection of a pulse during rhythm checks [7,8]. The main objective of this study was to investigate the general feasibility of carotid US during CPR measures, as well as its potential as a novel therapeutic target.

2. Materials and Methods

Our main objective was to evaluate the general feasibility of carotid US during CPR, as well as the subsequent findings in 2D, color doppler, and pulsed-wave (PW) doppler imaging. We conducted a prospective observational trial in a convenience sample of patients admitted to our emergency department with an adherent high-volume certified Cardiac Arrest Centre in a tertiary care academic hospital. We included patients during conventional, LUCAS (Lund University Cardiopulmonary Assist System)-assisted CPR, extracorporeal CPR (ECPR), as well as patients immediately (<1 h) after return of spontaneous circulation (ROSC). Exclusion criteria consisted of: age <18 years, suspected pregnancy, traumatic CA, and potential neck or carotid injury.
As surrogate parameter for feasibility, we used the percentage of total patients in which we were able to acquire a complete imaging protocol.
Findings of interest were defined as unexpected observations with diagnostic or prognostic potential. The percentage of total cases in which image acquisition was feasible was recorded. As the common carotid artery (CCA) is an exposed and easily-accessible vessel, we chose it as the investigation site. All ultrasound examinations were conducted by an experienced team member of the cardiac arrest center using equipment by Phillips Healthcare (Epiq® and Affiniti®). The investigations were conducted as follows: the probe (L12-3, linear, 12-3 MHz, Phillips Healthcare, Hamburg, Germany) was placed in the transverse plane over the sternocleidomastoid muscle (SCM) as far proximal as possible. The CCA was then identified in this image. Next, loops with and without color doppler were recorded. The probe was then rotated into the coronal plane. Another color doppler loop was recorded. For the pulsed-wave (PW)-doppler images, the probe was then tilted to achieve a measuring angle of 50–60°. PSV was determined as the point of the curve with the highest velocity, and EDV was measured right before the following systolic peak. If possible, we acquired bilateral images. Reasons for incomplete imaging protocols were termination of resuscitation before sufficient imaging material could be obtained, suboptimal measuring angle, and difficulties to obtain a valid PW doppler loop during ongoing LUCAS-assisted CPR. Furthermore, we acquired demographic parameters including age and sex, the mean arterial pressure (MAP), end-tidal carbon dioxide (etCO2), CA circumstances including place of CA, bystander CPR, duration of no-flow/low-flow, initial rhythm, blood gas analyses, and outcome (ROSC, survival to discharge). This study was approved by the Ethics Committee of the Medical University of Vienna (No. 1638/2018). Informed consent was acquired from all survivors before discharge and waived for non-survivors.
Continuous data were indicated as medians and interquartile ranges or means and standard deviations (SD), discrete data as counts and percentages. For comparisons between groups, we used the Kruskal-Wallis-Test. A p-value of <0.05 (2-tailed) was considered statistically significant. Microsoft Excel (Version 2013, Microsoft Corp., Redmond, WA, USA) and R-Studio (Version 1.4.1106, ©2009–2021 RStudio, PBC) were applied to conduct the analyses.

3. Results

From October 2018 to November 2019, 16 patients (61 (49–70) years; 69% male) were recruited; all but one suffered from out-of-hospital CA (OHCA). Half of the patients had an initially shockable rhythm. ROSC was achieved in 44%, and survival to hospital discharge could be achieved in 19% (Table 1).
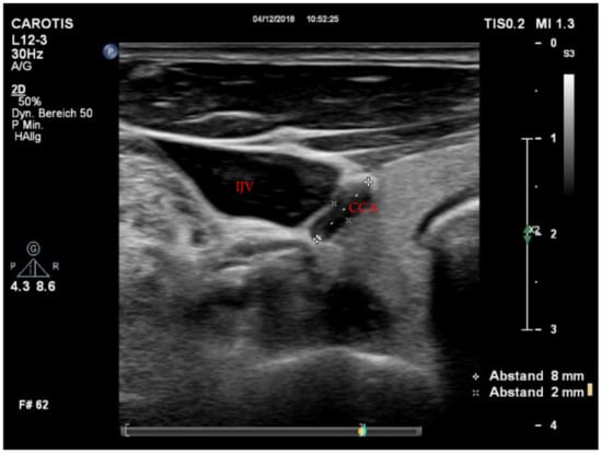
Utilizable US images were acquired in 14 cases (88%), and we completed the full imaging protocol in 11 patients (69%). Of those, five (63%) were measured during conventional CPR, four (25%) immediately after ROSC, and two (12%) during ECPR. All patients with incomplete imaging protocols were assessed during conventional CPR. There were no significant differences in peak systolic velocity (PSV) or enddiastolic velocity (EDV) between CPR, ECPR and ROSC cases. However, a trend towards higher values of EDV during ECPR could be shown (Table 1). In the comparison of flow velocities, only participants with completed imaging protocols were included. Concerning potential findings of clinical value, we detected a forward-flow during compression with a reverse flow during decompression in two cases (Figure 1) and a collapse of the CCA in one case (Figure 2). Videos of images of interest can be found in the Supplemental Material.

4. Discussion

Point-of-care US (POCUS) is commonly used during CPR [9,10]. When practiced by a skilled provider, its use is positively associated with ROSC [11]. However, carotid US during CA is still a debated topic. In our investigation, we feasibly conducted carotid US while full advanced life support (ALS) was ongoing in most patients, and we observed pathologies of potential clinical interest. The latter are discussed in greater detail below.

4.1. Dynamics in Carotid Artery Flow

The noted forward flow during compression with reverse flow during decompression (Figure 1) has been previously observed using a non-imaging probe in a porcine CA model [12]. A similar pattern is associated with the diagnosis of cerebral circulatory arrest, for which an internal carotid ultrasound is commonly used and a highly reliable procedure [13]. However, this biphasic flow can also be present in the CCA, which was chosen as the imaging site in our study [14]. The therefore hypothesized cerebral circulatory arrest could be caused by early cerebral edema, further decreasing the cerebral perfusion pressure during CPR [15] and could be seen as a general sign of cerebral injury. In line with this, both images in Figure 1 were acquired from patients with prolonged low flow times prior to admission, in one case preceded by a long no-flow time. However, since the images were acquired from the CCA, it is possible that the PW doppler flow signal was altered by the vessels connected to the external carotid artery that are—as peripheral vessels—responsive to vasopressors and therefore “biased” in terms of wall tension and blood flow in a hyperadrenergic state [16] for instance occurring after the administration of high-dose adrenaline. In addition, one of the two patients had previously undergone a transcatheter aortic valve implantation (TAVI). Aortic valve insufficiency is a common occurrence after TAVI, and CPR is a known factor potentially leading to an implant failure [17,18]. This is of relevance since aortic valve insufficiency can produce a PW doppler signal similar to our findings [14]. If our results, however, reflect a certain degree or state of cerebral perfusion during CPR, the PW doppler signal and especially the EDV—preferably measured in the internal carotid artery—might be of future diagnostic and prognostic value. Naturally, further research is required to draw adequate conclusions.

4.2. Carotid Artery Collapse

A collapse of the CCA in a patient with hypovolemic CA was observed (Figure 2). Due to the very small diameter of the collapsed vessel, we were unable to acquire valid velocity measures—however, in past animal studies, a CCA collapse was detrimental to carotid blood flow [19]. Furthermore, it has been shown that higher blood flow velocities are associated with a higher invasive blood pressure [20]. In line with this, dynamics of the PSV in the CCA have been shown to be sensitive and specific to determine volume responsiveness in septic shock [21]. Similarly, we recorded a rise in PSV during ECPR after the additional initiation of continuous vasopressor support. These findings suggest that carotid US could be useful to determine hypovolemic origin of cardiac arrest and may guide volume resuscitation during CPR.

4.3. Comparison of Flow Velocities between CPR Modalities

To the best of our knowledge, this is the first human study that recorded carotid flow data from patients receiving various modes of CPR. During CPR, ECPR and after ROSC, PSV approached physiological values, comparable to previous studies investigating carotid US during conventional CPR [5,6]. The physiological values of EDV in the CCA amount to 20–30 cm/s [22], meaning that the median EDV during conventional, LUCAS-assisted CPR in our study was obviously lower and on average (mean EDV: 0 cm/second) not even present. This is mainly explained by the two patients with negative EDV and our small sample size. As expected, there was a trend towards higher EDV values during ECPR, which is of importance since diastolic flow is important to ensure a steady supply of blood throughout the cardiac cycle [23,24]. Of relevance, the mean EDV was very discriminative between groups, which, however, did not translate into statistically significant differences due to the very small group sizes. Further studies on flow velocities within and between CPR modalities with larger sample sizes are necessary, and should provide a more detailed insight on differences in cerebral perfusion.

4.4. Limitations

Due to organizational reasons and the pilot study character of our investigation, only a very small sample size could be obtained, potentially influencing results. The generalizability of our findings is therefore not given. Findings might also be associated with the exact timepoint of assessment during or after CPR—certain pathologies may only occur after a certain period of time of low- or no-flow states. A potential further limitation is the measuring site, with the internal carotid artery potentially performing differently as the CCA. However, data on this problem are scarce and should be addressed in future research endeavors. Furthermore, as discussed in a recent study, Colour Doppler might be influenced by movement artefacts [25]. In our setting, this may be a substantial factor due to cardiac compressions. Another limitation relates to the unclear relationship between flow velocities measured in our study and the carotid artery blood flow (CABF). Of importance, an additional limitation in presenting ultrasound data is inter-observer differences, potentially also affecting carotid ultrasound during CPR. [26]

5. Conclusions

Changes in carotid artery morphology and carotid blood velocities during CPR are frequent and may serve as additional diagnostic and potential prognostic parameters.

Supplementary Materials

The following are available online at https://www.mdpi.com/article/10.3390/jcm11020469/s1. Video S1. Transverse view of the CCA (image right) and IJV (image left). The CCA is collapsed independent of compression while the vein remains compressible. The cause of the patients CA was hypovolemia due to pulmonary bleeding. CCA = common carotid artery; IVJ = internal jugular vein; CA = cardiac arrest. Video S2. Coronal view of the CCA with colour doppler. The vessel shows forward flow during compression and reverse flow during decompression. Note that there are no signs of aliasing. CCA = common carotid artery Video S3. Coronal view of the CCA with colour doppler. The vessel shows continuous forward flow with minimal variation. The loop was recorded shortly after the patient regained circulation during eCPR. CCA = common carotid artery.

Author Contributions

Conceptualization, M.K. and A.S.; Data curation, M.K., A.S. and S.S.; Formal analysis, M.K.; Investigation, M.K., A.-M.W., A.S. and S.S.; Methodology, M.K., A.S. and S.S.; Project administration, M.H., A.S. and S.S.; Resources, M.M., A.-M.W., M.H. and A.S.; Software, M.K.; Supervision, A.S.; Validation, M.K., M.M., A.-M.W., M.H., A.S. and S.S.; Visualization, M.K.; Writing—original draft, M.K., A.S. and S.S.; Writing—review & editing, M.K., M.M., A.-M.W., M.H., A.S. and S.S. All authors have read and agreed to the published version of the manuscript.

Funding

This research received no external funding.

Institutional Review Board Statement

The study was conducted in accordance with the Declaration of Helsinki, and approved by the Ethics Committee of the Medical University of Vienna, Austria (No. 1638/2018).

Informed Consent Statement

Patient consent was obtained if the respective patients regained consciousness again. If a patient deceased, informed consent was waived by the Ethics Committee.

Data Availability Statement

Data are available from the corresponding author upon reasonable request.

Acknowledgments

We thank all personnel involved in acquiring the study data.

Conflicts of Interest

Sebastian Schnaubelt declares he is ILCOR EIT Task Force member. All other authors declare no potential conflict of interest.

References

  1. Nürnberger, A.; Sterz, F.; Malzer, R.; Warenits, A.; Girsa, M.; Stöckl, M.; Hlavin, G.; Magnet, I.A.M.; Weiser, C.; Zajicek, A.; et al. Out of hospital cardiac arrest in Vienna: Incidence and outcome. Resuscitation 2013, 84, 42–47. [Google Scholar] [CrossRef] [PubMed]
  2. Idris, A.H.; Guffey, D.; Aufderheide, T.P.; Brown, S.; Morrison, L.J.; Nichols, P.; Powell, J.; Daya, M.; Bigham, B.L.; Atkins, D.L.; et al. Relationship Between Chest Compression Rates and Outcomes From Cardiac Arrest. Circulation 2012, 125, 3004–3012. [Google Scholar] [CrossRef] [PubMed] [Green Version]
  3. Vukmir, R.B. Survival from prehospital cardiac arrest is critically dependent upon response time. Resuscitation 2006, 69, 229–234. [Google Scholar] [CrossRef] [PubMed]
  4. Ochoa, F.; Ramalle-Gómara, E.; Lisa, V.; Saralegui, I. The effect of rescuer fatigue on the quality of chest compressions. Resuscitation 1998, 37, 149–152. [Google Scholar] [CrossRef]
  5. Adedipe, A.A.; Fly, D.L.; Schwitz, S.D.; Jorgenson, D.B.; Duric, H.; Sayre, M.R.; Nichol, G. Carotid Doppler blood flow measurement during cardiopulmonary resuscitation is feasible: A first in man study. Resuscitation 2015, 96, 121–125. [Google Scholar] [CrossRef]
  6. Yilmaz, G.; Silcan, M.; Serin, S.; Caglar, B.; Erarslan, Ö.; Parlak, I. A comparison of carotid doppler ultrasonography and capnography in evaluating the efficacy of CPR. Am. J. Emerg. Med. 2018, 36, 1545–1549. [Google Scholar] [CrossRef]
  7. Badra, K.; Coutin, A.; Simard, R.; Pinto, R.; Lee, J.S.; Chenkin, J. The POCUS pulse check: A randomized controlled crossover study comparing pulse detection by palpation versus by point-of-care ultrasound. Resuscitation 2019, 139, 17–23. [Google Scholar] [CrossRef]
  8. Sanchez, S.; Miller, M.; Asha, S. Assessing the validity of two-dimensional carotid ultrasound to detect the presence and absence of a pulse. Resuscitation 2020, 157, 67–73. [Google Scholar] [CrossRef]
  9. Soar, J.; Böttiger, B.W.; Carli, P.; Couper, K.; Deakin, C.D.; Djärv, T.; Lott, C.; Olasveengen, T.; Paal, P.; Pellis, T.; et al. European Resuscitation Council Guidelines 2021: Adult advanced life support. Resuscitation 2021, 161, 115–151. [Google Scholar] [CrossRef]
  10. Breitkreutz, R.; Walcher, F.; Seeger, F.H. Focused echocardiographic evaluation in resuscitation management: Concept of an advanced life support–conformed algorithm. Crit. Care Med. 2007, 35, S150–S161. [Google Scholar] [CrossRef] [Green Version]
  11. Chou, E.H.; Wang, C.-H.; Monfort, R.; Likourezos, A.; Wolfshohl, J.; Lu, T.-C.; Hsieh, Y.-L.; Haines, L.; Dickman, E.; Lin, J. Association of ultrasound-related interruption during cardiopulmonary resuscitation with adult cardiac arrest outcomes: A video-reviewed retrospective study. Resuscitation 2020, 149, 74–80. [Google Scholar] [CrossRef]
  12. Kucewicz, J.C.; Salcido, D.D.; Adedipe, A.A.; Truong, K.; Nichol, G.; Mourad, P.D. Towards a non-invasive cardiac arrest monitor: An in vivo pilot study. Resuscitation 2019, 134, 76–80. [Google Scholar] [CrossRef] [Green Version]
  13. Pedicelli, A.; Bartocci, M.; Lozupone, E.; D’Argento, F.; Alexandre, A.; Garignano, G.; D’Alò, C.; Giacobbe, V.; Valente, I.; Colosimo, C. The role of cervical color Doppler ultrasound in the diagnosis of brain death. Neuroradiology 2018, 61, 137–145. [Google Scholar] [CrossRef]
  14. Ducrocq, X.; Hassler, W.; Moritake, K.; Newell, D.W.; von Reutern, G.-M.; Shiogai, T.; Smith, R.R. Consensus opinion on diagnosis of cerebral circulatory arrest using Doppler-sonography: Task Force Group on cerebral death of the Neurosonolgy Research Group of the World Federation of Neurology. J. Neurol. Sci. 1998, 159, 145–150. [Google Scholar] [CrossRef]
  15. Rizvi, T.; Batchala, P.; Mukherjee, S. Brain Death: Diagnosis and Imaging Techniques. Semin. Ultrasound CT MRI 2018, 39, 515–529. [Google Scholar] [CrossRef]
  16. Spira, P.J.; Mylecharane, E.J.; Misbach, J.; Duckworth, J.W.; Lance, J.W. Internal and external carotid vascular responses to vasoactive agents in the monkey. Neurology 1978, 28, 162. [Google Scholar] [CrossRef]
  17. Blackman, D.J.; Saraf, S.; MacCarthy, P.A.; Myat, A.; Anderson, S.G.; Malkin, C.J.; Cunnington, M.S.; Somers, K.; Brennan, P.; Manoharan, G.; et al. Long-Term Durability of Transcatheter Aortic Valve Prostheses. J. Am. Coll. Cardiol. 2019, 73, 537–545. [Google Scholar] [CrossRef]
  18. Mylotte, D.; Andalib, A.; Theriault-Lauzier, P.; Dorfmeister, M.; Girgis, M.; Alharbi, W.; Chetrit, M.; Galatas, C.; Mamane, S.; Sebag, I.; et al. Transcatheter heart valve failure: A systematic review. Eur. Hear. J. 2015, 36, 1306–1327. [Google Scholar] [CrossRef] [Green Version]
  19. Yin, F.C.; Cohen, J.M.; Tsitlik, J.; Zola, B.; Weisfeldt, M.L. Role of carotid artery resistance to collapse during high-intrathoracic-pressure CPR. Am. J. Physiol. Circ. Physiol. 1982, 243, H259–H267. [Google Scholar] [CrossRef]
  20. Larabee, T.M.; Little, C.M.; Raju, B.I.; Cohen-Solal, E.; Erkamp, R.; Wuthrich, S.; Petruzzello, J.; Nakagawa, M.; Ayati, S. A novel hands-free carotid ultrasound detects low-flow cardiac output in a swine model of pulseless electrical activity arrest. Am. J. Emerg. Med. 2011, 29, 1141–1146. [Google Scholar] [CrossRef]
  21. Lu, N.; Xi, X.; Jiang, L.; Yang, D.; Yin, K. Exploring the best predictors of fluid responsiveness in patients with septic shock. Am. J. Emerg. Med. 2017, 35, 1258–1261. [Google Scholar] [CrossRef]
  22. Scheel, P.; Ruge, C.; Schöning, M. Flow velocity and flow volume measurements in the extracranial carotid and vertebral arteries in healthy adults: Reference data and the effects of age. Ultrasound Med. Biol. 2000, 26, 1261–1266. [Google Scholar] [CrossRef]
  23. Phillips, G.W. Review of arterial vascular ultrasound. World J. Surg. 2000, 24, 232–240. [Google Scholar] [CrossRef]
  24. Oglat, A.A.; MatJafri, M.Z.; Suardi, N.; Oqlat, M.A.; Abdelrahman, M.A.; Oqlat, A.A. A review of medical doppler ultrasonography of blood flow in general and especially in common carotid artery. J. Med. Ultrasound 2018, 26, 3–13. [Google Scholar] [CrossRef]
  25. Germanoska, B.; Coady, M.; Ng, S.; Fermanis, G.; Miller, M. The reliability of carotid ultrasound in determining the return of pulsatile flow: A pilot study. Ultrasound 2018, 26, 118–126. [Google Scholar] [CrossRef]
  26. Martinez, J.M.P.; Santos, J.M.G.; Martínez, M.L.P.; Pastor, A.M. Carotid intima-media thickness and hemodynamic parameters: Reproducibility of manual measurements with Doppler ultrasound. Med. Ultrason. 2015, 17, 167–174. [Google Scholar] [CrossRef] [Green Version]
Figure 1. (a) Forward flow during compression/reverse flow during decompression in the CCA paired with small systolic peaks during conventional CPR; (b) Forward flow during compression/reverse flow during decompression with regular systolic peaks in a patient with transcatheter valve implantation. CCA = common carotid artery; CPR = cardiopulmonary resuscitation.
Figure 1. (a) Forward flow during compression/reverse flow during decompression in the CCA paired with small systolic peaks during conventional CPR; (b) Forward flow during compression/reverse flow during decompression with regular systolic peaks in a patient with transcatheter valve implantation. CCA = common carotid artery; CPR = cardiopulmonary resuscitation.
Jcm 11 00469 g001
Figure 2. Collapse of the CCA during hypovolemic CA. CCA = common carotid artery; CPR = cardiopulmonary resuscitation; IJV = internal jugular vein.
Figure 2. Collapse of the CCA during hypovolemic CA. CCA = common carotid artery; CPR = cardiopulmonary resuscitation; IJV = internal jugular vein.
Jcm 11 00469 g002
Table 1. Characteristics of study subjects.
Table 1. Characteristics of study subjects.
Baseline
Age, years (IQR)65.0 (49.3–69.8)
Male sex, n (%)11 (69%)
CA details
OHCA, n (%)15 (94%)
IHCA, n (%)1 (6%)
Bystander CPR, n (%)12 (75%)
EtCO2 (admission), mmHg (±SD)31.4 (±26.5)
Outcome
ROSC, n (%)7 (43.8%)
Survival to hospital discharge, n (%)3 (18.8%)
Setting during imaging
Conventional CPR, n (%)10 (62.5%)
ECPR, n (%)2 (12.5%)
Post ROSC, n (%)4 (25%)
Low-flow time
Overall, minutes (IQR)42.0 (23.0–62.0)
Deceased, minutes (IQR)61.0 (38.3–63.5)
Sustained ROSC, minutes (IQR)32.5 (19.35–48.5)
Survival to hospital discharge, minutes (IQR)23.0 (13.5–36.0)
Initial rhythm
VF, n (%)7 (44%)
PVT, n (%)1 (6%)
PEA, n (%)7 (44%)
Asystole, n (%)1 (6%)
Blood gas analysis
PH (±SD)6.84 (±0.24)
Lactate, mmol/L (IQR)18.0 (10.0–19.0)
Base excess, mmol/L (IQR)−19.8 (−23.7–−17.0)
Carotid flow values
PSVp = 0.880
CPR, cm/second (IQR)84.4 (73.1–120.0), n = 5
ECPR, cm/second (IQR)70.7 (62.0–79.3), n = 2
ROSC, cm/second (IQR)85.0 (68.4–96.7), n = 4
EDVp = 0.060
CPR, cm/second (IQR)0.0 (−40.0–0.0), n = 5
ECPR, cm/second (IQR)49.55 (47.63–51.47), n = 2
ROSC, cm/second (IQR)28.6 (20.3–37.5), n = 4
OHCA = out-of-hospital cardiac arrest; IHCA = in-hospital CA; CPR = cardiopulmonary resuscitation; ECPR = extracorporeal CPR; (s)ROSC = (sustained) return of spontaneous circulation; VF = ventricular fibrillation; pVT = pulseless ventricular tachycardia; PEA = pulseless electrical activity; BE = base excess; PSV = peak systolic velocity; EDV = end diastolic velocity.
Publisher’s Note: MDPI stays neutral with regard to jurisdictional claims in published maps and institutional affiliations.

Share and Cite

MDPI and ACS Style

Koch, M.; Mueller, M.; Warenits, A.-M.; Holzer, M.; Spiel, A.; Schnaubelt, S. Carotid Artery Ultrasound in the (peri-) Arrest Setting—A Prospective Pilot Study. J. Clin. Med. 2022, 11, 469. https://doi.org/10.3390/jcm11020469

AMA Style

Koch M, Mueller M, Warenits A-M, Holzer M, Spiel A, Schnaubelt S. Carotid Artery Ultrasound in the (peri-) Arrest Setting—A Prospective Pilot Study. Journal of Clinical Medicine. 2022; 11(2):469. https://doi.org/10.3390/jcm11020469

Chicago/Turabian Style

Koch, Moritz, Matthias Mueller, Alexandra-Maria Warenits, Michael Holzer, Alexander Spiel, and Sebastian Schnaubelt. 2022. "Carotid Artery Ultrasound in the (peri-) Arrest Setting—A Prospective Pilot Study" Journal of Clinical Medicine 11, no. 2: 469. https://doi.org/10.3390/jcm11020469

APA Style

Koch, M., Mueller, M., Warenits, A.-M., Holzer, M., Spiel, A., & Schnaubelt, S. (2022). Carotid Artery Ultrasound in the (peri-) Arrest Setting—A Prospective Pilot Study. Journal of Clinical Medicine, 11(2), 469. https://doi.org/10.3390/jcm11020469

Note that from the first issue of 2016, this journal uses article numbers instead of page numbers. See further details here.

Article Metrics

Back to TopTop