Comparison of Superior Mesenteric Artery Remodeling and Clinical Outcomes between Conservative or Endovascular Treatment in Spontaneous Isolated Superior Mesenteric Artery Dissection
Abstract
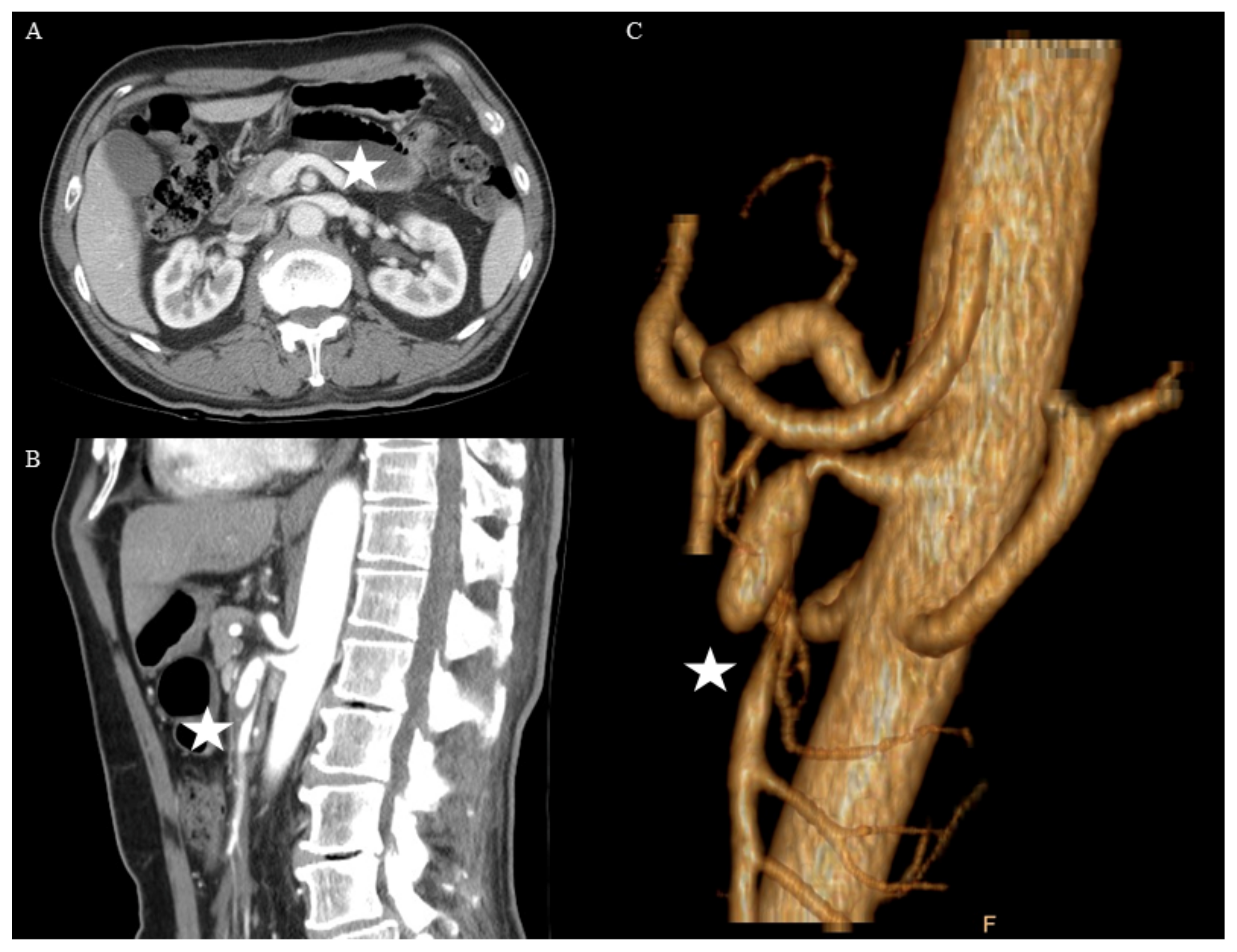
:1. Introduction
2. Materials and Methods
2.1. Study Patients
2.2. Treatment Algorithm
2.3. SMA Remodeling and Outcome Measurement
2.4. Statistical Analysis
3. Results
3.1. Patient Characteristics
3.2. Patients Outcomes
4. Discussion
5. Conclusions
Supplementary Materials
Author Contributions
Funding
Institutional Review Board Statement
Informed Consent Statement
Data Availability Statement
Acknowledgments
Conflicts of Interest
References
- Luan, J.Y.; Guan, X.; Li, X.; Wang, C.M.; Li, T.R.; Zhang, L.; Han, J.T. Isolated superior mesenteric artery dissection in China. J. Vasc. Surg. 2016, 63, 530–536. [Google Scholar] [CrossRef] [Green Version]
- Park, Y.J.; Park, K.B.; Kim, D.I.; Do, Y.S.; Kim, D.K.; Kim, Y.W. Natural history of spontaneous isolated superior mesenteric artery dissection derived from follow-up after conservative treatment. J. Vasc. Surg. 2011, 54, 1727–1733. [Google Scholar] [CrossRef] [PubMed] [Green Version]
- Yun, W.S.; Kim, Y.W.; Park, K.B.; Cho, S.K.; Do, Y.S.; Lee, K.B.; Kim, D.I.; Kim, D.K. Clinical and angiographic follow-up of spontaneous isolated superior mesenteric artery dissection. Eur. J. Vasc. Endovasc. Surg. 2009, 37, 572–577. [Google Scholar] [CrossRef] [PubMed] [Green Version]
- Tomita, K.; Obara, H.; Sekimoto, Y.; Matsubara, K.; Watada, S.; Fujimura, N.; Shibutani, S.; Nagasaki, K.; Hayashi, S.; Harada, H.; et al. Evolution of Computed Tomographic Characteristics of Spontaneous Isolated Superior Mesenteric Artery Dissection During Conservative Management. Circ. J. 2016, 80, 1452–1459. [Google Scholar] [CrossRef] [Green Version]
- Li, D.L.; He, Y.Y.; Alkalei, A.M.; Chen, X.D.; Jin, W.; Li, M.; Zhang, H.K.; Liang, T.B. Management strategy for spontaneous isolated dissection of the superior mesenteric artery based on morphologic classification. J. Vasc. Surg. 2014, 59, 165–172. [Google Scholar] [CrossRef] [PubMed] [Green Version]
- Kim, H.K.; Jung, H.K.; Cho, J.; Lee, J.M.; Huh, S. Clinical and radiologic course of symptomatic spontaneous isolated dissection of the superior mesenteric artery treated with conservative management. J. Vasc. Surg. 2014, 59, 465–472. [Google Scholar] [CrossRef] [PubMed] [Green Version]
- Jia, Z.Z.; Zhao, J.W.; Tian, F.; Li, S.Q.; Wang, K.; Wang, Y.; Jiang, L.Q.; Jiang, G.M. Initial and middle-term results of treatment for symptomatic spontaneous isolated dissection of superior mesenteric artery. Eur. J. Vasc. Endovasc. Surg. 2013, 45, 502–508. [Google Scholar] [CrossRef] [PubMed] [Green Version]
- Cho, B.S.; Lee, M.S.; Lee, M.K.; Choi, Y.J.; Kim, C.N.; Kang, Y.J.; Park, J.S.; Ahn, H.Y. Treatment guidelines for isolated dissection of the superior mesenteric artery based on follow-up CT findings. Eur. J. Vasc. Endovasc. Surg. 2011, 41, 780–785. [Google Scholar] [CrossRef] [PubMed] [Green Version]
- Bjorck, M.; Koelemay, M.; Acosta, S.; Bastos Goncalves, F.; Kolbel, T.; Kolkman, J.J.; Lees, T.; Lefevre, J.H.; Menyhei, G.; Oderich, G.; et al. Editor’s Choice—Management of the Diseases of Mesenteric Arteries and Veins: Clinical Practice Guidelines of the European Society of Vascular Surgery (ESVS). Eur. J. Vasc. Endovasc. Surg. 2017, 53, 460–510. [Google Scholar] [CrossRef] [Green Version]
- Sakamoto, I.; Ogawa, Y.; Sueyoshi, E.; Fukui, K.; Murakami, T.; Uetani, M. Imaging appearances and management of isolated spontaneous dissection of the superior mesenteric artery. Eur. J. Radiol. 2007, 64, 103–110. [Google Scholar] [CrossRef]
- Wang, J.; He, Y.; Zhao, J.; Yuan, D.; Xu, H.; Ma, Y.; Huang, B.; Yang, Y.; Bian, H.; Wang, Z. Systematic review and meta-analysis of current evidence in spontaneous isolated celiac and superior mesenteric artery dissection. J. Vasc. Surg. 2018, 68, 1228–1240.e9. [Google Scholar] [CrossRef]
- Garrett, H.E., Jr. Options for treatment of spontaneous mesenteric artery dissection. J. Vasc. Surg. 2014, 59, 1433–1439.e2. [Google Scholar] [CrossRef] [PubMed] [Green Version]
- Kimura, Y.; Kato, T.; Inoko, M. Outcomes of Treatment Strategies for Isolated Spontaneous Dissection of the Superior Mesenteric Artery: A Systematic Review. Ann. Vasc. Surg. 2018, 47, 284–290. [Google Scholar] [CrossRef]
- Zettervall, S.L.; Karthaus, E.G.; Soden, P.A.; Buck, D.B.; Ultee, K.H.; Schermerhorn, M.L.; Wyers, M.C. Clinical presentation, management, follow-up, and outcomes of isolated celiac and superior mesenteric artery dissections. J. Vasc. Surg. 2017, 65, 91–98. [Google Scholar] [CrossRef] [PubMed] [Green Version]
- Kim, H.; Park, H.; Park, S.J.; Park, B.W.; Hwang, J.C.; Seo, Y.W.; Cho, H.R. Outcomes of Spontaneous Isolated Superior Mesenteric Artery Dissection Without Antithrombotic Use. Eur. J. Vasc. Endovasc. Surg. 2018, 55, 132–137. [Google Scholar] [CrossRef] [PubMed]
- Heo, S.H.; Kim, Y.W.; Woo, S.Y.; Park, Y.J.; Park, K.B.; Kim, D.K. Treatment strategy based on the natural course for patients with spontaneous isolated superior mesenteric artery dissection. J. Vasc. Surg. 2017, 65, 1142–1151. [Google Scholar] [CrossRef] [PubMed] [Green Version]
- Qiu, C.; He, Y.; Li, D.; Shang, T.; Wang, X.; Wu, Z.; Zhang, H. Mid-Term Results of Endovascular Treatment for Spontaneous Isolated Dissection of the Superior Mesenteric Artery. Eur. J. Vasc. Endovasc. Surg. 2019, 58, 88–95. [Google Scholar] [CrossRef]
- Kimura, Y.; Kato, T.; Nagao, K.; Izumi, T.; Haruna, T.; Ueyama, K.; Inada, T.; Inoko, M. Outcomes and Radiographic Findings of Isolated Spontaneous Superior Mesenteric Artery Dissection. Eur. J. Vasc. Endovasc. Surg. 2017, 53, 276–281. [Google Scholar] [CrossRef]
- Loeffler, J.W.; Obara, H.; Fujimura, N.; Bove, P.; Newton, D.H.; Zettervall, S.L.; van Petersen, A.S.; Geelkerken, R.H.; Charlton-Ouw, K.M.; Shalhub, S.; et al. Medical therapy and intervention do not improve uncomplicated isolated mesenteric artery dissection outcomes over observation alone. J. Vasc. Surg. 2017, 66, 202–208. [Google Scholar] [CrossRef] [Green Version]
- Lombardi, J.V.; Hughes, G.C.; Appoo, J.J.; Bavaria, J.E.; Beck, A.W.; Cambria, R.P.; Charlton-Ouw, K.; Eslami, M.H.; Kim, K.M.; Leshnower, B.G.; et al. Society for Vascular Surgery (SVS) and Society of Thoracic Surgeons (STS) reporting standards for type B aortic dissections. J. Vasc. Surg. 2020, 71, 723–747. [Google Scholar] [CrossRef] [Green Version]
- Zerbib, P.; Perot, C.; Lambert, M.; Seblini, M.; Pruvot, F.R.; Chambon, J.P. Management of isolated spontaneous dissection of superior mesenteric artery. Langenbecks Arch. Surg. 2010, 395, 437–443. [Google Scholar] [CrossRef] [PubMed]



| Total | Conservative | EVT | p-Value | ||||
|---|---|---|---|---|---|---|---|
| n = 34 | n = 23 | n = 11 | |||||
| Age | 58.0 | 47.3–64.8 | 58.0 | 46.0–65.0 | 58.0 | 51.0–62.0 | 0.392 |
| Male | 31.0 | 91.2% | 21.0 | 91.3% | 10.0 | 90.9% | 0.704 |
| BMI | 25.3 | 22.4–27.2 | 26.0 | 21.7–27.9 | 24.6 | 22.8–26.1 | 0.274 |
| Smoking | 9.0 | 26.5% | 6.0 | 26.1% | 3.0 | 27.3% | 0.625 |
| Alcohol | 5.0 | 14.7% | 3.0 | 13.0% | 2.0 | 18.2% | 0.529 |
| Hypertension | 17.0 | 50.0% | 12.0 | 52.2% | 5.0 | 45.5% | 0.362 |
| SBP (mm Hg) | 143.0 | 135.0–164.0 | 143.0 | 137–164 | 141.0 | 135.0 | 0.202 |
| DBP (mm Hg) | 90.0 | 83.0–97.0 | 90.0 | 82–95 | 91.0 | 83.0 | 0.388 |
| DM | 4.0 | 11.8% | 2.0 | 8.7% | 2.0 | 18.2% | 0.389 |
| Dyslipidemia | 3.0 | 8.8% | 3.0 | 13.0% | 0.0 | 0.0% | 0.296 |
| CAD | 1.0 | 2.9% | 0.0 | 0.0% | 1.0 | 9.1% | 0.324 |
| Medications | |||||||
| Beta-blocker | 28 | 82.3% | 19 | 82.6% | 9 | 81.8% | 0.478 |
| ARB or ACEI | 26 | 76.4% | 17 | 73.9% | 9 | 81.8% | 0.312 |
| Pain duration (day) | 1.0 | 0.0–2.0 | 1.0 | 0.0–1.0 | 2.0 | 1.5–3.5 | 0.001 |
| Pain score | 6.0 | 0.0–7.0 | 6.0 | 0.0–7.0 | 5.0 | 4.5–7 | 0.197 |
| Abdominal pain | 24.0 | 70.6% | 14.0 | 60.9% | 10.0 | 90.9% | 0.077 |
| Nausea | 6.0 | 17.6% | 3.0 | 13.0% | 3.0 | 27.3% | 0.288 |
| Vomiting | 7.0 | 20.6% | 4.0 | 17.4% | 3.0 | 27.3% | 0.404 |
| CT morphology | |||||||
| SMA dissection length (mm) | 65.8 | 38.3–107.3 | 62.0 | 22.3–87.1 | 80.0 | 66.0–117.0 | 0.034 |
| TLD_T0 (mm) | 12.0 | 11.0–13.0 | 12.0 | 11.0–13.0 | 12.0 | 11.0–13.0 | 0.240 |
| TD_T0 (mm) | 5.0 | 4.0–6.0 | 6.0 | 5.0–6.0 | 4.0 | 2.0–5.0 | 0.005 |
| FD_T0 (mm) | 7.0 | 6.0–9.0 | 6.0 | 5.0–8.0 | 8.0 | 8.0–9.0 | 0.351 |
| Yun classification | |||||||
| I | 4.0 | 11.8% | 4.0 | 17.4% | 0.0 | 0.0% | 0.191 |
| IIa | 5.0 | 14.7% | 4.0 | 17.4% | 1.0 | 9.1% | 0.471 |
| IIb | 23.0 | 67.6% | 14.0 | 60.9% | 9.0 | 81.8% | 0.206 |
| III | 2.0 | 5.9% | 1.0 | 4.3% | 1.0 | 9.1% | 0.549 |
| ICU stay (day) | 0.0 | 0.0–0.8 | 0.0–0.5 | 0.0–0.5 | 0.0 | 0.0–1.0 | 0.403 |
| Hospitalization (day) | 3.0 | 0.0–5.8 | 0.0–3.5 | 0.0–3.5 | 10.0 | 3.0–12.3 | <0.001 |
| Symptoms resolution (day) | 1.0 | 0.0–2 | 0.0–2.0 | 0.0–2.0 | 1.0 | 1.0–7.5 | 0.013 |
| Anticoagulation use | 20.0 | 58.8% | 11.0 | 47.8% | 9 | 81.8% | 0.063 |
| Follow-up | n = 25 | n = 17 | n = 8 | ||||
| CT morphology | |||||||
| TLD_T1 (mm) | 11.0 | 9.4–13.0 | 12.0 | 10.8–13.0 | 9.5 | 8.0–10.2 | 0.189 |
| TD_T1 (mm) | 7.4 | 7.0–9.0 | 7.0 | 6.0–7.4 | 9.5 | 8.0–10.2 | 0.001 |
| FD_T1 (mm) | 1.8 | 0.0–5.8 | 5.3 | 1.4–6.8 | 0.0 | 0.0–0.0 | 0.119 |
| Last CT scan (month) | 21.9 | 10.4–41.7 | 31.4 | 12.8–42.4 | 16.4 | 4.7–25.6 | 0.162 |
| Follow-up (month) | 23.3 | 9.7–55.2 | 30.6 | 5.4–47.5 | 28.1 | 16.5–86.8 | 0.100 |
| TLD Difference (T1–T0) | TD Difference (T1–T0) | FD Difference (T1–T0) | ||||||||||
|---|---|---|---|---|---|---|---|---|---|---|---|---|
| Univariate linear regression | ||||||||||||
| 95% CI | 95% CI | 95% CI | ||||||||||
| β | Lower | Upper | p-value | β | Lower | Upper | p-value | β | Lower | Upper | p-value | |
| Age | −0.0002 | −0.0088 | 0.0083 | 0.9587 | −0.0036 | −0.0163 | 0.0092 | 0.5682 | 0.0031 | −0.0127 | 0.0188 | 0.6929 |
| Gender | 0.1509 | −0.1180 | 0.4198 | 0.2576 | −0.1191 | −0.5300 | 0.2918 | 0.5547 | 0.2730 | −0.2285 | 0.7745 | 0.2723 |
| BMI | 0.0184 | −0.0064 | 0.0431 | 0.1382 | −0.0081 | −0.0468 | 0.0306 | 0.6695 | 0.0239 | −0.0182 | 0.0659 | 0.2526 |
| Smoking | 0.0973 | −0.0985 | 0.2931 | 0.3147 | 0.0245 | −0.2750 | 0.3240 | 0.8670 | 0.0790 | −0.2756 | 0.4336 | 0.6497 |
| Alcohol | 0.2582 | 0.0049 | 0.5115 | 0.0461 | −0.0286 | −0.4425 | 0.3853 | 0.8874 | 0.2809 | −0.2199 | 0.7816 | 0.2584 |
| Hypertension | −0.0711 | −0.2484 | 0.1063 | 0.4155 | −0.0629 | −0.3309 | 0.2051 | 0.6320 | 0.0000 | −0.3288 | 0.3288 | 1.0000 |
| SBP (mm Hg) | −0.9559 | −2.2559 | 0.3442 | 0.1440 | −0.0206 | −1.2024 | 1.1611 | 0.9718 | −0.9352 | −1.8844 | 0.0139 | 0.0532 |
| DBP (mm Hg) | −0.6980 | −2.122 | 0.726 | 0.3255 | 0.1984 | −1.0839 | 1.4806 | 0.7547 | −0.8964 | −1.9310 | 0.1383 | 0.0872 |
| DM | −0.4092 | −0.8327 | 0.0144 | 0.0576 | 0.2133 | −0.4672 | 0.8938 | 0.5231 | −0.6256 | −1.4387 | 0.1875 | 0.1254 |
| Dyslipidemia | 0.4263 | 0.1506 | 0.7020 | 0.0040 | −0.2339 | −0.7196 | 0.2517 | 0.3294 | 0.6538 | 0.1018 | 1.2057 | 0.0222 |
| CAD | 0.1117 | −0.3446 | 0.5680 | 0.6175 | 0.5258 | −0.1223 | 1.1740 | 0.1068 | −0.4176 | −1.2541 | 0.4189 | 0.3131 |
| Medications | ||||||||||||
| Beta-blocker | −0.2517 | −0.6937 | 0.1904 | 0.2548 | 0.1700 | −0.2288 | 0.5688 | 0.3917 | −0.4217 | −0.7476 | −0.0958 | 0.0128 |
| ARB or ACEI | −0.4784 | −0.7250 | −0.2319 | 0.0004 | 0.0847 | −0.1403 | 0.3098 | 0.4487 | −0.5632 | −0.7401 | −0.3862 | 0.0000 |
| Pain duration (day) | −0.0221 | −0.0652 | 0.0210 | 0.2994 | 0.1065 | 0.0590 | 0.1539 | 0.0001 | −0.1287 | −0.1904 | −0.0670 | 0.0002 |
| Pain score | −0.0008 | −0.0248 | 0.0232 | 0.9447 | 0.0262 | −0.0079 | 0.0602 | 0.1254 | −0.0262 | −0.0693 | 0.0169 | 0.2216 |
| Abdominal pain | −0.0008 | −0.1882 | 0.1865 | 0.9927 | 0.3293 | 0.0876 | 0.5710 | 0.0097 | −0.3171 | −0.6358 | 0.0015 | 0.0510 |
| Nausea | −0.1160 | −0.3351 | 0.1031 | 0.2849 | 0.4060 | 0.1188 | 0.6932 | 0.0076 | −0.5219 | −0.8763 | −0.1675 | 0.0057 |
| Vomiting | −0.0782 | −0.2861 | 0.1296 | 0.4440 | 0.3133 | 0.0287 | 0.5979 | 0.0324 | −0.3920 | −0.7455 | −0.0385 | 0.0312 |
| CT morphology | ||||||||||||
| SMA dissection length | −0.0105 | −0.0318 | 0.0109 | 0.3226 | 0.0319 | 0.0022 | 0.0616 | 0.0362 | −0.0377 | −0.0735 | −0.0020 | 0.0395 |
| TLD_T0 (mm) | 0.0084 | −0.0434 | 0.0601 | 0.7405 | −0.0252 | −0.1021 | 0.0516 | 0.5039 | 0.0330 | −0.0626 | 0.1285 | 0.4836 |
| TD_T0 (mm) | 0.0091 | −0.4806 | 0.4988 | 0.9697 | −1.3132 | −1.7782 | −0.8481 | <.0001 | 1.2188 | 0.5233 | 1.9143 | 0.0014 |
| FD_T0 (mm) | 0.0085 | −0.0439 | 0.0609 | 0.7406 | −0.0108 | −0.0892 | 0.0677 | 0.7793 | 0.0181 | −0.0791 | 0.1153 | 0.7045 |
| Yun I | 0.0000 | . | . | . | 0.0000 | . | . | . | 0.0000 | . | . | . |
| Yun IIa | −0.0467 | −0.4167 | 0.3234 | 0.7957 | 0.0600 | −0.4547 | 0.5747 | 0.8108 | −0.1067 | −0.7532 | 0.5398 | 0.7355 |
| Yun IIb | −0.1404 | −0.4242 | 0.1434 | 0.3153 | 0.3137 | −0.0810 | 0.7085 | 0.1133 | −0.4433 | −0.9371 | 0.0505 | 0.0760 |
| Yun III | 0.0067 | −0.4070 | 0.4204 | 0.9736 | 0.5167 | −0.0588 | 1.0921 | 0.0759 | −0.5100 | −1.2328 | 0.2128 | 0.1575 |
| Treatment | ||||||||||||
| Anticoagulation | −0.0555 | −0.2339 | 0.1229 | 0.5261 | 0.1142 | −0.1506 | 0.3790 | 0.3817 | −0.1565 | −0.4796 | 0.1665 | 0.3273 |
| EVT | −0.1126 | −0.2991 | 0.0740 | 0.2244 | 0.5034 | 0.3135 | 0.6933 | <0.0001 | −0.6107 | −0.8570 | −0.3644 | <0.0001 |
| Multiple linear regression | ||||||||||||
| EVT | −0.0746 | −0.2376 | 0.0884 | 0.3520 | 0.2042 | 0.0149 | 0.3935 | 0.0362 | −0.3006 | −0.5819 | −0.0192 | 0.0377 |
| Duration of symptoms | Hospital stay | |||||||||||
| Univaraite linear regression | ||||||||||||
| 95% CI | 95% CI | |||||||||||
| β | Lower | Upper | p-value | β | Lower | Upper | p-value | |||||
| Age | −0.0541 | −0.1711 | 0.0629 | 0.3533 | −0.0650 | −0.2436 | 0.1137 | 0.4643 | ||||
| Gender | −0.8065 | −5.6300 | 4.0171 | 0.7357 | −0.5806 | −7.9174 | 6.7561 | 0.8729 | ||||
| BMI | −0.1145 | −0.3519 | 0.1230 | 0.3326 | −0.0884 | −0.5190 | 0.3423 | 0.6780 | ||||
| Smoking | 0.0933 | −3.0132 | 3.1999 | 0.9516 | 1.1733 | −3.5265 | 5.8732 | 0.6146 | ||||
| Alcohol | 1.8000 | −2.0153 | 5.6153 | 0.3438 | 0.6207 | −5.2532 | 6.4945 | 0.8309 | ||||
| Hypertension | −2.1765 | −4.8033 | 0.4504 | 0.1012 | −2.8235 | −6.8611 | 1.2141 | 0.1640 | ||||
| SBP(mm Hg) | 2.6422 | −6.9878 | 12.2722 | 0.5801 | 7.1445 | −7.4514 | 21.7404 | 0.3262 | ||||
| DBP(mm Hg) | 1.7217 | −8.7277 | 12.1710 | 0.7394 | 4.3084 | −11.5657 | 20.1824 | 0.5842 | ||||
| DM | 3.6667 | −0.3773 | 7.7107 | 0.0740 | 4.8500 | −1.3710 | 11.0710 | 0.1221 | ||||
| Dyslipidemia | −0.6559 | −5.4824 | 4.1706 | 0.7837 | −1.9785 | −9.2835 | 5.3266 | 0.5850 | ||||
| CAD | −0.2727 | −8.3843 | 7.8389 | 0.9458 | −2.5455 | −14.8328 | 9.7419 | 0.6759 | ||||
| Medications | ||||||||||||
| Beta-blocker | 2.3333 | −0.9293 | 5.5960 | 0.1549 | 3.6667 | −1.2788 | 8.6121 | 0.1408 | ||||
| ARB or ACEI | 1.6842 | −0.1221 | 3.4905 | 0.0666 | 4.0000 | 1.2268 | 6.7732 | 0.0061 | ||||
| Pain duration (day) | 0.8062 | 0.1241 | 1.4883 | 0.0220 | 1.3816 | 0.3715 | 2.3916 | 0.0089 | ||||
| Pain score | 0.3061 | −0.0631 | 0.6753 | 0.1010 | 0.5685 | 0.0202 | 1.1168 | 0.0426 | ||||
| Abdominal pain | 3.2083 | 0.4309 | 5.9857 | 0.0249 | 5.7667 | 1.6969 | 9.8365 | 0.0069 | ||||
| Nausea | 0.2857 | −3.3082 | 3.8796 | 0.8724 | 2.8690 | −2.4933 | 8.2314 | 0.2839 | ||||
| Vomiting | 1.2857 | −2.0723 | 4.6437 | 0.4412 | 3.1852 | −1.8340 | 8.2044 | 0.2054 | ||||
| CT morphology | ||||||||||||
| SMA dissection length | 0.4811 | 0.0421 | 0.9201 | 0.0327 | 0.4627 | 0.0457 | 0.8797 | 0.0306 | ||||
| TLD_T0 (mm) | −0.2562 | −1.1679 | 0.6554 | 0.5710 | −0.5638 | −1.9407 | 0.8130 | 0.4104 | ||||
| TD_T0 (mm) | −8.0605 | −14.3173 | −1.8036 | 0.0132 | −19.0484 | −26.9669 | −11.1299 | <0.0001 | ||||
| FD_T0 (mm) | −0.1159 | −1.0388 | 0.8070 | 0.7998 | −0.2314 | −1.6321 | 1.1693 | 0.7387 | ||||
| Yun I | 0.0000 | . | . | . | 0.0000 | . | . | . | ||||
| Yun IIa | 0.6000 | −4.6048 | 5.8048 | 0.8155 | 1.7500 | −6.0641 | 9.5641 | 0.6507 | ||||
| Yun IIb | 3.1739 | −1.0294 | 7.3772 | 0.1335 | 5.0978 | −1.2126 | 11.4083 | 0.1094 | ||||
| Yun III | 0.5000 | −6.2194 | 7.2194 | 0.8802 | 8.7500 | −1.3379 | 18.8379 | 0.0867 | ||||
| Treatment | ||||||||||||
| Anticoagulation | 2.7571 | 0.1552 | 5.3591 | 0.0385 | 3.3500 | −0.7044 | 7.4044 | 0.1021 | ||||
| EVT | 3.1028 | 0.3944 | 5.8112 | 0.0261 | 7.5020 | 3.9657 | 11.0383 | 0.0001 | ||||
| Multiple linear regression | ||||||||||||
| EVT | 0.7793 | −2.3222 | 3.8807 | 0.6099 | 2.9964 | −0.1124 | 6.1052 | 0.0582 | ||||
| Conservative | EVT | |||||||||
|---|---|---|---|---|---|---|---|---|---|---|
| SMA Remodeling | CT Morphology | N = 17 | Median | IQR | (Q25–Q75) | N = 8 | Median | IQR | (Q25–Q75) | p-Value |
| TLD difference (T1–T0) | Yun I | 3 | 0.000 | 0.220 | (−0.120–0.100) | 0 | NA | NA | NA | |
| Yun IIa | 3 | −0.020 | 0.260 | (−0.200–0.060) | 0 | NA | NA | NA | ||
| Yun IIb | 10 | −0.055 | 0.400 | (−0.400–0.000) | 7 | −0.170 | 0.300 | (−0.400–0.100) | 0.3671 | |
| Yun III | 1 | 0.000 | 0.000 | (0.000–0.000) | 1 | NA | NA | NA | ||
| TD difference (T1–T0) | Yun I | 3 | 0.000 | 0.100 | (0.000–0.100) | 0 | NA | NA | NA | |
| Yun IIa | 3 | 0.100 | 0.180 | (0.000–0.180) | 0 | NA | NA | NA | ||
| Yun IIb | 10 | 0.140 | 0.150 | (0.100–0.250) | 7 | 0.700 | 0.400 | (0.400–0.800) | 0.0266 | |
| Yun III | 1 | 0.100 | 0.000 | (0.100–0.100) | 1 | NA | NA | NA | ||
| FD difference (T1–T0) | Yun I | 3 | −0.100 | 0.220 | (−0.120–0.100) | 0 | NA | NA | NA | |
| Yun IIa | 3 | −0.200 | 0.360 | (−0.300–0.060) | 0 | NA | NA | NA | ||
| Yun IIb | 10 | −0.300 | 0.700 | (−0.560–0.140) | 7 | −0.800 | 0.100 | (−0.800–0.700) | 0.0120 | |
| Yun III | 1 | −0.100 | 0.000 | (−0.100–0.100) | 1 | −1.000 | 0.000 | (−1.000–1.000) | ||
Publisher’s Note: MDPI stays neutral with regard to jurisdictional claims in published maps and institutional affiliations. |
© 2022 by the authors. Licensee MDPI, Basel, Switzerland. This article is an open access article distributed under the terms and conditions of the Creative Commons Attribution (CC BY) license (https://creativecommons.org/licenses/by/4.0/).
Share and Cite
Yu, S.-H.; Hii, I.-H.; Wu, I.-H. Comparison of Superior Mesenteric Artery Remodeling and Clinical Outcomes between Conservative or Endovascular Treatment in Spontaneous Isolated Superior Mesenteric Artery Dissection. J. Clin. Med. 2022, 11, 465. https://doi.org/10.3390/jcm11020465
Yu S-H, Hii I-H, Wu I-H. Comparison of Superior Mesenteric Artery Remodeling and Clinical Outcomes between Conservative or Endovascular Treatment in Spontaneous Isolated Superior Mesenteric Artery Dissection. Journal of Clinical Medicine. 2022; 11(2):465. https://doi.org/10.3390/jcm11020465
Chicago/Turabian StyleYu, Sz-Han, Ing-Heng Hii, and I-Hui Wu. 2022. "Comparison of Superior Mesenteric Artery Remodeling and Clinical Outcomes between Conservative or Endovascular Treatment in Spontaneous Isolated Superior Mesenteric Artery Dissection" Journal of Clinical Medicine 11, no. 2: 465. https://doi.org/10.3390/jcm11020465
APA StyleYu, S.-H., Hii, I.-H., & Wu, I.-H. (2022). Comparison of Superior Mesenteric Artery Remodeling and Clinical Outcomes between Conservative or Endovascular Treatment in Spontaneous Isolated Superior Mesenteric Artery Dissection. Journal of Clinical Medicine, 11(2), 465. https://doi.org/10.3390/jcm11020465

