Abstract
Background: Chronic non-specific neck pain (CINP) is common, but the etiology remains unclear. This study aimed to examine the relationship between cervical muscle composition (cervical multifidus and longus capitis/longus colli), morphometry, range of movement, muscle function, and disability severity (Neck Disability Index) in patients with CINP. Methods: From September 2020 to July 2021, subjects underwent cervical MRI and clinical tests (cervical range of motion, cranio-cervical flexion test, neck flexor, and extensor muscle endurance). MRI analysis comprised muscle cross-sectional area, volume, and fat infiltration of multifidus and longus colli between C4 and C7 levels. Results: Twenty-five participants were included. Multiple linear regression analysis indicated that NDI was positively correlated with the volume percentage of fat infiltration of the multifidus (B = 0.496), negatively correlated with fat-free muscle volume of the multifidus normalized by subject height (B = −0.230), and accounted for 32% of the variance. There was no relationship between neck disability and longus capitis/longus colli morphology. We also found no relationship between neck disability scores, neck flexor or extensor muscle endurance, or the outcome motor control test of craniocervical flexion (p > 0.05). Conclusions: Neck disability was moderately correlated with the percentage of fat volume in the multifidus muscle and fat-free volume of the multifidus. There was no relationship between NDI scores and muscle function test outcomes or any fat or volume measures pertaining to the longus colli muscle.
1. Introduction
Neck pain is common in the general population [1] and, as reported in the Global Burden of Disease Study, is a leading cause of disability worldwide [2], requiring special attention from healthcare providers and researchers [3]. Non-specific or idiopathic neck pain is the most common disorder [4]. Although the etiology of chronic non-specific neck pain (CINP) remains unclear, recent systematic reviews recommend conservative treatment. Specific exercises for the neck and axioscapular muscles are beneficial for these patients [5,6]. Hence, several studies have investigated neck muscle impairments in patients with CINP to guide specific and effective exercises.
Several impairments have been identified in neck flexor motor control. In the motor control task of craniocervical flexion, activity levels of the deep neck flexors (longus capitus/longis colli) were shown to be reduced in patients with CINP, while activity in the superficial flexors was increased compared to controls [7,8]. Delayed onsets of the cervical flexor and extensor muscles have also been recorded during arm movements and body perturbation tasks in these patients [7,9]. Reductions in strength production and endurance occur in both the craniocervical and cervical flexors and cervical extensors in people with CINP [10,11,12,13]. CINP-related alterations in cervical muscle morphometry and composition have also been revealed. Specifically, a reduction in size of the multifidus, semispinalis cervicis [14,15], and the deep longus colli muscles [15,16] have been identified using ultrasound imaging. Reduced cross-sectional area (CSA) [17,18] and volume [19] of multifidus and semispinalis cervicis have been measured with magnetic resonance imaging (MRI). In contrast, no changes in size were found in the superficial neck muscles (semispinalis capitis, splenius capitis) [14,20] or sternocleidomastoid [20] with ultrasound imaging (US).
Despite evidence of muscle function alterations, morphometry, and composition in patients with CINP, there is little information about the relationship between impairments of these muscles and patient-reported neck disability or pain. Understanding the relationship between precise neck muscle impairments and disability might further help target specific exercises for appropriate management of CINP. Previous studies have produced mixed results regarding associations between pain or disability and deep neck flexor, neck flexor, and extensor muscle endurance [11,20,21,22]. From a morphological perspective, weak negative correlations have been demonstrated between pain and US measures of multifidus thickness [14,23], as well as disability with semispinalis cervicis muscle thickness [14].
MRI presents the best and most precise non-invasive examination of muscle morphometry and composition [24]. Of the three studies that have assessed neck muscle morphometry in patients with CINP, two assessed neck muscle CSA [17,18] and one measured neck muscle volume [19]. To date, no study has assessed the volume of fat infiltration in neck muscles and its association with disability severity in this patient group. Recently, MRI-based studies have quantified the pathobiology of changes in muscle morphometry (atrophy) and composition (fatty infiltration) in patients with other neck disorders [25,26,27]. Significantly higher fat infiltration has been demonstrated in the multifidus of patients with degenerative cervical myelopathy [25] and with recalcitrant whiplash-associated disorders [26]. Fatty infiltration has been associated with poor outcomes (on the basis of the Neck Disability Index) for patients with whiplash-associated disorders [28,29], as well as with poor functional recovery after surgery among people with cervical degenerative myelopathy [30]. Patients with whiplash-associated disorders with severe disability had 45% greater fat infiltration compared to those with mild to moderate disability [31]. Furthermore, those who recovered had significantly less neck muscle fat infiltration in the multifidus muscle [26]. There is little knowledge, however, of any relationship between MRI measures of neck muscle morphology and composition and disability in patients with CINP that could improve our understanding of this burdensome disorder for diagnosis and management.
This study aimed to examine the relationship between disability severity evaluated by the Neck Disability Index (NDI) and cervical muscle composition, morphometry, and function (atrophy, fat infiltration, motor control, and muscle endurance) in patients with CINP. The deep cervical flexor (longus colli) and extensor (multifidus) muscles were targeted as composition and morphometry changes have been found in these muscles in other neck disorders. We hypothesized that the significant part of the NDI score variance would be explained by muscle composition and morphometry (volume, fat infiltration) and muscle function (motor control and muscle endurance).
2. Materials and Methods
2.1. Participants
Participants were selected from consecutive patients referred to the Neurosurgery Department, Centre Hospitalier Universitaire Réunion, France, from September 2020 to July 2021 (La Reunion, France). They were included if aged between 18 and 65 years and had non-specific neck pain for at least 3 months (chronic) with symptoms provoked by neck movement. Patients were excluded if they presented a history of head or neck surgery, whiplash, or neurologic features; neck or thoracic fracture; cancer; rheumatoid arthritis; drug or alcohol abuse; or recent neck, shoulder, or thoracic rehabilitation.
All subjects gave their informed consent for inclusion before they participated in the study. This observational cross-sectional study was approved by the local ethics committee (Comité de Protection des Personnes Sud Est V-No. 20.04.09.51157).
2.2. Experimental Procedure
Participants provided demographic information and completed the French version of the Neck Disability Index (NDI) [32]. The NDI is the most widely used assessment tool measuring disability in patients with acute and chronic neck pain or neck injury. It has been shown as an efficient and trustworthy tool to measure and monitor neck-related disability [33]. The NDI contains 10 items: pain, personal care, lifting, reading, headaches, concentration, work, driving, sleeping, and recreation. Each item is scored on a 0 to 5 rating scale. The NDI is scored with points summed/50 and expressed as a percent: 0–4 points (0–8%) no disability, 5–14 points (10–28%) mild disability, 15–24 points (30–48%) moderate disability, 25–34 points (50–64%) severe disability, and 35–50 points (70–100%) complete disability.
Participants also completed the 12-Item Short Form Health Survey (SF-12) [34], the Pain Catastrophizing Scale, and the Numeric Pain Rating Scale [35]. One physiotherapist who was blind to the initial assessment and imagery of each participant (NDI, pain, MRI) performed all clinical tests, which included the craniocervical flexion test (CCFT), neck flexor and neck extensor muscle endurance tests, and measures of cervical range of motion.
2.3. Cranio-Cervical Flexion Test
CCFT evaluates deep neck flexor (longus colli, longus capitis) activation and low-load endurance capacity. The test was performed in supine position, as previously described by Jull et al. [8]. Patients were asked to attempt five progressives inner range contractions guided by feedback from a pressure sensor placed behind their neck and pre-inflated to a baseline of 20 mmHg (Chattanooga Stabilizer Group Inc., Hixson, TN, USA) (Figure 1). Participants were asked to nod the chin (as if saying “yes”) to reach each 2 mmHg incremental target from 22 mmHg to 30 mmHg, and to hold the position for 10 s. Craniocervical flexion for each increment was repeated 3 times. The test was stopped if the patient was unable to hold the position, if they performed a retraction action, or if holding the position was jerky. The pressure level at which the participant could control the contraction for three repetitions was documented for analysis. CCFT has excellent intrarater reliability with an intra correlation class coefficient (ICC) of 0.98 and interval of confidence of 95% (95%IC) ranged between 0.95 and 0.90 [36], with good validity [37,38], with standard error of measurement less than 1.7 mmHg [38].
Figure 1.
Craniocervical flexion test.
2.4. Neck Flexor and Extensor Muscle Endurance
Muscle endurance tests were performed as previously described for the neck flexor [39] and extensor muscles [40]. For the neck flexor test, participants were supine. They performed maximal upper cervical flexion by tucking the chin to the throat and then lifting the head up 2 cm. The examiner placed their hand between the bed and back of the head. Participants had to hold the position for as long as possible. The test ended if the upper cervical flexion position was lost (the chin lifted), the participant’s head touched the clinician’s hand for more than 1 s [41], or the participant was unable to hold the head position. This test has excellent reliability with an ICC of 0.93 (95%IC: 0.86–0.97) and a standard error of measurement (SEM) of 6.4 seconds (s) [39].
For the neck extensor endurance test, participants were positioned in prone, lying with their head extended off the bed [42]. Arms were alongside their body, and the trunk was stabilized with a belt positioned over the scapular region. A 2 kg weight was suspended from the head. The instruction was to tuck the chin and maintain the head position for as long as possible. The test stopped when the weight touched the ground for more than 2 s [42]. This test has moderate intra-examiner reliability with ICC of 0.88 (95%IC: 0.75–0.95) [39].
2.5. Cervical Range of Motion
Cervical range of motion in flexion/extension, lateral flexion, and rotation were measured using an iPhone 7 (Apple Inc., Cupertino, CA, USA) fixed on the patient’s head. The procedure was undertaken as previously described by Guidetti et al. [43]. This method has excellent reliability (ICC’s range from 0.998 to 0.999 (95%CI: 0.996–0.999)) [43].
2.6. Muscle Cross-Sectional Area, Volume, and Fat Infiltration
MRI acquisition of muscle morphological measures was obtained using a conventional spin-echo pulse sequence, time repetition of 1250 ms, time echo of 123 ms, resolution 256 × 236, and field of view (FOV) 100%, with a time acquisition of 2 min and 3 s (Simens, Erlangen, Germany). Measures of multifidus and longus colli CSAs were taken from a T2-weighted axial MR image using Osirix (Version 1.43, National Institutes of Health, Bethesda, MD, USA) (Figure 2). Two examiners who were blind to the conditions of the participants and other clinical parameters measured the cross-sectional areas of the longus colli and multifidus muscles. The agreement of the two examiners was considered for analysis. Measurements were obtained bilaterally at the mid-disc level of C3/4, C4/5, C5/6, and C6/7. This method of CSA measurement has excellent intra-rater reliability with ICC of 0.96 (95%CI: 0.91–0.98) for novices and 0.99 (95%CI: 0.98–0.99) for experts [24,44].
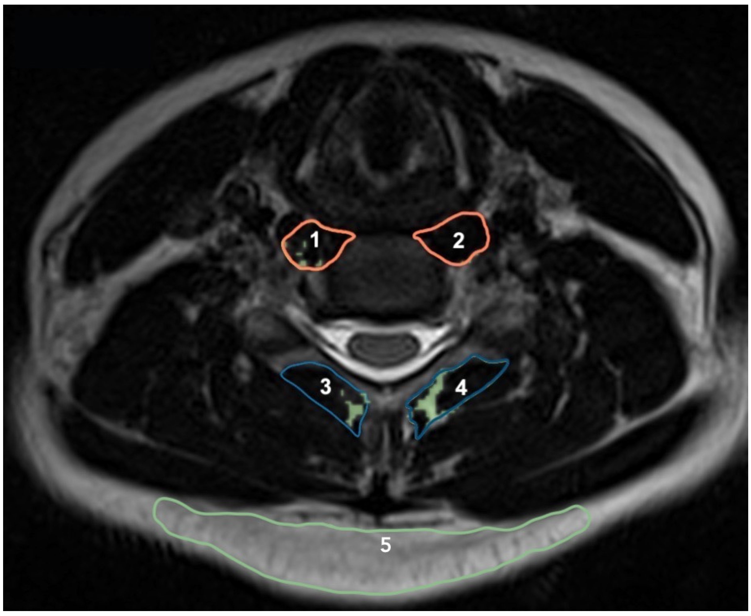
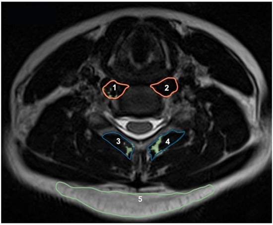
Figure 2.
Measurement of cross-sectional area of the longus colli (1 and 2), multifidus (3 and 4), fat of posterior subcutaneous (5), and muscle fat infiltration (in green) at the C5-C6 level.
Fat infiltration was measured by semi-automatic selection of a threshold signal within the total muscle CSA, which included only pixels corresponding to non-fat signals. Because of the heterogeneity of the fat signal intensity between participants, threshold was determined by minimal pixel intensity of posterior subcutaneous fat measured at C4/5, C5/6, C5/6, and C6/7 levels (Figure 2). This thresholding technique has been previously described [24]. Measurements of interest included fat-free muscle CSA of longus colli (rCSA-Colli, in mm2) and multifidus (rCSA-Multifidus, in mm2), as well as percentage of fat in muscle area (muscle fat infiltration, MFI) of longus colli (%MFI-CSA-Colli) and multifidus (%MFI-CSA-Multifidus) at C3/4, C4/5, C5/6, and C6/7 using the following formulas:
fat-free Longus colli CSA (rCSA-Longus colli) = (CSALongus colli) − (Longus colli fat)
fat-free Multifidus CSA (rCSA-Multifidus) = (CSAMultifidus) − (Multifidus fat)
%MFI-CSA-Multifidus = (CSAMultifidus fat/CSAMultifidus) × 100
%MFI-CSA-Colli = (CSAColli fat/CSA Colli) × 100
Multifidus and longus colli muscle volumes were calculated by a 3D multiplanar reconstruction of the muscles using Osirix (Figure 3) [45]. They were based on CSA measurements obtained on each slice every 3 mm from C4 to C7 for the multifidus and from C3 to C7 for the longus colli muscle. Fat-free muscle volume of longus colli (rVOL-Colli, in mm3) and multifidus (rVOL-Multifidus, in mm3) as well as percentage of fat in muscle volume of longus colli (%MFI-VOL-Colli) and multifidus (%MFI-VOL-Multifidus) were determined using the following formulas:
rVOL-Multifidus = (Multifidus Volume) − (Volume of Fat in Multifidus)
rVOL-Longus colli = (Longus colli Volume) − (Volume of Fat in Longus colli)
% Fat Muscle volume (%MFI-VOL-Muscle) = (Volume of Fat in muscle)/(Muscle Volume) × 100
Figure 3.
A three-dimensional multiplanar reconstruction of the multifidus muscle (a) and fat infiltration of the multifidus muscle (b).
Because muscle volume can vary according to height, fat-free muscle volume was also normalized by the participant’s height for the multifidus (Norm-rVOL-Multifidus) and the longus colli (Norm-rVOL-Colli) with the following formula:
Normalized fat-free muscle volume = (Fat-free muscle volume)/(participant’s height).
2.7. Statistical Analysis
Statistical analysis was conducted using SPSS (IBM SPSS 23.0; IBM Corp. Armonk, NY, USA). Normal distribution was assessed using the Shapiro–Wilk test. Bivariate correlation analyses were performed between NDI and neck muscle parameters using Pearson or Spearman correlation analysis. Correlation coefficients were considered low if between 0.30 and 0.50, moderate if between 0.50 and 0.70, high if between 0.70 and 0.90, and very high if between 0.90 and 1.00 [46]. The level of statistical significance was set at p < 0.05. A correlation matrix was generated to examine the data for multicollinearity. After this preliminary analysis, a multiple linear regression analysis was conducted to assess the relationship between NDI and neck muscle parameters. Selection of the best fit model was determined by significant main effects and interaction effects providing an overall significant model F-statistic (p < 0.05) and adjusted r2.
3. Results
From 38 volunteers who were considered, 25 were included in this study (20 females and 5 males). Those not included (n = 13) had shoulder pain without cervical involvement n = 4, disability-related to low pain back n = 2, concomitant carpal tunnel syndrome n = 1, clinical depression n = 1, or MRI data not usable n = 5.
Participants (n = 25) had a mean age of 47.3 ± 9.6 years, height of 1.66 ± 0.1 m, and body mass index of 24.6 ± 5.2 kg/m2.
Participant clinical characteristics and measures of neck muscle function are presented in Table 1 and Table 2. MRI measures of multifidus cervical muscle cross-sectional area were 215.4 ± 50.3 mm2, 251.5 ± 51.3 mm2, 266.3 ± 54.9 mm2, and 348.1 ± 97.9 mm2 at C3/4, C4/5, C5/6, and C6/7 levels, respectively. MRI measures of cervical muscle cross-sectional area and volume are presented in Table 3 and Table 4.
Table 1.
Clinical characteristics of the participants (n = 25).
Table 2.
Functional measures of the neck muscles.
Table 3.
MRI measures of the neck muscles’ cross-sectional areas.
Table 4.
MRI volume measures of the neck muscles.
The bivariate correlation analysis revealed that there were moderate correlations between NDI and %Fat Multifidus-Vol (r = 0.572; p = 0.003) and %Fat Multifidus-CSA at C6/7 (r = 0.552; p = 0.004), and low correlation between NDI and %Fat Multifidus-CSA at C4/5 (r = 0.497; p = 0.011) and C5/6 (r = 0.498; p = 0.011) (Table 5). There were moderate and negative correlation between NDI and rCSA-Multifidus at C6/7 (r = −0.548; p = 0.005).
Table 5.
Correlation between muscle parameters and neck disability index.
There were no correlations between the NDI and any measures of longus colli.
Multiple linear regression did not include CSA variables so as to avoid collinearity with their respective volume variables. As expected, CSA measurements (C3/4, C4/5, C5/6, C6/7) were significantly correlated to their respective muscle volume variables (%MFI-Multifidus at C3/4, C4/5, C5/6, C6/7, and %MFI-Vol-Multidus). Multiple linear regression analysis with backward elimination method was performed with NDI as the independent variable, and CCFT, neck flexor and extensor endurance, %MFI-Vol-Multifidus, %MFI-Vol-Colli, Norm-r-Vol-Multifidus, and Norm-r-Vol-Colli as dependent variables. One model was significant and obtained the best adjusted r2 (adjusted r2 = 0.317). In this model, NDI had a significant positive correlation with %MFI-Vol-Multifidus (B = 0.496) and a negative correlation with Norm-r-Vol-Multifidus (B = −0.230) (p = 0.006). Together, the variance of both parameters explained 32% of the variance of NDI.
4. Discussion
This study examined the relationship between neck disability severity as evaluated by the Neck Disability Index (NDI) and cervical muscle morphology and composition (fat and fat-free muscle volumes) and function (motor control and muscle endurance) in patients with CINP. We hypothesized that the majority of NDI variance would be explained by these measures.
This study determined that the NDI score was moderately and significantly correlated with the percentage of multifidus volume fat infiltration (%Fat Multifidus-Vol). There was an overall low correlation between the NDI score and the volume of the multifidus after fat had been removed and the measure adjusted for height (Norm-rVOL-Multifidus). Together, these parameters explained 32% of the variance of NDI.
Our measures of multifidus CSA were similar to those reported in persons with whiplash-associated disorders (270–290 mm2 at C5) [31] and in patients prior to cervical spine decompression surgery (294.2 mm2 at C5/6) [47]. Likewise, our measures of multifidus fat infiltration were similar to those documented in whiplash-associated disorders (17–29.8%) [28,31] and in patients prior to cervical spine decompression surgery (31.7%) [25]. Fat infiltration in the cervical multifidus muscle has been well documented, notably in persons with whiplash-associated disorders who had poor recovery after injury and higher disability [26,28,31,48], as well as in patients with degenerative cervical myelopathy with poor functional recovery after surgery [30]. While the findings of our study in patients with CINP concur with these observations, they contrast with the results of Elliott et al. [17], who found that cervical multifidus fat infiltration at C5/6 in their cohort of patients with CINP was not significantly different from asymptomatic participants. This disparity might reflect the heterogeneity of neck pain disorders within this very broad classification. The cohort of patients with CINP of Elliott et al. [17] was recruited from advertising in the community (NDI = 21.9% ± 7.5), whereas our cohort included patients who had been referred to a neurosurgery department (NDI = 38.6% ± 12.3). One could speculate that our participants had more advanced pathologies akin to patients with poor recovery from whiplash injury (NDI = 45.5% ± 15.8) [17].
For the longus colli muscle, our study determined that the NDI was unrelated to any fat or volume measures pertaining to the longus colli muscle. Our values obtained for neck flexor muscle CSA were similar to those reported for longus capitis for CINP and WAD [17], but fat infiltration of longus capitis was lower [17]. It is possible that the deep flexor muscles are less readily subject to this change compared to the cervical multifidus.
The results of our study also indicated no relationship between NDI scores and neck flexor or extensor muscle endurance, or the outcome of the low-load motor control test of craniocervical flexion. These results are similar with the discrepancy found by Martins et al. [11]. Endurance or low-load motor control tests were not associated with either CSA or MFI of muscles.
Multiple linear regression analysis indicated that NDI was positively correlated with the volume percentage of fat infiltration of the multifidus (B = 0.496), negatively correlated with fat-free muscle volume of the multifidus normalized by subject height (B = −0.230), and accounted for 32% of the variance. A negative association in patients with CINP between the NDI and the cross-sectional area of semispinalis cervicis (a deep muscle closely positioned to the multifidus) was also found in an ultrasound imaging study [14]. Together, these findings suggest that while both morphometry and composition of multifidus may influence NDI, there are undoubtedly many other factors across physical, physiological, and psychological domains that may also contribute to the NDI score. Nevertheless, the development and magnitude of fat infiltration in multifidus cervical muscle has been shown to be an important predictor of poor outcomes following a whiplash injury [28]. It is unknown as to whether these quantitative measures would be helpful in predicting the progression of disease in CINP, but it is a reasonable area for future research. Winslow et al. [49] demonstrated the predictive value of the measure of fat infiltration of the lumbar multifidus for return to sport in young athletes with extension-based lower back pain. treatment.
We measured the fat infiltration in the multifidus and longus colli muscles at four cervical segments, from C3/4 to the C6/7, in our participants with CINP. Fat infiltration was greatest at the C6/7 (41.1%) and C3/4 (36.9%) levels and lesser at the C5/6 (25.5%) and C4/5 (20.6%) levels. This distribution is not dissimilar to that documented by Elliott et al. [50] in a cohort with whiplash-associated disorders. It is possible that this distribution may relate to the frequency or magnitude of pathologies at the respective segments. Interestingly, recent studies have shown greater fat infiltration in the cervical multifidus in patients with whiplash-associated disorders compared with healthy persons, but no difference in fat infiltration in the lower limb muscles [51,52]. This suggests that fat infiltration in multifidus is a local effect rather than a systemic effect of age or activity. Experimental studies of the lumbar region in animal and human models have found that local inflammatory processes occur specifically in deep posterior spine muscles, which increases the muscle fiber transition and intramuscular fat in the multifidus muscle [53,54]. Similar mechanisms could explain the fat infiltration in the cervical multifidus in patients with CIPN, but this is yet to be verified in a controlled environment. In a longitudinal study of patients with acute whiplash injury (<3 weeks) [55], it was shown that there was a moderate negative correlation between serum inflammatory biomarker levels (notably TNF-α) and amount of fatty muscle infiltrate in the cervical extensor muscles at 3 months. Hence, both local and systemic mechanisms need to be researched to fully understand the reasons for and differing magnitudes of morphological change in the deep cervical muscles. Theses findings may have direct clinical implications for the management of chronic non-specific neck pain by prescribing specific exercises which could contribute to changing muscle fat infiltration.
5. Strengths and Limitations
A strength of our study was that we measured the volume of fat infiltration in neck muscles. This improves 2D methods that may suffer from errors of measurement associated with partial volume effect [56]. A recent systematic review advocated for 3D muscle morphometry (used in this study) to be the standard method to determine if fat infiltration is a relevant marker for chronic neck pain [57]. Our measures are an average between sides, a method supported by Yun et al. [58] who found no significant difference in neck muscle CSA or relative muscle CSA (relative fat infiltration) between the affected and unaffected side in patients with chronic cervical radiculopathy.
A clear limitation of our study was the neglect to measure all flexor and extensor muscles (both deep and superficial) as well as serum inflammatory biomarker levels (notably TNF-α) [55] or microRNA let-7i-5p [59] in exploring the relationship between muscle function measures and morphological change. Future studies might also examine the relationship between muscle morphological change and other factors such as psychological states.
The angles of cervical lordosis were also not considered in this study and may be a consideration in future research as relationships are very uncertain. A correlation has been found between semispinalis cervicis CSA and loss of cervical lordosis [60,61], but 2D-measurement used in these studies may lead to errors of measurement associated with partial 3-D volume effect. The loss of cervical kyphosis leads to increasing the length and decreasing the CSA of the neck extensors. Studies found that cervical lordosis was correlated with fat infiltration of deep neck extensors (multifidus, spinalis cervicis, and capitis) at the C4/5 and C7/T1 segments [62] but not at C5/6 [63]. Xing-Jin Wang et al. [64] found no differences in cervical lordosis angle in patients with more extensor muscle fat infiltration. Future research is needed to investigate the effect of disk degeneration on spinal alignment and muscle composition.
6. Conclusions
This study examined the relationship between severity of neck disability reported by participants with chronic non-specific neck pain and cervical muscle structure (atrophy, fat infiltration) and function (motor control and muscle endurance). Neck disability was moderately correlated with the percentage of fat volume in the multifidus muscle and fat-free volume of the multifidus, and it explained 32% of the variance. Neck disability was unrelated to any fat or volume measures pertaining to the longus colli muscle. There was no relationship between NDI scores and muscle function test outcomes.
Author Contributions
Conceptualization, F.G., T.C., S.F., N.P., G.J. and T.G.; investigation, F.G., T.G., T.C., N.P. and S.F.; methodology, F.G., S.F., T.C., N.P., G.J. and T.G.; project administration, F.G., S.F., T.C. and N.P.; supervision, S.F., T.C., N.P. and G.J.; writing—review and editing F.G., T.G., N.P., T.C., S.F. and G.J.; N.P. and T.C. contributed equally to this work and jointly supervised this work. All authors have read and agreed to the published version of the manuscript.
Funding
This research received no external funding.
Institutional Review Board Statement
The study was conducted in accordance with the Declaration of Helsinki and approved by the local ethics committee of Sud Est V (Comité de Protection des Personnes Sud Est V-No. 20.04.09.51157, 11 September 2020).
Informed Consent Statement
Informed consent was obtained from all subjects involved in the study.
Data Availability Statement
The data are not publicly available due to privacy or ethical restrictions. Data belongs to the local hospital research. The findings of this study are available from the corresponding author upon reasonable request.
Conflicts of Interest
The authors declare no conflict of interest.
References
- Safiri, S.; Kolahi, A.-A.; Hoy, D.; Buchbinder, R.; Mansournia, M.A.; Bettampadi, D.; Ashrafi-Asgarabad, A.; Almasi-Hashiani, A.; Smith, E.; Sepidarkish, M.; et al. Global, Regional, and National Burden of Neck Pain in the General Population, 1990–2017: Systematic Analysis of the Global Burden of Disease Study 2017. BMJ 2020, 368, m791. [Google Scholar] [CrossRef]
- Vos, T.; Lim, S.S.; Abbafati, C.; Abbas, K.M.; Abbasi, M.; Abbasifard, M.; Abbasi-Kangevari, M.; Abbastabar, H.; Abd-Allah, F.; Abdelalim, A.; et al. Global Burden of 369 Diseases and Injuries in 204 Countries and Territories, 1990–2019: A Systematic Analysis for the Global Burden of Disease Study 2019. Lancet 2020, 396, 1204–1222. [Google Scholar] [CrossRef]
- Hoy, D.G.; Protani, M.; De, R.; Buchbinder, R. The Epidemiology of Neck Pain. Best Pract. Res. Clin. Rheumatol. 2010, 24, 783–792. [Google Scholar] [CrossRef] [PubMed]
- Hogg-Johnson, S.; van der Velde, G.; Carroll, L.J.; Holm, L.W.; Cassidy, J.D.; Guzman, J.; Côté, P.; Haldeman, S.; Ammendolia, C.; Carragee, E.; et al. The Burden and Determinants of Neck Pain in the General Population. Spine 2008, 33, S39–S51. [Google Scholar] [CrossRef]
- Gross, A.; Kay, T.M.; Paquin, J.P.; Blanchette, S.; Lalonde, P.; Christie, T.; Dupont, G.; Graham, N.; Burnie, S.J.; Gelley, G.; et al. Exercises for Mechanical Neck Disorders. Cochrane Database Syst. Rev. 2015, 2015, CD004250. [Google Scholar] [CrossRef]
- Blanpied, P.R.; Gross, A.R.; Elliott, J.M.; Devaney, L.L.; Clewley, D.; Walton, D.M.; Sparks, C.; Robertson, E.K. Neck Pain: Revision 2017. J. Orthop. Sports Phys. Ther. 2017, 47, A1–A83. [Google Scholar] [CrossRef]
- Falla, D.; Bilenkij, G.; Jull, G. Patients with Chronic Neck Pain Demonstrate Altered Patterns of Muscle Activation during Performance of A Functional Upper Limb Task. Spine 2004, 29, 1436–1440. [Google Scholar] [CrossRef]
- Jull, G.A.; O’Leary, S.P.; Falla, D.L. Clinical Assessment of the Deep Cervical Flexor Muscles: The Craniocervical Flexion Test. J. Manip. Physiol. Ther. 2008, 31, 525–533. [Google Scholar] [CrossRef] [PubMed]
- Boudreau, S.A.; Falla, D. Chronic Neck Pain Alters Muscle Activation Patterns to Sudden Movements. Exp. Brain Res. 2014, 232, 2011–2020. [Google Scholar] [CrossRef] [PubMed]
- Ghamkhar, L.; Kahlaee, A.H.; Nourbakhsh, M.R.; Ahmadi, A.; Arab, A.M. Relationship Between Proprioception and Endurance Functionality of the Cervical Flexor Muscles in Chronic Neck Pain and Asymptomatic Participants. J. Manip. Physiol. Ther. 2018, 41, 129–136. [Google Scholar] [CrossRef] [PubMed]
- Martins, F.; Bento, A.; Silva, A.G. Within-Session and Between-Session Reliability, Construct Validity, and Comparison Between Individuals with and without Neck Pain of Four Neck Muscle Tests. PM&R 2018, 10, 183–193. [Google Scholar] [CrossRef]
- O’Leary, S.; Hoogma, C.; Solberg, Ø.M.; Sundberg, S.; Pedler, A.; Van Wyk, L. Comparative Strength and Endurance Parameters of the Craniocervical and Cervicothoracic Extensors and Flexors in Females with and without Idiopathic Neck Pain. J. Appl. Biomech. 2019, 35, 209–215. [Google Scholar] [CrossRef] [PubMed]
- Reddy, R.S.; Meziat-Filho, N.; Ferreira, A.S.; Tedla, J.S.; Kandakurti, P.K.; Kakaraparthi, V.N. Comparison of Neck Extensor Muscle Endurance and Cervical Proprioception between Asymptomatic Individuals and Patients with Chronic Neck Pain. J. Bodyw. Mov. Ther. 2021, 26, 180–186. [Google Scholar] [CrossRef] [PubMed]
- Kahlaee, A.H.; Rezasoltani, A.; Ghamkhar, L. Is the Clinical Cervical Extensor Endurance Test Capable of Differentiating the Local and Global Muscles? Spine J. 2017, 17, 913–921. [Google Scholar] [CrossRef] [PubMed]
- Ghamkhar, L.; Kahlaee, A.H. Is Forward Head Posture Relevant to Cervical Muscles Performance and Neck Pain? A Case-Control Study. Braz. J. Phys. Ther. 2019, 23, 346–354. [Google Scholar] [CrossRef]
- Amiri Arimi, S.; Ghamkhar, L.; Kahlaee, A.H. The Relevance of Proprioception to Chronic Neck Pain: A Correlational Analysis of Flexor Muscle Size and Endurance, Clinical Neck Pain Characteristics, and Proprioception. Pain Med. 2018, 19, 2077–2088. [Google Scholar] [CrossRef]
- Elliott, J.M.; Pedler, A.R.; Jull, G.A.; Van Wyk, L.; Galloway, G.G.; O’Leary, S.P. Differential Changes in Muscle Composition Exist in Traumatic and Nontraumatic Neck Pain. Spine 2014, 39, 39–47. [Google Scholar] [CrossRef] [PubMed]
- Van Looveren, E.; Cagnie, B.; Coppieters, I.; Meeus, M.; De Pauw, R. Changes in Muscle Morphology in Female Chronic Neck Pain Patients Using Magnetic Resonance Imaging. Spine 2021, 46, 638–648. [Google Scholar] [CrossRef]
- Snodgrass, S.J.; Croker, C.; Yerrapothu, M.; Shepherd, S.; Stanwell, P.; Holder, C.; Oldmeadow, C.; Elliott, J. Cervical Muscle Volume in Individuals with Idiopathic Neck Pain Compared to Asymptomatic Controls: A Cross-Sectional Mag-netic Resonance Imaging Study. Musculoskelet. Sci. Pract. 2019, 44, 102050. [Google Scholar] [CrossRef]
- Ghamkhar, L.; Kahlaee, A.H. Are Ultrasonographic Measures of Cervical Flexor Muscles Correlated with Flexion Endurance in Chronic Neck Pain and Asymptomatic Participants? Am. J. Phys. Med. Rehabil. 2017, 96, 874–880. [Google Scholar] [CrossRef]
- Falla, D.; O’Leary, S.; Farina, D.; Jull, G. The Change in Deep Cervical Flexor Activity after Training Is Associated with the Degree of Pain Reduction in Patients with Chronic Neck Pain. Clin. J. Pain 2012, 28, 628–634. [Google Scholar] [CrossRef] [PubMed]
- Parazza, S.; Vanti, C.; O’Reilly, C.; Villafañe, J.H.; Tricás Moreno, J.M.; Estébanez De Miguel, E. The Relationship between Cervical Flexor Endurance, Cervical Extensor Endurance, VAS, and Disability in Subjects with Neck Pain. Chiropr Man Therap 2014, 22, 10. [Google Scholar] [CrossRef]
- Baghi, R.; Rahnama, L.; Karimi, N.; Goodarzi, F.; Rezasoltani, A.; Jaberzadeh, S. Differential Activation of the Dorsal Neck Muscles During a Light Arm-Elevation Task in Patients with Chronic Nonspecific Neck Pain and Asymptomatic Controls: An Ultrasonographic Study. PMR 2017, 9, 699–706. [Google Scholar] [CrossRef] [PubMed]
- Fortin, M.; Dobrescu, O.; Jarzem, P.; Ouellet, J.; Weber, M.H. Quantitative Magnetic Resonance Imaging Analysis of the Cervical Spine Extensor Muscles: Intrarater and Interrater Reliability of a Novice and an Experienced Rater. Asian Spine J. 2018, 12, 94–102. [Google Scholar] [CrossRef] [PubMed]
- Cloney, M.; Smith, A.C.; Coffey, T.; Paliwal, M.; Dhaher, Y.; Parrish, T.; Elliott, J.; Smith, Z.A. Fatty Infiltration of the Cervical Multifidus Musculature and Their Clinical Correlates in Spondylotic Myelopathy. J. Clin. Neurosci. 2018, 57, 208–213. [Google Scholar] [CrossRef] [PubMed]
- Smith, A.C.; Albin, S.R.; Abbott, R.; Crawford, R.J.; Hoggarth, M.A.; Wasielew-ski, M.; Elliott, J.M. Confirming the Geography of Fatty Infiltration in the Deep Cervical Extensor Muscles in Whiplash Recovery. Sci. Rep. 2020, 10, 11471. [Google Scholar] [CrossRef]
- Elliott, J.M.; Smith, A.C.; Hoggarth, M.A.; Albin, S.R.; Weber, K.A.; Haager, M.; Fundaun, J.; Wasielewski, M.; Courtney, D.M.; Parrish, T.B. Muscle Fat Infiltration Following Whiplash: A Computed Tomography and Magnetic Resonance Imaging Comparison. PLoS ONE 2020, 15, e0234061. [Google Scholar] [CrossRef]
- Elliott, J.M.; Courtney, D.M.; Rademaker, A.; Pinto, D.; Sterling, M.M.; Parrish, T.B. The Rapid and Progressive Degeneration of the Cervical Multifidus in Whiplash: An MRI Study of Fatty Infiltration. Spine 2015, 40, E694–E700. [Google Scholar] [CrossRef]
- Abbott, R.; Pedler, A.; Sterling, M.; Hides, J.; Murphey, T.; Hoggarth, M.; Elliott, J. The Geography of Fatty Infiltrates within the Cervical Multifidus and Semispinalis Cervicis in Individuals with Chronic Whiplash-Associated Disorders. J. Orthop. Sports Phys. Ther. 2015, 45, 281–288. [Google Scholar] [CrossRef]
- Paliwal, M.; Weber, K.A.; Smith, A.C.; Elliott, J.M.; Muhammad, F.; Dahdaleh, N.S.; Bodurka, J.; Dhaher, Y.; Parrish, T.B.; Mackey, S.; et al. Fatty Infiltration in Cervical Flexors and Extensors in Patients with Degenerative Cervical Myelopathy Using a Multi-Muscle Segmentation Model. PLoS ONE 2021, 16, e0253863. [Google Scholar] [CrossRef] [PubMed]
- Karlsson, A.; Leinhard, O.D.; Åslund, U.; West, J.; Romu, T.; Smedby, Ö.; Zsigmond, P.; Peolsson, A. An Investigation of Fat Infiltration of the Multifidus Muscle in Patients with Severe Neck Symptoms Associated with Chronic Whiplash-Associated Disorder. J. Orthop. Sports Phys. Ther. 2016, 46, 886–893. [Google Scholar] [CrossRef]
- Wlodyka-Demaille, S.; Poiraudeau, S.; Catanzariti, J.-F.; Rannou, F.; Fermanian, J.; Revel, M. French Translation and Validation of 3 Functional Disability Scales for Neck Pain. Arch. Phys. Med. Rehabil. 2002, 83, 376–382. [Google Scholar] [CrossRef] [PubMed]
- Jones, C.; Sterling, M. Clinimetrics: Neck Disability Index. J. Physiother. 2021, 67, 144. [Google Scholar] [CrossRef] [PubMed]
- Gandek, B.; Ware, J.E.; Aaronson, N.K.; Apolone, G.; Bjorner, J.B.; Brazier, J.E.; Bullinger, M.; Kaasa, S.; Leplege, A.; Prieto, L.; et al. Cross-Validation of Item Selection and Scoring for the SF-12 Health Survey in Nine Countries: Results from the IQOLA Project. International Quality of Life Assessment. J. Clin. Epidemiol. 1998, 51, 1171–1178. [Google Scholar] [CrossRef]
- Hawker, G.A.; Mian, S.; Kendzerska, T.; French, M. Measures of Adult Pain: Visual Analog Scale for Pain (VAS Pain), Numeric Rating Scale for Pain (NRS Pain), McGill Pain Questionnaire (MPQ), Short-Form McGill Pain Questionnaire (SF-MPQ), Chronic Pain Grade Scale (CPGS), Short Form-36 Bodily Pain Scale (SF-36 BPS), and Measure of Intermittent and Constant Osteoarthritis Pain (ICOAP). Arthritis Care Res. 2011, 630 (Suppl. S11), S240–S252. [Google Scholar] [CrossRef]
- James, G.; Doe, T. The Craniocervical Flexion Test: Intra-Tester Reliability in Asymptomatic Subjects. Physiother. Res. Int. 2010, 15, 144–149. [Google Scholar] [CrossRef] [PubMed]
- Araujo, F.X.D.; Ferreira, G.E.; Scholl Schell, M.; Castro, M.P.D.; Ribeiro, D.C.; Silva, M.F. Measurement Properties of the Craniocervical Flexion Test: A Sys-tematic Review. Phys. Ther. 2020, 100, 1094–1117. [Google Scholar] [CrossRef] [PubMed]
- Jørgensen, R.; Ris, I.; Falla, D.; Juul-Kristensen, B. Reliability, Construct and Discriminative Validity of Clinical Testing in Subjects with and without Chronic Neck Pain. BMC Musculoskelet. Disord. 2014, 15, 408. [Google Scholar] [CrossRef]
- Edmondston, S.J.; Wallumrød, M.E.; Macléid, F.; Kvamme, L.S.; Joebges, S.; Brabham, G.C. Reliability of Isometric Muscle Endurance Tests in Subjects with Postural Neck Pain. J. Manip. Physiol. Ther. 2008, 31, 348–354. [Google Scholar] [CrossRef] [PubMed]
- Lourenço, A.S.; Lameiras, C.; Silva, A.G. Neck Flexor and Extensor Muscle Endurance in Subclinical Neck Pain: Intrarater Reliability, Standard Error of Measurement, Minimal Detectable Change, and Comparison with Asymptomatic Participants in a University Student Population. J. Manip. Physiol. Ther. 2016, 39, 427–433. [Google Scholar] [CrossRef]
- Harris, K.D.; Heer, D.M.; Roy, T.C.; Santos, D.M.; Whitman, J.M.; Wainner, R.S. Reliability of A Measurement of Neck Flexor Muscle Endurance. Phys. Ther. 2005, 85, 1349–1355. [Google Scholar] [CrossRef]
- Lee, H.; Nicholson, L.L.; Adams, R.D. Neck Muscle Endurance, Self-Report, and Range of Motion Data from Subjects with Treated and Untreated Neck Pain. J. Manip. Physiol. Ther. 2005, 28, 25–32. [Google Scholar] [CrossRef] [PubMed]
- Guidetti, L.; Placentino, U.; Baldari, C. Reliability and Criterion Validity of the Smartphone Inclinometer Application to Quantify Cervical Spine Mobility. Clin. Spine Surg. 2017, 30, E1359–E1366. [Google Scholar] [CrossRef]
- Belavý, D.L.; Miokovic, T.; Armbrecht, G.; Felsenberg, D. Evaluation of Neck Muscle Size: Long-Term Reliability and Comparison of Methods. Physiol. Meas. 2015, 36, 503–512. [Google Scholar] [CrossRef] [PubMed]
- Yao, F.; Wang, J.; Yao, J.; Hang, F.; Lei, X.; Cao, Y. Three-Dimensional Image Reconstruction with Free Open-Source OsiriX Software in Video-Assisted Thoracoscopic Lobectomy and Segmentectomy. Int. J. Surg. 2017, 39, 16–22. [Google Scholar] [CrossRef] [PubMed]
- Mukaka, M.M. Statistics Corner: A Guide to Appropriate Use of Correlation Coefficient in Medical Research. Malawi Med. J. 2012, 24, 69–71. [Google Scholar]
- Matsumoto, M.; Ichihara, D.; Okada, E.; Chiba, K.; Toyama, Y.; Fujiwara, H.; Momoshima, S.; Nishiwaki, Y.; Takahata, T. Cross-Sectional Area of the Posterior Extensor Muscles of the Cervical Spine in Whiplash Injury Patients versus Healthy Volunteers-10 Year Follow-up MR Study. Injury 2012, 43, 912–916. [Google Scholar] [CrossRef]
- Elliott, J.; Pedler, A.; Kenardy, J.; Galloway, G.; Jull, G.; Sterling, M. The Temporal Development of Fatty Infiltrates in the Neck Muscles Following Whiplash Injury: An Association with Pain and Posttraumatic Stress. PLoS ONE 2011, 6, e21194. [Google Scholar] [CrossRef]
- Winslow, J.; Getzin, A.; Greenberger, H.; Silbert, W. Fatty Infiltrate of the Lumbar Multifidus Muscles Predicts Return to Play in Young Athletes with Extension-Based Low Back Pain. Clin. J. Sport Med. 2019, 29, 37–42. [Google Scholar] [CrossRef]
- Elliott, J.; Jull, G.; Noteboom, J.T.; Darnell, R.; Galloway, G.; Gibbon, W.W. Fatty Infiltration in the Cervical Extensor Muscles in Persistent Whiplash-Associated Disorders: A Magnetic Resonance Imaging Analysis. Spine 2006, 31, E847–E855. [Google Scholar] [CrossRef]
- Pedler, A.; McMahon, K.; Galloway, G.; Durbridge, G.; Sterling, M. Intramuscular Fat Is Present in Cervical Multifidus but Not Soleus in Patients with Chronic Whiplash Associated Disorders. PLoS ONE 2018, 13, e0197438. [Google Scholar] [CrossRef] [PubMed]
- Karlsson, A.; Peolsson, A.; Elliott, J.; Romu, T.; Ljunggren, H.; Borga, M.; Dahlqvist Leinhard, O. The Relation between Local and Distal Muscle Fat Infiltration in Chronic Whiplash Using Magnetic Resonance Imaging. PLoS ONE 2019, 14, e0226037. [Google Scholar] [CrossRef] [PubMed]
- James, G.; Millecamps, M.; Stone, L.S.; Hodges, P.W. Multifidus Muscle Fiber Type Distribution Is Changed in Mouse Models of Chronic Intervertebral Disc Degeneration, but Is Not Attenuated by Whole Body Physical Activity. Spine 2021, 46, 1612–1620. [Google Scholar] [CrossRef] [PubMed]
- Hodges, P.W.; James, G.; Blomster, L.; Hall, L.; Schmid, A.; Shu, C.; Little, C.; Melrose, J. Multifidus Muscle Changes After Back Injury Are Characterized by Structural Remodeling of Muscle, Adipose and Connective Tissue, but Not Muscle Atrophy: Molecular and Morphological Evidence. Spine 2015, 40, 1057–1071. [Google Scholar] [CrossRef] [PubMed]
- Sterling, M.; Elliott, J.M.; Cabot, P.J. The Course of Serum Inflammatory Biomarkers Following Whiplash Injury and Their Relationship to Sensory and Muscle Measures: A Longitudinal Cohort Study. PLoS ONE 2013, 8, e77903. [Google Scholar] [CrossRef] [PubMed]
- McRobbie, D.W.; Moore, E.A.; Graves, M.J.; Prince, M.R. MRI from Picture to Proton, 2nd ed.; Cambridge University Press: Cambridge, UK, 2006. [Google Scholar]
- Owers, D.S.; Perriman, D.M.; Smith, P.N.; Neeman, T.; Webb, A.L. Evidence for Cervical Muscle Morphometric Changes on Magnetic Resonance Images after Whiplash: A Systematic Review and Meta-Analysis. Injury 2018, 49, 165–176. [Google Scholar] [CrossRef] [PubMed]
- Yun, Y.; Lee, E.J.; Kim, Y.; Kim, J.C.; Lee, S.A.; Chon, J. Asymmetric Atrophy of Cervical Multifidus Muscles in Patients with Chronic Unilateral Cervical Radiculopathy. Medicine 2019, 98, e16041. [Google Scholar] [CrossRef]
- Elliott, J.M.; Rueckeis, C.A.; Pan, Y.; Parrish, T.B.; Walton, D.M.; Linnstaedt, S.D. MicroRNA Let-7i-5p Mediates the Relationship between Muscle Fat Infiltration and Neck Pain Disability Following Motor Vehicle Collision: A Preliminary Study. Sci. Rep. 2021, 11, 3140. [Google Scholar] [CrossRef]
- Yoon, S.Y.; Moon, H.I.; Lee, S.C.; Eun, N.L.; Kim, Y.W. Association between Cervical Lordotic Curvature and Cervical Muscle Cross-Sectional Area in Patients with Loss of Cervical Lordosis. Clin. Anat. 2018, 31, 710–715. [Google Scholar] [CrossRef]
- Lee, B.-J.; Park, J.H.; Jeon, S.-R.; Rhim, S.-C.; Roh, S.W. Importance of the Preoperative Cross-Sectional Area of the Semispinalis Cervicis as a Risk Factor for Loss of Lordosis after Laminoplasty in Patients with Cervical Spondylotic Myelopathy. Eur. Spine J. 2018, 27, 2720–2728. [Google Scholar] [CrossRef]
- Kim, C.-Y.; Lee, S.-M.; Lim, S.-A.; Choi, Y.-S. Impact of Fat Infiltration in Cervical Extensor Muscles on Cervical Lordosis and Neck Pain: A Cross-Sectional Study. Clin. Orthop. Surg. 2018, 10, 197–203. [Google Scholar] [CrossRef] [PubMed]
- Kim, K.-R.; Lee, C.-K.; Park, J.-Y.; Kim, I.-S. Preoperative Parameters for Predicting the Loss of Lordosis After Cervical Laminoplasty. Spine 2020, 45, 1476–1484. [Google Scholar] [CrossRef] [PubMed]
- Wang, X.-J.; Huang, K.-K.; He, J.-B.; Wu, T.-K.; Rong, X.; Liu, H. Fatty Infiltration in Cervical Extensor Muscle: Is There a Relationship with Cervical Sagittal Alignment after Anterior Cervical Discectomy and Fusion? BMC Musculoskelet. Disord. 2022, 23, 641. [Google Scholar] [CrossRef] [PubMed]
Publisher’s Note: MDPI stays neutral with regard to jurisdictional claims in published maps and institutional affiliations. |
© 2022 by the authors. Licensee MDPI, Basel, Switzerland. This article is an open access article distributed under the terms and conditions of the Creative Commons Attribution (CC BY) license (https://creativecommons.org/licenses/by/4.0/).


