Current Trends in Clinical Characteristics, Diagnosis, and Treatment of Polypoidal Choroidal Vasculopathy: A Perspective from Vietnam
Abstract
:1. Introduction
2. Methodology
3. Epidemiology and Clinical Characteristics
3.1. Prevalence
3.2. Demographics
3.3. Risk Factors
3.4. Clinical Manifestations
3.5. Discussion and Expert Opinion
4. Diagnosis
4.1. Indocyanine Green Angiography
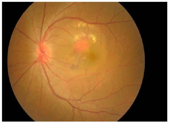
4.2. Fundus Photography
4.3. Fluorescein Angiography
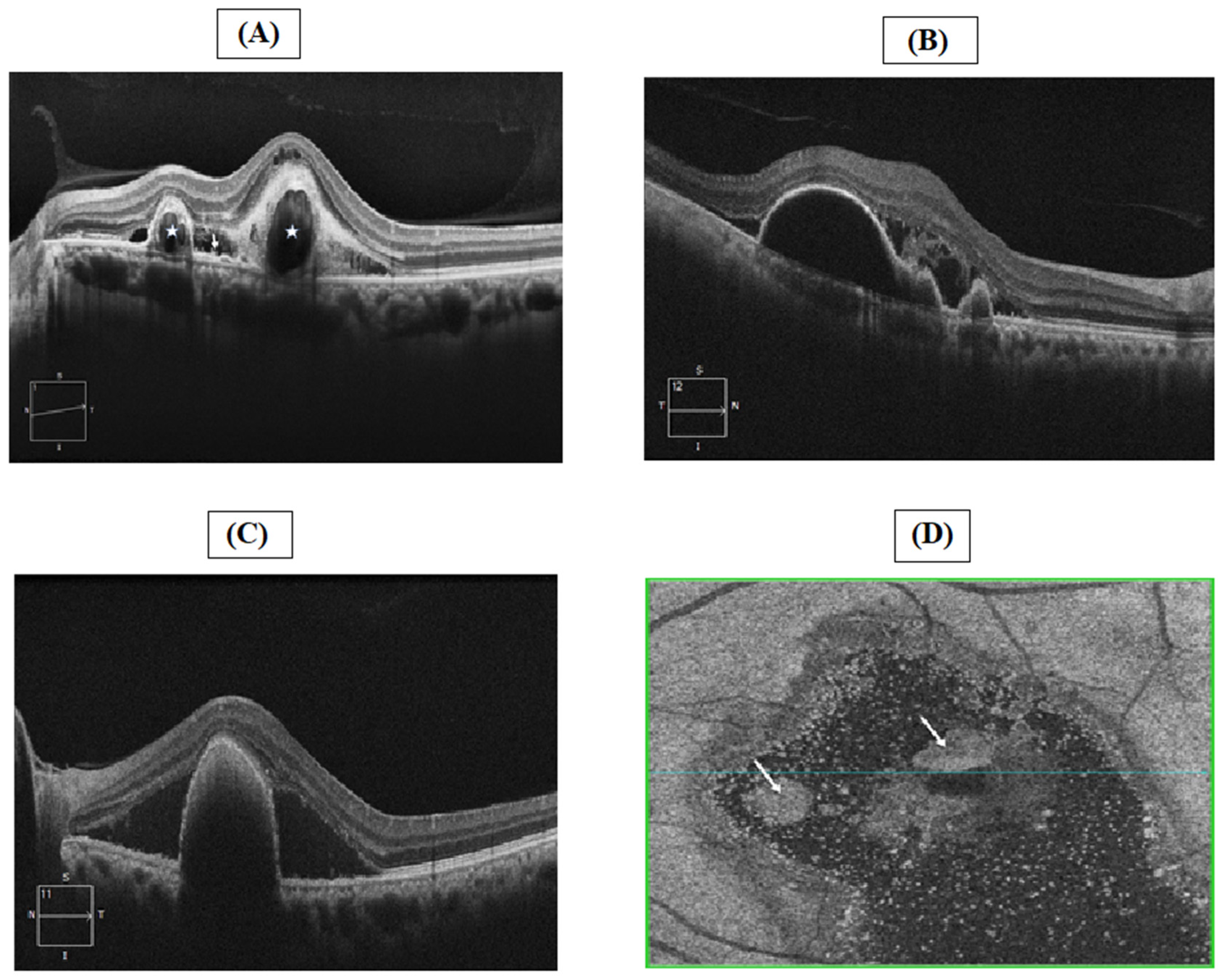
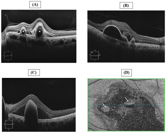
4.4. Optical Coherence Tomography
4.5. Discussion and Expert Opinion
5. Treatments
5.1. Photocoagulation Laser
5.2. Anti-VEGF Therapies
5.2.1. Bevacizumab
5.2.2. Ranibizumab
5.2.3. Aflibercept
5.2.4. Brolucizumab
5.3. Discussion and Expert Opinion
6. Conclusions
Author Contributions
Funding
Institutional Review Board Statement
Informed Consent Statement
Data Availability Statement
Acknowledgments
Conflicts of Interest
References
- Wang, W.L.; Su, X.; Li, X.; Cheung, C.M.; Klein, R.; Cheng, C.Y.; Wong, T.Y. Global prevalence of age-related macular degeneration and disease burden projection for 2020 and 2040: A systematic review and meta-analysis. Lancet Glob. Health 2014, 2, e106–e116. [Google Scholar] [CrossRef] [Green Version]
- Chen, L.J. Genetic Association of Age-Related Macular Degeneration and Polypoidal Choroidal Vasculopathy. Asia Pac. J. Ophthalmol. 2020, 9, 104–109. [Google Scholar] [CrossRef] [PubMed]
- Anantharaman, G.; Sheth, J.; Bhende, M.; Narayanan, R.; Natarajan, S.; Rajendran, A.; Manayath, G.; Sen, P.; Biswas, R.; Banker, A.; et al. Polypoidal choroidal vasculopathy: Pearls in diagnosis and management. Indian J. Ophthalmol. 2018, 66, 896–908. [Google Scholar] [CrossRef] [PubMed]
- Cheung, C.M.G.; Lai, T.Y.Y.; Ruamviboonsuk, P.; Chen, S.J.; Chen, Y.; Freund, K.B.; Gomi, F.; Koh, A.H.; Lee, W.K.; Wong, T.Y. Polypoidal Choroidal Vasculopathy: Definition, Pathogenesis, Diagnosis, and Management. Ophthalmology 2018, 125, 708–724. [Google Scholar] [CrossRef] [Green Version]
- Li, M.; Dolz-Marco, R.; Messinger, J.D.; Sloan, K.R.; Ferrara, D.; Curcio, C.A.; Freund, K.B. Clinicopathologic Correlation of Aneurysmal Type 1 Neovascularization in Age-Related Macular Degeneration. Ophthalmol. Retin. 2019, 3, 99–111. [Google Scholar] [CrossRef] [PubMed]
- Cheung, C.M.G.; Lai, T.Y.Y.; Teo, K.; Ruamviboonsuk, P.; Chen, S.J.; Kim, J.E.; Gomi, F.; Koh, A.H.; Kokame, G.; Jordan-Yu, J.M.; et al. Polypoidal Choroidal Vasculopathy: Consensus Nomenclature and Non-Indocyanine Green Angiograph Diagnostic Criteria from the Asia-Pacific Ocular Imaging Society PCV Workgroup. Ophthalmology 2021, 128, 443–452. [Google Scholar] [CrossRef]
- Yannuzzi, L.A.; Sorenson, J.; Spaide, R.F.; Lipson, B. Idiopathic polypoidal choroidal vasculopathy (IPCV). Retina 1990, 10, 1–8. [Google Scholar] [CrossRef] [PubMed]
- Kleiner, R.C.; Brucker, A.J.; Johnston, R.L. The posterior uveal bleeding syndrome. Retina 1990, 10, 9–17. [Google Scholar] [CrossRef] [PubMed]
- Ijuin, N.; Tsujinaka, H.; Hirai, H.; Jimura, H.; Nakao, S.; Yamashita, M.; Nishi, T.; Ueda, T.; Ogata, N. Clinical implications of pachyvessels in polypoidal choroidal vasculopathy. BMC Ophthalmol. 2020, 20, 170. [Google Scholar] [CrossRef] [PubMed]
- Tso, M.O.M.; Suarez, M.J.; Eberhart, C.G. Pathologic study of early manifestations of polypoidal choroidal vasculopathy and pathogenesis of choroidal neo-vascularization. Am. J. Ophthalmol. Case Rep. 2018, 11, 176–180. [Google Scholar] [CrossRef] [PubMed]
- Kobayashi, W.; Abe, T.; Tamai, H.; Nakazawa, T. Choroidal excavation with polypoidal choroidal vasculopathy: A case report. Clin. Ophthalmol. 2012, 6, 1373–1376. [Google Scholar] [CrossRef] [PubMed] [Green Version]
- Vietnamese Ministry of Health. Diagnosis and Treatment of Some Common Retinal Retinopathy Diseases. Available online: https://thuvienphapluat.vn/van-ban/The-thao-Y-te/Quyet-dinh-4928-QD-BYT-2019-tai-lieu-Huong-dan-chan-doan-va-dieu-tri-benh-dich-kinh-vong-mac-431568.aspx (accessed on 3 May 2022).
- Ciardella, A.P.; Donsoff, I.M.; Huang, S.J.; Costa, D.L.; Yannuzzi, L.A. Polypoidal choroidal vasculopathy. Surv. Ophthalmol. 2004, 49, 25–37. [Google Scholar] [CrossRef] [PubMed]
- Jordan-Yu, J.M.; Teo, K.; Fan, Q.; Gana, J.C.; Leopando, A.K.; Nunes, S.; Farinha, C.; Barreto, P.; Melo, J.B.; Carreira, I.; et al. T and genetic variations between Asian and Caucasian polypoidal choroidal vasculopathy. Br. J. Ophthalmol. 2021, 105, 1716–1723. [Google Scholar] [CrossRef] [PubMed]
- Alasil, T.; Munoz, N.; Keane, P.A.; Tufail, A.; Coady, P.A.; Novais, E.; de Carlo, T.E.; Baumal, C.R.; Waheed, N.K.; Duker, J.S.; et al. Characteristics and racial variations of polypoidal choroidal vasculopathy in tertiary centers in the United States and United Kingdom. Int. J. Retin. Vitr. 2017, 3, 9. [Google Scholar] [CrossRef]
- Sho, K.; Takahashi, K.; Yamada, H.; Wada, M.; Nagai, Y.; Otsuji, T.; Nishikawa, M.; Mitsuma, Y.; Yamazaki, Y.; Matsumura, M.; et al. Polypoidal Choroidal Vasculopathy: Incidence, Demographic Features, and Clinical Characteristics. Arch. Ophthalmol. 2003, 121, 1392–1396. [Google Scholar] [CrossRef] [Green Version]
- Maruko, I.; Iida, T.; Saito, M.; Nagayama, D.; Saito, K. Clinical characteristics of exudative age-related macular degeneration in Japanese patients. Am. J. Ophthalmol. 2007, 144, 15–22. [Google Scholar] [CrossRef] [PubMed]
- Hayashi, H.; Yamashiro, K.; Gotoh, N.; Nakanishi, H.; Nakata, I.; Tsujikawa, A.; Otani, A.; Saito, M.; Iida, T.; Matsuo, K.; et al. CFH and ARMS2 variations in age-related macular degeneration, polypoidal choroidal vasculopathy, and retinal angiomatous proliferation. Investig. Ophthalmol. Vis. Sci. 2010, 51, 5914–5919. [Google Scholar] [CrossRef] [Green Version]
- Chang, Y.C.; Wu, W.C. Polypoidal choroidal vasculopathy in Taiwanese patients. Ophthalmic Surg. Lasers Imaging 2009, 40, 576–581. [Google Scholar] [CrossRef]
- Wen, F.; Chen, C.; Wu, D.; Li, H. Polypoidal choroidal vasculopathy in elderly Chinese patients. Graefe’s Arch. Clin. Exp. Ophthalmol. 2004, 242, 625–629. [Google Scholar] [CrossRef]
- Kwok, A.K.; Lai, T.Y.; Chan, C.W.; Neoh, E.L.; Lam, D.S. Polypoidal choroidal vasculopathy in Chinese patients. Br. J. Ophthalmol. 2002, 86, 892–897. [Google Scholar] [CrossRef]
- Dang, D.T.; Quoc, T.M.; Chi, T.H.; Nhu, Q.N.; ThiNgoc, H.N.D.; Viet, H.B. Survey on polypoidal choroidal vasculopathy practice pattern in Vietnam. Correspondence: Outpatient Department, Vietnam National Eye Hospital, 85 Ba Trieu, Nguyen Du Ward, Hai Ba Trung District, Hanoi, Vietnam. 2022; manuscript in preparation; to be submitted. [Google Scholar]
- Kumar, A.; Kumawat, D.; Sundar, M.D.; Gagrani, M.; Gupta, B.; Roop, P.; Hasan, N.; Sharma, A.; Chawla, R. Polypoidal choroidal vasculopathy: A comprehensive clinical update. Ther. Adv. Ophthalmol. 2019, 11. [Google Scholar] [CrossRef] [PubMed]
- Hien, N. Research on Clinical Characteristics and Treatment Outcome in Polypoidal Choroidal Vasculopathy. Ph.D. Thesis, Hanoi Medical University, Hanoi, Vietnam, 2021. [Google Scholar]
- Dat, D. The Study on Using Bevacizumab Intravitreal Injection for the Treatment of Neovascular Age-Related Macular Degeneration. Ph.D. Thesis, Hanoi Medical University, Hanoi, Vietnam, 2017. [Google Scholar]
- Honda, S.; Matsumiya, W.; Negi, A. Polypoidal choroidal vasculopathy: Clinical features and genetic predisposition. Ophthalmologica 2014, 231, 59–74. [Google Scholar] [CrossRef] [PubMed]
- Woo, S.J.; Ahn, J.; Morrison, M.A.; Ahn, S.Y.; Lee, J.; Kim, K.W.; DeAngelis, M.M.; Park, K.H. Analysis of Genetic and Environmental Risk Factors and Their Interactions in Korean Patients with Age-Related Macular Degeneration. PLoS ONE 2015, 10, e0132771. [Google Scholar] [CrossRef] [Green Version]
- Cackett, P.; Yeo, I.; Cheung, C.M.; Vithana, E.N.; Wong, D.; Tay, W.T.; Tai, E.S.; Aung, T.; Wong, T.Y. Relationship of smoking and cardiovascular risk factors with polypoidal choroidal vasculopathy and age-related macular degeneration in Chinese persons. Ophthalmology 2011, 118, 846–852. [Google Scholar] [CrossRef] [PubMed]
- Beatty, S.; Koh, H.; Phil, M.; Henson, D.; Boulton, M. The role of oxidative stress in the pathogenesis of age-related macular degeneration. Surv. Ophthalmol. 2000, 45, 115–134. [Google Scholar] [CrossRef] [Green Version]
- Solberg, Y.; Rosner, M.; Belkin, M. The association between cigarette smoking and ocular diseases. Surv. Ophthalmol. 1998, 42, 535–547. [Google Scholar] [CrossRef]
- Kikuchi, M.; Nakamura, M.; Ishikawa, K.; Suzuki, T.; Nishihara, H.; Yamakoshi, T.; Nishio, K.; Taki, K.; Niwa, T.; Hamajima, N.; et al. Elevated C-reactive protein levels in patients with polypoidal choroidal vasculopathy and patients with neovascular age-related macular degeneration. Ophthalmology 2007, 114, 1722–1727. [Google Scholar] [CrossRef]
- Chung, Y.R.; Seo, E.J.; Kim, Y.H.; Yang, H.; Lee, K. Hypertension as a risk factor for recurrent subretinal hemorrhage in polypoidal choroidal vasculopathy. Can. J. Ophthalmol. 2016, 51, 348–353. [Google Scholar] [CrossRef]
- Ueta, T.; Obata, R.; Inoue, Y.; Iriyama, A.; Takahashi, H.; Yamaguchi, T.; Tamaki, Y.; Yanagi, Y. Background comparison of typical age-related macular degeneration and polypoidal choroidal vasculopathy in Japanese patients. Ophthalmology 2009, 116, 2400–2406. [Google Scholar] [CrossRef]
- Meiqari, L.; Essink, D.; Wright, P.; Scheele, F. Prevalence of Hypertension in Vietnam: A Systematic Review and Meta-Analysis. Asia Pac. J. Public Health 2019, 31, 101–112. [Google Scholar] [CrossRef]
- Viet Nguyen, C.; Le, T.T.; Nguyen, N.H. The impact of cigarette prices on smoking participation and tobacco expenditure in Vietnam. PLoS ONE 2021, 16, e0260415. [Google Scholar] [CrossRef] [PubMed]
- Scassellati-Sforzolini, B.; Mariotti, C.; Bryan, R.; Yannuzzi, L.A.; Giuliani, M.; Giovannini, A. Polypoidal choroidal vasculopathy in Italy. Retina 2001, 21, 121–125. [Google Scholar] [CrossRef] [PubMed]
- Lafaut, B.A.; Leys, A.M.; Snyers, B.; Rasquin, F.; De Laey, J.J. Polypoidal choroidal vasculopathy in Caucasians. Graefe’s Arch. Clin. Exp. Ophthalmol. 2000, 238, 752–759. [Google Scholar] [CrossRef] [PubMed]
- Spaide, R.F.; Yannuzzi, L.A.; Slakter, J.S.; Sorenson, J.; Orlach, D.A. Indocyanine green videoangiography of idiopathic polypoidal choroidal vasculopathy. Retina 1995, 15, 100–110. [Google Scholar] [CrossRef] [PubMed]
- Palkar, A.; Khetan, V. Polypoidal choroidal vasculopathy: An update on current management and review of literature. Taiwan J. Ophthalmol. 2019, 9, 72–92. [Google Scholar] [CrossRef] [PubMed]
- Zeng, R.; Zhang, X.; Li, M.; Wen, F. Pilot study of inactive polypoidal lesions in polypoidal choroidal vasculopathy. Eur. J. Ophthalmol. 2015, 25, 222–228. [Google Scholar] [CrossRef]
- Cheung, C.M.; Lai, T.Y.; Chen, S.J.; Chong, V.; Lee, W.K.; Htoon, H.; Ng, W.Y.; Ogura, Y.; Wong, T.Y. Understanding indocyanine green angiography in polypoidal choroidal vasculopathy: The group experience with digital fundus photography and confocal scanning laser ophthalmoscopy. Retina 2014, 34, 2397–2406. [Google Scholar] [CrossRef]
- Chaikitmongkol, V.; Khunsongkiet, P.; Patikulsila, D.; Ratanasukon, M.; Watanachai, N.; Jumroendararasame, C.; Mayerle, C.B.; Han, I.C.; Chen, C.J.; Winaikosol, P.; et al. Color Fundus Photography, Optical Coherence Tomography, and Fluorescein Angiography in Diagnosing Polypoidal Choroidal Vasculopathy. Am. J. Ophthalmol. 2018, 192, 77–83. [Google Scholar] [CrossRef]
- Serra, R.; Coscas, F.; Pinna, A.; Cabral, D.; Coscas, G.; Souied, E.H. Fractal analysis of polypoidal choroidal neovascularisation in age-related macular degeneration. Br. J. Ophthalmol. 2021, 105, 1421–1426. [Google Scholar] [CrossRef]
- Chaikitmongkol, V.; Kong, J.; Khunsongkiet, P.; Patikulsila, D.; Sachdeva, M.; Chavengsaksongkram, P.; Dejkriengkraikul, C.; Winaikosol, P.; Choovuthayakorn, J.; Watanachai, N.; et al. Sensitivity and Specificity of Potential Diagnostic Features Detected Using Fundus Photography, Optical Coherence Tomography, and Fluorescein Angiography for Polypoidal Choroidal Vasculopathy. JAMA Ophthalmol. 2019, 137, 661–667. [Google Scholar] [CrossRef]
- Teo, K.Y.C.; Cheung, G.C.M. New Concepts in Polypoidal Choroidal Vasculopathy Imaging: A Focus on Optical Coherence Tomography and Optical Coherence Tomography Angiography. Asia Pac. J. Ophthalmol. 2019, 8, 165–171. [Google Scholar] [CrossRef]
- De Salvo, G.; Vaz-Pereira, S.; Keane, P.A.; Tufail, A.; Liew, G. Sensitivity and specificity of spectral-domain optical coherence tomography in detecting idiopathic polypoidal choroidal vasculopathy. Am. J. Ophthalmol. 2014, 158, 1228–1238.e1. [Google Scholar] [CrossRef] [PubMed]
- Fujimoto, J.G.; Pitris, C.; Boppart, S.A.; Brezinski, M.E. Optical coherence tomography: An emerging technology for biomedical imaging and optical biopsy. Neoplasia 2000, 2, 9–25. [Google Scholar] [CrossRef] [PubMed] [Green Version]
- Permadi, A.C.; Djatikusumo, A.; Adriono, G.A. Optical coherence tomography in diagnosing polypoidal choroidal vasculopathy. Looking into the future: A systematic review and meta-analysis. Int. J. Retin. Vitr. 2022, 8, 14. [Google Scholar] [CrossRef]
- Liu, R.; Li, J.; Li, Z.; Yu, S.; Yang, Y.; Yan, H.; Zeng, J.; Tang, S.; Ding, X. Distinguishing polypodal choroidal vasculopathy from typical neovascular age-related macular degeneration based on spectral domain optical coherence tomography. Retina 2016, 36, 778–786. [Google Scholar] [CrossRef]
- Lau, T.; Wong, I.Y.; Iu, L.; Chhablani, J.; Yong, T.; Hideki, K.; Lee, J.; Wong, R. En-face optical coherence tomography in the diagnosis and management of age-related macular degeneration and polypoidal choroidal vasculopathy. Indian J. Ophthalmol. 2015, 63, 378–383. [Google Scholar] [CrossRef] [Green Version]
- Chung, S.E.; Kang, S.W.; Lee, J.H.; Kim, Y.T. Choroidal thickness in polypoidal choroidal vasculopathy and exudative age-related macular degeneration. Ophthalmology 2011, 118, 840–845. [Google Scholar] [CrossRef]
- Jirarattanasopa, P.; Ooto, S.; Nakata, I.; Tsujikawa, A.; Yamashiro, K.; Oishi, A.; Yoshimura, N. Choroidal thickness, vascular hyperpermeability, and complement factor H in age-related macular degeneration and polypoidal choroidal vasculopathy. Investig. Ophthalmol. Vis. Sci. 2012, 53, 3663–3672. [Google Scholar] [CrossRef]
- Ma, S.-T.; Huang, C.-H.; Chang, Y.-C.; Lai, T.-T.; Hsieh, Y.-T.; Ho, T.-C.; Yang, C.-M.; Cheng, C.-G.; Yang, C.-H. Clinical features and prognosis of polypoidal choroidal vasculopathy with different morphologies of branching vascular network on optical coherence tomography angiography. Sci. Rep. 2021, 11, 17848. [Google Scholar] [CrossRef]
- Thị Thu Trang, N.; Thị Phúc, H.; Quốc Tùng, M.; Thị Hải Hà, L. Characteristics of Polypoidal Choroidal Vasculopathy Evaluated by Optical Coherence Tomography Angiography. Vietnam Med. J. 2022, 509, OCT324-30. [Google Scholar] [CrossRef]
- Wang, Y.; Yang, J.; Li, B.; Yuan, M.; Chen, Y. Detection Rate and Diagnostic Value of Optical Coherence Tomography Angiography in the Diagnosis of Polypoidal Choroidal Vasculopathy: A Systematic Review and Meta-Analysis. J. Ophthalmol. 2019, 2019, 6837601. [Google Scholar] [CrossRef] [PubMed]
- Azar, G.; Vasseur, V.; Lahoud, C.; Favard, C.; De Bats, F.; Cochereau, I.; Yachvitz, A.; Mauget-Faÿsse, M. Polypoidal Choroidal Vasculopathy Diagnosis and Neovascular Activity Evaluation Using Optical Coherence Tomography Angiography. BioMed Res. Int. 2021, 2021, 1637377. [Google Scholar] [CrossRef] [PubMed]
- Ting, D.S.; Cheung, G.C.; Lim, L.S.; Yeo, I.Y. Comparison of swept source optical coherence tomography and spectral domain optical coherence tomography in polypoidal choroidal vasculopathy. Clin. Exp. Ophthalmol. 2015, 43, 815–819. [Google Scholar] [CrossRef]
- Arias, J.D.; Parra, M.M.; Hoyos, A.T.; Arango, F.; Viteri, E.J.; Arevalo, J.F. En face swept-source optical coherence tomography angiography choroidal vasculography (CVG) a tool to discriminate choroidal abnormalities in polypoidal choroidal vasculopathy. Expert Rev. Med. Devices 2021, 18, 903–908. [Google Scholar] [CrossRef]
- Lee, M.W.; Yeo, I.; Wong, D.; Ang, C.L. Argon laser photocoagulation for the treatment of polypoidal choroidal vasculopathy. Eye 2009, 23, 145–148. [Google Scholar] [CrossRef] [PubMed]
- Sen, P.; Vinay Kumar, S.; Bhende, M.; Sharma, T. Combined argon laser photocoagulation and antivascular endothelial growth factor for management of macular polypoidal choroidal vasculopathy. Oman J. Ophthalmol. 2016, 9, 139–143. [Google Scholar] [CrossRef] [PubMed]
- Reddy, S.V.; Husain, D. Panretinal Photocoagulation: A Review of Complications. Semin. Ophthalmol. 2018, 33, 83–88. [Google Scholar] [CrossRef]
- Choe, S.; Kang, H.G.; Park, K.H.; Lee, C.S.; Woo, S.J. Long-term outcomes of focal laser photocoagulation for the treatment of polypoidal choroidal vasculopathy. Int. J. Ophthalmol. 2021, 14, 1402–1407. [Google Scholar] [CrossRef]
- Lee, M.Y.; Lee, W.K.; Baek, J.; Kwon, O.W.; Lee, J.H. Photodynamic therapy versus combination therapy in polypoidal choroidal vasculopathy: Changes of aqueous vascular endothelial growth factor. Am. J. Ophthalmol. 2013, 156, 343–348. [Google Scholar] [CrossRef]
- Tong, J.P.; Chan, W.M.; Liu, D.T.; Lai, T.Y.; Choy, K.W.; Pang, C.P.; Lam, D.S. Aqueous humor levels of vascular endothelial growth factor and pigment epithelium-derived factor in polypoidal choroidal vasculopathy and choroidal neovascularization. Am. J. Ophthalmol. 2006, 141, 456–462. [Google Scholar] [CrossRef] [PubMed]
- Fenner, B.J.; Cheung, C.M.G.; Sim, S.S.; Lee, W.K.; Staurenghi, G.; Lai, T.Y.Y.; Ruamviboonsuk, P.; Kokame, G.; Yanagi, Y.; Teo, K.Y.C. Evolving treatment paradigms for PCV. Eye 2022, 36, 257–265. [Google Scholar] [CrossRef] [PubMed]
- Chi, S.-C.; Kang, Y.-N.; Huang, Y.-M. Systematic review with network meta-analysis of antivascular endothelial growth factor use in managing polypoidal choroidal vasculopathy. Sci. Rep. 2021, 11, 2735. [Google Scholar] [CrossRef] [PubMed]
- Tsujikawa, A.; Ooto, S.; Yamashiro, K.; Tamura, H.; Otani, A.; Yoshimura, N. Treatment of polypoidal choroidal vasculopathy by intravitreal injection of bevacizumab. Jpn. J. Ophthalmol. 2010, 54, 310–319. [Google Scholar] [CrossRef] [Green Version]
- Kokame, G.T.; Yeung, L.; Lai, J.C. Continuous anti-VEGF treatment with ranibizumab for polypoidal choroidal vasculopathy: 6-month results. Br. J. Ophthalmol. 2010, 94, 297–301. [Google Scholar] [CrossRef] [PubMed]
- Oishi, A.; Kojima, H.; Mandai, M.; Honda, S.; Matsuoka, T.; Oh, H.; Kita, M.; Nagai, T.; Fujihara, M.; Bessho, N.; et al. Comparison of the effect of ranibizumab and verteporfin for polypoidal choroidal vasculopathy: 12-month LAPTOP study results. Am. J. Ophthalmol. 2013, 156, 644–651. [Google Scholar] [CrossRef]
- Mori, R.; Tanaka, K.; Yuzawa, M. Factors predicting 2-year treatment results of ranibizumab therapy for polypoidal choroidal vasculopathy in eyes with good baseline visual acuity. Medicine 2018, 97, e11188. [Google Scholar] [CrossRef]
- Wu, W.C.; Chen, J.T.; Tsai, C.Y.; Wu, C.L.; Cheng, C.K.; Shen, Y.D.; Tsai, A.; Wu, P.C. A 12-month, prospective, observational study of ranibizumab in treatment-naïve Taiwanese patients with neovascular age-related macular degeneration: The RACER study. BMC Ophthalmol. 2020, 20, 462. [Google Scholar] [CrossRef]
- Koh, A.; Lee, W.K.; Chen, L.J.; Chen, S.J.; Hashad, Y.; Kim, H.; Lai, T.Y.; Pilz, S.; Ruamviboonsuk, P.; Tokaji, E.; et al. EVEREST study: Efficacy and safety of verteporfin photodynamic therapy in combination with ranibizumab or alone versus ranibizumab monotherapy in patients with symptomatic macular polypoidal choroidal vasculopathy. Retina 2012, 32, 1453–1464. [Google Scholar] [CrossRef]
- Koh, A.; Lai, T.Y.Y.; Takahashi, K.; Wong, T.Y.; Chen, L.-J.; Ruamviboonsuk, P.; Tan, C.S.; Feller, C.; Margaron, P.; Lim, T.H.; et al. Efficacy and Safety of Ranibizumab with or Without Verteporfin Photodynamic Therapy for Polypoidal Choroidal Vasculopathy: A Randomized Clinical Trial. JAMA Ophthalmol. 2017, 135, 1206–1213. [Google Scholar] [CrossRef]
- Liu, L.; Ma, J.; Duan, P.; Liu, Y.; Yin, Z.Q. Practicability confirmation by meta-analysis of intravitreal ranibizumab compared to photodynamic therapy to treat polypoidal choroidal vasculopathy. Mol. Vis. 2015, 21, 1130–1141. [Google Scholar]
- Fauser, S.; Schwabecker, V.; Muether, P.S. Suppression of intraocular vascular endothelial growth factor during aflibercept treatment of age-related macular degeneration. Am. J. Ophthalmol. 2014, 158, 532–536. [Google Scholar] [CrossRef] [PubMed]
- Muether, P.S.; Hermann, M.M.; Dröge, K.; Kirchhof, B.; Fauser, S. Long-term stability of vascular endothelial growth factor suppression time under ranibizumab treatment in age-related macular degeneration. Am. J. Ophthalmol. 2013, 156, 989–993.e2. [Google Scholar] [CrossRef] [PubMed]
- Semeraro, F.; Morescalchi, F.; Duse, S.; Parmeggiani, F.; Gambicorti, E.; Costagliola, C. Aflibercept in wet AMD: Specific role and optimal use. Drug Des. Dev. Ther. 2013, 7, 711–722. [Google Scholar] [CrossRef] [PubMed] [Green Version]
- Shah, V.A.; Tripathy, K.; Bhagat, N.; Lim, J.I.; Karth, P.A. Aflibercept. Available online: https://eyewiki.aao.org/Aflibercept#Ophthalmology (accessed on 16 May 2022).
- Stewart, M.W.; Rosenfeld, P.J. Predicted biological activity of intravitreal VEGF Trap. Br. J. Ophthalmol. 2008, 92, 667. [Google Scholar] [CrossRef]
- Oshima, Y.; Kimoto, K.; Yoshida, N.; Fujisawa, K.; Sonoda, S.; Kubota, T.; Murata, T.; Sakamoto, T.; Yoshida, S.; Sonoda, K.H.; et al. One-Year Outcomes following Intravitreal Aflibercept for Polypoidal Choroidal Vasculopathy in Japanese Patients: The APOLLO Study. Ophthalmologica 2017, 238, 163–171. [Google Scholar] [CrossRef]
- Lee, J.E.; Shin, J.P.; Kim, H.W.; Chang, W.; Kim, Y.C.; Lee, S.J.; Chung, I.Y.; Lee, J.E. Efficacy of fixed-dosing aflibercept for treating polypoidal choroidal vasculopathy: 1-year results of the VAULT study. Graefe’s Arch. Clin. Exp. Ophthalmol. 2017, 255, 493–502. [Google Scholar] [CrossRef] [Green Version]
- Lee, W.K.; Iida, T.; Ogura, Y.; Chen, S.-J.; Wong, T.Y.; Mitchell, P.; Cheung, G.C.M.; Zhang, Z.; Leal, S.; Ishibashi, T.; et al. Efficacy and Safety of Intravitreal Aflibercept for Polypoidal Choroidal Vasculopathy in the PLANET Study: A Randomized Clinical Trial. JAMA Ophthalmol. 2018, 136, 786–793. [Google Scholar] [CrossRef]
- Wong, T.Y.; Ogura, Y.; Lee, W.K.; Iida, T.; Chen, S.J.; Mitchell, P.; Gemmy Cheung, C.M.; Zhang, Z.; Leal, S.; Ishibashi, T. Efficacy and Safety of Intravitreal Aflibercept for Polypoidal Choroidal Vasculopathy: Two-Year Results of the Aflibercept in Polypoidal Choroidal Vasculopathy Study. Am. J. Ophthalmol. 2019, 204, 80–89. [Google Scholar] [CrossRef]
- Kawashima, Y.; Oishi, A.; Tsujikawa, A.; Yamashiro, K.; Miyake, M.; Ueda-Arakawa, N.; Yoshikawa, M.; Takahashi, A.; Yoshimura, N. Effects of aflibercept for ranibizumab-resistant neovascular age-related macular degeneration and polypoidal choroidal vasculopathy. Graefe’s Arch. Clin. Exp. Ophthalmol. 2015, 253, 1471–1477. [Google Scholar] [CrossRef]
- Azuma, K.; Obata, R.; Nomura, Y.; Tan, X.; Takahashi, H.; Yanagi, Y. Angiographic findings of Ranibizumba-resistant polypoidal choroidal vasculopathy after switching to a treat-and-extend regimen with intravitreal aflibercept. Retina 2016, 36, 2158–2165. [Google Scholar] [CrossRef]
- Kikushima, W.; Sakurada, Y.; Sugiyama, A.; Yoneyama, S.; Tanabe, N.; Matsubara, M.; Mabuchi, F.; Iijima, H. Comparison of two-year outcomes after photodynamic therapy with ranibizumab or aflibercept for polypoidal choroidal vasculopathy. Sci. Rep. 2017, 7, 16461. [Google Scholar] [CrossRef] [PubMed] [Green Version]
- Cho, H.J.; Kim, K.M.; Kim, H.S.; Han, J.I.; Kim, C.G.; Lee, T.G.; Kim, J.W. Intravitreal Aflibercept and Ranibizumab Injections for Polypoidal Choroidal Vasculopathy. Am. J. Ophthalmol. 2016, 165, 1–6. [Google Scholar] [CrossRef] [PubMed]
- Ma, I.H.; Hsia, Y.; Hsieh, Y.-T.; Ho, T.-C.; Lai, T.-T.; Yang, C.-M.; Yang, C.-H. Real world experience of the treatment outcome between photodynamic therapy combined with ranibizumab and aflibercept monotherapy in polypoidal choroidal vasculopathy. Sci. Rep. 2021, 11, 20115. [Google Scholar] [CrossRef] [PubMed]
- Chaikitmongkol, V.; Sagong, M.; Lai, T.Y.Y.; Tan, G.S.W.; Ngah, N.F.; Ohji, M.; Mitchell, P.; Yang, C.H.; Ruamviboonsuk, P.; Wong, I.; et al. Treat-and-Extend Regimens for the Management of Neovascular Age-related Macular Degeneration and Polypoidal Choroidal Vasculopathy: Consensus and Recommendations from the Asia-Pacific Vitreo-retina Society. Asia Pac. J. Ophthalmol. 2021, 10, 507–518. [Google Scholar] [CrossRef] [PubMed]
- Dugel, P.U.; Koh, A.; Ogura, Y.; Jaffe, G.J.; Schmidt-Erfurth, U.; Brown, D.M.; Gomes, A.V.; Warburton, J.; Weichselberger, A.; Holz, F.G. HAWK and HARRIER: Phase 3, Multicenter, Randomized, Double-Masked Trials of Brolucizumab for Neovascular Age-Related Macular Degeneration. Ophthalmology 2020, 127, 72–84. [Google Scholar] [CrossRef]
- Dugel, P.U.; Singh, R.P.; Koh, A.; Ogura, Y.; Weissgerber, G.; Gedif, K.; Jaffe, G.J.; Tadayoni, R.; Schmidt-Erfurth, U.; Holz, F.G. HAWK and HARRIER: Ninety-Six-Week Outcomes from the Phase 3 Trials of Brolucizumab for Neovascular Age-Related Macular Degeneration. Ophthalmology 2021, 128, 89–99. [Google Scholar] [CrossRef]
- Ogura, Y.; Jaffe, G.J.; Cheung, C.M.G.; Kokame, G.T.; Iida, T.; Takahashi, K.; Lee, W.K.; Chang, A.A.; Monés, J.; D’Souza, D.; et al. Efficacy and safety of brolucizumab versus aflibercept in eyes with polypoidal choroidal vasculopathy in Japanese participants of HAWK. Br. J. Ophthalmol. 2021, 106, 994–999. [Google Scholar] [CrossRef]
- Monés, J.; Srivastava, S.K.; Jaffe, G.J.; Tadayoni, R.; Albini, T.A.; Kaiser, P.K.; Holz, F.G.; Korobelnik, J.F.; Kim, I.K.; Pruente, C.; et al. Risk of Inflammation, Retinal Vasculitis, and Retinal Occlusion-Related Events with Brolucizumab: Post Hoc Review of HAWK and HARRIER. Ophthalmology 2021, 128, 1050–1059. [Google Scholar] [CrossRef]
- Baumal, C.R.; Spaide, R.F.; Vajzovic, L.; Freund, K.B.; Walter, S.D.; John, V.; Rich, R.; Chaudhry, N.; Lakhanpal, R.R.; Oellers, P.R.; et al. Retinal Vasculitis and Intraocular Inflammation after Intravitreal Injection of Brolucizumab. Ophthalmology 2020, 127, 1345–1359. [Google Scholar] [CrossRef]
- Fukuda, Y.; Sakurada, Y.; Matsubara, M.; Hasebe, Y.; Sugiyama, A.; Kikushima, W.; Kashiwagi, K. Comparison of Outcomes between 3 Monthly Brolucizumab and Aflibercept Injections for Polypoidal Choroidal Vasculopathy. Biomedicines 2021, 9, 1164. [Google Scholar] [CrossRef]
- Guidance for Treating Physicians. Available online: https://www.brolucizumab.info/guidance-treating-physicians (accessed on 16 May 2022).





Publisher’s Note: MDPI stays neutral with regard to jurisdictional claims in published maps and institutional affiliations. |
© 2022 by the authors. Licensee MDPI, Basel, Switzerland. This article is an open access article distributed under the terms and conditions of the Creative Commons Attribution (CC BY) license (https://creativecommons.org/licenses/by/4.0/).
Share and Cite
Dat, D.T.; Hien, N.D.T.N.; Quan, N.N.; Tung, M.Q.; Tam, H.C.; Hung, B.V. Current Trends in Clinical Characteristics, Diagnosis, and Treatment of Polypoidal Choroidal Vasculopathy: A Perspective from Vietnam. J. Clin. Med. 2022, 11, 4678. https://doi.org/10.3390/jcm11164678
Dat DT, Hien NDTN, Quan NN, Tung MQ, Tam HC, Hung BV. Current Trends in Clinical Characteristics, Diagnosis, and Treatment of Polypoidal Choroidal Vasculopathy: A Perspective from Vietnam. Journal of Clinical Medicine. 2022; 11(16):4678. https://doi.org/10.3390/jcm11164678
Chicago/Turabian StyleDat, Dang Tran, Nguyen Do Thi Ngoc Hien, Nguyen Nhu Quan, Mai Quoc Tung, Hoang Chi Tam, and Bui Viet Hung. 2022. "Current Trends in Clinical Characteristics, Diagnosis, and Treatment of Polypoidal Choroidal Vasculopathy: A Perspective from Vietnam" Journal of Clinical Medicine 11, no. 16: 4678. https://doi.org/10.3390/jcm11164678
APA StyleDat, D. T., Hien, N. D. T. N., Quan, N. N., Tung, M. Q., Tam, H. C., & Hung, B. V. (2022). Current Trends in Clinical Characteristics, Diagnosis, and Treatment of Polypoidal Choroidal Vasculopathy: A Perspective from Vietnam. Journal of Clinical Medicine, 11(16), 4678. https://doi.org/10.3390/jcm11164678

