The Radiographic Risk Factors Predicting Occurrence of Idiopathic Carpal Tunnel Syndrome in Simple Wrist X-ray
Abstract
:1. Introduction
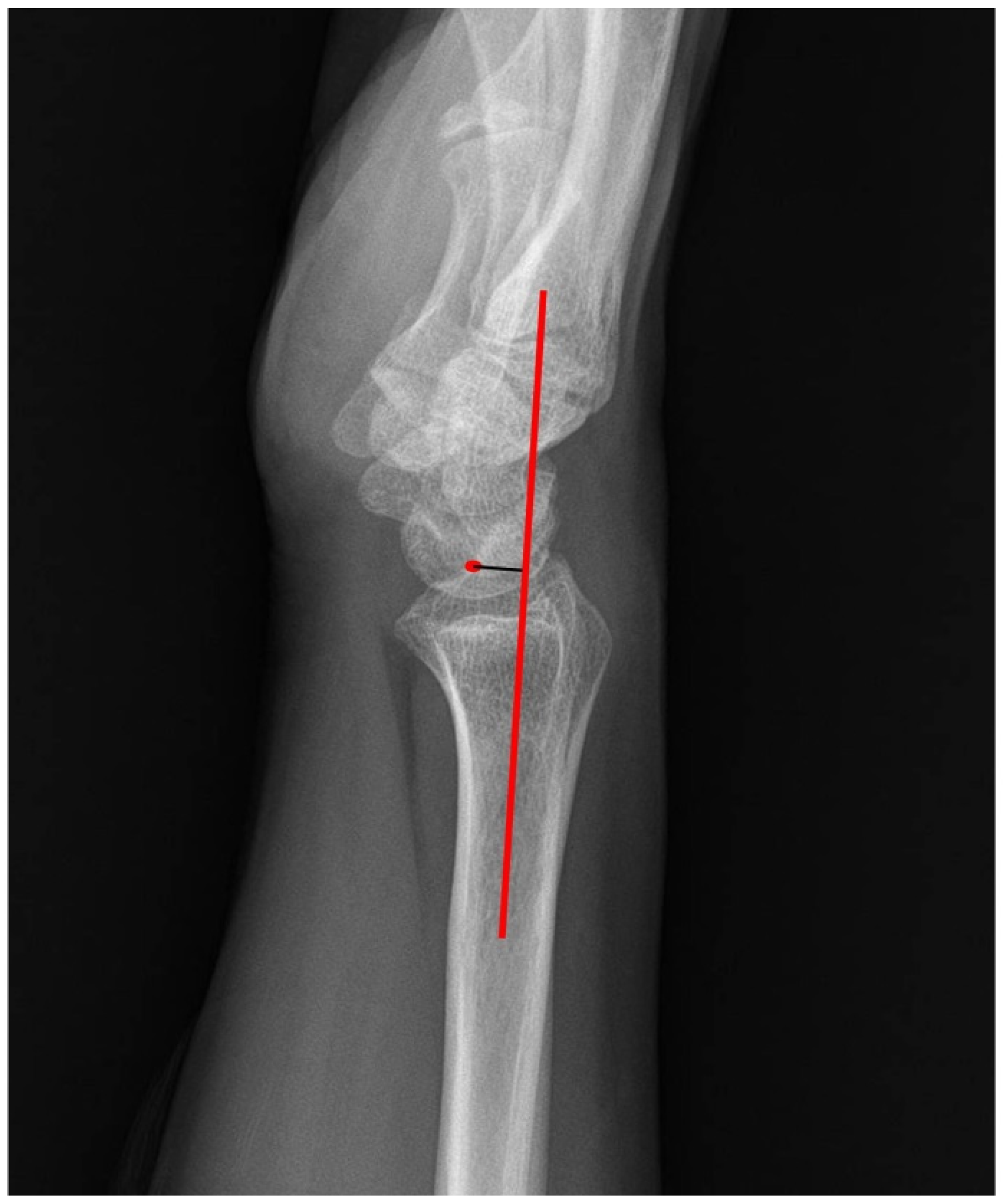
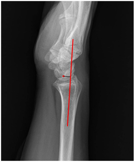
2. Materials and Methods
Statistical Analysis
3. Results
4. Discussion
5. Conclusions
Author Contributions
Funding
Institutional Review Board Statement
Informed Consent Statement
Data Availability Statement
Acknowledgments
Conflicts of Interest
References
- Aroori, S.; Spence, R.A. Carpal tunnel syndrome. Ulst. Med. J. 2008, 77, 6–17. [Google Scholar]
- Cranford, C.S.; Ho, J.Y.; Kalainov, D.M.; Hartigan, B.J. Carpal Tunnel Syndrome. J. Am. Acad. Orthop. Surg. 2007, 15, 537–548. [Google Scholar] [CrossRef] [PubMed]
- Dekel, S.; Papaioannou, T.; Rushworth, G.; Coates, R. Idiopathic carpal tunnel syndrome caused by carpal stenosis. BMJ 1980, 280, 1297–1299. [Google Scholar] [CrossRef] [PubMed] [Green Version]
- Papaioannou, T.; Rushworth, G.; Atar, D.; Dekel, S. Carpal canal stenosis in men with idiopathic carpal tunnel syndrome. Clin. Orthop. Relat. Res. 1992, 285, 210–213. [Google Scholar] [CrossRef]
- Gelmers, H.J. Primary carpal tunnel stenosis as a cause of entrapment of the median nerve. Acta Neurochir. 1981, 55, 317–320. [Google Scholar] [CrossRef] [PubMed]
- Ikeda, K.; Yoshii, Y.; Ogawa, T.; Ishii, T. Radiographic characteristics of wrists in idiopathic carpal tunnel syndrome patients. BMC Musculoskelet. Disord. 2020, 21, 245–248. [Google Scholar] [CrossRef] [PubMed] [Green Version]
- Uchiyama, S.; Itsubo, T.; Nakamura, K.; Kato, H.; Yasutomi, T.; Momose, T. Current concepts of carpal tunnel syndrome: Pathophysiology, treatment, and evaluation. J. Orthop. Sci. 2010, 15, 1–13. [Google Scholar] [CrossRef]
- Cooney, W.P., III; Dobyns, J.H.; Linscheid, R.L. Complications of Colles’ fractures. J. Bone Jt. Surg. 1980, 62, 613–619. [Google Scholar] [CrossRef] [Green Version]
- Lynch, A.C.; Lipscomb, P.R. The Carpal Tunnel Syndrome and Colles’ Fractures. JAMA 1963, 185, 363–366. [Google Scholar] [CrossRef]
- Aro, H.; Koivunen, T.; Katevuo, K.; Nieminen, S.; Aho, A.J. Late compression neuropathies after Colles’ fractures. Clin. Orthop. Relat. Res. 1988, 233, 217–225. [Google Scholar] [CrossRef]
- Lalone, E.A.; Grewal, R.; King, G.J.W.; MacDermid, J.C. A Structured Review Addressing the Use of Radiographic Measures of Alignment and the Definition of Acceptability in Patients with Distal Radius Fractures. Hand 2015, 10, 621–638. [Google Scholar] [CrossRef] [PubMed] [Green Version]
- Park, S.H.; Goo, J.M.; Jo, C.-H. Receiver Operating Characteristic (ROC) Curve: Practical Review for Radiologists. Korean J. Radiol. 2004, 5, 11–18. [Google Scholar] [CrossRef] [PubMed] [Green Version]
- Ettema, A.M.; Amadio, P.C.; Zhao, C.; Wold, L.E.; An, K.-N. A histological and immunohistochemical study of the subsynovial connective tissue in idiopathic carpal tunnel syndrome. JBJS 2004, 86, 1458–1466. [Google Scholar] [CrossRef]
- Osamura, N.; Zhao, C.; Zobitz, M.E.; An, K.-N.; Amadio, P.C. Evaluation of the material properties of the subsynovial connective tissue in carpal tunnel syndrome. Clin. Biomech. 2007, 22, 999–1003. [Google Scholar] [CrossRef] [Green Version]
- Lewis, M. Median nerve decompression after Colles’s fracture. J. Bone Jt. Surgery. Br. Vol. 1978, 60, 195–196. [Google Scholar] [CrossRef] [Green Version]
- Watanabe, K.; Ota, H. Carpal Malalignment as a Predictor of Delayed Carpal Tunnel Syndrome after Colles’ Fracture. Plast. Reconstr. Surg. Glob. Open 2019, 7, e2165. [Google Scholar] [CrossRef] [PubMed]
- Buchberger, W. Radiologic imaging of the carpal tunnel. Eur. J. Radiol. 1997, 25, 112–117. [Google Scholar] [CrossRef]
- Ghasemi-Rad, M.; Nosair, E.; Vegh, A.; Mohammadi, A.; Akkad, A.; Lesha, E.; Mohammadi, M.H.; Sayed, D.; Davarian, A.; Maleki-Miyandoab, T.; et al. A handy review of carpal tunnel syndrome: From anatomy to diagnosis and treatment. World J. Radiol. 2014, 6, 284–300. [Google Scholar] [CrossRef] [PubMed]
- Miranda, B.H.; Cerovac, S. Spontaneous Flexor Tendon Rupture Due to Atraumatic Chronic Carpal Instability. J. Wrist Surg. 2014, 3, 143–145. [Google Scholar] [CrossRef] [Green Version]
- Kamihata, S.; Oda, T.; Wada, T. Carpal Tunnel Syndrome and Flexor Tendon Rupture in the Wrist with Asymptomatic Scapholunate Advanced Collapse: A Case Report. J. Hand Surg. 2018, 23, 589–592. [Google Scholar] [CrossRef]
- Hayashig, M.; Makoto, M.; Kato, H. Carpal tunnel syndrome associated with underlying Kienböck’s disease. J. Hand Surg. 2013, 40, 638–639. [Google Scholar] [CrossRef] [PubMed]
- Cansü, E.; Heydar, A.M.; Alakbarov, A.; Ünal, M.B. Neglected lunate dislocation presenting as carpal tunnel syndrome. Case Rep. Plast. Surg. Hand Surg. 2015, 2, 22–24. [Google Scholar] [CrossRef] [PubMed]
- Kuhnel, S.P.; Bigham, A.T.; McMurtry, R.Y.; Faber, K.J.; King, G.J.; Grewal, R. The Capitate-to-Axis-of-Radius Distance (CARD): A New Radiographic Measurement for Wrist and Carpal Alignment in the Sagittal Plane. J. Hand Surg. 2019, 44, 797.e1–797.e8. [Google Scholar] [CrossRef] [PubMed]
- Swets, J.A. Measuring the accuracy of diagnostic systems. Science 1988, 240, 1285–1293. [Google Scholar] [CrossRef] [PubMed] [Green Version]



| Age | Male | Female | Total | |
|---|---|---|---|---|
| CTS patients | 63.2 ± 11.6 | 12 (12 hands) | 63 (71 hands) | 75 (83 hands) |
| Control | 61.9 ± 8.9 | 17 (17 hands) | 70 (70 hands) | 87 (87 hands) |
| p-value | 0.41 | 0.22 | ||
| CTS Patients | Control | p-Value | |
|---|---|---|---|
| Radial inclination | 22.7 ± 2.9° | 23.1 ± 1.7° | >0.05 |
| Volar tilt | 12.7 ± 4.2° | 14.0 ± 4.1° | >0.05 |
| Ulnar variance | −1.4 ± 1.2 mm | −1.7 ± 1.3 mm | >0.05 |
| Radiolunate angle | 5.4 ± 7.6° | −1.1 ± 8.4° | <0.01 * |
| Lunate-to-Axis-of-Radius distance | 4.3 ± 2.0 mm | 3.5 ± 2.3 mm | 0.028 * |
| Radiologic Parameters | Odds Ratio (95% Confidence Interval) | p-Value |
|---|---|---|
| RLA | 1.052 (1.007–1.1) | 0.024 * |
| LARD | 1.319 (1.085–1.605) | 0.005 * |
| AUC Values | Cut-Off Values | Sensitivity | Specificity | |
|---|---|---|---|---|
| RLA | 0.715 | 1.65° | 68.7% | 67.8% |
| LARD | 0.601 | 4.05 mm | 59.0% | 55.2% |
Publisher’s Note: MDPI stays neutral with regard to jurisdictional claims in published maps and institutional affiliations. |
© 2022 by the authors. Licensee MDPI, Basel, Switzerland. This article is an open access article distributed under the terms and conditions of the Creative Commons Attribution (CC BY) license (https://creativecommons.org/licenses/by/4.0/).
Share and Cite
Han, B.-S.; Kim, K.-H.; Kim, K.-J. The Radiographic Risk Factors Predicting Occurrence of Idiopathic Carpal Tunnel Syndrome in Simple Wrist X-ray. J. Clin. Med. 2022, 11, 4031. https://doi.org/10.3390/jcm11144031
Han B-S, Kim K-H, Kim K-J. The Radiographic Risk Factors Predicting Occurrence of Idiopathic Carpal Tunnel Syndrome in Simple Wrist X-ray. Journal of Clinical Medicine. 2022; 11(14):4031. https://doi.org/10.3390/jcm11144031
Chicago/Turabian StyleHan, Beom-Su, Ki-Hong Kim, and Kyu-Jin Kim. 2022. "The Radiographic Risk Factors Predicting Occurrence of Idiopathic Carpal Tunnel Syndrome in Simple Wrist X-ray" Journal of Clinical Medicine 11, no. 14: 4031. https://doi.org/10.3390/jcm11144031
APA StyleHan, B.-S., Kim, K.-H., & Kim, K.-J. (2022). The Radiographic Risk Factors Predicting Occurrence of Idiopathic Carpal Tunnel Syndrome in Simple Wrist X-ray. Journal of Clinical Medicine, 11(14), 4031. https://doi.org/10.3390/jcm11144031

