Psoas Cross-Sectional Measurements Using Manual CT Segmentation before and after Endovascular Aortic Repair (EVAR)
Abstract
:1. Introduction
2. Materials and Methods
2.1. Patients
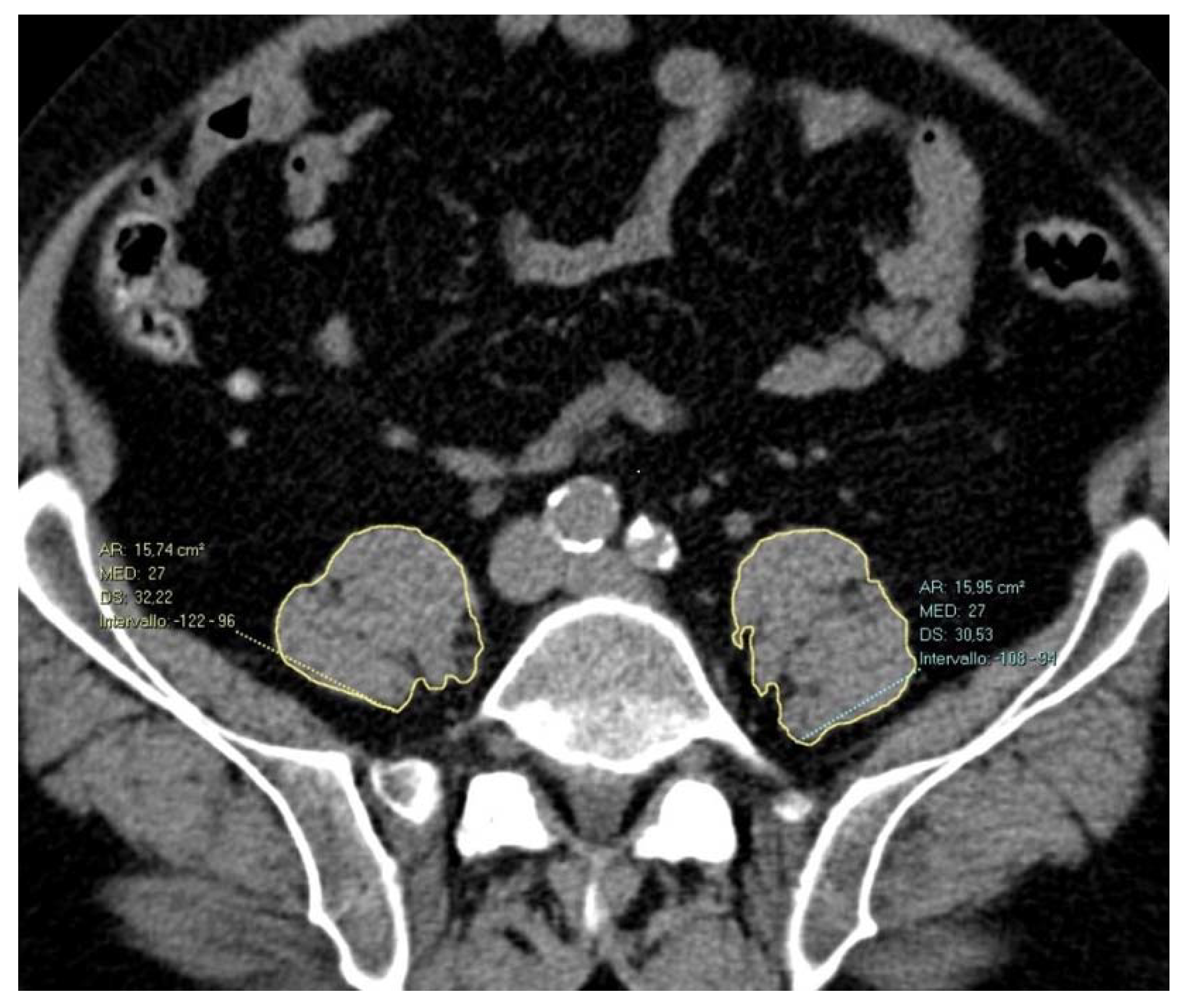
2.2. Image Acquisition and Post-Processing
2.3. Statistical Analysis
3. Results
3.1. Demographics and Clinical Data
3.2. Changes in CT Parameters before and after Surgery
3.3. Inter- and Intra-Reader Reproducibility
4. Discussion
5. Conclusions
Author Contributions
Funding
Institutional Review Board Statement
Informed Consent Statement
Data Availability Statement
Conflicts of Interest
References
- Cruz-Jentoft, A.J.; Sayer, A.A. Sarcopenia. Lancet 2019, 393, 2636–2646. [Google Scholar] [CrossRef]
- Otten, L.; Stobäus, N.; Franz, K.; Genton, L.; Müller-Werdan, U.; Wirth, R.; Norman, K. Impact of Sarcopenia on 1-Year Mortality in Older Patients with Cancer. Age Ageing 2019, 48, 413–418. [Google Scholar] [CrossRef] [PubMed]
- Xia, L.; Zhao, R.; Wan, Q.; Wu, Y.; Zhou, Y.; Wang, Y.; Cui, Y.; Shen, X.; Wu, X. Sarcopenia and Adverse Health-related Outcomes: An Umbrella Review of Meta-analyses of Observational Studies. Cancer Med. 2020, 9, 7964–7978. [Google Scholar] [CrossRef] [PubMed]
- Brzeszczynski, F.; Brzeszczynska, J.; Duckworth, A.D.; Murray, I.R.; Simpson, A.H.R.W.; Hamilton, D.F. The Effect of Sarcopenia on Outcomes Following Orthopaedic Surgery: A Systematic Review. Bone Jt. J. 2022, 104-B, 321–330. [Google Scholar] [CrossRef] [PubMed]
- Buckinx, F.; Landi, F.; Cesari, M.; Fielding, R.A.; Visser, M.; Engelke, K.; Maggi, S.; Dennison, E.; Al-Daghri, N.M.; Allepaerts, S.; et al. Pitfalls in the Measurement of Muscle Mass: A Need for a Reference Standard: Measurement of Muscle Mass. J. Cachexia Sarcopenia Muscle 2018, 9, 269–278. [Google Scholar] [CrossRef]
- Heymsfield, S.B.; Gonzalez, M.C.; Lu, J.; Jia, G.; Zheng, J. Skeletal Muscle Mass and Quality: Evolution of Modern Measurement Concepts in the Context of Sarcopenia. Proc. Nutr. Soc. 2015, 74, 355–366. [Google Scholar] [CrossRef] [Green Version]
- Shen, W.; Punyanitya, M.; Wang, Z.; Gallagher, D.; St.-Onge, M.-P.; Albu, J.; Heymsfield, S.B.; Heshka, S. Total Body Skeletal Muscle and Adipose Tissue Volumes: Estimation from a Single Abdominal Cross-Sectional Image. J. Appl. Physiol. 2004, 97, 2333–2338. [Google Scholar] [CrossRef] [Green Version]
- Goodpaster, B.H.; Kelley, D.E.; Thaete, F.L.; He, J.; Ross, R. Skeletal Muscle Attenuation Determined by Computed Tomography Is Associated with Skeletal Muscle Lipid Content. J. Appl. Physiol. 2000, 89, 104–110. [Google Scholar] [CrossRef] [Green Version]
- Alenezi, A.O.; Tai, E.; Jaberi, A.; Brown, A.; Mafeld, S.; Roche-Nagle, G. Adverse Outcomes after Advanced EVAR in Patients with Sarcopaenia. Cardiovasc. Intervent. Radiol. 2021, 44, 376–383. [Google Scholar] [CrossRef]
- Hale, A.L.; Twomey, K.; Ewing, J.A.; Langan, E.M.; Cull, D.L.; Gray, B.H. Impact of Sarcopenia on Long-Term Mortality following Endovascular Aneurysm Repair. Vasc. Med. 2016, 21, 217–222. [Google Scholar] [CrossRef] [Green Version]
- Thurston, B.; Pena, G.N.; Howell, S.; Cowled, P.; Fitridge, R. Low Total Psoas Area as Scored in the Clinic Setting Independently Predicts Midterm Mortality after Endovascular Aneurysm Repair in Male Patients. J. Vasc. Surg. 2018, 67, 460–467. [Google Scholar] [CrossRef] [PubMed]
- Ikeda, S.; Kodama, A.; Kawai, Y.; Tsuruoka, T.; Sugimoto, M.; Niimi, K.; Banno, H.; Komori, K. Preoperative Sarcopenia and Malnutrition Are Correlated with Poor Long-Term Survival after Endovascular Abdominal Aortic Aneurysm Repair. Surg. Today 2022, 52, 98–105. [Google Scholar] [CrossRef] [PubMed]
- Drudi, L.M.; Phung, K.; Ades, M.; Zuckerman, J.; Mullie, L.; Steinmetz, O.K.; Obrand, D.I.; Afilalo, J. Psoas Muscle Area Predicts All-Cause Mortality after Endovascular and Open Aortic Aneurysm Repair. Eur. J. Vasc. Endovasc. Surg. 2016, 52, 764–769. [Google Scholar] [CrossRef] [PubMed]
- Newton, D.H.; Kim, C.; Lee, N.; Wolfe, L.; Pfeifer, J.; Amendola, M. Sarcopenia Predicts Poor Long-Term Survival in Patients Undergoing Endovascular Aortic Aneurysm Repair. J. Vasc. Surg. 2018, 67, 453–459. [Google Scholar] [CrossRef]
- Waduud, M.A.; Wood, B.; Keleabetswe, P.; Manning, J.; Linton, E.; Drozd, M.; Hammond, C.J.; Bailey, M.A.; Scott, D.J.A. Influence of Psoas Muscle Area on Mortality Following Elective Abdominal Aortic Aneurysm Repair. Br. J. Surg. 2019, 106, 367–374. [Google Scholar] [CrossRef]
- Lindström, I.; Khan, N.; Vänttinen, T.; Peltokangas, M.; Sillanpää, N.; Oksala, N. Psoas Muscle Area and Quality Are Independent Predictors of Survival in Patients Treated for Abdominal Aortic Aneurysms. Ann. Vasc. Surg. 2019, 56, 183–193.e3. [Google Scholar] [CrossRef]
- Lindström, I.; Protto, S.; Khan, N.; Sillanpää, N.; Hernesniemi, J.; Oksala, N. Developing Sarcopenia Predicts Long-Term Mortality after Elective Endovascular Aortic Aneurysm Repair. J. Vasc. Surg. 2020, 71, 1169–1178.e5. [Google Scholar] [CrossRef]
- Hallett, R.L.; Ullery, B.W.; Fleischmann, D. Abdominal Aortic Aneurysms: Pre- and Post-Procedural Imaging. Abdom. Radiol. 2018, 43, 1044–1066. [Google Scholar] [CrossRef]
- Boutin, R.D.; Kaptuch, J.M.; Bateni, C.P.; Chalfant, J.S.; Yao, L. Influence of IV Contrast Administration on CT Measures of Muscle and Bone Attenuation: Implications for Sarcopenia and Osteoporosis Evaluation. Am. J. Roentgenol. 2016, 207, 1046–1054. [Google Scholar] [CrossRef]
- Byun, S.-E.; Kim, S.; Kim, K.-H.; Ha, Y.-C. Psoas Cross-Sectional Area as a Predictor of Mortality and a Diagnostic Tool for Sarcopenia in Hip Fracture Patients. J. Bone Miner. Metab. 2019, 37, 871–879. [Google Scholar] [CrossRef]
- Ritz, A.; Froeba-Pohl, A.; Kolorz, J.; Vigodski, V.; Hubertus, J.; Ley-Zaporozhan, J.; von Schweinitz, D.; Häberle, B.; Schmid, I.; Kappler, R.; et al. Total Psoas Muscle Area as a Marker for Sarcopenia Is Related to Outcome in Children With Neuroblastoma. Front. Surg. 2021, 8, 718184. [Google Scholar] [CrossRef] [PubMed]
- Amini, B.; Boyle, S.P.; Boutin, R.D.; Lenchik, L. Approaches to Assessment of Muscle Mass and Myosteatosis on Computed Tomography: A Systematic Review. J. Gerontol. Ser. A 2019, 74, 1671–1678. [Google Scholar] [CrossRef] [PubMed]
- Boutin, R.D.; Yao, L.; Canter, R.J.; Lenchik, L. Sarcopenia: Current Concepts and Imaging Implications. Am. J. Roentgenol. 2015, 205, W255–W266. [Google Scholar] [CrossRef] [PubMed]
- Chaikof, E.L.; Dalman, R.L.; Eskandari, M.K.; Jackson, B.M.; Lee, W.A.; Mansour, M.A.; Mastracci, T.M.; Mell, M.; Murad, M.H.; Nguyen, L.L.; et al. The Society for Vascular Surgery Practice Guidelines on the Care of Patients with an Abdominal Aortic Aneurysm. J. Vasc. Surg. 2018, 67, 2–77.e2. [Google Scholar] [CrossRef] [Green Version]
- Maeda, N.; Shirakawa, Y.; Tanabe, S.; Sakurama, K.; Noma, K.; Fujiwara, T. Skeletal Muscle Loss in the Postoperative Acute Phase after Esophageal Cancer Surgery as a New Prognostic Factor. World J. Surg. Oncol. 2020, 18, 143. [Google Scholar] [CrossRef]
- Otsuji, H.; Yokoyama, Y.; Ebata, T.; Igami, T.; Sugawara, G.; Mizuno, T.; Yamaguchi, J.; Nagino, M. Surgery-Related Muscle Loss and Its Association with Postoperative Complications After Major Hepatectomy with Extrahepatic Bile Duct Resection. World J. Surg. 2017, 41, 498–507. [Google Scholar] [CrossRef]
- Ouchi, K.; Oki, Y.; Sakuma, T.; Ojiri, H. Risk of Psoas Muscle Atrophy After Endovascular Aneurysm Repair Assessed by Cross-Sectional Psoas Muscle Area. Cardiovasc. Intervent. Radiol. 2020, 43, 981–986. [Google Scholar] [CrossRef]
- The IOF-ESCEO Sarcopenia Working Group; Beaudart, C.; Dawson, A.; Shaw, S.C.; Harvey, N.C.; Kanis, J.A.; Binkley, N.; Reginster, J.Y.; Chapurlat, R.; Chan, D.C.; et al. Nutrition and Physical Activity in the Prevention and Treatment of Sarcopenia: Systematic Review. Osteoporos. Int. 2017, 28, 1817–1833. [Google Scholar] [CrossRef] [Green Version]



| Variable | N (%) or Median (IQR) |
|---|---|
| Demographics | |
| Male | 42 (84) |
| Age (years) | 72 (66–78) |
| Follow up time (months) | 12 (8–19) |
| Comorbidities and risk factors | |
| Hypertension | 40 (80) |
| Diabetes | 7 (14) |
| CAD | 14 (28) |
| Kidney failure | 6 (12) |
| COPD | 15 (30) |
| Smokers | 23 (46) |
| Anticoagulant treatment | 2 (4) |
Publisher’s Note: MDPI stays neutral with regard to jurisdictional claims in published maps and institutional affiliations. |
© 2022 by the authors. Licensee MDPI, Basel, Switzerland. This article is an open access article distributed under the terms and conditions of the Creative Commons Attribution (CC BY) license (https://creativecommons.org/licenses/by/4.0/).
Share and Cite
Monti, C.B.; Righini, P.; Bonanno, M.C.; Capra, D.; Mazzaccaro, D.; Giannetta, M.; Nicolino, G.M.; Nano, G.; Sardanelli, F.; Marrocco-Trischitta, M.M.; et al. Psoas Cross-Sectional Measurements Using Manual CT Segmentation before and after Endovascular Aortic Repair (EVAR). J. Clin. Med. 2022, 11, 4023. https://doi.org/10.3390/jcm11144023
Monti CB, Righini P, Bonanno MC, Capra D, Mazzaccaro D, Giannetta M, Nicolino GM, Nano G, Sardanelli F, Marrocco-Trischitta MM, et al. Psoas Cross-Sectional Measurements Using Manual CT Segmentation before and after Endovascular Aortic Repair (EVAR). Journal of Clinical Medicine. 2022; 11(14):4023. https://doi.org/10.3390/jcm11144023
Chicago/Turabian StyleMonti, Caterina Beatrice, Paolo Righini, Maria Chiara Bonanno, Davide Capra, Daniela Mazzaccaro, Matteo Giannetta, Gabriele Maria Nicolino, Giovanni Nano, Francesco Sardanelli, Massimiliano M. Marrocco-Trischitta, and et al. 2022. "Psoas Cross-Sectional Measurements Using Manual CT Segmentation before and after Endovascular Aortic Repair (EVAR)" Journal of Clinical Medicine 11, no. 14: 4023. https://doi.org/10.3390/jcm11144023
APA StyleMonti, C. B., Righini, P., Bonanno, M. C., Capra, D., Mazzaccaro, D., Giannetta, M., Nicolino, G. M., Nano, G., Sardanelli, F., Marrocco-Trischitta, M. M., & Secchi, F. (2022). Psoas Cross-Sectional Measurements Using Manual CT Segmentation before and after Endovascular Aortic Repair (EVAR). Journal of Clinical Medicine, 11(14), 4023. https://doi.org/10.3390/jcm11144023

