Severe COVID-19 ARDS Treated by Bronchoalveolar Lavage with Diluted Exogenous Pulmonary Surfactant as Salvage Therapy: In Pursuit of the Holy Grail?
Abstract
1. Introduction
2. Role of ATII Pneumocytes
3. Production and Secretion of Surfactant by ATII Pneumocytes
4. ATII in SARS-CoV-2 Infection (COVID-19)
5. COVID-19 ARDS and Treatment by Surfactant Administration
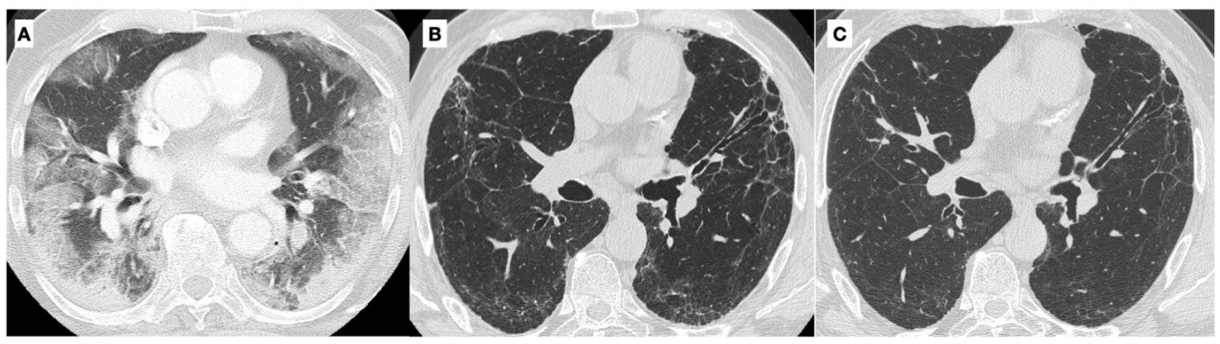
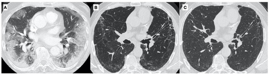
6. Clinical Cases
7. Discussion
Limitations of the Study
8. Conclusions
Author Contributions
Funding
Institutional Review Board Statement
Informed Consent Statement
Data Availability Statement
Acknowledgments
Conflicts of Interest
References
- WHO. WHO Coronavirus (COVID-19) Dashboard. 2021. Available online: https://covid19.who.int (accessed on 27 May 2022).
- Di Pierro, M.; Giani, M.; Bronco, A.; Lembo, F.M.; Rona, R.; Bellani, G.; Foti, G. Bedside Selection of Positive End Expiratory Pressure by Electrical Impedance Tomography in Patients Undergoing Veno-Venous Extracorporeal Membrane Oxygenation Support: A Comparison between COVID-19 ARDS and ARDS from Other Etiologies. J. Clin. Med. 2022, 11, 1639. [Google Scholar] [CrossRef] [PubMed]
- Conoscenti, E.; Campanella, M.; Sala, A.; Di Stefano, M.C.; Vinci, D.; Lombardo, R.; Arena, G.; Ginestra, A.; Fiolo, R.; Tuzzolino, F.; et al. Impact of the Organizational Model Adopted during the COVID-19 Pandemic on the Perceived Safety of Intensive Care Unit Staff. J. Clin. Med. 2022, 11, 1487. [Google Scholar] [CrossRef] [PubMed]
- Pelosi, P.; Tonelli, R.; Torregiani, C.; Baratella, E.; Confalonieri, M.; Battaglini, D.; Marchioni, A.; Confalonieri, P.; Clini, E.; Salton, F.; et al. Different Methods to Improve the Monitoring of Noninvasive Respiratory Support of Patients with Severe Pneumonia/ARDS Due to COVID-19: An Update. J. Clin. Med. 2022, 11, 1704. [Google Scholar] [CrossRef]
- Batah, S.S.; Fabro, A.T. Pulmonary pathology of ARDS in COVID-19: A pathological review for clinicians. Respir. Med. 2021, 176, 106239. [Google Scholar] [CrossRef] [PubMed]
- Geri, P.; Salton, F.; Zuccatosta, L.; Tamburrini, M.; Biolo, M.; Busca, A.; Santagiuliana, M.; Zuccon, U.; Confalonieri, P.; Ruaro, B.; et al. Limited role for bronchoalveolar lavage to exclude COVID-19 after negative upper respiratory tract swabs: A multicentre study. Eur. Respir. J. 2020, 56, 2001733. [Google Scholar] [CrossRef] [PubMed]
- Baratella, E.; Ruaro, B.; Marrocchio, C.; Starvaggi, N.; Salton, F.; Giudici, F.; Quaia, E.; Confalonieri, M.; Cova, M.A. Interstitial Lung Disease at High Resolution CT after SARS-CoV-2-Related Acute Respiratory Distress Syndrome According to Pulmonary Segmental Anatomy. J. Clin. Med. 2021, 10, 3985. [Google Scholar] [CrossRef]
- Ruaro, B.; Salton, F.; Braga, L.; Wade, B.; Confalonieri, P.; Volpe, M.C.; Baratella, E.; Maiocchi, S.; Confalonieri, M. The History and Mystery of Alveolar Epithelial Type II Cells: Focus on Their Physiologic and Pathologic Role in Lung. Int. J. Mol. Sci. 2021, 22, 2566. [Google Scholar] [CrossRef]
- Calkovska, A.; Kolomaznik, M.; Calkovsky, V. Alveolar type II cells and pulmonary surfactant in COVID-19 era. Physiol. Res. 2021, 70, S195–S208. [Google Scholar] [CrossRef]
- Zhang, X.; Li, S.; Niu, S. ACE2 and COVID-19 and the resulting ARDS. Postgrad. Med. J. 2020, 96, 403–407. [Google Scholar] [CrossRef]
- Senapati, S.; Banerjee, P.; Bhagavatula, S.; Kushwaha, P.P.; Kumar, S. Contributions of human ACE2 and TMPRSS2 in determining host-pathogen interaction of COVID-19. J. Genet. 2021, 100, 12. [Google Scholar] [CrossRef]
- Salton, F.; Confalonieri, P.; Campisciano, G.; Cifaldi, R.; Rizzardi, C.; Generali, D.; Pozzan, R.; Tavano, S.; Bozzi, C.; Lapadula, G.; et al. Cytokine Profiles as Potential Prognostic and Therapeutic Markers in SARS-CoV-2-Induced ARDS. J. Clin. Med. 2022, 11, 2951. [Google Scholar] [CrossRef] [PubMed]
- Gerard, L.; Lecocq, M.; Bouzin, C.; Hoton, D.; Schmit, G.; Pereira, J.P.; Montiel, V.; Plante-Bordeneuve, T.; Laterre, P.F.; Pilette, C. Increased Angiotensin-Converting Enzyme 2 and Loss of Alveolar Type II Cells in COVID-19-related Acute Respiratory Distress Syndrome. Am. J. Respir. Crit. Care Med. 2021, 204, 1024–1034. [Google Scholar] [CrossRef] [PubMed]
- Wu, Y.; Li, X.; Gan, Y.; Zhao, C. Nanoparticle-mediated surfactant therapy in patients with severe COVID-19: A perspective. J. Mater. Chem. B 2021, 9, 6988–6993. [Google Scholar] [CrossRef] [PubMed]
- Singh, B.; Singh, D.; Verma, V.; Yadav, R.; Kumar, R. Angiotensin-converting enzyme 2 as a potential therapeutic target for COVID-19: A review. J. Pharm. Anal. 2022, 12, 215–220. [Google Scholar] [CrossRef] [PubMed]
- Cattel, F.; Giordano, S.; Bertiond, C.; Lupia, T.; Corcione, S.; Scaldaferri, M.; Angelone, L.; De Rosa, F.G. Use of exogenous pulmonary surfactant in acute respiratory distress syndrome (ARDS): Role in SARS-CoV-2-related lung injury. Respir. Physiol. Neurobiol. 2021, 288, 103645. [Google Scholar] [CrossRef]
- Van Zyl, J.M.; Smith, J. Surfactant treatment before first breath for respiratory distress syndrome in preterm lambs: Comparison of a peptide-containing synthetic lung surfactant with porcine-derived surfactant. Drug Des. Devel. Ther. 2013, 29, 905–916. [Google Scholar] [CrossRef][Green Version]
- Veldhuizen, R.A.W.; Zuo, Y.Y.; Petersen, N.O.; Lewis, J.F.; Possmayer, F. The COVID-19 pandemic: A target for surfactant therapy? Expert Rev. Respir. Med. 2020, 28, 597–608. [Google Scholar] [CrossRef]
- Zebialowicz Ahlström, J.; Massaro, F.; Mikolka, P.; Feinstein, R.; Perchiazzi, G.; Basabe-Burgos, O.; Curstedt, T.; Larsson, A.; Johansson, J.; Rising, A. Synthetic surfactant with a recombinant surfactant protein C analogue improves lung function and attenuates inflammation in a model of acute respiratory distress syndrome in adult rabbits. Respir. Res. 2019, 20, 245. [Google Scholar] [CrossRef]
- Zhang, L.N.; Sun, J.P.; Xue, X.Y.; Wang, J.X. Exogenous pulmonary surfactant for acute respiratory distress syndrome in adults: A systematic review and meta-analysis. Exp. Ther. Med. 2013, 5, 237–242. [Google Scholar] [CrossRef]
- Liu, J.; Liu, G.; Wu, H.; Li, Z. Efficacy study of pulmonary surfactant combined with assisted ventilation for acute respiratory distress syndrome management of term neonates. Exp. Ther. Med. 2017, 14, 2608–2612. [Google Scholar] [CrossRef][Green Version]
- Gommers, D.; Eijking, E.P.; So, K.L.; van’t Veen, A.; Lachmann, B. Bronchoalveolar lavage with diluted surfactant suspension prior to surfactant instillation improves the effectiveness of surfactant therapy in experimental acute respiratory distress syndrome. Int. Care Med. 1998, 24, 494–500. [Google Scholar] [CrossRef] [PubMed]
- Nakamura, C.T.; Ripka, J.F.; McVeigh, K.; Kapoor, N.; Keens, T.G. Bronchoscopic instillation of surfactant in acute respiratory distress syndrome. Pediatr. Pulmonol. 2001, 31, 317–320. [Google Scholar] [CrossRef] [PubMed]
- Vassiliou, A.G.; Kotanidou, A.; Dimopoulou, I.; Orfanos, S.E. Endothelial damage in acute respiratory distress syndrome. Int. J. Mol. Sci. 2020, 21, 8793. [Google Scholar] [CrossRef] [PubMed]
- Chakraborty, M.; Kotecha, S. Pulmonary surfactant in newborn infants and children. Breathe 2013, 9, 476–488. [Google Scholar] [CrossRef]
- More, K.; Sakhuja, P.; Shah, P.S. Minimally invasive surfactant administration in preterm infants: A meta-narrative review. JAMA Pediatr. 2014, 168, 901–908. [Google Scholar] [CrossRef] [PubMed]
- Meduri, G.U.; Annane, D.; Confalonieri, M.; Chrousos, G.P.; Rochwerg, B.; Busby, A.; Ruaro, B.; Meibohm, B. Pharmacological principles guiding prolonged glucocorticoid treatment in ARDS. Intensive Care Med. 2020, 46, 2284–2296. [Google Scholar] [CrossRef] [PubMed]
- Meng, H.; Sun, Y.; Lu, J.; Fu, S.; Meng, Z.; Scott, M.; Li, Q. Exogenous surfactant may improve oxygenation but not mortality in adult patients with acute lung injury/acute respiratory distress syndrome: A meta-analysis of 9 clinical trials. J. Cardiothorac. Vasc. Anesthesia 2012, 26, 849–856. [Google Scholar] [CrossRef]
- Piva, S.; DiBlasi, R.M.; Slee, A.E.; Jobe, A.H.; Roccaro, A.M.; Filippini, M.; Latronico, N.; Bertoni, M.; Marshall, J.C.; Portman, M.A. Surfactant therapy for COVID-19 related ARDS: A retrospective case-control pilot study. Respir. Res. 2021, 22, 20. [Google Scholar] [CrossRef]
- Bracco, L. COVID-19, type II alveolar cells and surfactant. J. Med.-Clin. Res. Rev. 2020, 4, 1–3. [Google Scholar]
- Dushianthan, A.; Cusack, R.; Goss, V.; Postle, A.D.; Grocott, M.P. Clinical review: Exogenous surfactant therapy for acute lung injury/acute respiratory distress syndrome–where do we go from here? Crit. Care 2012, 16, 238. [Google Scholar] [CrossRef]
- Salton, F.; Confalonieri, P.; Meduri, G.U.; Santus, P.; Harari, S.; Scala, R.; Lanini, S.; Vertui, V.; Oggionni, T.; Caminati, A.; et al. Prolonged Low-Dose Methylprednisolone in Patients with Severe COVID-19 Pneumonia. Open Forum Infect Dis. 2020, 7, ofaa421. [Google Scholar] [CrossRef] [PubMed]
- Orlandi, M.; Landini, N.; Sambataro, G.; Nardi, C.; Tofani, L.; Bruni, C.; Randone, S.B.; Blagojevic, J.; Melchiorre, D.; Hughes, M.; et al. The role of chest CT in deciphering interstitial lung involvement: Systemic sclerosis versus COVID-19. Rheumatology 2022, 61, 1600–1609. [Google Scholar] [CrossRef] [PubMed]
- Baratella, E.; Ruaro, B.; Marrocchio, C.; Poillucci, G.; Pigato, C.; Bozzato, A.M.; Salton, F.; Confalonieri, P.; Crimi, F.; Wade, B.; et al. Diagnostic Accuracy of Chest Digital Tomosynthesis in Patients Recovering after COVID-19 Pneumonia. Tomography 2022, 8, 1221–1227. [Google Scholar] [CrossRef] [PubMed]
- Loscar, M.; Hummel, T.; Haller, M.; Briegel, J.; Wiebecke, B.; Samtleben, W.; Berger, H.; Eichhorn, P.; Schelling, G. ARDS und Wegener-Granulomatose. Anaesthesist 1997, 46, 969–973. [Google Scholar] [CrossRef]
- Baratella, E.; Bussani, R.; Zanconati, F.; Marrocchio, C.; Fabiola, G.; Braga, L.; Maiocchi, S.; Berlot, G.; Volpe, M.C.; Moro, E.; et al. Radiological-pathological signatures of patients with COVID-19-related pneumomediastinum: Is there a role for the Sonic hedgehog and Wnt5a pathways? ERJ Open Res. 2021, 7, 00346–02021. [Google Scholar] [CrossRef]
- Zuo, Y.Y.; Uspal, W.E.; Wei, T. Airborne Transmission of COVID-19: Aerosol Dispersion, Lung Deposition, and Virus-Receptor Interactions. ACS Nano 2020, 14, 16502–16524. [Google Scholar] [CrossRef]
- Islam, A.B.M.M.K.; Khan, A.-A. Lung transcriptome of a COVID-19 patient and systems biology predictions suggest impaired surfactant production which may be druggable by surfactant therapy. Sci. Rep. 2020, 10, 19395. [Google Scholar] [CrossRef]
- Mason, R.J. Pathogenesis of COVID-19 from a cell biology perspective. Eur. Respir. J. 2020, 55, 2000607. [Google Scholar] [CrossRef]
- Lewis, J.F.; Veldhuizen, R. The role of exogenous surfactant in the treatment of acute lung injury. Annu. Rev. Physiol. 2003, 65, 613–642. [Google Scholar] [CrossRef]
- Dushianthan, A.; Clark, H.; Madsen, J.; Mogg, R.; Matthews, L.; Berry, L.; De La Serna, J.B.; Batchelor, J.; Brealey, D.; Hussell, T.; et al. Nebulised surfactant for the treatment of severe COVID-19 in adults (COV-Surf): A structured summary of a study protocol for a randomized controlled trial. Trials 2020, 21, 1014. [Google Scholar] [CrossRef]
- Baratella, E.; Roman-Pognuz, E.; Zerbato, V.; Minelli, P.; Cavallaro, M.; Cova, M.A.; Luzzati, R.; Lucangelo, U.; Sanson, G.; Friso, F.; et al. Potential links between COVID-19-associated pulmonary aspergillosis and bronchiectasis as detected by high resolution computed tomography. Front. Biosci. 2021, 26, 1607–1612. [Google Scholar] [CrossRef] [PubMed]
- Keller, S.; Huang, Y.C.T. The Safety and Preliminary Efficacy of Lucinactant in Adults with COVID-19. ClinicalTrials.gov identifierNCT04389671; 2020. Available online: https://clinicaltrials.gov/ct2/show/NCT04389671 (accessed on 27 May 2022).
- Howard, C. Poractant Alfa—Curosurf and SARS-CoV-19 ARDS (COVID-19). ClinicalTrials.gov identifierNCT04502433; 2020. Available online: https://clinicaltrials.gov/ct2/show/NCT04502433 (accessed on 27 May 2022).


| Patient 1 | Patient 2 | |
|---|---|---|
| Age | 60 | 66 |
| Smoker | Yes | Yes |
| BMI (Body mass index) | 23.8 | 26.3 |
| Major comorbidities | ||
| Arterial hypertension | Yes | Yes |
| Dyslipidemia | Yes | Yes |
| Other | No | No |
| PaO2/FiO2 (mmHg) T = 0 | 54.8 | 61.7 |
| PaO2/FiO2 (mmHg) T = 24 h | 62.4 | 72.9 |
| PaO2/FiO2 (mmHg) T = 48 h | 106 | 98 |
| PaO2/FiO2 (mmHg) T = 96 h | 136 | 152 |
| Lung compliance (mL/cmH2O) T = 0 | 22 | 35 |
| Lung compliance (mL/cmH2O) T = 24 h | 28 | 41 |
| C-reactive protein (mg/L) T = 0 | 283 | 241 |
| C-reactive protein (mg/L) T = 24 | 191 | 232 |
| C-reactive protein (mg/L) T = 48 | 87 | 138 |
| C-reactive protein (mg/L) T = 96 | 23 | 37 |
| Time to extubation (days) | 13 | 11 |
| Time to weaning from ECMO (Extracorporeal membrane oxygenation) (days) | 6 | 6 |
| Time to discharge (days) | 41 | 38 |
Publisher’s Note: MDPI stays neutral with regard to jurisdictional claims in published maps and institutional affiliations. |
© 2022 by the authors. Licensee MDPI, Basel, Switzerland. This article is an open access article distributed under the terms and conditions of the Creative Commons Attribution (CC BY) license (https://creativecommons.org/licenses/by/4.0/).
Share and Cite
Ruaro, B.; Confalonieri, P.; Pozzan, R.; Tavano, S.; Mondini, L.; Baratella, E.; Pagnin, A.; Lerda, S.; Geri, P.; Biolo, M.; et al. Severe COVID-19 ARDS Treated by Bronchoalveolar Lavage with Diluted Exogenous Pulmonary Surfactant as Salvage Therapy: In Pursuit of the Holy Grail? J. Clin. Med. 2022, 11, 3577. https://doi.org/10.3390/jcm11133577
Ruaro B, Confalonieri P, Pozzan R, Tavano S, Mondini L, Baratella E, Pagnin A, Lerda S, Geri P, Biolo M, et al. Severe COVID-19 ARDS Treated by Bronchoalveolar Lavage with Diluted Exogenous Pulmonary Surfactant as Salvage Therapy: In Pursuit of the Holy Grail? Journal of Clinical Medicine. 2022; 11(13):3577. https://doi.org/10.3390/jcm11133577
Chicago/Turabian StyleRuaro, Barbara, Paola Confalonieri, Riccardo Pozzan, Stefano Tavano, Lucrezia Mondini, Elisa Baratella, Alessandra Pagnin, Selene Lerda, Pietro Geri, Marco Biolo, and et al. 2022. "Severe COVID-19 ARDS Treated by Bronchoalveolar Lavage with Diluted Exogenous Pulmonary Surfactant as Salvage Therapy: In Pursuit of the Holy Grail?" Journal of Clinical Medicine 11, no. 13: 3577. https://doi.org/10.3390/jcm11133577
APA StyleRuaro, B., Confalonieri, P., Pozzan, R., Tavano, S., Mondini, L., Baratella, E., Pagnin, A., Lerda, S., Geri, P., Biolo, M., Confalonieri, M., & Salton, F. (2022). Severe COVID-19 ARDS Treated by Bronchoalveolar Lavage with Diluted Exogenous Pulmonary Surfactant as Salvage Therapy: In Pursuit of the Holy Grail? Journal of Clinical Medicine, 11(13), 3577. https://doi.org/10.3390/jcm11133577

