Corneal Findings Associated to Belantamab-Mafodotin (Belamaf) Use in a Series of Patients Examined Longitudinally by Means of Advanced Corneal Imaging
Abstract
:1. Introduction
2. Materials and Methods
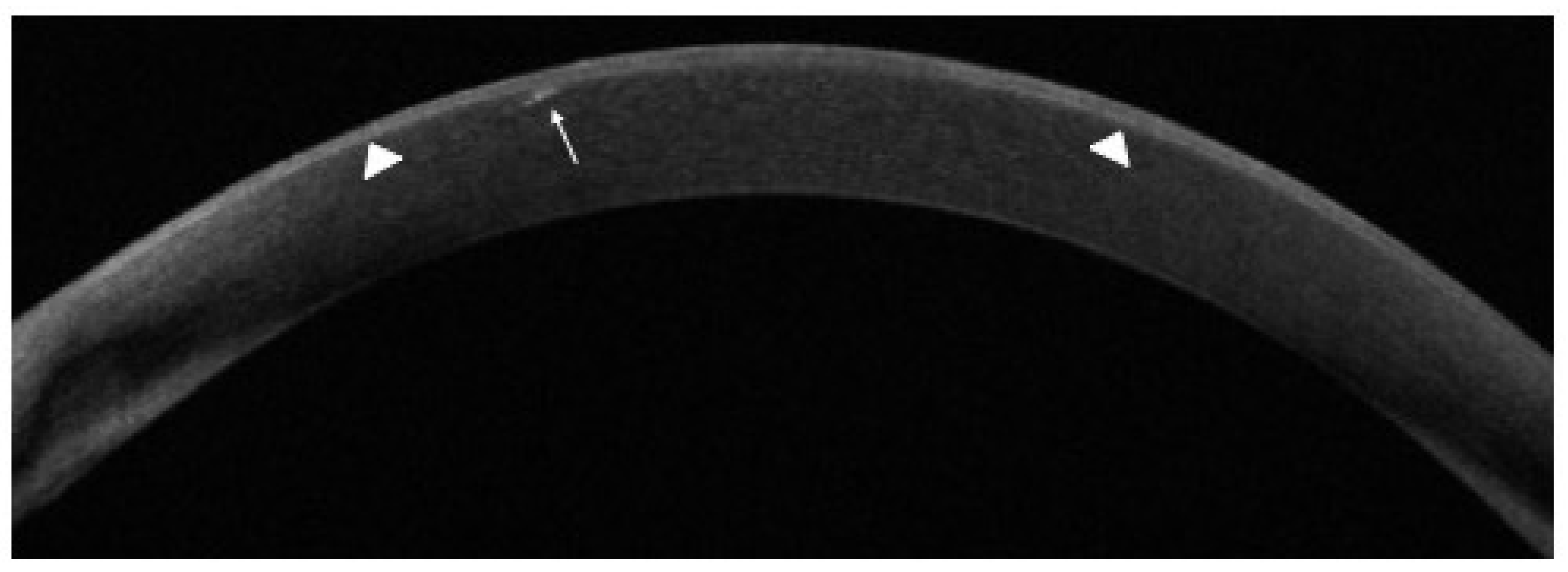
3. Results
4. Discussion
Author Contributions
Funding
Institutional Review Board Statement
Informed Consent Statement
Data Availability Statement
Conflicts of Interest
References
- Klintworth, G.K.; Bredehoeft, S.J.; Reed, J.W. Analysis of corneal crystalline deposits in multiple myeloma. Am. J. Ophthalmol. 1978, 86, 303–313. [Google Scholar] [CrossRef]
- Giannaccare, G.; Pellegrini, M.; Bernabei, F.; Scorcia, V.; Campos, E. Ocular surface system alterations in ocular graft-versus-host disease: All the pieces of the complex puzzle. Graefes Arch. Clin. Exp. Ophthalmol. 2019, 257, 1341–1351. [Google Scholar] [CrossRef] [PubMed]
- Chiang, J.C.B.; Zahari, I.; Markoulli, M.; Krishnan, A.V.; Park, S.B.; Semmler, A.; Goldstein, D.; Edwards, K. The impact of anticancer drugs on the ocular surface. Ocul. Surf. 2020, 18, 403–417. [Google Scholar] [CrossRef] [PubMed]
- Farooq, A.V.; Degli Esposti, S.; Popat, R.; Thulasi, P.; Lonial, S.; Nooka, A.K.; Jakubowiak, A.; Sborov, D.; Zaugg, B.E.; Badros, A.Z.; et al. Corneal Epithelial Findings in Patients with Multiple Myeloma Treated with Antibody-Drug Conjugate Belantamab Mafodotin in the Pivotal, Randomized, DREAMM-2 Study. Ophthalmol. Ther. 2020, 9, 889–911. [Google Scholar] [CrossRef] [PubMed]
- Lonial, S.; Nooka, A.K.; Thulasi, P.; Badros, A.Z.; Jeng, B.H.; Callander, N.S.; Potter, H.A.; Sborov, D.; Zaugg, B.E.; Popat, R.; et al. Management of belantamab mafodotin-associated corneal events in patients with relapsed or refractory multiple myeloma (RRMM). Blood Cancer J. 2021, 11, 103. [Google Scholar] [CrossRef] [PubMed]
- Lonial, S.; Lee, H.C.; Badros, A.; Trudel, S.; Nooka, A.K.; Chari, A.; Abdallah, A.-O.; Callander, N.; Lendvai, N.; Sborov, D.; et al. Belantamab mafodotin for relapsed or refractory multiple myeloma (DREAMM-2): A two-arm, randomised, open-label, phase 2 study. Lancet Oncol. 2020, 21, 207–221. [Google Scholar] [CrossRef]
- Trudel, S.; Lendvai, N.; Popat, R.; Voorhees, P.M.; Reeves, B.; Libby, E.N.; Richardson, P.G.; Hoos, A.; Gupta, I.; Bragulat, V.; et al. Antibody–Drug Conjugate, GSK2857916, in Relapsed/Refractory Multiple Myeloma: An Update on Safety and Efficacy from Dose Expansion Phase I Study. Blood Cancer J. 2019, 9, 37. [Google Scholar] [CrossRef] [PubMed] [Green Version]
- Rocha-de-Lossada, C.; Alba Linero, C.; Santos Ortega, A.; Rodríguez Calvo-de-Mora, M.; Rachwani, R.; Borroni, D.; Alba, E.; Benavides Orgaz, M.; Romano, V. Ocular surface toxicity of depatuxizumab mafoditin (ABT-414): Case reports. Arq. Bras. Oftalmol. 2021. [Google Scholar] [CrossRef]
- Lee, B.A.; Lee, M.S.; Maltry, A.C.; Hou, J.H. Clinical and Histological Characterization of Toxic Keratopathy from Depatuxizumab Mafodotin (ABT-414), an Antibody-Drug Conjugate. Cornea 2021, 40, 1197–1200. [Google Scholar] [CrossRef] [PubMed]
- Parrozzani, R.; Lombardi, G.; Midena, E.; Londei, D.; Padovan, M.; Marchione, G.; Caccese, M.; Midena, G.; Zagonel, V.; Frizziero, L. Ocular Side Effects of EGFR-Inhibitor ABT-414 in Recurrent Glioblastoma: A Long-Term Safety Study. Front. Oncol. 2020, 10, 593461. [Google Scholar] [CrossRef] [PubMed]
- Bausell, R.B.; Soleimani, A.; Vinnett, A.; Baroni, M.D.; Staub, S.A.; Binion, K.; Jeng, B.H.; Badros, A.Z.; Munir, W.M. Corneal changes after Belantamab mafodotin in multiple myeloma patients. Eye Contact Lens. 2021, 47, 362–365. [Google Scholar] [CrossRef] [PubMed]
- Wahab, A.; Rafae, A.; Mushtaq, K.; Masood, A.; Ehsan, H.; Khakwani, M.; Khan, A. Ocular Toxicity of Belantamab Mafodotin, an Oncological Perspective of Management in Relapsed and Refractory Multiple Myeloma. Front. Oncol. 2021, 11, 678634. [Google Scholar] [CrossRef] [PubMed]
- Marquant, K.; Quinquenel, A.; Arndt, C.; Denoyer, A. Corneal in vivo confocal microscopy to detect belantamab mafodotin-induced ocular toxicity early and adjust the dose accordingly: A case report. J. Hematol. Oncol. 2021, 14, 159. [Google Scholar] [CrossRef] [PubMed]
- Matsumiya, W.; Karaca, I.; Ghoraba, H.; Akhavanrezayat, A.; Mobasserian, A.; Hassan, M.; Regenold, J.; Yasar, C.; Liedtke, M.; Kitazawa, K.; et al. Structural changes of corneal epithelium in belantamab-associated superficial keratopathy using anterior segment optical coherence tomography. Am. J. Ophthalmol. Case Rep. 2021, 23, 101133. [Google Scholar] [CrossRef] [PubMed]





Publisher’s Note: MDPI stays neutral with regard to jurisdictional claims in published maps and institutional affiliations. |
© 2022 by the authors. Licensee MDPI, Basel, Switzerland. This article is an open access article distributed under the terms and conditions of the Creative Commons Attribution (CC BY) license (https://creativecommons.org/licenses/by/4.0/).
Share and Cite
Mencucci, R.; Cennamo, M.; Alonzo, L.; Senni, C.; Vagge, A.; Ferro Desideri, L.; Scorcia, V.; Giannaccare, G. Corneal Findings Associated to Belantamab-Mafodotin (Belamaf) Use in a Series of Patients Examined Longitudinally by Means of Advanced Corneal Imaging. J. Clin. Med. 2022, 11, 2884. https://doi.org/10.3390/jcm11102884
Mencucci R, Cennamo M, Alonzo L, Senni C, Vagge A, Ferro Desideri L, Scorcia V, Giannaccare G. Corneal Findings Associated to Belantamab-Mafodotin (Belamaf) Use in a Series of Patients Examined Longitudinally by Means of Advanced Corneal Imaging. Journal of Clinical Medicine. 2022; 11(10):2884. https://doi.org/10.3390/jcm11102884
Chicago/Turabian StyleMencucci, Rita, Michela Cennamo, Ludovica Alonzo, Carlotta Senni, Aldo Vagge, Lorenzo Ferro Desideri, Vincenzo Scorcia, and Giuseppe Giannaccare. 2022. "Corneal Findings Associated to Belantamab-Mafodotin (Belamaf) Use in a Series of Patients Examined Longitudinally by Means of Advanced Corneal Imaging" Journal of Clinical Medicine 11, no. 10: 2884. https://doi.org/10.3390/jcm11102884
APA StyleMencucci, R., Cennamo, M., Alonzo, L., Senni, C., Vagge, A., Ferro Desideri, L., Scorcia, V., & Giannaccare, G. (2022). Corneal Findings Associated to Belantamab-Mafodotin (Belamaf) Use in a Series of Patients Examined Longitudinally by Means of Advanced Corneal Imaging. Journal of Clinical Medicine, 11(10), 2884. https://doi.org/10.3390/jcm11102884

