Innovations in Shoulder Arthroplasty
Abstract
1. Introduction
2. New Perspectives and Innovations in Anatomic Shoulder Arthroplasty
2.1. Humeral Component Innovations
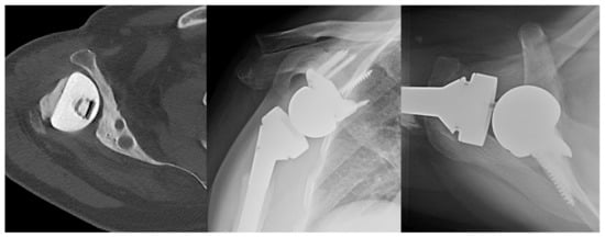
2.1.1. Stemless Implants
2.1.2. Short Stem Implants
2.1.3. Convertible Platforms
2.2. Glenoid Component Innovations
Augmented Glenoid Components
2.3. Inlay versus Onlay Glenoid Components
2.4. Convertible Glenoid Components in Anatomic TSA
3. New Perspectives and Innovations in Reverse Shoulder Arthroplasty
3.1. Combined Humeral and Glenoid Component Innovations
Lateralization
3.2. Humeral Component Innovations
3.2.1. Stemless Implants
3.2.2. Inlay vs. Onlay Implants
3.2.3. Vitamin E Polyethylene Implants
3.2.4. Ceramic Implants
3.3. Glenoid Component Innovations
Augmented Glenoid Components
4. New Perspectives and Innovations in Revision Shoulder Arthroplasty and Complications
4.1. Convertible Implants
4.2. Humeral Bone Loss
5. Innovations in Arthroplasty Technologies
5.1. Patient-Specific Instrumentation and Pre-Operative Planning
5.2. Augmented and Mixed Reality Applications in Total Shoulder Arthroplasty
6. Conclusions
Funding
Institutional Review Board Statement
Informed Consent Statement
Data Availability Statement
Conflicts of Interest
References
- Day, J.S.; Lau, E.; Ong, K.L.; Williams, G.R.; Ramsey, M.L.; Kurtz, S.M. Prevalence and projections of total shoulder and elbow arthroplasty in the United States to 2015. J. Shoulder Elb. Surg. 2010, 19, 1115–1120. [Google Scholar] [CrossRef] [PubMed]
- Boileau, P.; Walch, G. The Three-Dimensional Geometry of the Proximal Humerus. J. Bone Jt. Surg. Br. Vol. 1997, 79-B, 857–865. [Google Scholar] [CrossRef]
- Heers, G.; Grifka, J.; An, K.N. Biomechanical considerations on shoulder joint prosthesis implantation. Der Orthop. 2001, 30, 346–353. [Google Scholar] [CrossRef] [PubMed]
- Hawi, N.; Magosch, P.; Tauber, M.; Lichtenberg, S.; Habermeyer, P. Nine-year outcome after anatomic stemless shoulder prosthesis: Clinical and radiologic results. J. Shoulder Elb. Surg. 2017, 26, 1609–1615. [Google Scholar] [CrossRef]
- Kadum, B.; Hassany, H.; Wadsten, M.; Sayed-Noor, A.; Sjödén, G. Geometrical analysis of stemless shoulder arthroplasty: A radiological study of seventy TESS total shoulder prostheses. Int. Orthop. 2016, 40, 751–758. [Google Scholar] [CrossRef]
- Athwal, G.S. Spare the Canal: Stemless Shoulder Arthroplasty Is Finally Here. J. Bone Jt. Surg. 2016, 98, e28. [Google Scholar] [CrossRef]
- Brabston, E.W.; Fehringer, E.V.; Owen, M.T.; Ponce, B.A. Stemless Humeral Implants in Total Shoulder Arthroplasty. J. Am. Acad. Orthop. Surg. 2020, 28, e277–e287. [Google Scholar] [CrossRef]
- Krukenberg, A.; McBirnie, J.; Bartsch, S.; Böhler, N.; Wiedemann, E.; Jost, B.; Mansat, P.; Bellon-Champel, P.; Angeloni, R.; Scheibel, M. Sidus Stem-Free Shoulder System for primary osteoarthritis: Short-term results of a multicenter study. J. Shoulder Elb. Surg. 2018, 27, 1483–1490. [Google Scholar] [CrossRef]
- Habermeyer, P.; Lichtenberg, S.; Tauber, M.; Magosch, P. Midterm results of stemless shoulder arthroplasty: A prospective study. J. Shoulder Elb. Surg. 2015, 24, 1463–1472. [Google Scholar] [CrossRef]
- Alikhah, A.; Imiolczyk, J.P.; Krukenberg, A.; Scheibel, M. Screw fixation in stemless shoulder arthroplasty for the treatment of primary osteoarthritis leads to less osteolysis when compared to impaction fixation. BMC Musculoskelet. Disord. 2020, 21, 295. [Google Scholar] [CrossRef]
- Huguet, D.; DeClercq, G.; Rio, B.; Teissier, J.; Zipoli, B. Results of a new stemless shoulder prosthesis: Radiologic proof of maintained fixation and stability after a minimum of three years’ follow-up. J. Shoulder Elb. Surg. 2010, 19, 847–852. [Google Scholar] [CrossRef] [PubMed]
- Berth, A.; Pap, G. Stemless shoulder prosthesis versus conventional anatomic shoulder prosthesis in patients with osteoarthritis. J. Orthop. Traumatol. 2013, 14, 31–37. [Google Scholar] [CrossRef] [PubMed]
- Bell, S.N.; Coghlan, J.A. Short stem shoulder replacement. Int. J. Shoulder Surg. 2014, 8, 72–75. [Google Scholar] [CrossRef] [PubMed]
- Churchill, R.S.; Chuinard, C.; Wiater, J.M.; Friedman, R.; Freehill, M.; Jacobson, S.; Spencer, E.; Holloway, G.B.; Wittstein, J.; Lassiter, T.; et al. Clinical and Radiographic Outcomes of the Simpliciti Canal-Sparing Shoulder Arthroplasty System. J. Bone Jt. Surg. 2016, 98, 552–560. [Google Scholar] [CrossRef] [PubMed]
- Collin, P.; Matsukawa, T.; Boileau, P.; Brunner, U.; Walch, G. Is the humeral stem useful in anatomic total shoulder arthroplasty? Int. Orthop. 2017, 41, 1035–1039. [Google Scholar] [CrossRef][Green Version]
- Beck, S.; Beck, V.; Wegner, A.; Dudda, M.; Patsalis, T.; Jäger, M. Long-term survivorship of stemless anatomical shoulder replacement. Int. Orthop. 2018, 42, 1327–1330. [Google Scholar] [CrossRef]
- Uschok, S.; Magosch, P.; Moe, M.; Lichtenberg, S.; Habermeyer, P. Is the stemless humeral head replacement clinically and radiographically a secure equivalent to standard stem humeral head replacement in the long-term follow-up? A prospective randomized trial. J. Shoulder Elb. Surg. 2017, 26, 225–232. [Google Scholar] [CrossRef]
- Aibinder, W.R.; Bartels, D.W.; Sperling, J.W.; Sanchez-Sotelo, J. Mid-term radiological results of a cementless short humeral component in anatomical and reverse shoulder arthroplasty. Bone Jt. J. 2019, 101-B, 610–614. [Google Scholar] [CrossRef]
- Schnetzke, M.; Preis, A.; Coda, S.; Raiss, P.; Loew, M. Anatomical and reverse shoulder replacement with a convertible, uncemented short-stem shoulder prosthesis: First clinical and radiological results. Arch. Orthop. Trauma Surg. 2017, 137, 679–684. [Google Scholar] [CrossRef]
- Romeo, A.A.; Thorsness, R.J.; Sumner, S.A.; Gobezie, R.; Lederman, E.S.; Denard, P.J. Short-term clinical outcome of an anatomic short-stem humeral component in total shoulder arthroplasty. J. Shoulder Elb. Surg. 2018, 27, 70–74. [Google Scholar] [CrossRef]
- Garret, J.; Harly, E.; le Huec, J.C.; Brunner, U.; Rotini, R.; Godenèche, A. Pyrolytic carbon humeral head in hemi-shoulder arthroplasty: Preliminary results at 2-year follow-up. JSES Open Access 2019, 3, 37–42. [Google Scholar] [CrossRef]
- Schnetzke, M.; Wittmann, T.; Raiss, P.; Walch, G. Short-term results of a second generation anatomic short-stem shoulder prosthesis in primary osteoarthritis. Arch. Orthop. Trauma Surg. 2019, 139, 149–154. [Google Scholar] [CrossRef] [PubMed]
- Rasmussen, J.V.; Olsen, B.S.; Al-Hamdani, A.; Brorson, S. Outcome of Revision Shoulder Arthroplasty After Resurfacing Hemiarthroplasty in Patients with Glenohumeral Osteoarthritis. J. Bone Jt. Surg. 2016, 98, 1631–1637. [Google Scholar] [CrossRef] [PubMed]
- Hannoun, A.; Ouenzerfi, G.; Brizuela, L.; Mebarek, S.; Bougault, C.; Hassler, M.; Berthier, Y.; Trunfio-Sfarghiu, A.-M. Pyrocarbon versus cobalt-chromium in the context of spherical interposition implants: An in vitro study on cultured chondrocytes. Eur. Cells Mater. 2019, 37, 1–15. [Google Scholar] [CrossRef] [PubMed]
- Klawitter, J.J.; Patton, J.; More, R.; Peter, N.; Podnos, E.; Ross, M. In vitro comparison of wear characteristics of PyroCarbon and metal on bone: Shoulder hemiarthroplasty. Shoulder Elb. 2020, 12, 11–22. [Google Scholar] [CrossRef]
- Hsu, S.H.; Byram, I.R.; Bigliani, L.U. Implant Removal in Revision Arthroplasty: A Tour de Force. Semin. Arthroplast. 2012, 23, 118–124. [Google Scholar] [CrossRef]
- Crosby, L.A.; Wright, T.W.; Yu, S.; Zuckerman, J.D. Conversion to Reverse Total Shoulder Arthroplasty with and without Humeral Stem Retention: The Role of a Convertible-Platform Stem. J. Bone Jt. Surg. 2017, 99, 736–742. [Google Scholar] [CrossRef]
- Wieser, K.; Borbas, P.; Ek, E.T.; Meyer, D.C.; Gerber, C. Conversion of Stemmed Hemi- or Total to Reverse Total Shoulder Arthroplasty: Advantages of a Modular Stem Design. Clin. Orthop. Relat. Res. 2015, 473, 651–660. [Google Scholar] [CrossRef]
- Dilisio, M.F.; Miller, L.R.; Siegel, E.J.; Higgins, L.D. Conversion to Reverse Shoulder Arthroplasty: Humeral Stem Retention Versus Revision. Orthopedics 2015, 38, e773–e779. [Google Scholar] [CrossRef]
- Bercik, M.J.; Kruse, K.; Yalizis, M.; Gauci, M.O.; Chaoui, J.; Walch, G. A modification to the Walch classification of the glenoid in primary glenohumeral osteoarthritis using three-dimensional imaging. J. Shoulder Elb. Surg. 2016, 25, 1601–1606. [Google Scholar] [CrossRef]
- Shapiro, T.A.; McGarry, M.H.; Gupta, R.; Lee, Y.S.; Lee, T.Q. Biomechanical effects of glenoid retroversion in total shoulder arthroplasty. J. Shoulder Elb. Surg. 2007, 16, S90–S95. [Google Scholar] [CrossRef] [PubMed]
- Iannotti, J.P.; Greeson, C.; Downing, D.; Sabesan, V.; Bryan, J.A. Effect of glenoid deformity on glenoid component placement in primary shoulder arthroplasty. J. Shoulder Elb. Surg. 2012, 21, 48–55. [Google Scholar] [CrossRef] [PubMed]
- Sabesan, V.; Callanan, M.; Sharma, V.; Iannotti, J.P. Correction of acquired glenoid bone loss in osteoarthritis with a standard versus an augmented glenoid component. J. Shoulder Elb. Surg. 2014, 23, 964–973. [Google Scholar] [CrossRef] [PubMed]
- Hill, J.M.; Norris, T.R. Long-term results of total shoulder arthroplasty following bone-grafting of the glenoid. J. Bone Jt. Surg. Am. Vol. 2001, 83, 877–883. [Google Scholar] [CrossRef]
- Iannotti, J.P.; Frangiamore, S.J. Fate of large structural allograft for treatment of severe uncontained glenoid bone deficiency. J. Shoulder Elb. Surg. 2012, 21, 765–771. [Google Scholar] [CrossRef]
- Klika, B.J.; Wooten, C.W.; Sperling, J.W.; Steinmann, S.P.; Schleck, C.D.; Harmsen, W.S.; Cofield, R.H. Structural bone grafting for glenoid deficiency in primary total shoulder arthroplasty. J. Shoulder Elb. Surg. 2014, 23, 1066–1072. [Google Scholar] [CrossRef]
- Walch, G.; Moraga, C.; Young, A.; Castellanos-Rosas, J. Results of anatomic nonconstrained prosthesis in primary osteoarthritis with biconcave glenoid. J. Shoulder Elb. Surg. 2012, 21, 1526–1533. [Google Scholar] [CrossRef]
- Priddy, M.; Zarezadeh, A.; Farmer, K.W.; Struk, A.M.; King, J.J.; Wright, T.W.; Schoch, B.S. Early results of augmented anatomic glenoid components. J. Shoulder Elb. Surg. 2019, 28, S138–S145. [Google Scholar] [CrossRef]
- Mizuno, N.; Denard, P.J.; Raiss, P.; Walch, G. Reverse total shoulder arthroplasty for primary glenohumeral osteoarthritis in patients with a biconcave glenoid. J. Bone Jt. Surg. Am. Vol. 2013, 95, 1297–1304. [Google Scholar] [CrossRef]
- Favorito, P.J.; Freed, R.J.; Passanise, A.M.; Brown, M.J. Total shoulder arthroplasty for glenohumeral arthritis associated with posterior glenoid bone loss: Results of an all-polyethylene, posteriorly augmented glenoid component. J. Shoulder Elb. Surg. 2016, 25, 1681–1689. [Google Scholar] [CrossRef]
- Stephens, S.P.; Spencer, E.E.; Wirth, M.A. Radiographic results of augmented all-polyethylene glenoids in the presence of posterior glenoid bone loss during total shoulder arthroplasty. J. Shoulder Elb. Surg. 2017, 26, 798–803. [Google Scholar] [CrossRef] [PubMed]
- Lenart, B.A.; Namdari, S.; Williams, G.R. Total shoulder arthroplasty with an augmented component for anterior glenoid bone deficiency. J. Shoulder Elb. Surg. 2016, 25, 398–405. [Google Scholar] [CrossRef] [PubMed]
- Sandow, M.; Schutz, C. Total shoulder arthroplasty using trabecular metal augments to address glenoid retroversion: The preliminary result of 10 patients with minimum 2-year follow-up. J. Shoulder Elb. Surg. 2016, 25, 598–607. [Google Scholar] [CrossRef] [PubMed]
- Norris, T.R.; Iannotti, J.P. Functional outcome after shoulder arthroplasty for primary osteoarthritis: A multicenter study. J. Shoulder Elb. Surg. 2002, 11, 130–135. [Google Scholar] [CrossRef] [PubMed]
- Papadonikolakis, A.; Neradilek, M.B.; Matsen, F.A. Failure of the glenoid component in anatomic total shoulder arthroplasty: A systematic review of the English-language literature between 2006 and 2012. J. Bone Jt. Surg. Am. Vol. 2013, 95, 2205–2212. [Google Scholar] [CrossRef]
- Strauss, E.J.; Roche, C.; Flurin, P.H.; Wright, T.; Zuckerman, J.D. The glenoid in shoulder arthroplasty. J. Shoulder Elb. Surg. 2009, 18, 819–833. [Google Scholar] [CrossRef]
- Taunton, M.J.; McIntosh, A.L.; Sperling, J.W.; Cofield, R.H. Total shoulder arthroplasty with a metal-backed, bone-ingrowth glenoid component. Medium to long-term results. J. Bone Jt. Surg. Am. Vol. 2008, 90, 2180–2188. [Google Scholar] [CrossRef]
- Vavken, P.; Sadoghi, P.; von Keudell, A.; Rosso, C.; Valderrabano, V.; Müller, A.M. Rates of radiolucency and loosening after total shoulder arthroplasty with pegged or keeled glenoid components. J. Bone Jt. Surg. Am. Vol. 2013, 95, 215–221. [Google Scholar] [CrossRef]
- Clitherow, H.D.S.; Frampton, C.M.A.; Astley, T.M. Effect of glenoid cementation on total shoulder arthroplasty for degenerative arthritis of the shoulder: A review of the New Zealand National Joint Registry. J. Shoulder Elb. Surg. 2014, 23, 775–781. [Google Scholar] [CrossRef]
- Fox, T.J.; Foruria, A.M.; Klika, B.J.; Sperling, J.W.; Schleck, C.D.; Cofield, R.H. Radiographic survival in total shoulder arthroplasty. J. Shoulder Elb. Surg. 2013, 22, 1221–1227. [Google Scholar] [CrossRef]
- Wirth, M.A.; Loredo, R.; Garcia, G.; Rockwood, C.A.; Southworth, C.; Iannotti, J.P. Total shoulder arthroplasty with an all-polyethylene pegged bone-ingrowth glenoid component: A clinical and radiographic outcome study. J. Bone Jt. Surg. Am. Vol. 2012, 94, 260–267. [Google Scholar] [CrossRef] [PubMed]
- Gagliano, J.R.; Helms, S.M.; Colbath, G.P.; Przestrzelski, B.T.; Hawkins, R.J.; DesJardins, J.D. A comparison of onlay versus inlay glenoid component loosening in total shoulder arthroplasty. J. Shoulder Elb. Surg. 2017, 26, 1113–1120. [Google Scholar] [CrossRef] [PubMed]
- Cvetanovich, G.L.; Naylor, A.J.; O’Brien, M.C.; Waterman, B.R.; Garcia, G.H.; Nicholson, G.P. Anatomic total shoulder arthroplasty with an inlay glenoid component: Clinical outcomes and return to activity. J. Shoulder Elb. Surg. 2020, 29, 1188–1196. [Google Scholar] [CrossRef] [PubMed]
- Egger, A.C.; Peterson, J.; Jones, M.H.; Miniaci, A. Total shoulder arthroplasty with nonspherical humeral head and inlay glenoid replacement: Clinical results comparing concentric and nonconcentric glenoid stages in primary shoulder arthritis. JSES Open Access 2019, 3, 145–153. [Google Scholar] [CrossRef]
- Uribe, J.; Luis Vargas John, Z. Minimum 2 Years Outcomes of Powerlifters and Bodybuilders with advanced Glenohumeral arthritis, managed with Stemless aspherical humeral head resurfacing and inlay glenoid. Orthop. J. Sports Med. 2020, 8. [Google Scholar] [CrossRef]
- Magosch, P.; Lichtenberg, S.; Tauber, M.; Martetschläger, F.; Habermeyer, P. Prospective midterm results of a new convertible glenoid component in anatomic shoulder arthroplasty: A cohort study. Arch. Orthop. Trauma Surg. 2021, 141, 717–724. [Google Scholar] [CrossRef]
- Merolla, G.; Chin, P.; Sasyniuk, T.M.; Paladini, P.; Porcellini, G. Total shoulder arthroplasty with a second-generation tantalum trabecular metal-backed glenoid component: Clinical and radiographic outcomes at a mean follow-up of 38 months. Bone Jt. J. 2016, 98-B, 75–80. [Google Scholar] [CrossRef]
- Watson, S.T.; Gudger, G.K.; Long, C.D.; Tokish, J.M.; Tolan, S.J. Outcomes of Trabecular Metal-backed glenoid components in anatomic total shoulder arthroplasty. J. Shoulder Elb. Surg. 2018, 27, 493–498. [Google Scholar] [CrossRef]
- Valenti, P.; Katz, D.; Kany, J.; Werthel, J.D. Convertible Glenoid Components Facilitate Revisions to Reverse Shoulder Arthroplasty Easier: Retrospective Review of 13 Cases. Am. J. Orthop. 2018, 47. [Google Scholar] [CrossRef]
- Best, M.J.; Aziz, K.T.; Wilckens, J.H.; McFarland, E.G.; Srikumaran, U. Increasing incidence of primary reverse and anatomic total shoulder arthroplasty in the United States. J. Shoulder Elb. Surg. 2021, 30, 1159–1166. [Google Scholar] [CrossRef]
- Grammont, P.M.; Baulot, E. Delta shoulder prosthesis for rotator cuff rupture. Orthopedics 1993, 16, 65–68. [Google Scholar] [CrossRef] [PubMed]
- Gutiérrez, S.; Comiskey, C.A.; Luo, Z.P.; Pupello, D.R.; Frankle, M.A. Range of impingement-free abduction and adduction deficit after reverse shoulder arthroplasty. Hierarchy of surgical and implant-design-related factors. J. Bone Jt. Surg. Am. Vol. 2008, 90, 2606–2615. [Google Scholar] [CrossRef] [PubMed]
- Gutiérrez, S.; Levy, J.C.; Frankle, M.A.; Cuff, D.; Keller, T.S.; Pupello, D.R.; Lee, W.E. Evaluation of abduction range of motion and avoidance of inferior scapular impingement in a reverse shoulder model. J. Shoulder Elb. Surg. 2008, 17, 608–615. [Google Scholar] [CrossRef] [PubMed]
- Keener, J.D.; Patterson, B.M.; Orvets, N.; Aleem, A.W.; Chamberlain, A.M. Optimizing reverse shoulder arthroplasty component position in the setting of advanced arthritis with posterior glenoid erosion: A computer-enhanced range of motion analysis. J. Shoulder Elb. Surg. 2018, 27, 339–349. [Google Scholar] [CrossRef]
- Tashjian, R.Z.; Burks, R.T.; Zhang, Y.; Henninger, H.B. Reverse total shoulder arthroplasty: A biomechanical evaluation of humeral and glenosphere hardware configuration. J. Shoulder Elb. Surg. 2015, 24, e68–e77. [Google Scholar] [CrossRef]
- Werner, B.S.; Chaoui, J.; Walch, G. The influence of humeral neck shaft angle and glenoid lateralization on range of motion in reverse shoulder arthroplasty. J. Shoulder Elb. Surg. 2017, 26, 1726–1731. [Google Scholar] [CrossRef]
- Roche, C.P.; Diep, P.; Hamilton, M.; Crosby, L.A.; Flurin, P.-H.; Wright, T.W.; Zuckerman, J.D.; Routman, H.D. Impact of inferior glenoid tilt, humeral retroversion, bone grafting, and design parameters on muscle length and deltoid wrapping in reverse shoulder arthroplasty. Bull. Hosp. Jt. Dis. 2013, 71, 284–293. [Google Scholar]
- Chan, K.; Langohr, G.D.G.; Mahaffy, M.; Johnson, J.A.; Athwal, G.S. Does Humeral Component Lateralization in Reverse Shoulder Arthroplasty Affect Rotator Cuff Torque? Evaluation in a Cadaver Model. Clin. Orthop. Relat. Res. 2017, 475, 2564–2571. [Google Scholar] [CrossRef]
- Henninger, H.B.; Barg, A.; Anderson, A.E.; Bachus, K.N.; Burks, R.T.; Tashjian, R.Z. Effect of lateral offset center of rotation in reverse total shoulder arthroplasty: A biomechanical study. J. Shoulder Elb. Surg. 2012, 21, 1128–1135. [Google Scholar] [CrossRef]
- Giles, J.W.; Langohr, G.D.G.; Johnson, J.A.; Athwal, G.S. Implant Design Variations in Reverse Total Shoulder Arthroplasty Influence the Required Deltoid Force and Resultant Joint Load. Clin. Orthop. Relat. Res. 2015, 473, 3615–3626. [Google Scholar] [CrossRef]
- Wong, M.T.; Langohr, G.D.G.; Athwal, G.S.; Johnson, J.A. Implant positioning in reverse shoulder arthroplasty has an impact on acromial stresses. J. Shoulder Elb. Surg. 2016, 25, 1889–1895. [Google Scholar] [CrossRef] [PubMed]
- Costantini, O.; Choi, D.S.; Kontaxis, A.; Gulotta, L.V. The effects of progressive lateralization of the joint center of rotation of reverse total shoulder implants. J. Shoulder Elb. Surg. 2015, 24, 1120–1128. [Google Scholar] [CrossRef] [PubMed]
- Yang, C.-C.; Lu, C.-L.; Wu, C.-H.; Wu, J.-J.; Huang, T.-L.; Chen, R.; Yeh, M.-K. Stress analysis of glenoid component in design of reverse shoulder prosthesis using finite element method. J. Shoulder Elb. Surg. 2013, 22, 932–939. [Google Scholar] [CrossRef] [PubMed]
- Virani, N.A.; Harman, M.; Li, K.; Levy, J.; Pupello, D.R.; Frankle, M.A. In vitro and finite element analysis of glenoid bone/baseplate interaction in the reverse shoulder design. J. Shoulder Elb. Surg. 2008, 17, 509–521. [Google Scholar] [CrossRef] [PubMed]
- Hamilton, M.A.; Diep, P.; Roche, C.; Flurin, P.H.; Wright, T.W.; Zuckerman, J.D.; Routman, H. Effect of reverse shoulder design philosophy on muscle moment arms. J. Orthop. Res. Off. Publ. Orthop. Res. Soc. 2015, 33, 605–613. [Google Scholar] [CrossRef]
- Liou, W.; Yang, Y.; Petersen-Fitts, G.R.; Lombardo, D.J.; Stine, S.; Sabesan, V.J. Effect of lateralized design on muscle and joint reaction forces for reverse shoulder arthroplasty. J. Shoulder Elb. Surg. 2017, 26, 564–572. [Google Scholar] [CrossRef]
- Upfill-Brown, A.; Satariano, N.; Feeley, B. Stemless shoulder arthroplasty: Review of short and medium-term results. JSES Open Access 2019, 3, 154–161. [Google Scholar] [CrossRef]
- Levy, O.; Panagopoulos, G.N.; Leonidou, A.; Atoun, E. Stemless reverse shoulder arthroplasty: Indications, technique and European experience. Ann. Jt. 2018, 3, 108. [Google Scholar] [CrossRef]
- Liu, E.Y.; Kord, D.; Yee, N.J.; Horner, N.S.; Al Mana, L.; Leroux, T.; Alolabi, B.; Khan, M. Stemless reverse total shoulder arthroplasty: A systematic review of short- and mid-term results. Shoulder Elb. 2021, 13, 482–491. [Google Scholar] [CrossRef]
- Leonidou, A.; Virani, S.; Buckle, C.; Yeoh, C.; Relwani, J. Reverse shoulder arthroplasty with a cementless short metaphyseal humeral prosthesis without a stem: Survivorship, early to mid-term clinical and radiological outcomes in a prospective study from an independent centre. Eur. J. Orthop. Surg. Traumatol. Orthop. Traumatol. 2020, 30, 89–96. [Google Scholar] [CrossRef]
- Ballas, R.; Béguin, L. Results of a stemless reverse shoulder prosthesis at more than 58 months mean without loosening. J. Shoulder Elb. Surg. 2013, 22, e1–e6. [Google Scholar] [CrossRef] [PubMed]
- Kadum, B.; Mukka, S.; Englund, E.; Sayed-Noor, A.; Sjödén, G. Clinical and radiological outcome of the Total Evolutive Shoulder System (TESS®) reverse shoulder arthroplasty: A prospective comparative non-randomised study. Int. Orthop. 2014, 38, 1001–1006. [Google Scholar] [CrossRef] [PubMed]
- Lädermann, A.; Denard, P.J.; Collin, P.; Zbinden, O.; Chiu, J.C.-H.; Boileau, P.; Olivier, F.; Walch, G. Effect of humeral stem and glenosphere designs on range of motion and muscle length in reverse shoulder arthroplasty. Int. Orthop. 2020, 44, 519–530. [Google Scholar] [CrossRef]
- Haidamous, G.; Lädermann, A.; Frankle, M.A.; Gorman, R.A.; Denard, P.J. The risk of postoperative scapular spine fracture following reverse shoulder arthroplasty is increased with an onlay humeral stem. J. Shoulder Elb. Surg. 2020, 29, 2556–2563. [Google Scholar] [CrossRef] [PubMed]
- Cho, N.S.; Nam, J.H.; Hong, S.J.; Kim, T.W.; Lee, M.G.; Ahn, J.T.; Rhee, Y.G. Radiologic Comparison of Humeral Position according to the Implant Designs Following Reverse Shoulder Arthroplasty: Analysis between Medial Glenoid/Medial Humerus, Lateral Glenoid/Medial Humerus, and Medial Glenoid/Lateral Humerus Designs. Clin. Shoulder Elb. 2018, 21, 192–199. [Google Scholar] [CrossRef] [PubMed]
- Beltrame, A.; di Benedetto, P.; Cicuto, C.; Cainero, V.; Chisoni, R.; Causero, A. Onlay versus Inlay humeral steam in Reverse Shoulder Arthroplasty (RSA): Clinical and biomechanical study. Acta Bio-Med. Atenei Parm. 2019, 90, 54–63. [Google Scholar] [CrossRef]
- Merolla, G.; Walch, G.; Ascione, F.; Paladini, P.; Fabbri, E.; Padolino, A.; Porcellini, G. Grammont humeral design versus onlay curved-stem reverse shoulder arthroplasty: Comparison of clinical and radiographic outcomes with minimum 2-year follow-up. J. Shoulder Elb. Surg. 2018, 27, 701–710. [Google Scholar] [CrossRef] [PubMed]
- Ascione, F.; Kilian, C.M.; Laughlin, M.S.; Bugelli, G.; Domos, P.; Neyton, L.; Godeneche, A.; Edwards, T.B.; Walch, G. Increased scapular spine fractures after reverse shoulder arthroplasty with a humeral onlay short stem: An analysis of 485 consecutive cases. J. Shoulder Elb. Surg. 2018, 27, 2183–2190. [Google Scholar] [CrossRef]
- Mehta, N.; Hall, D.J.; Pourzal, R.; Garrigues, G.E. The Biomaterials of Total Shoulder Arthroplasty. JBJS Rev. 2020, 8, e19.00212. [Google Scholar] [CrossRef]
- Bracco, P.; Brunella, V.; Zanetti, M.; Luda, M.P.; Costa, L. Stabilisation of ultra-high molecular weight polyethylene with Vitamin E. Polym. Degrad. Stab. 2007, 92, 2155–2162. [Google Scholar] [CrossRef]
- Wolf, C.; Macho, C.; Lederer, K. Accelerated ageing experiments with crosslinked and conventional ultra-high molecular weight polyethylene (UHMW-PE) stabilised with alpha-tocopherol for total joint arthroplasty. J. Mater. Sci. Mater. Med. 2006, 17, 1333–1340. [Google Scholar] [CrossRef] [PubMed]
- Oral, E.; Christensen, S.D.; Malhi, A.S.; Wannomae, K.K.; Muratoglu, O.K. Wear resistance and mechanical properties of highly cross-linked, ultrahigh-molecular weight polyethylene doped with vitamin E. J. Arthroplast. 2006, 21, 580–591. [Google Scholar] [CrossRef] [PubMed]
- Oral, E.; Wannomae, K.K.; Hawkins, N.; Harris, W.H.W.H.; Muratoglu, O.K.O.K. Alpha-tocopherol-doped irradiated UHMWPE for high fatigue resistance and low wear. Biomaterials 2004, 25, 5515–5522. [Google Scholar] [CrossRef] [PubMed]
- Alexander, J.J.; Bell, S.N.; Coghlan, J.; Lerf, R.; Dallmann, F. The effect of vitamin E-enhanced cross-linked polyethylene on wear in shoulder arthroplasty-a wear simulator study. J. Shoulder Elb. Surg. 2019, 28, 1771–1778. [Google Scholar] [CrossRef] [PubMed]
- Mueller, U.; Braun, S.; Schroeder, S.; Schroeder, M.; Sonntag, R.; Jaeger, S.; Kretzer, J.P. Influence of humeral head material on wear performance in anatomic shoulder joint arthroplasty. J. Shoulder Elb. Surg. 2017, 26, 1756–1764. [Google Scholar] [CrossRef]
- Bell, S.N.; Christmas, M.U.S.I.; Coghlan, J.A. Proximal humeral osteolysis and glenoid radiolucent lines in an anatomic shoulder arthroplasty: A comparison of a ceramic and a metal humeral head component. J. Shoulder Elb. Surg. 2020, 29, 913–923. [Google Scholar] [CrossRef]
- Formaini, N.T.; Everding, N.G.; Levy, J.C.; Santoni, B.G.; Nayak, A.N.; Wilson, C.; Cabezas, A.F. The effect of glenoid bone loss on reverse shoulder arthroplasty baseplate fixation. J. Shoulder Elb. Surg. 2015, 24, e312–e319. [Google Scholar] [CrossRef]
- Martin, E.J.; Duquin, T.R.; Ehrensberger, M.T. Reverse total shoulder glenoid baseplate stability with superior glenoid bone loss. J. Shoulder Elb. Surg. 2017, 26, 1748–1755. [Google Scholar] [CrossRef]
- Villatte, G.; Muller, A.S.; Pereira, B.; Mulliez, A.; Reilly, P.; Emery, R. Use of Patient-Specific Instrumentation (PSI) for glenoid component positioning in shoulder arthroplasty. A systematic review and meta-analysis. PLoS ONE 2018, 13, e0201759. [Google Scholar] [CrossRef]
- Hendel, M.D.; Bryan, J.A.; Barsoum, W.K.; Rodriguez, E.J.; Brems, J.J.; Evans, P.J.; Iannotti, J.P. Comparison of patient-specific instruments with standard surgical instruments in determining glenoid component position: A randomized prospective clinical trial. J. Bone Jt. Surg. Am. Vol. 2012, 94, 2167–2175. [Google Scholar] [CrossRef]
- Turgeon, T.R.; Cameron, B.; Burnell, C.D.; Hedden, D.R.; Bohm, E.R. A double-blind randomized controlled trial of total knee replacement using patient-specific cutting block instrumentation versus standard instrumentation. Can. J. Surg. J. Can. Chir. 2019, 62, 460–467. [Google Scholar] [CrossRef] [PubMed]
- Trivedi, N.N.; Shimberg, J.L.; Sivasundaram, L.; Mengers, S.; Salata, M.J.; Voos, J.E.; Gillespie, R.J. Advances in Glenoid Design in Anatomic Total Shoulder Arthroplasty. J. Bone Jt. Surg. Am. Vol. 2020, 102, 1825–1835. [Google Scholar] [CrossRef] [PubMed]
- Verhey, J.T.; Haglin, J.M.; Verhey, E.M.; Hartigan, D.E. Virtual, augmented, and mixed reality applications in orthopedic surgery. Int. J. Med. Robot. Comput. Assist. Surg. MRCAS 2020, 16, e2067. [Google Scholar] [CrossRef] [PubMed]
- Ponce, B.A.; Brabston, E.W.; Zu, S.; Watson, S.L.; Baker, D.; Winn, D.; Guthrie, B.L.; Shenai, M.B. Telemedicine with mobile devices and augmented reality for early postoperative care. In Proceedings of the Annual International Conference of the IEEE Engineering in Medicine and Biology Society, Orlando, FL, USA, 16–20 August 2016; pp. 4411–4414. [Google Scholar] [CrossRef]
- Gregory, T.M.; Gregory, J.; Sledge, J.; Allard, R.; Mir, O. Surgery guided by mixed reality: Presentation of a proof of concept. Acta Orthop. 2018, 89, 480–483. [Google Scholar] [CrossRef]







Publisher’s Note: MDPI stays neutral with regard to jurisdictional claims in published maps and institutional affiliations. |
© 2022 by the authors. Licensee MDPI, Basel, Switzerland. This article is an open access article distributed under the terms and conditions of the Creative Commons Attribution (CC BY) license (https://creativecommons.org/licenses/by/4.0/).
Share and Cite
Leafblad, N.; Asghar, E.; Tashjian, R.Z. Innovations in Shoulder Arthroplasty. J. Clin. Med. 2022, 11, 2799. https://doi.org/10.3390/jcm11102799
Leafblad N, Asghar E, Tashjian RZ. Innovations in Shoulder Arthroplasty. Journal of Clinical Medicine. 2022; 11(10):2799. https://doi.org/10.3390/jcm11102799
Chicago/Turabian StyleLeafblad, Nels, Elise Asghar, and Robert Z. Tashjian. 2022. "Innovations in Shoulder Arthroplasty" Journal of Clinical Medicine 11, no. 10: 2799. https://doi.org/10.3390/jcm11102799
APA StyleLeafblad, N., Asghar, E., & Tashjian, R. Z. (2022). Innovations in Shoulder Arthroplasty. Journal of Clinical Medicine, 11(10), 2799. https://doi.org/10.3390/jcm11102799
