Reliability of a Trapezium Miniplate with Endoscope-Assisted Internal Fixation in Mandibular Subcondylar Fractures: A Three-Dimensional Analysis
Abstract
:1. Introduction
2. Materials and Methods
3. Results
3.1. Clinical Evaluation
3.2. Functional Evaluation
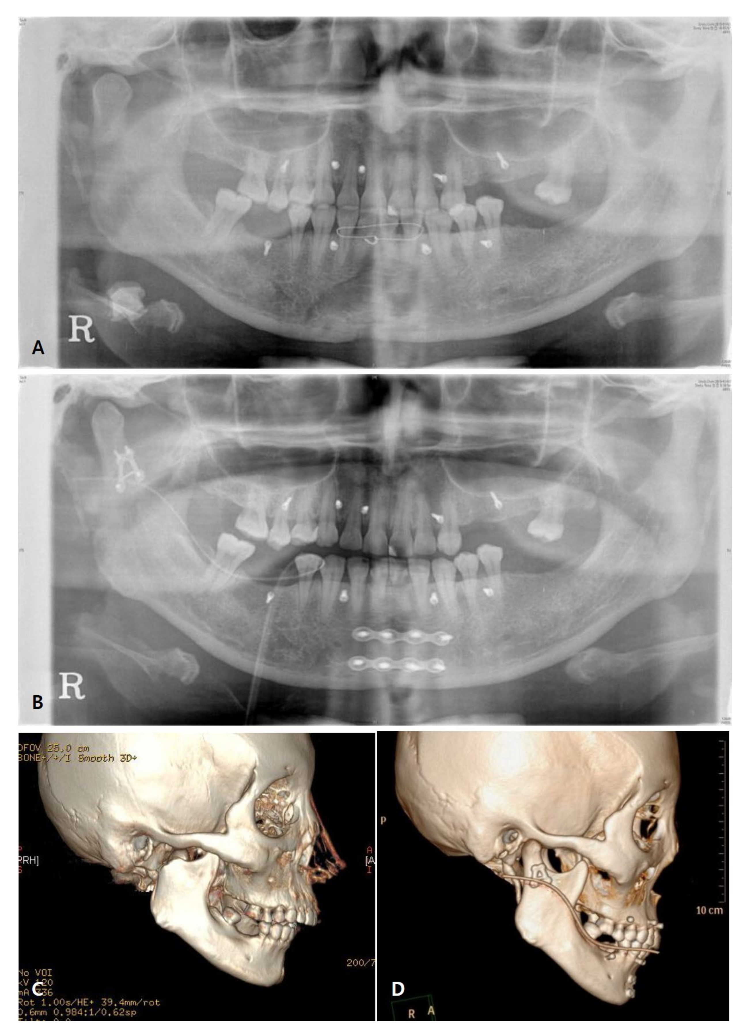
3.3. Radiographic Evaluation
3.4. Statistical Evaluation
4. Discussion
5. Conclusions
Author Contributions
Funding
Institutional Review Board Statement
Informed Consent Statement
Data Availability Statement
Conflicts of Interest
References
- Lachner, J.; Clanton, J.T.; Waite, P.D. Open reduction and internal rigid fixation of subcondylar fractures via an intraoral approach. Oral Surg. Oral Med. Oral Pathol. 1991, 71, 257–261. [Google Scholar] [CrossRef]
- Jeter, T.S.; van Sickels, J.E.; Nishioka, G.J. Intraoral Open reduction and internal rigid fixation of mandibular subcondylar fractures. J. Oral Maxillofac. Surg. 1988, 46, 1113–1116. [Google Scholar] [CrossRef]
- Undt, G.; Kermer, C.; Rasse, M.; Sinko, K.; Ewers, R. Transoral miniplate osteosynthesis of condylar neck fractures. Oral Surg. Oral Med. Oral Pathol. Oral Radiol. Endod. 1999, 88, 534–543. [Google Scholar] [CrossRef]
- Iizuka, T.; Lindqvist, C.; Hallikainen, D.; Mikkonen, P.; Paukku, P. Severe bone resorption and osteoarthrosis after miniplate fixation of high condylar fractures. Oral Surg. 1991, 72, 400–407. [Google Scholar] [CrossRef]
- Zachariades, N.; Papademetriou, J.; Rallis, G. Mandibular fractures treated by bone plating and intraosseous wiring: A comparative study. Revue de Stomatologie et de Chirurgie Maxillo-Faciale 1994, 95, 386–390. [Google Scholar]
- Burkhard, J.P.M.; Koba, S.; Schlittler, F.; Iizuka, T.; Schaller, B. Clinical results of two different three-dimensional titanium plates in the treatment of condylar neck and base fractures: A retrospective study. J. Cranio-Maxillofac. Surg. 2020, 48, 756–764. [Google Scholar] [CrossRef] [PubMed]
- Sikora, M.; Chęciński, M.; Sielski, M.; Chlubek, D. Use of 3D Titanium Miniplates in Surgical Treatment of Patients with Condylar Fractures. J. Clin. Med. 2020, 9, 2923. [Google Scholar] [CrossRef]
- Adhikari, M.; Bhatt, K.; Yadav, R.; Mandal, J.; Bhutia, O.; Roychoudhury, A. Fixation of subcondylar fractures of the mandible: A randomized clinical trial comparing one trapezoidal plate with two miniplates. Int. J. Oral Maxillofac. Surg. 2021, 50, 756–762. [Google Scholar] [CrossRef]
- Ahuja, S.A.; Galinde, J.; Asnani, U.; Mistry, Y.A. Comparative Evaluation of Clinical Outcomes Using Delta Plates and Conventional Miniplates for Internal Fixation of Mandibular Condylar Fractures in Adults. J. Oral Maxillofac. Surg. 2018, 76, 1255–1266. [Google Scholar] [CrossRef] [PubMed]
- Choi, B.H.; Yi, C.K.; Yoo, J.H. Clinical evaluation of 3 types of plate osteosynthesis for fixation of condylar neck fractures. J. Oral Maxillofac. Surg. 2001, 59, 734–737. [Google Scholar] [CrossRef] [Green Version]
- Zieliński, R.; Kozakiewicz, M.; Konieczny, B.; Krasowski, M.; Okulski, J. Mechanical Evaluation of Titanium Plates for Osteosynthesis High Neck Condylar Fracture of Mandible. Materials 2020, 13, 592. [Google Scholar] [CrossRef] [PubMed] [Green Version]
- Meyer, C.; Martin, E.; Kahn, J.L.; Zink, S. Development and biomechanical testing of a new osteosynthesis plate (TCP) designed to stabilize mandibular condyle fractures. J. Cranio-Maxillofac. Surg. 2007, 35, 84–90. [Google Scholar] [CrossRef] [PubMed]
- Darwich, M.A.; Albogha, M.H.; Abdelmajeed, A.; Darwich, K. Assessment of the Biomechanical Performance of 5 Plating Techniques in Fixation of Mandibular Subcondylar Fracture Using Finite Element Analysis. J. Oral. Maxillofac. 2016, 74, 794e1–794e8. [Google Scholar] [CrossRef]
- Hochban, W.; Ellers, M.; Umstadt, H.E. Zur operativen reposition und fixation von unterkiefergelenkfortsatzfrakturen von enoral. Fortschritte der Kiefer und Gesichts-Chirurgie 1996, 41, 80–85. [Google Scholar] [PubMed]
- Jacobovicz, J.; Lee, C.; Trabulsy, T. Endoscopic repair of mandibular subcondylar fractures. Plast. Reconstr. Surg. 1998, 101, 437–441. [Google Scholar] [CrossRef] [PubMed]
- Sandler, N.A. Endoscopic-assisted reduction and fixation of a mandibular subcondylar fracture: Report of a case. J. Oral Maxillofac. Surg. 2001, 59, 1479–1482. [Google Scholar] [CrossRef] [PubMed]
- Paeng, J.-Y.; Ahn, K.-M.; Myoung, H.; Choi, J.-Y.; Hwang, S.-J.; Kim, S.-M.; Kim, M.-J.; Lee, J.-H. Endoscopic-Assisted Open Reduction and Internal Fixation (EAORIF) for Condylar Fracture. J. Hard Tissue Biol. 2005, 14, 45–46. [Google Scholar] [CrossRef]
- Kim, D.Y.; Sung, I.Y.; Cho, Y.C.; Park, E.J.; Son, J.H. Bioabsorbable plates versus metal miniplate systems for use in endoscope-assisted open reduction and internal fixation of mandibular subcondylar fractures. J. Cranio-Maxillofac. Surg. 2018, 46, 413–417. [Google Scholar] [CrossRef]
- Meyer, C.; Kahn, J.L.; Boutemi, P.; Wilk, A. Photoelastic analysis of bone deformation in the region of the mandibular condyle during mastication. J. Cranio-Maxillofac. Surg. 2002, 30, 160–169. [Google Scholar] [CrossRef] [PubMed]
- Okeson, J.P. Management of Temporomandibular Disorders and Occlusion, 8th ed.; Mosby Elsevier: St. Louis, MO, USA, 2019; pp. 324–371. [Google Scholar]
- Worsaae, N.; Thorn, J.J. Surgical versus nonsurgical treatment of unilateral dislocated low subcondylar fractures: A clinical study of 52 cases. J. Oral Maxillofac. Surg. 1994, 52, 353–360. [Google Scholar] [CrossRef]
- Eckelt, U.; Schneider, M.; Erasmus, F.; Gerlach, K.L.; Kuhlisch, E.; Loukota, R.; Rasse, M.; Schubert, J.; Terheyden, H. Open versus closed treatment of fractures of the mandibular condylar process: A prospective randomized multicenter study. J. Cranio-Maxillofac. Surg. 2006, 34, 306–314. [Google Scholar] [CrossRef]
- Wilk, A.; Biotchane, I.; Rosenstiel, M. Surgical treatment of subcondylar process fractures using a rectangular plate for 3-dimensional stabilization. Revue de Stomatologie et de Chirurgie Maxillo Faciale 1997, 98, 40. [Google Scholar]
- Krenkel, C. Axial “anchor” screw (lag screw with biconcavewasher) or “slantes screw” plate for ostesynthesis of fractures of the mandibular condylar process. J. Cranio-Maxillofac. Surg. 1992, 20, 348–353. [Google Scholar] [CrossRef]
- Lauer, G.; Schmelzeisen, R. Endoscope-assisted fixation of mandibular condylar process fractures. J. Oral Maxillofac. Surg. 1999, 57, 36–39. [Google Scholar] [CrossRef]
- Miloro, M. Endoscopic-assisted repair of subcondylar fractures. Oral Surg. Oral Med. Oral Pathol. Oral Radiol. Endod. 2003, 96, 387–391. [Google Scholar] [CrossRef]
- Schön, R.; Fakler, O.; Gellrich, N.C.; Schmelzeisen, R. Five-year experience with the transoral endoscopically assisted treatment of displaced condylar mandible fractures. Plast. Reconstr. Surg. 2005, 116, 44–50. [Google Scholar] [CrossRef] [PubMed] [Green Version]
- Manoj, C.; Harshvardhan, P.; Manpreet, S.; Arpit, V.; Gagandeep, K. Evaluation of trapezoidal-shaped 3-D plates for internal fixation of mandibular subcondylar fractures in adults. J. Oral Biol. Craniofacial Res. 2015, 5, 134–139. [Google Scholar]
- Scott, C.; Ramakrishnan, K.; Vivek, N.; Saravanan, C.; Prashanthi, G. Does Three-Dimensional Plate Offer Better Outcome and Reduce the Surgical Time Following Open Reduction and Internal Fixation of Adult Mandibular Unilateral Subcondylar Fractures. A Randomized Clinical Study. J. Oral Maxillofac. Surg. 2021, 79, 1330.e1–1330.e12. [Google Scholar] [CrossRef]
- Lata, J.; Verma, N.; Mhajan, S. Evaluation of Efficacy of 3-Dimensional Delta Versus Trapezoidal Condylar Plates in Internal Fixation of Mandibular Subcondylar Fractures: A Clinical Study. Traumaxilla 2019, 1, 11–21. [Google Scholar] [CrossRef]
- Spiessl, B.; Schroll, K. Gesichtsschädel Bd I/I. In Spezielle Frakturen und Luxationslehre; Nigst, H., Ed.; Thieme: Stuttgart, Germany, 1972; pp. 43–113. [Google Scholar]
- Wagner, A.; Krach, W.; Schicho, K.; Undt, G.; Ploder, O.; Ewers, R. A 3-dimensional finite element analysis investigating the biomechanical behavior of the mandible and plate osteosynthesis in cases of fractures of the condylar process. Oral Surg. Oral Med. Oral Pathol. Oral Radiol. Endod. 2002, 94, 678–686. [Google Scholar] [CrossRef] [PubMed]
- Kang, S.-H.; Choi, E.J.; Kim, H.W.; Kim, H.J.; Cha, I.H.; Nam, W. Complications in endoscopic-assisted open reduction and internal fixation of mandibular condyle fractures. Oral Surg. Oral Med. Oral Pathol. 2012, 113, 201–216. [Google Scholar] [CrossRef] [PubMed]






| Variables | Study Population (n = 18) | |
|---|---|---|
| Sex n (%) | Men | 12 (66.67) |
| Women | 6 (33.33) | |
| Age (year) | Mean ± SD | 43.83 ± 15.76 |
| Median (min–max) | 47.00 (18.00–70.00) | |
| Post-operative MMO (mm) | Mean ± SD | 24.82 ± 1.99 |
| Median (min–max) | 24.90 (21.20–27.90) | |
| Post-operative MMO (1 month) (mm) | Mean ± SD | 32.23 ± 1.32 |
| Median (min–max) | 32.50 (30.30–34.30) | |
| Post-operative MMO (6 months) (mm) | Mean ± SD | 41.54 ± 2.21 |
| Median (min–max) | 42.70 (37.20–47.80) | |
| Mean protrusion (6 months) (mm) | Mean ± SD | 7.39 ± 1.60 |
| Median (min–max) | 8.20 (4.00–10.50) | |
| Mean lateral excursion to the right (6 months) (mm) | Mean ± SD | 7.28 ± 1.18 |
| Median (min–max) | 7.45 (4.60–9.50) | |
| Mean lateral excursion to the left (6 months) (mm) | Mean ± SD | 7.13 ± 1.51 |
| Median (min–max) | 7.05 (4.50–10.20) | |
| Variables | Non-Operated Side (n = 18) | Operated Side (n = 18) | p-Value * | |
|---|---|---|---|---|
| Length (mm) | Mean ± SD | 65.68 ± 6.77 | 65.02 ± 6.48 | 0.205 |
| Median (min–max) | 65.33 (52.10–79.40) | 66.77 (48.16–74.13) | ||
| Angle (n°) | Mean ± SD | 166.31 ± 7.10 | 164.95 ± 8.26 | 0.099 |
| Median (min–max) | 168.10 (143.00–175.20) | 165.30 (142.50–179.50) | ||
Publisher’s Note: MDPI stays neutral with regard to jurisdictional claims in published maps and institutional affiliations. |
© 2021 by the authors. Licensee MDPI, Basel, Switzerland. This article is an open access article distributed under the terms and conditions of the Creative Commons Attribution (CC BY) license (https://creativecommons.org/licenses/by/4.0/).
Share and Cite
Jung, S.; Nam, O.H.; Fang, Y.-Q.; Dusmukhamedov, S.; Lee, C. Reliability of a Trapezium Miniplate with Endoscope-Assisted Internal Fixation in Mandibular Subcondylar Fractures: A Three-Dimensional Analysis. J. Clin. Med. 2022, 11, 207. https://doi.org/10.3390/jcm11010207
Jung S, Nam OH, Fang Y-Q, Dusmukhamedov S, Lee C. Reliability of a Trapezium Miniplate with Endoscope-Assisted Internal Fixation in Mandibular Subcondylar Fractures: A Three-Dimensional Analysis. Journal of Clinical Medicine. 2022; 11(1):207. https://doi.org/10.3390/jcm11010207
Chicago/Turabian StyleJung, Seungwook, Ok Hyung Nam, Yi-Qin Fang, Shavkat Dusmukhamedov, and Chunui Lee. 2022. "Reliability of a Trapezium Miniplate with Endoscope-Assisted Internal Fixation in Mandibular Subcondylar Fractures: A Three-Dimensional Analysis" Journal of Clinical Medicine 11, no. 1: 207. https://doi.org/10.3390/jcm11010207
APA StyleJung, S., Nam, O. H., Fang, Y.-Q., Dusmukhamedov, S., & Lee, C. (2022). Reliability of a Trapezium Miniplate with Endoscope-Assisted Internal Fixation in Mandibular Subcondylar Fractures: A Three-Dimensional Analysis. Journal of Clinical Medicine, 11(1), 207. https://doi.org/10.3390/jcm11010207

