Correlation between Liver Stiffness by Two-Dimensional Shear Wave Elastography and Waist Circumference in Japanese Local Citizens with Abdominal Obesity
Abstract
1. Introduction
2. Materials and Methods
2.1. Study Design, Participants, and Ethics
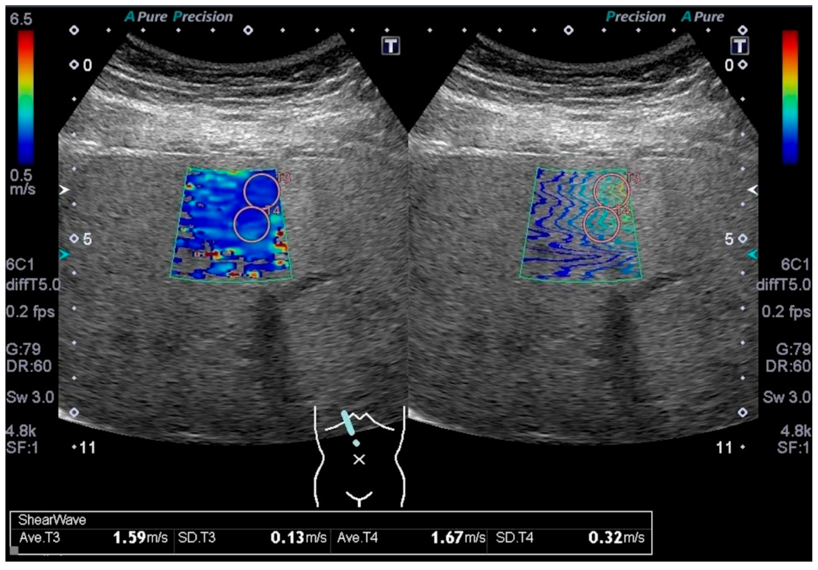
2.2. Data Collection and Measurement of Liver Stiffness
2.3. Degree of Fatty Liver, UFL Score
2.4. Definition of Hypertension, Diabetes, Dyslipidemia, Fatty Liver Disease, BMI, NAFLD Fibrosis Score, and FIB-4 Index
2.5. Participant Subgroups
2.6. Statistical Analysis
3. Results
Correlation of Liver Stiffness with Waist Circumference
4. Discussion
5. Conclusions
Author Contributions
Funding
Institutional Review Board Statement
Informed Consent Statement
Data Availability Statement
Acknowledgments
Conflicts of Interest
References
- Angulo, P.; Kleiner, D.E.; Dam-Larsen, S.; Adams, L.A.; Bjornsson, E.S.; Charatcharoenwitthaya, P.; Mills, P.R.; Keach, J.C.; Lafferty, H.D.; Stahler, A.; et al. Liver fibrosis, but no other histologic features, is associated with long-term outcomes of patients with nonalcoholic fatty liver disease. Gastroenterology 2015, 149, 389–397.e10. [Google Scholar] [CrossRef] [PubMed]
- Bravo, A.A.; Sheth, S.G.; Chopra, S. Liver Biopsy. N. Engl. J. Med. 2001, 344, 495–500. [Google Scholar] [CrossRef] [PubMed]
- Regev, A.; Berho, M.; Jeffers, L.J.; Milikowski, C.; Molina, E.G.; Pyrsopoulos, N.T.; Feng, Z.Z.; Reddy, K.R.; Schiff, E.R. Sampling error and intraobserver variation in liver biopsy in patients with chronic HCV infection. Am. J. Gastroenterol. 2002, 97, 2614–2618. [Google Scholar] [CrossRef] [PubMed]
- Sigrist, R.M.S.; Liau, J.; El Kaffas, A.; Chammas, M.C.; Willmann, J.K. Ultrasound elastography: Review of techniques and clinical applications. Theranostics 2017, 7, 1303–1329. [Google Scholar] [CrossRef]
- Garra, B.S. Elastography: History, principles, and technique comparison. Abdom. Imaging 2015, 40, 680–697. [Google Scholar] [CrossRef]
- Castera, L.; Friedrich-Rust, M.; Loomba, R. Noninvasive Assessment of Liver Disease in Patients With Nonalcoholic Fatty Liver Disease. Gastroenterology 2019, 156, 1264–1281.e4. [Google Scholar] [CrossRef] [PubMed]
- Afdhal, N.H.; Bacon, B.R.; Patel, K.; Lawitz, E.J.; Gordon, S.C.; Nelson, D.R.; Challies, T.L.; Nasser, I.; Garg, J.; Wei, L.J.; et al. Accuracy of fibroscan, compared with histology, in analysis of liver fibrosis in patients with hepatitis B or C: A united states multicenter study. Clin. Gastroenterol. Hepatol. 2015, 13, 772–779.e3. [Google Scholar] [CrossRef]
- Castera, L.; Yuen Chan, H.L.; Arrese, M.; Afdhal, N.; Bedossa, P.; Friedrich-Rust, M.; Han, K.H.; Pinzani, M. EASL-ALEH Clinical Practice Guidelines: Non-invasive tests for evaluation of liver disease severity and prognosis. J. Hepatol. 2015, 63, 237–264. [Google Scholar] [CrossRef]
- Ferraioli, G.; Tinelli, C.; Dal Bello, B.; Zicchetti, M.; Filice, G.; Filice, C. Accuracy of real-time shear wave elastography for assessing liver fibrosis in chronic hepatitis C: A pilot study. Hepatology 2012, 56, 2125–2133. [Google Scholar] [CrossRef]
- Ferraioli, G.; Filice, C.; Castera, L.; Choi, B.I.; Sporea, I.; Wilson, S.R.; Cosgrove, D.; Dietrich, C.F.; Amy, D.; Bamber, J.C.; et al. WFUMB guidelines and recommendations for clinical use of ultrasound elastography: Part 3: Liver. Ultrasound Med. Biol. 2015, 41, 1161–1179. [Google Scholar] [CrossRef]
- Roulot, D.; Czernichow, S.; Le Clésiau, H.; Costes, J.L.; Vergnaud, A.C.; Beaugrand, M. Liver stiffness values in apparently healthy subjects: Influence of gender and metabolic syndrome. J. Hepatol. 2008, 48, 606–613. [Google Scholar] [CrossRef]
- Kumar, M.; Sharma, P.; Garg, H.; Kumar, R.; Bhatia, V.; Sarin, S.K. Transient elastographic evaluation in adult subjects without overt liver disease: Influence of alanine aminotransferase levels. J. Gastroenterol. Hepatol. 2011, 26, 1318–1325. [Google Scholar] [CrossRef] [PubMed]
- Hamaguchi, M.; Kojima, T.; Itoh, Y.; Harano, Y.; Fujii, K.; Nakajima, T.; Kato, T.; Takeda, N.; Okuda, J.; Ida, K.; et al. The severity of ultrasonographic findings in nonalcoholic fatty liver disease reflects the metabolic syndrome and visceral fat accumulation. Am. J. Gastroenterol. 2007, 102, 2708–2715. [Google Scholar] [CrossRef] [PubMed]
- Sterling, R.K.; Lissen, E.; Clumeck, N.; Sola, R.; Correa, M.C.; Montaner, J.; Sulkowski, M.S.; Torriani, F.J.; Dieterich, D.T.; Thomas, D.L.; et al. Development of a simple noninvasive index to predict significant fibrosis in patients with HIV/HCV coinfection. Hepatology 2006, 43, 1317–1325. [Google Scholar] [CrossRef]
- Angulo, P.; Hui, J.M.; Marchesini, G.; Bugianesi, E.; George, J.; Farrell, G.C.; Enders, F.; Saksena, S.; Burt, A.D.; Bida, J.P.; et al. The NAFLD fibrosis score: A noninvasive system that identifies liver fibrosis in patients with NAFLD. Hepatology 2007, 45, 846–854. [Google Scholar] [CrossRef] [PubMed]
- Definition and the diagnostic standard for metabolic syndrome. Committee to Evaluate Diagnostic Standards for Metabolic Syndrome. Nihon Naika Gakkai Zasshi. 2005, 94, 794–809. [Google Scholar] [CrossRef]
- Bazerbachi, F.; Haffar, S.; Wang, Z.; Cabezas, J.; Arias-Loste, M.T.; Crespo, J.; Darwish-Murad, S.; Ikram, M.A.; Olynyk, J.K.; Gan, E.; et al. Range of Normal Liver Stiffness and Factors Associated With Increased Stiffness Measurements in Apparently Healthy Individuals. Clin. Gastroenterol. Hepatol. 2019, 17, 54–64.e1. [Google Scholar] [CrossRef] [PubMed]
- Naganuma, H.; Ishida, H.; Uno, A.; Nagai, H.; Kuroda, H.; Ogawa, M. Diagnostic problems in two-dimensional shear wave elastography of the liver. World J. Radiol. 2020, 12, 76–86. [Google Scholar] [CrossRef] [PubMed]
- Hiuge-Shimizu, A.; Kishida, K.; Funahashi, T.; Ishizaka, Y.; Oka, R.; Okada, M.; Suzuki, S.; Takaya, N.; Nakagawa, T.; Fukui, T.; et al. Absolute value of visceral fat area measured on computed tomography scans and obesity-related cardiovascular risk factors in large-scale Japanese general population (the VACATION-J study). Ann. Med. 2012, 44, 82–92. [Google Scholar] [CrossRef]
- Sumida, Y.; Yoneda, M.; Hyogo, H.; Itoh, Y.; Ono, M.; Fujii, H.; Eguchi, Y.; Suzuki, Y.; Aoki, N.; Kanemasa, K.; et al. Validation of the FIB4 index in a Japanese nonalcoholic fatty liver disease population. BMC Gastroenterol. 2012, 12, 2. [Google Scholar] [CrossRef] [PubMed]
- Ballestri, S.; Mantovani, A.; Baldelli, E.; Lugari, S.; Maurantonio, M.; Nascimbeni, F.; Marrazzo, A.; Romagnoli, D.; Targher, G.; Lonardo, A. Liver Fibrosis Biomarkers Accurately Exclude Advanced Fibrosis and Are Associated with Higher Cardiovascular Risk Scores in Patients with NAFLD or Viral Chronic Liver Disease. Diagnostics 2021, 11, 98. [Google Scholar] [CrossRef]
- Abe, M.; Miyake, T.; Kuno, A.; Imai, Y.; Sawai, Y.; Hino, K.; Hara, Y.; Hige, S.; Sakamoto, M.; Yamada, G.; et al. Association between Wisteria floribunda agglutinin-positive Mac-2 binding protein and the fibrosis stage of non-alcoholic fatty liver disease. J. Gastroenterol. 2015, 50, 776–784. [Google Scholar] [CrossRef]
- Ogawa, Y.; Honda, Y.; Kessoku, T.; Tomeno, W.; Imajo, K.; Yoneda, M.; Kawanaka, M.; Kirikoshi, H.; Ono, M.; Taguri, M.; et al. Wisteria floribunda agglutinin-positive Mac-2-binding protein and type 4 collagen 7S: Useful markers for the diagnosis of significant fibrosis in patients with non-alcoholic fatty liver disease. J. Gastroenterol. Hepatol. 2018, 33, 1795–1803. [Google Scholar] [CrossRef] [PubMed]
- Yoneda, M.; Mawatari, H.; Fujita, K.; Yonemitsu, K.; Kato, S.; Takahashi, H.; Kirikoshi, H.; Inamori, M.; Nozaki, Y.; Abe, Y.; et al. Type IV collagen 7s domain is an independent clinical marker of the severity of fibrosis in patients with nonalcoholic steatohepatitis before the cirrhotic stage. J. Gastroenterol. 2007, 42, 375–381. [Google Scholar] [CrossRef]
- Ampuero, J.; Pais, R.; Aller, R.; Gallego-Durán, R.; Crespo, J.; García-Monzón, C.; Boursier, J.; Vilar, E.; Petta, S.; Zheng, M.H.; et al. Development and Validation of Hepamet Fibrosis Scoring System–A Simple, Noninvasive Test to Identify Patients With Nonalcoholic Fatty Liver Disease With Advanced Fibrosis. Clin. Gastroenterol. Hepatol. 2020, 18, 216–225.e5. [Google Scholar] [CrossRef]
- Ballestri, S.; Nascimbeni, F.; Baldelli, E.; Marrazzo, A.; Romagnoli, D.; Targher, G.; Lonardo, A. Ultrasonographic fatty liver indicator detects mild steatosis and correlates with metabolic/histological parameters in various liver diseases. Metabolism 2017, 72, 57–65. [Google Scholar] [CrossRef] [PubMed]
- Xavier, S.A.; Monteiro, S.O.; Arieira, C.M.; Castro, F.D.; Magalhães, J.T.; Leite, S.M.; Marinho, C.M.; Cotter, J.B. US-FLI score—Is it possible to predict the steatosis grade with an ultrasonographic score? Mol. Genet. Metab. 2021, 132, 204–209. [Google Scholar] [CrossRef] [PubMed]
- The National Health and Nutrition Survey in Japan. 2018. Available online: https://www.mhlw.go.jp/content/000681200.pdf (accessed on 3 December 2020).
- Tanaka, J.; Koyama, T.; Mizui, M.; Uchida, S.; Katayama, K.; Matsuo, J.; Akita, T.; Nakashima, A.; Miyakawa, Y.; Yoshizawa, H. Total numbers of undiagnosed carriers of hepatitis C and B viruses in Japan estimated by age- and area-specific prevalence on the national scale. Intervirology 2011, 54, 185–195. [Google Scholar] [CrossRef]
- Colli, A.; Pozzoni, P.; Berzuini, A.; Gerosa, A.; Canovi, C.; Molteni, E.E.; Barbarini, M.; Bonino, F.; Prati, D. Decompensated chronic heart failure: Increased liver stiffness measured by means of transient elastography. Radiology 2010, 257, 872–878. [Google Scholar] [CrossRef]


| Characteristic | All Participants | Abdominally Obese Group | Non-Abdominally Obese Group | p-Value |
|---|---|---|---|---|
| n = 318 | n = 128 | n = 190 | ||
| Male sex, % (n) | 57 (181) | 86 (110) | 37 (71) | <0.001 |
| Hypertension, % (n) | 41 (130) | 63 (81) | 26 (49) | <0.001 |
| Diabetes, % (n) | 13 (41) | 18 (23) | 9 (18) | 0.040 |
| Dyslipidemia, % (n) | 49 (157) | 47 (60) | 51 (97) | 0.49 |
| Fatty liver disease, % (n) | 41 (129) | 63 (81) | 25 (48) | <0.001 |
| Age (years) | 63.4 (12.2) | 64.8 (11.4) | 62.6 (12.7) | 0.11 |
| Body mass index (kg/m2) | 22.7 (3.5) | 25.5 (3.0) | 20.9 (2.4) | <0.001 |
| Waist circumference (cm) | 84.0 (10.0) | 93.4 (6.4) | 77.7 (6.4) | <0.001 |
| Systolic blood pressure (mmHg) | 131 (18) | 137 (18) | 127 (17) | <0.001 |
| Diastolic blood pressure (mmHg) | 81 (12) | 85 (12) | 77 (11) | <0.001 |
| White blood cell (×103/μL) | 5.2 (1.6) | 5.7 (1.8) | 4.9 (1.4) | <0.001 |
| Platelet (×104/μL) | 21.3 (4.8) | 21.1 (5.0) | 21.4 (4.7) | 0.52 |
| Fasting blood glucose (mg/dL) | 105 (17) | 109 (17) | 103 (16) | <0.001 |
| Hemoglobin A1c (%) | 5.81 (0.57) | 5.92 (0.65) | 5.74 (0.49) | 0.004 |
| Total bilirubin (mg/dL) | 0.98 (0.38) | 0.94 (0.37) | 1.01 (0.38) | 0.12 |
| Aspartate aminotransferase (IU/L) | 22 (7) | 23 (8.2) | 22 (6) | 0.097 |
| Alanine aminotransferase (IU/L) | 21 (13) | 26 (17) | 18 (8) | <0.001 |
| Lactate dehydrogenase (IU/L) | 203 (60) | 206 (59) | 202 (60) | 0.55 |
| Alkaline phosphatase (IU/L) | 177 (30) | 179 (32) | 175 (28) | 0.27 |
| γ-glutamyl transpeptidase (IU/L) | 35 (47) | 46 (64) | 28 (29) | <0.001 |
| Albumin (g/dL) | 4.30 (0.25) | 4.27 (0.25) | 4.32 (0.25) | 0.11 |
| Blood urea nitrogen (mg/dL) | 15.1 (3.8) | 15.8 (4.0) | 14.6 (3.7) | 0.004 |
| Estimated glomerular filtration rate (ml/min/1.73m2) | 67.4 (14.3) | 64.7 (14.0) | 69.2 (14.2) | 0.006 |
| C-reactive protein (mg/dL) | 0.13 (0.42) | 0.17 (0.30) | 0.10 (0.49) | 0.15 |
| Total cholesterol (mg/dL) | 204 (32) | 197 (32) | 209 (30) | <0.001 |
| Triglycerides (mg/dL) | 106 (68) | 136 (87) | 86 (40) | <0.001 |
| High-density lipoprotein cholesterol (mg/dL) | 67 (18) | 56 (13) | 75 (17) | <0.001 |
| Low-density lipoprotein cholesterol (mg/dL) | 123 (28) | 123 (28) | 123 (27) | 0.89 |
| UFL score | 1.2 (1.5) | 2.0 (1.7) | 0.7 (1.0) | <0.001 |
| NAFLD fibrosis score | −1.333 (1.217) | −1.013 (1.217) | −1.549 (1.172) | <0.001 |
| NAFLD fibrosis score < −1.455, % (n) | 46 (147) | 33 (42) | 55 (105) | <0.001 |
| NAFLD fibrosis score > 0.676, % (n) | 6 (18) | 7 (9) | 5 (9) | 0.39 |
| FIB-4 index | 1.60 (0.67) | 1.56 (0.63) | 1.62 (0.70) | 0.37 |
| FIB-4 index < 1.3, % (n) | 36 (114) | 38 (49) | 34 (65) | 0.46 |
| FIB-4 index ≥ 2.67, % (n) | 7 (21) | 5 (6) | 8 (15) | 0.26 |
| Liver stiffness (kPa) | 5.79 (1.11) | 6.13 (1.38) | 5.56 (0.80) | <0.001 |
| Variable | All Participants | Abdominally Obese Group | Non-Abdominally Obese Group | |||
|---|---|---|---|---|---|---|
| β | p-value | β | p-value | β | p-value | |
| Age | 0.04 | 0.45 | −0.13 | 0.14 | 0.18 | 0.012 |
| Body mass index | 0.26 | <0.001 | 0.28 | 0.001 | −0.08 | 0.25 |
| Waist circumference | 0.28 | <0.001 | 0.26 | 0.003 | 0.00 | 1.0 |
| Systolic blood pressure | 0.16 | 0.004 | 0.09 | 0.32 | 0.12 | 0.10 |
| Diastolic blood pressure | 0.16 | 0.004 | 0.15 | 0.091 | 0.02 | 0.80 |
| White blood cell | 0.11 | 0.049 | 0.13 | 0.13 | −0.06 | 0.40 |
| Platelet | 0.06 | 0.28 | 0.16 | 0.072 | −0.03 | 0.68 |
| Fasting blood glucose | 0.11 | 0.046 | 0.04 | 0.65 | 0.11 | 0.15 |
| Hemoglobin A1c | 0.09 | 0.12 | 0.05 | 0.57 | 0.05 | 0.50 |
| Total bilirubin | −0.15 | 0.006 | −0.22 | 0.012 | −0.05 | 0.50 |
| Aspartate aminotransferase | 0.12 | 0.038 | 0.13 | 0.13 | 0.04 | 0.63 |
| Alanine aminotransferase | 0.13 | 0.018 | 0.10 | 0.24 | −0.04 | 0.61 |
| Lactate dehydrogenase | 0.06 | 0.33 | 0.08 | 0.37 | 0.02 | 0.83 |
| Alkaline phosphatase | 0.03 | 0.55 | −0.02 | 0.84 | 0.07 | 0.35 |
| γ-glutamyl transpeptidase | 0.10 | 0.062 | 0.08 | 0.36 | 0.01 | 0.94 |
| Albumin | −0.06 | 0.27 | −0.03 | 0.71 | −0.05 | 0.46 |
| Blood urea nitrogen | 0.02 | 0.68 | −0.11 | 0.22 | 0.10 | 0.19 |
| Estimated glomerular filtration rate | 0.00 | 0.97 | 0.11 | 0.22 | −0.04 | 0.59 |
| C-reactive protein | 0.03 | 0.60 | 0.07 | 0.45 | −0.03 | 0.67 |
| Total cholesterol | −0.11 | 0.041 | −0.07 | 0.46 | −0.08 | 0.30 |
| Triglycerides | 0.16 | 0.005 | 0.12 | 0.18 | −0.04 | 0.57 |
| High-density lipoprotein cholesterol | −0.18 | 0.002 | −0.12 | 0.19 | −0.01 | 0.94 |
| Low-density lipoprotein cholesterol | −0.06 | 0.26 | −0.06 | 0.53 | −0.08 | 0.29 |
| UFL score | 0.22 | <0.001 | 0.21 | 0.019 | −0.04 | 0.61 |
| NAFLD fibrosis score | 0.07 | 0.21 | −0.12 | 0.19 | 0.18 | 0.013 |
| FIB-4 index | −0.02 | 0.75 | −0.18 | 0.042 | 0.18 | 0.014 |
| Variable | All Participants | Abdominally Obese Group | Non-Abdominally Obese Group | |||
|---|---|---|---|---|---|---|
| β | p-Value | β | p-Value | β | p-Value | |
| Waist circumference | 0.16 | 0.036 | 0.22 | 0.036 | −0.03 | 0.68 |
| Male sex | 0.09 | 0.15 | 0.13 | 0.16 | 0.07 | 0.41 |
| Hypertension | 0.08 | 0.28 | 0.05 | 0.61 | 0.13 | 0.18 |
| Diabetes | 0.02 | 0.75 | −0.03 | 0.79 | 0.08 | 0.46 |
| Systolic blood pressure | 0.02 | 0.74 | 0.00 | 0.99 | 0.04 | 0.65 |
| Fasting blood glucose | −0.01 | 0.95 | 0.00 | 0.97 | −0.04 | 0.69 |
| Triglycerides | −0.01 | 0.93 | −0.06 | 0.61 | −0.08 | 0.38 |
| High-density lipoprotein cholesterol | 0.04 | 0.57 | −0.01 | 0.91 | 0.00 | 0.99 |
| γ-glutamyl transpeptidase | 0.03 | 0.57 | 0.02 | 0.86 | 0.01 | 0.88 |
| Total bilirubin | −0.14 | 0.015 | −0.20 | 0.025 | −0.06 | 0.44 |
| UFL score | 0.09 | 0.21 | 0.12 | 0.27 | −0.02 | 0.82 |
| NAFLD fibrosis score | 0.00 | 0.99 | −0.07 | 0.53 | 0.10 | 0.24 |
| Variable | All participants | Abdominally Obese Group | Non-Abdominally Obese Group | |||
|---|---|---|---|---|---|---|
| β | p-Value | β | p-Value | β | p-Value | |
| Waist circumference | 0.16 | 0.039 | 0.20 | 0.056 | −0.02 | 0.81 |
| Male sex | 0.09 | 0.14 | 0.13 | 0.18 | 0.06 | 0.51 |
| Hypertension | 0.08 | 0.27 | 0.07 | 0.51 | 0.13 | 0.16 |
| Diabetes | 0.03 | 0.73 | −0.03 | 0.78 | 0.08 | 0.46 |
| Systolic blood pressure | 0.02 | 0.73 | 0.00 | 0.98 | 0.03 | 0.77 |
| Fasting blood glucose | −0.01 | 0.93 | −0.02 | 0.86 | −0.01 | 0.90 |
| Triglycerides | −0.01 | 0.92 | −0.06 | 0.60 | −0.07 | 0.44 |
| High-density lipoprotein cholesterol | 0.04 | 0.56 | −0.01 | 0.90 | 0.00 | 0.97 |
| γ-glutamyl transpeptidase | 0.03 | 0.56 | 0.02 | 0.80 | 0.00 | 0.97 |
| Total bilirubin | −0.14 | 0.015 | −0.20 | 0.026 | −0.06 | 0.44 |
| UFL score | 0.08 | 0.22 | 0.11 | 0.31 | −0.03 | 0.74 |
| FIB-4 index | −0.01 | 0.84 | −0.10 | 0.29 | 0.11 | 0.18 |
Publisher’s Note: MDPI stays neutral with regard to jurisdictional claims in published maps and institutional affiliations. |
© 2021 by the authors. Licensee MDPI, Basel, Switzerland. This article is an open access article distributed under the terms and conditions of the Creative Commons Attribution (CC BY) license (https://creativecommons.org/licenses/by/4.0/).
Share and Cite
Miyoshi, T.; Hamaguchi, M.; Kitagawa, N.; Hashimoto, Y.; Fukui, M. Correlation between Liver Stiffness by Two-Dimensional Shear Wave Elastography and Waist Circumference in Japanese Local Citizens with Abdominal Obesity. J. Clin. Med. 2021, 10, 1971. https://doi.org/10.3390/jcm10091971
Miyoshi T, Hamaguchi M, Kitagawa N, Hashimoto Y, Fukui M. Correlation between Liver Stiffness by Two-Dimensional Shear Wave Elastography and Waist Circumference in Japanese Local Citizens with Abdominal Obesity. Journal of Clinical Medicine. 2021; 10(9):1971. https://doi.org/10.3390/jcm10091971
Chicago/Turabian StyleMiyoshi, Tomoki, Masahide Hamaguchi, Noriyuki Kitagawa, Yoshitaka Hashimoto, and Michiaki Fukui. 2021. "Correlation between Liver Stiffness by Two-Dimensional Shear Wave Elastography and Waist Circumference in Japanese Local Citizens with Abdominal Obesity" Journal of Clinical Medicine 10, no. 9: 1971. https://doi.org/10.3390/jcm10091971
APA StyleMiyoshi, T., Hamaguchi, M., Kitagawa, N., Hashimoto, Y., & Fukui, M. (2021). Correlation between Liver Stiffness by Two-Dimensional Shear Wave Elastography and Waist Circumference in Japanese Local Citizens with Abdominal Obesity. Journal of Clinical Medicine, 10(9), 1971. https://doi.org/10.3390/jcm10091971

