Clinical Phase I/II Study: Local Disease Control and Survival in Locally Advanced Pancreatic Cancer Treated with Electrochemotherapy
Abstract
1. Introduction
2. Materials and Methods
2.1.Study Population
2.2.Treatment Protocol
2.3.Imaging Techniques
2.4 Statistical Analysis
3. Results
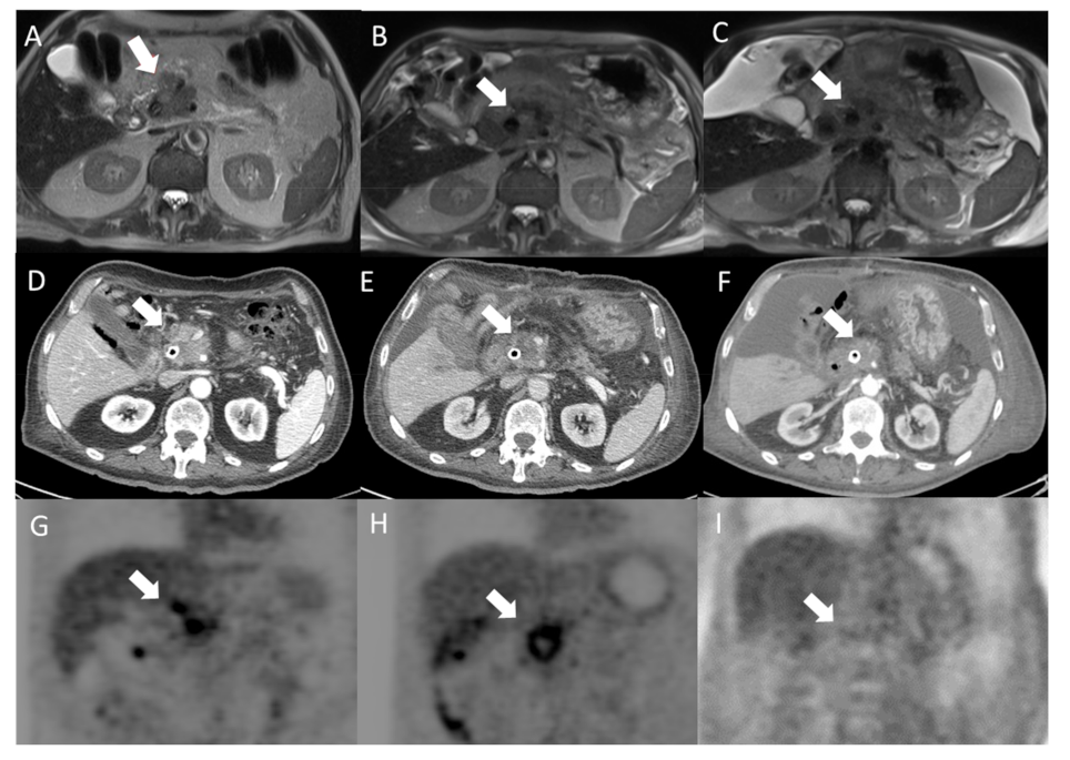
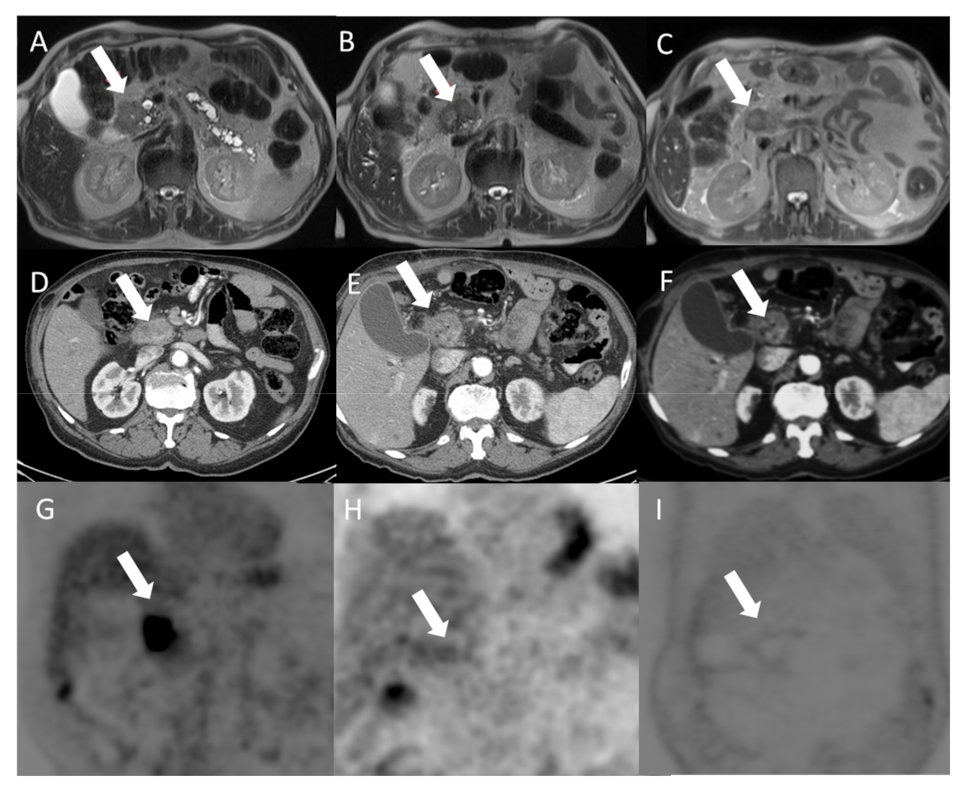
3.1. Primary Endpoint Outcome (Local Disease Control and Overall Survival)
3.2. Secondary Endpoints Assessment (Feasibility and Safety)
4. Discussion
5. Conclusions
Author Contributions
Funding
Institutional Review Board Statement
Informed Consent Statement
Conflicts of Interest
References
- Siegel, R.; Naishadham, D.; Jemal, A. Cancer statistics, 2013. CA A Cancer J. Clin. 2013, 63, 11–30. [Google Scholar] [CrossRef] [PubMed]
- Cancer Research UK. Pancreatic Cancer Statistics. 2010. Available online: http://www.cancerresearchuk.org/cancerinfo/cancerstats/types/pancreas (accessed on 18 October 2020).
- Granata, V.; Fusco, R.; Catalano, O.; Setola, S.V.; Castelguidone, E.D.L.D.; Piccirillo, M.; Palaia, R.; Grassi, R.; Granata, F.; Izzo, F.; et al. Multidetector computer tomography in the pancreatic adenocarcinoma assessment: An update. Infect. Agents Cancer 2016, 11, 1–7. [Google Scholar] [CrossRef]
- Conroy, T.; Desseigne, F.; Ychou, M.; Bouché, O.; Guimbaud, R.; Bécouarn, Y.; Adenis, A.; Raoul, J.-L.; Gourgou-Bourgade, S.; De La Fouchardière, C.; et al. FOLFIRINOX versus Gemcitabine for Metastatic Pancreatic Cancer. N. Engl. J. Med. 2011, 364, 1817–1825. [Google Scholar] [CrossRef]
- Von Hoff, D.D.; Ervin, T.; Arena, F.P.; Chiorean, E.G.; Infante, J.; Moore, M.; Seay, T.; Tjulandin, S.A.; Ma, W.W.; Saleh, M.N.; et al. Increased Survival in Pancreatic Cancer with nab-Paclitaxel plus Gemcitabine. N. Engl. J. Med. 2013, 369, 1691–1703. [Google Scholar] [CrossRef] [PubMed]
- Arcidiacono, P.G.; Carrara, S.; Reni, M.; Petrone, M.C.; Cappio, S.; Balzano, G.; Boemo, C.; Cereda, S.; Nicoletti, R.; Enderle, M.D.; et al. Feasibility and safety of EUS-guided cryothermal ablation in patients with locally advanced pancreatic cancer. Gastrointest. Endosc. 2012, 76, 1142–1151. [Google Scholar] [CrossRef]
- Pai, M. Endoscopic ultrasound guided radiofrequency ablation, for pancreatic cystic neoplasms and neuroendocrine tumors. World J. Gastrointest. Surg. 2015, 7, 52–59. [Google Scholar] [CrossRef] [PubMed]
- Crowley, J.M. Electrical Breakdown of Bimolecular Lipid Membranes as an Electromechanical Instability. Biophys. J. 1973, 13, 711–724. [Google Scholar] [CrossRef]
- Neumann, E.; Rosenheck, K. Permeability changes induced by electric impulses in vesicular membranes. J. Membr. Biol. 1972, 10, 279–290. [Google Scholar] [CrossRef] [PubMed]
- Granata, V.; Castelguidone, E.D.L.D.; Fusco, R.; Catalano, O.; Piccirillo, M.; Palaia, R.; Izzo, F.; Gallipoli, A.D.; Petrillo, A. Irreversible electroporation of hepatocellular carcinoma: Preliminary report on the diagnostic accuracy of magnetic resonance, computer tomography, and contrast-enhanced ultrasound in evaluation of the ablated area. La Radiol. Med. 2015, 121, 122–131. [Google Scholar] [CrossRef]
- Granata, V.; Fusco, R.; Catalano, O.; Piccirillo, M.; De Bellis, M.; Izzo, F.; Petrillo, A. Percutaneous Ablation Therapy of Hepatocellular Carcinoma With Irreversible Electroporation: MRI Findings. Am. J. Roentgenol. 2015, 204, 1000–1007. [Google Scholar] [CrossRef]
- Zimmermann, U.; Pilwat, G.; Riemann, F. Dielectric Breakdown of Cell Membranes. Biophys. J. 1974, 14, 881–899. [Google Scholar] [CrossRef]
- Sugar, I.; Neumann, E. Stochastic model for electric field-induced membrane pores electroporation. Biophys. Chem. 1984, 19, 211–225. [Google Scholar] [CrossRef]
- Mir, L.M.; Orlowski, S. Mechanisms of electrochemotherapy. Adv. Drug Deliv. Rev. 1999, 35, 107–118. [Google Scholar] [CrossRef]
- Gehl, J. Electroporation: Theory and methods, perspectives for drug delivery, gene therapy and research. Acta Physiol. Scand. 2003, 177, 437–447. [Google Scholar] [CrossRef]
- Jaroszeski, M.J.; Dang, V.; Pottinger, C.; Hickey, J.; Gilbert, R.; Heller, R. Toxicity of anticancer agents mediated by electroporation in vitro. Anti Cancer Drugs 2000, 11, 201–208. [Google Scholar] [CrossRef]
- Ierardi, A.M.; Lucchina, N.; Petrillo, M.; Floridi, C.; Piacentino, F.; Bacuzzi, A.; Fonio, P.; Fontana, F.; Fugazzola, C.; Brunese, L.; et al. Systematic review of minimally invasive ablation treatment for locally advanced pancreatic cancer. Radiol. Med. 2014, 119, 483–498. [Google Scholar] [CrossRef]
- Liu, Y.; Wang, Y.; Tang, W.; Jiang, M.; Li, K.; Tao, X. Multiparametric MR imaging detects therapy efficacy of radioactive seeds brachytherapy in pancreatic ductal adenocarcinoma xenografts. Radiol. Med. 2018, 123, 481–488. [Google Scholar] [CrossRef]
- Spratt, D.E.; Spratt, E.A.G.; Wu, S.; DeRosa, A.; Lee, N.Y.; Lacouture, M.E.; Barker, C.A. Efficacy of Skin-Directed Therapy for Cutaneous Metastases From Advanced Cancer: A Meta-Analysis. J. Clin. Oncol. 2014, 32, 3144–3155. [Google Scholar] [CrossRef]
- Girelli, R.; Prejanò, S.; Cataldo, I.; Corbo, V.; Martini, L.; Scarpa, A.; Claudio, B. Feasibility and safety of electrochemotherapy (ECT) in the pancreas: A pre-clinical investigation. Radiol. Oncol. 2015, 49, 147–154. [Google Scholar] [CrossRef]
- Granata, V.; Fusco, R.; Piccirillo, M.; Palaia, R.; Lastoria, S.; Petrillo, A.; Izzo, F. Feasibility and safety of intraoperative elec-trochemotherapy in locally advanced pancreatic tumor: A preliminary experience. Eur. J. Inflamm. 2014, 12, 467–477. [Google Scholar] [CrossRef]
- Granata, V.; Fusco, R.; Piccirillo, M.; Palaia, R.; Petrillo, A.; Lastoria, S.; Izzo, F. Electrochemotherapy in locally advanced pancreatic cancer: Preliminary results. Int. J. Surg. 2015, 18, 230–236. [Google Scholar] [CrossRef]
- Tarantino, L.; Busto, G.; Nasto, A.; Fristachi, R.; Cacace, L.; Talamo, M.; Accardo, C.; Bortone, S.; Gallo, P.; Tarantino, P.; et al. Percutaneous electrochemotherapy in the treatment of portal vein tumor thrombosis at hepatic hilum in patients with hepatocellular carcinoma in cirrhosis: A feasibility study. World J. Gastroenterol. 2017, 23, 906–918. [Google Scholar] [CrossRef]
- Tafuto, S.; Von Arx, C.; De Divitiis, C.; Maura, C.T.; Palaia, R.; Albino, V.; Fusco, R.; Membrini, M.; Petrillo, A.; Granata, V.; et al. Electrochemotherapy as a new approach on pancreatic cancer and on liver metastases. Int. J. Surg. 2015, 21, 78–82. [Google Scholar] [CrossRef] [PubMed]
- Mir, L.M.; Gehl, J.; Sersa, G.; Collins, C.G.; Garbay, J.-R.; Billard, V.; Geertsen, P.F.; Rudolf, Z.; O’Sullivan, G.C.; Marty, M. Standard operating procedures of the electrochemotherapy: Instructions for the use of bleomycin or cisplatin administered either systemically or locally and electric pulses delivered by the CliniporatorTM by means of invasive or non-invasive electrodes. Eur. J. Cancer Suppl. 2006, 4, 14–25. [Google Scholar] [CrossRef]
- Gehl, J.; Sersa, G.; Matthiessen, L.W.; Muir, T.; Soden, D.; Occhini, A.; Quaglino, P.; Curatolo, P.; Campana, L.G.; Kunte, C.; et al. Updated standard operating procedures for electrochemotherapy of cutaneous tumours and skin metastases. Acta Oncol. 2018, 57, 874–882. [Google Scholar] [CrossRef]
- Probst, U.; Fuhrmann, I.; Beyer, L.; Wiggermann, P. Electrochemotherapy as a New Modality in Interventional Oncology: A Review. Technol. Cancer Res. Treat. 2018, 17, e1533033818785329. [Google Scholar] [CrossRef] [PubMed]
- Granata, V.; Fusco, R.; Setola, S.V.; Piccirillo, M.; Leongito, M.; Palaia, R.; Granata, F.; Lastoria, S.; Izzo, F.; Petrillo, A. Early radiological assessment of locally advanced pancreatic cancer treated with electrochemotherapy. World J. Gastroenterol. 2017, 23, 4767–4778. [Google Scholar] [CrossRef] [PubMed]
- Eisenhauer, E.A.; Therasse, P.; Bogaerts, J.; Schwartz, L.H.; Sargent, D.; Ford, R.; Dancey, J.; Arbuck, S.; Gwyther, S.; Mooney, M.; et al. New response evaluation criteria in solid tumours: Revised RECIST guideline (version 1.1). Eur. J. Cancer 2009, 45, 228–247. [Google Scholar] [CrossRef]
- Lencioni, R.; Llovet, J. Modified RECIST (mRECIST) Assessment for Hepatocellular Carcinoma. Semin. Liver Dis. 2010, 30, 52–60. [Google Scholar] [CrossRef]
- Choi, H. Response Evaluation of Gastrointestinal Stromal Tumors. Oncology 2008, 13, 4–7. [Google Scholar] [CrossRef] [PubMed]
- Hyun, J.O.; Lodge, M.A.; Wahl, R.L. Practical PERCIST: A Simplified Guide to PET Response Criteria in Solid Tumors 1.0. Radiology 2016, 280, 576–584. [Google Scholar] [CrossRef]
- Avallone, A.; Aloj, L.; Caracò, C.; DelRio, P.; Pecori, B.; Tatangelo, F.; Scott, N.; Casaretti, R.; Di Gennaro, F.; Montano, M.; et al. Early FDG PET response assessment of preoperative radiochemotherapy in locally advanced rectal cancer: Correlation with long-term outcome. Eur. J. Nucl. Med. Mol. Imaging 2012, 39, 1848–1857. [Google Scholar] [CrossRef] [PubMed]
- Defense and Veterans Pain Rating Scale. Available online: https://www.dvcipm.org/clinical-resources/defense-veterans-pain-rating-scale-dvprs/ (accessed on 18 October 2020).
- Conzo, G.; Gambardella, C.; Tartaglia, E.; Sciascia, V.; Mauriello, C.; Napolitano, S.; Orditura, M.; De Vita, F.; Santini, L. Pancreatic fistula following pancreatoduodenectomy. Evaluation of different surgical approaches in the management of pancreatic stump. Literature review. Int. J. Surg. 2015, 21, 4–9. [Google Scholar] [CrossRef]
- Mauriello, C.; Polistena, A.; Gambardella, C.; Tartaglia, E.; Orditura, M.; De Vita, F.; Santini, L.; Avenia, N.; Conzo, G. Pancreatic stump closure after pancreatoduodenectomy in elderly patients: A retrospective clinical study. Aging Clin. Exp. Res. 2016, 29, 35–40. [Google Scholar] [CrossRef]
- Reyngold, M.; Parikh, P.; Crane, C.H. Ablative radiation therapy for locally advanced pancreatic cancer: Techniques and results. Radiat. Oncol. 2019, 14, 95. [Google Scholar] [CrossRef] [PubMed]
- Sajjad, M.; Batra, S.; Hoffe, S.; Kim, R.; Springett, G.; Mahipal, A. Use of Radiation Therapy in Locally Advanced Pancreatic Cancer Improves Survival. Am. J. Clin. Oncol. 2018, 41, 236–241. [Google Scholar] [CrossRef]
- Suker, M.; Nuyttens, J.J.; Eskens, F.A.; Haberkorn, B.C.; Coene, P.-P.L.; Van Der Harst, E.; Bonsing, B.A.; Vahrmeijer, A.L.; Mieog, J.D.; Swijnenburg, R.J.; et al. Efficacy and feasibility of stereotactic radiotherapy after folfirinox in patients with locally advanced pancreatic cancer (LAPC-1 trial). EClinicalMedicine 2019, 17, 100200. [Google Scholar] [CrossRef] [PubMed]
- Philips, P.; Hays, D.; Martin, R.C.G. Irreversible Electroporation Ablation (IRE) of Unresectable Soft Tissue Tumors: Learning Curve Evaluation in the First 150 Patients Treated. PLoS ONE 2013, 8, e76260. [Google Scholar] [CrossRef]
- Deodhar, A.; Dickfeld, T.; Single, G.W.; Hamilton, W.C.; Thornton, R.H.; Sofocleous, C.T.; Maybody, M.; Gónen, M.; Rubinsky, B.; Solomon, S.B. Irreversible Electroporation Near the Heart: Ventricular Arrhythmias Can Be Prevented with ECG Synchronization. Am. J. Roentgenol. 2011, 196, 330–335. [Google Scholar] [CrossRef]
- Appelbaum, L.; Ben-David, E.; Faroja, M.; Nissenbaum, Y.; Sosna, J.; Goldberg, S.N. Irreversible Electroporation Ablation: Creation of Large-Volume Ablation Zones in in Vivo Porcine Liver with Four-Electrode Arrays. Radiology 2014, 270, 416–424. [Google Scholar] [CrossRef]
- Thomson, K.R.; Cheung, W.; Ellis, S.J.; Federman, D.; Kavnoudias, H.; Loader-Oliver, D.; Roberts, S.; Evans, P.; Ball, C.; Haydon, A. Investigation of the Safety of Irreversible Electroporation in Humans. J. Vasc. Interv. Radiol. 2011, 22, 611–621. [Google Scholar] [CrossRef]
- Bower, M.; Sherwood, L.; Li, Y.; Martin, R. Irreversible electroporation of the pancreas: Definitive local therapy without systemic effects. J. Surg. Oncol. 2011, 104, 22–28. [Google Scholar] [CrossRef]
- Weiss, M.J.; Wolfgang, C.L. Irreversible electroporation: A novel pancreatic cancer therapy. Curr. Probl. Cancer 2013, 37, 262–265. [Google Scholar] [CrossRef] [PubMed]
- He, C.; Huang, X.; Zhang, Y.; Cai, Z.; Lin, X.; Li, S. Comparison of Survival Between Irreversible Electroporation Followed by Chemotherapy and Chemotherapy Alone for Locally Advanced Pancreatic Cancer. Front. Oncol. 2020, 10, 6. [Google Scholar] [CrossRef]
- He, C.; Wang, J.; Zhang, Y.; Lin, X.; Li, S. Irreversible electroporation after induction chemotherapy versus chemotherapy alone for patients with locally advanced pancreatic cancer: A propensity score matching analysis. Pancreatology 2020, 20, 477–484. [Google Scholar] [CrossRef] [PubMed]
- Yang, P.-C.; Huang, K.-W.; Pua, U.; Kim, M.-D.; Li, S.-P.; Li, X.-Y.; Liang, P.-C. Prognostic factor analysis of irreversible electroporation for locally advanced pancreatic cancer—A multi-institutional clinical study in Asia. Eur. J. Surg. Oncol. (EJSO) 2020, 46, 811–817. [Google Scholar] [CrossRef]
- Martin, R.C.G.; Kwon, D.; Chalikonda, S.; Sellers, M.; Kotz, E.; Scoggins, C.; McMasters, K.M.; Watkins, K. Treatment of 200 Locally Advanced (Stage III) Pancreatic Adenocarcinoma Patients with Irreversible Electroporation. Ann. Surg. 2015, 262, 486–494. [Google Scholar] [CrossRef]
- Holland, M.M.; Bhutiani, N.; Kruse, E.J.; Weiss, M.J.; Christein, J.D.; White, R.R.; Huang, K.-W.; Martin, R.C. A prospective, multi-institution assessment of irreversible electroporation for treatment of locally advanced pancreatic adenocarcinoma: Initial outcomes from the AHPBA pancreatic registry. HPB 2019, 21, 1024–1031. [Google Scholar] [CrossRef]
- Edhemovic, I.; Brecelj, E.; Gasljevic, G.; Music, M.M.; Gorjup, V.; Mali, B.; Jarm, T.; Kos, B.; Pavliha, D.; Kuzmanov, B.G.; et al. Intraoperative electrochemotherapy of colorectal liver metastases. J. Surg. Oncol. 2014, 110, 320–327. [Google Scholar] [CrossRef]
- Tirkes, T.; Hollar, M.A.; Tann, M.; Kohli, M.D.; Akisik, F.; Sandrasegaran, K. Response Criteria in Oncologic Imaging: Review of Traditional and New Criteria. Radiographics 2013, 33, 1323–1341. [Google Scholar] [CrossRef] [PubMed]
- Teissie, J.; Escoffre, J.-M.; Paganin, A.; Chabot, S.; Bellard, E.; Wasungu, L.; Rols, M.; Golzio, M. Drug delivery by electropulsation: Recent developments in oncology. Int. J. Pharm. 2012, 423, 3–6. [Google Scholar] [CrossRef]
- Maurea, S.; Caleo, O.; Mollica, C.; Imbriaco, M.; Mainenti, P.P.; Palumbo, C.; Mancini, M.; Camera, L.; Salvatore, M. Comparative diagnostic evaluation with MR cholangiopancreatography, ultrasonography and CT in patients with pancreatobiliary disease. Radiol. Med. 2009, 114, 390–402. [Google Scholar] [CrossRef][Green Version]
- Manfredi, R.; Bonatti, M.; D'Onofrio, M.; Mehrabi, S.; Salvia, R.; Mantovani, W.; Pozzi Mucelli, R. Incidentally discovered benign pancreatic cystic neoplasms not communicating with the ductal system: MR/MRCP imaging appearance and evolution. Radiol. Med. 2013, 118, 163–180. [Google Scholar] [CrossRef]
- Gusmini, S.; Nicoletti, R.; Martinenghi, C.; Caborni, C.; Balzano, G.; Zerbi, A.; Rocchetti, S.I.; Arcidiacono, P.G.; Albarello, L.; De Cobelli, F.; et al. Arterial vs pancreatic phase: Which is the best choice in the evaluation of pancreatic endocrine tumours with multidetector computed tomography (MDCT)? Radiol. Med. 2007, 112, 999–1012. [Google Scholar] [CrossRef]
- Camera, L.; Paoletta, S.; Mollica, C.; Milone, F.; Napolitano, V.; De Luca, L.; Faggiano, A.; Colao, A.; Salvatore, M. Screening of pancreaticoduodenal endocrine tumours in patients with MEN 1: Multidetector-row computed tomography vs. endoscopic ultrasound. Radiol. Med. 2011, 116, 595–606. [Google Scholar] [CrossRef]
- Hu, S.; Huang, W.; Lin, X.; Wang, Y.; Chen, K.M.; Chai, W. Solid pseudopapillary tumour of the pancreas: Distinct patterns of computed tomography manifestation for male versus female patients. Radiol. Med. 2014, 119, 83–89. [Google Scholar] [CrossRef]
- Liu, Y.; Xu, X.Q.; Lin, X.Z.; Song, Q.; Chen, K.M. Prospective study comparing two iodine concentrations for multidetector computed tomography of the pancreas. Radiol. Med. 2010, 115, 898–905. [Google Scholar] [CrossRef]
- Hu, S.; Lin, X.; Song, Q.; Chen, K. Solid pseudopapillary tumour of the pancreas in children: Clinical and computed tomography manifestation. Radiol. Med. 2012, 117, 1242–1249. [Google Scholar] [CrossRef] [PubMed]
- Graziani, R.; Frulloni, L.; Cicero, C.; Manfredi, R.; Ambrosetti, M.C.; Mautone, S.; Pozzi Mucelli, R. Bull's-eye pattern of pancreatic-duct stones on multidetector computed tomography and gene-mutation-associated pancreatitis (GMAP). Radiol. Med. 2012, 117, 1275–1286. [Google Scholar] [CrossRef] [PubMed]
- Ametrano, G.; Riccitiello, F.; Amato, M.; Formisano, A.; Muto, M.; Grassi, R.; Valletta, A.; Simeone, M. Analisi anatomiche di molari mandibolari pre- e post-strumentazione con Reciproc mediante μTC [µCT analysis of mandibular molars before and after instrumentation by Reciproc files]. Recenti Prog Med. 2013, 104, 420–424. [Google Scholar] [CrossRef] [PubMed]
- Nardone, V.; Reginelli, A.; Guida, C.; Belfiore, M.P.; Biondi, M.; Mormile, M.; Banci Buonamici, F.; Di Giorgio, E.; Spadafora, M.; Tini, P.; et al. Delta-radiomics increases multicentre reproducibility: A phantom study. Med. Oncol. 2020, 37, 38. [Google Scholar] [CrossRef]
- Reginelli, A.; Capasso, R.; Petrillo, M.; Rossi, C.; Faella, P.; Grassi, R.; Belfiore, M.P.; Rossi, G.; Muto, M.; Muto, P.; et al. Looking for Lepidic Component inside Invasive Adenocarcinomas Appearing as CT Solid Solitary Pulmonary Nodules (SPNs): CT Morpho-Densitometric Features and 18-FDG PET Findings. Biomed Res Int. 2019, 2019, 1–9. [Google Scholar] [CrossRef] [PubMed]







| Patients (n = 25) | |
|---|---|
| Histotype % | |
| Adenocarcinoma | 100 (25/25) |
| Location % | |
| Head | 56.0 (14/25) |
| Body/tail | 44.0 (11/25) |
| Venus involvement (SMV or PV) % | |
| Yes | 84.0 (21/25) |
| No | 16.0 (4/25) |
| Arterial encasement % | |
| Yes | 56.0 (14/25) |
| No | 44.0 (11/25) |
| Patient | Electrodes Configuration | OS [Months] by Kaplan Meier Analysis | Pain Assessed by DVPRS | ||||||
|---|---|---|---|---|---|---|---|---|---|
| No. | Age | Sex | Geometry | Model | PRE ECT | POST 1 Month | POST 6 Months | ||
| Median Value (Range) = 68 (34) | 13 Treatments with Fixed Geometry and 12 Treatments with Variable Geometry | Median Value (Range) = 11.5 (1–74) | Median Value Pre (Range) = 6 (4–9) | Median Value Pre (Range) = 3 (2–4) | Median Value Pre (Range) = 2 (1–3) | ||||
| 1 | 48 | M | Hexagonal | N-30-HG | median value (range) | 6 (1–74) | 6 (4–8) | 2.5 (2–4) | 2 (1–3) |
| 2 | 63 | F | Hexagonal | I-40-HG | |||||
| 3 | 71 | F | Hexagonal | N-30-HG | |||||
| 4 | 61 | F | Linear | N-30-4B | |||||
| 5 | 72 | F | Hexagonal | N-30-4B | |||||
| 6 | 80 | F | Hexagonal | N-30-HG | |||||
| 7 | 60 | F | Linear | N-30-4B | |||||
| 8 | 62 | F | Linear | N-30-4B | |||||
| 9 | 67 | M | Hexagonal | N-30-HG | |||||
| 10 | 57 | M | Hexagonal | I-40-HG | |||||
| 11 | 74 | M | Hexagonal | H-30-ST | |||||
| 12 | 67 | M | Hexagonal | I-40-HG | |||||
| 13 | 68 | M | Hexagonal | I-40-HG | |||||
| 14 | 79 | M | Multiple single-needle in a variable geometry | VGD1240 | median value (range) | 12 (2–48) | 6.5 (4–9) | 3 (2–4) | 2 (1–3) |
| 15 | 71 | M | Multiple single-needle in a variable geometry | VGD1240 | |||||
| 16 | 80 | M | Multiple single-needle in a variable geometry | VGD1240 | |||||
| 17 | 82 | M | Multiple single-needle in a variable geometry | VGD1230 | |||||
| 18 | 62 | F | Multiple single-needle in a variable geometry | VGD1230 | |||||
| 19 | 63 | F | Multiple single-needle in a variable geometry | VGD1230 | |||||
| 20 | 64 | F | Multiple single-needle in a variable geometry | VGD1240 | |||||
| 21 | 68 | F | Multiple single-needle in a variable geometry | VGD1230 | |||||
| 22 | 70 | F | Multiple single-needle in a variable geometry | VGD1230 | |||||
| 23 | 81 | M | Multiple single-needle in a variable geometry | VGD1230 | |||||
| 24 | 79 | F | Multiple single-needle in a variable geometry | VGD1230 | |||||
| 25 | 64 | F | Multiple single-needle in a variable geometry | VGD1230 | |||||
| Patient | Tumor size | Tumor Response After 1 Month by ECT Treatment | Tumor Response After 6 Months by ECT Treatment | |||||||||||||
|---|---|---|---|---|---|---|---|---|---|---|---|---|---|---|---|---|
| No. | CT (mm) | MR (mm) | 1st Radiological Evaluation after ECT (CT); Size (mm) | ΔCT Largest Diameter (%) | ΔHU (%) | 1st Radiological Evaluation After ECT (MR); Size (mm) | ΔMR Largest Diameter (%) | ΔSUVmax (%) | Response Assessment According to Granata et al. [27] | 2nd Radiological Evaluation After ECT (CT); size (mm) | ΔCT Largest Diameter (%) | ΔHU (%) | 2nd Radiological Evaluation After ECT (MR); size (mm) | ΔMR Largest Diameter (%) | ΔSUVmax (%) | Response Assessment According to Granata et al. [27] |
| 1 | 99 | 95 | 90 | 11.6 | 22.7 | 87 | 8.4 | −177.8 | PR | - | - | - | - | - | - | - |
| 2 | 43 | 48 | 38 | 9.1 | 40.4 | 43 | 10.4 | - | PR | - | - | - | - | - | - | - |
| 3 | 59 | 64 | 54 | 8.5 | 34 | 57 | 11.5 | 38.5 | PR | 28 | 52.5 | 54.6 | 27 | 57.7 | - | PR |
| 4 | 22 | 26 | 19 | 13.6 | 7.8 | 23 | 2 | - | PR | 42 | −90.9 | 25.9 | - | - | - | PR |
| 5 | 51 | 49 | 49 | 3.9 | 48.7 | - | - | - | PR | 50 | 2 | 43.6 | - | - | - | PR |
| 6 | 48 | - | 45 | 6.3 | 18.9 | - | - | - | PR | - | - | - | - | - | - | - |
| 7 | 33 | - | 24 | 27.3 | 49.5 | - | - | - | PR | - | - | - | - | - | - | - |
| 8 | 30 | - | 22 | 26.7 | 51.6 | - | - | - | PR | - | - | - | - | - | - | - |
| 9 | 99 | - | - | - | - | - | - | - | - | - | - | - | - | - | - | - |
| 10 | 56 | - | 46 | 17.9 | 42.6 | - | - | 100.0 | PR | - | - | - | - | - | - | - |
| 11 | 56 | 58 | 59 | −5.4 | 49.1 | 51 | 12.1 | 66.5 | SD | 36 | 35.7 | 43.2 | 37 | 36.2 | 84.0 | PR |
| 12 | 63 | 68 | 55 | 12.7 | 6.8 | 55 | 19.1 | −17.9 | SD | 57 | 9.5 | 12.4 | 50 | 26.5 | 18.9 | SD |
| 13 | 28 | 30 | 28 | 6.7 | 44.4 | 24 | 20 | 46.8 | PR | 35 | -25 | 36.9 | - | - | 21.3 | PR |
| 14 | 50 | 41 | 46 | 8 | 44.8 | 38 | 7.3 | 44.8 | PR | 58 | −16 | 76.3 | 36 | 12.2 | 100.0 | PR |
| 15 | 35 | 34 | 56 | −60 | 83.3 | - | - | - | PR | - | - | - | - | - | - | - |
| 16 | 53 | - | 49 | 7.5 | 23.4 | - | - | - | PR | - | - | - | - | - | - | - |
| 17 | 64 | 55 | 49 | 23.4 | 35.5 | 46 | 16.4 | 18.8 | PR | 60 | 6.3 | 23.9 | 42 | 23.6 | - | PR |
| 18 | 51 | 51 | 66 | −29.4 | 40 | 65 | −9.8 | 17.0 | PR | - | - | - | - | - | - | - |
| 19 | 53 | 53 | 50 | 5.7 | 44 | 49 | 7.5 | 32.3 | PR | 36 | 32.1 | 45.8 | - | - | 55.0 | PR |
| 20 | 54 | 50 | 53 | 1.9 | 13.3 | 50 | 0 | 27.4 | SD | - | - | - | - | - | - | - |
| 21 | - | 35 | - | - | - | 35 | 0 | −13.6 | SD | - | - | - | 20 | 42.9 | 43.2 | PR |
| 22 | 40 | 41 | 43 | −7.5 | 46.6 | 42 | −2.4 | - | PR | 10 | 75 | 48.9 | - | - | - | PR |
| 23 | 40 | - | 37 | 7.5 | 35.8 | - | - | −12.1 | PR | 55 | −37.5 | 14.5 | - | - | - | SD |
| 24 | 36 | 20 | 36 | 0 | 54.1 | 35 | −75.0 | 47.0 | PR | 25 | 30.6 | 32.7 | 20 | 0 | - | PR |
| 25 | 52 | 65 | 54 | −3.8 | 12.4 | 62 | 4.6 | 2.7 | SD | 60 | −15.4 | 12.9 | 60 | 7.7 | - | SD |
| Complications after Treatment | 13 Treatments with Fixed Geometry | 12 Treatments with Variable Geometry |
|---|---|---|
| hyperpyrexia | 7/13 (53.8%) | 6/12 (50.0%) |
| Delayed gastric emptying without clinically significant signs | 4/13 (30.8%) | 3/12 (25.0%) |
| ascites | 6/13 (46.1%) | 2/12 (16.7%) |
| splenic infarction without thrombosis of the splenic vessels | 3/13 (23.1%) | 0/12 (0%) |
| pleural effusion | 4/13 (30.8%) | 2 (16.7%) |
Publisher’s Note: MDPI stays neutral with regard to jurisdictional claims in published maps and institutional affiliations. |
© 2021 by the authors. Licensee MDPI, Basel, Switzerland. This article is an open access article distributed under the terms and conditions of the Creative Commons Attribution (CC BY) license (http://creativecommons.org/licenses/by/4.0/).
Share and Cite
Izzo, F.; Granata, V.; Fusco, R.; D'Alessio, V.; Petrillo, A.; Lastoria, S.; Piccirillo, M.; Albino, V.; Belli, A.; Tafuto, S.; et al. Clinical Phase I/II Study: Local Disease Control and Survival in Locally Advanced Pancreatic Cancer Treated with Electrochemotherapy. J. Clin. Med. 2021, 10, 1305. https://doi.org/10.3390/jcm10061305
Izzo F, Granata V, Fusco R, D'Alessio V, Petrillo A, Lastoria S, Piccirillo M, Albino V, Belli A, Tafuto S, et al. Clinical Phase I/II Study: Local Disease Control and Survival in Locally Advanced Pancreatic Cancer Treated with Electrochemotherapy. Journal of Clinical Medicine. 2021; 10(6):1305. https://doi.org/10.3390/jcm10061305
Chicago/Turabian StyleIzzo, Francesco, Vincenza Granata, Roberta Fusco, Valeria D'Alessio, Antonella Petrillo, Secondo Lastoria, Mauro Piccirillo, Vittorio Albino, Andrea Belli, Salvatore Tafuto, and et al. 2021. "Clinical Phase I/II Study: Local Disease Control and Survival in Locally Advanced Pancreatic Cancer Treated with Electrochemotherapy" Journal of Clinical Medicine 10, no. 6: 1305. https://doi.org/10.3390/jcm10061305
APA StyleIzzo, F., Granata, V., Fusco, R., D'Alessio, V., Petrillo, A., Lastoria, S., Piccirillo, M., Albino, V., Belli, A., Tafuto, S., Avallone, A., Patrone, R., & Palaia, R. (2021). Clinical Phase I/II Study: Local Disease Control and Survival in Locally Advanced Pancreatic Cancer Treated with Electrochemotherapy. Journal of Clinical Medicine, 10(6), 1305. https://doi.org/10.3390/jcm10061305

