Use of Phil Embolic Agent for Bleeding in Non-Neurological Interventions
Abstract
1. Introduction
2. Materials and Methods
PHIL System®
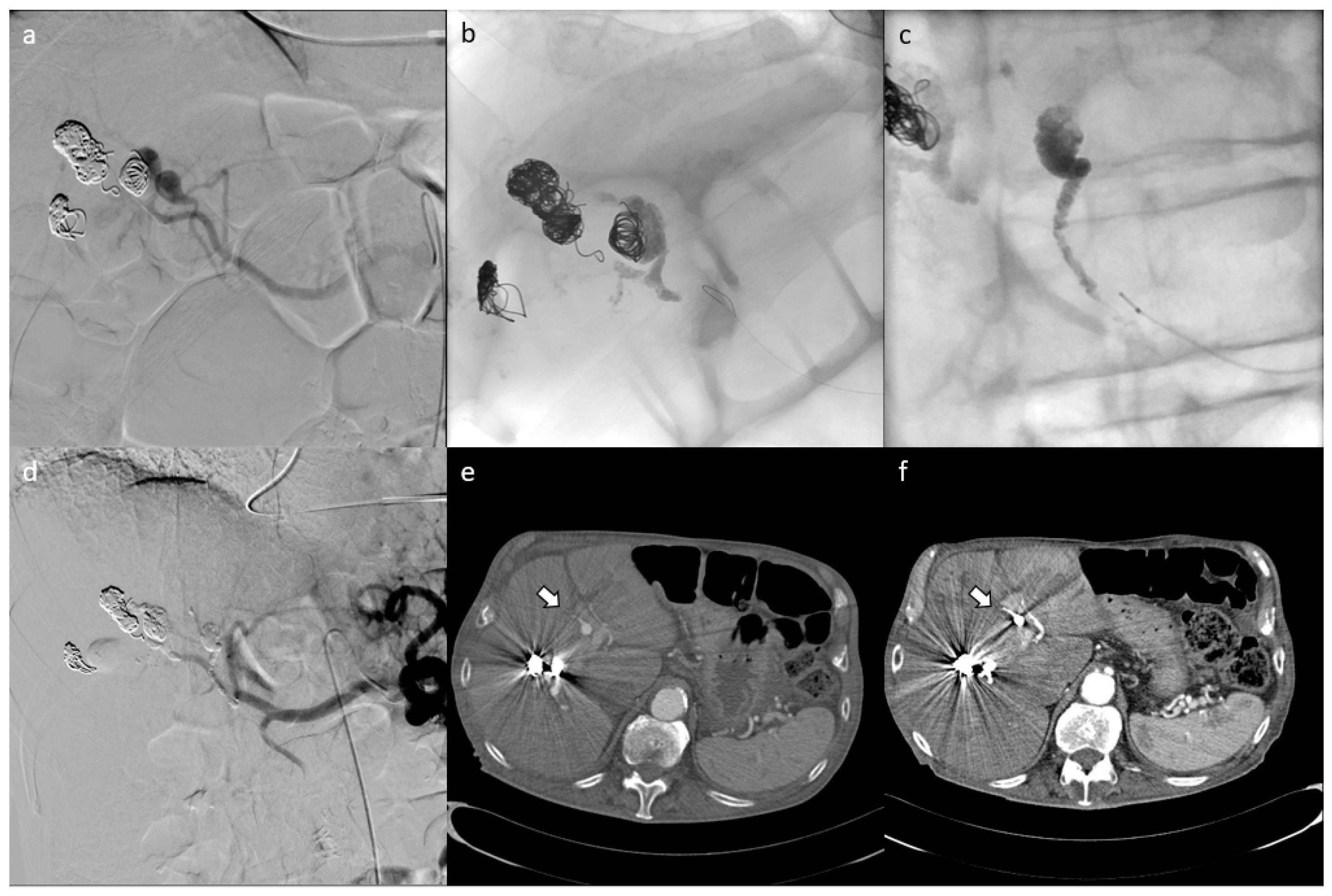
3. Results
4. Discussion
5. Conclusions
Author Contributions
Funding
Informed Consent Statement
Data Availability Statement
Conflicts of Interest
References
- Valek, V.; Husty, J. Quality improvement guidelines for transcatheter embolization for acute gastrointestinal nonvariceal hemorrhage. Cardiovasc. Interv. Radiol. 2013, 36, 608–612. [Google Scholar] [CrossRef] [PubMed]
- Angle, J.F.; Siddiqi, N.H.; Wallace, M.J.; Kundu, S.; Stokes, L.; Wojak, J.C.; Cardella, J.F. Quality improvement guidelines for percutaneous transcatheter embolization: Society of interventional radiology standards of practice committee. J. Vasc. Interv. Radiol. 2010, 21, 1479–1486. [Google Scholar] [CrossRef] [PubMed]
- Chakraverty, S.; Flood, K.; Kessel, D.; McPherson, S.; Nicholson, T.; Ray, C.E., Jr.; Robertson, I.; van Delden, O.M. CIRSE guidelines: Quality improvement guidelines for endovascular treatment of traumatic hemorrhage. Cardiovasc. Interv. Radiol. 2012, 35, 472–482. [Google Scholar] [CrossRef] [PubMed]
- Burke, S.J.; Golzarian, J.; Weldon, D.; Sun, S. Nonvariceal upper gastrointestinal bleeding. Eur. Radiol. 2007, 17, 1714–1726. [Google Scholar] [CrossRef] [PubMed]
- Loffroy, R.; Guiu, B. Role of transcatheter arterial embolization for massive bleeding from gastroduodenal ulcers. World J. Gastroenterol. 2009, 15, 5889–5897. [Google Scholar] [CrossRef]
- Johnstone, C.; Rich, S.E. Bleeding in cancer patients and its treatment: A review. Ann. Palliat. Med. 2018, 7, 265–273. [Google Scholar] [CrossRef]
- Cartoni, C.; Niscola, P.; Breccia, M.; Brunetti, G.; D’Elia, G.M.; Giovannini, M.; Romani, C.; Scaramucci, L.; Tendas, A.; Cupelli, L.; et al. Hemorrhagic complications in patients with advanced hematological malignancies followed at home: An Italian experience. Leuk. Lymphoma 2009, 50, 387–391. [Google Scholar] [CrossRef]
- Poursaid, A.; Jensen, M.M.; Huo, E.; Ghandehari, H. Polymeric materials for embolic and chemoembolic applications. J. Control Release 2016, 240, 414–433. [Google Scholar] [CrossRef]
- Samaniego, E.A.; Kalousek, V.; Abdo, G.; Ortega-Gutierrez, S. Preliminary experience with Precipitating Hydrophobic Injectable Liquid (PHIL) in treating cerebral AVMs. J. Neurointerventional Surg. 2016, 8, 1253–1255. [Google Scholar] [CrossRef]
- Chen, C.J.; Norat, P.; Ding, D.; Mendes, G.A.; Tvrdik, P.; Park, M.S.; Kalani, M.Y. Transvenous embolization of brain arteriovenous malformations: A review of techniques, indications, and outcomes. Neurosurg. Focus 2018, 45, 1–7. [Google Scholar] [CrossRef]
- Leyon, J.J.; Chavda, S.; Thomas, A.; Lamin, S. Preliminary experience with the liquid embolic material agent PHIL (Precipitating Hydrophobic Injectable Liquid) in treating cranial and spinal dural arteriovenous fistulas: Technical note. J. Neurointerventional Surg. 2015. [Google Scholar] [CrossRef]
- Lamin, S.; Chew, H.S.; Chavda, S.; Thomas, A.; Piano, M.; Quilici, L.; Pero, G.; Holtmannspolter, M.; Cronqvist, M.E.; Casasco, A.; et al. Embolization of intracranial dural arteriovenous fistulas using PHIL liquid embolic agent in 26 patients: A multicenter study. Am. J. Neuroradiol. 2017, 38, 127–131. [Google Scholar] [CrossRef]
- Vollherbst, D.F.; Otto, R.; von Deimling, A.; Pfaff, J.; Ulfert, C.; Kauczor, H.U.; Bendszus, M.; Sommer, C.M.; Möhlenbruch, M.A. Evaluation of a novel liquid embolic agent (precipitating hydrophobic injectable liquid (PHIL) in an animal endovascular embolization model. J. Neurointerventional Surg. 2017, 1–7. [Google Scholar] [CrossRef]
- Vollherbst, D.F.; Sommer, C.M.; Ulfert, C.; Pfaff, J.; Bendszus, M.; Möhlenbruch, M.A. Liquid embolic agents for endovascular embolization: Evaluation of an established (Onyx) and a novel (PHIL) embolic agent in an in vitro AVM model. Am. J. Neuroradiol. 2017, 38, 1377–1382. [Google Scholar] [CrossRef] [PubMed]
- MicroVention Terumo. Available online: https://www.microvention.com/emea/product/phil (accessed on 21 January 2021).
- Capriotti, K.; Capriotti, J.A. Dimethyl sulfoxide: History, chemistry, and clinical utility in dermatology. J. Clin. Aesthetic Dermatol. 2012, 5, 24–26. [Google Scholar]
- Né, R.; Chevallier, O.; Falvo, N.; Facy, O.; Berthod, P.-E.; Galland, C.; Gehin, S.; Midulla, M.; Loffroy, R. Embolization with ethylene vinyl alcohol copolymer (Onyx®) for peripheral hemostatic and non-hemostatic applications: A feasibility and safety study. Quant. Imaging Med. Surg. 2018, 8, 280–290. [Google Scholar] [CrossRef] [PubMed]
- Kolber, M.K.; Shukla, P.A.; Kumar, A.; Silberzweig, J.E. Ethylene vinyl alcohol copolymer (Onyx) embolization for acute hemorrhage: A systematic review of peripheral applications. J. Vasc. Interv. Radiol. 2015, 26, 809–815. [Google Scholar] [CrossRef] [PubMed]
- Bommart, S.; Bourdin, A.; Giroux, M.F.; Klein, F.; Micheau, A.; Bares, V.M.; Kovacsik, H. Transarterial ethylene vinyl alcohol copolymer visualization and penetration after embolization of life-threatening hemoptysis: Technical and clinical outcomes. Cardiovasc. Interv. Radiol. 2012, 35, 668–675. [Google Scholar] [CrossRef]
- Vanninen, R.L.; Manninen, I. Onyx, a new liquid embolic material for peripheral interventions: Preliminary experience in aneurysm, pseudoaneurysm, and pulmonary arteriovenous malformation embolization. Cardiovasc. Interv. Radiol. 2007, 30, 196–200. [Google Scholar] [CrossRef]
- Ayad, M.; Eskioglu, E.; Mericle, R.A. Onyx®: A unique neuroembolic agent. Expert Rev. Med. Devices 2006, 3, 705–715. [Google Scholar] [CrossRef]
- Triano, M.J.; Lara-Reyna, J.; Schupper, A.J.; Yaeger, K.A. Embolic agents and microcatheters for endovascular treatment of cerebral arteriovenous malformations. World Neurosurg. 2020, 141, 383–388. [Google Scholar] [CrossRef]
- Koçer, N.; Hanımoğlu, H.; Batur, Ş.; Kandemirli, S.G.; Kızılkılıç, O.; Sanus, Z.; Öz, B.; Işlak, C.; Kaynar, M.Y. Preliminary experience with precipitating hydrophobic injectable liquid in brain arteriovenous malformations. Diagn. Interv. Radiol. 2016, 22, 184–189. [Google Scholar] [CrossRef]
- Saatci, I.; Geyik, S.; Yavuz, K.; Cekirge, H.S. Endovas- cular treatment of brain arteriovenous mal- formations with prolonged intranidal Onyx injection technique: Long-term results in 350 consecutive patients with completed endo-vascular treatment course. J. Neurosurg. 2011, 115, 78–88. [Google Scholar] [CrossRef]
- Van Rooij, W.J.; Jacobs, S.; Sluzewski, M.; van der Pol, B.; Beute, G.N.; Sprengers, M.E. Curative embolization of brain arteriovenous malformations with onyx: Patient selection, embolization technique, and results. Am. J. Neuroradiol. 2012, 33, 1299–1304. [Google Scholar] [CrossRef]
- Urbano, J.; Manuel Cabrera, J.; Franco, A.; Alonso-Burgos, A. Selective arterial embolization with ethylene-vinyl alcohol copolymer for control of massive lower gastrointestinal bleeding: Feasibility and initial experience. J. Vasc. Interv. Radiol. 2014, 25, 839–846. [Google Scholar] [CrossRef] [PubMed]
- Joseph, S.; Chadaga, H.C.; Murali, K. Endovascular treatment of cerebral AVM with Onyx—Initial experience. Interv. Neuroradiol. 2005, 11, 171–178. [Google Scholar] [CrossRef] [PubMed]
- Venturini, M.; Lanza, C.; Marra, P.; Colarieti, A.; Panzeri, M.; Augello, L.; Gusmini, S.; Salvioni, M.; de Cobelli, F.; del Maschio, A. Transcatheter embolization with Squid, combined with other embolic agents or alone, in different abdominal diseases: A single-center experience in 30 patients. CVIR Endovasc. 2019, 2. [Google Scholar] [CrossRef] [PubMed]
- Gioppo, A.; Faragò, G.; Caldiera, V.; Caputi, L.; Cusin, A.; Ciceri, E. Medial tentorial dural arteriovenous fistula embolization: Single experience with embolic liquid polymer SQUID and review of the literature. World Neurosurg. 2017, 107, 1050.e1–1050.e7. [Google Scholar] [CrossRef] [PubMed]
- Pop, R.; Mertz, L.; Ilyes, A.; Mihoc, D.; Richter, J.S.; Manisor, M.; Kremer, S.; Beaujeux, R. Beam hardening artifacts of liquid embolic agents: Comparison between Squid and Onyx. J. Neurointerventional Surg. 2018. [Google Scholar] [CrossRef]
- Venturini, M.; Della Corte, A.; Lanza, C.; Fontana, F.; Chiesa, R.; de Cobelli, F. Embolization of 2 coexisting intraparenchymal renal artery aneurysms with an ethylene vinyl alcohol copolymer agent (Squid) and coils. Cardiovasc. Interv. Radiol. 2020, 43. [Google Scholar] [CrossRef]
- Venturini, M.; Marra, P.; Augello, L.; Colarieti, A.; Guazzarotti, G.; Palumbo, D.; Lanza, C.; Melissano, G.; Chiesa, R.; de Cobelli, F. Elective embolization of splenic artery aneurysms with an ethylene vinyl alcohol copolymer agent (Squid) and detachable coils. J. Vasc. Interv. Radiol. 2020, 31. [Google Scholar] [CrossRef] [PubMed]


Publisher’s Note: MDPI stays neutral with regard to jurisdictional claims in published maps and institutional affiliations. |
© 2021 by the authors. Licensee MDPI, Basel, Switzerland. This article is an open access article distributed under the terms and conditions of the Creative Commons Attribution (CC BY) license (http://creativecommons.org/licenses/by/4.0/).
Share and Cite
Lucatelli, P.; Corona, M.; Teodoli, L.; Nardis, P.; Cannavale, A.; Rocco, B.; Trobiani, C.; Cipollari, S.; Zilahi de Gyurgyokai, S.; Bezzi, M.; et al. Use of Phil Embolic Agent for Bleeding in Non-Neurological Interventions. J. Clin. Med. 2021, 10, 701. https://doi.org/10.3390/jcm10040701
Lucatelli P, Corona M, Teodoli L, Nardis P, Cannavale A, Rocco B, Trobiani C, Cipollari S, Zilahi de Gyurgyokai S, Bezzi M, et al. Use of Phil Embolic Agent for Bleeding in Non-Neurological Interventions. Journal of Clinical Medicine. 2021; 10(4):701. https://doi.org/10.3390/jcm10040701
Chicago/Turabian StyleLucatelli, Pierleone, Mario Corona, Leonardo Teodoli, Piergiorgio Nardis, Alessandro Cannavale, Bianca Rocco, Claudio Trobiani, Stefano Cipollari, Simone Zilahi de Gyurgyokai, Mario Bezzi, and et al. 2021. "Use of Phil Embolic Agent for Bleeding in Non-Neurological Interventions" Journal of Clinical Medicine 10, no. 4: 701. https://doi.org/10.3390/jcm10040701
APA StyleLucatelli, P., Corona, M., Teodoli, L., Nardis, P., Cannavale, A., Rocco, B., Trobiani, C., Cipollari, S., Zilahi de Gyurgyokai, S., Bezzi, M., & Catalano, C. (2021). Use of Phil Embolic Agent for Bleeding in Non-Neurological Interventions. Journal of Clinical Medicine, 10(4), 701. https://doi.org/10.3390/jcm10040701

