Immediate Implant Placement in the Maxillary Aesthetic Zone: A Cone Beam Computed Tomography Study
Abstract
:1. Introduction
2. Materials and Methods
2.1. Subjects
2.2. Ethical Considerations
2.3. Inclusion and Exclusion Criteria
2.4. Hardware and Software
2.5. Sample Size Calculation
2.6. Definitions and Measurements
2.6.1. Sagittal Root Position (SRP)
- Class I: the root is positioned against the labial cortical plate;
- Class II: the root is centered in the middle of the alveolar housing without engaging either the labial or the palatal cortical plates at the apical third of the root;
- Class III: the root is positioned against the palatal cortical plate;
- Class IV: at least two-thirds of the root is engaging both the labial and palatal cortical plates.
2.6.2. Secure Distance from Implant to the Adjacent Anatomical Structures
2.6.3. Implant Simulation
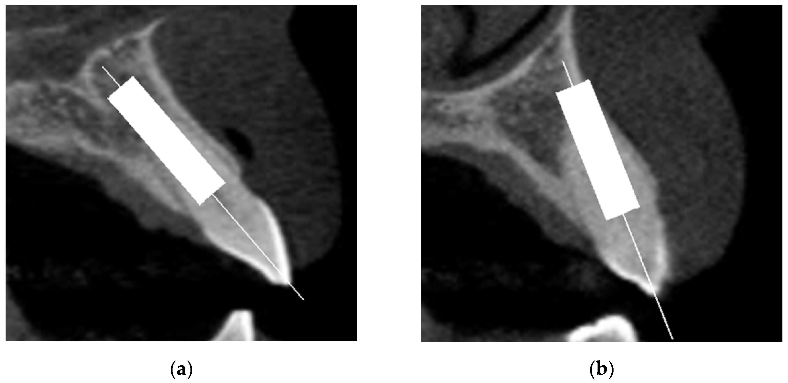
- (a)
- Prosthetically-driven ideal position: implant placed along the long axis of the tooth root and crown along line A shown in the sagittal section (line A was defined as the line connecting the incisal edge and the root apex of the tooth, bisecting the labial and palatal halves of the tooth), with the implant anchored in at least 4 mm of native bone. Depending on the case, this could lead to absence (Figure 1a) or occurrence (Figure 1b) of labial bone plate perforation. In absence of perforation, it was also noted if the implant respected the 2 mm distance to adjacent anatomical structures. The proper mesio-distal angulation was verified in the panoramic view;
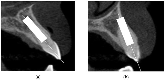
- (b)
- Bone-driven ideal position: the minimal implant length possible without perforation, when anchoring the implant apex with 4 mm of native bone, still respecting the minimum 2 mm distance from the nasal floor and from the labial and palatal bone plates. The proper mesio-distal angulation was verified in the panoramic view.
2.6.4. Implant-Line A Angle (ILAA)
2.6.5. Labial Concavity Angle (LCA)
2.6.6. Angle Measurement
2.7. Statistical Analyses
3. Results
3.1. Selection of Cases
3.2. Description of the Cohort Group
3.3. Measurements
4. Discussion
5. Conclusions
- The mean minimum length of the planned implants when in bone-driven position, without perforation or invasion of the 2 mm secure distance from the surrounding anatomical structures, increased from CI to LI and then to CA;
- The incidence of perforation was nearly 80% and 5% for prosthetically- and bone-driven position, respectively;
- The mean angle between the tooth position and the corrected angulation in order to be able to install an implant in a safe manner with enough bone anchorage (angulation between the prosthetically-driven and the bone-driven position) was 17.7 ± 7.2 degrees;
- Factors associated with a higher risk of cortical bone perforation (in bone-driven position), according to logistic regression analysis, were women, wider implants, SRP class IV, and decrease of the labial concavity angle.
Author Contributions
Funding
Institutional Review Board Statement
Informed Consent Statement
Data Availability Statement
Conflicts of Interest
References
- Brånemark, P.I. Osseointegration and its experimental background. J. Prosthet. Dent. 1983, 50, 399–410. [Google Scholar] [CrossRef]
- Chrcanovic, B.R.; Albrektsson, T.; Wennerberg, A. Dental implants inserted in fresh extraction sockets versus healed sites: A systematic review and meta-analysis. J. Dent. 2015, 43, 16–41. [Google Scholar] [CrossRef] [PubMed]
- Chrcanovic, B.R.; Martins, M.D.; Wennerberg, A. Immediate placement of implants into infected sites: A systematic review. Clin. Implant. Dent. Relat. Res. 2015, 17 (Suppl. 1), e1–e16. [Google Scholar] [CrossRef]
- AlTarawneh, S.; AlHadidi, A.; Hamdan, A.A.; Shaqman, M.; Habib, E. Assessment of Bone Dimensions in the Anterior Maxilla: A Cone Beam Computed Tomography Study. J. Prosthodont. Off. J. Am. Coll. Prosthodont. 2018, 27, 321–328. [Google Scholar] [CrossRef]
- Lee, S.R.; Jang, T.S.; Seo, C.S.; Choi, I.O.; Lee, W.P. Hard Tissue Volume Stability Effect beyond the Bony Envelope of a Three-Dimensional Preformed Titanium Mesh with Two Different Collagen Barrier Membranes on Peri-Implant Dehiscence Defects in the Anterior Maxilla: A Randomized Clinical Trial. Materials 2021, 14, 5618. [Google Scholar] [CrossRef]
- Schropp, L.; Wenzel, A.; Kostopoulos, L.; Karring, T. Bone healing and soft tissue contour changes following single-tooth extraction: A clinical and radiographic 12-month prospective study. Int. J. Periodont. Restor. Dent. 2003, 23, 313–323. [Google Scholar]
- Zhou, Y.; Si, M.; Liu, Y.; Wu, M. Likelihood of needing facial bone augmentation in the anterior maxilla of Chinese Asians: A cone beam computed tomography virtual implant study. Clin. Implant Dent. 2019, 21, 503–509. [Google Scholar] [CrossRef] [PubMed]
- Fenner, M.; Vairaktaris, E.; Fischer, K.; Schlegel, K.A.; Neukam, F.W.; Nkenke, E. Influence of residual alveolar bone height on osseointegration of implants in the maxilla: A pilot study. Clin. Oral Implant. Res. 2009, 20, 555–559. [Google Scholar] [CrossRef] [PubMed]
- Froum, S.J. Immediate placement of implants into extraction sockets: Rationale, outcomes, technique. Alpha Omegan 2005, 98, 20–35. [Google Scholar] [PubMed]
- Chrcanovic, B.R.; de Carvalho Machado, V.; Gjelvold, B. Immediate implant placement in the posterior mandible: A cone beam computed tomography study. Quintessence Int. 2016, 47, 505–514. [Google Scholar] [CrossRef]
- Kan, J.Y.; Rungcharassaeng, K.; Lin, G.H.; Zucchelli, G.; Kamolroongwarakul, P.; Matsuda, H.; Lozada, J. Incidence of Straight-Channel Screw-Retained Single Crown Following Immediate Implant Placement and Provisionalization in the Esthetic Zone: A CBCT Study. Int. J. Oral Maxillofac. Implant. 2021, 36, 793–798. [Google Scholar] [CrossRef] [PubMed]
- Zhang, W.; Skrypczak, A.; Weltman, R. Anterior maxilla alveolar ridge dimension and morphology measurement by cone beam computerized tomography (CBCT) for immediate implant treatment planning. BMC Oral Health 2015, 15, 65. [Google Scholar] [CrossRef] [PubMed] [Green Version]
- Wang, H.M.; Shen, J.W.; Yu, M.F.; Chen, X.Y.; Jiang, Q.H.; He, F.M. Analysis of facial bone wall dimensions and sagittal root position in the maxillary esthetic zone: A retrospective study using cone beam computed tomography. Int. J. Oral Maxillofac. Implant. 2014, 29, 1123–1129. [Google Scholar] [CrossRef] [PubMed]
- Sung, C.E.; Cochran, D.L.; Cheng, W.C.; Mau, L.P.; Huang, P.H.; Fan, W.H.; Shieh, Y.S.; Huang, R.Y. Preoperative assessment of labial bone perforation for virtual immediate implant surgery in the maxillary esthetic zone: A computer simulation study. J. Am. Dent. Assoc. 2015, 146, 808–819. [Google Scholar] [CrossRef] [PubMed]
- Lin, C.Y.; Pan, W.L.; Wang, H.L. Facial Fenestration and Dehiscence Defects Associated With Immediate Implant Placement Without Flap Elevation in Anterior Maxillary Ridge: A Preliminary Cone Beam Computed Tomography Study. Int. J. Oral Maxillofac. Implant. 2018, 33, 1112–1118. [Google Scholar] [CrossRef]
- Kan, J.Y.; Roe, P.; Rungcharassaeng, K.; Patel, R.D.; Waki, T.; Lozada, J.L.; Zimmerman, G. Classification of sagittal root position in relation to the anterior maxillary osseous housing for immediate implant placement: A cone beam computed tomography study. Int. J. Oral Maxillofac. Implant. 2011, 26, 873–876. [Google Scholar]
- Buser, D.; Martin, W.; Belser, U.C. Optimizing esthetics for implant restorations in the anterior maxilla: Anatomic and surgical considerations. Int. J. Oral Maxillofac. Implant. 2004, 19, 43–61. [Google Scholar]
- Calvo-Guirado, J.L.; Gómez-Moreno, G.; Aguilar-Salvatierra, A.; Guardia, J.; Delgado-Ruiz, R.A.; Romanos, G.E. Marginal bone loss evaluation around immediate non-occlusal microthreaded implants placed in fresh extraction sockets in the maxilla: A 3-year study. Clin. Oral Implant. Res. 2015, 26, 761–767. [Google Scholar] [CrossRef] [PubMed]
- Gjelvold, B.; Sohrabi, M.M.; Chrcanovic, B.R. Angled Screw Channel: An Alternative to Cemented Single-Implant Restorations-Three Clinical Examples. Int. J. Prosthodont. 2016, 29, 74–76. [Google Scholar] [CrossRef]
- Lee, J.E.; Jung, C.Y.; Kim, Y.; Kook, Y.A.; Ko, Y.; Park, J.B. Analysis of Alveolar Bone Morphology of the Maxillary Central and Lateral Incisors with Normal Occlusion. Medicina 2019, 55, 565. [Google Scholar] [CrossRef] [Green Version]
- Peñarrocha, D.; Candel, E.; Guirado, J.L.; Canullo, L.; Peñarrocha, M. Implants placed in the nasopalatine canal to rehabilitate severely atrophic maxillae: A retrospective study with long follow-up. J. Oral Implant. 2014, 40, 699–706. [Google Scholar] [CrossRef] [PubMed]
- Scher, E.L. Use of the incisive canal as a recipient site for root form implants: Preliminary clinical reports. Implant. Dent. 1994, 3, 38–41. [Google Scholar] [CrossRef] [PubMed]
- Annibali, S.; Ripari, M.; La Monaca, G.; Tonoli, F.; Cristalli, M.P. Local accidents in dental implant surgery: Prevention and treatment. Int. J. Periodont. Restor. Dent. 2009, 29, 325–331. [Google Scholar]
- McCrea, S.J.J. Aberrations Causing Neurovascular Damage in the Anterior Maxilla during Dental Implant Placement. Case Rep. Dent. 2017, 2017, 5969643. [Google Scholar] [CrossRef] [PubMed] [Green Version]
- Machado, V.C.; Chrcanovic, B.R.; Felippe, M.B.; Manhães Júnior, L.R.; de Carvalho, P.S. Assessment of accessory canals of the canalis sinuosus: A study of 1000 cone beam computed tomography examinations. Int. J. Oral Maxillofac. Surg. 2016, 45, 1586–1591. [Google Scholar] [CrossRef] [PubMed]
- Chrcanovic, B.R.; Abreu, M.H.; Custodio, A.L. A morphometric analysis of supraorbital and infraorbital foramina relative to surgical landmarks. Surg. Radiol. Anat. 2011, 33, 329–335. [Google Scholar] [CrossRef] [PubMed]
- Chrcanovic, B.R.; Abreu, M.H.; Custodio, A.L. Morphological variation in dentate and edentulous human mandibles. Surg. Radiol. Anat. 2011, 33, 203–213. [Google Scholar] [CrossRef]
- Genç, T.; Duruel, O.; Kutlu, H.B.; Dursun, E.; Karabulut, E.; Tözüm, T.F. Evaluation of anatomical structures and variations in the maxilla and the mandible before dental implant treatment. Dent. Med. Probl. 2018, 55, 233–240. [Google Scholar] [CrossRef] [Green Version]
- den Hartog, L.; Slater, J.J.; Vissink, A.; Meijer, H.J.; Raghoebar, G.M. Treatment outcome of immediate, early and conventional single-tooth implants in the aesthetic zone: A systematic review to survival, bone level, soft-tissue, aesthetics and patient satisfaction. J. Clin. Periodont. 2008, 35, 1073–1086. [Google Scholar] [CrossRef]
- Lau, S.L.; Chow, J.; Li, W.; Chow, L.K. Classification of maxillary central incisors-implications for immediate implant in the esthetic zone. J. Oral Maxillofac. Surg. 2011, 69, 142–153. [Google Scholar] [CrossRef]


| Narrower Implants (3.0/3.75 mm) | Wider Implants (3.3/4.3 mm) | p Value | |
|---|---|---|---|
| Individuals (n) | 63 | 63 | |
| Individuals/teeth (n) | |||
| Male | 27/162 | 24/144 | 0.586 a |
| Female | 36/216 | 39/234 | 0.182 b |
| Age, mean ± SD (min-max) (years) | |||
| Male | 50.4 ± 16.7 (15.7–83.0) | 52.0 ± 14.4 (14.2–74.6) | 0.651 c |
| Female | 51.3 ± 15.3 (21.2–78.4) | 51.0 ± 13.5 (20.5–76.9) | 0.767 c |
| p value | 0.760 d | 0.630 d | |
| SRP Class | I | II | III | IV | Total |
|---|---|---|---|---|---|
| Tooth | n (%) | ||||
| 13 | 110 (87.3) | 2 (1.6) | 0 (0) | 14 (11.1) | 126 (100) |
| 12 | 87 (69.1) | 11 (8.7) | 3 (2.4) | 25 (19.8) | 126 (100) |
| 11 | 109 (86.5) | 9 (7.2) | 0 (0) | 8 (6.3) | 126 (100) |
| 21 | 112 (88.9) | 8 (6.3) | 0 (0) | 6 (4.8) | 126 (100) |
| 22 | 93 (73.8) | 9 (7.1) | 2 (1.6) | 22 (17.5) | 126 (100) |
| 23 | 113 (89.7) | 1 (0.8) | 0 (0) | 12 (9.5) | 126 (100) |
| Total | 624 (82.5) | 40 (5.3) | 5 (0.7) | 97 (11.5) | 756 (100) |
| Tooth | 3.0/3.75 mm | 3.3/4.3 mm | p Value * |
|---|---|---|---|
| mean ± SD (min, max) | |||
| 13 | 13.5 ± 1.8 (9.75, 17.5) | 13.2 ± 1.3 (11.0, 16.5) | 0.239 |
| 12 | 12.1 ± 1.6 (8.5, 15.0) | 11.8 ± 1.5 (8.5, 15.5) | 0.273 |
| 11 | 11.3 ± 1.8 (7.25, 15.0) | 11.5 ± 1.9 (8.0, 16.0) | 0.691 |
| 21 | 11.9 ± 1.8 (8.5, 15.0) | 11.2 ± 1.3 (9.0, 14.9) | 0.042 |
| 22 | 12.4 ± 2.0 (8.8, 16.0) | 12.2 ± 1.7 (9.0, 15.5) | 0.666 |
| 23 | 13.5 ± 1.7 (10.5, 16.5) | 13.4 ± 1.7 (10.0, 16.0) | 0.624 |
| Global | 12.4 ± 2.0 (7.25, 17.5) | 12.3 ± 1.8 (8.0, 16.5) | 0.229 |
| Tooth | LCA—Mean ± SD (Min, Max) | p Value * | ||
|---|---|---|---|---|
| Global (n = 126 each tooth) | Male (n = 51 each tooth) | Female (n = 75 each tooth) | ||
| 13 | 152.0 ± 10.0 (105.3, 172.4) | 152.4 ± 9.6 (105.3, 172.4) | 155.8 ± 10.4 (126.1, 169.1) | 0.960 |
| 12 | 151.3 ± 10.3 (123.7, 172.0) | 151.8 ± 9.0 (132.6, 168.9) | 151.0 ± 11.1 (123.7, 172.0) | 0.911 |
| 11 | 152.8 ± 11.3 (117.2, 178.4) | 153.1 ± 11.1 (129.5, 178.4) | 152.7 ± 11.5 (117.2, 171.8) | 0.927 |
| 21 | 152.8 ± 12.5 (117.5, 178.0) | 154.0 ± 11.8 (132.0, 176.6) | 152.0 ± 13.0 (117.5, 178.0) | 0.581 |
| 22 | 151.0 ±10.5 (126.2, 177.5) | 152.6 ± 8.3 (133.2, 170.1) | 149.8 ± 11.7 (126.2, 177.5) | 0.069 |
| 23 | 153.5 ± 8.6 (127.7, 174.4) | 154.9 ± 6.8 (137.9, 166.2) | 152.6 ± 9.6 (127.7, 174.4) | 0.110 |
| All teeth | 152.2 ± 10.6 (105.3, 178.4) (n = 756) | 153.1 ± 9.6 (105.3, 178.4) (n = 306) | 151.6 ± 11.3 (117.2, 178.0) (n = 450) | 0.125 |
| Tooth | Prosthetically Driven | ILAA | Bone Driven | ||||
|---|---|---|---|---|---|---|---|
| No perforation | <2 mm | Perforation | No perforation | <2 mm | Perforation | ||
| n (%) | mean ± SD (min, max) | n (%) | |||||
| 13 | 0 (0) | 12 (19.0) | 51 (81.0) | 17.3 ± 6.0 (7.0, 29.2) | 35 (55.6) | 20 (31.7) | 8 (12.7) |
| 12 | 0 (0) | 17 (27.0) | 46 (73.0) | 19.0 ± 7.0 (5.0, 31.3) | 33 (52.4) | 29 (46.0) | 1 (1.6) |
| 11 | 1 (1.6) | 13 (20.6) | 49 (77.8) | 16.5 ± 6.3 (0, 28.2) | 39 (61.9) | 23 (36.5) | 1 (1.6) |
| 21 | 0 (0) | 14 (22.2) | 49 (77.8) | 16.0 ± 5.2 (2.2, 26.8) | 41 (65.1) | 21 (33.3) | 1 (1.6) |
| 22 | 1 (1.6) | 15 (23.8) | 47 (74.6) | 19.4 ± 6.9 (0, 31.2) | 32 (50.8) | 30 (47.6) | 1 (1.6) |
| 23 | 1 (1.6) | 7 (11.1) | 55 (87.3) | 17.2 ± 6.7 (0, 32.0) | 37 (58.7) | 17 (27.0) | 9 (14.3) |
| Total | 3 (0.8) | 78 (20.6) | 297 (78.6) | 17.5 ± 6.4 (0, 32.0) | 217 (57.4) | 140 (37.0) | 21 (5.6) |
| Tooth | Prosthetically Driven | ILAA | Bone Driven | ||||
|---|---|---|---|---|---|---|---|
| No perforation | <2 mm | Perforation | No perforation | <2 mm | Perforation | ||
| n (%) | mean ± SD (min, max) | n (%) | |||||
| 13 | 0 (0) | 6 (9.5) | 57 (90.5) | 19.4 ± 7.2 (8.5, 35.5) | 29 (46.0) | 29 (46.0) | 5 (8.0) |
| 12 | 0 (0) | 20 (31.7) | 43 (68.3) | 19.8 ± 10.3 (7.7, 45.4) | 25 (39.7) | 35 (55.5) | 3 (4.8) |
| 11 | 1 (1.6) | 18 (28.6) | 44 (69.8) | 14.7 ± 7.7 (0, 29.5) | 24 (38.1) | 36 (57.1) | 3 (4.8) |
| 21 | 0 (0) | 11 (17.5) | 52 (82.5) | 15.5 ± 7.2 (5.6, 33.3) | 29 (46.0) | 33 (52.4) | 1 (1.6) |
| 22 | 0 (0) | 16 (25.4) | 47 (74.6) | 20.5 ± 7.6 (9.1, 38.9) | 22 (34.9) | 38 (60.3) | 3 (4.8) |
| 23 | 0 (0) | 12 (19.0) | 51 (81.0) | 18.8 ± 8.1 (7.8, 38.9) | 29 (46.0) | 29 (46.0) | 5 (8.0) |
| Total | 1 (0.3) | 83 (21.9) | 294 (77.8) | 18.1 ± 8.2 (0, 45.4) | 158 (41.8) | 200 (52.9) | 20 (5.3) |
| Factor | Odds Ratio (95% CI) | p Value |
|---|---|---|
| Sex | ||
| Male | 1 | |
| Female | 3.971 (2.913, 5.413) | <0.001 |
| Age | 1 | |
| Increase by 1 year | 0.995 (0.986, 1.005) | 0.341 |
| Tooth region | ||
| Central incisor | 1 | |
| Lateral incisor | 1.397 (0.984, 1.984) | 0.062 |
| Canine | 1.040 (0.733, 1.476) | 0.825 |
| Implant diameter | ||
| 3.0/3.75 mm | 1 | |
| 3.3/4.3 mm | 1.877 (1.406, 2.505) | <0.001 |
| SRP class | ||
| 1 | 1 | |
| 2 | 0.999 (0.525, 1.899) | 0.997 |
| 3 | 1.831 (0.304, 11.034) | 0.509 |
| 4 | 12.054 (5.728, 25.368) | <0.001 |
| ILAA | 1 | |
| Increase by 1 degree | 0.756 (0.531, 1.076) | 0.120 |
| LCA | 1 | |
| Increase by 1 degree | 0.968 (0.955, 0.982) | <0.001 |
| Factor | Odds Ratio (95% CI) | p Value |
|---|---|---|
| Sex | ||
| Male | 1 | |
| Female | 4.547 (3.229, 6.402) | <0.001 |
| Tooth region | ||
| Central incisor | 1 | |
| Lateral incisor | 1.148 (0.767, 1.718) | 0.502 |
| Canine | 0.966 (0.651, 1.433) | 0.864 |
| Implant diameter | ||
| 3.0/3.75 mm | 1 | |
| 3.3/4.3 mm | 2.064 (1.489, 2.860) | <0.001 |
| SRP class | ||
| 1 | 1 | |
| 2 | 0.991 (0.491, 2.001) | 0.979 |
| 3 | 0.536 (0.085, 3.391) | 0.507 |
| 4 | 14.558 (6.601, 32.108) | <0.001 |
| LCA | 1 | |
| Increase by 1 degree | 0.977 (0.962, 0.993) | 0.004 |
Publisher’s Note: MDPI stays neutral with regard to jurisdictional claims in published maps and institutional affiliations. |
© 2021 by the authors. Licensee MDPI, Basel, Switzerland. This article is an open access article distributed under the terms and conditions of the Creative Commons Attribution (CC BY) license (https://creativecommons.org/licenses/by/4.0/).
Share and Cite
Botermans, A.; Lidén, A.; de Carvalho Machado, V.; Chrcanovic, B.R. Immediate Implant Placement in the Maxillary Aesthetic Zone: A Cone Beam Computed Tomography Study. J. Clin. Med. 2021, 10, 5853. https://doi.org/10.3390/jcm10245853
Botermans A, Lidén A, de Carvalho Machado V, Chrcanovic BR. Immediate Implant Placement in the Maxillary Aesthetic Zone: A Cone Beam Computed Tomography Study. Journal of Clinical Medicine. 2021; 10(24):5853. https://doi.org/10.3390/jcm10245853
Chicago/Turabian StyleBotermans, Anna, Anna Lidén, Vinícius de Carvalho Machado, and Bruno Ramos Chrcanovic. 2021. "Immediate Implant Placement in the Maxillary Aesthetic Zone: A Cone Beam Computed Tomography Study" Journal of Clinical Medicine 10, no. 24: 5853. https://doi.org/10.3390/jcm10245853
APA StyleBotermans, A., Lidén, A., de Carvalho Machado, V., & Chrcanovic, B. R. (2021). Immediate Implant Placement in the Maxillary Aesthetic Zone: A Cone Beam Computed Tomography Study. Journal of Clinical Medicine, 10(24), 5853. https://doi.org/10.3390/jcm10245853

