Immunohistochemical Expression of Wnt-4 Protein in Clear Cell Renal Carcinoma
Abstract
:1. Introduction
2. Materials and Methods
2.1. Patients
2.2. Immunohistochemistry
2.3. Statistical Analysis
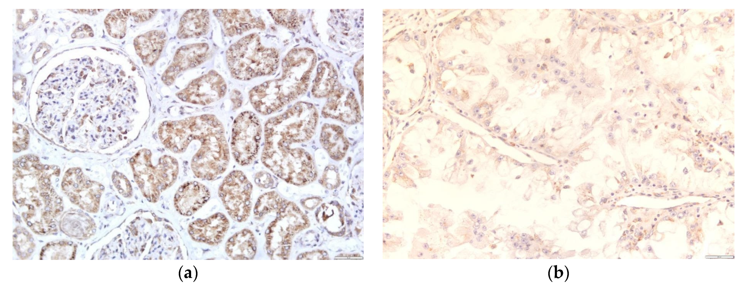
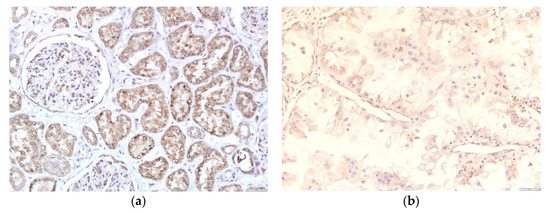
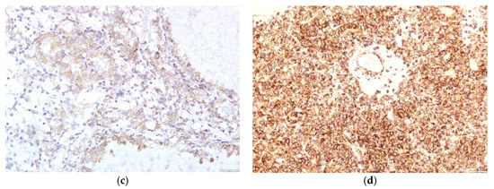
3. Results
4. Discussion
Author Contributions
Funding
Institutional Review Board Statement
Informed Consent Statement
Data Availability Statement
Conflicts of Interest
References
- Scelo, G.; Larose, T.L. Epidemiology and Risk Factors for Kidney Cancer. J. Clin. Oncol. 2018, 36, 3574. [Google Scholar] [CrossRef] [PubMed]
- Ferlay, J.; Steliarova-Foucher, E.; Lortet-Tieulent, J.; Rosso, S.; Coebergh, J.W.; Comber, H.; Forman, D.; Bray, F. Cancer incidence and mortality patterns in Europe: Estimates for 40 countries in 2012. Eur. J. Cancer 2013, 49, 1374–1403. [Google Scholar] [CrossRef] [Green Version]
- Capitanio, U.; Montorsi, F. Renal cancer. Lancet 2016, 387, 894–906. [Google Scholar] [CrossRef]
- Prasad, S.R.; Humphrey, P.A.; Catena, J.R.; Narra, V.R.; Srigley, J.R.; Cortez, A.D.; Dalrymple, N.C.; Chintapalli, K.N. Common and uncommon histologic subtypes of renal cell carcinoma: Imaging spectrum with pathologic correlation. Radiographics 2006, 26, 1795–1806, discussion 1806–1710. [Google Scholar] [CrossRef] [PubMed] [Green Version]
- Linehan, W.M.; Ricketts, C.J. The Cancer Genome Atlas of renal cell carcinoma: Findings and clinical implications. Nat. Rev. Urol. 2019, 16, 539–552. [Google Scholar] [CrossRef] [PubMed]
- Wang, Y.; Zhou, C.J.; Liu, Y. Wnt Signaling in Kidney Development and Disease. Prog. Mol. Biol. Transl. Sci. 2018, 153, 181–207. [Google Scholar] [CrossRef]
- Kamei, C.N.; Gallegos, T.F.; Liu, Y.; Hukriede, N.; Drummond, I.A. Wnt signaling mediates new nephron formation during zebrafish kidney regeneration. Development 2019, 146, dev168294. [Google Scholar] [CrossRef] [Green Version]
- Peng, C.; Lu, Y.; Ren, X.; Wang, Y.; Zhang, S.; Chen, M.; Liu, J.; Fang, F.; Li, T.; Han, J. Comprehensive bioinformatic analysis of Wnt1 and Wnt1-associated diseases. Intractable Rare Dis. Res. 2020, 9, 14–22. [Google Scholar] [CrossRef]
- Zennaro, M.C.; Boulkroun, S.; Fernandes-Rosa, F. Genetic Causes of Functional Adrenocortical Adenomas. Endocr. Rev. 2017, 38, 516–537. [Google Scholar] [CrossRef]
- Zhang, Q.; Pan, Y.; Ji, J.; Xu, Y.; Zhang, Q.; Qin, L. Roles and action mechanisms of WNT4 in cell differentiation and human diseases: A review. Cell Death Discov. 2021, 7, 287. [Google Scholar] [CrossRef] [PubMed]
- Ljungberg, B.; Albiges, L.; Bedke, J.; Bex, A.; Capitanio, U.; Giles, R.H.; Hora, M.; Klatte, T.; Lam, T.; Marconi, L.; et al. Renal Cell Carcinoma. EAU Guidelines. Edn. In Proceedings of the EAU Annual Congress, Milan, Italy, 19–23 March 2021; ISBN 978-94-92671-13-4. [Google Scholar]
- Fuhrman, S.A.; Lasky, L.C.; Limas, C. Prognostic significance of morphologic parameters in renal cell carcinoma. Am. J. Surg. Pathol. 1982, 6, 655–663. [Google Scholar] [CrossRef]
- Vainio, S.J. Nephrogenesis regulated by Wnt signaling. J. Nephrol. 2003, 16, 279–285. [Google Scholar] [PubMed]
- Lancaster, M.A.; Louie, C.M.; Silhavy, J.L.; Sintasath, L.; Decambre, M.; Nigam, S.K.; Willert, K.; Gleeson, J.G. Impaired Wnt-beta-catenin signaling disrupts adult renal homeostasis and leads to cystic kidney ciliopathy. Nat. Med. 2009, 15, 1046–1054. [Google Scholar] [CrossRef] [PubMed] [Green Version]
- Cairns, P. Renal cell carcinoma. Cancer Biomark. 2010, 9, 461–473. [Google Scholar] [CrossRef] [PubMed]
- Osada, M.; Park, H.L.; Nagakawa, Y.; Begum, S.; Yamashita, K.; Wu, G.; Kim, M.S.; Trink, B.; Sidransky, D. A novel response element confers p63- and p73-specific activation of the WNT4 promoter. Biochem. Biophys. Res. Commun. 2006, 339, 1120–1128. [Google Scholar] [CrossRef] [PubMed]
- Wan, X.; Ji, W.; Mei, X.; Zhou, J.; Liu, J.-X.; Fang, C.; Xiao, W. Negative feedback regulation of Wnt4 signaling by EAF1 and EAF2/U19. PLoS ONE 2010, 5, e9118. [Google Scholar] [CrossRef]
- Yang, D.; Li, Q.; Shang, R.; Yao, L.; Wu, L.; Zhang, M.; Zhang, L.; Xu, M.; Lu, Z.; Zhou, J.; et al. WNT4 secreted by tumor tissues promotes tumor progression in colorectal cancer by activation of the Wnt/β-catenin signalling pathway. J. Exp. Clin. Cancer Res. 2020, 39, 251. [Google Scholar] [CrossRef]
- Martin-Orozco, E.; Sanchez-Fernandez, A.; Ortiz-Parra, I.; Ayala-San Nicolas, M. WNT Signaling in Tumors: The Way to Evade Drugs and Immunity. Front. Immunol. 2019, 10, 2854. [Google Scholar] [CrossRef]
- Flanagan, D.J.; Vincan, E. Wnt Signaling in Cancer: Not a Binary ON: OFF Switch. Cancer Res. 2019, 79, 5901–5906. [Google Scholar] [CrossRef]
- Wiese, K.E.; Nusse, R. Wnt signalling: Conquering complexity. Development 2018, 145, dev165902. [Google Scholar] [CrossRef] [Green Version]
- Wang, Z.; Zhao, T.; Zhang, S.; Wang, J.; Chen, Y.; Zhao, H.; Yang, Y.; Shi, S.; Chen, Q.; Liu, K. The Wnt signaling pathway in tumorigenesis, pharmacological targets, and drug development for cancer therapy. Biomark. Res. 2021, 9, 68. [Google Scholar] [CrossRef] [PubMed]
- Lu, W.; Lin, C.; Roberts, M.J.; Waud, W.R.; Piazza, G.A.; Li, Y. Niclosamide suppresses cancer cell growth by inducing Wnt co-receptor LRP6 degradation and inhibiting the Wnt/β-catenin pathway. PLoS ONE 2011, 6, e29290. [Google Scholar] [CrossRef] [PubMed]
- Liu, F.; Li, W.; Hua, S.; Han, Y.; Xu, Z.; Wan, D.; Wang, Y.; Chen, W.; Kuang, Y.; Shi, J.; et al. Nigericin Exerts Anticancer Effects on Human Colorectal Cancer Cells by Inhibiting Wnt/β-catenin Signaling Pathway. Mol. Cancer Ther. 2018, 17, 952–965. [Google Scholar] [CrossRef] [PubMed] [Green Version]
- Wang, X.; Xu, C.; Hua, Y.; Cheng, K.; Zhang, Y.; Liu, J.; Han, Y.; Liu, S.; Zhang, G.; Xu, S.; et al. Psoralen induced cell cycle arrest by modulating Wnt/β-catenin pathway in breast cancer cells. Sci. Rep. 2018, 8, 14001. [Google Scholar] [CrossRef] [PubMed] [Green Version]
- Massari, F.; Rizzo, A.; Mollica, V.; Rosellini, M.; Marchetti, A.; Ardizzoni, A.; Santoni, M. Immune-based combinations for the treatment of metastatic renal cell carcinoma: A meta-analysis of randomised clinical trials. Eur. J. Cancer 2021, 154, 120–127. [Google Scholar] [CrossRef]
- Massari, F.; Mollica, V.; Rizzo, A.; Cosmai, L.; Rizzo, M.; Porta, C. Safety evaluation of immune-based combinations in patients with advanced renal cell carcinoma: A systematic review and meta-analysis. Expert Opin. Drug Saf. 2020, 19, 1329–1338. [Google Scholar] [CrossRef]
- Goswami, V.G.; Patel, B.D. Recent updates on Wnt signaling modulators: A patent review (2014–2020). Expert Opin. Ther. Pat. 2021, 31, 1009–1043. [Google Scholar] [CrossRef]





| Median (Range) | |
|---|---|
| Age | 60.2 (34–83) |
| Tumor size | 5.32 (1–19) |
| Number of patients (percentage) | |
| Total number of patients Female Male | 185 69 (37.3) 116 (62.7) |
| Left kidney Right kidney | 108 (58.4) 77 (41.6) |
| Tumor location Upper Middle Lower | 72 (38.9) 62 (33.5) 51 (27.6) |
| Total nephrectomy Partial nephrectomy | 127 (68.6) 58 (31.35) |
| Fuhrman’s grade I II III IV | 9 (4.9) 108 (58.4) 53 (28.6) 15 (8.1) |
| TNM T1 T2 T3 T4 | 111 (60.0) 8 (4.3) 64 (34.6) 2 (1.1) |
| Patients with suspected metastatic disease on MSCT or X-rays | 22 (11.9) |
| Wnt-4 | Healthy Tissue | ccRCC |
|---|---|---|
| Negative | 0 | 61 (33%) |
| Positive | 35 (18.9) | 124 (67%) |
| (+) (++) (+++) | 1 (2.6%) 6 (17.1%) 28 (80.3% | 63 (34.1%) 32 (17.3%) 29 (15.7%) |
Publisher’s Note: MDPI stays neutral with regard to jurisdictional claims in published maps and institutional affiliations. |
© 2021 by the authors. Licensee MDPI, Basel, Switzerland. This article is an open access article distributed under the terms and conditions of the Creative Commons Attribution (CC BY) license (https://creativecommons.org/licenses/by/4.0/).
Share and Cite
Pavlovic, O.; Hudolin, T.; Miskulin, I.; Bulimbasic, S.; Coric, M.; Perkovic, J.; Zekulic, T. Immunohistochemical Expression of Wnt-4 Protein in Clear Cell Renal Carcinoma. J. Clin. Med. 2021, 10, 5795. https://doi.org/10.3390/jcm10245795
Pavlovic O, Hudolin T, Miskulin I, Bulimbasic S, Coric M, Perkovic J, Zekulic T. Immunohistochemical Expression of Wnt-4 Protein in Clear Cell Renal Carcinoma. Journal of Clinical Medicine. 2021; 10(24):5795. https://doi.org/10.3390/jcm10245795
Chicago/Turabian StylePavlovic, Oliver, Tvrtko Hudolin, Ivan Miskulin, Stela Bulimbasic, Marijana Coric, Josip Perkovic, and Toni Zekulic. 2021. "Immunohistochemical Expression of Wnt-4 Protein in Clear Cell Renal Carcinoma" Journal of Clinical Medicine 10, no. 24: 5795. https://doi.org/10.3390/jcm10245795
APA StylePavlovic, O., Hudolin, T., Miskulin, I., Bulimbasic, S., Coric, M., Perkovic, J., & Zekulic, T. (2021). Immunohistochemical Expression of Wnt-4 Protein in Clear Cell Renal Carcinoma. Journal of Clinical Medicine, 10(24), 5795. https://doi.org/10.3390/jcm10245795

