Gastric Xanthoma Is Related to the Rapid Growth of Gastric Cancer
Abstract
1. Introduction
2. Materials and Methods
2.1. Study Design, Setting and Participants
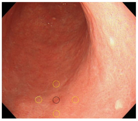
2.2. Definition of Lesion
2.3. Definition of Related Factors
2.4. Statistical Analysis
3. Results
3.1. Characteristics of Patients and Lesions
3.2. Factors Related to Speed of Gastric Cancer Progression
4. Discussion
4.1. H. pylori Infection
4.2. Gastric Xanthoma
4.3. Histological Type
4.4. Screening Examination
4.5. Limitations
5. Conclusions
Author Contributions
Funding
Institutional Review Board Statement
Informed Consent Statement
Data Availability Statement
Conflicts of Interest
References
- Bray, F.; Ferlay, J.; Soerjomataram, I.; Siegel, R.L.; Torre, L.A.; Jemal, A. Global cancer statistics 2018: GLOBOCAN estimates of incidence and mortality worldwide for 36 cancers in 185 countries. CA Cancer J. Clin. 2018, 68, 394–424. [Google Scholar] [CrossRef]
- Liu, Y.; Ponsioen, C.I.J.; Xiao, S.-D.; Tytgat, G.N.; Ten Kate, F.J. Geographic Pathology of Helicobacter pylori Gastritis. Helicobacter 2005, 10, 107–113. [Google Scholar] [CrossRef]
- Suzuki, H.; Mori, H. Different Pathophysiology of Gastritis between East and West? An Asian Perspective. Inflamm. Intest. Dis. 2016, 1, 123–128. [Google Scholar] [CrossRef]
- Jun, J.K.; Choi, K.S.; Lee, H.-Y.; Suh, M.; Park, B.; Song, S.H.; Jung, K.W.; Lee, C.W.; Choi, I.J.; Park, E.-C.; et al. Effectiveness of the Korean National Cancer Screening Program in Reducing Gastric Cancer Mortality. Gastroenterology 2017, 152, 1319–1328.e7. [Google Scholar] [CrossRef]
- Hamashima, C.; Shabana, M.; Okada, K.; Okamoto, M.; Osaki, Y. Mortality reduction from gastric cancer by endoscopic and radiographic screening. Cancer Sci. 2015, 106, 1744–1749. [Google Scholar] [CrossRef] [PubMed]
- Park, C.H.; Kim, E.H.; Chung, H.; Lee, H.; Park, J.C.; Shin, S.K.; Lee, Y.C.; An, J.Y.; Kim, H.-I.; Cheong, J.-H.; et al. The optimal endoscopic screening interval for detecting early gastric neoplasms. Gastrointest. Endosc. 2014, 80, 253–259. [Google Scholar] [CrossRef]
- Tae, C.H.; Shim, K.-N.; Kim, B.-W.; Kim, J.-H.; Hong, S.J.; Baik, G.H.; Song, H.J.; Kim, Y.S.; Jang, S.-H.; Jung, H.-K. Comparison of subjective quality of life after endoscopic submucosal resection or surgery for early gastric cancer. Sci. Rep. 2020, 10, 6680. [Google Scholar] [CrossRef] [PubMed]
- Iida, T.; Yamashita, K.; Ohwada, S.; Ohkubo, Y.; Hirano, T.; Miyake, T.; Onodera, K.; Kubo, T.; Yamano, H.; Nakase, H. Natural history of gastric cancer from a retrospective review of endoscopic images of older patients with interval gastric cancer. Geriatr. Gerontol. Int. 2018, 18, 997–1002. [Google Scholar] [CrossRef]
- Tsukuma, H.; Oshima, A.; Narahara, H.; Morii, T. Natural history of early gastric cancer: A non-concurrent, long term, follow up study. Gut 2000, 47, 618–621. [Google Scholar] [CrossRef]
- Oh, S.-Y.; Lee, J.-H.; Lee, H.-J.; Kim, T.H.; Huh, Y.-J.; Ahn, H.-S.; Suh, Y.-S.; Kong, S.-H.; Kim, G.H.; Ahn, S.J.; et al. Natural History of Gastric Cancer: Observational Study of Gastric Cancer Patients Not Treated During Follow-Up. Ann. Surg. Oncol. 2019, 26, 2905–2911. [Google Scholar] [CrossRef] [PubMed]
- Fujisaki, J.; Nakajima, T.; Hirasawa, T.; Yamamoto, Y.; Ishiyama, A.; Tsuchida, T.; Hoshino, E.; Igarashi, M.; Yamaguchi, T. Natural history of gastric cancer—a case followed up for eight years: Early to advanced gastric cancer. Clin. J. Gastroenterol. 2012, 5, 351–354. [Google Scholar] [CrossRef] [PubMed][Green Version]
- Iwagami, H.; Ishihara, R.; Nakagawa, K.; Ohmori, M.; Matsuno, K.; Inoue, S.; Arao, M.; Iwatsubo, T.; Nakahira, H.; Matsuura, N.; et al. Natural history of early gastric cancer: Series of 21 cases. Endosc. Int. Open 2019, 7, E43–E48. [Google Scholar] [CrossRef] [PubMed]
- Hamashima, C.; Narisawa, R.; Ogoshi, K.; Kato, T.; Fujita, K. Optimal interval of endoscopic screening based on stage distributions of detected gastric cancers. BMC Cancer 2017, 17, 740. [Google Scholar] [CrossRef]
- Kim, J.; Kim, S.M.; Ha, M.H.; Seo, J.E.; Choi, M.-G.; Lee, J.H.; Sohn, T.S.; Kim, S.; Jung, S.-H.; Bae, J.M. Does the interval of screening endoscopy affect survival in gastric cancer patients?: A cross-sectional study. Medicine 2016, 95, e5490. [Google Scholar] [CrossRef] [PubMed]
- Watari, J.; Kobayashi, M.; Nakai, K.; Ito, C.; Tamura, A.; Ogawa, T.; Yamasaki, T.; Okugawa, T.; Kondo, T.; Kono, T.; et al. Objective image analysis of non-magnifying image-enhanced endoscopy for diagnosis of small depressed early gastric cancers. Endosc. Int. Open 2018, 06, E1445–E1453. [Google Scholar] [CrossRef] [PubMed]
- Japanese Gastric Cancer Association Japanese classification of gastric carcinoma: 3rd English edition. Gastric Cancer 2011, 14, 101–112. [CrossRef] [PubMed]
- Haruma, K.; Kato, M.; Inoue, K.; Murakami, K.; Shibata, T. Kyoto Classification of Gastritis, 2nd ed.; Nihon Medical Center: Tokyo, Japan, 2018. [Google Scholar]
- Meiselas, L.E. Observations on the natural history of gastric cancer. Am. J. Med. Sci. 1953, 226, 383–386. [Google Scholar] [CrossRef]
- Tsukamoto, T.; Mizoshita, T.; Tatematsu, M. Animal Models of Stomach Carcinogenesis. Toxicol. Pathol. 2007, 35, 636–648. [Google Scholar] [CrossRef] [PubMed]
- Lee, Y.-C.; Chiang, T.-H.; Chou, C.-K.; Tu, Y.-K.; Liao, W.-C.; Wu, M.-S.; Graham, D.Y. Association Between Helicobacter pylori Eradication and Gastric Cancer Incidence: A Systematic Review and Meta-analysis. Gastroenterology 2016, 150, 1113–1124.e5. [Google Scholar] [CrossRef]
- Yan, X.; Hu, X.; Duan, B.; Zhang, X.; Pan, J.; Fu, J.; Xu, M.; Xu, Q. Exploration of endoscopic findings and risk factors of early gastric cancer after eradication of Helicobacter pylori. Scand. J. Gastroenterol. 2021, 56, 356–362. [Google Scholar] [CrossRef]
- Majima, A.; Dohi, O.; Takayama, S.; Hirose, R.; Inoue, K.; Yoshida, N.; Kamada, K.; Uchiyama, K.; Ishikawa, T.; Takagi, T.; et al. Linked color imaging identifies important risk factors associated with gastric cancer after successful eradication of Helicobacter pylori. Gastrointest. Endosc. 2019, 90, 763–769. [Google Scholar] [CrossRef] [PubMed]
- Yamashita, K.; Suzuki, R.; Kubo, T.; Onodera, K.; Iida, T.; Saito, M.; Arimura, Y.; Endo, T.; Nojima, M.; Nakase, H. Gastric Xanthomas and Fundic Gland Polyps as Endoscopic Risk Indicators of Gastric Cancer. Gut Liver 2019, 13, 409–414. [Google Scholar] [CrossRef] [PubMed]
- Kaiserling, E.; Heinle, H.; Itabe, H.; Takano, T.; Remmele, W. Lipid islands in human gastric mucosa: Morphological and immunohistochemical findings. Gastroenterology 1996, 110, 369–374. [Google Scholar] [CrossRef]
- Gencosmanoglu, R.; Sen-Oran, E.; Kurtkaya-Yapicier, O.; Tözün, N. Xanthelasmas of the upper gastrointestinal tract. J. Gastroenterol. 2004, 39, 215–219. [Google Scholar] [CrossRef]
- Yi, S.Y. Dyslipidemia andH pyloriin gastric xanthomatosis. World J. Gastroenterol. 2007, 13, 4598–4601. [Google Scholar] [CrossRef]
- Sekikawa, A.; Fukui, H.; Maruo, T.; Tsumura, T.; Kanesaka, T.; Okabe, Y.; Osaki, Y. Gastric xanthelasma may be a warning sign for the presence of early gastric cancer. J. Gastroenterol. Hepatol. 2014, 29, 951–956. [Google Scholar] [CrossRef] [PubMed]
- Sekikawa, A.; Fukui, H.; Sada, R.; Fukuhara, M.; Marui, S.; Tanke, G.; Endo, M.; Ohara, Y.; Matsuda, F.; Nakajima, J.; et al. Gastric atrophy and xanthelasma are markers for predicting the development of early gastric cancer. J. Gastroenterol. 2015, 51, 35–42. [Google Scholar] [CrossRef] [PubMed]
- Shibukawa, N.; Ouchi, S.; Wakamatsu, S.; Wakahara, Y.; Kaneko, A. Gastric xanthoma is a predictive marker for metachronous and synchronous gastric cancer. World J. Gastrointest. Oncol. 2017, 9, 327–332. [Google Scholar] [CrossRef]
- Farinati, F.; Cardin, R.; Degan, P.; Rugge, M.; Di Mario, F.; Bonvicini, P.; Naccarato, R. Oxidative DNA damage accumulation in gastric carcinogenesis. Gut 1998, 42, 351–356. [Google Scholar] [CrossRef]
- Oviedo, J.; Swan, N.; Farraye, F.A. Gastric xanthomas. Am. J. Gastroenterol. 2001, 96, 3216–3218. [Google Scholar] [CrossRef]
- Chen, Y.S.; Lin, J.B.; Dai, K.S.; Deng, B.X.; Xu, L.Z.; Lin, C.D.; Jiang, Z.G. Gastric xanthelasma. Chin. Med. J. 1989, 102, 639–643. [Google Scholar]
- Adachi, Y.; Yasuda, K.; Inomata, M.; Sato, K.; Shiraishi, N.; Kitano, S. Pathology and prognosis of gastric carcinoma: Well versus poorly differentiated type. Cancer 2000, 89, 1418–1424. [Google Scholar] [CrossRef]
- Chon, H.J.; Hyung, W.J.; Kim, C.; Park, S.; Kim, J.-H.; Park, C.H.; Ahn, J.B.; Kim, H.; Chung, H.; Rha, S.Y.; et al. Differential Prognostic Implications of Gastric Signet Ring Cell Carcinoma: Stage adjusted analysis from a single high-volume center in Asia. Ann. Surg. 2017, 265, 946–953. [Google Scholar] [CrossRef]
- Kunisaki, C.; Shimada, H.; Nomura, M.; Matsuda, G.; Otsuka, Y.; Akiyama, H. Therapeutic strategy for signet ring cell carcinoma of the stomach. BJS 2004, 91, 1319–1324. [Google Scholar] [CrossRef] [PubMed]
- Srivastava, S.; Reid, B.J.; Ghosh, S.; Kramer, B.S. Research Needs for Understanding the Biology of Overdiagnosis in Cancer Screening. J. Cell. Physiol. 2015, 231, 1870–1875. [Google Scholar] [CrossRef] [PubMed][Green Version]
- Esserman, L.J.; Thompson, I.M.; Reid, B.; Nelson, P.; Ransohoff, D.F.; Welch, H.G.; Hwang, S.; A Berry, D.; Kinzler, K.W.; Black, W.C.; et al. Addressing overdiagnosis and overtreatment in cancer: A prescription for change. Lancet Oncol. 2014, 15, e234–e242. [Google Scholar] [CrossRef]
- Welch, H.G.; Black, W.C. Overdiagnosis in Cancer. J. Natl. Cancer Inst. 2010, 102, 605–613. [Google Scholar] [CrossRef] [PubMed]



| Slow Growth (n = 60) | Rapid Growth (n = 54) | Univariate OR (95% CI) | p-Value | |
|---|---|---|---|---|
| Age, mean (SD), years | 72.4 (10.1) | 71.9 (7.8) | 0.99 (0.95–1.04) | 0.785 |
| Sex (female), n (%) | 28 (46.7) | 14 (25.9) | 0.40 (0.18–0.88) | 0.023 |
| BMI, mean (SD) | 22.9 (3.6) | 23.4 (3.6) | 1.04 (0.94–1.16) | 0.439 |
| Endoscopy interval, months, median (IQR) | 41 (29–64) | 16 (13–24) | 0.65 (0.52–0.81) | <0.001 |
| Family history of GC, n (%) | 1 (1.7) | 1 (1.9) | 1.11 (0.07–18.2) | 0.940 |
| History of endoscopic treatment, n (%) | 12 (20.0) | 20 (37.0) | 2.04 (0.89–4.66) | 0.092 |
| Location (lower part), n (%) | 38 (63.3) | 22 (40.7) | 0.40 (0.19–0.85) | 0.017 |
| Size, median (IQR), mm | 12 (5.3–15.8) | 10 (6.0–16.0) | 0.98 (0.95–1.02) | 0.274 |
| Macroscopic type, n (%) | ||||
| 0–I | 3 (5.0) | 0 | 0.246 † | |
| 0–IIa | 19 (31.7) | 14 (25.9) | 0.540 † | |
| 0–IIc | 32 (43.3) | 34 (57.4) | 0.345 † | |
| 0–IIa + IIc | 4 (6.7) | 1 (1.9) | 0.367 † | |
| Type 1 | 1 (1.7) | 0 | 1.000 † | |
| Type 2 | 0 | 4 (7.4) | 0.253 † | |
| Type 3 | 1 (1.7) | 0 | 1.000 † | |
| Type 4 | 0 | 0 | - | |
| Type 5 | 0 | 1 (1.9) | 0.473 † | |
| Histology (diffuse), n (%) | 6 (10.0) | 7 (13.0) | 1.34 (0.42–4.27) | 0.620 |
| H. pylori infection, n (%) | ||||
| Negative | 3 (5.0) | 0 (0.0) | - | - |
| Eradication | 44 (73.3) | 48 (88.9) | 1.00 | - |
| Positive | 13 (21.7) | 6 (11.1) | 0.42 (0.15–1.21) | 0.108 |
| PPI, n (%) | 29 (48.3) | 18 (33.3) | 0.53 (0.25–1.14) | 0.106 |
| Statin, n (%) | 23 (38.3) | 14 (25.9) | 0.56 (0.25–1.25) | 0.160 |
| Steroid, n (%) | 7 (11.7) | 10 (18.5) | 1.72(0.60–4.89) | 0.309 |
| Aspirin, n (%) | 8 (13.3) | 5 (9.3) | 0.66 (0.20–2.17) | 0.497 |
| NSAID, n (%) | 7 (11.7) | 2 (3.7) | 0.29 (0.06–1.47) | 0.135 |
| Slow Growth (n = 60) | Rapid Growth (n = 54) | Univariate OR (95% CI) | p-Value | |
|---|---|---|---|---|
| Atrophy (open), n (%) | 48 (80.0) | 46 (85.2) | 0.70 (0.26–1.86) | 0.469 |
| Xanthoma, n (%) | 22 (36.7) | 31 (57.4) | 2.33 (1.10–4.94) | 0.028 |
| Map-like redness, n (%) | 8 (13.3) | 15 (27.8) | 2.50 (0.96–6.49) | 0.060 |
| Intestinal metaplasia, n (%) | 51 (85.0) | 40 (74.1) | 0.50 (0.20–1.28) | 0.151 |
| Diffuse redness, n (%) | 11 (18.3) | 8 (14.8) | 0.77 (0.29–2.10) | 0.615 |
| Enlarged fold, n (%) | 2 (3.3) | 0 (0.0) | - | - |
| Nodularity, n (%) | 0 (0.0) | 0 (0.0) | - | - |
| Multivariate OR (95% CI) | p-Value | |
|---|---|---|
| Sex (female) | 0.49 (0.21–1.16) | 0.103 |
| Location (lower part) | 0.53 (0.24–1.20) | 0.129 |
| History of endoscopic treatment | 1.26 (0.50–3.14) | 0.627 |
| Xanthoma | 2.39 (1.06–5.39) | 0.037 |
| Map-like redness | 1.96 (0.69–5.54) | 0.207 |
Publisher’s Note: MDPI stays neutral with regard to jurisdictional claims in published maps and institutional affiliations. |
© 2021 by the authors. Licensee MDPI, Basel, Switzerland. This article is an open access article distributed under the terms and conditions of the Creative Commons Attribution (CC BY) license (https://creativecommons.org/licenses/by/4.0/).
Share and Cite
Miura, K.; Oshima, T.; Tamura, A.; Hara, K.; Okugawa, T.; Fukushima, M.; Tomita, T.; Fukui, H.; Miwa, H. Gastric Xanthoma Is Related to the Rapid Growth of Gastric Cancer. J. Clin. Med. 2021, 10, 5704. https://doi.org/10.3390/jcm10235704
Miura K, Oshima T, Tamura A, Hara K, Okugawa T, Fukushima M, Tomita T, Fukui H, Miwa H. Gastric Xanthoma Is Related to the Rapid Growth of Gastric Cancer. Journal of Clinical Medicine. 2021; 10(23):5704. https://doi.org/10.3390/jcm10235704
Chicago/Turabian StyleMiura, Ko, Tadayuki Oshima, Akio Tamura, Ken Hara, Takuya Okugawa, Masashi Fukushima, Toshihiko Tomita, Hirokazu Fukui, and Hiroto Miwa. 2021. "Gastric Xanthoma Is Related to the Rapid Growth of Gastric Cancer" Journal of Clinical Medicine 10, no. 23: 5704. https://doi.org/10.3390/jcm10235704
APA StyleMiura, K., Oshima, T., Tamura, A., Hara, K., Okugawa, T., Fukushima, M., Tomita, T., Fukui, H., & Miwa, H. (2021). Gastric Xanthoma Is Related to the Rapid Growth of Gastric Cancer. Journal of Clinical Medicine, 10(23), 5704. https://doi.org/10.3390/jcm10235704

