Radiological Cardiothoracic Ratio as a Potential Predictor of Right Ventricular Enlargement in Patients with Suspected Pulmonary Embolism Due to COVID-19
Abstract
1. Introduction
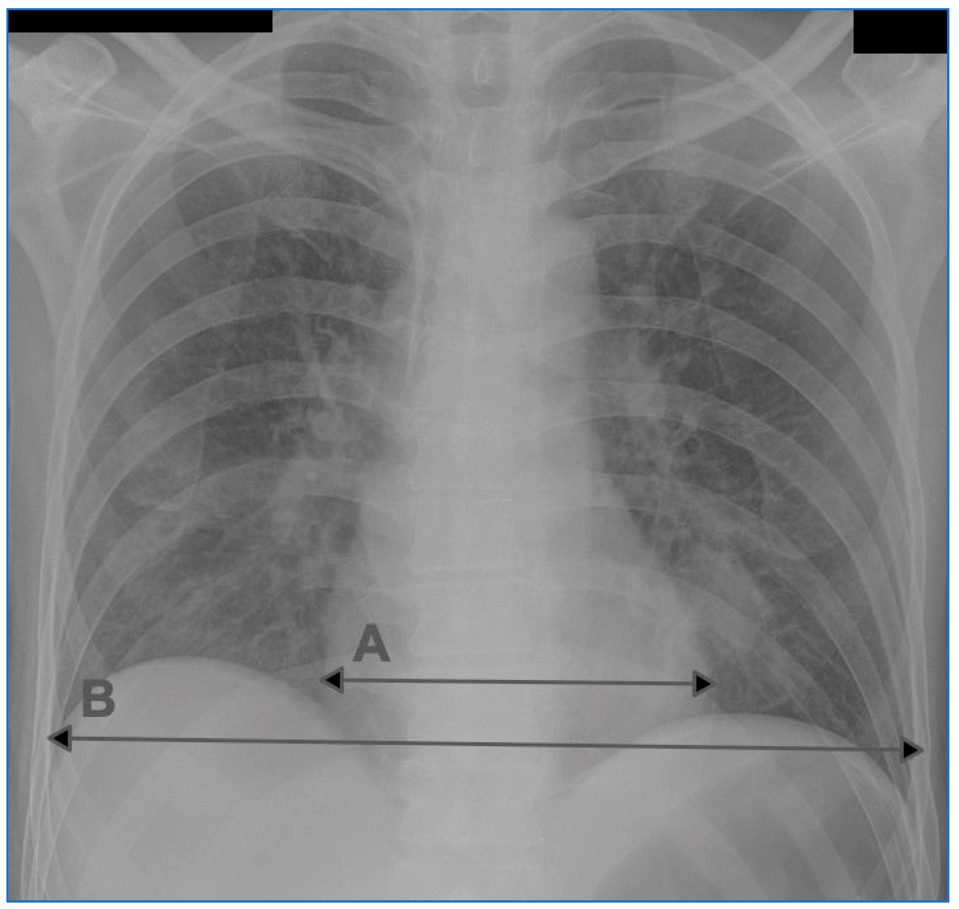
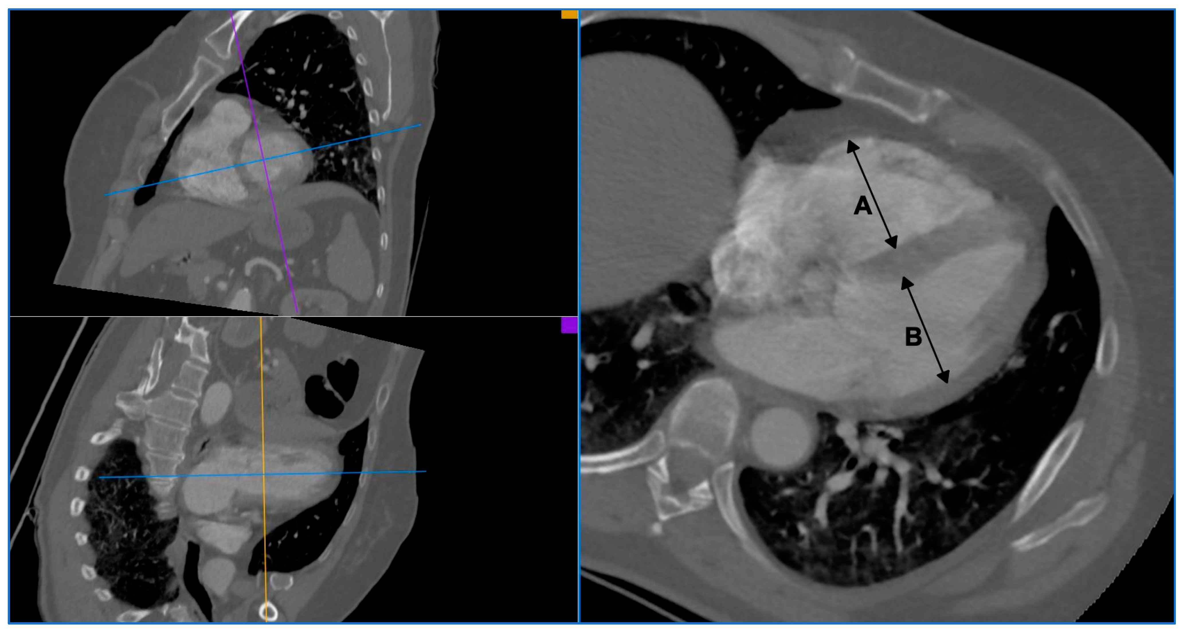
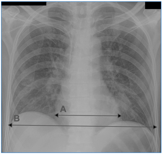
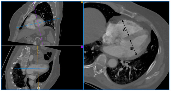
2. Materials and Methods
3. Results
4. Discussion
5. Conclusions
Author Contributions
Funding
Institutional Review Board Statement
Informed Consent Statement
Data Availability Statement
Conflicts of Interest
References
- Dong, E.; Du, H.; Gardner, L. An interactive web-based dashboard to track COVID-19 in real time. Lancet Infect. Dis. 2020, 20, 533–534. [Google Scholar] [CrossRef]
- Zhou, P.; Yang, X.L.; Wang, X.G.; Hu, B.; Zhang, L.; Zhang, W.; Si, H.R.; Zhu, Y.; Li, B.; Huang, C.L.; et al. A pneumonia outbreak associated with a new coronavirus of probable bat origin. Nature 2020, 579, 270–273. [Google Scholar] [CrossRef]
- Esakandari, H.; Nabi-Afjadi, M.; Fakkari-Afjadi, J.; Farahmandian, N.; Miresmaeili, S.M.; Bahreini, E. A comprehensive review of COVID-19 characteristics. Biol. Proced. Online 2020, 22, 19. [Google Scholar] [CrossRef]
- Shi, S.; Qin, M.; Shen, B.; Cai, Y.; Liu, T.; Yang, F.; Gong, W.; Liu, X.; Liang, J.; Zhao, Q.; et al. Association of Cardiac Injury With Mortality in Hospitalized Patients With COVID-19 in Wuhan, China. JAMA Cardiol. 2020, 5, 802–810. [Google Scholar] [CrossRef] [PubMed]
- Guo, T.; Fan, Y.; Chen, M.; Wu, X.; Zhang, L.; He, T.; Wang, H.; Wan, J.; Wang, X.; Lu, Z. Cardiovascular Implications of Fatal Outcomes of Patients with Coronavirus Disease 2019 (COVID-19). JAMA Cardiol. 2020, 5, 811–818. [Google Scholar] [CrossRef] [PubMed]
- Cascella, M.; Rajnik, M.; Aleem, A.; Dulebohn, S.C.; Di Napoli, R. Features, Evaluation, and Treatment of Coronavirus (COVID-19); StatPearls Publishing: Treasure Island, FL, USA, 2021. [Google Scholar]
- Böhm, M.; Frey, N.; Giannitsis, E.; Sliwa, K.; Zeiher, A.M. Coronavirus Disease 2019 (COVID-19) and its implications for cardiovascular care: Expert document from the German Cardiac Society and the World Heart Federation. Clin. Res. Cardiol. 2020, 109, 1446–1459. [Google Scholar] [CrossRef] [PubMed]
- Clerkin, K.J.; Fried, J.A.; Raikhelkar, J.; Sayer, G.; Griffin, J.M.; Masoumi, A.; Jain, S.S.; Burkhoff, D.; Kumaraiah, D.; Rabbani, L.; et al. COVID-19 and Cardiovascular Disease. Circulation 2020, 141, 1648–1655. [Google Scholar] [CrossRef]
- Bunce, P.E.; High, S.M.; Nadjafi, M.; Stanley, K.; Liles, W.C.; Christian, M.D. Pandemic H1N1 influenza infection and vascular thrombosis. Clinical infectious diseases: An official publication of the Infectious Diseases Society of America. Clin. Infect. Dis. 2011, 52, e14–e17. [Google Scholar] [CrossRef] [PubMed]
- Bompard, F.; Monnier, H.; Saab, I.; Tordjman, M.; Abdoul, H.; Fournier, L.; Sanchez, O.; Lorut, C.; Chassagnon, G.; Revel, M.P. Pulmonary embolism in patients with COVID-19 pneumonia. Eur. Respir. J. 2020, 56, 2001365. [Google Scholar] [CrossRef]
- Suh, Y.J.; Hong, H.; Ohana, M.; Bompard, F.; Revel, M.P.; Valle, C.; Gervaise, A.; Poissy, J.; Susen, S.; Hékimian, G.; et al. Pulmonary Embolism and Deep Vein Thrombosis in COVID-19: A Systematic Review and Meta-Analysis. Radiology 2021, 298, E70–E80. [Google Scholar] [CrossRef] [PubMed]
- Bĕlohlávek, J.; Dytrych, V.; Linhart, A. Pulmonary embolism, part I: Epidemiology, risk factors and risk stratification, pathophysiology, clinical presentation, diagnosis and nonthrombotic pulmonary embolism. Exp. Clin. Cardiol. 2013, 18, 129–138. [Google Scholar]
- Pengo, V.; Lensing, A.W.; Prins, M.H.; Marchiori, A.; Davidson, B.L.; Tiozzo, F.; Albanese, P.; Biasiolo, A.; Pegoraro, C.; Iliceto, S.; et al. Thromboembolic Pulmonary Hypertension Study Group Incidence of chronic thromboembolic pulmonary hypertension after pulmonary embolism. N. Engl. J. Med. 2004, 350, 2257–2264. [Google Scholar] [CrossRef] [PubMed]
- Bryce, Y.C.; Perez-Johnston, R.; Bryce, E.B.; Homayoon, B.; Santos-Martin, E.G. Pathophysiology of right ventricular failure in acute pulmonary embolism and chronic thromboembolic pulmonary hypertension: A pictorial essay for the interventional radiologist. Insights Imaging 2019, 10, 18. [Google Scholar] [CrossRef]
- Dandel, M.; Hetzer, R. Evaluation of the right ventricle by echocardiography: Particularities and major challenges. Expert Rev. Cardiovasc. Ther. 2018, 16, 259–275. [Google Scholar] [CrossRef] [PubMed]
- Kawel-Boehm, N.; Maceira, A.; Valsangiacomo-Buechel, E.R.; Vogel-Claussen, J.; Turkbey, E.B.; Williams, R.; Plein, S.; Tee, M.; Eng, J.; Bluemke, D.A. Normal values for cardiovascular magnetic resonance in adults and children. J. Soc. Cardiovasc. Magn. Reson. 2015, 17, 29. [Google Scholar] [CrossRef] [PubMed]
- Takx, R.A.; Moscariello, A.; Schoepf, U.J.; Barraza, J.M., Jr.; Nance, J.W., Jr.; Bastarrika, G.; Das, M.; Meyer, M.; Wildberger, J.E.; Schoenberg, S.O.; et al. Quantification of left and right ventricular function and myocardial mass: Comparison of low-radiation dose 2nd generation dual-source CT and cardiac MRI. Eur. J. Radiol. 2012, 81, e598–e604. [Google Scholar] [CrossRef]
- Stein, P.D.; Fowler, S.E.; Goodman, L.R.; Gottschalk, A.; Hales, C.A.; Hull, R.D.; Leeper, K.V., Jr.; Popovich, J., Jr.; Quinn, D.A.; Sos, T.A.; et al. PIOPED II Investigators Multidetector computed tomography for acute pulmonary embolism. N. Engl. J. Med. 2006, 354, 2317–2327. [Google Scholar] [CrossRef] [PubMed]
- Lu, M.T.; Demehri, S.; Cai, T.; Parast, L.; Hunsaker, A.R.; Goldhaber, S.Z.; Rybicki, F.J. Axial and reformatted four-chamber right ventricle-to-left ventricle diameter ratios on pulmonary CT angiography as predictors of death after acute pulmonary embolism. AJR Am. J. Roentgenol. 2012, 198, 1353–1360. [Google Scholar] [CrossRef]
- Becattini, C.; Agnelli, G.; Vedovati, M.C.; Pruszczyk, P.; Casazza, F.; Grifoni, S.; Salvi, A.; Bianchi, M.; Douma, R.; Konstantinides, S.; et al. Multidetector computed tomography for acute pulmonary embolism: Diagnosis and risk stratification in a single test. Eur. Heart J. 2011, 32, 1657–1663. [Google Scholar] [CrossRef]
- Konstantinides, S.V.; Meyer, G.; Becattini, C.; Bueno, H.; Geersing, G.J.; Harjola, V.P.; Huisman, M.V.; Humbert, M.; Jennings, C.S.; Jiménez, D.; et al. ESC Scientific Document Group 2019 ESC Guidelines for the diagnosis and management of acute pulmonary embolism developed in collaboration with the European Respiratory Society (ERS). Eur. Heart J. 2020, 41, 543–603. [Google Scholar] [CrossRef]
- Meinel, F.G.; Nance, J.W., Jr.; Schoepf, U.J.; Hoffmann, V.S.; Thierfelder, K.M.; Costello, P.; Goldhaber, S.Z.; Bamberg, F. Predictive Value of Computed Tomography in Acute Pulmonary Embolism: Systematic Review and Meta-analysis. Am. J. Med. 2015, 128, 747–759. [Google Scholar] [CrossRef] [PubMed]
- Danzer, C.S. The cardiothoracic ratio: An index of cardiac enlargement. Am. J. Med Sci. 1919, 157, 513–521. [Google Scholar] [CrossRef]
- Kearney, M.T.; Fox, K.A.; Lee, A.J.; Prescott, R.J.; Shah, A.M.; Batin, P.D.; Baig, W.; Lindsay, S.; Callahan, T.S.; Shell, W.E.; et al. Predicting death due to progressive heart failure in patients with mild-to-moderate chronic heart failure. J. Am. Coll. Cardiol. 2002, 40, 1801–1808. [Google Scholar] [CrossRef]
- Chon, S.B.; Oh, W.S.; Cho, J.H.; Kim, S.S.; Lee, S.J. Calculation of the cardiothoracic ratio from portable anteroposterior chest radiography. J. Korean Med. Sci. 2011, 26, 1446–1453. [Google Scholar] [CrossRef] [PubMed]
- Kabala, J.E.; Wilde, P. The measurement of heart size in the antero-posterior chest radiograph. Br. J. Radiol. 1987, 60, 981–986. [Google Scholar] [CrossRef] [PubMed]
- Ippolito, D.; Giandola, T.; Maino, C.; Pecorelli, A.; Capodaglio, C.; Ragusi, M.; Porta, M.; Gandola, D.; Masetto, A.; Drago, S.; et al. Acute pulmonary embolism in hospitalized patients with SARS-CoV-2-related pneumonia: Multicentric experience from Italian endemic area. La Radiol. Med. 2021, 126, 669–678. [Google Scholar] [CrossRef]
- Vlachou, M.; Drebes, A.; Candilio, L.; Weeraman, D.; Mir, N.; Murch, N.; Davies, N.; Coghlan, J.G. Pulmonary thrombosis in Covid-19: Before, during and after hospital admission. J. Thromb. Thrombolysis 2021, 51, 978–984. [Google Scholar] [CrossRef] [PubMed]
- Dimopoulos, K.; Giannakoulas, G.; Bendayan, I.; Liodakis, E.; Petraco, R.; Diller, G.P.; Piepoli, M.F.; Swan, L.; Mullen, M.; Best, N.; et al. Cardiothoracic ratio from postero-anterior chest radiographs: A simple, reproducible and independent marker of disease severity and outcome in adults with congenital heart disease. Int. J. Cardiol. 2013, 166, 453–457. [Google Scholar] [CrossRef]
- Hemingway, H.; Shipley, M.; Christie, D.; Marmot, M. Cardiothoracic ratio and relative heart volume as predictors of coronary heart disease mortality. The Whitehall study 25 year follow-up. Eur. Heart J. 1998, 19, 859–869. [Google Scholar] [CrossRef]
- Yotsueda, R.; Taniguchi, M.; Tanaka, S.; Eriguchi, M.; Fujisaki, K.; Torisu, K.; Masutani, K.; Hirakata, H.; Kitazono, T.; Tsuruya, K. Cardiothoracic Ratio and All-Cause Mortality and Cardiovascular Disease Events in Hemodialysis Patients: The Q-Cohort Study. Am. J. Kidney Dis. 2017, 70, 84–92. [Google Scholar] [CrossRef]
- Wanapirak, C.; Sirichotiyakul, S.; Luewan, S.; Srisupundit, K.; Tongprasert, F.; Tongsong, T. Appearance of Abnormal Cardiothoracic Ratio of Fetuses with Hemoglobin Bart’s Disease: Life Table Analysis. Auftreten einer abnormalen kardiothorakalen Ratio bei Feten mit Hämoglobin-Bart-Erkrankung: Eine Life-Table-Analyse. Ultraschall Med.-Eur. J. Ultrasound 2017, 38, 544–548. [Google Scholar] [CrossRef]
- Sahin, H.; Chowdhry, D.N.; Olsen, A.; Nemer, O.; Wahl, L. Is there any diagnostic value of anteroposterior chest radiography in predicting cardiac chamber enlargement? Int. J. Cardiovasc. Imaging 2019, 35, 195–206. [Google Scholar] [CrossRef] [PubMed]
- Eslami, V.; Abrishami, A.; Zarei, E.; Khalili, N.; Baharvand, Z.; Sanei-Taheri, M. The Association of CT-measured Cardiac Indices with Lung Involvement and Clinical Outcome in Patients with COVID-19. Acad. Radiol. 2021, 28, 8–17. [Google Scholar] [CrossRef] [PubMed]
- Miller, J.; Singer, A.; Hinrichs, C.; Contractor, S.; Doddakashi, S. Cardiac dimensions derived from helical CT: Correlation with plain film radiography. Internet J. Radiol. 1999, 1, 8223. [Google Scholar]
- Fukuta, H.; Ohte, N.; Brucks, S.; Carr, J.J.; Little, W.C. Contribution of right-sided heart enlargement to cardiomegaly on chest roentgenogram in diastolic and systolic heart failure. Am. J. Cardiol. 2007, 99, 62–67. [Google Scholar] [CrossRef] [PubMed]
- Spiewak, M.; Małek, L.A.; Biernacka, E.K.; Kowalski, M.; Michałowska, I.; Hoffman, P.; Miśko, J.; Demkow, M.; Rużyłło, W.; Marczak, M. Cardiothoracic ratio may be misleading in the assessment of right- and left-ventricular size in patients with repaired tetralogy of Fallot. Clin. Radiol. 2014, 69, e1–e8. [Google Scholar] [CrossRef]
- Grotenhuis, H.B.; Zhou, C.; Tomlinson, G.; Isaac, K.V.; Seed, M.; Grosse-Wortmann, L.; Yoo, S.J. Cardiothoracic ratio on chest radiograph in pediatric heart disease: How does it correlate with heart volumes at magnetic resonance imaging? Pediatric Radiol. 2015, 45, 1616–1623. [Google Scholar] [CrossRef] [PubMed]
- Davidson, A.; Krull, F.; Kallfelz, H.C. Cardiomegaly—what does it mean? A comparison of echocardiographic to radiological cardiac dimensions in children. Pediatric Cardiol. 1990, 11, 181–185. [Google Scholar] [CrossRef]
- Shivkumar, K.; Ravi, K.; Henry, J.W.; Eichenhorn, M.S.; Stein, P.D. Chest radiographs fail to detect right ventricular enlargement and right atrial enlargement in patients with a pure restrictive ventilatory impairment. Chest 1994, 106, 381–384. [Google Scholar] [CrossRef][Green Version]
- Biharas Monfared, A.; Agha Farajollah, S.; Sabour, F.; Farzanegan, R.; Taghdisi, S. Comparison of radiological findings of chest x-ray with echocardiography in determination of the heart size. Iran. Red. Crescent Med. J. 2015, 17, e18242. [Google Scholar] [CrossRef]




| X | SD | |
|---|---|---|
| age [years] | 67.18 | 12.47 |
| BMI [kg/m2] | 28.11 | 3.84 |
| % | n | |
| gender | ||
| men | 63.9 | 39 |
| women | 36.1 | 22 |
| age | ||
| <60 years | 16.4 | 10 |
| ≥60 years | 83.6 | 51 |
| body mass | ||
| normal | 22.9 | 14 |
| overweight | 50.8 | 31 |
| obesity | 26.2 | 16 |
| comorbidities | ||
| a history of myocardial infarction | 14.7 | 9 |
| a history of stroke | 13.1 | 8 |
| arterial hypertension | 24.6 | 15 |
| peripheral arterial disease | 9.8 | 6 |
| diabetes | 11.5 | 7 |
| a history of cancer | 13.1 | 8 |
| COPD | 14.7 | 9 |
| asthma | 4.9 | 3 |
| stomach and duodenal ulcers | 4.9 | 3 |
| chronic kidney disease | 3.3 | 2 |
| hypothyroidism/hyperthyroidism | 8.2 | 5 |
| osteoporosis | 13.1 | 8 |
| Differentiating Variable | Selection Criterion | Subgroup | Size of the Subgroup |
|---|---|---|---|
| age | median age (71 years) | A: ≥71 years B: <71 years | A: 33 B: 28 |
| BMI | upper limit of the normative value (25 kg/m2) | C: overweight/obesity (≥25 kg/m2) D: normal body mass (<25 kg/m2) | C: 47 D: 14 |
| gender | E: men F: women | E: 39 F: 22 | |
| enlargement of the heart silhouette | cardiothoracic ratio (CTR) on chest radiograph in antero-posterior projection > 0.55 | G: enlarged heart silhouette (CTR > 0.55) H: non-enlarged heart silhouette (CTR ≤ 0.55) | G: 37 H: 24 |
| enlargement of the right ventricle | right ventricle diameter to left ventricle diameter ratio (RV/LV) in CTA ≥ 0.9 | I: enlarged right ventricle (RV/LV ≥ 0.9) J: non-enlarged right ventricle (RV/LV < 0.9) | I: 27 J: 34 |
| right ventricle diameter to left ventricle diameter ratio (RV/LV) in CTA ≥ 1.0 | K: enlarged right ventricle (RV/LV ≥ 1.0) L: non-enlarged right ventricle (RV/LV < 1.0) | K: 18 L: 43 | |
| pulmonary embolism | presence of embolic material in pulmonary arteries on CTA | M: confirmed pulmonary embolism N: excluded pulmonary embolism | M: 28 N: 33 |
| X | SD | |
|---|---|---|
| C width [mm] | 189.10 | 27.61 |
| T width [mm] | 331.59 | 33.61 |
| CTR | 0.57 | 0.05 |
| RV diameter [mm] | 49.55 | 14.33 |
| LV diameter [mm] | 51.66 | 8.77 |
| RV/LV | 0.96 | 0.23 |
| % | n | |
| CTR > 0.55 | 60.6 | 37 |
| RV/LV ≥ 0.9 | 44.3 | 27 |
| RV/LV ≥ 1.0 | 29.5 | 18 |
| PE+ | 45.9 | 28 |
| A | Enlarged Heart Silhouette: CTR > 0.55 (Subgroup G, n = 37) | Non-Enlarged Heart Silhouette: CTR ≤ 0.55 (Subgroup H, n = 24) | p | ||
|---|---|---|---|---|---|
| X | SD | X | SD | ||
| RV diameter [mm] | 53.12 | 15.42 | 44.04 | 10.53 | 0.014 |
| LV diameter [mm] | 51.65 | 9.43 | 51.67 | 7.83 | 0.994 |
| RV/LV | 1.03 | 0.24 | 0.85 | 0.18 | 0.004 |
| % | n | % | n | ||
| RV/LV ≥ 0.9 | 59.5 | 22 | 20.8 | 5 | 0.003 |
| RV/LV ≥ 1.0 | 40.5 | 15 | 12.5 | 3 | 0.019 |
| PE+ | 54.0 | 20 | 33.3 | 8 | 0.057 |
| B | Enlarged Right Ventricle: RV/LV ≥ 0.9 (Subgroup I, n = 27) | Non-Enlarged Right Ventricle: RV/LV < 0.9 (Subgroup J, n = 34) | p | ||
| X | SD | X | SD | ||
| C width [mm] | 198.80 | 24.65 | 181.39 | 27.73 | 0.013 |
| T width [mm] | 333.56 | 31.60 | 330.03 | 35.51 | 0.688 |
| CTR | 0.60 | 0.05 | 0.55 | 0.04 | <0.001 |
| % | n | % | n | ||
| CTR > 0.55 | 81.5 | 22 | 44.1 | 15 | 0.003 |
| C | Enlarged Right Ventricle: RV/LV ≥ 1.0 (Subgroup K, n = 18) | Non-Enlarged Right Ventricle: RV/LV < 1.0 (Subgroup L, n = 43) | p | ||
| X | SD | X | SD | ||
| C width [mm] | 199.11 | 28.16 | 184.91 | 26.59 | 0.067 |
| T width [mm] | 332.00 | 31.56 | 331.42 | 34.79 | 0.951 |
| CTR | 0.60 | 0.06 | 0.56 | 0.04 | 0.003 |
| % | n | % | n | ||
| CTR > 0.55 | 83.3 | 15 | 51.2 | 22 | 0.019 * |
| D | Confirmed Pulmonary Embolism (Subgroup M, n = 28) | Excluded Pulmonary Embolism: (Subgroup N, n = 33) | p | ||
| X | SD | X | SD | ||
| C width [mm] | 199.49 | 26.06 | 176.85 | 24.53 | 0.001 |
| T width [mm] | 334.09 | 33.64 | 328.64 | 33.94 | 0.533 |
| CTR | 0.60 | 0.05 | 0.54 | 0.04 | <0.001 |
| RV diameter [mm] | 56.04 | 15.32 | 41.89 | 8.09 | <0.001 |
| LV diameter [mm] | 51.88 | 9.43 | 51.39 | 8.09 | 0.831 |
| RV/LV | 1.08 | 0.24 | 0.82 | 0.12 | <0.001 |
| % | n | % | n | ||
| CTR > 0.55 | 85.7 | 24 | 39.4 | 13 | 0.002 |
| RV/LV ≥ 0.9 | 57.1 | 16 | 33.3 | 11 | 0.062 |
| RV/LV ≥ 1.0 | 39.3 | 11 | 21.2 | 7 | 0.122 |
| Group/Subgroup | RV/LV vs. CTR Correlation | |
|---|---|---|
| Correlation Coefficient (r) | p | |
| whole study group | 0.59 | <0.001 |
| subgroup A: ≥71 years | 0.61 | <0.001 |
| subgroup B: <71 years | 0.55 | 0.002 |
| subgroup C: overweight/obesity (BMI ≥ 25 kg/m2) | 0.61 | <0.001 |
| subgroup D: normal body mass (BMI < 25 kg/m2) | 0.58 | 0.029 |
| subgroup E: men | 0.44 | 0.005 |
| subgroup F: women | 0.78 | <0.001 |
| subgroup G: enlarged heart silhouette (CTR > 0.55) | 0.52 | 0.001 |
| subgroup H: non-enlarged heart silhouette (CTR ≤ 0.55) | 0.42 | 0.039 |
| subgroup I: enlarged right ventricle (RV/LV ≥ 0.9) | 0.47 | 0.013 |
| subgroup J: non-enlarged right ventricle (RV/LV < 0.9) | 0.44 | 0.010 |
| subgroup K: enlarged right ventricle (RV/LV ≥ 1.0) | 0.67 | 0.002 |
| subgroup L: non-enlarged right ventricle (RV/LV < 1.0) | 0.56 | <0.001 |
| subgroup M: confirmed pulmonary embolism | 0.43 | 0.012 |
| subgroup N: excluded pulmonary embolism | 0.29 | 0.127 |
| A | Prediction of Right Ventricular Enlargement (RV/LV ≥ 0.9) | Prediction of Right Ventricular Enlargement (RV/LV ≥ 1.0) | ||
|---|---|---|---|---|
| CTR value that is the optimal cut-off point for prediction based on the ROC curve | >0.54 | >0.55 | ||
| sensitivity | 0.412 | 0.488 | ||
| specificity | 0.963 | 0.833 | ||
| accuracy | 0.656 | 0.590 | ||
| positive predictive value | 0.933 | 0.875 | ||
| negative predictive value | 0.565 | 0.405 | ||
| likelihood ratio of a positive result | 11.118 | 2.930 | ||
| likelihood ratio of a negative result | 0.611 | 0.614 | ||
| B | Subgroup A: ≥71 Years | Subgroup B: <71 Years | ||
| Prediction of Right Ventricular Enlargement (RV/LV ≥ 0.9) | Prediction of Right Ventricular Enlargement (RV/LV ≥ 1.0) | Prediction of Right Ventricular Enlargement (RV/LV ≥ 0.9) | Prediction of Right Ventricular Enlargement (RV/LV ≥ 1.0) | |
| CTR value that is the optimal cut-off point for prediction based on the ROC curve | >0.55 | >0.55 | >0.58 | >0.58 |
| sensitivity | 0.556 | 0.455 | 0.875 | 0.810 |
| specificity | 0.933 | 0.909 | 0.417 | 0.429 |
| accuracy | 0.727 | 0.606 | 0.679 | 0.714 |
| C | Subgroup C: Overweight/Obesity (BMI ≥ 25 kg/m2) | Subgroup D: Normal Body Mass (BMI < 25 kg/m2) | ||
| Prediction of Right Ventricular Enlargement (RV/LV ≥ 0.9) | Prediction of Right Ventricular Enlargement (RV/LV ≥ 1.0) | Prediction of Right Ventricular Enlargement (RV/LV ≥ 0.9) | Prediction of Right Ventricular Enlargement (RV/LV ≥ 1.0) | |
| CTR value that is the optimal cut-off point for prediction based on the ROC curve | >0.59 | >0.55 | >0.73 | >0.73 |
| sensitivity | 0.882 | 0.488 | 1.000 | 1.000 |
| specificity | 0.385 | 0.750 | 0.077 | 0.083 |
| accuracy | 0.745 | 0.511 | 0.143 | 0.214 |
| D | Subgroup E: Men | Subgroup F: Women | ||
| Prediction of Right Ventricular Enlargement (RV/LV ≥ 0.9) | Prediction of Right Ventricular Enlargement (RV/LV ≥ 1.0) | Prediction of Right Ventricular Enlargement (RV/LV ≥ 0.9) | Prediction of Right Ventricular Enlargement (RV/LV ≥ 1.0) | |
| CTR value that is the optimal cut-off point for prediction based on the ROC curve | >0.59 | >0.55 | >0.58 | >0.58 |
| sensitivity | 0.789 | 0.348 | 0.933 | 0.882 |
| specificity | 0.300 | 0.769 | 0.429 | 0.400 |
| accuracy | 0.538 | 0.487 | 0.773 | 0.773 |
| E | Subgroup M: Confirmed Pulmonary Embolism | Subgroup N: Excluded Pulmonary Embolism | ||
| Prediction of Right Ventricular Enlargement (RV/LV ≥ 0.9) | Prediction of Right Ventricular Enlargement (RV/LV ≥ 1.0) | Prediction of Right Ventricular Enlargement (RV/LV ≥ 0.9) | Prediction of Right Ventricular Enlargement (RV/LV ≥ 1.0) | |
| CTR value that is the optimal cut-off point for prediction based on the ROC curve | >0.62 | >0.72 | >0.54 | >0.55 |
| sensitivity | 0.917 | 1.000 | 0.591 | 0.731 |
| specificity | 0.238 | 0.125 | 0.833 | 0.500 |
| accuracy | 0.485 | 0.576 | 0.643 | 0.714 |
Publisher’s Note: MDPI stays neutral with regard to jurisdictional claims in published maps and institutional affiliations. |
© 2021 by the authors. Licensee MDPI, Basel, Switzerland. This article is an open access article distributed under the terms and conditions of the Creative Commons Attribution (CC BY) license (https://creativecommons.org/licenses/by/4.0/).
Share and Cite
Truszkiewicz, K.; Poręba, M.; Poręba, R.; Gać, P. Radiological Cardiothoracic Ratio as a Potential Predictor of Right Ventricular Enlargement in Patients with Suspected Pulmonary Embolism Due to COVID-19. J. Clin. Med. 2021, 10, 5703. https://doi.org/10.3390/jcm10235703
Truszkiewicz K, Poręba M, Poręba R, Gać P. Radiological Cardiothoracic Ratio as a Potential Predictor of Right Ventricular Enlargement in Patients with Suspected Pulmonary Embolism Due to COVID-19. Journal of Clinical Medicine. 2021; 10(23):5703. https://doi.org/10.3390/jcm10235703
Chicago/Turabian StyleTruszkiewicz, Krystian, Małgorzata Poręba, Rafał Poręba, and Paweł Gać. 2021. "Radiological Cardiothoracic Ratio as a Potential Predictor of Right Ventricular Enlargement in Patients with Suspected Pulmonary Embolism Due to COVID-19" Journal of Clinical Medicine 10, no. 23: 5703. https://doi.org/10.3390/jcm10235703
APA StyleTruszkiewicz, K., Poręba, M., Poręba, R., & Gać, P. (2021). Radiological Cardiothoracic Ratio as a Potential Predictor of Right Ventricular Enlargement in Patients with Suspected Pulmonary Embolism Due to COVID-19. Journal of Clinical Medicine, 10(23), 5703. https://doi.org/10.3390/jcm10235703

