Is Stem Revision Necessary for Vancouver B2 Periprosthetic Hip Fractures? Analysis of Osteosynthesis Results from 39 Cases
Abstract
1. Introduction
2. Materials and Methods
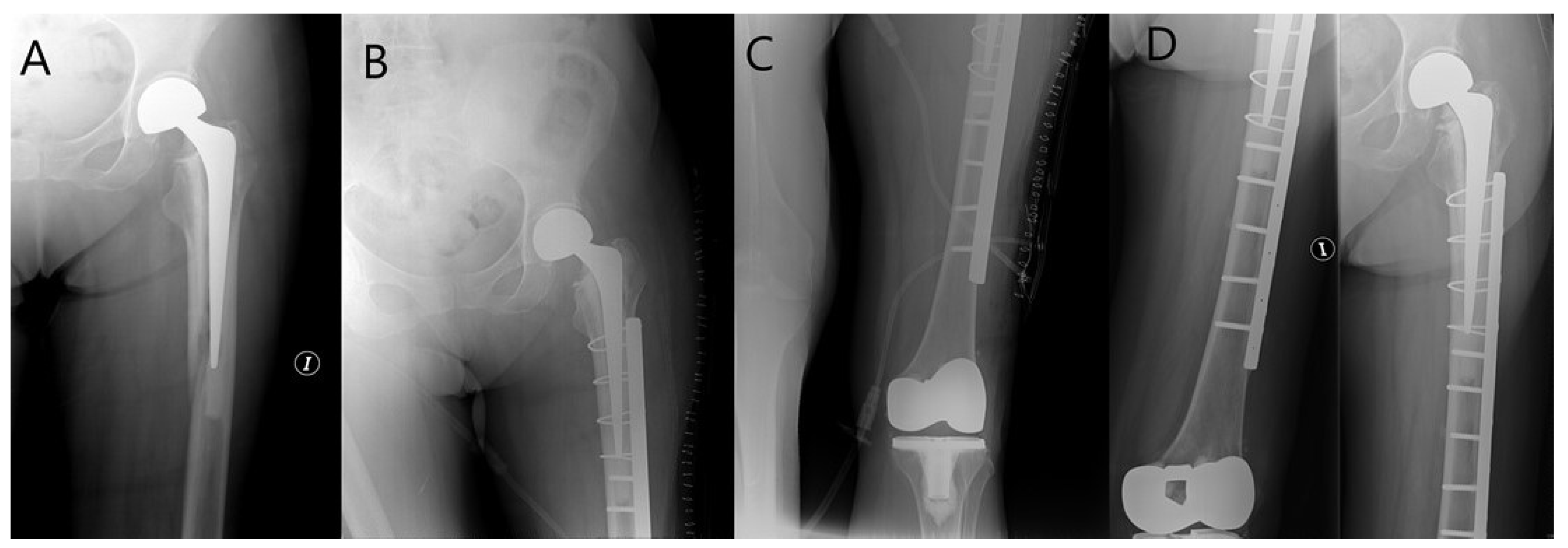
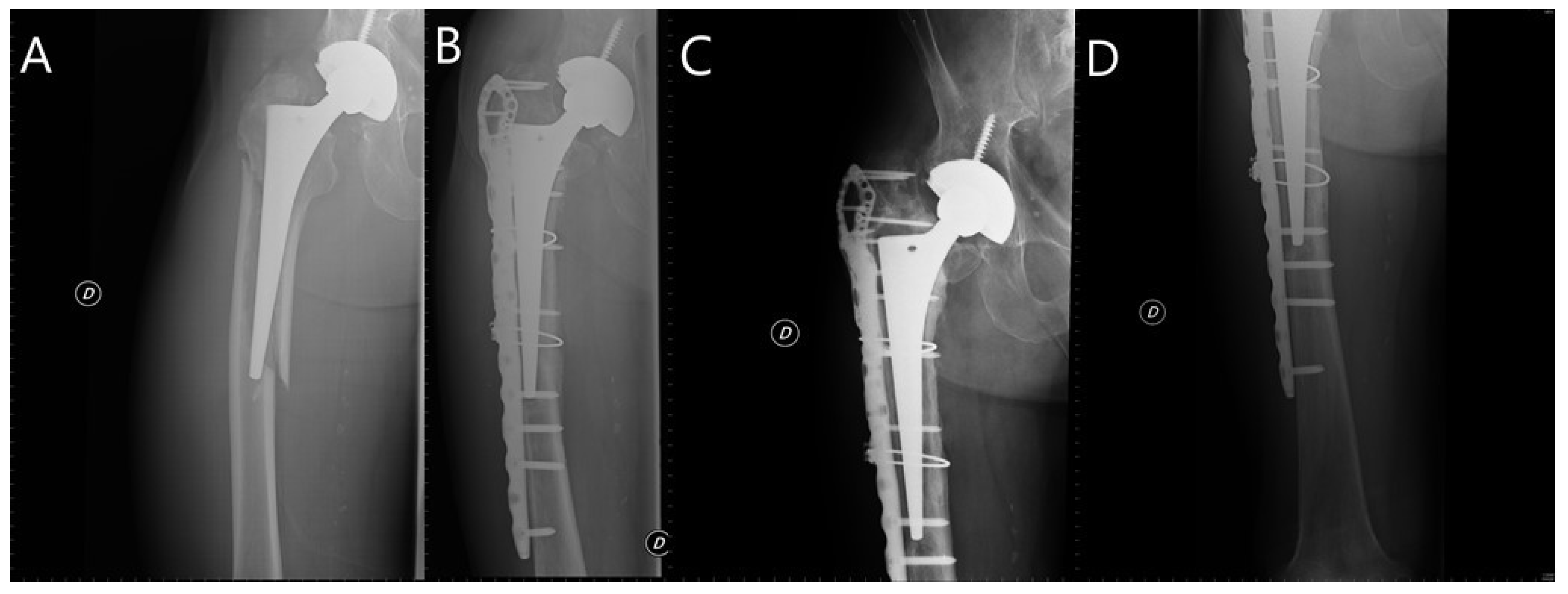
2.1. Surgical Technique:
2.2. Statistical Analysis
3. Results
4. Discussion
5. Conclusions
Author Contributions
Funding
Institutional Review Board Statement
Informed Consent Statement
Acknowledgments
Conflicts of Interest
References
- Lindahl, H.; Garellick, G.; Regnér, H.; Herberts, P.; Malchau, H. Three hundred and twenty-one periprosthetic femoral fractures. J. Bone Jt. Surg. Am. 2006, 88, 1215–1222. [Google Scholar] [CrossRef] [PubMed]
- Duncan, C.P.; Masri, B.A. Fractures of the femur after hip replacement. Instr. Course Lect. 1995, 44, 293–304. [Google Scholar] [PubMed]
- Stoffel, K.; Blauth, M.; Joeris, A.; Blumenthal, A.; Rometsch, E. Fracture fixation versus revision arthroplasty in Vancouver type B2 and B3 periprosthetic femoral fractures: A systematic review. Arch. Orthop. Trauma Surg. 2020, 140, 1381–1394. [Google Scholar] [CrossRef]
- Solomon, L.B.; Hussenbocus, S.M.; Carbone, T.A.; Callary, S.A.; Howie, D.W. Is internal fixation alone advantageous in selected B2 periprosthetic fractures? ANZ J. Surg. 2015, 85, 169–173. [Google Scholar] [CrossRef] [PubMed]
- Quah, C.; Porteous, M.; Stephen, A. Principles of managing Vancouver type B periprosthetic fractures around cemented polished tapered femoral stems. Eur. J. Orthop. Surg. Traumatol. 2017, 27, 477–482. [Google Scholar] [CrossRef] [PubMed]
- Lunebourg, A.; Mouhsine, E.; Cherix, S.; Ollivier, M.; Chevalley, F.; Wettstein, M. Treatment of type B periprosthetic femur fractures with curved non-locking plate with eccentric holes: Retrospective study of 43 patients with minimum 1-year follow-up. Orthop. Traumatol. Surg. Res. 2015, 101, 277–282. [Google Scholar] [CrossRef]
- Baum, C.; Leimbacher, M.; Kriechling, P.; Platz, A.; Cadosch, D. Treatment of Periprosthetic Femoral Fractures Vancouver Type B2: Revision Arthroplasty Versus Open Reduction and Internal Fixation with Locking Compression Plate. Geriatr. Orthop. Surg. Rehabil. 2019, 10, 2151459319876859. [Google Scholar] [CrossRef]
- Joestl, J.; Hofbauer, M.; Lang, N.; Tiefenboeck, T.; Hajdu, S. Locking compression plate versus revision-prosthesis for Vancouver type B2 periprosthetic femoral fractures after total hip arthroplasty. Injury 2016, 47, 939–943. [Google Scholar] [CrossRef]
- Spina, M.; Rocca, G.; Canella, A.; Scalvi, A. Causes of failure in periprosthetic fractures of the hip at 1- to 14-year follow-up. Injury 2014, 45 (Suppl. 6), S85–S92. [Google Scholar] [CrossRef]
- Zuurmond, R.G.; van Wijhe, W.; van Raay, J.J.; Bulstra, S.K. High incidence of complications and poor clinical outcome in the operative treatment of periprosthetic femoral fractures: An analysis of 71 cases. Injury 2010, 41, 629–633. [Google Scholar] [CrossRef]
- González-Martín, D.; Pais-Brito, J.L.; González-Casamayor, S.; Guerra-Ferraz, A.; Martín-Vélez, P.; Herrera-Pérez, M. Periprosthetic Hip Fractures With a Loose Stem: Open Reduction and Internal Fixation Versus Stem Revision. J. Arthroplast. 2021, 36, 3318–3325. [Google Scholar] [CrossRef]
- Parker, M.J.; Palmer, C.R. A new mobility score for predicting mortality after hip fracture. J. Bone Jt. Surg. Br. 1993, 75, 797–798. [Google Scholar] [CrossRef] [PubMed]
- Murray, D.W.; Fitzpatrick, R.; Rogers, K.; Pandit, H.; Beard, D.J.; Carr, A.J.; Dawson, J. The use of the Oxford hip and knee scores. J. Bone Jt. Surg Br. 2007, 89, 1010–1014. [Google Scholar] [CrossRef] [PubMed]
- Charlson, M.E.; Pompei, P.; Ales, K.L.; MacKenzie, C.R. A new method of classifying prognostic comorbidity in longitudinal studies: Development and validation. J. Chronic Dis. 1987, 40, 373–783. [Google Scholar] [CrossRef]
- Owens, W.D.; Felts, J.A.; Spitznagel, E.L., Jr. ASA physical status classifications: A study of consistency of ratings. Anesthesiology 1978, 49, 239–243. [Google Scholar] [CrossRef]
- Harris, W.H.; McCarthy, J.C., Jr.; O’Neill, D.A. Femoral component loosening using contemporary techniques of femoral cement fixation. J. Bone Jt. Surg. Am. 1982, 64, 1063–1067. [Google Scholar] [CrossRef]
- Naqvi, G.A.; Baig, S.A.; Awan, N. Interobserver and intraobserver reliability and validity of the Vancouver classification system of periprosthetic femoral fractures after hip arthroplasty. J. Arthroplast. 2012, 27, 1047–1050. [Google Scholar] [CrossRef]
- Lee, S.; Kagan, R.; Wang, L.; Doung, Y.C. Reliability and Validity of the Vancouver Classification in Periprosthetic Fractures Around Cementless Femoral Stems. J. Arthroplast. 2019, 34, S277–S281. [Google Scholar] [CrossRef]
- Haasper, C.; Enayatollahi, M.A.; Gehrke, T. Treatment of Vancouver type B2 periprosthetic femoral fractures. Int. Orthop. 2015, 39, 1989–1993. [Google Scholar] [CrossRef]
- González-Martín, D.; Pais-Brito, J.L.; González-Casamayor, S.; Guerra-Ferraz, A.; Ojeda-Jiménez, J.; Herrera-Pérez, M. New Sub-Classification of Vancouver B2 Periprosthetic Hip Fractures According to Fracture Pattern. Injury 2021. [Google Scholar] [CrossRef]
- Gitajn, I.L.; Heng, M.; Weaver, M.J.; Casemyr, N.; May, C.; Vrahas, M.S.; Harris, M.B. Mortality Following Surgical Management of Vancouver B Periprosthetic Fractures. J. Orthop. Trauma 2017, 31, 9–14. [Google Scholar] [CrossRef]
- Khan, T.; Grindlay, D.; Ollivere, B.J.; Scammell, B.E.; Manktelow, A.R.; Pearson, R.G. A systematic review of Vancouver B2 and B3 periprosthetic femoral fractures. Bone Jt. J. 2017, 99 (4 Suppl B), 17–25. [Google Scholar] [CrossRef] [PubMed]
- Smitham, P.J.; Carbone, T.A.; Bolam, S.M.; Kim, Y.S.; Callary, S.A.; Costi, K.; Howie, D.W.; Munro, J.T.; Solomon, L.B. Vancouver B2 Peri-Prosthetic Fractures in Cemented Femoral Implants can be Treated With Open Reduction and Internal Fixation Alone Without Revision. J. Arthroplast. 2019, 34, 1430–1434. [Google Scholar] [CrossRef] [PubMed]
- Moreta, J.; Aguirre, U.; de Ugarte, O.S.; Jáuregui, I.; Mozos, J.L. Functional and radiological outcome of periprosthetic femoral fractures after hip arthroplasty. Injury 2015, 46, 292–298. [Google Scholar] [CrossRef] [PubMed]
- García-Rey, E.; García-Cimbrelo, E.; Cruz-Pardos, A.; Madero, R. Increase of cortical bone after a cementless long stem in periprosthetic fractures. Clin. Orthop. Relat. Res. 2013, 471, 3912–3921. [Google Scholar] [CrossRef][Green Version]
- Zheng, L.; Lee, W.Y.; Hwang, D.S.; Kang, C.; Noh, C.K. Could patient Underwent surgical treatment for periprosthetic femoral fracture after hip arthroplasty return to their status before trauma? Hip Pelvis 2016, 28, 90–97. [Google Scholar] [CrossRef]
- Füchtmeier, B.; Galler, M.; Müller, F. Mid-Term Results of 121 Periprosthetic Femoral Fractures: Increased Failure and Mortality Within but not After One Postoperative Year. J. Arthroplast. 2015, 30, 669–674. [Google Scholar] [CrossRef] [PubMed]
- Giannoudis, P.V.; Kanakaris, N.K.; Tsiridis, E. Principles of internal fixation and selection of implants for periprosthetic femoral fractures. Injury 2007, 38, 669–687. [Google Scholar] [CrossRef]


| Medium to Long-Term Follow-up | |
|---|---|
| 1 year (n= 39) | |
| Death within the first year | 15.4% (6/39) |
| Radiological consolidation | Yes 29 (93.5%); No 2 (6.5%) (8 losses) |
| Consolidation time | 92.93 days (R 40–166; SD 30.4) |
| 3 years (n = 39) | |
| Average follow-up time | 1174 (3.2 years) (R 26–3145; SD 781) |
| Implant complications | 12.8% (5/39) |
| Patient complications | 17.9% (7/39) |
| Need for reintervention | 15.3% (6/39) - Convert ORIF → Revision (5.1% (2/39)) - Lavage and debridement (10.2% (4/39)) |
| 5 years (n = 25) * | |
| Average follow-up time | 1883 days (5.16 years) (R 556–3811; SD 980) |
| Death in the current review | 33.3% (13/39) |
| Prior Parker mobility test | 5.84 (R 0–9; SD 2) |
| Current Parker mobility test | 4.92 (R 0–9; SD 2) |
| Current OHS | 26.76 (R 10–41; SD 7.3) |
| N | Age | Sex | Impl. | Implanted material | Implant Complication | Medical complication | Reinterv. |
|---|---|---|---|---|---|---|---|
| 1 | 68 | F | HR | NCB plate (Zimmer) | Loosening | Yes | |
| 2 | 72 | M | HR | NCB plate (Zimmer) | No | ||
| 3 | 78 | F | HR | NCB plate (Zimmer) | No | ||
| 4 | 90 | F | HR | NCB plate (Zimmer) | No | ||
| 5 | 81 | F | HR | NCB plate (Zimmer) | No | ||
| 6 | 89 | F | HR | NCB plate (Zimmer) | No | ||
| 7 | 73 | F | HR | NCB plate (Zimmer) | No | ||
| 8 | 84 | M | HR | NCB plate (Zimmer) | No | ||
| 9 | 85 | F | HR | NCB plate (Zimmer) | No | ||
| 10 | 83 | F | HR | NCB plate (Zimmer) | Loosening | No | |
| 11 | 85 | F | HR | NCB plate (Zimmer) | Wound infection | Yes | |
| 12 | 84 | F | HR | NCB plate (Zimmer) | Malunion | No | |
| 13 | 89 | F | HR | NCB plate (Zimmer) | No | ||
| 14 | 92 | M | HR | NCB plate (Zimmer) | No | ||
| 15 | 86 | M | HR | NCB plate (Zimmer) | Acute cholecystitis | No | |
| 16 | 84 | F | HR | NCB plate (Zimmer) | Wound infection | No | |
| 17 | 87 | M | HR | NCB plate (Zimmer) | Pneumonia | No | |
| 18 | 88 | M | HA | NCB plate (Zimmer) | No | ||
| 19 | 80 | F | HR | NCB plate (Zimmer) | No | ||
| 20 | 82 | F | HA | NCB plate (Zimmer) | Wound infection | Yes | |
| 21 | 45 | M | HR | NCB plate (Zimmer) | Loosening | No | |
| 22 | 59 | M | HR | NCB plate (Zimmer) | No | ||
| 23 | 73 | F | HR | Double LCP plate (Synthes) | No | ||
| 24 | 86 | F | HR | LCP plate (Synthes) | No | ||
| 25 | 84 | M | HR | LCP plate (Synthes) | No | ||
| 26 | 80 | F | HR | LCP plate (Synthes) | No | ||
| 27 | 60 | M | HR | Dall-Miles plate (Stryker) | Loosening | Yes | |
| 28 | 89 | F | HA | Dall-Miles plate (Stryker) | No | ||
| 29 | 67 | F | HR | Cable-ready plate (Zimmer) | Wound infection | Yes | |
| 30 | 84 | F | HR | Cable-ready plate (Zimmer) | No | ||
| 31 | 78 | M | HR | Cable-ready plate (Zimmer) | No | ||
| 32 | 63 | F | HR | Cable-ready plate (Zimmer) | Pneumonia | Yes | |
| 33 | 80 | F | HR | Cable-ready plate (Zimmer) | No | ||
| 34 | 77 | F | HA | Cable-ready plate (Zimmer) | No | ||
| 35 | 90 | M | HR | Cerclage | No | ||
| 36 | 74 | M | HR | Cerclage | No | ||
| 37 | 77 | F | HR | Cerclage | No | ||
| 38 | 83 | F | HR | Cerclage | No | ||
| 39 | 65 | M | HR | Cerclage | No |
Publisher’s Note: MDPI stays neutral with regard to jurisdictional claims in published maps and institutional affiliations. |
© 2021 by the authors. Licensee MDPI, Basel, Switzerland. This article is an open access article distributed under the terms and conditions of the Creative Commons Attribution (CC BY) license (https://creativecommons.org/licenses/by/4.0/).
Share and Cite
González-Martín, D.; González-Casamayor, S.; Herrera-Pérez, M.; Guerra-Ferraz, A.; Ojeda-Jiménez, J.; Pais-Brito, J.L. Is Stem Revision Necessary for Vancouver B2 Periprosthetic Hip Fractures? Analysis of Osteosynthesis Results from 39 Cases. J. Clin. Med. 2021, 10, 5288. https://doi.org/10.3390/jcm10225288
González-Martín D, González-Casamayor S, Herrera-Pérez M, Guerra-Ferraz A, Ojeda-Jiménez J, Pais-Brito JL. Is Stem Revision Necessary for Vancouver B2 Periprosthetic Hip Fractures? Analysis of Osteosynthesis Results from 39 Cases. Journal of Clinical Medicine. 2021; 10(22):5288. https://doi.org/10.3390/jcm10225288
Chicago/Turabian StyleGonzález-Martín, David, Sergio González-Casamayor, Mario Herrera-Pérez, Ayron Guerra-Ferraz, Jorge Ojeda-Jiménez, and José Luis Pais-Brito. 2021. "Is Stem Revision Necessary for Vancouver B2 Periprosthetic Hip Fractures? Analysis of Osteosynthesis Results from 39 Cases" Journal of Clinical Medicine 10, no. 22: 5288. https://doi.org/10.3390/jcm10225288
APA StyleGonzález-Martín, D., González-Casamayor, S., Herrera-Pérez, M., Guerra-Ferraz, A., Ojeda-Jiménez, J., & Pais-Brito, J. L. (2021). Is Stem Revision Necessary for Vancouver B2 Periprosthetic Hip Fractures? Analysis of Osteosynthesis Results from 39 Cases. Journal of Clinical Medicine, 10(22), 5288. https://doi.org/10.3390/jcm10225288

