Fertility Preservation: How to Preserve Ovarian Function in Children, Adolescents and Adults
Abstract
1. Introduction
2. Embryo and Oocyte Cryopreservation
2.1. Disease-Specific Limitations
2.2. In Vitro Maturation of Oocytes
2.3. Combined Ovarian Stimulation and Removal of Ovarian Tissue
3. Ovarian Tissue Cryopreservation
3.1. Selection Criteria
3.2. Ovarian Tissue Retrieval and Freezing
3.3. Immature Oocyte Collection during Ovarian Tissue Preparation
3.4. Ovarian Tissue Reimplantation
4. How to Preserve Fertility in Children and Adolescents
4.1. OTC in Children and Adolescents
4.2. Autotransplantation of Cryopreserved Ovarian Cortex from Patients Aged 18 and Under
4.3. Mature Oocyte Cryopreservation after Controlled Ovarian Stimulation
4.4. Use of Cryopreserved Oocytes before the Age of 18
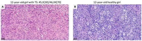
4.5. Fertility Preservation in Turner Syndrome
5. Conclusions
Author Contributions
Funding
Data Availability Statement
Acknowledgments
Conflicts of Interest
References
- Donnez, J.; Dolmans, M.M. Fertility preservation in women. N. Engl. J. Med. 2017, 377, 1657–1665. [Google Scholar] [CrossRef] [PubMed]
- Wallace, W.H.; Anderson, R.A.; Irvine, D.S. Fertility preservation for young patients with cancer: Who is at risk and what can be offered? Lancet Oncol. 2005, 6, 209–218. [Google Scholar] [CrossRef]
- Jadoul, P.; Anckaert, E.; Dewandeleer, A.; Steffens, M.; Dolmans, M.M.; Vermylen, C.; Smitz, J.; Donnez, J.; Maiter, D. Clinical and biologic evaluation of ovarian function in women treated by bone marrow transplantation for various indications during childhood or adolescence. Fertil. Steril. 2011, 96, 126–133. [Google Scholar] [CrossRef]
- Poirot, C.; Brugieres, L.; Yakouben, K.; Prades-Borio, M.; Marzouk, F.; de Lambert, G.; Pacquement, H.; Bernaudin, F.; Neven, B.; Paye-Jaouen, A.; et al. Ovarian tissue cryopreservation for fertility preservation in 418 girls and adolescents up to 15 years of age facing highly gonadotoxic treatment. Twenty years of experience at a single center. Acta Obstet. Gynecol. Scand. 2019, 98, 630–637. [Google Scholar] [CrossRef]
- De Vos, M.; Devroey, P.; Fauser, B.C. Primary ovarian insufficiency. Lancet 2010, 376, 911–921. [Google Scholar] [CrossRef]
- Dolmans, M.M. Recent advances in fertility preservation and counseling for female cancer patients. Expert Rev. Anticancer Ther. 2018, 18, 115–120. [Google Scholar] [CrossRef] [PubMed]
- Mishra, S.R.; Chung, H.F.; Waller, M.; Mishra, G.D. Duration of estrogen exposure during reproductive years, age at menarche and age at menopause, and risk of cardiovascular disease events, all-cause and cardiovascular mortality: A systematic review and meta-analysis. BJOG 2021, 128, 809–821. [Google Scholar] [CrossRef]
- Letourneau, J.M.; Ebbel, E.E.; Katz, P.P.; Katz, A.; Ai, W.Z.; Chien, A.J.; Melisko, M.E.; Cedars, M.I.; Rosen, M.P. Pretreatment fertility counseling and fertility preservation improve quality of life in reproductive age women with cancer. Cancer 2012, 118, 1710–1717. [Google Scholar] [CrossRef]
- Dolmans, M.M.; Donnez, J.; Cacciottola, L. Fertility Preservation: The Challenge of Freezing and Transplanting Ovarian Tissue. Trends Mol. Med. 2020, 27, 777–791. [Google Scholar] [CrossRef] [PubMed]
- Rienzi, L.; Ubaldi, F.M. Oocyte versus embryo cryopreservation for fertility preservation in cancer patients: Guaranteeing a women’s autonomy. J. Assist. Reprod. Genet. 2015, 32, 1195–1196. [Google Scholar] [CrossRef]
- Cobo, A.; García-Velasco, J.A.; Remohí, J.; Pellicer, A. Oocyte vitrification for fertility preservation for both medical and nonmedical reasons. Fertil. Steril. 2021, 115, 1091–1101. [Google Scholar] [CrossRef]
- von Wolff, M.; Bruckner, T.; Strowitzki, T.; Germeyer, A. Fertility preservation: Ovarian response to freeze oocytes is not affected by different malignant diseases-an analysis of 992 stimulations. J. Assist. Reprod. Genet. 2018, 35, 1713–1719. [Google Scholar] [CrossRef]
- Lambertini, M.; Goldrat, O.; Ferreira, A.R.; Dechene, J.; Azim, H.A., Jr.; Desir, J.; Delbaere, A.; t’Kint de Roodenbeke, M.D.; de Azambuja, E.; Ignatiadis, M.; et al. Reproductive potential and performance of fertility preservation strategies in BRCA-mutated breast cancer patients. Ann. Oncol. 2018, 29, 237–243. [Google Scholar] [CrossRef] [PubMed]
- Cobo, A.; García-Velasco, J.; Domingo, J.; Pellicer, A.; Remohí, J. Elective and Onco-fertility preservation: Factors related to IVF outcomes. Hum. Reprod. 2018, 33, 2222–2231. [Google Scholar] [CrossRef] [PubMed]
- von Wolff, M.; Thaler, C.J.; Frambach, T.; Zeeb, C.; Lawrenz, B.; Popovici, R.M.; Strowitzki, T. Ovarian stimulation to cryopreserve fertilized oocytes in cancer patients can be started in the luteal phase. Fertil. Steril. 2009, 92, 1360–1365. [Google Scholar] [CrossRef] [PubMed]
- Cakmak, H.; Katz, A.; Cedars, M.I.; Rosen, M.P. Effective method for emergency fertility preservation: Random-start controlled ovarian stimulation. Fertil. Steril. 2013, 100, 1673–1680. [Google Scholar] [CrossRef] [PubMed]
- Cobo, A.; García-Velasco, J.A.; Coello, A.; Domingo, J.; Pellicer, A.; Remohí, J. Oocyte vitrification as an efficient option for elective fertility preservation. Fertil. Steril. 2016, 105, 755–764.e8. [Google Scholar] [CrossRef]
- Doyle, J.O.; Richter, K.S.; Lim, J.; Stillman, R.J.; Graham, J.R.; Tucker, M.J. Successful elective and medically indicated oocyte vitrification and warming for autologous in vitro fertilization, with predicted birth probabilities for fertility preservation according to number of cryopreserved oocytes and age at retrieval. Fertil. Steril. 2016, 105, 459–466.e2. [Google Scholar] [CrossRef]
- Ubaldi, F.M.; Capalbo, A.; Vaiarelli, A.; Cimadomo, D.; Colamaria, S.; Alviggi, C.; Trabucco, E.; Venturella, R.; Vajta, G.; Rienzi, L. Follicular versus luteal phase ovarian stimulation during the same menstrual cycle (DuoStim) in a reduced ovarian reserve population results in a similar euploid blastocyst formation rate: New insight in ovarian reserve exploitation. Fertil. Steril. 2016, 105, 1488–1495.e1. [Google Scholar] [CrossRef]
- Tsampras, N.; Gould, D.; Fitzgerald, C.T. Double ovarian stimulation (DuoStim) protocol for fertility preservation in female oncology patients. Hum. Fertil. (Camb.) 2017, 20, 248–253. [Google Scholar] [CrossRef]
- Wald, K.; Cakmak, H.; Mok-Lin, E.; Cedars, M.; Rosen, M.; Letourneau, J. Back-to-back random-start ovarian stimulation prior to chemotherapy to maximize oocyte yield. J. Assist. Reprod. Genet. 2019, 36, 1161–1168. [Google Scholar] [CrossRef]
- Polat, M.; Mumusoglu, S.; Yarali Ozbek, I.; Bozdag, G.; Yarali, H. Double or dual stimulation in poor ovarian responders: Where do we stand? Ther. Adv. Reprod. Health 2021, 15, 26334941211024172. [Google Scholar] [CrossRef] [PubMed]
- Rothé, F.; Lambertini, M.; Goldrat, O.; Maetens, M.; Bareche, Y.; Blanc, J.; Rouas, G.; Larsimont, D.; Sotiriou, C.; Ignatiadis, M.; et al. Circulating Tumor DNA to Interrogate the Safety of Letrozole-Associated Controlled Ovarian Stimulation for Fertility Preservation in Breast Cancer Patients. Front. Oncol. 2021, 11, 686625. [Google Scholar] [CrossRef] [PubMed]
- Shulman, Y.; Almog, B.; Kalma, Y.; Fouks, Y.; Azem, F.; Cohen, Y. Effects of letrozole or tamoxifen coadministered with a standard stimulation protocol on fertility preservation among breast cancer patients. J. Assist. Reprod. Genet. 2021, 38, 743–750. [Google Scholar] [CrossRef] [PubMed]
- Cobo, A.; Giles, J.; Paolelli, S.; Pellicer, A.; Remohí, J.; García-Velasco, J.A. Oocyte vitrification for fertility preservation in women with endometriosis: An observational study. Fertil. Steril. 2020, 113, 836–844. [Google Scholar] [CrossRef]
- Rodriguez-Wallberg, K.A.; Hao, X.; Marklund, A.; Johansen, G.; Borgström, B.; Lundberg, F.E. Hot Topics on Fertility Preservation for Women and Girls-Current Research, Knowledge Gaps, and Future Possibilities. J. Clin. Med. 2021, 10, 1650. [Google Scholar] [CrossRef]
- Oktay, K.; Buyuk, E.; Rodriguez-Wallberg, K.A.; Sahin, G. In vitro maturation improves oocyte or embryo cryopreservation outcome in breast cancer patients undergoing ovarian stimulation for fertility preservation. Reprod. Biomed. Online 2010, 20, 634–638. [Google Scholar] [CrossRef]
- Mayeur, A.; Puy, V.; Windal, V.; Hesters, L.; Gallot, V.; Benoit, A.; Grynberg, M.; Sonigo, C.; Frydman, N. Live birth rate after use of cryopreserved oocytes or embryos at the time of cancer diagnosis in female survivors: A retrospective study of ten years of experience. J. Assist. Reprod. Genet. 2021, 38, 1767–1775. [Google Scholar] [CrossRef] [PubMed]
- Dolmans, M.M.; Marotta, M.L.; Pirard, C.; Donnez, J.; Donnez, O. Ovarian tissue cryopreservation followed by controlled ovarian stimulation and pick-up of mature oocytes does not impair the number or quality of retrieved oocytes. J. Ovarian Res. 2014, 7, 80. [Google Scholar] [CrossRef]
- von Wolff, M.; Germeyer, A.; Liebenthron, J.; Korell, M.; Nawroth, F. Practical recommendations for fertility preservation in women by the FertiPROTEKT network. Part II: Fertility preservation techniques. Arch. Gynecol. Obstet. 2018, 297, 257–267. [Google Scholar] [CrossRef]
- Donnez, J.; Dolmans, M.M. Fertility preservation in women. Nat. Rev. Endocrinol. 2013, 9, 735–749. [Google Scholar] [CrossRef] [PubMed]
- Dolmans, M.M.; Donnez, J. Fertility preservation in women for medical and social reasons: Oocytes vs ovarian tissue. Best Pract. Res. Clin. Obstet. Gynaecol. 2021, 70, 63–80. [Google Scholar] [CrossRef] [PubMed]
- Wallace, W.H.; Smith, A.G.; Kelsey, T.W.; Edgar, A.E.; Anderson, R.A. Fertility preservation for girls and young women with cancer: Population-based validation of criteria for ovarian tissue cryopreservation. Lancet Oncol. 2014, 15, 1129–1136. [Google Scholar] [CrossRef]
- Wallace, W.H.; Kelsey, T.W.; Anderson, R.A. Fertility preservation in pre-pubertal girls with cancer: The role of ovarian tissue cryopreservation. Fertil. Steril. 2016, 105, 6–12. [Google Scholar] [CrossRef] [PubMed]
- Wallace, W.H.; Kelsey, T.W. Human ovarian reserve from conception to the menopause. PLoS ONE 2010, 5, e8772. [Google Scholar] [CrossRef]
- Dolmans, M.M.; von Wolff, M.; Poirot, C.; Diaz-Garcia, C.; Cacciottola, L.; Boissel, N.; Liebenthron, J.; Pellicer, A.; Donnez, J.; Andersen, C.Y. Transplantation of cryopreserved ovarian tissue in a series of 285 women: A review of five leading European centers. Fertil. Steril. 2021, 115, 1102–1115. [Google Scholar] [CrossRef]
- Poirot, C.; Fortin, A.; Dhedin, N.; Brice, P.; Socie, G.; Lacorte, J.M.; Akakpo, J.P.; Genestie, C.; Vernant, J.P.; Leblanc, T.; et al. Post-transplant outcome of ovarian tissue cryopreserved after chemotherapy in hematologic malignancies. Haematologica 2019, 104, e360–e363. [Google Scholar] [CrossRef]
- ESHRE Guideline Group on Female Fertility Preservation; Anderson, R.A.; Amant, F.; Braat, D.; D’Angelo, A.; Chuva de Sousa Lopes, S.M.; Demeestere, I.; Dwek, S.; Frith, L.; Lambertini, M.; et al. ESHRE guideline: Female fertility preservation. Hum. Reprod. Open 2020, 2020, hoaa052. [Google Scholar] [CrossRef]
- Meirow, D.; Ra’anani, H.; Shapira, M.; Brenghausen, M.; Derech Chaim, S.; Aviel-Ronen, S.; Amariglio, N.; Schiff, E.; Orvieto, R.; Dor, J. Transplantations of frozen-thawed ovarian tissue demonstrate high reproductive performance and the need to revise restrictive criteria. Fertil. Steril. 2016, 106, 467–474. [Google Scholar] [CrossRef]
- Poirot, C.; Fortin, A.; Lacorte, J.M.; Akakpo, J.P.; Genestie, C.; Vernant, J.P.; Brice, P.; Morice, P.; Leblanc, T.; Gabarre, J.; et al. CAROLéLISA Cooperative Group. Impact of cancer chemotherapy before ovarian cortex cryopreservation on ovarian tissue transplantation. Hum. Reprod. 2019, 34, 1083–1094. [Google Scholar] [CrossRef]
- Shapira, M.; Dolmans, M.M.; Silber, S.; Meirow, D. Evaluation of ovarian tissue transplantation: Results from three clinical centers. Fertil. Steril. 2020, 114, 388–397. [Google Scholar] [CrossRef] [PubMed]
- Wikander, I.; Lundberg, F.E.; Nilsson, H.; Borgström, B.; Rodriguez-Wallberg, K.A. A Prospective Study on Fertility Preservation in Prepubertal and Adolescent Girls Undergoing Hematological Stem Cell Transplantation. Front. Oncol. 2021, 11, 692834. [Google Scholar] [CrossRef]
- Teh, W.T.; Stern, C.; Chander, S.; Hickey, M. The impact of uterine radiation on subsequent fertility and pregnancy outcomes. BioMed Res. Int. 2014, 2014, 482968. [Google Scholar] [CrossRef] [PubMed]
- Bjelland, E.K.; Wilkosz, P.; Tanbo, T.G.; Eskild, A. Is unilateral oophorectomy associated with age at menopause? A population study (the HUNT2 Survey). Hum. Reprod. 2014, 29, 835–841. [Google Scholar] [CrossRef] [PubMed]
- Wilkosz, P.; Greggains, G.D.; Tanbo, T.G.; Fedorcsak, P. Female reproductive decline is determined by remaining ovarian reserve and age. PLoS ONE 2014, 9, e108343. [Google Scholar] [CrossRef]
- Donnez, J.; Dolmans, M.M. Ovarian cortex transplantation: 60 reported live births brings the success and worldwide expansion of the technique towards routine clinical practice. J. Assist. Reprod. Genet. 2015, 32, 1167–1170. [Google Scholar] [CrossRef]
- Dolmans, M.M.; Manavella, D.D. Recent advances in fertility preservation. J. Obstet. Gynaecol. Res. 2019, 45, 266–279. [Google Scholar] [CrossRef]
- Donnez, J.; Dolmans, M.M.; Demylle, D.; Jadoul, P.; Pirard, C.; Squifflet, J.; Martinez-Madrid, B.; van Langendonckt, A. Livebirth after orthotopic transplantation of cryopreserved ovarian tissue. Lancet 2004, 364, 1405–1410. [Google Scholar] [CrossRef]
- Meirow, D.; Levron, J.; Eldar-Geva, T.; Hardan, I.; Fridman, E.; Zalel, Y.; Schiff, E.; Dor, J. Pregnancy after transplantation of cryopreserved ovarian tissue in a patient with ovarian failure after chemotherapy. N. Engl. J. Med. 2005, 353, 318–321. [Google Scholar] [CrossRef]
- Donnez, J.; Martinez-Madrid, B.; Jadoul, P.; Van Langendonckt, A.; Demylle, D.; Dolmans, M.M. Ovarian tissue cryopreservation and transplantation: A review. Hum. Reprod. Update 2006, 12, 519–535. [Google Scholar] [CrossRef]
- Andersen, C.Y.; Rosendahl, M.; Byskov, A.G.; Loft, A.; Ottosen, C.; Dueholm, M.; Schmidt, K.L.; Andersen, A.N.; Ernst, E. Two successful pregnancies following autotransplantation of frozen/thawed ovarian tissue. Hum. Reprod. 2008, 23, 2266–2272. [Google Scholar] [CrossRef]
- Donnez, J.; Jadoul, P.; Pirard, C.; Hutchings, G.; Demylle, D.; Squifflet, J.; Smitz, J.; Dolmans, M.M. Live birth after transplantation of frozen-thawed ovarian tissue after bilateral oophorectomy for benign disease. Fertil. Steril. 2012, 98, 720–725. [Google Scholar] [CrossRef] [PubMed]
- Dolmans, M.M.; Jadoul, P.; Gilliaux, S.; Amorim, C.A.; Luyckx, V.; Squifflet, J.; Donnez, J.; Van Langendonckt, A. A review of 15 years of ovarian tissue bank activities. J. Assist. Reprod. Genet. 2013, 30, 305–314. [Google Scholar] [CrossRef]
- Donnez, J.; Dolmans, M.M.; Pellicer, A.; Diaz-García, C.; Ernst, E.; Macklon, K.T.; Andersen, C.Y. Fertility preservation for age-related fertility decline. Lancet 2015, 385, 506–507. [Google Scholar] [CrossRef]
- Donnez, J.; Dolmans, M.M.; Diaz, C.; Pellicer, A. Ovarian cortex transplantation: Time to move on from experimental studies to open clinical application. Fertil. Steril. 2015, 104, 1097–1098. [Google Scholar] [CrossRef]
- Van der Ven, H.; Liebenthron, J.; Beckmann, M.; Toth, B.; Korell, M.; Krüssel, J.; Frambach, T.; Kupka, M.; Hohl, M.K.; Winkler-Crepaz, K.; et al. Ninety-five orthotopic transplantations in 74 women of ovarian tissue after cytotoxic treatment in a fertility preservation network: Tissue activity, pregnancy and delivery rates. Hum. Reprod. 2016, 31, 2031–2041. [Google Scholar] [CrossRef]
- Dunlop, C.E.; Brady, B.M.; McLaughlin, M.; Telfer, E.E.; White, J.; Cowie, F.; Zahra, S.; Wallace, W.H.; Anderson, R.A. Re-implantation of cryopreserved ovarian cortex resulting in restoration of ovarian function, natural conception and successful pregnancy after haematopoietic stem cell transplantation for Wilms tumour. J. Assist. Reprod. Genet. 2016, 33, 1615–1620. [Google Scholar] [CrossRef]
- Rodriguez-Wallberg, K.A.; Tanbo, T.; Tinkanen, H.; Thurin-Kjellberg, A.; Nedstrand, E.; Kitlinski, M.L.; Macklon, K.T.; Ernst, E.; Fedder, J.; Tiitinen, A.; et al. Ovarian tissue cryopreservation and transplantation among alternatives for fertility preservation in the Nordic countries—Compilation of 20 years of multicenter experience. Acta Obstet. Gynecol. Scand. 2016, 95, 1015–1026. [Google Scholar] [CrossRef] [PubMed]
- Jensen, A.K.; Macklon, K.T.; Fedder, J.; Ernst, E.; Humaidan, P.; Andersen, C.Y. 86 successful births and 9 ongoing pregnancies worldwide in women transplanted with frozen-thawed ovarian tissue: Focus on birth and perinatal outcome in 40 of these children. J. Assist. Reprod. Genet. 2017, 34, 325–336. [Google Scholar] [CrossRef] [PubMed]
- Suzuki, N.; Yoshioka, N.; Takae, S.; Sugishita, Y.; Tamura, M.; Hashimoto, S.; Morimoto, Y.; Kawamura, K. Successful fertility preservation following ovarian tissue vitrification in patients with primary ovarian insufficiency. Hum. Reprod. 2015, 30, 608–615. [Google Scholar] [CrossRef] [PubMed]
- Segers, I.; Bardhi, E.; Mateizel, I.; Van Moer, E.; Schots, R.; Verheyen, G.; Tournaye, H.; De Vos, M. Live births following fertility preservation using in-vitro maturation of ovarian tissue oocytes. Hum. Reprod. 2020, 35, 2026–2036. [Google Scholar] [CrossRef]
- Karavani, G.; Wasserzug-Pash, P.; Mordechai-Daniel, T.; Bauman, D.; Klutstein, M.; Imbar, T. Age-Dependent in vitro Maturation Efficacy of Human Oocytes—Is There an Optimal Age? Front. Cell Dev. Biol. 2021, 9, 667682. [Google Scholar] [CrossRef] [PubMed]
- Yin, H.; Jiang, H.; Kristensen, S.G.; Andersen, C.Y. Vitrification of in vitro matured oocytes collected from surplus ovarian medulla tissue resulting from fertility preservation of ovarian cortex tissue. J. Assist. Reprod. Genet. 2016, 33, 741–746. [Google Scholar] [CrossRef] [PubMed]
- Prasath, E.B.; Chan, M.L.; Wong, W.H.; Lim, C.J.; Tharmalingam, M.D.; Hendricks, M.; Loh, S.F.; Chia, Y.N. First pregnancy and live birth resulting from cryopreserved embryos obtained from in vitro matured oocytes after oophorectomy in an ovarian cancer patient. Hum. Reprod. 2014, 29, 276–278. [Google Scholar] [CrossRef] [PubMed]
- Fasano, G.; Dechène, J.; Antonacci, R.; Biramane, J.; Vannin, A.S.; Van Langendonckt, A.; Devreker, F.; Demeestere, I. Outcomes of immature oocytes collected from ovarian tissue for cryopreservation in adult and prepubertal patients. Reprod. Biomed. Online 2017, 34, 575–582. [Google Scholar] [CrossRef] [PubMed]
- Karavani, G.; Schachter-Safrai, N.; Revel, A.; Mordechai-Daniel, T.; Bauman, D.; Imbar, T. In vitro maturation rates in young premenarche patients. Fertil. Steril. 2019, 112, 315–322. [Google Scholar] [CrossRef]
- Oktay, K.; Buyuk, E.; Veeck, L.; Zaninovic, N.; Xu, K.; Takeuchi, T.; Opsahl, M.; Rosenwaks, Z. Embryo development after heterotopic transplantation of cryopreserved ovarian tissue. Lancet 2004, 363, 837–840. [Google Scholar] [CrossRef]
- Donnez, J.; Dolmans, M.M. Natural hormone replacement therapy with a functioning ovary after the menopause: Dream or reality? Reprod. Biomed. Online 2018, 37, 359–366. [Google Scholar] [CrossRef]
- Gougeon, A. Dynamics of Follicle Development in the Human Ovary. In Polycystic Ovary Syndrome; Chang, R.J., Ed.; Springer: New York, NY, USA, 1996. [Google Scholar] [CrossRef]
- Dolmans, M.M.; Falcone, T.; Patrizio, P. Importance of patient selection to analyze in vitro fertilization outcome with transplanted cryopreserved ovarian tissue. Fertil. Steril. 2020, 114, 279–280. [Google Scholar] [CrossRef]
- Jensen, A.K.; Kristensen, S.G.; Macklon, K.T.; Jeppesen, J.V.; Fedder, J.; Ernst, E.; Andersen, C.Y. Outcomes of transplantations of cryopreserved ovarian tissue to 41 women in Denmark. Hum. Reprod. 2015, 30, 2838–2845. [Google Scholar] [CrossRef]
- Diaz-Garcia, C.; Domingo, J.; Garcia-Velasco, J.A.; Herraiz, S.; Mirabet, V.; Iniesta, I.; Cobo, A.; Remohí, J.; Pellicer, A. Oocyte vitrification versus ovarian cortex transplantation in fertility preservation for adult women undergoing gonadotoxic treatments: A prospective cohort study. Fertil. Steril. 2018, 109, 478–485.e2. [Google Scholar] [CrossRef] [PubMed]
- Dolmans, M.M.; Luyckx, V.; Donnez, J.; Andersen, C.Y.; Greve, T. Risk of transferring malignant cells with transplanted frozen-thawed ovarian tissue. Fertil. Steril. 2013, 99, 1514–1522. [Google Scholar] [CrossRef] [PubMed]
- Dolmans, M.M.; Amorim, C.A. Fertility preservation: Construction and use of artificial ovaries. Reproduction 2019, 158, F15–F25. [Google Scholar] [CrossRef] [PubMed]
- Dolmans, M.M.; Marinescu, C.; Saussoy, P.; Van Langendonckt, A.; Amorim, C.; Donnez, J. Reimplantation of cryopreserved ovarian tissue from patients with acute lymphoblastic leukemia is potentially unsafe. Blood 2010, 116, 2908–2914. [Google Scholar] [CrossRef]
- Rosendahl, M.; Andersen, M.T.; Ralfkiær, E.; Kjeldsen, L.; Andersen, M.K.; Andersen, C.Y. Evidence of residual disease in cryopreserved ovarian cortex from female patients with leukemia. Fertil. Steril. 2010, 94, 2186–2190. [Google Scholar] [CrossRef]
- Greve, T.; Clasen-Linde, E.; Andersen, M.T.; Andersen, M.K.; Sørensen, S.D.; Rosendahl, M.; Ralfkiaer, E.; Andersen, C.Y. Cryopreserved ovarian cortex from patients with leukemia in complete remission contains no apparent viable malignant cells. Blood 2012, 120, 4311–4316. [Google Scholar] [CrossRef] [PubMed]
- Chevillon, F.; Clappier, E.; Arfeuille, C.; Cayuela, J.M.; Dalle, J.H.; Kim, R.; Caye-Eude, A.; Chalas, C.; Abdo, C.; Drouineaud, V.; et al. Minimal residual disease quantification in ovarian tissue collected in patients in complete remission of acute leukemia. Blood 2021, 137, 1697–1701. [Google Scholar] [CrossRef]
- Shapira, M.; Raanani, H.; Barshack, I.; Amariglio, N.; Derech-Haim, S.; Marciano, M.N.; Schiff, E.; Orvieto, R.; Meirow, D. First delivery in a leukemia survivor after transplantation of cryopreserved ovarian tissue, evaluated for leukemia cells contamination. Fertil. Steril. 2018, 109, 48–53. [Google Scholar] [CrossRef]
- Silber, S.J.; DeRosa, M.; Goldsmith, S.; Fan, Y.; Castleman, L.; Melnick, J. Cryopreservation and transplantation of ovarian tissue: Results from one center in the USA. J. Assist. Reprod. Genet. 2018, 35, 2205–2213. [Google Scholar] [CrossRef]
- Sonmezer, M.; Ozkavukcu, S.; Sukur, Y.E.; Kankaya, D.; Arslan, O. First pregnancy and live birth in Turkey following frozen-thawed ovarian tissue transplantation in a patient with acute lymphoblastic leukemia who underwent cord blood transplantation. J. Assist. Reprod. Genet. 2020, 37, 2033–2043. [Google Scholar] [CrossRef]
- Rodriguez-Wallberg, K.A.; Milenkovic, M.; Papaikonomou, K.; Keros, V.; Gustafsson, B.; Sergouniotis, F.; Wikander, I.; Perot, R.; Borgström, B.; Ljungman, P.; et al. Successful pregnancies after transplantation of ovarian tissue retrieved and cryopreserved at time of childhood acute lymphoblastic leukemia—A case report. Haematologica 2021, 106, 2783–2787. [Google Scholar] [CrossRef] [PubMed]
- Shapira, M.; Raanani, H.; Derech Chaim, S.; Meirow, D. Challenges of fertility preservation in leukemia patients. Minerva Ginecol. 2018, 70, 456–464. [Google Scholar] [CrossRef] [PubMed]
- Practice Committee of the American Society for Reproductive Medicine. Fertility preservation in patients undergoing gonadotoxic therapy or gonadectomy: A committee opinion. Fertil. Steril. 2019, 112, 1022–1033. [Google Scholar] [CrossRef] [PubMed]
- Poirot, C.J.; Martelli, H.; Genestie, C.; Golmard, J.L.; Valteau-Couanet, D.; Helardot, P.; Pacquement, H.; Sauvat, F.; Tabone, M.D.; Philippe-Chomette, P.; et al. Feasibility of ovarian tissue cryopreservation for prepubertal females with cancer. Pediatr. Blood Cancer 2007, 49, 74–78. [Google Scholar] [CrossRef]
- Poirot, C. Ovarian cryopreservation for subsequent transplantation in prepubertal and adolescent girls. In Ovarian Freezing and Transplantation; Oktay, K., Ed.; Elsevier: Cambridge, MA, USA, 2022; in press. [Google Scholar]
- Borgström, B.; Hreinsson, J.; Rasmussen, C.; Sheikhi, M.; Fried, G.; Keros, V.; Fridström, M.; Hovatta, O. Fertility preservation in girls with Turner syndrome: Prognostic signs of the presence of ovarian follicles. J. Clin. Endocrinol. Metab. 2009, 94, 74–80. [Google Scholar] [CrossRef]
- Oktay, K.; Oktem, O. Fertility preservation medicine: A new field in the care of young cancer survivors. Pediatr. Blood Cancer 2009, 53, 267–273. [Google Scholar] [CrossRef]
- Jadoul, P.; Dolmans, M.M.; Donnez, J. Fertility preservation in girls during childhood: Is it feasible, efficient and safe and to whom should it be proposed? Hum. Reprod. Update 2010, 16, 617–630. [Google Scholar] [CrossRef]
- Fabbri, R.; Vicenti, R.; Macciocca, M.; Pasquinelli, G.; Macciocca, M.; Parazza, I.; Paradisi, R.; Battaglia, C.; Venturoli, S. Cryopreservation of ovarian tissue in pediatric patients. Obstet. Gynecol. Int. 2012, 2012, 910698. [Google Scholar] [CrossRef]
- Lima, M.; Gargano, T.; Fabbri, R.; Maffi, M.; Destro, F. Ovarian tissue collection for cryopreservation in pediatric age: Laparoscopic technical tips. J. Pediatr. Adolesc. Gynecol. 2014, 27, 95–97. [Google Scholar] [CrossRef]
- Biasin, E.; Salvagno, F.; Berger, M.; Nesi, F.; Quarello, P.; Vassallo, E.; Evangelista, F.; Marchino, G.L.; Revelli, A.; Benedetto, C.; et al. Ovarian tissue cryopreservation in girls undergoing haematopoietic stem cell transplant: Experience of a single centre. Bone Marrow Transplant. 2015, 50, 1206–1211. [Google Scholar] [CrossRef]
- Abir, R.; Ben-Aharon, I.; Garor, R.; Yaniv, I.; Ash, S.; Stemmer, S.M.; Ben-Haroush, A.; Freud, E.; Kravarusic, D.; Sapir, O.; et al. Cryopreservation of in vitro matured oocytes in addition to ovarian tissue freezing for fertility preservation in paediatric female cancer patients before and after cancer therapy. Hum. Reprod. 2016, 31, 750–762. [Google Scholar] [CrossRef]
- Jensen, A.K.; Rechnitzer, C.; Macklon, K.T.; Ifversen, M.R.; Birkebæk, N.; Clausen, N.; Sørensen, K.; Fedder, J.; Ernst, E.; Andersen, C.Y. Cryopreservation of ovarian tissue for fertility preservation in a large cohort of young girls: Focus on pubertal development. Hum. Reprod. 2017, 32, 154–164. [Google Scholar] [CrossRef] [PubMed]
- Armstrong, A.G.; Kimler, B.F.; Smith, B.M.; Woodruff, T.K.; Pavone, M.E.; Duncan, F.E. Ovarian tissue cryopreservation in young females through the Oncofertility Consortium’s National Physicians Cooperative. Future Oncol. 2018, 14, 363–378. [Google Scholar] [CrossRef] [PubMed]
- Rowell, E.E.; Corkum, K.S.; Lautz, T.B.; Laronda, M.M.; Walz, A.L.; Madonna, M.B.; Lockart, B.A.; Reynolds, M. Laparoscopic unilateral oophorectomy for ovarian tissue cryopreservation in children. J. Pediatr. Surg. 2019, 54, 543–549. [Google Scholar] [CrossRef] [PubMed]
- Rodriguez-Wallberg, K.A.; Marklund, A.; Lundberg, F.; Wikander, I.; Milenkovic, M.; Anastacio, A.; Sergouniotis, F.; Wånggren, K.; Ekengren, J.; Lind, T.; et al. A prospective study of women and girls undergoing fertility preservation due to oncologic and non-oncologic indications in Sweden-Trends in patients’ choices and benefit of the chosen methods after long-term follow up. Acta Obstet. Gynecol. Scand. 2019, 98, 604–615. [Google Scholar] [CrossRef]
- Lotz, L.; Reis Barbosa, P.; Knorr, C.; Hofbeck, L.; Hoffmann, I.; Beckmann, M.W.; Antoniadis, S.; Dittrich, R. The safety and satisfaction of ovarian tissue cryopreservation in prepubertal and adolescent girls. Reprod. Biomed. Online 2020, 40, 547–554. [Google Scholar] [CrossRef]
- Takae, S.; Furuta, S.; Keino, D.; Shiraishi, E.; Iwahata, Y.; Oyama, K.; Iwahata, H.; Nishiya, Y.; Kawaguchi, J.; Obayashi, J.; et al. Surgical management of unilateral oophorectomy for ovarian tissue cryopreservation in high-risk children and adolescents with varied backgrounds. Pediatr. Surg. Int. 2021, 37, 1021–1029. [Google Scholar] [CrossRef]
- Joshi, V.B.; Behl, S.; Pittock, S.T.; Arndt, C.A.S.; Zhao, Y.; Khan, Z.; Granberg, C.F.; Chattha, A. Establishment of a pediatric ovarian and testicular cryopreservation program for malignant and non-malignant conditions: The Mayo Clinic experience. J. Pedriatr. Adolesc. Gynecol. 2021, 34, 673–680. [Google Scholar] [CrossRef]
- Revel, A.; Koler, M.; Simon, A.; Lewin, A.; Laufer, N.; Safran, A. Oocyte collection during cryopreservation of the ovarian cortex. Fertil. Steril. 2003, 79, 1237–1239. [Google Scholar] [CrossRef]
- Poirot, C.; Abirached, F.; Prades, M.; Coussieu, C.; Bernaudin, F.; Piver, P. Induction of puberty by autograft of cryopreserved ovarian tissue. Lancet 2012, 379, 588. [Google Scholar] [CrossRef]
- Ernst, E.; Kjaersgaard, M.; Birkebaek, N.H.; Clausen, N.; Andersen, C.Y. Case report: Stimulation of puberty in a girl with chemo- and radiation therapy induced ovarian failure by transplantation of small part of her frozen/thawed ovarian tissue. Eur. J. Cancer. 2013, 49, 911–914. [Google Scholar] [CrossRef] [PubMed]
- Donnez, J.; Squifflet, J.; Jadoul, P.; Demylle, D.; Cheron, A.C.; Van Langendonckt, A.; Dolmans, M.M. Pregnancy and live birth after autotransplantation of frozen-thawed ovarian tissue in a patient with metastatic disease undergoing chemotherapy and hematopoietic stem cell transplantation. Fertil. Steril. 2011, 95, 1787.e1–1787.e4. [Google Scholar] [CrossRef] [PubMed]
- Stern, C.J.; Toledo, M.G.; Hale, L.G.; Gook, D.A.; Edgar, H.D. The first Australian experience of heterotopic grafting of cryopreserved ovarian tissue: Evidence of establishment of normal ovarian function. Aust. N. Z. J. Obstet. Gynaecol. 2011, 51, 268–271. [Google Scholar] [CrossRef] [PubMed]
- Macklon, K.T.; Jensen, A.K.; Loft, A.; Ernst, E.; Andersen, C.Y. Treatment history and outcome of 24 deliveries worldwide after autotransplantation of cryopreserved ovarian tissue, including two new Danish deliveries years after autotransplantation. J. Assist. Reprod. Genet. 2014, 31, 1557–1564. [Google Scholar] [CrossRef][Green Version]
- Demeestere, I.; Simon, P.; Dedeken, L.; Moffa, F.; Tsépélidis, S.; Brachet, C.; Delbaere, A.; Devreker, F.; Ferster, A. Live birth after autograft of ovarian tissue cryopreserved during childhood. Hum. Reprod. 2015, 30, 2107–2109. [Google Scholar] [CrossRef]
- Póvoa, A.; Xavier, P.; Calejo, L.; Soares, S.; Sousa, M.; Silva, J.; Sousa, S.; Barros, A.; Beires, J. First transplantation of cryopreserved ovarian tissue in Portugal, stored for 10 years: An unexpected indication. Reprod. Biomed. Online 2016, 32, 334–336. [Google Scholar] [CrossRef]
- Matthews, S.J.; Picton, H.; Ernst, E.; Andersen, C.Y. Successful pregnancy in a woman previously suffering from β-Thalassemia following transplantation of ovarian tissue cryopreserved before puberty. Minerva Ginecol. 2018, 70, 432–435. [Google Scholar] [CrossRef]
- Kim, T.J.; Hong, S.W. Successful live birth from vitrified oocytes after 5 years of cryopreservation. J. Assist. Reprod. Genet. 2011, 28, 73–76. [Google Scholar] [CrossRef]
- Reichman, D.E.; Davis, O.K.; Zaninovic, N.; Rosenwaks, Z.; Goldschlag, D.E. Fertility preservation using controlled ovarian hyperstimulation and oocyte cryopreservation in a premenarcheal female with myelodysplastic syndrome. Fertil. Steril. 2012, 5, 1225–1228. [Google Scholar] [CrossRef]
- Oktay, K.; Bedoschi, G. Oocyte cryopreservation for fertility preservation in post-pubertal female children at risk for premature ovarian failure due to accelerated follicle loss in Turner Syndrome or cancer treatments. J. Pediatr. Adolesc. Gynecol. 2014, 27, 342–346. [Google Scholar] [CrossRef]
- Lavery, S.T.; Islam, R.; Hunt, J.; Carby, A.; Anderson, R.A. The medical ant ethical challenges of fertility preservation in teenage girls: A case series of sickle cell anaemia patients prior to bone marrow transplant. Hum. Reprod. 2016, 31, 1501–1507. [Google Scholar] [CrossRef] [PubMed]
- Pecker, L.H.; Maher, J.Y.; Law, J.Y.; Beach, M.C.; Lanzkron, S.; Christianson, M.S. Risks associated with fertility preservation for women with sickle cell anemia. Fertil. Steril. 2018, 110, 720–731. [Google Scholar] [CrossRef] [PubMed]
- Garg, D.; Johnstone, E.B.; Fair, D.B.; Carrell, D.T.; Berga, S.; Letourneau, J.M. Oncofertility conundrum: Discrepancy between anti-müllerian hormone and mature oocyte yield in a peripubertal girl with Hodgkin lymphoma. J. Assist. Reprod. Genet. 2019, 36, 1753–1756. [Google Scholar] [CrossRef] [PubMed]
- Azem, F.; Brener, A.; Malinger, G.; Reches, A.; Many, A.; Yogev, Y.; Lebenthal, Y. Bypassing physiological puberty, a novel procedure of oocyte cryopreservation at age 7: A case report and review of the literature. Fertil. Steril. 2020, 114, 374–377. [Google Scholar] [CrossRef] [PubMed]
- Manuel, S.L.; Moravek, M.B.; Confino, R.; Smith, K.N.; Lawson, A.K.; Klock, S.C.; Pavone, M.E. Ovarain stimulation is a safe and effective fertility preservation option in the adolescent and young adult population. J. Assist. Reprod. Genet. 2020, 37, 699–708. [Google Scholar] [CrossRef] [PubMed]
- Hipp, H.S.; Shandley, L.M.; Schirmer, D.A.; McKenzie, L.; Kawwass, J.F. Oocyte cryopreservation in adolescent women. J. Pediatr. Adolesc. Gynecol. 2019, 32, 377–382. [Google Scholar] [CrossRef]
- Anderson, R.A.; McLaughlin, M.; Wallace, W.H.; Albertini, D.F.; Telfer, E.E. The immature human ovary shows loss of abnormal follicles and increasing follicle developmental competence through childhood and adolescence. Hum. Reprod. 2014, 29, 97–106. [Google Scholar] [CrossRef]
- Garcia-Velasco, J.A.; Domingo, J.; Cobo, A.; Martínez, M.; Carmona, L.; Pellicer, A. Five years’ experience using oocyte vitrification to preserve fertility for medical and nonmedical indications. Fertil. Steril. 2013, 99, 1994–1999. [Google Scholar] [CrossRef]
- Friedler, S.; Koc, O.; Gidoni, Y.; Raziel, A.; Ron-El, R. Ovarian response to stimulation for fertility preservation in women with malignant disease: A systematic review and meta-analysis. Fertil. Steril. 2012, 97, 125–133. [Google Scholar] [CrossRef]
- Lekovich, J.; Lobel, A.; Stewart, J.D.; Pereira, N.; Kligman, I.; Rosenwaks, Z. Female patients with lymphoma demonstrate diminished ovarian reserve even before initiation of chemotherapy when compared with healthy controls and patients with other malignancies. J. Assist. Reprod. Genet. 2016, 33, 657–662. [Google Scholar] [CrossRef]
- Lawrenz, B.; Fehm, T.; von Wolff, M.; Soekler, M.; Huebner, S.; Henes, J.; Henes, M.; Centers of FertiPROTEKT Network. Reduced pretreatment ovarian reserve in premenopausal female patients with Hodgkin lymphoma or non-Hodgkin-lymphoma--evaluation by using antimüllerian hormone and retrieved oocytes. Fertil. Steril. 2012, 98, 141–144. [Google Scholar] [CrossRef] [PubMed]
- Duncan, F.E. Egg Quality during the pubertal Transition-Is Youth all it’s cracked up to be? Front. Endocrinol. 2017, 8, 226. [Google Scholar] [CrossRef] [PubMed]
- Nielsen, J.; Wohlert, M. Chromosome abnormalities found among 34,910 newborn children: Results from a 13-year incidence study in Arhus, Denmark. Hum. Genet. 1991, 87, 81–83. [Google Scholar] [CrossRef] [PubMed]
- Stochholm, K.; Juul, S.; Juel, K.; Naeraa, R.W.; Gravholt, C.H. Prevalence, incidence, diagnostic delay, and mortality in Turner syndrome. J. Clin. Endocrinol. Metab. 2006, 91, 3897–3902. [Google Scholar] [CrossRef] [PubMed]
- Gruchy, N.; Vialard, F.; Blondeel, E.; Le Meur, N.; Joly-Hélas, G.; Chambon, P.; Till, M.; Herbaut-Graux, M.; Vigouroux-Castera, A.; Coussement, A.; et al. Pregnancy outcomes of prenatally diagnosed Turner syndrome: A French multicenter retrospective study including a series of 975 cases. Prenat. Diagn. 2014, 34, 1133–1138. [Google Scholar] [CrossRef]
- Modi, D.N.; Sane, S.; Bhartiya, D. Accelerated germ cell apoptosis in sex chromosome aneuploid fetal human gonads. Mol. Hum. Reprod. 2003, 9, 219–225. [Google Scholar] [CrossRef]
- Grynberg, M.; Bidet, M.; Benard, J.; Poulain, M.; Sonigo, C.; Cédrin-Durnerin, I.; Polak, M. Fertility preservation in Turner syndrome. Fertil. Steril. 2016, 105, 13–19. [Google Scholar] [CrossRef]
- Oktay, K.; Bedoschi, G.; Berkowitz, K.; Bronson, R.; Kashani, B.; McGovern, P.; Pal, L.; Quinn, G.; Rubin, K. Fertility Preservation in Women with Turner Syndrome: A Comprehensive Review and Practical Guidelines. J. Pediatr. Adolesc. Gynecol. 2016, 29, 409–416. [Google Scholar] [CrossRef]
- Pasquino, A.M.; Passeri, F.; Pucarelli, I.; Segni, M.; Municchi, G. Spontaneous pubertal development in Turner’s syndrome. Italian Study Group for Turner’s Syndrome. J. Clin. Endocrinol. Metab. 1997, 82, 1810–1813. [Google Scholar] [CrossRef]
- Hovatta, O. Pregnancies in women with Turner’s syndrome. Ann. Med. 1999, 31, 106–110. [Google Scholar] [CrossRef]
- Bernard, V.; Donadille, B.; Zenaty, D.; Courtillot, C.; Salenave, S.; Brac de la Perrière, A.; Albarel, F.; Fèvre, A.; Kerlan, V.; Brue, T.; et al. Spontaneous fertility and pregnancy outcomes amongst 480 women with Turner syndrome. Hum. Reprod. 2016, 31, 782–788. [Google Scholar] [CrossRef]
- Dabrowski, E.; Jensen, R.; Johnson, E.K.; Habiby, R.L.; Brickman, W.J.; Finlayson, C. Turner Syndrome Systematic Review: Spontaneous Thelarche and Menarche Stratified by Karyotype. Horm. Res. Paediatr. 2019, 92, 143–149. [Google Scholar] [CrossRef] [PubMed]
- El-Shawarby, S.A.; Sharif, F.; Conway, G.; Serhal, P.; Davies, M. Oocyte cryopreservation after controlled ovarian hyperstimulation in mosaic Turner syndrome: Another fertility preservation option in a dedicated UK clinic. BJOG 2010, 117, 234–237. [Google Scholar] [CrossRef] [PubMed]
- Oktay, K.; Rodriguez-Wallberg, K.A.; Sahin, G. Fertility preservation by ovarian stimulation and oocyte cryopreservation in a 14-year-old adolescent with Turner syndrome mosaicism and impending premature ovarian failure. Fertil. Steril. 2010, 94, 753.e15–753.e19. [Google Scholar] [CrossRef] [PubMed]
- Talaulikar, V.S.; Conway, G.S.; Pimblett, A.; Davies, M.C. Outcome of ovarian stimulation for oocyte cryopreservation in women with Turner syndrome. Fertil. Steril. 2019, 111, 505–509. [Google Scholar] [CrossRef]
- Vergier, J.; Bottin, P.; Saias, J.; Reynaud, R.; Guillemain, C.; Courbiere, B. Fertility preservation in Turner syndrome: Karyotype does not predict ovarian response to stimulation. Clin. Endocrinol. 2019, 91, 646–651. [Google Scholar] [CrossRef]
- Dolmans, M.M.; Donnez, J.; Camboni, A.; Demylle, D.; Amorim, C.A.; Van Langendonckt, A.; Pirard, C. IVF outcome in patients with orthotopically transplanted ovarian tissue. Hum. Reprod. 2009, 24, 2778–2787. [Google Scholar] [CrossRef]
- Mamsen, L.S.; Charkiewicz, K.; Anderson, R.A.; Telfer, E.E.; McLaughlin, M.; Kelsey, T.W.; Kristensen, S.G.; Gook, D.A.; Ernst, E.; Andersen, C.Y. Characterization of follicles in girls and young women with Turner syndrome who underwent ovarian tissue cryopreservation. Fertil. Steril. 2019, 111, 1217–1225.e3. [Google Scholar] [CrossRef]
- Peek, R.; Schleedoorn, M.; Smeets, D.; van de Zande, G.; Groenman, F.; Braat, D.; van der Velden, J.; Fleischer, K. Ovarian follicles of young patients with Turner’s syndrome contain normal oocytes but monosomic 45,X granulosa cells. Hum. Reprod. 2019, 34, 1686–1696.e3. [Google Scholar] [CrossRef]
- Huang, J.Y.; Tulandi, T.; Holzer, H.; Lau, N.M.; Macdonald, S.; Tan, S.L.; Chian, R.C. Cryopreservation of ovarian tissue and in vitro matured oocytes in a female with mosaic Turner syndrome: Case Report. Hum. Reprod. 2008, 23, 336–339. [Google Scholar] [CrossRef]
- Schleedoorn, M.; van der Velden, J.; Braat, D.; Beerendonk, I.; van Golde, R.; Peek, R.; Fleischer, K. TurnerFertility trial: PROTOCOL for an observational cohort study to describe the efficacy of ovarian tissue cryopreservation for fertility preservation in females with Turner syndrome. BMJ Open 2019, 9, e030855. [Google Scholar] [CrossRef] [PubMed]




1. Non-oncological diseases for which fertility preservation is indicated:
|
2. Oncological diseases requiring gonadotoxic chemotherapy and/or radiotherapy or bone marrow transplantation:
|
3. Social reasons
|
| Authors (Year) | Patients | Age (Years) | Patients ≤ 12 Years Old | Patients ≤ 18 Years Old | Number of Oncological Diseases | Most Frequent Oncological Diseases | Number of Non-Oncological Diseases | Most Frequent Non-Oncological Diseases | ||
|---|---|---|---|---|---|---|---|---|---|---|
| n | Mean | Median | Range | n (%) | n (%) | n (%) | (n) | n (%) | (n) | |
| Borgström B et al. (2009) [87] | 47 | 14.6 | 14.5 | 8–19.8 | 9 (19) | 40 (85) | 0 | 0 | 47 (100) | Turner syndrome (47) |
| Oktay K et al. (2009) [88] | 26 | 14.3 | 16.5 | 4–21 | 9 (35) | 21 (81) | 18 (69) | AL (5) | 9 (35) | Turner syndrome (2) Thalassemia major (2) |
| Jadoul P et al. (2010) [89] | 58 | 10.4 | 11.6 | 0.8–15.8 | 32 (56) | 58 (100) | 48 (83) | ALL (12), Non-Hodgkin disease (8) | 10 (17) | Turner syndrome (2) Recurrent ovarian cysts (2) Torsion of the ovary (2) Sickle cell disease (2) |
| Fabbri R et al. (2012) [90] | 45 | 13.4 | 14.4 | 1.6–17.9 | 12 (27) | 45 (100) | 39 (87) | Hodgkin lymphoma (16) | 6 (13) | Thalassemia major (2) Aplastic anemia (2) |
| Lima M et al. (2014) [91] | 54 | 13.4 | NA | NA | NA | NA | 51 (94) | Hodgkin lymphoma (20) Ewing’s sarcoma (10) | 5 (9) | Thalassemia major (2) Bone marrow aplasia (2) |
| Biasin E et al. (2015) [92] | 47 | NA | 13 | 2.7–20 | 24 (51) | NA | 39 (83) | Leukemia (30) | 10 (21) | Thalassemia major (7) |
| Abir R et al. (2016) [93] | 42 | 12.3 | 14 | 2–18 | 16 (38) | 42 (100) | 40 (95) | Leukemia (11) Hodgkin lymphoma (10) | 2 (5) | Thalassemia major (1) Lupus Nephritis (1) |
| Jensen AK et al. (2017) [94] | 176 | 11.3 | NA | 0.6–17.1 | 32 (18) | 176 (100) | 154 (87) | Bone tumors * (31) Hodgkin lymphoma (25) ALL (21) | 22 (13) | Turner syndrome (6) Galactosemia (4) |
| Armstrong AG et al. (2018) [95] | 114 | 8.1 | 8 | 0.5–14.6 | 93 (81) | 114 (100) | 76 (67) | Leukemia/myeloproliferative/ myelodysplastic diseases (20) | 38 (33) | Hemoglobinopathies (18) Aplastic anemia (6) |
| Rowell EE et al. (2019) [96] | 64 | NA | 12 | 0.5–23 | 31 (48) | NA | 53 (83) | Rhabdomyosarcoma (14) Ewing’s sarcoma (10) | 11 (17) | Hematologic disorders (6) Disorder of sex development (5) |
| Poirot C et al. (2019) [4] | 418 | 7.5 | 6.9 | 0.3–15 | 325 (78) | 418 (100) | 313 (75) | Neuroblastoma (93) AL (76) | 105 (25) | Hemoglobinopathies (71) Immunodeficiency (19) |
| Rodriguez-Wallberg K et al. (2019) [97] | 114 | 13.8 | NA | 3–17 | 48 (42) | 114 (100) | NA | NA | NA | NA |
| Lotz L et al. (2020) [98] | 102 | 14.8 | NA | 6–17 | NA | 102 (100) | 81(79) | Lymphoma (34) Acute leukemia (13) Osteosarcoma (11) | 21 (21) | Ovarian tumour (8) Turner syndrome (6) |
| Takae S et al. (2021) [99] | 25 | NA | 13 | 1–17 | 9 before menarche (36) | 16 (64) | 18 (72) | Acute leukemia (8) | 7 (28) | Aplastic anemia (2) CAEBV (2) CHAI (2) |
| Joshi VB et al. (2021) [100] | 38 | NA | 11 | 0.83–17 | 20 prepubertal (53) | 14 pubertal (37) | 36 (95) | Muscoskeletal malignancies (18) Hematologic malignancies (12) | 2 (5) | Genetic syndrome (1) Non-malignant hematologic condition (1) |
| Authors (Year) | Diagnosis | Age at OTC (Year) | Menarche before OTC | Chemotherapy before OTC | Planned Treatment | Age at OTT | Ovarian Function Recovery | Pregnancies/Births |
|---|---|---|---|---|---|---|---|---|
| Donnez J et al. (2011) [104] | Neuroectodermal tumor | 17 | NA | Yes | HSCT | 24 | Yes | One birth (boy) |
| Stern C et al. (2011) [105] | NHD | 17 | Yes | Yes | AlloHSCT | 27 | Yes | Biochemical pregnancy |
| Donnez J et al. (2012) [52] | Ovarian abscesses | 18 | NA | No | Bilateral oophorectomy | 26 | Yes | One birth |
| Macklon KT et al. (2014) [106] | PNH | 18 | Yes | No | HSCT | 22 | Yes | One birth (boy) |
| Demeestere I et al. (2015) [107] | Sickle cell disease | 13.9 | No | Yes | HSCT | 24 | Yes | One birth |
| Meirow D et al. (2016) [39] | Ewing’s sarcoma | 14 | No | Yes | ND | 21 | No | / |
| Povoa A et al. (2016) [108] | Ovarian cysts | 18 | Yes | No | Unilateral oophorectomy | 28 | Yes | / |
| Silber SJ et al. (2018) [80] | Myeloproliferative disorder | 18 | NA | Yes | HSCT | 25 | Yes | Three births (1 boy, 2 girls) |
| Matthews SJ et al. (2018) [109] | Beta thalassemia | 9 | No | No | HSCT | 23 | Yes | One birth |
| Poirot C et al. (2019) [4] | Neuroblastoma Sickle cell disease | 12 11.2 | No * No * | Yes No | HSCT HSCT | 24.7 * 28.3 * | No Yes * | No * No * |
| Poirot C et al. (2019) [40] | NHD Shwachman-Diamond syndrome | 16.6 16.1 | Yes * Yes * | Yes No | HSCT HSCT | 28.7 28.3 | Yes No | One birth / |
| Lotz L et al. (2020) [98] | HL | 17 | NA | No | Chemotherapy for HL | 32 | Yes | No |
| Rodriguez-Wallberg KA et al. (2021) [82] | ALL | 14 | NA | Yes | AlloHSCT | 29 | Yes | Ongoing pregnancy |
| Authors (Year) | Patients (n) | Age at COS (Years) | Menarche (Age) | Disease | Oocyte Retrieval Modalities | Number of Retrieved Oocytes | Number of Cryopreserved Oocytes |
|---|---|---|---|---|---|---|---|
| Kim TJ et al. (2011) [110] | 1 | 17 | NA | Non-malignant disease * | NA | 14 | 14 |
| Reichman DE et al. (2012) [111] | 1 | 13 | No | Myelodysplastic syndrome | Transvaginal | 20 (8 M2,9 M1, 2 GV) | 18 |
| Oktay K et al. (2014) [112] | 5 | 13 14 13 15 14 | Yes Yes Yes Yes Yes | Turner syndrome Turner syndrome Turner syndrome Germ cell tumor ALL | Transvaginal Transvaginal Transvaginal Transvaginal Transvaginal | 19 11/7 16 8 21 | 10 8/4 12 4 11 |
| Lavery SA et al. (2016) [113] | 8 | 14 15 16 16 16 17 18 18 | Yes Yes Yes Yes Yes Yes Yes Yes | Sickle cell anemia Sickle cell anemia Sickle cell anemia Sickle cell anemia Sickle cell anemia Sickle cell anemia Sickle cell anemia Sickle cell anemia | Transvaginal Transvaginal Transvaginal Transvaginal Transvaginal Transvaginal Transvaginal Transvaginal | 7 5 21 29 14 5 31 7 | 7 4 16 25 11 3 30 1 |
| Pecker LH et al. (2018) [114] | 1 | 15 | NA | Sickle Cell anemia | Transabdominal | 14 ** | 12 |
| Garg D et al. (2019) [115] | 1 | 14 | Yes (11 years) | Hodgkin lymphoma | Transvaginal | 13 | 11 |
| Azem F et al. (2020) [116] | 1 | 7 | No | Turner syndrome | Transabdominal | 6 | 6 |
| Manuel SL et al. (2020) [117] | 16 | 15.6 (13.0–17.8) | Yes | Malignant and non-malignant diseases | Transvaginal | 13 (4–31) median | 11 (1–28) median |
Publisher’s Note: MDPI stays neutral with regard to jurisdictional claims in published maps and institutional affiliations. |
© 2021 by the authors. Licensee MDPI, Basel, Switzerland. This article is an open access article distributed under the terms and conditions of the Creative Commons Attribution (CC BY) license (https://creativecommons.org/licenses/by/4.0/).
Share and Cite
Dolmans, M.-M.; Hossay, C.; Nguyen, T.Y.T.; Poirot, C. Fertility Preservation: How to Preserve Ovarian Function in Children, Adolescents and Adults. J. Clin. Med. 2021, 10, 5247. https://doi.org/10.3390/jcm10225247
Dolmans M-M, Hossay C, Nguyen TYT, Poirot C. Fertility Preservation: How to Preserve Ovarian Function in Children, Adolescents and Adults. Journal of Clinical Medicine. 2021; 10(22):5247. https://doi.org/10.3390/jcm10225247
Chicago/Turabian StyleDolmans, Marie-Madeleine, Camille Hossay, Thu Yen Thi Nguyen, and Catherine Poirot. 2021. "Fertility Preservation: How to Preserve Ovarian Function in Children, Adolescents and Adults" Journal of Clinical Medicine 10, no. 22: 5247. https://doi.org/10.3390/jcm10225247
APA StyleDolmans, M.-M., Hossay, C., Nguyen, T. Y. T., & Poirot, C. (2021). Fertility Preservation: How to Preserve Ovarian Function in Children, Adolescents and Adults. Journal of Clinical Medicine, 10(22), 5247. https://doi.org/10.3390/jcm10225247

