Prostate Artery Embolization—Review of Indications, Patient Selection, Techniques and Results
Abstract
:1. Introduction
2. Indications
3. Pre-Procedural Patient Evaluation
4. Techniques
4.1. Preprocedure
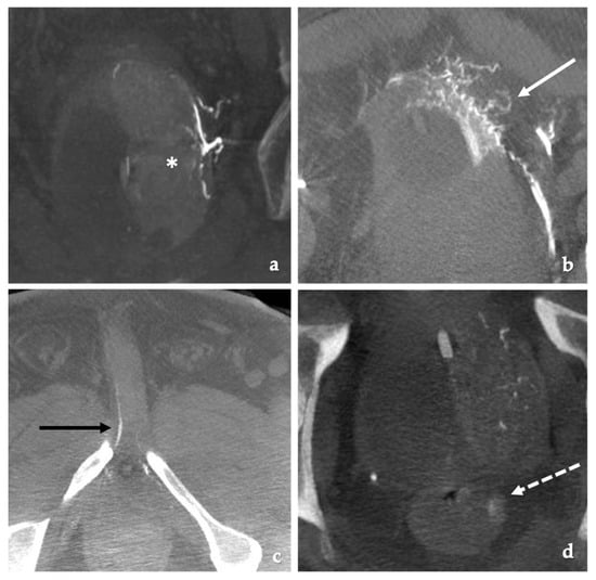
4.2. Procedure
4.3. Post-Procedure
5. Outcomes
5.1. Prospective and Retrospective Case Series
5.2. Randomized Controlled Trials
5.3. Meta-Analyses
| Author | Type of Study | Follow-Up Duration | IPSS (Points) Improvement | QOL (Points) Improvement | Qmax (mL/s) Improvement | PV (cm3) Reduction | Number of Patients Analyzed | Major Reported Complications |
|---|---|---|---|---|---|---|---|---|
| Pisco et al. [12] | Retrospective | 3–6.5 years | PAE: −16.94 ± 8.70 | PAE: −1.74 ± 1.45 | PAE: 7.98 ± 4.83 | PAE: −16.85 ± 25.70 | PAE: 630 | PAE: 2 (bladder ischemia, persistent perineal pain) |
| Carnevale et al. [53] | Retrospective | 3 months–8 years | PAE: −16 ± 7 | PAE: −4 ± 1 | PAE: 6 ± 10 | PAE: −39 ± 39 | PAE: 317 | PAE: 5 (persistent UTI, collapsed asymmetric median lobe, bladder ischemia) |
| Ray et al. [36] | Retrospective | 1 year | PAE: −10.9 TURP: −15.2 | PAE: −2.6 TURP: −3.4 | PAE: 4.4 TURP: 8.6 | PAE: −28.6 TURP: Not measured | PAE: 216 TURP: 89 | PAE: 0 (Clavien Grade ≥ 3 complications) TURP: 0 (Clavien Grade ≥ 3 complications) |
| Gao et al. [67] | Randomized controlled | 2 years | PAE: −15.6 TURP: −16.3 | PAE: −3.2 TURP: −3.2 | PAE: 13.7 TURP: 14.8 | PAE: −29.8 TURP: −36.9 | PAE: 57 TURP: 57 | PAE: 8 (technical and clinical failures) TURP: 4 (transurethral resection syndrome, clinical failures, bladder neck stenosis) |
| Carnevale et al. [55] | Randomized controlled | 1 year | oPAE: −12.5 PErFecTED: −21.0 TURP: −21.5 | oPAE: −2.5 PErFecTED: −3.1 TURP: −3.7 | oPAE: 3.1 PErFecTED: 11.6 TURP: 17.4 | oPAE: −12.1 PErFecTED: −16.2 TURP: −24.6 | oPAE: 15 PErFecTED: 15 TURP: 15 | oPAE: 0 PErFecTED: 0 TURP: 2 (left venous sinus intra-operative damage and rupture of prostatic capsule, bladder catheterization and temporary irrigation) |
| Abt et al. [68] | Randomized controlled | 12 weeks | PAE: −9.23 TURP: −10.77 | PAE: −2.33 TURP: −2.69 | PAE: 5.19 TURP: 15.34 | PAE: −12.17 TURP: −30.27 | PAE: 48 TURP: 51 | PAE: 2 (Clavien Grade ≥ 3 complications) TURP: 7 (Clavien Grade ≥ 3 complications) |
| Insausti et al. [69] | Randomized controlled | 1 year | PAE: −21.0 TURP: −18.2 | PAE: −3.78 TURP: −3.09 | PAE: 6.1 TURP: 9.6 | PAE: −20.5 TURP: −44.7 | PAE: 23 TURP: 22 | PAE: 0 (Clavien Grade ≥ 3 complications) TURP: 1 (Clavien Grade ≥ 3 complication) |
| Pisco et al. [70] | Randomized controlled | 6 months | PAE: −17.1 ± 7.25 | PAE: −3.00 ± 1.13 | PAE: 6.82 ± 6.25 | PAE: −17.6 ± 18.5 | PAE: 39 | PAE: 1 (Clavien Grade ≥ 3 complication) |
| Uflacker et al. [58] | Meta-analysis | 1 year | PAE: −20.39 | PAE: −2.49 | PAE: 5.39 | PAE: −31.31 | PAE: 662 | PAE: 2 (bladder ischemia, transient ischemic rectitis) |
| Malling et al. [26] | Meta-analysis | 1 year | PAE: −16.2 | PAE: −3.0 | PAE: 6.5 | PAE: -20.3 | PAE: 1046 | PAE: 3 (bladder ischemia, persistent UTI, persistent perineal pain) |
6. Safety and Complications
7. Future Directions
8. Conclusions
Author Contributions
Funding
Conflicts of Interest
References
- Egan, K.B. The Epidemiology of Benign Prostatic Hyperplasia Associated with Lower Urinary Tract Symptoms: Prevalence and Incident Rates. Urol. Clin. N. Am. 2016, 43, 289–297. [Google Scholar] [CrossRef]
- Foster, H.E.; Barry, M.J.; Dahm, P.; Gandhi, M.C.; Kaplan, S.A.; Kohler, T.S.; Lerner, L.B.; Lightner, D.J.; Parsons, J.K.; Roehrborn, C.G.; et al. Surgical Management of Lower Urinary Tract Symptoms Attributed to Benign Prostatic Hyperplasia: AUA Guideline. J. Urol. 2018, 200, 612–619. [Google Scholar] [CrossRef] [Green Version]
- Bagla, S.; Smirniotopoulos, J.B.; Orlando, J.C.; van Breda, A.; Vadlamudi, V. Comparative Analysis of Prostate Volume as a Predictor of Outcome in Prostate Artery Embolization. J. Vasc. Interv. Radiol. 2015, 26, 1832–1838. [Google Scholar] [CrossRef] [PubMed]
- Chughtai, B.; Forde, J.C.; Thomas, D.D.; Laor, L.; Hossack, T.; Woo, H.H.; Te, A.E.; Kaplan, S.A. Benign prostatic hyperplasia. Nat. Rev. Dis. Primers 2016, 2, 16031. [Google Scholar] [CrossRef] [PubMed] [Green Version]
- Foster, H.E.; Dahm, P.; Kohler, T.S.; Lerner, L.B.; Parsons, J.K.; Wilt, T.J.; McVary, K.T. Surgical Management of Lower Urinary Tract Symptoms Attributed to Benign Prostatic Hyperplasia: AUA Guideline Amendment 2019. J. Urol. 2019, 202, 592–598. [Google Scholar] [CrossRef] [Green Version]
- Eure, G.; Gange, S.; Walter, P.; Khan, A.; Chabert, C.; Mueller, T.; Cozzi, P.; Patel, M.; Freedman, S.; Chin, P.; et al. Real-World Evidence of Prostatic Urethral Lift Confirms Pivotal Clinical Study Results: 2-Year Outcomes of a Retrospective Multicenter Study. J. Endourol. 2019, 33, 576–584. [Google Scholar] [CrossRef] [PubMed]
- Bortnick, E.; Brown, C.; Simma-Chiang, V.; Kaplan, S.A. Modern best practice in the management of benign prostatic hyperplasia in the elderly. Ther. Adv. Urol. 2020, 12, 1756287220929486. [Google Scholar] [CrossRef]
- Taktak, S.; Jones, P.; Haq, A.; Rai, B.P.; Somani, B.K. Aquablation: A novel and minimally invasive surgery for benign prostate enlargement. Ther. Adv. Urol. 2018, 10, 183–188. [Google Scholar] [CrossRef]
- Vanderbrink, B.A.; Rastinehad, A.R.; Badlani, G.H. Prostatic stents for the treatment of benign prostatic hyperplasia. Curr. Opin. Urol. 2007, 17, 1–6. [Google Scholar] [CrossRef] [PubMed]
- Lam, J.S.; Volpe, M.A.; Kaplan, S.A. Use of prostatic stents for the treatment of benign prostatic hyperplasia in high-risk patients. Curr. Urol. Rep. 2001, 2, 277–284. [Google Scholar] [CrossRef] [PubMed]
- Prostate Artery Embolisation for Lower Urinary Tract Symptoms Caused by Benign Prostatic Hyperplasia. Available online: https://www.nice.org.uk/guidance/IPG611/chapter/1-Recommendations (accessed on 15 March 2021).
- Pisco, J.M.; Bilhim, T.; Pinheiro, L.C.; Fernandes, L.; Pereira, J.; Costa, N.V.; Duarte, M.; Oliveira, A.G. Medium- and Long-Term Outcome of Prostate Artery Embolization for Patients with Benign Prostatic Hyperplasia: Results in 630 Patients. J. Vasc. Interv. Radiol. 2016, 27, 1115–1122. [Google Scholar] [CrossRef]
- Kovacs, A.; Bucker, A.; Grimm, M.O.; Habermann, C.R.; Katoh, M.; Massmann, A.; Mahnken, A.H.; Meyer, B.C.; Moche, M.; Reimer, P.; et al. Position Paper of the German Society for Interventional Radiology (DeGIR) on Prostatic Artery Embolization. Rofo 2020, 192, 835–846. [Google Scholar] [CrossRef]
- Malling, B.; Lonn, L.; Jensen, R.J.; Lindh, M.; Frevert, S.; Brasso, K.; Roder, M.A. Prostate Artery Embolization for Lower Urinary Tract Symptoms in Men Unfit for Surgery. Diagnostics 2019, 9, 46. [Google Scholar] [CrossRef] [PubMed] [Green Version]
- Mayor, S. NICE recommends prostate artery embolisation as a treatment option for BPH symptoms. BMJ 2018, 361, k1879. [Google Scholar] [CrossRef] [PubMed]
- Pereira, K.; Halpern, J.A.; McClure, T.D.; Lewis, N.A.; Kably, I.; Bhatia, S.; Hu, J.C. Role of prostate artery embolization in the management of refractory haematuria of prostatic origin. BJU Int. 2016, 118, 359–365. [Google Scholar] [CrossRef]
- Chen, J.W.; Shin, J.H.; Tsao, T.F.; Ko, H.G.; Yoon, H.K.; Han, K.C.; Thamtorawat, S.; Hong, B. Prostatic Arterial Embolization for Control of Hematuria in Patients with Advanced Prostate Cancer. J. Vasc. Interv. Radiol. 2017, 28, 295–301. [Google Scholar] [CrossRef]
- Tian, W.; Zhou, C.; Leng, B.; Shi, H.; Liu, S. Prostatic Artery Embolization for Control of Gross Hematuria in Patients with Benign Prostatic Hyperplasia: A Single-Center Retrospective Study in 20 Patients. J. Vasc. Interv. Radiol. 2019, 30, 661–667. [Google Scholar] [CrossRef] [PubMed]
- Ayyagari, R.; Powell, T.; Staib, L.; Chapiro, J.; Perez-Lozada, J.C.; Bhatia, S.; Chai, T.; Schoenberger, S.; Devito, R. Prostatic Artery Embolization in Nonindex Benign Prostatic Hyperplasia Patients: Single-center Outcomes for Urinary Retention and Gross Prostatic Hematuria. Urology 2020, 136, 212–217. [Google Scholar] [CrossRef]
- Malling, B.; Roder, M.A.; Lindh, M.; Frevert, S.; Brasso, K.; Lonn, L. Palliative Prostate Artery Embolization for Prostate Cancer: A Case Series. Cardiovasc. Interv. Radiol. 2019, 42, 1405–1412. [Google Scholar] [CrossRef]
- Bhatia, S.; Sinha, V.K.; Kava, B.R.; Gomez, C.; Harward, S.; Punnen, S.; Kably, I.; Miller, J.; Parekh, D.J. Efficacy of Prostatic Artery Embolization for Catheter-Dependent Patients with Large Prostate Sizes and High Comorbidity Scores. J. Vasc. Interv. Radiol. 2018, 29, 78–84.e71. [Google Scholar] [CrossRef]
- Rampoldi, A.; Barbosa, F.; Secco, S.; Migliorisi, C.; Galfano, A.; Prestini, G.; Harward, S.H.; Di Trapani, D.; Brambillasca, P.M.; Ruggero, V.; et al. Prostatic Artery Embolization as an Alternative to Indwelling Bladder Catheterization to Manage Benign Prostatic Hyperplasia in Poor Surgical Candidates. Cardiovasc. Interv. Radiol. 2017, 40, 530–536. [Google Scholar] [CrossRef]
- Tapping, C.R.; Boardman, P. Prostatic artery embolization (PAE) in catheter-dependent patients with large prostatic (BPH) glands (>90 cc): Early intervention essential. Acta Radiol. 2019, 60, 1562–1565. [Google Scholar] [CrossRef] [PubMed]
- Kably, I.; Pereira, K.; Chong, W.; Bhatia, S. Prostate Artery Embolization (PAE) in the Management of Refractory Hematuria of Prostatic Origin Secondary to Iatrogenic Urological Trauma: A Safe and Effective Technique. Urology 2016, 88, 218–221. [Google Scholar] [CrossRef]
- Bhatia, S.S.; Dalal, R.; Gomez, C.; Narayanan, G. Prostatic Artery Embolization After Failed Urological Interventions for Benign Prostatic Obstruction: A Case Series of Three Patients. Cardiovasc. Interv. Radiol. 2016, 39, 1203–1208. [Google Scholar] [CrossRef]
- Malling, B.; Roder, M.A.; Brasso, K.; Forman, J.; Taudorf, M.; Lonn, L. Prostate artery embolisation for benign prostatic hyperplasia: A systematic review and meta-analysis. Eur. Radiol. 2019, 29, 287–298. [Google Scholar] [CrossRef] [PubMed]
- Teichgraber, U.; Aschenbach, R.; Diamantis, I.; von Rundstedt, F.C.; Grimm, M.O.; Franiel, T. Prostate Artery Embolization: Indication, Technique and Clinical Results. Rofo 2018, 190, 847–855. [Google Scholar] [CrossRef] [Green Version]
- Picel, A.C.; Hsieh, T.C.; Shapiro, R.M.; Vezeridis, A.M.; Isaacson, A.J. Prostatic Artery Embolization for Benign Prostatic Hyperplasia: Patient Evaluation, Anatomy, and Technique for Successful Treatment. Radiographics 2019, 39, 1526–1548. [Google Scholar] [CrossRef] [PubMed]
- J, A.P.; Bilhim, T.; Duarte, M.; Rio Tinto, H.; Fernandes, L.; Martins Pisco, J. Patient selection and counseling before prostatic arterial embolization. Tech. Vasc. Interv. Radiol. 2012, 15, 270–275. [Google Scholar] [CrossRef]
- Sarasin, S.M.; Walton, M.J.; Singh, H.P.; Clark, D.I. Can a urinary tract symptom score predict the development of postoperative urinary retention in patients undergoing lower limb arthroplasty under spinal anaesthesia? A prospective study. Ann. R. Coll. Surg. Engl. 2006, 88, 394–398. [Google Scholar] [CrossRef] [Green Version]
- Moon, K.T.; Yoo, T.K.; Kwon, S.Y.; Ha, J.Y.; Byun, S.S.; Kim, J.H.; Chung, J.I.; Kim, T.H.; Moon, H.S.; Kim, S.J.; et al. A randomised, placebo-controlled, multicentre, Phase 2 clinical trial to evaluate the efficacy and safety of GV1001 in patients with benign prostatic hyperplasia. BJU Int. 2018, 122, 283–292. [Google Scholar] [CrossRef] [PubMed] [Green Version]
- Hareendran, A.; Abraham, L. Using a treatment satisfaction measure in an early trial to inform the evaluation of a new treatment for benign prostatic hyperplasia. Value Health 2005, 8, S35–S40. [Google Scholar] [CrossRef] [Green Version]
- Porst, H.; Kim, E.D.; Casabe, A.R.; Mirone, V.; Secrest, R.J.; Xu, L.; Sundin, D.P.; Viktrup, L.; LVHJ Study Team. Efficacy and safety of tadalafil once daily in the treatment of men with lower urinary tract symptoms suggestive of benign prostatic hyperplasia: Results of an international randomized, double-blind, placebo-controlled trial. Eur. Urol. 2011, 60, 1105–1113. [Google Scholar] [CrossRef]
- Wong, T.; Tembelis, M.; Acharya, V.; Hoffmann, J.C. Prostatic Artery Embolization and Sexual Function: Literature Review and Comparison to Other Urologic Interventions. Tech. Vasc. Interv. Radiol. 2020, 23, 100693. [Google Scholar] [CrossRef]
- Kuntz, R.M.; Ahyai, S.; Lehrich, K.; Fayad, A. Transurethral holmium laser enucleation of the prostate versus transurethral electrocautery resection of the prostate: A randomized prospective trial in 200 patients. J. Urol. 2004, 172, 1012–1016. [Google Scholar] [CrossRef]
- Ray, A.F.; Powell, J.; Speakman, M.J.; Longford, N.T.; DasGupta, R.; Bryant, T.; Modi, S.; Dyer, J.; Harris, M.; Carolan-Rees, G.; et al. Efficacy and safety of prostate artery embolization for benign prostatic hyperplasia: An observational study and propensity-matched comparison with transurethral resection of the prostate (the UK-ROPE study). BJU Int. 2018, 122, 270–282. [Google Scholar] [CrossRef] [PubMed] [Green Version]
- Pisco, J.; Bilhim, T.; Pinheiro, L.C.; Fernandes, L.; Pereira, J.; Costa, N.V.; Duarte, M.; Oliveira, A.G. Prostate Embolization as an Alternative to Open Surgery in Patients with Large Prostate and Moderate to Severe Lower Urinary Tract Symptoms. J. Vasc. Interv. Radiol. 2016, 27, 700–708. [Google Scholar] [CrossRef]
- McWilliams, J.P.; Bilhim, T.A.; Carnevale, F.C.; Bhatia, S.; Isaacson, A.J.; Bagla, S.; Sapoval, M.R.; Golzarian, J.; Salem, R.; McClure, T.D.; et al. Society of Interventional Radiology Multisociety Consensus Position Statement on Prostatic Artery Embolization for Treatment of Lower Urinary Tract Symptoms Attributed to Benign Prostatic Hyperplasia: From the Society of Interventional Radiology, the Cardiovascular and Interventional Radiological Society of Europe, Societe Francaise de Radiologie, and the British Society of Interventional Radiology: Endorsed by the Asia Pacific Society of Cardiovascular and Interventional Radiology, Canadian Association for Interventional Radiology, Chinese College of Interventionalists, Interventional Radiology Society of Australasia, Japanese Society of Interventional Radiology, and Korean Society of Interventional Radiology. J. Vasc. Interv. Radiol. 2019, 30, 627–637.e1. [Google Scholar] [CrossRef] [PubMed] [Green Version]
- Young, S.; Golzarian, J. Prostate embolization: Patient selection, clinical management and results. CVIR Endovasc. 2019, 2, 7. [Google Scholar] [CrossRef] [PubMed]
- Moreira, A.M.; de Assis, A.M.; Carnevale, F.C.; Oliveira, D.S.; Antunes, A.A. Improvements in Irritative Versus Obstructive Symptoms of the International Prostate Symptom Score After Prostatic Artery Embolization in 174 Patients, in a Single Center. Cardiovasc. Interv. Radiol. 2020, 43, 613–619. [Google Scholar] [CrossRef]
- Tanguay, S.; Awde, M.; Brock, G.; Casey, R.; Kozak, J.; Lee, J.; Nickel, J.C.; Saad, F. Diagnosis and management of benign prostatic hyperplasia in primary care. Can. Urol. Assoc. J. 2009, 3, S92–S100. [Google Scholar] [CrossRef] [Green Version]
- Cannon, G.W.; Getzenberg, R.H. Biomarkers for benign prostatic hyperplasia progression. Curr. Urol. Rep. 2008, 9, 279–283. [Google Scholar] [CrossRef] [Green Version]
- Hashem, E.; Elsobky, S.; Khalifa, M. Prostate Artery Embolization for Benign Prostate Hyperplasia Review: Patient Selection, Outcomes, and Technique. Semin. Ultrasound CT MR 2020, 41, 357–365. [Google Scholar] [CrossRef] [PubMed]
- Bae, K.T. Intravenous contrast medium administration and scan timing at CT: Considerations and approaches. Radiology 2010, 256, 32–61. [Google Scholar] [CrossRef] [PubMed]
- Maclean, D.; Harris, M.; Drake, T.; Maher, B.; Modi, S.; Dyer, J.; Somani, B.; Hacking, N.; Bryant, T. Factors Predicting a Good Symptomatic Outcome After Prostate Artery Embolisation (PAE). Cardiovasc. Interv. Radiol 2018, 41, 1152–1159. [Google Scholar] [CrossRef]
- Wang, M.; Guo, L.; Duan, F.; Yuan, K.; Zhang, G.; Li, K.; Yan, J.; Wang, Y.; Kang, H. Prostatic arterial embolization for the treatment of lower urinary tract symptoms caused by benign prostatic hyperplasia: A comparative study of medium- and large-volume prostates. BJU Int. 2016, 117, 155–164. [Google Scholar] [CrossRef] [PubMed]
- Somwaru, A.S.; Metting, S.; Flisnik, L.M.; Nellamattathil, M.G.; Sharma, A.; Katabathina, V.S. Prostate artery embolization has long term efficacy for treatment of severe lower urinary tract symptoms from giant prostatic hyperplasia. BMC Urol. 2020, 20, 153. [Google Scholar] [CrossRef]
- Wang, M.Q.; Guo, L.P.; Zhang, G.D.; Yuan, K.; Li, K.; Duan, F.; Yan, J.Y.; Wang, Y.; Kang, H.Y.; Wang, Z.J. Prostatic arterial embolization for the treatment of lower urinary tract symptoms due to large (>80 mL) benign prostatic hyperplasia: Results of midterm follow-up from Chinese population. BMC Urol. 2015, 15, 33. [Google Scholar] [CrossRef] [Green Version]
- Yu, S.C.H.; Cho, C.C.M.; Hung, E.H.Y.; Zou, J.; Yuen, B.T.Y.; Shi, L.; Chiu, P.K.F.; Yee, S.C.H.; Ng, A.C.F. Thickness-to-Height Ratio of Intravesical Prostatic Protrusion Predicts the Clinical Outcome and Morbidity of Prostatic Artery Embolization for Benign Prostatic Hyperplasia. J. Vasc. Interv. Radiol. 2019, 30, 1807–1816. [Google Scholar] [CrossRef] [PubMed]
- Bilhim, T. Prostatic Artery Embolization and the Median Lobe: Stuck in the Middle with You? J. Vasc. Interv. Radiol. 2019, 30, 1817–1819. [Google Scholar] [CrossRef]
- Singhal, S.; Sebastian, B.; Madhurkar, R.; Uthappa, M.C. Prostate artery embolisation: An initial experience from an Indian perspective. Pol. J. Radiol. 2018, 83, e554–e559. [Google Scholar] [CrossRef]
- Carnevale, F.C.; Moreira, A.M.; Antunes, A.A. The “PErFecTED technique”: Proximal embolization first, then embolize distal for benign prostatic hyperplasia. Cardiovasc. Interv. Radiol. 2014, 37, 1602–1605. [Google Scholar] [CrossRef] [PubMed]
- Carnevale, F.C.; Moreira, A.M.; de Assis, A.M.; Antunes, A.A.; Cristina de Paula Rodrigues, V.; Srougi, M.; Cerri, G.G. Prostatic Artery Embolization for the Treatment of Lower Urinary Tract Symptoms Due to Benign Prostatic Hyperplasia: 10 Years’ Experience. Radiology 2020, 296, 444–451. [Google Scholar] [CrossRef]
- Mouli, S.; Hohlastos, E.; Salem, R. Prostate Artery Embolization. Semin. Interv. Radiol. 2019, 36, 142–148. [Google Scholar] [CrossRef] [PubMed]
- Carnevale, F.C.; Iscaife, A.; Yoshinaga, E.M.; Moreira, A.M.; Antunes, A.A.; Srougi, M. Transurethral Resection of the Prostate (TURP) Versus Original and PErFecTED Prostate Artery Embolization (PAE) Due to Benign Prostatic Hyperplasia (BPH): Preliminary Results of a Single Center, Prospective, Urodynamic-Controlled Analysis. Cardiovasc. Interv. Radiol. 2016, 39, 44–52. [Google Scholar] [CrossRef]
- Goncalves, O.M.; Carnevale, F.C.; Moreira, A.M.; Antunes, A.A.; Rodrigues, V.C.; Srougi, M. Comparative Study Using 100–300 Versus 300–500 mum Microspheres for Symptomatic Patients Due to Enlarged-BPH Prostates. Cardiovasc. Interv. Radiol. 2016, 39, 1372–1378. [Google Scholar] [CrossRef] [PubMed]
- Bhatia, S.; Sinha, V.; Bordegaray, M.; Kably, I.; Harward, S.; Narayanan, G. Role of Coil Embolization during Prostatic Artery Embolization: Incidence, Indications, and Safety Profile☆. J. Vasc. Interv. Radiol. 2017, 28, 656–664.e653. [Google Scholar] [CrossRef]
- Uflacker, A.; Haskal, Z.J.; Bilhim, T.; Patrie, J.; Huber, T.; Pisco, J.M. Meta-Analysis of Prostatic Artery Embolization for Benign Prostatic Hyperplasia. J. Vasc. Interv. Radiol. 2016, 27, 1686–1697.e8. [Google Scholar] [CrossRef]
- Feng, S.; Tian, Y.; Liu, W.; Li, Z.; Deng, T.; Li, H.; Wang, K. Prostatic Arterial Embolization Treating Moderate-to-Severe Lower Urinary Tract Symptoms Related to Benign Prostate Hyperplasia: A Meta-Analysis. Cardiovasc. Interv. Radiol. 2017, 40, 22–32. [Google Scholar] [CrossRef]
- Yu, S.C.H.; Cho, C.; Hung, E.; Wang, D.; Chiu, P.; Yee, C.H.; Ng, A. Case-Control Study of Intra-arterial Verapamil for Intraprostatic Anastomoses to Extraprostatic Arteries in Prostatic Artery Embolization for Benign Prostatic Hypertrophy. J. Vasc. Interv. Radiol. 2017, 28, 1167–1176. [Google Scholar] [CrossRef]
- De Assis, A.M.; Moreira, A.M.; de Paula Rodrigues, V.C.; Yoshinaga, E.M.; Antunes, A.A.; Harward, S.H.; Srougi, M.; Carnevale, F.C. Prostatic artery embolization for treatment of benign prostatic hyperplasia in patients with prostates > 90 g: A prospective single-center study. J. Vasc. Interv. Radiol. 2015, 26, 87–93. [Google Scholar] [CrossRef]
- Kurbatov, D.; Russo, G.I.; Lepetukhin, A.; Dubsky, S.; Sitkin, I.; Morgia, G.; Rozhivanov, R.; Cimino, S.; Sansalone, S. Prostatic artery embolization for prostate volume greater than 80 cm3: Results from a single-center prospective study. Urology 2014, 84, 400–404. [Google Scholar] [CrossRef]
- Patel, N.R.; Elterman, D.S.; Thulasidasan, N.; Altman, R.; Tai, E.; Zener, R.; Stella, S.F.; Annamalai, G.; Mafeld, S.; Simons, M.E. Initial Canadian Experience of Prostate Artery Embolization for Symptomatic Benign Prostatic Hyperplasia: Midterm Outcomes. Can. Assoc. Radiol. J. 2020, 72, 846537120939930. [Google Scholar] [CrossRef]
- Salem, R.; Hairston, J.; Hohlastos, E.; Riaz, A.; Kallini, J.; Gabr, A.; Ali, R.; Jenkins, K.; Karp, J.; Desai, K.; et al. Prostate Artery Embolization for Lower Urinary Tract Symptoms Secondary to Benign Prostatic Hyperplasia: Results From a Prospective FDA-Approved Investigational Device Exemption Study. Urology 2018, 120, 205–210. [Google Scholar] [CrossRef] [PubMed]
- Wang, M.Q.; Wang, Y.; Yan, J.Y.; Yuan, K.; Zhang, G.D.; Duan, F.; Li, K. Prostatic artery embolization for the treatment of symptomatic benign prostatic hyperplasia in men >/=75 years: A prospective single-center study. World J. Urol. 2016, 34, 1275–1283. [Google Scholar] [CrossRef] [PubMed]
- Parikh, N.; Acharya, V.; Bhatia, S. Prostate Artery Embolization—Adverse Events and Peri-Procedural Management. Tech. Vasc. Interv. Radiol. 2020, 23, 100692. [Google Scholar] [CrossRef]
- Gao, Y.A.; Huang, Y.; Zhang, R.; Yang, Y.D.; Zhang, Q.; Hou, M.; Wang, Y. Benign prostatic hyperplasia: Prostatic arterial embolization versus transurethral resection of the prostate--a prospective, randomized, and controlled clinical trial. Radiology 2014, 270, 920–928. [Google Scholar] [CrossRef] [Green Version]
- Abt, D.; Hechelhammer, L.; Mullhaupt, G.; Markart, S.; Gusewell, S.; Kessler, T.M.; Schmid, H.P.; Engeler, D.S.; Mordasini, L. Comparison of prostatic artery embolisation (PAE) versus transurethral resection of the prostate (TURP) for benign prostatic hyperplasia: Randomised, open label, non-inferiority trial. BMJ 2018, 361, k2338. [Google Scholar] [CrossRef] [Green Version]
- Insausti, I.; Saez de Ocariz, A.; Galbete, A.; Capdevila, F.; Solchaga, S.; Giral, P.; Bilhim, T.; Isaacson, A.; Urtasun, F.; Napal, S. Randomized Comparison of Prostatic Artery Embolization versus Transurethral Resection of the Prostate for Treatment of Benign Prostatic Hyperplasia. J. Vasc. Interv. Radiol. 2020, 31, 882–890. [Google Scholar] [CrossRef]
- Pisco, J.M.; Bilhim, T.; Costa, N.V.; Torres, D.; Pisco, J.; Pinheiro, L.C.; Oliveira, A.G. Randomised Clinical Trial of Prostatic Artery Embolisation Versus a Sham Procedure for Benign Prostatic Hyperplasia. Eur. Urol. 2020, 77, 354–362. [Google Scholar] [CrossRef]
- Jiang, Y.L.; Qian, L.J. Transurethral resection of the prostate versus prostatic artery embolization in the treatment of benign prostatic hyperplasia: A meta-analysis. BMC Urol. 2019, 19, 11. [Google Scholar] [CrossRef]
- Antunes, A.A.; Carnevale, F.C.; da Motta Leal Filho, J.M.; Yoshinaga, E.M.; Cerri, L.M.; Baroni, R.H.; Marcelino, A.S.; Cerri, G.G.; Srougi, M. Clinical, laboratorial, and urodynamic findings of prostatic artery embolization for the treatment of urinary retention related to benign prostatic hyperplasia. A prospective single-center pilot study. Cardiovasc. Interv. Radiol. 2013, 36, 978–986. [Google Scholar] [CrossRef] [PubMed]
- Grosso, M.; Balderi, A.; Arno, M.; Sortino, D.; Antonietti, A.; Pedrazzini, F.; Giovinazzo, G.; Vinay, C.; Maugeri, O.; Ambruosi, C.; et al. Prostatic artery embolization in benign prostatic hyperplasia: Preliminary results in 13 patients. Radiol. Med. 2015, 120, 361–368. [Google Scholar] [CrossRef]
- Alrashidi, I.; Alahmari, F.; Garad, F.; Alruhaimi, A.; El-Tholoth, H.S.; Alnemer, M.; Said, M. Intraprostatic Abscess: An Acute Complication of Prostatic Artery Embolization. J. Vasc. Interv. Radiol. 2019, 30, 267–269. [Google Scholar] [CrossRef]
- Zhang, J.L.; Yuan, B.; Wang, M.Q.; Fu, J.X.; Duan, F.; Wang, T.; Shen, L.; Wang, Y.; Liu, J.H.; Shen, Y.G.; et al. Prostatic Artery Embolization for Benign Prostatic Hyperplasia: Bleomycin-Eluting versus Bland Microspheres in a Canine Model. J. Vasc. Interv. Radiol. 2020, 31, 820–830. [Google Scholar] [CrossRef] [PubMed]
- Li, X.; Ji, X.; Chen, K.; Ullah, M.W.; Yuan, X.; Lei, Z.; Cao, J.; Xiao, J.; Yang, G. Development of finasteride/PHBV@polyvinyl alcohol/chitosan reservoir-type microspheres as a potential embolic agent: From in vitro evaluation to animal study. Biomater. Sci. 2020, 8, 2797–2813. [Google Scholar] [CrossRef]
- Li, X.; Li, B.; Ullah, M.W.; Panday, R.; Cao, J.; Li, Q.; Zhang, Y.; Wang, L.; Yang, G. Water-stable and finasteride-loaded polyvinyl alcohol nanofibrous particles with sustained drug release for improved prostatic artery embolization—In vitro and in vivo evaluation. Mater. Sci. Eng. C 2020, 115, 111107. [Google Scholar] [CrossRef] [PubMed]



| Treatment | Description | Prostate Size |
|---|---|---|
| Open Simple Prostatectomy [4,5] | The complete or partial removal of the prostate via a suprapubic or retropubic approach. | Large |
| Transurethral Resection of the Prostate (TURP) [4,5] | A resectoscope is inserted via a transurethral approach. Portions of the excess prostate that are blocking the urine flow are cut and suctioned out. | Small to Average |
| Transurethral Incision of the Prostate (TUIP) [4,5] | A resectoscope is inserted via a transurethral approach. Small cuts are made at the area where the bladder and prostate are connected to increase urine flow. | Small |
| Transurethral Vaporization of the Prostate (TUVP) [4] | A small ball or button shaped instrument is used to heat the prostatic tissue, turning it into vapor and increasing urinary flow. | Small to Average |
| Transurethral Microwave Therapy (TUMT) [5] | A small antenna is inserted via a transurethral approach and delivers microwave thermal energy that destroys excess prostate tissue that is blocking urine flow. | Small to Average |
| Prostatic Urethral Lift (PUL) [4,6,7] | Small UroLift® implants are placed in the prostate via a minimally invasive approach to lift and move the prostate, reducing the obstruction to urinary flow | Small to Large |
| Rezūm™ [5,7] | Uses water vapor thermal energy to ablate the prostate. The water vapor disrupts the prostatic cell membranes, resulting in necrosis of the prostatic cells. This reduces the size and volume of the prostate. | Small to Average |
| Aquablation [5,7,8] | Aquablation (AquaBeam®, Procept BioRobotics, Redwood Shores, CA, USA) uses a high-velocity water jet robotic instrument to remove prostatic tissue without the use of thermal energy. This is a minimally invasive, transurethral approach that utilizes ultrasound guidance. | Small to Average |
| Prostatic Stenting [9,10] | Temporary or permanent prostatic stents of various sizes can be placed in the urethra to resolve the urethral obstruction and improve the flow of urine. | Small to Large |
| Photoselective Vaporization of the Prostate (PVP) [4,5,7] | Uses laser energy via a transurethral approach to vaporize excess prostate tissue and improve the flow of urine by widening the urinary channel | Small to Average |
| Holmium Laser Enucleation of the Prostate (HoLEP) [4,5] | Uses a holmium laser via a minimally invasive, endoscopic treatment to enucleate prostatic tissue that is blocking urine flow. Next, an additional instrument is used to cut the excess prostatic tissue into smaller portions and remove them. | Small to Large |
Publisher’s Note: MDPI stays neutral with regard to jurisdictional claims in published maps and institutional affiliations. |
© 2021 by the authors. Licensee MDPI, Basel, Switzerland. This article is an open access article distributed under the terms and conditions of the Creative Commons Attribution (CC BY) license (https://creativecommons.org/licenses/by/4.0/).
Share and Cite
Naidu, S.G.; Narayanan, H.; Saini, G.; Segaran, N.; Alzubaidi, S.J.; Patel, I.J.; Oklu, R. Prostate Artery Embolization—Review of Indications, Patient Selection, Techniques and Results. J. Clin. Med. 2021, 10, 5139. https://doi.org/10.3390/jcm10215139
Naidu SG, Narayanan H, Saini G, Segaran N, Alzubaidi SJ, Patel IJ, Oklu R. Prostate Artery Embolization—Review of Indications, Patient Selection, Techniques and Results. Journal of Clinical Medicine. 2021; 10(21):5139. https://doi.org/10.3390/jcm10215139
Chicago/Turabian StyleNaidu, Sailendra G., Harish Narayanan, Gia Saini, Nicole Segaran, Sadeer J. Alzubaidi, Indravadan J. Patel, and Rahmi Oklu. 2021. "Prostate Artery Embolization—Review of Indications, Patient Selection, Techniques and Results" Journal of Clinical Medicine 10, no. 21: 5139. https://doi.org/10.3390/jcm10215139
APA StyleNaidu, S. G., Narayanan, H., Saini, G., Segaran, N., Alzubaidi, S. J., Patel, I. J., & Oklu, R. (2021). Prostate Artery Embolization—Review of Indications, Patient Selection, Techniques and Results. Journal of Clinical Medicine, 10(21), 5139. https://doi.org/10.3390/jcm10215139

