Three-Dimensional Evaluation of Condyle-Glenoid Fossa Complex Following Treatment with Herbst Appliance
Abstract
:1. Introduction
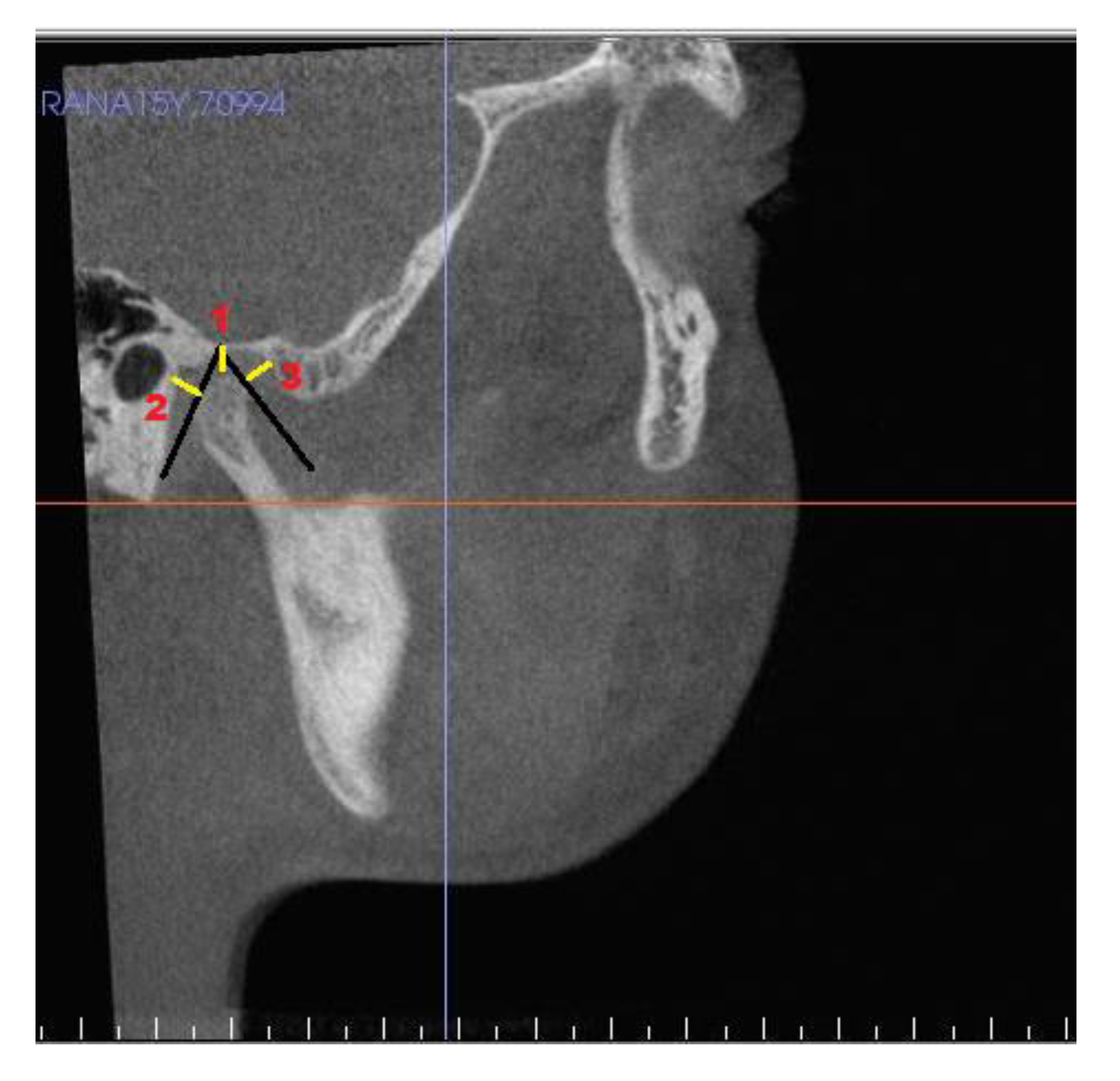
2. Materials and Methods
Statistical Analysis
3. Results
4. Discussion
5. Conclusions
- There was no significant positional change of condyle within glenoid fossa.
- An increase in condylar volume showed enhanced growth at the condylar head in the Herbst treated group.
Author Contributions
Funding
Institutional Review Board Statement
Informed Consent Statement
Data Availability Statement
Conflicts of Interest
References
- McNamara, J.A. Components of Class II malocclusion in children 8–10 years of age. Angle Orthod. 1981, 51, 177–202. [Google Scholar] [PubMed]
- Bock, N.; Pancherz, H. Herbst treatment of class II division 1 malocclusions in retrognathic and prognathic facial types. Angle Orthod. 2006, 76, 930–941. [Google Scholar] [CrossRef] [Green Version]
- Hagg, U.; Pancherz, H. Dentofacial orthopaedics in relation to chronological age, growth period and skeletal development: An analysis of 72 male patients with class II division 1 malocclusion treated with the herbst appliance. Eur. J. Orthod. 1988, 10, 169–176. [Google Scholar] [CrossRef]
- Ruf, S.; Pancherz, H. Dentoskeletal effects and facial profile changes in young adults treated with the herbst appliance. Angle Orthod. 1999, 69, 239–246. [Google Scholar] [PubMed]
- Ruf, S.; Pancherz, H. Herbst/multibracket appliance treatment of class II division 1 malocclusions in early and late adulthood: A prospective cephalometric study of consecutively treated subjects. Eur. J. Orthod. 2006, 28, 352–360. [Google Scholar] [CrossRef] [PubMed] [Green Version]
- Baccetti, T.; Franchi, L.; McNamara, J.A., Jr. An improved version of the cervical vertebral maturation method for the assessment of mandibular growth. Angle Orthod. 2002, 72, 316–323. [Google Scholar]
- Kinzinger, G.; Kober, C.; Diedrich, P. Topography and morphology of the mandibular condyle during fixed functional orthopedic treatment- a magnetic resonance imaging study. J. Orofac. Orthop. 2007, 68, 124–147. [Google Scholar] [CrossRef] [PubMed]
- Pancherz, H.; Hägg, U. Dentofacial orthopedics in relation to somatic maturation: An analysis of 70 consecutive cases treated with the Herbst appliance. Am. J. Orthod. 1985, 88, 273–287. [Google Scholar] [CrossRef]
- Bock, N.C.; Jost, J.; Ruf, S. Outcome quality of Class II division 1 Herbst-multibracket appliance treatment: Influence of pre-treatment Class II severity and skeletal maturity. Eur. J. Orthod. 2021, 43, 424–431. [Google Scholar] [CrossRef] [PubMed]
- Croft, R.S.; Buschang, P.H.; English, J.D.; Meyer, R. A cephalometric and tomographic evaluation of Herbst treatment in the mixed dentition. Am. J. Orthod. Dentofac. Orthop. 1999, 116, 435–443. [Google Scholar] [CrossRef]
- LeCornu, M.; Cevidanes, L.H.; Zhu, H.; Wu, C.D.; Larson, B.; Nguyen, T. Three-dimensional treatment outcomes in Class II patients treated with the herbst appliance: A pilot study. Am. J. Orthod. Dentofac. Orthop. 2013, 144, 818–830. [Google Scholar] [CrossRef] [PubMed] [Green Version]
- Ruf, S.; Pancherz, H. Temporomandibular joint growth adaptation in Herbst treatment: A prospective magnetic resonance imaging and cephalometric roentgenographic study. Eur. J. Orthod. 1998, 20, 375–388. [Google Scholar] [CrossRef] [PubMed] [Green Version]
- Cheib Vilefort, P.L.; Farah, L.O.; Gontijo, H.P.; Moro, A.; Ruellas, A.C.O.; Cevidanes, L.H.S.; Nguyen, T.; Franchi, L.; McNamara, J.A., Jr.; Souki, B.Q. Condyle-glenoid fossa relationship after Herbst appliance treatment during two stages of craniofacial skeletal maturation: A retrospective study. Orthod. Craniofac. Res. 2019, 22, 345–353. [Google Scholar] [CrossRef] [PubMed]
- Wei, R.Y.; Atresh, A.; Ruellas, A.; Cevidanes, L.H.S.; Nguyen, T.; Larson, B.E.; Mangum, J.E.; Manton, D.J.; Schneider, P.M. Three-dimensional condylar changes from Herbst appliance and multibracket treatment: A comparison with matched Class II elastics. Am. J. Orthod. Dentofac. Orthop. 2020, 158, 505–517. [Google Scholar] [CrossRef]
- Al-Saleh, M.A.; Alsufyani, N.; Flores-Mir, C.; Nebbe, B.; Major, P.W. Changes in temporomandibular joint morphology in class II patients treated with fixed mandibular repositioning and evaluated through 3D imaging: A systematic review. Orthod. Craniofac. Res. 2015, 18, 185–201. [Google Scholar] [CrossRef] [PubMed]
- Scarfe, W.C.; Farman, A.G. What is cone-beam CT and how does it work? Dent. Clin. N. Am. 2008, 52, 707–730. [Google Scholar] [CrossRef] [PubMed]
- Elfeky, H.Y.; Fayed, M.S.; Alhammadi, M.S.; Soliman, S.A.Z.; El Boghdadi, D.M. Three-dimensional skeletal, dentoalveolar and temporomandibular joint changes produced by Twin Block functional appliance. J. Orofac. Orthop. 2018, 79, 245–258. [Google Scholar] [CrossRef] [PubMed]
- Sidhu, M.S. Fabrication and Management of splint design Herbst Appliance. J. Ind. Orthod. Soc. 1990, 21, 25–30. [Google Scholar]
- Sidhu, M.S.; Kharbanda, O.P.; Sidhu, S.S. Cephalometric Analysis of changes produced by the Herbst Appliance in the treatment of Class II division 1 malocclusion. Br. J. Orthod. 1995, 22, 1–12. [Google Scholar] [CrossRef] [PubMed]
- Leonardi, R.; Caltabiano, M.; Cavallini, C.; Sicurezza, E.; Barbato, E.; Spampinato, C.; Giordano, D. Condyle fossa relationship associated with functional posterior crossbite, before and after rapid maxillary expansion. Angle Orthod. 2012, 82, 1040–1046. [Google Scholar] [CrossRef] [Green Version]
- Stahl, F.; Baccetti, T.; Franchi, L.; McNamara, J.A., Jr. Longitudinal growth changes in untreated subjects with Class II division 1 malocclusion. Am. J. Orthod. Dentofac. Orthop. 2008, 134, 125–137. [Google Scholar] [CrossRef] [PubMed]
- Tulloch, J.F.C.; Phillips, C.; Koch, G.; Proffit, W.R. The effect of early intervention on skeletal pattern in Class II malocclusion: A randomized clinical trial. Am. J. Orthod. Dentofac. Orthop. 1997, 111, 391–400. [Google Scholar] [CrossRef]
- Atresh, A.; Cevidanes, L.H.S.; Yatabe, M.; Muniz, L.; Nguyen, T.; Larson, B.; Manton, D.J.; Schneider, P.M. Three-dimensional treatment outcomes in Class II patients with different vertical facial patterns treated with the Herbst appliance. Am. J. Orthod. Dentofac. Orthop. 2018, 154, 238–248. [Google Scholar] [CrossRef]
- Durão, A.R.; Pittayapat, P.; Rockenbach, M.I.B.; Olszewski, R.; Ng, S.; Ferreira, A.P.; Jacobs, R. Validity of 2D lateral cephalometry in orthodontics: A systematic review. Prog. Orthod. 2013, 14, 31. [Google Scholar] [CrossRef] [PubMed] [Green Version]
- De Clerck, H.; Nguyen, T.; de Paula, L.K.; Cevidanes, L. Three-dimensional assessment of mandibular and glenoid fossa changes after bone-anchored Class III intermaxillary traction. Am. J. Orthod. Dentofac. Orthop. 2012, 142, 25–31. [Google Scholar] [CrossRef] [Green Version]
- Fan, Y.; Schneider, P.; Matthews, H.; Roberts, W.E.; Xu, T.; Wei, R.; Claes, P.; Clement, J.; Kilpatrick, N.; Penington, A. 3D assessment of mandibular skeletal effects produced by the Herbst appliance. BMC Oral Health 2020, 20, 117. [Google Scholar] [CrossRef] [PubMed]
- Hilgers, M.L.; Scarfe, W.C.; Scheetz, J.P.; Farman, A.G. Accuracy of linear temporomandibular joint measurements with cone beam computed tomography and digital cephalometric radiography. Am. J. Orthod. Dentofac. Orthop. 2005, 128, 803–811. [Google Scholar] [CrossRef] [PubMed]
- Zhang, Z.L.; Cheng, J.G.; Li, G.; Zhang, J.Z.; Zhang, Z.Y.; Ma, X.C. Measurement accuracy of temporomandibular joint space in Promax 3-dimensional cone-beam computerized tomography images. Oral Surg. Oral Med. Oral Pathol. Oral Radiol. 2012, 114, 112–117. [Google Scholar] [CrossRef]
- Garib, D.G.; Calil, L.R.; Leal, C.R.; Janson, G. Is there a consensus for CBCT use in Orthodontics? Dent. Press J. Orthod. 2014, 19, 136–149. [Google Scholar] [CrossRef] [Green Version]
- McNamara, J.A.; Carlson, D.S. Quantitative analysis of temporomandibular joint adaptations to protrusive function. Am. J. Orthod. 1979, 76, 593–611. [Google Scholar] [CrossRef] [Green Version]
- Charlier, J.P.; Petrovic, A.; Stutzmann, J.H. Effects of mandibular hyperpropulsion on the prechondroblastic zone of young rat condyle. Am. J. Orthod. 1969, 55, 71–74. [Google Scholar] [CrossRef]
- Woodside, D.G.; Altuna, G.; Harvold, E.; Herbert, M.; Metaxas, A. Primate experiments in malocclusion and bone induction. Am. J. Orthod. 1983, 83, 460–468. [Google Scholar] [CrossRef]
- Souki, B.Q.; Vilefort, P.L.C.; Oliveira, D.D.; Andrade, I., Jr.; Ruellas, A.C.; Yatabe, M.S.; Nguyen, T.; Franchi, L.; McNamara, J.A., Jr.; Cevidanes, L.H.S. Three-dimensional skeletal mandibular changes associated with Herbst appliance treatment. Orthod. Craniofac. Res. 2017, 20, 111–118. [Google Scholar] [CrossRef]
- Yildirim, E.; Karacay, S.; Erkan, M. Condylar response to functional therapy with Twin-Block as shown by cone-beam computed tomography. Angle Orthod. 2014, 84, 1018–1025. [Google Scholar] [CrossRef] [PubMed]
- Voudouris, J.C.; Woodside, D.G.; Altuna, G.; Kuftinec, M.M.; Angelopoulos, G.; Bourque, P.J. Condyle-fossa modifications and muscle interactions during Herbst treatment, Part 1: New technological methods. Am. J. Orthod. Dentofac. Orthop. 2003, 123, 604–613. [Google Scholar] [CrossRef]
- Voudouris, J.C.; Woodside, D.G.; Altuna, G.; Angelopoulos, G.; Bourque, P.J.; Lacouture, C.Y. Condyle-fossa modifications and muscle interactions during Herbst treatment, Part 2: Results and conclusions. Am. J. Orthod. Dentofac. Orthop. 2003, 124, 13–29. [Google Scholar] [CrossRef]
- Kinzinger, G.; Hourfar, J.; Kober, C.; Lissan, J.A. Mandibular fossa morphology during therapy with a fixed functional orthodontic appliance: A magnetic resonance imaging study. J. Orofac. Orthop. 2018, 79, 116–132. [Google Scholar] [CrossRef] [PubMed]
- Windmiller, E.C. The acrylic-splint Herbst appliance: A cephalometric evaluation. Am. J. Orthod. Dentofac. Orthop. 1993, 104, 73–84. [Google Scholar] [CrossRef]
- Rabie, A.B.; Zhao, Z.; Shen, G.; Hägg, E.U.; Robinson, W. Osteogenesis in the glenoid fossa in response to mandibular advancement. Am. J. Orthod. Dentofac. Orthop. 2001, 119, 390–400. [Google Scholar] [CrossRef] [PubMed]
- Björk, A. Variations in the growth pattern of the human mandible: Longitudinal radiographic study by the implant method. J. Dent. Res. 1963, 42, 400–411. [Google Scholar] [CrossRef] [PubMed]
- Popovich, F.; Thompson, G. Craniofacial templates for orthodontic case analysis. Am. J. Orthod. 1977, 1, 406–420. [Google Scholar] [CrossRef]
- Baccetti, T.; Antonini, A.; Franchi, L.; Tonti, M.; Tollaro, I. Glenoid fossa position in different facial types: A cephalometric study. J. Orthod. 1997, 24, 55–59. [Google Scholar] [CrossRef] [PubMed]
- Buschang, P.H.; Santos-Pinto, A. Condylar growth and glenoid fossa displacement during childhood and adolescence. Am. J. Orthod. Dentofac. Orthop. 1998, 113, 437–442. [Google Scholar]
- Voudouris, J.C.; Kuftinec, M.M. Improved clinical use of Twin-block and Herbst as a result of radiating viscoelastic tissue forces on the condyle and fossa in treatment and long-term retention: Growth relativity. Am. J. Orthod. Dentofac. Orthop. 2000, 117, 247–266. [Google Scholar] [CrossRef]
- Ruf, S.; Pancherz, H. Temporomandibular joint remodeling in adolescents and young adults during Herbst treatment: A prospective longitudinal magnetic resonance imaging and cephalometric radiographic investigation. Am. J. Orthod. Dentofac. Orthop. 1999, 115, 607–618. [Google Scholar] [CrossRef]
- Rabie, A.B.M.; She, T.T.; Hagg, U. Functional appliance therapy accelerates and enhances condylar growth. Am. J. Orthod. Dentofac. Orthop. 2003, 123, 40–48. [Google Scholar] [CrossRef]








| S. No. | Parameters | Group 1 N = 15 | Group 2 N = 15 | Mean Difference | Unpaired t-Test Value | p-Value | ||
|---|---|---|---|---|---|---|---|---|
| Pre-Treatment | Mean | SD | Mean | SD | ||||
| 1 | ANB (deg) | 7.65 | 1.93 | 6.20 | 2.26 | 1.45 | 1.723 | 0.098 |
| 2 | A-PT vertical (mm) | 52.13 | 3.28 | 49.57 | 2.99 | 2.56 | 1.974 | 0.061 |
| 3 | B-PT vertical (mm) | 42.30 | 2.93 | 42.40 | 5.19 | −0.10 | −0.063 | 0.950 |
| 4 | Pog-PT vertical (mm) | 44.30 | 3.23 | 43.57 | 6.02 | 0.73 | 0.392 | 0.699 |
| 5 | WITS (mm) | 5.40 | 1.71 | 3.29 | 1.95 | 2.11 | 2.869 | 0.009 |
| 6 | Go-Gn (mm) | 81.69 | 5.38 | 79.90 | 4.74 | 1.78 | 0.850 | 0.404 |
| 7 | Co-Pog (mm) | 107.52 | 5.97 | 106.82 | 2.44 | 0.70 | 0.350 | 0.730 |
| 8 | Total anterior facial height (mm) | 104.93 | 6.88 | 105.14 | 7.21 | −0.21 | −0.074 | 0.942 |
| 9 | Lower anterior facial height (mm) | 57.98 | 4.15 | 65.01 | 5.55 | −7.03 | −3.626 | 0.001 * |
| 10 | Total posterior facial height (mm) | 67.12 | 3.82 | 61.03 | 8.18 | 6.09 | 2.518 | 0.019 |
| 11 | FMA (deg) | 23.90 | 3.76 | 25.28 | 8.37 | −1.38 | −0.563 | 0.579 |
| 12 | PP-MP (deg) | 20.82 | 2.62 | 24.12 | 6.10 | −3.30 | −1.8667 | 0.075 |
| S. No. | Parameters | Side | Group 1 | Group 2 | Mean Difference | Unpaired t-Test Value | p-Value | ||
|---|---|---|---|---|---|---|---|---|---|
| Pre-Treatment | Mean | SD | Mean | SD | |||||
| 1 | Condyle volume (mm3) | Right | 864.67 | 167.59 | 841.30 | 213.80 | 23.37 | 0.306 | 0.762 |
| Left | 955.00 | 234.90 | 867.70 | 207.31 | 87.30 | 0.952 | 0.351 | ||
| 2 | Condyle height (mm) | Right | 18.60 | 2.20 | 17.10 | 1.90 | 1.50 | 1.759 | 0.092 |
| Left | 18.57 | 1.68 | 17.24 | 1.67 | 1.33 | 1.952 | 0.063 | ||
| 3 | Condyle inclinationAngle (degrees) | Right | 67.46 | 5.90 | 69.28 | 5.33 | −1.82 | −0.784 | 0.441 |
| Left | 68.74 | 5.96 | 68.59 | 3.43 | 0.15 | 0.072 | 0.943 | ||
| 4 | PCo-PT Vertical (mm) | Right | 31.72 | 2.53 | 30.54 | 2.67 | 1.18 | 1.117 | 0.275 |
| Left | 32.44 | 2.10 | 30.75 | 2.09 | 1.69 | 1.975 | 0.060 | ||
| 5 | ACo-PT Vertical (mm) | Right | 25.54 | 2.66 | 24.53 | 2.95 | 1.01 | 0.890 | 0.383 |
| Left | 26.11 | 2.23 | 24.23 | 2.21 | 1.89 | 2.082 | 0.059 | ||
| 6 | SCo-PT Vertical (mm) | Right | 28.64 | 2.47 | 27.44 | 2.87 | 1.20 | 1.120 | 0.274 |
| Left | 29.20 | 1.93 | 27.55 | 1.78 | 1.65 | 2.166 | 0.061 | ||
| 7 | Superior joint space (mm) | Right | 3.02 | 0.63 | 2.97 | 0.87 | 0.05 | 0.163 | 0.872 |
| Left | 3.10 | 0.63 | 3.14 | 0.66 | −0.04 | −0.160 | 0.874 | ||
| 8 | Posterior joint space (mm) | Right | 2.69 | 0.53 | 2.87 | 0.65 | −0.17 | −0.736 | 0.469 |
| Left | 2.49 | 0.64 | 2.90 | 0.66 | −0.41 | −1.539 | 0.137 | ||
| 9 | Anterior joint space (mm) | Right | 2.23 | 0.57 | 2.43 | 0.57 | −0.20 | −0.862 | 0.398 |
| Left | 2.41 | 0.53 | 2.10 | 0.53 | 0.31 | 1.435 | 0.165 | ||
| 10 | PF(a) [mm] | Right | 33.95 | 2.54 | 32.01 | 2.86 | 1.94 | 1.782 | 0.088 |
| Left | 34.33 | 2.37 | 32.09 | 2.73 | 2.24 | 2.178 | 0.060 | ||
| 11 | PF(b) [mm] | Right | 35.56 | 2.31 | 33.58 | 3.30 | 1.98 | 1.771 | 0.090 |
| Left | 36.20 | 2.22 | 33.56 | 2.76 | 2.65 | 2.648 | 0.054 | ||
| 12 | PF(c) [mm] | Right | 36.63 | 2.71 | 34.89 | 4.15 | 1.74 | 1.276 | 0.215 |
| Left | 37.68 | 2.78 | 35.39 | 3.27 | 2.30 | 1.885 | 0.072 | ||
| 13 | PF(d) [mm] | Right | 38.25 | 2.89 | 36.06 | 3.89 | 2.19 | 1.619 | 0.119 |
| Left | 38.89 | 3.24 | 36.79 | 3.57 | 2.09 | 1.519 | 0.142 | ||
| S. No. | Measurments | Definition |
|---|---|---|
| Condyle | ||
| 1 | Superior joint space | Linear distance from superior point on condyle to highest point on glenoid fossa |
| 2 | Posterior joint space | Linear distance from posterior point on condyle to posterior surface of fossa |
| 3 | Anterior joint space | Linear distance from anterior point on condyle to a point on articular eminence |
| 4 | SCo–T vertical | Linear distance from superior point on condyle to pterygoid vertical |
| 5 | PCo–PT vertical | Linear distance from posterior point on condyle to pterygoid vertical |
| Glenoid fossa | ||
| 6 | ACo–PT vertical | Linear distance from anterior point on condyle to pterygoid vertical |
| 7 | PF 1 to PT vertical | At distance 3 mm from superior point of fossa |
| 8 | PF 2 to PT vertical | At distance 5 mm from PF1 |
| 9 | PF 3 to PT vertical | At distance 6 mm from PF2 |
| 10 | PF 4 to PT vertical | At distance 3 mm from PF3 |
| 11 | Condylar height | Distance from SCo to constructed perpendicular line. |
| 12 | Condylar volume | Volumetric analysis of each mandibular condyle after isolating it. |
| S. No. | Variable Measured | Side | Group 1 | Group 2 | Mean Difference | t-Test | p-Value | ||
|---|---|---|---|---|---|---|---|---|---|
| T2-T1 | SD | T2-T1 | SD | ||||||
| 1. | Condyle volume (mm3) | right | 147.13 | 96.13 | 36.10 | 42.46 | 111.03 | 3.418 | 0.002 * |
| left | 147.20 | 82.76 | 19.40 | 30.97 | 127.80 | 4.644 | 0.001 * | ||
| 2. | Condyle height (mm) | right | 1.51 | 1.14 | 0.16 | 0.24 | 1.35 | 3.674 | 0.001 * |
| left | 1.38 | 1.12 | 0.17 | 0.46 | 1.21 | 3.238 | 0.004 * | ||
| 3. | PCo-PT Vertical (mm) | right | 0.35 | 1.36 | 0.01 | 0.49 | 0.34 | 0.751 | 0.461 |
| left | −0.01 | 1.27 | 0.12 | 0.87 | −0.13 | −0.282 | 0.780 | ||
| 4. | ACo-PT Vertical (mm) | right | −0.75 | 1.48 | 0.22 | 0.55 | −0.97 | −1.966 | 0.062 |
| left | −0.69 | 1.26 | −0.01 | 0.41 | −0.68 | −1.635 | 0.116 | ||
| 5. | SCo-PT Vertical (mm) | right | 0.01 | 1.05 | 0.15 | 0.96 | −0.13 | −0.314 | 0.756 |
| left | −0.04 | 1.17 | −0.16 | 0.92 | 0.12 | 0.265 | 0.793 | ||
| S. No. | Variable Measured | Side | Group 1 | Group 2 | Mean Difference | t-Test | p-Value | ||
|---|---|---|---|---|---|---|---|---|---|
| T2-T1 | SD | T2-T1 | SD | ||||||
| 6. | Superior Joint SpaCE (mm) | right | 0.92 | 1.38 | 0.09 | 0.49 | 0.83 | 1.811 | 0.083 |
| left | 1.27 | 1.35 | 0.13 | 0.34 | 1.14 | 2.588 | 0.016 | ||
| 7. | Posterior Joint Space (mm) | right | −0.03 | 1.02 | −0.04 | 0.38 | 0.01 | 0.021 | 0.984 |
| left | 0.17 | 0.75 | −0.09 | 0.30 | 0.26 | 1.046 | 0.306 | ||
| 8. | Anterior Joint Space (mm) | right | 0.02 | 0.54 | −0.04 | 0.22 | 0.05 | 0.300 | 0.767 |
| left | −0.23 | 0.49 | 0.10 | 0.13 | −0.33 | −2.061 | 0.041 | ||
| 9. | PF 1 [mm] | right | −0.63 | 1.25 | 0.27 | 0.49 | −0.91 | −2.179 | 0.040 |
| left | −0.78 | 1.35 | 0.26 | 0.37 | −1.03 | −2.351 | 0.028 | ||
| 10. | PF 2 [mm] | right | −0.29 | 0.84 | 0.00 | 0.27 | −0.29 | −1.049 | 0.305 |
| left | −0.75 | 0.89 | 0.15 | 0.49 | −0.90 | −2.891 | 0.008 | ||
| 11. | PF 3 [mm] | right | −0.25 | 1.22 | −0.12 | 0.75 | −0.13 | −0.301 | 0.766 |
| left | −0.65 | 1.00 | −0.07 | 0.58 | −0.59 | −1.663 | 0.110 | ||
| 12. | PF 4 [mm] | right | −0.67 | 1.69 | −0.11 | 0.31 | −0.56 | −1.026 | 0.316 |
| left | −0.63 | 1.13 | −0.04 | 0.42 | −0.59 | −1.572 | 0.130 | ||
Publisher’s Note: MDPI stays neutral with regard to jurisdictional claims in published maps and institutional affiliations. |
© 2021 by the authors. Licensee MDPI, Basel, Switzerland. This article is an open access article distributed under the terms and conditions of the Creative Commons Attribution (CC BY) license (https://creativecommons.org/licenses/by/4.0/).
Share and Cite
Nindra, J.; Sidhu, M.S.; Kochhar, A.S.; Dabas, A.; Valletta, R.; Rongo, R.; Spagnuolo, G. Three-Dimensional Evaluation of Condyle-Glenoid Fossa Complex Following Treatment with Herbst Appliance. J. Clin. Med. 2021, 10, 4730. https://doi.org/10.3390/jcm10204730
Nindra J, Sidhu MS, Kochhar AS, Dabas A, Valletta R, Rongo R, Spagnuolo G. Three-Dimensional Evaluation of Condyle-Glenoid Fossa Complex Following Treatment with Herbst Appliance. Journal of Clinical Medicine. 2021; 10(20):4730. https://doi.org/10.3390/jcm10204730
Chicago/Turabian StyleNindra, Jasmine, Maninder Singh Sidhu, Anuraj Singh Kochhar, Ashish Dabas, Rosa Valletta, Roberto Rongo, and Gianrico Spagnuolo. 2021. "Three-Dimensional Evaluation of Condyle-Glenoid Fossa Complex Following Treatment with Herbst Appliance" Journal of Clinical Medicine 10, no. 20: 4730. https://doi.org/10.3390/jcm10204730
APA StyleNindra, J., Sidhu, M. S., Kochhar, A. S., Dabas, A., Valletta, R., Rongo, R., & Spagnuolo, G. (2021). Three-Dimensional Evaluation of Condyle-Glenoid Fossa Complex Following Treatment with Herbst Appliance. Journal of Clinical Medicine, 10(20), 4730. https://doi.org/10.3390/jcm10204730

