Mid-Phase Hyperfluorescent Plaques Seen on Indocyanine Green Angiography in Patients with Central Serous Chorioretinopathy
Abstract
:1. Introduction
2. Materials and Methods
2.1. Ethics Statement
2.2. Study Design
2.3. Study Patients
2.4. Study Protocol
2.5. Image Analyses
2.6. Statistical Analysis
3. Results
3.1. Patient Characteristics
3.2. Clinical and Imaging Findings of Patients with and without Mid-Phase Hyperfluorescent Plaques
3.3. Factors Associated with the Presence of Mid-Phase Hyperfluorescent Plaques
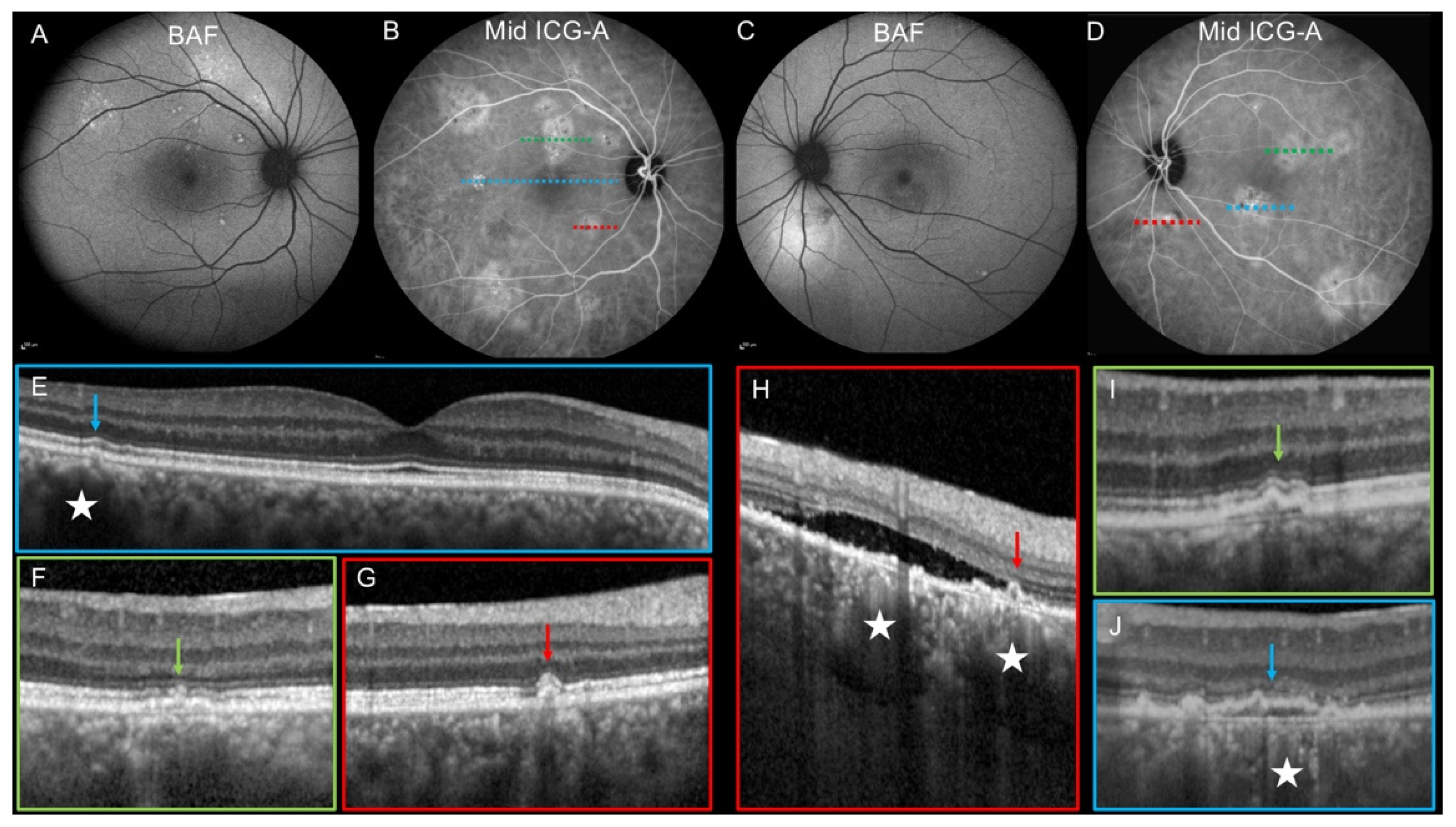
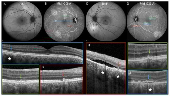
3.4. Multimodal Imaging Analysis of the Areas with Mid-Phase Hyperfluorescent Plaques
3.5. Evolution of MPHP
4. Discussion
5. Conclusions
Supplementary Materials
Author Contributions
Funding
Institutional Review Board Statement
Informed Consent Statement
Data Availability Statement
Acknowledgments
Conflicts of Interest
References
- Daruich, A.; Matet, A.; Dirani, A.; Bousquet, E.; Zhao, M.; Farman, N.; Jaisser, F.; Behar-Cohen, F. Central serous chorioretinopathy: Recent findings and new physiopathology hypothesis. Prog. Retin. Eye Res. 2015, 48, 82–118. [Google Scholar] [CrossRef] [PubMed] [Green Version]
- Cheung, C.M.G.; Lee, W.K.; Koizumi, H.; Dansingani, K.; Lai, T.Y.Y.; Freund, K.B. Pachychoroid disease. Eye 2019, 33, 14–33. [Google Scholar] [CrossRef] [Green Version]
- Carvalho-Recchia, C.A.; Yannuzzi, L.A.; Negrão, S.; Spaide, R.F.; Freund, K.B.; Rodriguez-Coleman, H.; Lenharo, M.; Iida, T. Corticosteroids and central serous chorioretinopathy. Ophthalmology 2002, 109, 1834–1837. [Google Scholar] [CrossRef]
- Genovese, G.; Meduri, A.; Muscatello, M.R.A.; Gangemi, S.; Cedro, C.; Bruno, A.; Aragona, P.; Pandolfo, G. Central serous chorioretinopathy and personality characteristics: A systematic review of scientific evidence over the last 10 years (2010 to 2020). Medicina 2021, 57, 628. [Google Scholar] [CrossRef]
- Pandolfo, G.; Genovese, G.; Bruno, A.; Palumbo, D.; Poli, U.; Gangemi, S.; Aragona, P.; Meduri, A. Sharing the same perspective. Mental disorders and central serous chorioretinopathy: A systematic review of evidence from 2010 to 2020. Biomedicines 2021, 9, 1067. [Google Scholar] [CrossRef]
- Bousquet, E.; Dhundass, M.; Lehmann, M.; Rothschild, P.-R.; Bayon, V.; Leger, D.; Bergin, C.; Dirani, A.; Beydoun, T.; Behar-Cohen, F. Shift Work: A Risk Factor for Central Serous Chorioretinopathy. Am. J. Ophthalmol. 2016, 165, 23–28. [Google Scholar] [CrossRef] [PubMed]
- Kaye, R.; Chandra, S.; Sheth, J.; Boon, C.J.F.; Sivaprasad, S.; Lotery, A. Central serous chorioretinopathy: An update on risk factors, pathophysiology and imaging modalities. Prog. Retin. Eye Res. 2020, 79, 100865. [Google Scholar] [CrossRef]
- Spaide, R.F.; Hall, L.; Haas, A.; Campeas, L.; Yannuzzi, L.A.; Fisher, Y.L.; Guyer, D.R.; Slakter, J.S.; Sorenson, J.A.; Orlock, D.A. Indocyanine green videoangiography of older patients with central serous chorioretinopathy. Retina 1996, 16, 203–213. [Google Scholar] [CrossRef]
- Piccolino, F.C.; Borgia, L. Central serous chorioretinopathy and indocyanine green angiography. Retina 1994, 14, 231–242. [Google Scholar] [CrossRef]
- Iida, T.; Kishi, S.; Hagimura, N.; Shimizu, K. Persistent and bilateral choroidal vascular abnormalities in central serous chorioretinopathy. Retina 1999, 19, 508–512. [Google Scholar] [CrossRef]
- Chang, A.A.; Morse, L.S.; Handa, J.T.; Morales, R.B.; Tucker, R.; Hjelmeland, L.; Yannuzzi, L.A. Histologic localization of indocyanine green dye in aging primate and human ocular tissues with clinical angiographic correlation. Ophthalmology 1998, 105, 1060–1068. [Google Scholar] [CrossRef]
- Chang, A.A.; Zhu, M.; Billson, F. The interaction of indocyanine green with human retinal pigment epithelium. Investig. Ophthalmol. Vis. Sci. 2005, 46, 1463–1467. [Google Scholar] [CrossRef] [PubMed] [Green Version]
- Bousquet, E.; Beydoun, T.; Rothschild, P.-R.; Bergin, C.; Zhao, M.; Batista, R.; Brandely, M.-L.; Couraud, B.; Farman, N.; Gaudric, A.; et al. Spironolactone for nonresolving central serous chorioretinopathy: A Randomized Controlled Crossover Study. Retina 2015, 35, 2505–2515. [Google Scholar] [CrossRef] [PubMed]
- Tsujikawa, A.; Ojima, Y.; Yamashiro, K.; Ooto, S.; Tamura, H.; Nakagawa, S.; Yoshimura, N. Punctate hyperfluorescent spots associated with central serous chorioretinopathy as seen on indocyanine green angiography. Retina 2010, 30, 801–809. [Google Scholar] [CrossRef] [PubMed]
- Hage, R.; Mrejen, S.; Krivosic, V.; Quentel, G.; Tadayoni, R.; Gaudric, A. Flat Irregular retinal pigment epithelium detachments in chronic central serous chorioretinopathy and choroidal neovascularization. Am. J. Ophthalmol. 2015, 159, 890–903.e3. [Google Scholar] [CrossRef] [PubMed]
- Piccolino, F.C.; Borgia, L.; Zinicola, E.; Zingirian, M. indocyanine green angiographic findings in central serous chorioretinopathy. Eye 1995, 9, 324–332. [Google Scholar] [CrossRef] [PubMed] [Green Version]
- Hayashi, K.; Hasegawa, Y.; Tokoro, T. Indocyanine green angiography of central serous chorioretinopathy. Int. Ophthalmol. 1986, 9, 37–41. [Google Scholar] [CrossRef]
- Guyer, D.R.; Yannuzzi, L.A.; Slakter, J.S.; Sorenson, J.A.; Ho, A.; Orlock, D. Digital indocyanine green videoangiography of central serous chorioretinopathy. Arch. Ophthalmol. 1994, 112, 1057–1062. [Google Scholar] [CrossRef]
- Ersoz, M.G.; Arf, S.; Hocaoglu, M.; Sayman Muslubas, I.; Karacorlu, M. Indocyanine green angiography of pachychoroid pigment epitheliopathy. Retina 2018, 38, 1668–1674. [Google Scholar] [CrossRef]
- Lafaut, B.A.; Salati, C.; Priem, H.; De Laey, J.J. Indocyanine green angiography is of value for the diagnosis of chronic central serous chorioretinopathy in elderly patients. Graefes. Arch. Clin. Exp. Ophthalmol. 1998, 236, 513–521. [Google Scholar] [CrossRef]
- Bousquet, E.; Bonnin, S.; Mrejen, S.; Krivosic, V.; Tadayoni, R.; Gaudric, A. Optical coherence tomography angiography of flat irregular pigment epithelium detachment in chronic central serous chorioretinopathy. Retina 2017, 38, 629–638. [Google Scholar] [CrossRef] [PubMed]
- Spaide, R.F.; Ledesma-Gil, G.; Gemmy Cheung, C.M. Intervortex venous anastomosis in pachychoroid-related disorders. Retina 2021, 41, 997–1004. [Google Scholar] [CrossRef] [PubMed]
- Matsumoto, H.; Hoshino, J.; Mukai, R.; Nakamura, K.; Kikuchi, Y.; Kishi, S.; Akiyama, H. Vortex vein anastomosis at the watershed in pachychoroid spectrum diseases. Ophthalmol. Retina 2020, 4, 938–945. [Google Scholar] [CrossRef] [PubMed]
- Yoneya, S.; Saito, T.; Komatsu, Y.; Koyama, I.; Takahashi, K.; Duvoll-Young, J. Binding properties of indocyanine green in human blood. Investig. Ophthalmol. Vis. Sci. 1998, 39, 1286–1290. [Google Scholar]
- Allansmith, M.R.; Whitney, C.R.; McClellan, B.H.; Newman, L.P. Immunoglobulins in the human eye. Location, Type, and amount. Arch. Ophthalmol. 1973, 89, 36–45. [Google Scholar] [CrossRef]
- Radius, R.L.; Anderson, D.R. Distribution of Albumin in the normal monkey eye as revealed by evans blue fluorescence microscopy. Investig. Ophthalmol. Vis. Sci. 1980, 19, 238–243. [Google Scholar]
- Terao, N.; Koizumi, H.; Kojima, K.; Yamagishi, T.; Nagata, K.; Kitazawa, K.; Yamamoto, Y.; Yoshii, K.; Hiraga, A.; Toda, M.; et al. Association of upregulated angiogenic cytokines with choroidal abnormalities in chronic central serous chorioretinopathy. Investig. Ophthalmol. Vis. Sci. 2018, 59, 5924–5931. [Google Scholar] [CrossRef]
- Jung, S.H.; Kim, K.-A.; Sohn, S.W.; Yang, S.J. Cytokine levels of the aqueous humour in central serous chorioretinopathy. Clin Exp. Optom. 2014, 97, 264–269. [Google Scholar] [CrossRef]
- Lim, J.W.; Kim, M.U.; Shin, M.-C. Aqueous humor and plasma levels of vascular endothelial growth factor and interleukin-8 in patients with central serous chorioretinopathy. Retina 2010, 30, 1465–1471. [Google Scholar] [CrossRef] [PubMed]
- Nakanishi, M.; Grebe, R.; Bhutto, I.A.; Edwards, M.; McLeod, D.S.; Lutty, G.A. Albumen Transport to bruch’s membrane and rpe by choriocapillaris caveolae. Investig. Ophthalmol. Vis. Sci. 2016, 57, 2213–2224. [Google Scholar] [CrossRef] [Green Version]
- Sakurada, Y.; Leong, B.C.S.; Parikh, R.; Fragiotta, S.; Freund, K.B. Association between Choroidal Caverns and Choroidal Vascular Hyperpermeability in Eyes with Pachychoroid Diseases. Retina 2018, 38, 1977–1983. [Google Scholar] [CrossRef] [PubMed]
- Harrison, E.H. Mechanisms of transport and delivery of vitamin A and carotenoids to the retinal pigment epithelium. Mol. Nutr. Food Res. 2019, 63, e1801046. [Google Scholar] [CrossRef] [PubMed] [Green Version]



| Characteristics | Result (133 Eyes of 100 Patients) |
|---|---|
| Demographic data | |
| Age, mean ± SD, year | 47.6 ± 10.2 |
| Gender, males, n (%) | 91 (91%) |
| Corticosteroid intake a n (%) | 42 (47.2%) |
| Shift work b n (%) | 29 (35.4%) |
| Previous CSCR treatments c | |
| Laser Photocoagulation n eyes (%) | 20 (16.7%) |
| PDT, n eyes (%) | 11 (9.2%) |
| Clinical form of CSCR | |
| Acute/recurrent CSCR, n (%) | 50 (37.6%) |
| Chronic CSCR | 83 (62.4%) |
| Clinical data | |
| BCVA, LogMAR, mean ± SD (Snellen) | 0.23 ± 0.36 (20/32) |
| OCT findings | |
| Subfoveal choroidal thickness, mean ± SD (μm) | 461.3 ± 104.5 |
| PED and/or RPE bulge, n (%) | 117 (88.7%) |
| At least one dome-shaped PED, n (%) | 42 (35.9%) |
| At least one irregular PED, n (%) | 50 (37.6%) |
| Blue-light fundus Autofluorescence findings | |
| Hyper/hypoautofluorescent area, n (%) | 121 (91%) |
| Gravitational tracks, n (%) | 36 (27.1%) |
| Fluorescein Angiography findings | |
| RPE changes, n (%) | 114 (85.7%) |
| CSC ink-blot or smokestack leakage, n (%) | 50 (37.6%) |
| Indocyanine green Angiography findings | |
| Pachyvessels, n (%) | 71 (53.4%) |
| Foveal pachyvessel, n (%) | 19 (14%) |
| Mid-phase hyperfluorescent plaque, n eyes (%) | 79 (59.4%) |
| Characteristics | CSCR with Mid-Phase Hyperfluorescent Plaques (n = 61 Patients, 79 Eyes) | CSCR without Mid-Phase Hyperfluorescent Plaques (n = 39 Patients, 54 Eyes) | p Value |
|---|---|---|---|
| Demographics | |||
| Age, mean ± SD, year | 48.1 ± 11 | 46.9 ± 8.8 | 0.53 a |
| Gender, males (%) | 58 (95.1%) | 33 (84.6%) | 0.15 b |
| Corticosteroid intake *, n (%) | 30 (54.5%) | 12 (35.3%) | 0.08 c |
| Shift work **, n (%) | 21 (39.6%) | 8 (27.6%) | 0.28 c |
| Clinical form of CSCR, n (%) | |||
| Acute/recurrent CSCR | 13 (16.5%) | 37 (68.5%) | <0.001 c |
| Chronic CSCR | 66 (83.5%) | 17 (31.5%) | |
| Clinical data | |||
| BCVA (LogMAR), mean ± SD | 0.28 ± 0.4 | 0.17 ± 0.29 | 0.25 a |
| OCT findings | |||
| Subfoveal choroidal thickness, mean ± SD (μm) | 463.8 ± 100.4 | 457.9 ± 111 | 0.6 a |
| PED and/or RPE bulge, n (%) | 71 (89.9%) | 47 (87%) | 0.61 c |
| At least one dome-shaped PED, n (%) | 23 (29.1%) | 19 (35.2%) | 0.46 c |
| A least one irregular PED, n (%) | 40 (51%) | 10 (18.5%) | <0.001 c |
| Autofluorescence findings | |||
| Hyper/hypoautofluorescent area, n (%) | 79 (100%) | 42 (78.8%) | <0.001 c |
| Gravitational tracks, n (%) | 30 (38%) | 6 (11.3%) | 0.001 c |
| Fluorescein Angiography findings | |||
| RPE changes, n (%) | 79 (100%) | 35 (64.8%) | <0.001 c |
| CSCR ink-blot or smokestack leakage, n (%) | 25 (31.7%) | 25 (46.3%) | 0.09 c |
| Indocyanine Green Angixography findings | |||
| Pachyvessels, n (%) | 47 (59.5%) | 24 (44.5%) | 0.09 c |
| Foveal pachyvessel, n (%) | 18 (22.8%) | 1 (1.9%) | 0.001 c |
| Multivariate Analysis | ||
|---|---|---|
| Variable | OR (95%, CI) | p Value |
| Chronic CSCR | 3.5 (1.28–9.74) | 0.015 |
| Irregular PED | 3 (1.2–7.5) | 0.018 |
| RPE changes on fluorescein angiography | 5.8 (1.9–17.7) | 0.002 |
| Foveal pachyvessel on indocyanine green angiography | 4.3 (1.1–16.6) | 0.036 |
| Variable | Results |
|---|---|
| Number of MPHP analyzed (n) | 249 areas with MPHP area in 79 eyes |
| Indocyanine Green Angiography findings | |
| Delayed choroidal filling in areas with MPHP, % | 77.3% |
| Dilated choroidal vein in areas with MPHP, % | 42.8% |
| Hypofluorescent spots in the late phase in areas with MPHP, % | 63.2% |
| Fluorescein angiography findings | |
| RPE window defect in areas with MPHP, % | 73.1% |
| Blue-light fundus autofluorescence findings Changes in areas with MPHP, % | 57.3% |
| SD-OCT findings | |
| Pigmented Epithelium Detachment/bulges of the RPE in areas with MPHP, % | 98.7% |
| Pachyvessels in areas with MPHP, % | 57.2% |
| Serous Retinal Detachment in areas with MPHP, % | 41.1% |
Publisher’s Note: MDPI stays neutral with regard to jurisdictional claims in published maps and institutional affiliations. |
© 2021 by the authors. Licensee MDPI, Basel, Switzerland. This article is an open access article distributed under the terms and conditions of the Creative Commons Attribution (CC BY) license (https://creativecommons.org/licenses/by/4.0/).
Share and Cite
Bousquet, E.; Provost, J.; Zola, M.; Spaide, R.F.; Mehanna, C.; Behar-Cohen, F. Mid-Phase Hyperfluorescent Plaques Seen on Indocyanine Green Angiography in Patients with Central Serous Chorioretinopathy. J. Clin. Med. 2021, 10, 4525. https://doi.org/10.3390/jcm10194525
Bousquet E, Provost J, Zola M, Spaide RF, Mehanna C, Behar-Cohen F. Mid-Phase Hyperfluorescent Plaques Seen on Indocyanine Green Angiography in Patients with Central Serous Chorioretinopathy. Journal of Clinical Medicine. 2021; 10(19):4525. https://doi.org/10.3390/jcm10194525
Chicago/Turabian StyleBousquet, Elodie, Julien Provost, Marta Zola, Richard F. Spaide, Chadi Mehanna, and Francine Behar-Cohen. 2021. "Mid-Phase Hyperfluorescent Plaques Seen on Indocyanine Green Angiography in Patients with Central Serous Chorioretinopathy" Journal of Clinical Medicine 10, no. 19: 4525. https://doi.org/10.3390/jcm10194525
APA StyleBousquet, E., Provost, J., Zola, M., Spaide, R. F., Mehanna, C., & Behar-Cohen, F. (2021). Mid-Phase Hyperfluorescent Plaques Seen on Indocyanine Green Angiography in Patients with Central Serous Chorioretinopathy. Journal of Clinical Medicine, 10(19), 4525. https://doi.org/10.3390/jcm10194525

