Interstitial Lung Disease at High Resolution CT after SARS-CoV-2-Related Acute Respiratory Distress Syndrome According to Pulmonary Segmental Anatomy
Abstract
:1. Introduction
2. Materials and Methods
3. Results
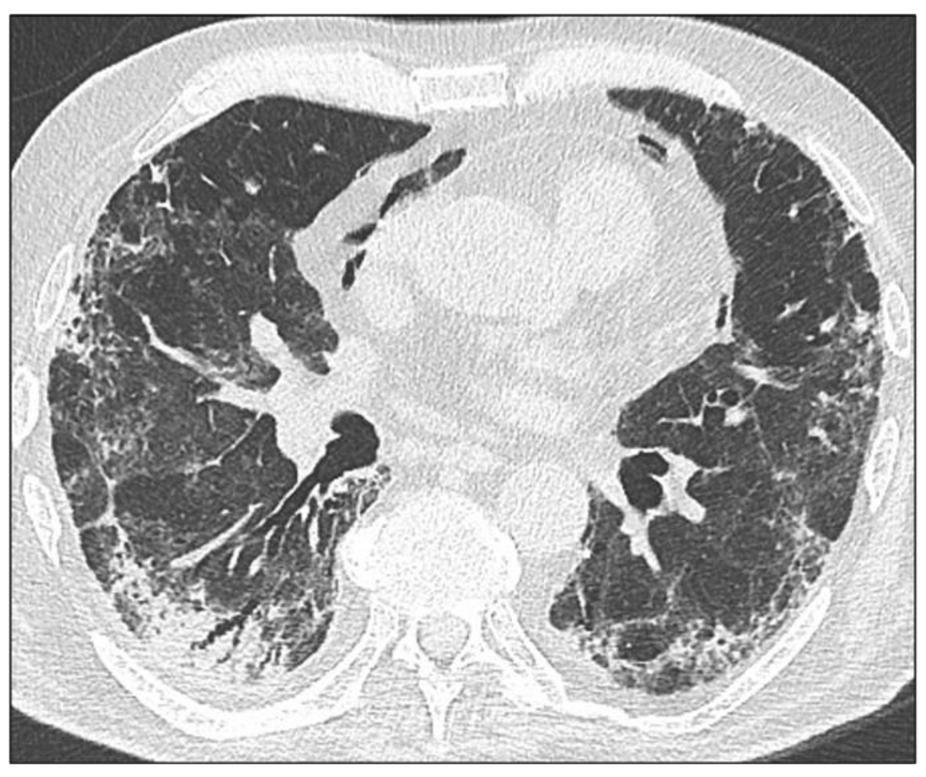
3.1. HRCT Imaging Findings
3.1.1. Ground Glass Opacities
3.1.2. Consolidations
3.1.3. Linear Bands
3.1.4. Reticulations
3.1.5. Bronchiectasis/Bronchiolectasis
3.1.6. Loss of Pulmonary Volume
3.1.7. Other Findings
3.2. Correlation with Respiratory Function Tests
4. Discussion
5. Conclusions
Author Contributions
Funding
Institutional Review Board Statement
Informed Consent Statement
Data Availability Statement
Acknowledgments
Conflicts of Interest
References
- Sun, P.; Qie, S.; Liu, Z.; Ren, J.; Li, K.; Xi, J. Clinical characteristics of hospitalized patients with SARS-CoV-2 infection: A single arm meta-analysis. J. Med. Virol. 2020, 92, 612–617. [Google Scholar] [CrossRef] [Green Version]
- Force, A.D.T.; Ranieri, V.M.; Rubenfeld, G.D.; Thompson, B.T.; Ferguson, N.; Caldwell, E.; Fan, E.; Camporota, L.; Slutsky, A.S. Acute Respiratory Distress Syndrome. JAMA 2012, 307, 2526–2533. [Google Scholar] [CrossRef]
- Confalonieri, M.; Salton, F.; Fabiano, F. Acute respiratory distress syndrome. Eur. Respir. Rev. 2017, 26, 160116. [Google Scholar] [CrossRef] [PubMed] [Green Version]
- The WHO Rapid Evidence Appraisal for COVID-19 Therapies (REACT) Working Group; Sterne, J.; Murthy, S.; Diaz, J.V.; Slutsky, A.S.; Villar, J.; Angus, D.C.; Annane, D.; Azevedo, L.C.P.; Berwanger, O.; et al. Association Between Administration of Systemic Corticosteroids and Mortality Among Critically Ill Patients With COVID-19: A Meta-analysis. JAMA 2020, 324, 1330–1341. [Google Scholar] [CrossRef] [PubMed]
- Meduri, G.U.; Annane, D.; Confalonieri, M.; Chrousos, G.P.; Rochwerg, B.; Busby, A.; Ruaro, B.; Meibohm, B. Pharmacological principles guiding prolonged glucocorticoid treatment in ARDS. Intensiv. Care Med. 2020, 46, 2284–2296. [Google Scholar] [CrossRef] [PubMed]
- Ruaro, B.; Salton, F.; Braga, L.; Wade, B.; Confalonieri, P.; Volpe, M.; Baratella, E.; Maiocchi, S.; Confalonieri, M. The History and Mystery of Alveolar Epithelial Type II Cells: Focus on Their Physiologic and Pathologic Role in Lung. Int. J. Mol. Sci. 2021, 22, 2566. [Google Scholar] [CrossRef] [PubMed]
- Sheard, S.; Rao, P.; Devaraj, A. Imaging of Acute Respiratory Distress Syndrome. Respir. Care 2012, 57, 607–612. [Google Scholar] [CrossRef] [Green Version]
- Hosseiny, M.; Kooraki, S.; Gholamrezanezhad, A.; Reddy, S.; Myers, L. Radiology Perspective of Coronavirus Disease 2019 (COVID-19): Lessons From Severe Acute Respiratory Syndrome and Middle East Respiratory Syndrome. Am. J. Roentgenol. 2020, 214, 1078–1082. [Google Scholar] [CrossRef]
- Gentile, F.; Aimo, A.; Forfori, F.; Catapano, G.; Clemente, A.; Cademartiri, F.; Emdin, M.; Giannoni, A. COVID-19 and risk of pulmonary fibrosis: The importance of planning ahead. Eur. J. Prev. Cardiol. 2020, 27, 1442–1446. [Google Scholar] [CrossRef]
- Grillo, F.; Barisione, E.; Ball, L.; Mastracci, L.; Fiocca, R. Lung fibrosis: An undervalued finding in COVID-19 pathological series. Lancet Infect. Dis. 2021, 21, e72. [Google Scholar] [CrossRef]
- Baratella, E.; Ruaro, B.; Giudici, F.; Wade, B.; Santagiuliana, M.; Salton, F.; Confalonieri, P.; Simbolo, M.; Scarpa, A.; Tollot, S.; et al. Evaluation of Correlations between Genetic Variants and High-Resolution Computed Tomography Patterns in Idiopathic Pulmonary Fibrosis. Diagnostics 2021, 11, 762. [Google Scholar] [CrossRef]
- Ruaro, B.; Confalonieri, P.; Santagiuliana, M.; Wade, B.; Baratella, E.; Kodric, M.; Berria, M.; Jaber, M.; Torregiani, C.; Bruni, C.; et al. Correlation between Potential Risk Factors and Pulmonary Embolism in Sarcoidosis Patients Timely Treated. J. Clin. Med. 2021, 10, 2462. [Google Scholar] [CrossRef]
- Hansell, D.M.; Bankier, A.A.; MacMahon, H.; McLoud, T.C.; Müller, N.L.; Remy, J. Fleischner Society: Glossary of Terms for Thoracic Imaging. Radiology 2008, 246, 697–722. [Google Scholar] [CrossRef] [Green Version]
- Salton, F.; Confalonieri, P.; Meduri, G.U.; Santus, P.; Harari, S.; Scala, R.; Lanini, S.; Vertui, V.; Oggionni, T.; Caminati, A.; et al. Prolonged Low-Dose Methylprednisolone in Patients With Severe COVID-19 Pneumonia. Open Forum Infect. Dis. 2020, 7. [Google Scholar] [CrossRef]
- Demoule, A.; Baron, A.V.; Darmon, M.; Beurton, A.; Géri, G.; Voiriot, G.; Dupont, T.; Zafrani, L.; Girodias, L.; Labbé, V.; et al. High-Flow Nasal Cannula in Critically III Patients with Severe COVID-19. Am. J. Respir. Crit. Care Med. 2020, 202, 1039–1042. [Google Scholar] [CrossRef] [PubMed]
- Jacob, J.; Hansell, D.M. HRCT of fibrosing lung disease. Respirology 2015, 20, 859–872. [Google Scholar] [CrossRef] [PubMed]
- Belfiore, M.P.; Urraro, F.; Grassi, R.; Giacobbe, G.; Patelli, G.; Cappabianca, S.; Reginelli, A. Artificial intelligence to codify lung CT in Covid-19 patients. Radiol. Med. 2020, 125, 500–504. [Google Scholar] [CrossRef]
- Masclans, J.R.; Roca, O.; Muñoz, X.; Pallisa, E.; Torres, F.; Rello, J.; Morell, F. Quality of Life, Pulmonary Function, and Tomographic Scan Abnormalities after ARDS. Chest 2011, 139, 1340–1346. [Google Scholar] [CrossRef] [PubMed] [Green Version]
- Das, K.M.; Lee, E.Y.; Singh, R.; Enani, M.A.; Al Dossari, K.; Van Gorkom, K.; Larsson, S.G.; Langer, R.D. Follow-up chest radiographic findings in patients with MERS-CoV after recovery. Indian J. Radiol. Imaging 2017, 27, 342–349. [Google Scholar] [CrossRef] [PubMed]
- Han, X.; Fan, Y.; Alwalid, O.; Li, N.; Jia, X.; Yuan, M.; Li, Y.; Cao, Y.; Gu, J.; Wu, H.; et al. Six-month Follow-up Chest CT Findings after Severe COVID-19 Pneumonia. Radiology 2021, 299, E177–E186. [Google Scholar] [CrossRef]
- Shah, A.S.; Wong, A.W.; Hague, C.J.; Murphy, D.T.; Johnston, J.C.; Ryerson, C.J.; Carlsten, C. A prospective study of 12-week respiratory outcomes in COVID-19-related hospitalisations. Thorax 2021, 76, 402–404. [Google Scholar] [CrossRef] [PubMed]
- Myall, K.J.; Mukherjee, B.; Castanheira, A.M.; Lam, J.L.; Benedetti, G.; Mak, S.M.; Preston, R.; Thillai, M.; Dewar, A.; Molyneaux, P.L.; et al. Persistent Post–COVID-19 Interstitial Lung Disease. An Observational Study of Corticosteroid Treatment. Ann. Am. Thorac. Soc. 2021, 18, 799–806. [Google Scholar] [CrossRef]
- Cascella, M.; Rajnik, M.; Aleem, A.; Dulebohn, S.; Di Napoli, R. Features, Evaluation, and Treatment of Coronavirus; StatPearls Publishing: Treasure Island, FL, USA, 2020. [Google Scholar]
- Park, W.B.; Jun, K.I.; Kim, G.; Choi, J.-P.; Rhee, J.-Y.; Cheon, S.; Lee, C.H.; Park, J.-S.; Kim, Y.; Joh, J.-S.; et al. Correlation between Pneumonia Severity and Pulmonary Complications in Middle East Respiratory Syndrome. J. Korean Med. Sci. 2018, 33, e169. [Google Scholar] [CrossRef]
- Barisione, G.; Brusasco, V. Lung diffusing capacity for nitric oxide and carbon monoxide following mild-to-severe COVID-19. Physiol. Rep. 2021, 9, e14748. [Google Scholar] [CrossRef] [PubMed]
- Bellan, M.; Soddu, D.; Balbo, P.E.; Baricich, A.; Zeppegno, P.; Avanzi, G.C.; Baldon, G.; Bartolomei, G.; Battaglia, M.; Battistini, S.; et al. Respiratory and Psychophysical Sequelae Among Patients With COVID-19 Four Months After Hospital Discharge. JAMA Netw. Open 2021, 4, e2036142. [Google Scholar] [CrossRef]
- Zhao, Y.-M.; Shang, Y.-M.; Song, W.-B.; Li, Q.-Q.; Xie, H.; Xu, Q.-F.; Jia, J.-L.; Li, L.-M.; Mao, H.-L.; Zhou, X.-M.; et al. Follow-up study of the pulmonary function and related physiological characteristics of COVID-19 survivors three months after recovery. EClinicalMedicine 2020, 25, 100463. [Google Scholar] [CrossRef]
- Orlandi, M.; Landini, N.; Sambataro, G.; Nardi, C.; Tofani, L.; Bruni, C.; Randone, S.B.-; Blagojevic, J.; Melchiorre, D.; Hughes, M.; et al. The role of chest CT in deciphering interstitial lung involvement: Systemic sclerosis versus COVID-19. Rheumatology 2021. [Google Scholar] [CrossRef]
- Baratella, E.; Bussani, R.; Zanconati, F.; Marrocchio, C.; Fabiola, G.; Braga, L.; Maiocchi, S.; Berlot, G.; Volpe, M.C.; Moro, E.; et al. Radiological–pathological signatures of patients with COVID-19-related pneumomediastinum: Is there a role for the Sonic hedgehog and Wnt5a pathways? ERJ Open Res. 2021, 7. [Google Scholar] [CrossRef] [PubMed]
- Zompatori, M.; Ciccarese, F.; Fasano, L. Overview of current lung imaging in acute respiratory distress syndrome. Eur. Respir. Rev. 2014, 23, 519–530. [Google Scholar] [CrossRef] [PubMed] [Green Version]







| Characteristic | Patients (N = 44) |
|---|---|
| Age (years) | |
| Mean (SD) | 64 (12) |
| Gender (N,%) | |
| Males | 32 (72.7) |
| Females | 12 (27.3) |
| Smoking habit (N,%) | |
| Never smoker | 22 (51.2) |
| Yes, current smoker | 11 (25.6) |
| Yes, former smoker | 10 (23.3) |
| Comorbidities (N,%) | |
| None | 11 (25.0) |
| One | 14 (31.8) |
| ≥2 | 19 (43.2) |
| Type of Comorbidity (N,%) | |
| Arterial hypertension | 18 (40.9) |
| Diabetes | 12 (27.3) |
| COPD | 6 (13.6) |
| Cardiovascular diseases | 9 (20.5) |
| Obesity | 15 (34.1) |
| PiO2:FiO2 (N,%) | |
| <100 | 7 (16.3) |
| 100–200 | 33 (76.7) |
| ≥200 | 3 (7) |
| N/A | 1 |
| Pharmacological treatments (N,%) | |
| Corticosteroids | 42 (95.5) |
| Antiviral agents | 14 (31.8) |
| Hydroxychloroquine | 20 (45.5) |
| Antibiotics | 29 (65.9) |
| Remdesivir | 0 |
| Tocilizumab | 4 (9.1) |
| Intensive therapy (N,%) | 12 (27.3) |
| NIV (N,%) | 43 (98.3) |
| IMV (N,%) | 13 (29.5) |
| Pronation (N,%) | 12 (27.3) |
| Time between first positive swab and swab negativization (days) | |
| Median (Min-Max) | 23 (3–64) |
| Hospitalization days | |
| Median (Min-Max) | 26.5 (14–194) |
| Time between ARDS diagnosis and HRCT (months) | |
| Median (Min-Max) | 2.8 (1.9–3.7) |
| Time between swab negativization and HRCT (days) | |
| Median (Min-Max) | 61.5 (17–168) |
| Spirometry values (N/total number of patients, %) | |
| Within normal limits | 15/30 (50.0) |
| Mild obstructive deficit | 3/30 (10.0) |
| Mild restrictive deficit | 5/30 (16.7) |
| Reduction of DLCO | 12/30 (40.0) |
| Status of patients | |
| Discharged | 41 (93.2) |
| Deceased | 3 (6.8) |
| LEFT LUNG | |||||||||||||
|---|---|---|---|---|---|---|---|---|---|---|---|---|---|
| HRCT Finding | Upper Lobe | Lingula | Lower Lobe | ||||||||||
| Apicopost. | Ant. | Superior | Inferior | Superior | Anteromed. | Lat. | Post. | ||||||
| Ground Glass Opacities (N,%) | 22 (50) | 12 (27.3) | 18 (40.9) | 17 (38.6) | 17 (38.6) | 18 (40.9) | 18 (40.9) | 21 (47.7) | |||||
| Reticulations (N,%) | 5 (11.4) | 6 (13.6) | 8 (18.2) | 8 (18.2) | 6 (13.6) | 7 (15.9) | 7 (15.9) | 7 (15.9) | |||||
| Linear bands, indifferent course (N,%) | 6 (13.6) | 6 (13.6) | 2 (4.5) | 8 (18.2) | 6 (13.6) | 7 (15.9) | 7 (15.9) | 11 (25) | |||||
| Linear bands, subpleural (N,%) | 3 (6.8) | 1 (2.3) | 1 (2.3) | 1 (2.3) | 1 (2.3) | 6 (13.6) | 7 (15.9) | 6 (13.6) | |||||
| Linear bands, perilobular (N,%) | 0 | 0 | 2 (4.5) | 3 (6.8) | 2 (4.5) | 2 (4.5) | 4 (9.1) | 6 (13.6) | |||||
| Linear bands, subpleural and perilobular (N,%) | 0 | 0 | 0 | 0 | 1 (2.3) | 2 (4.5) | 3 (6.8) | 3 (6.8) | |||||
| Bronchiectasis | 4 (9.1) | 4 (9.1) | 5 (11.4) | 4 (9.1) | 5 (11.4) | 3 (6.8) | 5 (11.4) | 5 (11.4) | |||||
| Bronchiolectasis | 5 (11.4) | 3 (6.8) | 3 (6.8) | 4 (9.1) | 3 (6.8) | 4 (9.1) | 5 (11.4) | 7 (15.9) | |||||
| RIGHT LUNG | |||||||||||||
| HRCT finding | Upper Lobe | Middle Lobe | Lower Lobe | ||||||||||
| Apical | Post. | Ant. | Lat. | Med. | Sup. | Ant. | Lat. | Post. | Med. | ||||
| Ground Glass Opacities (N,%) | 13 (29.5) | 23 (52.3) | 14 (31.8) | 18 (40.9) | 9 (20.5) | 18 (40.9) | 19 (43.2) | 23 (52.3) | 25 (56.8) | 18 (40.9) | |||
| Reticulations (N,%) | 8 (18.2) | 6 (13.6) | 6 (13.6) | 8 (18.2) | 5 (11.4) | 10 (22.7) | 5 (11.4) | 8 (18.2) | 10 (22.7) | 7 (15.9) | |||
| Linear bands, Indifferent course (N,%) | 5 (11.4) | 7 (15.9) | 7 (15.9) | 8 (18.2) | 8 (18.2) | 5 (11.4) | 5 (11.4) | 7 (15.9) | 12 (27.3) | 4 (9.1) | |||
| Linear bands, subpleural (N,%) | 0 | 2 (4.5) | 1 (2.3) | 2 (4.5) | 1 (2.3) | 1 (2.3) | 2 (4.5) | 7 (15.9) | 8 (18.2) | 0 | |||
| Linear bands, perilobular (N,%) | 0 | 0 | 0 | 1 (2.3) | 1 (2.3) | 0 | 0 | 1 (2.3) | 2 (4.5) | 0 | |||
| Linear bands, subpleural and perilobular (N,%) | 0 | 1 (2.3) | 0 | 3 (6.8) | 1 (2.3) | 2 (4.5) | 3 (6.8) | 5 (11.4) | 5 (11.4) | 0 | |||
| Bronchiectasis | 4 (9.1) | 5 (11.4) | 5 (11.4) | 7 (15.9) | 7 (15.9) | 2 (4.5) | 4 (9.1) | 6 (13.6) | 8 (18.2) | 3 (6.8) | |||
| Bronchiolectasis | 2 (4.5) | 4 (9.1) | 3 (6.8) | 4 (9.1) | 4 (9.1) | 3 (6.8) | 6 (13.6) | 6 (13.6) | 9 (20.5) | 5 (11.4) | |||
| Right Lung | Left Lung | |||||
|---|---|---|---|---|---|---|
| TC Patterns | Never Smokers (n = 22) | Smokers (n = 21) | p-Value | Never Smokers (n = 22) | Smokers (n = 21) | p-Value |
| Ground Glass Opacities | 17 (77.3%) | 16 (76.2%) | 0.93 | 17 (77.3%) | 16 (76.2%) | 0.93 |
| Linear Bands | 14 (63.6%) | 19 (90.5%) | 0.04 | 15 (68.2%) | 17 (86.0%) | 0.34 |
| Reticulations | 8 (36.4%) | 5 (23.8%) | 0.37 | 5 (22.7%) | 5 (23.8%) | 0.93 |
| Consolidations | 6 (27.3%) | 6 (28.6%) | 0.92 | 4 (18.2%) | 4 (19.1%) | 0.94 |
| Loss of pulmunary Volume | 3 (13.6%) | 6 (28.6%) | 0.23 | 3 (13.6%) | 7 (33.3%) | 0.13 |
| Bronchiectasis | 5 (22.7%) | 6 (28.6%) | 0.66 | 3 (13.6%) | 6 (28.6%) | 0.23 |
| Bronchiolectasis | 4 (18.2%) | 8 (38.1%) | 0.15 | 4 (18.2%) | 6 (28.6%) | 0.42 |
| Total patterns Median (25p–75p) | 2 (1–4) | 3 (2–5) | 0.31 | 2 (1–3) | 3 (1–5) | 0.35 |
| Pulmonary artery diameter a.p. Median (25p–75p) | 27 (26–30) | 27 (26–29) | 0.79 | |||
| PA/AA ratio Median (25p–75p) | 0.77 (0.72–0.91) | 0.79 (0.72–0.90) | 0.86 | |||
| Right Lung | Left Lung | |||||
|---|---|---|---|---|---|---|
| TC Patterns | Not-IMV (n = 31) | IMV (n = 13) | p-Value | Not-IMV (n = 31) | IMV (n = 13) | p-Value |
| Ground Glass Opacities | 24 (77.4%) | 9 (69.2%) | 0.57 | 24 (77.4%) | 9 (69.2%) | 0.57 |
| Linear Bands | 21 (67.7%) | 12 (92.3%) | 0.09 | 21 (67.7%) | 11 (84.6%) | 0.25 |
| Reticulations | 9 (29.0%) | 5 (38.5%) | 0.54 | 8 (5.8%) | 3 (23.1%) | 0.85 |
| Consolidations | 10 (32.3%) | 3 (23.1%) | 0.54 | 6 (19.4%) | 3 (23.1%) | 0.78 |
| Loss of pulmunary Volume | 5 (16.1%) | 5 (38.5%) | 0.11 | 6 (19.4%) | 5 (38.5%) | 0.18 |
| Bronchiectasis | 5 (16.1%) | 7 (53.9%) | 0.02 | 6 (19.4%) | 4 (30.8%) | 0.41 |
| Bronchiolectasis | 8 (25.8%) | 5 (38.5%) | 0.40 | 7 (22.6%) | 4 (30.8%) | 0.57 |
| Total patterns Median (25p–75p) | 2 (1–4) | 4 (2–5) | 0.13 | 2 (1–4) | 2 (2–5) | 0.39 |
| Pulmonary artery diameter a.p. Median (25p–75p) | 27 (26–29) | 27 (25–31) | 0.65 | |||
| PA/AA ratio Median (25p–75p) | 0.80 (0.73–0.91) | 0.732 (0.63–0.84) | 0.07 | |||
| Right Lung | Left Lung | |||||
|---|---|---|---|---|---|---|
| TC Patterns | No Pronated (n = 32) | Pronated (n = 12) | p-Value | No Pronated (n = 32) | Pronated (n = 12) | p-Value |
| Ground Glass Opacities | 23 (71.9%) | 10 (83.3%) | 0.43 | 23 (71.9%) | 10 (83.3%) | 0.43 |
| Linear Bands | 23 (71.9%) | 10 (83.3%) | 0.43 | 23 (71.9%) | 9 (75.0%) | 0.84 |
| Reticulations | 8 (25.0%) | 6 (50.0%) | 0.11 | 6 (18.8%) | 5 (41.7%) | 0.12 |
| Consolidations | 8 (25.0%) | 5 (41.7%) | 0.28 | 6 (18.8%) | 3 (25.0%) | 0.65 |
| Loss of pulmunary Volume | 7 (21.9%) | 3 (25.0%) | 0.83 | 8 (25.0%) | 3 (25.0%) | 0.99 |
| Bronchiectasis | 6 (18.8%) | 6 (50.0%) | 0.04 | 6 (18.8%) | 4 (33.3%) | 0.30 |
| Bronchiolectasis | 6 (18.8%) | 7 (58.3%) | 0.02 | 6 (18.8%) | 5 (42.7%) | 0.12 |
| Total patterns Median (25p–75p) | 2 (1–3.5) | 4.5 (2.5–5) | 0.03 | 2 (1–3) | 3 (2–5) | 0.18 |
| Pulmonary artery diameter a.p. Median (25p–75p) | 27 (25–29) | 30 (27–31.5) | 0.03 | |||
| PA/AA ratio Median (25p–75p) | 0.76 (0.71–0.88) | 0.88 (0.79–0.94) | 0.06 | |||
| RIGHT LUNG | |
|---|---|
| Main HRCT findings | Spirometry values |
| Ground Glass Opacities | p = 0.36 |
| Consolidations | p = 0.18 |
| Reticulations | p = 0.66 |
| Lobar volume reduction | p = 0.12 |
| Bronchiectasis | p= 0.009 |
| Bronchiolectasis | p= 0.0123 |
| Linear Bands | p = 0.09 |
| LEFT LUNG | |
| Main HRCT findings | Spirometry values |
| Ground Glass Opacities | p = 0.36 |
| Consolidations | p = 0.27 |
| Reticulations | p = 0.18 |
| Lobar volume reduction | p = 0.026 |
| Bronchiectasis | p = 0.002 |
| Bronchiolectasis | p = 0.03 |
| Linear Bands | p = 0.67 |
Publisher’s Note: MDPI stays neutral with regard to jurisdictional claims in published maps and institutional affiliations. |
© 2021 by the authors. Licensee MDPI, Basel, Switzerland. This article is an open access article distributed under the terms and conditions of the Creative Commons Attribution (CC BY) license (https://creativecommons.org/licenses/by/4.0/).
Share and Cite
Baratella, E.; Ruaro, B.; Marrocchio, C.; Starvaggi, N.; Salton, F.; Giudici, F.; Quaia, E.; Confalonieri, M.; Cova, M.A. Interstitial Lung Disease at High Resolution CT after SARS-CoV-2-Related Acute Respiratory Distress Syndrome According to Pulmonary Segmental Anatomy. J. Clin. Med. 2021, 10, 3985. https://doi.org/10.3390/jcm10173985
Baratella E, Ruaro B, Marrocchio C, Starvaggi N, Salton F, Giudici F, Quaia E, Confalonieri M, Cova MA. Interstitial Lung Disease at High Resolution CT after SARS-CoV-2-Related Acute Respiratory Distress Syndrome According to Pulmonary Segmental Anatomy. Journal of Clinical Medicine. 2021; 10(17):3985. https://doi.org/10.3390/jcm10173985
Chicago/Turabian StyleBaratella, Elisa, Barbara Ruaro, Cristina Marrocchio, Natalia Starvaggi, Francesco Salton, Fabiola Giudici, Emilio Quaia, Marco Confalonieri, and Maria Assunta Cova. 2021. "Interstitial Lung Disease at High Resolution CT after SARS-CoV-2-Related Acute Respiratory Distress Syndrome According to Pulmonary Segmental Anatomy" Journal of Clinical Medicine 10, no. 17: 3985. https://doi.org/10.3390/jcm10173985
APA StyleBaratella, E., Ruaro, B., Marrocchio, C., Starvaggi, N., Salton, F., Giudici, F., Quaia, E., Confalonieri, M., & Cova, M. A. (2021). Interstitial Lung Disease at High Resolution CT after SARS-CoV-2-Related Acute Respiratory Distress Syndrome According to Pulmonary Segmental Anatomy. Journal of Clinical Medicine, 10(17), 3985. https://doi.org/10.3390/jcm10173985

