Axially Loaded Magnetic Resonance Imaging Identification of the Factors Associated with Low Back-Related Leg Pain
Abstract
:1. Introduction
2. Materials and Methods
2.1. Axially Loaded MRI
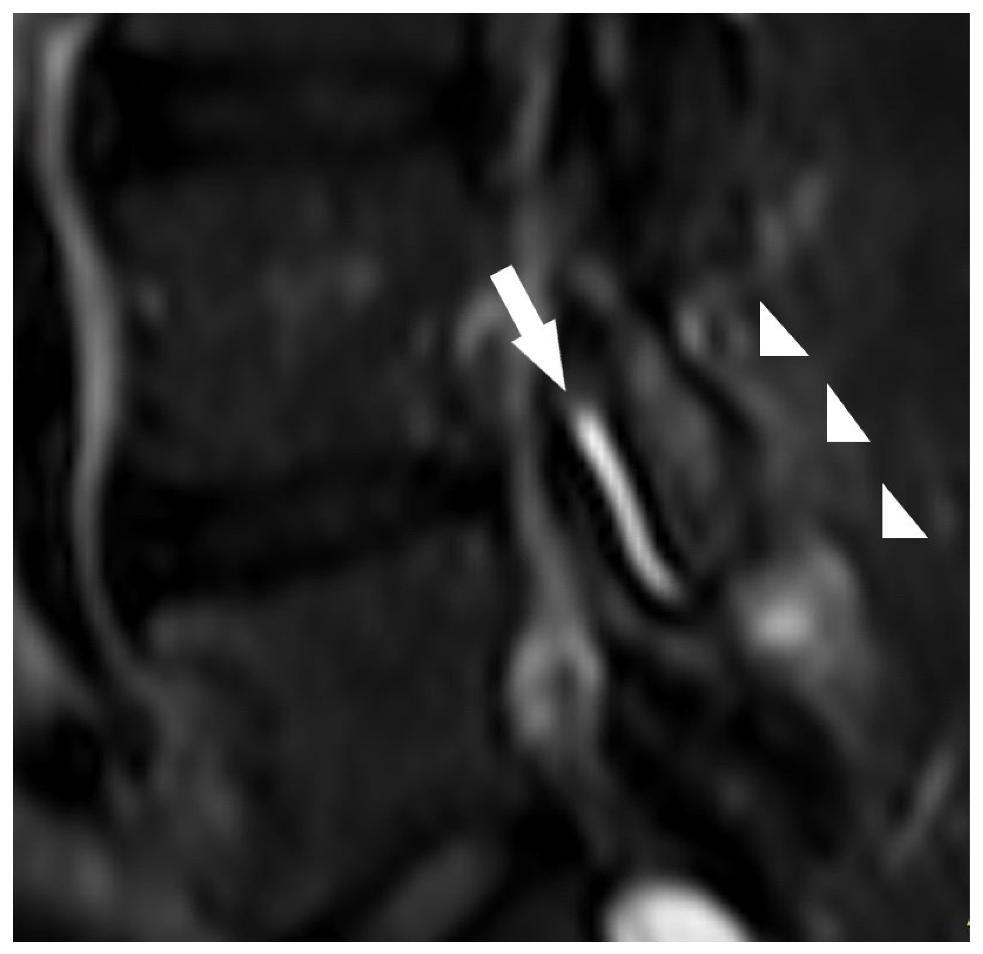
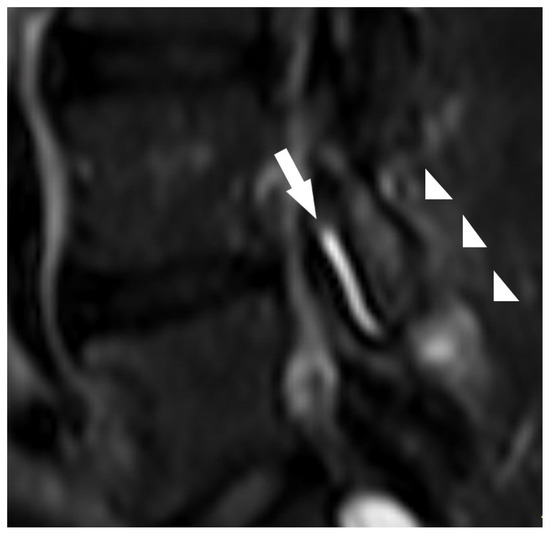
2.2. Image Analysis
2.3. Clinical Evaluation
2.4. Statistical Analysis
- Dural sac cross-sectional area with axial loading;
- Grade of lumbar spinal canal stenosis with axial loading;
- Disc herniation according to MSU with axial loading;
- Intervertebral disc herniation size with axial loading;
- Hyperintensity zone size with axial loading;
- Type of ligamenta flava with axial loading;
- Cross-sectional area of the intervertebral foramen with axial loading;
- Foraminal stenosis, according to Lee et al. [27] classification with axial loading;
- Intervertebral disc degeneration, according to Pfirrmann et al. [28] classification;
- Facet joint degeneration, according to Weishaupt et al. [29] classification;
- Lumbar facet joint edema;
- Synovial cyst area with axial loading;
- Facet effusion with axial loading.
3. Results
4. Discussion
5. Conclusions
Author Contributions
Funding
Institutional Review Board Statement
Informed Consent Statement
Data Availability Statement
Conflicts of Interest
References
- Mistry, J.; Heneghan, N.R.; Noblet, T.; Falla, D.; Rushton, A. Diagnostic utility of patient history, clinical examination and screening tool data to identify neuropathic pain in low back related leg pain: A systematic review and narrative synthesis. BMC Musculoskelet. Disord. 2020, 21, 532. [Google Scholar] [CrossRef] [PubMed]
- Harrisson, S.A.; Ogollah, R.; Dunn, K.M.; Foster, N.E.; Konstantinou, K. Prevalence, Characteristics, and Clinical Course of Neuropathic Pain in Primary Care Patients Consulting with Low Back-related Leg Pain. Clin. J. Pain 2020, 36, 813–824. [Google Scholar] [CrossRef]
- Stynes, S.; Konstantinou, K.; Dunn, K.M. Classification of patients with low back-related leg pain: A systematic review. BMC Musculoskelet. Disord. 2016, 17, 226. [Google Scholar] [CrossRef] [Green Version]
- Harrisson, S.A.; Stynes, S.; Dunn, K.M.; Foster, N.E.; Konstantinou, K. Neuropathic Pain in Low Back-Related Leg Pain Patients: What Is the Evidence of Prevalence, Characteristics, and Prognosis in Primary Care? A Systematic Review of the Literature. J. Pain 2017, 18, 1295–1312. [Google Scholar] [CrossRef]
- Mistry, J.; Falla, D.; Noblet, T.; Heneghan, N.R.; Rushton, A.B. Clinical indicators to identify neuropathic pain in low back-related leg pain: Protocol for a modified Delphi study. BMJ Open 2020, 10, e033547. [Google Scholar] [CrossRef] [Green Version]
- Konstantinou, K.; Dunn, K.M.; Ogollah, R.; Lewis, M.; van der Windt, D.; Hay, E.M.; Team, A.S. Prognosis of sciatica and back-related leg pain in primary care: The ATLAS cohort. Spine J. Off. J. N. Am. Spine Soc. 2018, 18, 1030–1040. [Google Scholar] [CrossRef] [Green Version]
- Konstantinou, K.; Hider, S.L.; Jordan, J.L.; Lewis, M.; Dunn, K.M.; Hay, E.M. The impact of low back-related leg pain on outcomes as compared with low back pain alone: A systematic review of the literature. Clin. J. Pain 2013, 29, 644–654. [Google Scholar] [CrossRef] [PubMed]
- Hill, J.C.; Konstantinou, K.; Egbewale, B.E.; Dunn, K.M.; Lewis, M.; van der Windt, D. Clinical outcomes among low back pain consulters with referred leg pain in primary care. Spine (Phila Pa 1976) 2011, 36, 2168–2175. [Google Scholar] [CrossRef]
- Stynes, S.; Konstantinou, K.; Ogollah, R.; Hay, E.M.; Dunn, K.M. Clinical diagnostic model for sciatica developed in primary care patients with low back-related leg pain. PLoS ONE 2018, 13, e0191852. [Google Scholar] [CrossRef] [PubMed]
- Chou, R.; Deyo, R.A.; Jarvik, J.G. Appropriate use of lumbar imaging for evaluation of low back pain. Radiol. Clin. N. Am. 2012, 50, 569–585. [Google Scholar] [CrossRef] [PubMed]
- Rajeswaran, G.; Turner, M.; Gissane, C.; Healy, J.C. MRI findings in the lumbar spines of asymptomatic elite junior tennis players. Skeletal Radiol. 2014, 43, 925–932. [Google Scholar] [CrossRef]
- Madani, A.; Katz, R.; Muylem, A.V.; Neugroschl, C.; Gevenois, P.A. Prevalence and frequency of subchondral bone marrow edema in the lumbar facet joints of asymptomatic and symptomatic individuals. Skeletal Radiol. 2020, 49, 1141–1147. [Google Scholar] [CrossRef] [Green Version]
- Eubanks, J.D.; Lee, M.J.; Cassinelli, E.; Ahn, N.U. Prevalence of lumbar facet arthrosis and its relationship to age, sex, and race: An anatomic study of cadaveric specimens. Spine 2007, 32, 2058–2062. [Google Scholar] [CrossRef]
- Allegri, M.; Montella, S.; Salici, F.; Valente, A.; Marchesini, M.; Compagnone, C.; Baciarello, M.; Manferdini, M.E.; Fanelli, G. Mechanisms of low back pain: A guide for diagnosis and therapy. F1000Res 2016, 5. [Google Scholar] [CrossRef]
- Jarvik, J.G.; Deyo, R.A. Diagnostic evaluation of low back pain with emphasis on imaging. Ann. Intern. Med. 2002, 137, 586–597. [Google Scholar] [CrossRef]
- Jensen, M.C.; Brant-Zawadzki, M.N.; Obuchowski, N.; Modic, M.T.; Malkasian, D.; Ross, J.S. Magnetic resonance imaging of the lumbar spine in people without back pain. N. Engl. J. Med. 1994, 331, 69–73. [Google Scholar] [CrossRef] [PubMed] [Green Version]
- Sato, K.; Kikuchi, S.; Yonezawa, T. In vivo intradiscal pressure measurement in healthy individuals and in patients with ongoing back problems. Spine 1999, 24, 2468–2474. [Google Scholar] [CrossRef] [PubMed]
- Ferrara, L.; Triano, J.J.; Sohn, M.J.; Song, E.; Lee, D.D. A biomechanical assessment of disc pressures in the lumbosacral spine in response to external unloading forces. Spine J. 2005, 5, 548–553. [Google Scholar] [CrossRef] [PubMed]
- Weishaupt, D.; Schmid, M.R.; Zanetti, M.; Boos, N.; Romanowski, B.; Kissling, R.O.; Dvorak, J.; Hodler, J. Positional MR imaging of the lumbar spine: Does it demonstrate nerve root compromise not visible at conventional MR imaging? Radiology 2000, 215, 247–253. [Google Scholar] [CrossRef]
- Nilsson, M.; Lagerstrand, K.; Kasperska, I.; Brisby, H.; Hebelka, H. Axial loading during MRI influences T2-mapping values of lumbar discs: A feasibility study on patients with low back pain. Eur. Spine J. 2016, 25, 2856–2863. [Google Scholar] [CrossRef]
- Lorenc, T.; Palczewski, P.; Wojcik, D.; Glinkowski, W.; Golebiowski, M. Diagnostic Benefits of Axial-Loaded Magnetic Resonance Imaging Over Recumbent Magnetic Resonance Imaging in Obese Lower Back Patients. Spine 2018, 43, 1146–1153. [Google Scholar] [CrossRef]
- Price, D.D.; McGrath, P.A.; Rafii, A.; Buckingham, B. The validation of visual analogue scales as ratio scale measures for chronic and experimental pain. Pain 1983, 17, 45–56. [Google Scholar] [CrossRef]
- Margolis, R.B.; Tait, R.C.; Krause, S.J. A rating system for use with patient pain drawings. Pain 1986, 24, 57–65. [Google Scholar] [CrossRef]
- Nachemson, A.; Elfstrom, G. Intravital dynamic pressure measurements in lumbar discs. A study of common movements, maneuvers and exercises. Scand. J. Rehabil. Med. Suppl. 1970, 1, 1–40. [Google Scholar]
- Mysliwiec, L.W.; Cholewicki, J.; Winkelpleck, M.D.; Eis, G.P. MSU classification for herniated lumbar discs on MRI: Toward developing objective criteria for surgical selection. Eur. Spine J. 2010, 19, 1087–1093. [Google Scholar] [CrossRef] [Green Version]
- Schizas, C.; Theumann, N.; Burn, A.; Tansey, R.; Wardlaw, D.; Smith, F.W.; Kulik, G. Qualitative grading of severity of lumbar spinal stenosis based on the morphology of the dural sac on magnetic resonance images. Spine 2010, 35, 1919–1924. [Google Scholar] [CrossRef] [Green Version]
- Lee, S.; Lee, J.W.; Yeom, J.S.; Kim, K.J.; Kim, H.J.; Chung, S.K.; Kang, H.S. A practical MRI grading system for lumbar foraminal stenosis. AJR Am. J. Roentgenol. 2010, 194, 1095–1098. [Google Scholar] [CrossRef] [PubMed] [Green Version]
- Pfirrmann, C.W.; Metzdorf, A.; Zanetti, M.; Hodler, J.; Boos, N. Magnetic resonance classification of lumbar intervertebral disc degeneration. Spine 2001, 26, 1873–1878. [Google Scholar] [CrossRef] [PubMed]
- Weishaupt, D.; Zanetti, M.; Boos, N.; Hodler, J. MR imaging and CT in osteoarthritis of the lumbar facet joints. Skeletal. Radiol. 1999, 28, 215–219. [Google Scholar] [CrossRef] [PubMed]
- Stucki, G.; Daltroy, L.; Liang, M.H.; Lipson, S.J.; Fossel, A.H.; Katz, J.N. Measurement properties of a self-administered outcome measure in lumbar spinal stenosis. Spine 1996, 21, 796–803. [Google Scholar] [CrossRef] [Green Version]
- Glinkowski, W.; Sitnik, R.; Wojciechowski, A.; Witkowski, M.; Glinkowska, B.; Gołębiowski, M.; Górecki, A. COMPLEX PERSONALIZED APPROACH TO OSTEOPOROTIC VERTEBRAL FRACTURES. Orthop. Proc. 2011, 93-B, 206. [Google Scholar] [CrossRef]
- Fairbank, J.C.; Pynsent, P.B. The Oswestry Disability Index. Spine 2000, 25, 2940–2952, discussion 2952. [Google Scholar] [CrossRef]
- Fairbank, J. Use of Oswestry Disability Index (ODI). Spine 1995, 20, 1535–1537. [Google Scholar] [CrossRef]
- Beck, A.T.; Beck, R.W. Screening depressed patients in family practice. A rapid technic. Postgrad. Med. 1972, 52, 81–85. [Google Scholar] [CrossRef]
- Schonstrom, N.; Bolender, N.F.; Spengler, D.M.; Hansson, T.H. Pressure changes within the cauda equina following constriction of the dural sac. An in vitro experimental study. Spine 1984, 9, 604–607. [Google Scholar] [CrossRef] [PubMed]
- Schonstrom, N.; Hansson, T. Pressure changes following constriction of the cauda equina. An experimental study in situ. Spine 1988, 13, 385–388. [Google Scholar] [CrossRef] [PubMed]
- Pneumaticos, S.G.; Hipp, J.A.; Esses, S.I. Sensitivity and specificity of dural sac and herniated disc dimensions in patients with low back-related leg pain. J. Magn. Reson. Imaging 2000, 12, 439–443. [Google Scholar] [CrossRef]
- Rankine, J.J.; Gill, K.P.; Hutchinson, C.E.; Ross, E.R.; Williamson, J.B. The therapeutic impact of lumbar spine MRI on patients with low back and leg pain. Clin. Radiol. 1998, 53, 688–693. [Google Scholar] [CrossRef]
- Konstantinou, K.; Dunn, K.M.; Ogollah, R.; Vogel, S.; Hay, E.M.; ATLAS Study Research Team. Characteristics of patients with low back and leg pain seeking treatment in primary care: Baseline results from the ATLAS cohort study. BMC Musculoskelet. Disord. 2015, 16, 332. [Google Scholar] [CrossRef] [Green Version]
- Schwarz-Nemec, U.; Friedrich, K.M.; Stihsen, C.; Schwarz, F.K.; Trattnig, S.; Weber, M.; Grohs, J.G.; Nemec, S.F. Vertebral Bone Marrow and Endplate Assessment on MR Imaging for the Differentiation of Modic Type 1 Endplate Changes and Infectious Spondylodiscitis. J. Clin. Med. 2020, 9, 826. [Google Scholar] [CrossRef] [Green Version]
- Johnson, P.W.; Collins, M.S.; Wenger, D.E. Diagnostic utility of T1-weighted MRI characteristics in evaluation of osteomyelitis of the foot. AJR Am. J. Roentgenol. 2009, 192, 96–100. [Google Scholar] [CrossRef]
- Mainka, T.; Lemburg, S.P.; Heyer, C.M.; Altenscheidt, J.; Nicolas, V.; Maier, C. Association between clinical signs assessed by manual segmental examination and findings of the lumbar facet joints on magnetic resonance scans in subjects with and without current low back pain: A prospective, single-blind study. Pain 2013, 154, 1886–1895. [Google Scholar] [CrossRef] [PubMed]
- Suri, P.; Dharamsi, A.S.; Gaviola, G.; Isaac, Z. Are facet joint bone marrow lesions and other facet joint features associated with low back pain? A pilot study. PM&R 2013, 5, 194–200. [Google Scholar] [CrossRef]
- Shinto, K.; Minamide, A.; Hashizume, H.; Oka, H.; Matsudaira, K.; Iwahashi, H.; Ishimoto, Y.; Teraguchi, M.; Kagotani, R.; Asai, Y.; et al. Prevalence of Facet Effusion and Its Relationship with Lumbar Spondylolisthesis and Low Back Pain: The Wakayama Spine Study. J. Pain Res. 2019, 12, 3521–3528. [Google Scholar] [CrossRef] [PubMed] [Green Version]
- Rihn, J.A.; Lee, J.Y.; Khan, M.; Ulibarri, J.A.; Tannoury, C.; Donaldson, W.F., 3rd; Kang, J.D. Does lumbar facet fluid detected on magnetic resonance imaging correlate with radiographic instability in patients with degenerative lumbar disease? Spine 2007, 32, 1555–1560. [Google Scholar] [CrossRef] [Green Version]
- Cho, B.Y.; Murovic, J.A.; Park, J. Imaging correlation of the degree of degenerative L4-5 spondylolisthesis with the corresponding amount of facet fluid. J. Neurosurg. Spine 2009, 11, 614–619. [Google Scholar] [CrossRef]
- Lattig, F.; Fekete, T.F.; Kleinstück, F.S.; Porchet, F.; Jeszenszky, D.; Mannion, A.F. Lumbar facet joint effusion on MRI as a sign of unstable degenerative spondylolisthesis: Should it influence the treatment decision? J. Spinal Disord. Tec. 2015, 28, 95–100. [Google Scholar] [CrossRef]
- Yoshiiwa, T.; Miyazaki, M.; Notani, N.; Ishihara, T.; Kawano, M.; Tsumura, H. Analysis of the Relationship between Ligamentum Flavum Thickening and Lumbar Segmental Instability, Disc Degeneration, and Facet Joint Osteoarthritis in Lumbar Spinal Stenosis. Asian Spine J. 2016, 10, 1132–1140. [Google Scholar] [CrossRef] [PubMed] [Green Version]
- Kirkaldy-Willis, W.H.; Wedge, J.H.; Yong-Hing, K.; Reilly, J. Pathology and pathogenesis of lumbar spondylosis and stenosis. Spine 1978, 3, 319–328. [Google Scholar] [CrossRef]
- Sairyo, K.; Biyani, A.; Goel, V.; Leaman, D.; Booth, R., Jr.; Thomas, J.; Gehling, D.; Vishnubhotla, L.; Long, R.; Ebraheim, N. Pathomechanism of ligamentum flavum hypertrophy: A multidisciplinary investigation based on clinical, biomechanical, histologic, and biologic assessments. Spine 2005, 30, 2649–2656. [Google Scholar] [CrossRef]
- Sakamaki, T.; Sairyo, K.; Sakai, T.; Tamura, T.; Okada, Y.; Mikami, H. Measurements of ligamentum flavum thickening at lumbar spine using MRI. Arch. Orthop. Trauma Surg. 2009, 129, 1415–1419. [Google Scholar] [CrossRef] [PubMed]
- Kouyialis, A.T.; Boviatsis, E.J.; Korfias, S.; Sakas, D.E. Lumbar synovial cyst as a cause of low back pain and acute radiculopathy: A case report. South. Med. J. 2005, 98, 223–225. [Google Scholar] [CrossRef] [PubMed]
- Bydon, A.; Xu, R.; Parker, S.L.; McGirt, M.J.; Bydon, M.; Gokaslan, Z.L.; Witham, T.F. Recurrent back and leg pain and cyst reformation after surgical resection of spinal synovial cysts: Systematic review of reported postoperative outcomes. Spine J. Off. J. N. Am. Spine Soc. 2010, 10, 820–826. [Google Scholar] [CrossRef] [PubMed]
- Iversen, T.; Solberg, T.K.; Romner, B.; Wilsgaard, T.; Nygaard, Ø.; Waterloo, K.; Brox, J.I.; Ingebrigtsen, T. Accuracy of physical examination for chronic lumbar radiculopathy. BMC Musculoskelet. Disord. 2013, 14, 206. [Google Scholar] [CrossRef] [PubMed] [Green Version]



| Parameters | 3D VISTA T2 | STIR Sagittal | 2D TSE T2 Sagittal | 2D TSE T2 Axial | 2D TSE T1 Sagittal |
|---|---|---|---|---|---|
| TR/TE, ms | 2000/90 | 2000/70 | 2000/120 | 3000/120 | 400/13 |
| NSA | 1 | 2 | 3 | 3 | 2 |
| FOV, mm | 300 × 200 | 300 × 160 | 300 × 160 | 300 × 160 | 300 × 160 |
| Acquisition matrix | 300 × 196 | 132 × 198 | 200 × 300 | 332 × 223 | 180 × 238 |
| Acquisition voxel, mm | 1.0 × 1.0 × 0.5 | 1.2 × 1.5 × 4.0 | 0.9 × 1.0 × 4.0 | 0.6 × 0.8 × 3.0 | 0.9 × 1.3 × 4.0 |
| Reconstruction matrix | 640 | 432 | 640 | 400 | 480 |
| Reconstruction voxel, mm | 0.47 × 0.47 × 0.5 | 0.7 × 0.7 × 4.0 | 0.47 × 0.47 × 4.0 | 0.5 × 0.5 × 3.0 | 0.6 × 0.6 × 4.0 |
| Turbo factor | 61 | 33 | 42 | 24 | 7 |
| Scan time, min | 06:46 | 03:33 | 03:44 | 04:12 | 02:38 |
| Number, n | Percentage, % | |
|---|---|---|
| Outcome | ||
| LBLP patients | 38 | 42.2 |
| No-LBLP patients | 52 | 57.8 |
| Age categories | ||
| ≤40 years | 32 | 35.6 |
| 41–60 years | 35 | 38.9 |
| >60 years | 23 | 25.6 |
| Sex | ||
| Male | 46 | 51.1 |
| Female | 44 | 48.9 |
| BMI categories | ||
| 18 ≤ BMI < 25 kg/m2 | 44 | 48.9 |
| 25 ≤ BMI < 30 kg/m2 | 27 | 30.0 |
| ≥30 kg/m2 | 19 | 21.1 |
| ODI | ||
| ≤40 | 59 | 65.6 |
| >40 | 31 | 34.4 |
| ZCQ | ||
| <40 | 23 | 25.6 |
| 40–60 | 49 | 54.4 |
| >60 | 18 | 20.0 |
| BDI | ||
| <14 | 69 | 76.7 |
| ≥14 | 21 | 23.3 |
| LBLP (n = 38) | No-LBLP (n = 52) | p | |
|---|---|---|---|
| Age, yrs | 53 | 46 | 0.393 |
| Male, n | 19 (41.3) | 27 (58.7) | 0.513 |
| BMI, kg/m2 | 26 | 25.5 | 0.15 |
| BDI | 8.5 | 5.5 | 0.117 |
| Low back VAS | 6 | 5 | 0.002 * |
| ODI | 43 | 26 | <0.001 * |
| ZCQ | 34.5 | 27 | <0.001 * |
| Variables | Categories | Number with Feature, n | Rate, % |
|---|---|---|---|
| Dural sac cross-sectional area, mm2 | <105 | 29 | 32.2 |
| 105–145 | 29 | 32.2 | |
| ≥145 | 32 | 35.6 | |
| Grade of lumbar spinal canal stenosis according to Schizas et al. [26] classification | A1 | 44 | 48.9 |
| ≥A2 | 46 | 51.1 | |
| Disc herniation according to the MSU [25] classification of lumbar disc herniation | 0 | 28 | 31.9 |
| ≥1a | 62 | 68.9 | |
| Disc herniation size, mm | <3 | 32 | 35.6 |
| 3–5 | 22 | 24.4 | |
| ≥5 | 36 | 40.0 | |
| Hyperintensity zone size, mm | 0 | 61 | 67.8 |
| >0 | 29 | 32.2 | |
| Ligamentum flavum type (typical, atypical) | Typical (thickness < 5 mm and area < 55 mm2) | 24 | 26.7 |
| Typical (thickness ≥ 5 mm and area ≥ 55 mm2) | 26 | 28.9 | |
| Atypical (thickness < 5 mm and area ≥ 55 mm2) | 38 | 42.2 | |
| Atypical (thickness ≥ 5 mm and area < 55 mm2) | 2 | 0.2 | |
| Intervertebral foramen area, mm2 | <93 | 30 | 33.3 |
| 93–117 | 30 | 33.3 | |
| ≥117 | 30 | 33.3 | |
| Foraminal stenosis, according to Lee et al. classification [27] | 0 | 35 | 27.8 |
| >0 | 65 | 72.2 | |
| Intervertebral disc degeneration, according to Pfirrmann et al. classification [28] | <4 | 17 | 18.9 |
| ≥4 | 73 | 81.1 | |
| Facet joint degeneration, according to Weishaupt et al. classification [29] | ≤1 | 42 | 46.7 |
| >1 | 48 | 53.3 | |
| Lumbar facet joint edema | Absent | 53 | 58.9 |
| Present | 37 | 41.1 | |
| Synovial cyst area, mm2 | 0 | 62 | 68.9 |
| >0 | 28 | 31.1 | |
| Facet effusion thickness, mm | 0 | 72 | 80.0 |
| >0 | 18 | 20.0 |
| Variables | B | SE | p-Value | OR | 95% CI | |
|---|---|---|---|---|---|---|
| Upper | Lower | |||||
| Intervertebral disc degeneration according to Pfirrmann classification ≥ 4 | −1.804 | 0.690 | 0.009 | 0.165 | 0.043 | 0.637 |
| Facet effusion thickness, mm > 0 | 1.522 | 0.721 | 0.035 | 4.580 | 1.114 | 18.830 |
| Lumbar facet joint edema (present) | 1.858 | 0.617 | 0.003 | 6.412 | 1.913 | 21.492 |
| Synovial cyst area, mm2 > 0 | −1.984 | 0.692 | 0.004 | 0.138 | 0.035 | 0.534 |
| Atypical ligamenta flava (thickness < 5 mm; area ≥ 55 mm2) | 1.753 | 0.593 | 0.003 | 5.771 | 1.804 | 18.461 |
| Constant | −0.170 | 0.583 | 0.771 | 0.844 | ||
Publisher’s Note: MDPI stays neutral with regard to jurisdictional claims in published maps and institutional affiliations. |
© 2021 by the authors. Licensee MDPI, Basel, Switzerland. This article is an open access article distributed under the terms and conditions of the Creative Commons Attribution (CC BY) license (https://creativecommons.org/licenses/by/4.0/).
Share and Cite
Lorenc, T.; Glinkowski, W.M.; Gołębiowski, M. Axially Loaded Magnetic Resonance Imaging Identification of the Factors Associated with Low Back-Related Leg Pain. J. Clin. Med. 2021, 10, 3884. https://doi.org/10.3390/jcm10173884
Lorenc T, Glinkowski WM, Gołębiowski M. Axially Loaded Magnetic Resonance Imaging Identification of the Factors Associated with Low Back-Related Leg Pain. Journal of Clinical Medicine. 2021; 10(17):3884. https://doi.org/10.3390/jcm10173884
Chicago/Turabian StyleLorenc, Tomasz, Wojciech Michał Glinkowski, and Marek Gołębiowski. 2021. "Axially Loaded Magnetic Resonance Imaging Identification of the Factors Associated with Low Back-Related Leg Pain" Journal of Clinical Medicine 10, no. 17: 3884. https://doi.org/10.3390/jcm10173884
APA StyleLorenc, T., Glinkowski, W. M., & Gołębiowski, M. (2021). Axially Loaded Magnetic Resonance Imaging Identification of the Factors Associated with Low Back-Related Leg Pain. Journal of Clinical Medicine, 10(17), 3884. https://doi.org/10.3390/jcm10173884

