Alveolar Volume Following Different Timings of Secondary Bone Grafting in Patients with Unilateral Cleft Lip and Palate. A Pilot Study
Abstract
:1. Introduction
2. Materials and Methods
2.1. Subjects
2.2. Surgical Treatment
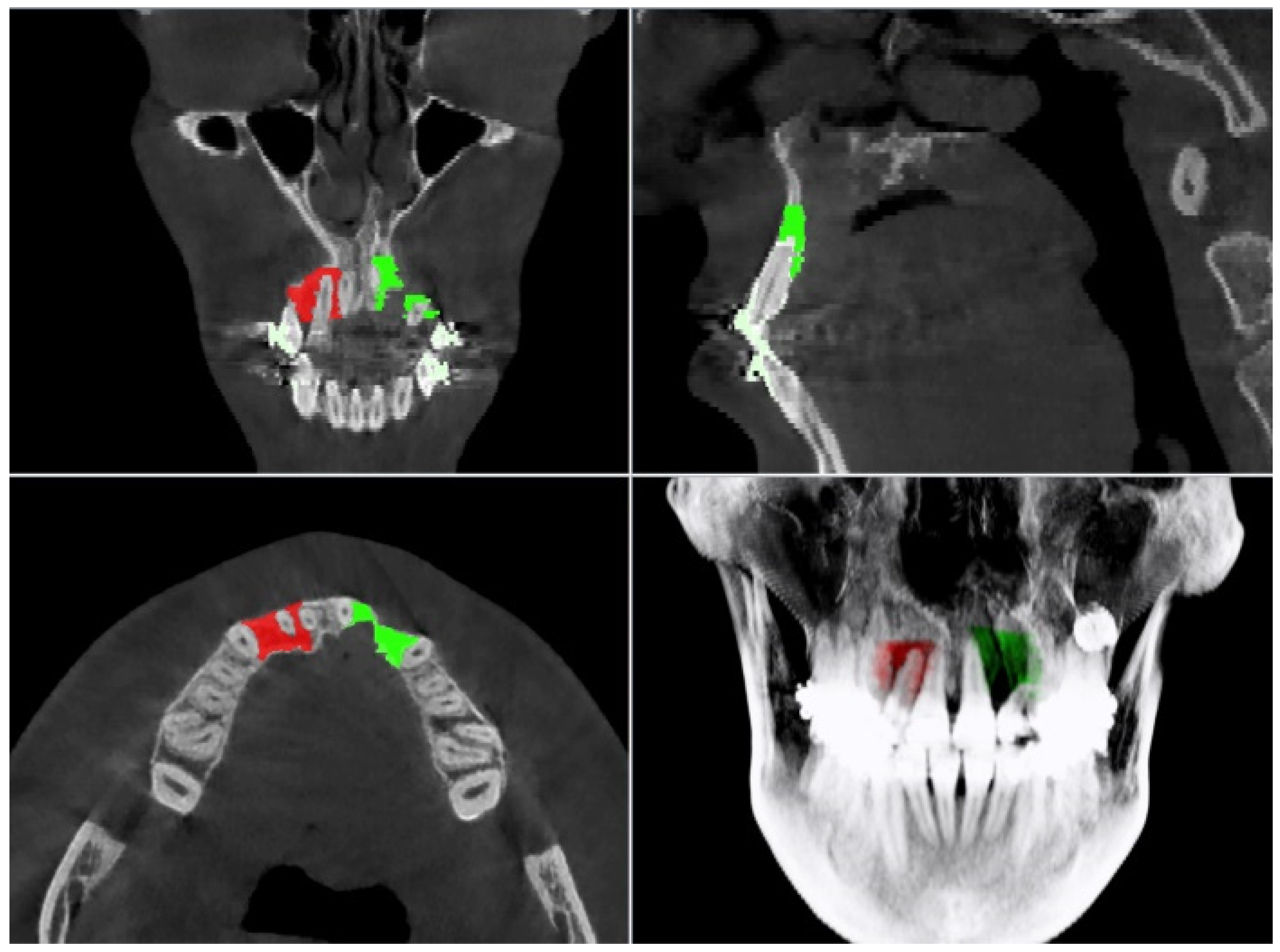
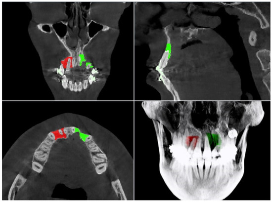
2.3. Computed Tomography (CT) Evaluation
2.4. Statistical Analysis
2.5. Error of the Method
3. Results
4. Discussion
5. Conclusions
Author Contributions
Funding
Institutional Review Board Statement
Informed Consent Statement
Data Availability Statement
Conflicts of Interest
References
- Kuijpers-Jagtman, A.M.; Long, R.E. The Influence of surgery and orthopedic treatment on maxillofacial growth and maxillary arch development in patients treated for orofacial clefts. Cleft Palate-Craniofac. J. 2000, 37, 527. [Google Scholar] [CrossRef]
- Hogeman, K.E.; Jacobsson, S.; Sarnäs, K.V. Secondary bone grafting in cleft palate: A follow up of 145 patients. Cleft Palate J. 1972, 9, 39–42. [Google Scholar]
- Boyne, P.J.; Sands, N.R. Secondary bone grafting of residual alveolar and palatal clefts. J. Oral Surg. 1972, 30, 87–92. [Google Scholar] [PubMed]
- De Mulder, D.; Pérula, M.C.D.L.; Jacobs, R.; Verdonck, A.; Willems, G. Three-dimensional radiological evaluation of secondary alveolar bone grafting in cleft lip and palate patients: A systematic review. Dentomaxillofac. Radiol. 2019, 48, 20180047. [Google Scholar] [CrossRef] [PubMed]
- Åbyholm, F.E.; Bergland, O.; Semb, G. Secondary Bone Grafting of Alveolar Clefts: A Surgical/Orthodontic Treatment Enabling a Non-prosthodontic Rehabilitation in Cleft Lip and Palate Patients. Scand. J. Plast. Reconstr. Surg. 1981, 15, 127–140. [Google Scholar] [CrossRef]
- Enemark, H.; Sindet-Pedersen, S.; Bundgaard, M.; Simonsen, E.K. Combined Orthodontic-surgical Treatment of Alveolar Clefts. Ann. Plast. Surg. 1988, 21, 127–133. [Google Scholar] [CrossRef]
- Semb, G. Effect of alveolar bone grafting on maxillary growth in unilateral cleft lip and palate patients. Cleft Palate J. 1988, 25, 288–295. [Google Scholar] [PubMed]
- Doucet, J.-C.; Russell, K.A.; Daskalogiannakis, J.; Mercado, A.M.; Emanuele, N.; James, L.; Hathaway, R.R.; Long, J.R.E. Facial Growth of Patients with Complete Unilateral Cleft Lip and Palate Treated with Alveolar Bone Grafting at 6 Years. Cleft Palate-Craniofac. J. 2019, 56, 619–627. [Google Scholar] [CrossRef] [PubMed]
- Siegenthaler, M.; Bettelini, L.; Brudnicki, A.; Rachwalski, M.; Fudalej, P.S. Early versus late alveolar bone grafting in unilateral cleft lip and palate: Dental arch relationships in pre-adolescent patients. J. Craniomaxillofac. Surg. 2018, 46, 2052–2057. [Google Scholar] [CrossRef] [PubMed]
- Brudnicki, A.; Sawicka, E.; Brudnicka, R.; Fudalej, P.S. Effects of Different Timing of Alveolar Bone Graft on Craniofacial Morphology in Unilateral Cleft Lip and Palate. Cleft Palate-Craniofac. J. 2019, 57, 105–113. [Google Scholar] [CrossRef]
- Brudnicki, A.; Sawicka, E.; Fudalej, P.S. Maxillofacial morphology in post-pubertal patients with unilateral cleft lip and palate following early vs. late secondary alveolar bone grafting. J. Cranio-Maxillofac. Surg. 2021. [Google Scholar] [CrossRef] [PubMed]
- Brudnicki, A.; Rachwalski, M.; Wiepszowski, Ł.; Sawicka, E. Secondary alveolar bone grafting in cleft lip and palate: A comparative analysis of donor site morbidity in different age groups. J. Cranio-Maxillofac. Surg. 2019, 47, 165–169. [Google Scholar] [CrossRef] [PubMed]
- Shafer, D.M. Secondary Bone Grafting for Unilateral Alveolar Clefts: A Review of Surgical Techniques. Atlas Oral Maxillofac. Surg. Clin. 1995, 3, 29–42. [Google Scholar] [CrossRef]
- Talmant, J.; Lumineau, J.; Rousteau, G. Prise en charge des fentes labio-maxillo-palatines par l’équipe du docteur Talmant à Nantes. Ann. Chir. Plast. Esthét. 2002, 47, 116–125. [Google Scholar] [CrossRef]
- Precious, D.S. A New Reliable Method for Alveolar Bone Grafting at About 6 Years of Age. J. Oral Maxillofac. Surg. 2009, 67, 2045–2053. [Google Scholar] [CrossRef]
- Brudnicki, A.; Brudnicka, R.; Sawicka, E. Outcome of alveolar bone grafting in patients with unilateral cleft lip and palate operated by one-stage method. Dev. Period Med. 2014, 18, 44–52. [Google Scholar]
- Dissaux, C.; Bodin, F.; Grollemund, B.; Bridonneau, T.; Kauffmann, I.; Mattern, J.-F.; Bruant-Rodier, C. Evaluation of success of alveolar cleft bone graft performed at 5 years versus 10 years of age. J. Cranio-Maxillofac. Surg. 2016, 44, 21–26. [Google Scholar] [CrossRef]
- Kaura, A.S.; Srinivasa, D.R.; Kasten, S.J. Optimal Timing of Alveolar Cleft Bone Grafting for Maxillary Clefts in the Cleft Palate Population. J. Craniofac. Surg. 2018, 29, 1551–1557. [Google Scholar] [CrossRef]
- Kamperos, G.; Theologie-Lygidakis, N.; Tsiklakis, K.; Iatrou, I. A novel success scale for evaluating alveolar cleft repair using cone-beam computed tomography. J. Cranio-Maxillofac. Surg. 2020, 48, 391–398. [Google Scholar] [CrossRef]
- Liu, B.; Li, B.H.; Chen, S.X.; Xiao, R.; Wang, Y.Q. A novel accurate volumetric analysis protocol for evaluating secondary alveolar cleft reconstruction. J. Cranio-Maxillofac. Surg. 2020, 48, 632–637. [Google Scholar] [CrossRef]
- Chou, P.-Y.; Denadai, R.; Hallac, R.R.; Dumrongwongsiri, S.; Hsieh, W.-C.; Pai, B.C.; Lo, L.-J. Comparative Volume Analysis of Alveolar Defects by 3D Simulation. J. Clin. Med. 2019, 8, 1401. [Google Scholar] [CrossRef] [Green Version]
- Brudnicki, A.; Sawicka, E.; Brudnicka, R.; Fudalej, P.S. Cephalometric comparison of early and late secondary bone grafting in the treatment of patients suffering from unilateral cleft lip and palate. J. Cranio-Maxillofac. Surg. 2017, 45, 479–484. [Google Scholar] [CrossRef]
- Nowinski, S.; Borucki, B. VisNow—A modular, extensible visual analysis platform. In Proceedings of the 22nd International Conference in Central Europe on Computer Graphics, Visualization and Computer Vision WSCG2014, Plzeň, Czechia, 2–5 June 2014; pp. 73–76. Available online: https://gitlab.com/cnt-uksw/visualization/VisNow (accessed on 1 July 2021).
- Anthony, D. Understanding Advanced Statistics; Churchill Livingstone: Edinburgh, UK, 1999. [Google Scholar]
- Jia, Y.; Fu, M.; Ma, L. Long-term outcome of secondary alveolar bone grafting in patients with various types of cleft. Br. J. Oral Maxillofac. Surg. 2006, 44, 308–312. [Google Scholar] [CrossRef] [PubMed]
- Rawashdeh, M.A.; Al Nimri, K.S. Outcome of Secondary Alveolar Bone Grafting Before and After Eruption of the Canine in Jordanian Patients with Cleft Lip and Palate. J. Craniofac. Surg. 2007, 18, 1331–1337. [Google Scholar] [CrossRef] [Green Version]
- Meyer, S.; Mølsted, K. Long-term outcome of secondary alveolar bone grafting in cleft lip and palate patients: A 10-year follow-up cohort study. J. Plast. Surg. Hand Surg. 2013, 47, 503–508. [Google Scholar] [CrossRef]
- Khalil, W.; De Musis, C.R.; Volpato, L.E.R.; Veiga, K.A.; Vieira, E.M.M.; Aranha, A.M. Clinical and Radiographic Assessment of Secondary Bone Graft Outcomes in Cleft Lip and Palate Patients. Int. Sch. Res. Not. 2014, 2014, 231795. [Google Scholar] [CrossRef] [PubMed] [Green Version]
- Knuth, C.A.; Kiernan, C.H.; Cabeza, V.P.; Lehmann, J.; Witte-Bouma, J.; Berge, D.T.; Brama, P.A.; Wolvius, E.B.; Strabbing, E.M.; Koudstaal, M.; et al. Isolating Pediatric Mesenchymal Stem Cells with Enhanced Expansion and Differentiation Capabilities. Tissue Eng. Part C Methods 2018, 24, 313–321. [Google Scholar] [CrossRef]
- Yun, M.H. Changes in Regenerative Capacity through Lifespan. Int. J. Mol. Sci. 2015, 16, 25392–25432. [Google Scholar] [CrossRef] [PubMed] [Green Version]
- Yang, Y.-H.K. Aging of mesenchymal stem cells: Implication in regenerative medicine. Regen. Ther. 2018, 9, 120–122. [Google Scholar] [CrossRef]
- Arctander, K.; Kolbenstvedt, A.; Aaløkken, T.M.; Åbyholm, F.; Frøslie, K.F. Computed tomography of alveolar bone grafts 20 years after repair of unilateral cleft lip and palate. Scand. J. Plast. Reconstr. Surg. Hand Surg. 2005, 39, 11–14. [Google Scholar] [CrossRef]
- Feichtinger, M.; Mossböck, R.; Kärcher, H. Assessment of Bone Resorption after Secondary Alveolar Bone Grafting Using Three-Dimensional Computed Tomography: A Three-Year Study. Cleft Palate-Craniofac. J. 2007, 44, 142–148. [Google Scholar] [CrossRef]
- Rehrmann, A.H.; Koberg, W.R.; Koch, H. Long-term postoperative results of primary and secondary bone grafting in complete clefts of lip and palate. Cleft Palate J. 1970, 7, 206–221. [Google Scholar] [PubMed]
- Van der Meij, A.; Baart, J.; Prahl-Andersen, B.; Valk, J.; Kostense, P.; Tuinzing, D. Bone volume after secondary bone grafting in unilateral and bilateral clefts determined by computed tomography scans. Oral Surg. Oral Med. Oral Pathol. Oral Radiol. Endodontol. 2001, 92, 136–141. [Google Scholar] [CrossRef]
- Oberoi, S.; Chigurupati, R.; Gill, P.; Hoffman, W.Y.; Vargervik, K. Volumetric Assessment of Secondary Alveolar Bone Grafting Using Cone Beam Computed Tomography. Cleft Palate-Craniofac. J. 2009, 46, 503–511. [Google Scholar] [CrossRef] [PubMed]
- Janssen, N.G.; Schreurs, R.; Bittermann, G.K.; Borstlap, W.A.; Koole, R.; Meijer, G.J.; Maal, T.J. A novel semi-automatic segmentation protocol for volumetric assessment of alveolar cleft grafting procedures. J. Cranio-Maxillofac. Surg. 2017, 45, 685–689. [Google Scholar] [CrossRef] [PubMed]
- Orlowska, M.; Jozwiak, R.; Regulski, P. Virtual Tooth Extraction from Cone Beam Computed Tomography Scans. In Recent Developments and Achievements in Biocybernetics and Biomedical Engineering; Advances in Intelligent Systems and Computing; Springer: Cham, Switzerland, 2018; Volume 647. [Google Scholar]
- Linderup, B.W.; Küseler, A.; Jensen, J.; Cattaneo, P.M. A Novel Semiautomatic Technique for Volumetric Assessment of the Alveolar Bone Defect Using Cone Beam Computed Tomography. Cleft Palate-Craniofac. J. 2015, 52, 47–55. [Google Scholar] [CrossRef] [PubMed]
- Zhang, W.; Shen, G.; Wang, X.; Yu, H.; Fan, L. Evaluation of alveolar bone grafting using limited cone beam computed tomography. Oral Surg. Oral Med. Oral Pathol. Oral Radiol. 2012, 113, 542–548. [Google Scholar] [CrossRef]
- Weber, J.B.; Menezes, L.D.M.; Azeredo, F.; Filho, L.S.L. Volumetric assessment of alveolar clefts: A literature review. J. Oral Pathol. Med. 2017, 46, 569–573. [Google Scholar] [CrossRef]



| All (n = 35) | |||
|---|---|---|---|
| Median | Range | IQR | |
| Age at primary cleft repair (months) | 8.1 | 5.0–20.6 | 1.5 |
| Age at alveolar bone grafting (years) | 8.4 | 1.8–18.8 | 8.3 |
| Age at CT scan (years) | 17.2 | 14.2–22.1 | 2.8 |
| Time from SABG to CT scan (years) | 9.9 | 1.8–17.2 | 8.0 |
| Proportion of left to right clefts (%) | 22/13 (62.9/37.1) | ||
| Proportion of boys to girls (%) | 17/18 (48.6/51.4) | ||
| Ꞷ Coefficient | Age at Cleft Repair (Months) | Age at SABG (Years) | Age at CT (Years) | ||
|---|---|---|---|---|---|
| Pearson’s correlation (p value) | Ꞷ coefficient | 1 | |||
| Age at cleft repair (months) | −0.24 (0.16) | 1 | |||
| Age at SABG (years) | −0.34 (0.045) | 0.03 (0.432) | 1 | ||
| Age at CT (years) | 0.29 (0.08) | 0.20 (0.129) | 0.20 (0.069) | 1 | |
| Dependent Variable | Independent Variables | Coefficient | Standard Error | p Value | R2 Partial | R2 of the Model | p Value |
|---|---|---|---|---|---|---|---|
| Ꞷ coefficient | Age at cleft repair (months) | −0.018 | 0.010 | 0.065 | 0.044 | 0.228 | 0.053 |
| Age at SABG (years) | −0.008 | 0.003 | 0.003 | 0.187 | |||
| Age at CT (years) | 0.011 | 0.008 | 0.186 | 0.215 |
Publisher’s Note: MDPI stays neutral with regard to jurisdictional claims in published maps and institutional affiliations. |
© 2021 by the authors. Licensee MDPI, Basel, Switzerland. This article is an open access article distributed under the terms and conditions of the Creative Commons Attribution (CC BY) license (https://creativecommons.org/licenses/by/4.0/).
Share and Cite
Brudnicki, A.; Regulski, P.A.; Sawicka, E.; Fudalej, P.S. Alveolar Volume Following Different Timings of Secondary Bone Grafting in Patients with Unilateral Cleft Lip and Palate. A Pilot Study. J. Clin. Med. 2021, 10, 3524. https://doi.org/10.3390/jcm10163524
Brudnicki A, Regulski PA, Sawicka E, Fudalej PS. Alveolar Volume Following Different Timings of Secondary Bone Grafting in Patients with Unilateral Cleft Lip and Palate. A Pilot Study. Journal of Clinical Medicine. 2021; 10(16):3524. https://doi.org/10.3390/jcm10163524
Chicago/Turabian StyleBrudnicki, Andrzej, Piotr A. Regulski, Ewa Sawicka, and Piotr S. Fudalej. 2021. "Alveolar Volume Following Different Timings of Secondary Bone Grafting in Patients with Unilateral Cleft Lip and Palate. A Pilot Study" Journal of Clinical Medicine 10, no. 16: 3524. https://doi.org/10.3390/jcm10163524
APA StyleBrudnicki, A., Regulski, P. A., Sawicka, E., & Fudalej, P. S. (2021). Alveolar Volume Following Different Timings of Secondary Bone Grafting in Patients with Unilateral Cleft Lip and Palate. A Pilot Study. Journal of Clinical Medicine, 10(16), 3524. https://doi.org/10.3390/jcm10163524

