CT-Based Prediction of Liver Function and Post-PVE Hypertrophy Using an Artificial Neural Network
Abstract
:1. Introduction
2. Patients and Methods
2.1. Study Population
2.2. CT Imaging and Volumetry
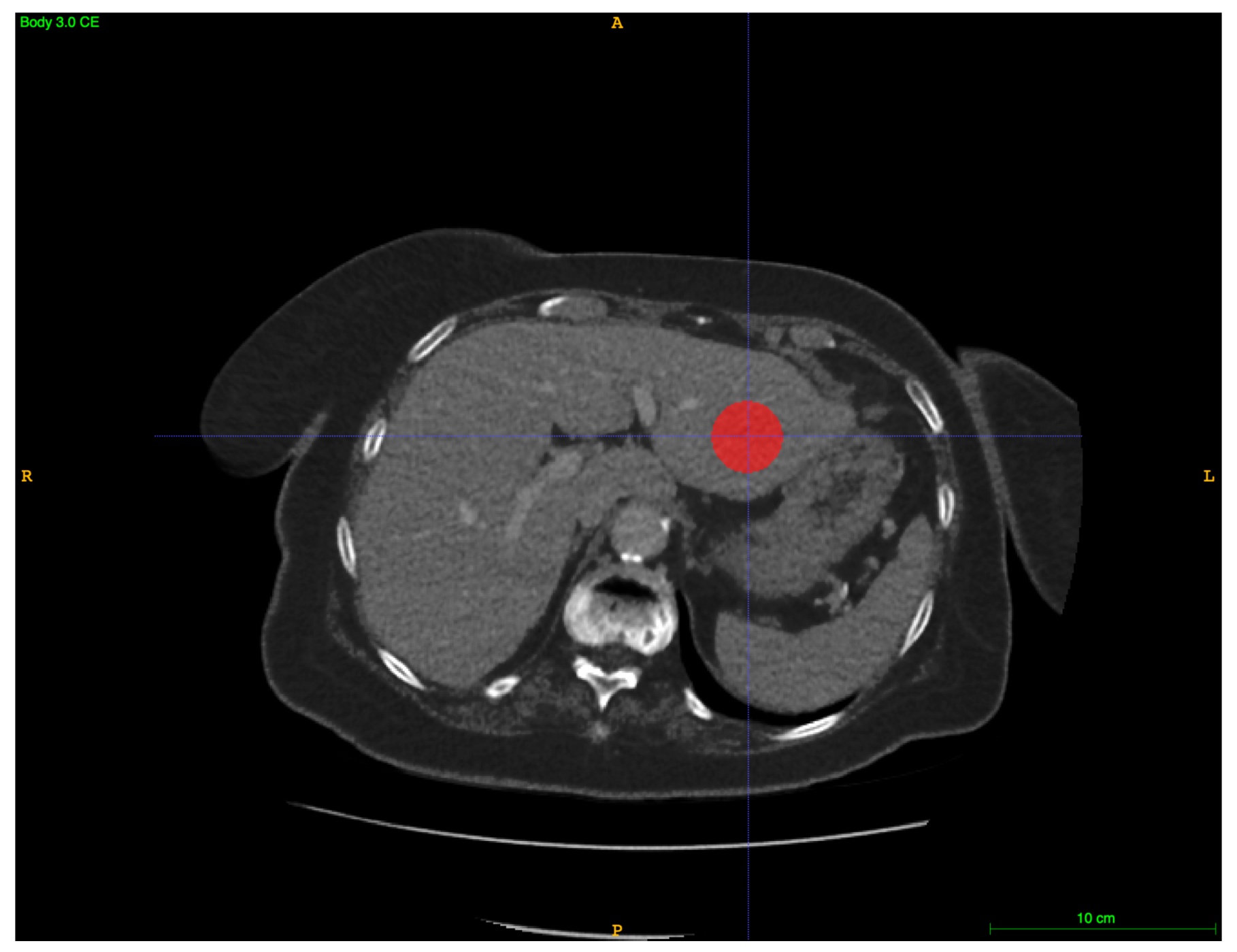
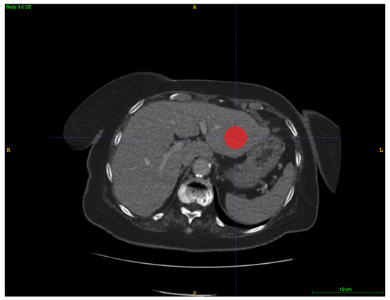
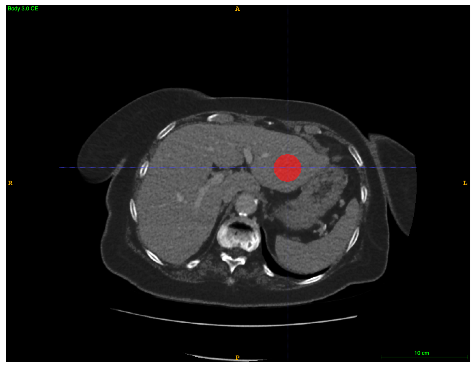
2.3. Image Postprocessing
2.4. PVE
2.5. LiMAx Test
2.6. Statistical Analysis by an Artificial Neural Network
3. Results
4. Discussion
Author Contributions
Funding
Institutional Review Board Statement
Informed Consent Statement
Data Availability Statement
Conflicts of Interest
Abbreviations
| ALPPS | Associating liver partition with portal vein ligation for staged hepatectomy |
| ASA | American Society of Anesthesiologists |
| BMI | Body mass index |
| CCA | Cholangiocellular carcinoma |
| CRLM | Colorectal liver metastases |
| CT | Computed tomography |
| FLR | Future liver remnant |
| FLRF | Future liver remnant function |
| FLRV | Future liver remnant volume |
| HCC | Hepatocellular carcinoma |
| INR | International normalized ratio |
| LiMAx | Maximum liver function capacity |
| LM | Non-colorectal liver metastasis |
| MLP | Multilayer perceptron |
| MRI | Gadolinium-based magnetic resonance imaging |
| PVE | Portal vein embolization |
| ROI | Region of interest |
References
- Lock, J.F.; Malinowski, M.; Seehofer, D.; Hoppe, S.; Röhl, R.I.; Niehues, S.M.; Neuhaus, P.; Stockmann, M. Function and volume recovery after partial hepatectomy: Influence of preoperative liver function, residual liver volume, and obesity. Langenbeck’s Arch. Surg. Dtsch. Ges. Fur Chir. 2012, 397, 1297–1304. [Google Scholar] [CrossRef]
- Khan, A.S.; Garcia-Aroz, S.; Ansari, M.A.; Atiq, S.M.; Senter-Zapata, M.; Fowler, K.; Doyle, M.B.; Chapman, W.C. Assessment and optimization of liver volume before major hepatic resection: Current guidelines and a narrative review. Int. J. Surg. 2018, 52, 74–81. [Google Scholar] [CrossRef] [PubMed]
- Tschuor, C.; Croome, K.P.; Sergeant, G.; Cano, V.; Schadde, E.; Ardiles, V.; Slankamenac, K.; Clariá, R.S.; de Santibaňes, E.; Hernandez-Alejandro, R.; et al. Salvage parenchymal liver transection for patients with insufficient volume increase after portal vein occlusion—An extension of the ALPPS approach. Eur. J. Surg. Oncol. 2013, 39, 1230–1235. [Google Scholar] [CrossRef] [PubMed]
- Shindoh, J.; Vauthey, J.N.; Zimmitti, G.; Curley, S.A.; Huang, S.Y.; Mahvash, A.; Gupta, S.; Wallace, M.J.; Aloia, T.A. Analysis of the efficacy of portal vein embolization for patients with extensive liver malignancy and very low future liver remnant volume, including a comparison with the associating liver partition with portal vein ligation for staged hepatectomy approach. J. Am. Coll. Surg. 2013, 217, 126–133; discussion 124–133. [Google Scholar] [CrossRef] [Green Version]
- Shindoh, J.; Tzeng, C.W.; Aloia, T.A.; Curley, S.A.; Huang, S.Y.; Mahvash, A.; Gupta, S.; Wallace, M.J.; Vauthey, J.N. Safety and efficacy of portal vein embolization before planned major or extended hepatectomy: An institutional experience of 358 patients. J. Gastrointest. Surg. 2014, 18, 45–51. [Google Scholar] [CrossRef]
- Yeom, S.K.; Lee, C.H.; Cha, S.H.; Park, C.M. Prediction of liver cirrhosis, using diagnostic imaging tools. World J. Hepatol. 2015, 7, 2069–2079. [Google Scholar] [CrossRef] [PubMed] [Green Version]
- Thüring, J.; Rippel, O.; Haarburger, C.; Merhof, D.; Schad, P.; Bruners, P.; Kuhl, C.K.; Truhn, D. Multiphase CT-based prediction of Child-Pugh classification: A machine learning approach. Eur. Radiol. Exp. 2020, 4, 20. [Google Scholar] [CrossRef] [PubMed] [Green Version]
- House, M.J.; Bangma, S.J.; Thomas, M.; Gan, E.K.; Ayonrinde, O.T.; Adams, L.A.; Olynyk, J.K.; St Pierre, T.G. Texture-based classification of liver fibrosis using MRI. J. Magn. Reson. Imaging JMRI 2015, 41, 322–328. [Google Scholar] [CrossRef] [PubMed]
- Stockmann, M.; Lock, J.F.; Riecke, B.; Heyne, K.; Martus, P.; Fricke, M.; Lehmann, S.; Niehues, S.M.; Schwabe, M.; Lemke, A.J.; et al. Prediction of postoperative outcome after hepatectomy with a new bedside test for maximal liver function capacity. Ann. Surg. 2009, 250, 119–125. [Google Scholar] [CrossRef] [PubMed]
- Bednarsch, J.; Czigany, Z.; Sharmeen, S.; van der Kroft, G.; Strnad, P.; Ulmer, T.F.; Isfort, P.; Bruners, P.; Lurje, G.; Neumann, U.P. ALPPS versus two-stage hepatectomy for colorectal liver metastases—A comparative retrospective cohort study. World J. Surg. Oncol. 2020, 18, 140. [Google Scholar] [CrossRef] [PubMed]
- Yushkevich, P.A.; Piven, J.; Hazlett, H.C.; Smith, R.G.; Ho, S.; Gee, J.C.; Gerig, G. User-guided 3D active contour segmentation of anatomical structures: Significantly improved efficiency and reliability. NeuroImage 2006, 31, 1116–1128. [Google Scholar] [CrossRef] [Green Version]
- Van Griethuysen, J.J.M.; Fedorov, A.; Parmar, C.; Hosny, A.; Aucoin, N.; Narayan, V.; Beets-Tan, R.G.H.; Fillion-Robin, J.C.; Pieper, S.; Aerts, H. Computational Radiomics System to Decode the Radiographic Phenotype. Cancer Res. 2017, 77, e104–e107. [Google Scholar] [CrossRef] [Green Version]
- Adam, R.; Laurent, A.; Azoulay, D.; Castaing, D.; Bismuth, H. Two-stage hepatectomy: A planned strategy to treat irresectable liver tumors. Ann. Surg. 2000, 232, 777–785. [Google Scholar] [CrossRef] [PubMed]
- Alizai, P.H.; Haelsig, A.; Bruners, P.; Ulmer, F.; Klink, C.D.; Dejong, C.H.C.; Neumann, U.P.; Schmeding, M. Impact of liver volume and liver function on posthepatectomy liver failure after portal vein embolization- A multivariable cohort analysis. Ann. Med. Surg. 2018, 25, 6–11. [Google Scholar] [CrossRef]
- Monti, C.B.; Codari, M.; van Assen, M.; De Cecco, C.N.; Vliegenthart, R. Machine Learning and Deep Neural Networks Applications in Computed Tomography for Coronary Artery Disease and Myocardial Perfusion. J. Thorac. Imaging 2020, 35 (Suppl. 1), S58–S65. [Google Scholar] [CrossRef]
- Ding, N.; Hao, Y.; Wang, Z.; Xuan, X.; Kong, L.; Xue, H.; Jin, Z. CT texture analysis predicts abdominal aortic aneurysm post-endovascular aortic aneurysm repair progression. Sci. Rep. 2020, 10, 12268. [Google Scholar] [CrossRef]
- Yoon, J.H.; Lee, J.M.; Klotz, E.; Jeon, J.H.; Lee, K.B.; Han, J.K.; Choi, B.I. Estimation of hepatic extracellular volume fraction using multiphasic liver computed tomography for hepatic fibrosis grading. Investig. Radiol. 2015, 50, 290–296. [Google Scholar] [CrossRef]
- Theilig, D.; Steffen, I.; Malinowski, M.; Stockmann, M.; Seehofer, D.; Pratschke, J.; Hamm, B.; Denecke, T.; Geisel, D. Predicting liver failure after extended right hepatectomy following right portal vein embolization with gadoxetic acid-enhanced MRI. Eur. Radiol. 2019, 29, 5861–5872. [Google Scholar] [CrossRef] [PubMed]
- Denbo, J.W.; Kim, B.J.; Vauthey, J.N.; Tzeng, C.W.; Ma, J.; Huang, S.Y.; Chun, Y.S.; Katz, M.H.G.; Aloia, T.A. Overall Body Composition and Sarcopenia Are Associated with Poor Liver Hypertrophy Following Portal Vein Embolization. J. Gastrointest. Surg. 2020. [Google Scholar] [CrossRef] [PubMed]
- Schulze-Hagen, M.; Truhn, D.; Duong, F.; Keil, S.; Pedersoli, F.; Kuhl, C.K.; Lurje, G.; Neumann, U.; Isfort, P.; Bruners, P.; et al. Correlation between Sarcopenia and Growth Rate of the Future Liver Remnant after Portal Vein Embolization in Patients with Colorectal Liver Metastases. Cardiovasc. Interv. Radiol. 2020, 43, 875–881. [Google Scholar] [CrossRef] [Green Version]
- Rouhi, R.; Jafari, M.; Kasaei, S.; Keshavarzian, P. Benign and malignant breast tumors classification based on region growing and CNN segmentation. Expert Syst. Appl. 2015, 42, 990–1002. [Google Scholar] [CrossRef]
- Dhungel, N.; Carneiro, G.; Bradley, A.P. Automated mass detection in mammograms using cascaded deep learning and random forests. In Proceedings of the 2015 International Conference on Digital Image Computing: Techniques and Applications (DICTA), Adelaide, Australia, 23–25 November 2015; pp. 1–8. [Google Scholar]
- Malinowski, M.; Jara, M.; Lüttgert, K.; Orr, J.; Lock, J.F.; Schott, E.; Stockmann, M. Enzymatic liver function capacity correlates with disease severity of patients with liver cirrhosis: A study with the LiMAx test. Dig. Dis. Sci. 2014, 59, 2983–2991. [Google Scholar] [CrossRef]
- Stockmann, M.; Lock, J.F.; Malinowski, M.; Seehofer, D.; Puhl, G.; Pratschke, J.; Neuhaus, P. How to define initial poor graft function after liver transplantation—A new functional definition by the LiMAx test. Transpl. Int. 2010, 23, 1023–1032. [Google Scholar] [CrossRef]
- Alizai, P.H.; Wendl, J.; Roeth, A.A.; Klink, C.D.; Luedde, T.; Steinhoff, I.; Neumann, U.P.; Schmeding, M.; Ulmer, F. Functional Liver Recovery after Bariatric Surgery—A Prospective Cohort Study with the LiMAx Test. Obes. Surg. 2015, 25, 2047–2053. [Google Scholar] [CrossRef]
- Verloh, N.; Haimerl, M.; Zeman, F.; Schlabeck, M.; Barreiros, A.; Loss, M.; Schreyer, A.G.; Stroszczynski, C.; Fellner, C.; Wiggermann, P. Assessing liver function by liver enhancement during the hepatobiliary phase with Gd-EOB-DTPA-enhanced MRI at 3 Tesla. Eur. Radiol. 2014, 24, 1013–1019. [Google Scholar] [CrossRef]
- Haimerl, M.; Verloh, N.; Fellner, C.; Zeman, F.; Teufel, A.; Fichtner-Feigl, S.; Schreyer, A.G.; Stroszczynski, C.; Wiggermann, P. MRI-based estimation of liver function: Gd-EOB-DTPA-enhanced T1 relaxometry of 3T vs. the MELD score. Sci. Rep. 2014, 4, 5621. [Google Scholar] [CrossRef] [Green Version]
- Yamada, A.; Hara, T.; Li, F.; Fujinaga, Y.; Ueda, K.; Kadoya, M.; Doi, K. Quantitative evaluation of liver function with use of gadoxetate disodium-enhanced MR imaging. Radiology 2011, 260, 727–733. [Google Scholar] [CrossRef] [Green Version]
- Berenguer, R.; Pastor-Juan, M.D.R.; Canales-Vazquez, J.; Castro-Garcia, M.; Villas, M.V.; Mansilla Legorburo, F.; Sabater, S. Radiomics of CT Features May Be Nonreproducible and Redundant: Influence of CT Acquisition Parameters. Radiology 2018, 288, 407–415. [Google Scholar] [CrossRef] [Green Version]



| Demographics (n = 118) | #/% |
| Gender, m/f (%) | 88 (74.6)/30 (25.4) |
| Age (years) | 65 (56–72) |
| BMI (kg/m2) | 24.9 (22.5–27.7) |
| Diagnosis, n (%) | |
| CRLM | 46 (39.0) |
| HCC | 6 (5.1) |
| CCA | 50 (42.4) |
| Other LM | 16 (13.6) |
| ASA, n (%) | |
| I | 23 (19.5) |
| II | 38 (32.2) |
| III | 48 (40.7) |
| IV | 2 (1.7) |
| Clinical Characteristics | #/% |
| Pre-interventional Chemotherapy, n (%) | 37 (31.4) |
| Steatosis, n (%) | 7 (5.9) |
| Fibrosis, n (%) | 18 (15.3) |
| Cirrhosis, n (%) | 5 (5.5) |
| Volumetric Data | #/% |
| Pre-PVE | |
| TLV (mL) | 1840 (1503–2212) |
| FLR (mL) | 419 (305–554) |
| cFLR (%) | 22.9 (17.6–29.3) |
| Post-PVE | |
| TLV (mL) | 1824 (1569–2139) |
| FLR (mL) | 534 (436–705) |
| cFLR (%) | 31.5 (24.0–37.3) |
| Degree of hypertrophy (%) | 33.9 (16.5–60.4) |
| Demographics (n = 55) | #/% |
| Gender, m/f (%) | 39 (70.9)/16 (29.1) |
| Age (years) | 64 (53–69) |
| BMI (kg/m2) | 24.8 (21.9–27.7) |
| Diagnosis, n (%) | |
| CRLM | 23 (41.8) |
| HCC | 3 (5.5) |
| CCA | 19 (34.5) |
| Other LM | 10 (18.2) |
| ASA, n (%) | |
| I | 15 (27.3) |
| II | 15 (27.3) |
| III | 19 (34.5) |
| IV | 0 (0) |
| Clinical Characteristics | #/% |
| Pre-interventional Chemotherapy | 17 (30.9) |
| Steatosis, n (%) | 3 (5.5) |
| Fibrosis, n (%) | 6 (10.9) |
| Cirrhosis, n (%) | 3 (5.5) |
| Liver Function | # |
| LiMAx (µg/kg/h) | 327 (248–433) |
Publisher’s Note: MDPI stays neutral with regard to jurisdictional claims in published maps and institutional affiliations. |
© 2021 by the authors. Licensee MDPI, Basel, Switzerland. This article is an open access article distributed under the terms and conditions of the Creative Commons Attribution (CC BY) license (https://creativecommons.org/licenses/by/4.0/).
Share and Cite
Heise, D.; Schulze-Hagen, M.; Bednarsch, J.; Eickhoff, R.; Kroh, A.; Bruners, P.; Eickhoff, S.B.; Brecheisen, R.; Ulmer, F.; Neumann, U.P. CT-Based Prediction of Liver Function and Post-PVE Hypertrophy Using an Artificial Neural Network. J. Clin. Med. 2021, 10, 3079. https://doi.org/10.3390/jcm10143079
Heise D, Schulze-Hagen M, Bednarsch J, Eickhoff R, Kroh A, Bruners P, Eickhoff SB, Brecheisen R, Ulmer F, Neumann UP. CT-Based Prediction of Liver Function and Post-PVE Hypertrophy Using an Artificial Neural Network. Journal of Clinical Medicine. 2021; 10(14):3079. https://doi.org/10.3390/jcm10143079
Chicago/Turabian StyleHeise, Daniel, Maximilian Schulze-Hagen, Jan Bednarsch, Roman Eickhoff, Andreas Kroh, Philipp Bruners, Simon B. Eickhoff, Ralph Brecheisen, Florian Ulmer, and Ulf Peter Neumann. 2021. "CT-Based Prediction of Liver Function and Post-PVE Hypertrophy Using an Artificial Neural Network" Journal of Clinical Medicine 10, no. 14: 3079. https://doi.org/10.3390/jcm10143079
APA StyleHeise, D., Schulze-Hagen, M., Bednarsch, J., Eickhoff, R., Kroh, A., Bruners, P., Eickhoff, S. B., Brecheisen, R., Ulmer, F., & Neumann, U. P. (2021). CT-Based Prediction of Liver Function and Post-PVE Hypertrophy Using an Artificial Neural Network. Journal of Clinical Medicine, 10(14), 3079. https://doi.org/10.3390/jcm10143079

