Systematic Scoring of Tubular Injury Patterns Reveals Interplay between Distinct Tubular and Glomerular Lesions in ANCA-Associated Glomerulonephritis
Abstract
1. Introduction
2. Materials and Methods
2.1. Study Population
2.2. Definitions
2.3. Urinary Analysis
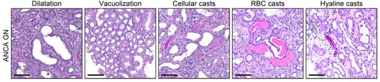
2.4. Renal Histopathology
2.5. Statistical Methods
3. Results
3.1. Description of Study Population
3.2. Distinct Clinical Parameters and Laboratory Markers Associate with Tubular Injury Lesions in AAV
3.3. Acute Tubular Injury Patterns Correlate with Active ANCA GN and Tubular Lesions Reflecting Later Stages of Kidney Disease Correlated with Chronic Glomerular Lesions
4. Discussion
5. Conclusions
Author Contributions
Funding
Institutional Review Board Statement
Informed Consent Statement
Data Availability Statement
Acknowledgments
Conflicts of Interest
References
- Jennette, J.C.; Falk, R.J.; Bacon, P.A.; Basu, N.; Cid, M.C.; Ferrario, F.; Flores-Suarez, L.F.; Gross, W.L.; Guillevin, L.; Hagen, E.C.; et al. 2012 Revised International Chapel Hill Consensus Conference Nomenclature of Vasculitides. Arthritis Rheum. 2013, 65, 1–11. [Google Scholar] [CrossRef]
- Hruskova, Z.; Stel, V.S.; Jayne, D.; Aasarød, K.; De Meester, J.; Ekstrand, A.; Eller, K.; Heaf, J.G.; Hoitsma, A.; Jimenéz, C.M.; et al. Characteristics and Outcomes of Granulomatosis with Polyangiitis (Wegener) and Microscopic Polyangiitis Requiring Renal Replacement Therapy: Results From the European Renal Association—European Dialysis and Transplant Association Registry. Am. J. Kidney Dis. 2015, 66, 613–620. [Google Scholar] [CrossRef]
- Bajema, I.M.; Hagen, E.C.; Hermans, J.; Noël, L.-H.; Waldherr, R.; Ferrario, F.; van der Woude, F.J.; Bruijn, J.A. Kidney biopsy as a predictor for renal outcome in ANCA-associated necrotizing glomerulonephritis. Kidney Int. 1999, 56, 1751–1758. [Google Scholar] [CrossRef]
- Hauer, H.A.; Bajema, I.M.; Van Houwelingen, H.C.; Ferrario, F.; Noël, L.-H.; Waldherr, R.; Jayne, D.R.; Rasmussen, N.; Bruijn, J.A.; Hagen, E.C. Determinants of outcome in ANCA-associated glomerulonephritis: A prospective clinico-histopathological analysis of 96 patients. Kidney Int. 2002, 62, 1732–1742. [Google Scholar] [CrossRef] [PubMed]
- de Lind van Wijngaarden, R.A.; Hauer, H.A.; Wolterbeek, R.; Jayne, D.R.; Gaskin, G.; Rasmussen, N.; Noël, L.-H.; Ferrario, F.; Waldherr, R.; Hagen, E.C.; et al. Clinical and Histologic Determinants of Renal Outcome in ANCA-Associated Vasculitis: A Prospective Analysis of 100 Patients with Severe Renal Involvement. J. Am. Soc. Nephrol. 2006, 17, 2264–2274. [Google Scholar] [CrossRef] [PubMed]
- Bajema, I.M.; Hagen, E.C.; Hansen, B.E.; Waldherr, R.; Van Der Woude, F.J.; Bruijn, J.A.; Hermans, J.; Noël, L.H.; Ferrario, F. The renal histopathology in systemic vasculitis: An international survey study of inter- and intra-observer agreement. Nephrol. Dial. Transplant. 1996, 11, 1989–1995. [Google Scholar] [CrossRef] [PubMed]
- Berden, A.E.; Ferrario, F.; Hagen, E.C.; Jayne, D.R.; Jennette, J.C.; Joh, K.; Neumann, I.; Noël, L.-H.; Pusey, C.D.; Waldherr, R.; et al. Histopathologic Classification of ANCA-Associated Glomerulonephritis. J. Am. Soc. Nephrol. 2010, 21, 1628–1636. [Google Scholar] [CrossRef] [PubMed]
- Chang, D.-Y.; Wu, L.-H.; Liu, G.; Chen, M.; Kallenberg, C.G.M.; Zhao, M.-H. Re-evaluation of the histopathologic classification of ANCA-associated glomerulonephritis: A study of 121 patients in a single center. Nephrol. Dial. Transplant. 2012, 27, 2343–2349. [Google Scholar] [CrossRef][Green Version]
- Ellis, C.L.; Manno, R.L.; Havill, J.P.; Racusen, L.C.; Geetha, D. Validation of the new classification of pauci-immune glomerulonephritis in a United States cohort and its correlation with renal outcome. BMC Nephrol. 2013, 14, 210. [Google Scholar] [CrossRef]
- Togashi, M.; Komatsuda, A.; Nara, M.; Omokawa, A.; Okuyama, S.; Sawada, K.; Wakui, H. Validation of the 2010 histopathological classification of ANCA-associated glomerulonephritis in a Japanese single-center cohort. Mod. Rheumatol. 2014, 24, 300–303. [Google Scholar] [CrossRef]
- Rahmattulla, C.; Bruijn, J.A.; Bajema, I.M. Histopathological classification of antineutrophil cytoplasmic antibody-associated glomerulonephritis: An update. Curr. Opin. Nephrol. Hypertens. 2014, 23, 224–231. [Google Scholar] [CrossRef]
- Lee, T.; Gasim, A.; Derebail, V.K.; Chung, Y.; McGregor, J.G.; Lionaki, S.; Poulton, C.J.; Hogan, S.L.; Jennette, J.C.; Falk, R.J.; et al. Predictors of Treatment Outcomes in ANCA-Associated Vasculitis with Severe Kidney Failure. Clin. J. Am. Soc. Nephrol. 2014, 9, 905–913. [Google Scholar] [CrossRef]
- Diaz-Crespo, F.; Villacorta, J.; Acevedo, M.; Cavero, T.; Guerrero, C.; Díaz, E.G.; Orradre, J.L.; Martinez, M.A.; Praga, M.; Fernandez-Juarez, G. The predictive value of kidney biopsy in renal vasculitis: A multicenter cohort study. Hum. Pathol. 2016, 52, 119–127. [Google Scholar] [CrossRef]
- Nohr, E.; Girard, L.; James, M.; Benediktsson, H. Validation of a histopathologic classification scheme for antineutrophil cytoplasmic antibody–associated glomerulonephritis. Hum. Pathol. 2014, 45, 1423–1429. [Google Scholar] [CrossRef]
- Noone, D.G.; Twilt, M.; Hayes, W.N.; Thorner, P.S.; Benseler, S.; Laxer, R.M.; Parekh, R.S.; Hebert, D. The New Histopathologic Classification of ANCA-Associated GN and Its Association with Renal Outcomes in Childhood. Clin. J. Am. Soc. Nephrol. 2014, 9, 1684–1691. [Google Scholar] [CrossRef]
- Quintana, L.F.; Peréz, N.S.; De Sousa, E.; Rodas, L.M.; Griffiths, M.H.; Solé, M.; Jayne, D. ANCA serotype and histopathological classification for the prediction of renal outcome in ANCA-associated glomerulonephritis. Nephrol. Dial. Transplant. 2014, 29, 1764–1769. [Google Scholar] [CrossRef] [PubMed]
- Hilhorst, M.; Wilde, B.; Vriesman, P.V.B.; Van Paassen, P.; Tervaert, J.W.C. Estimating Renal Survival Using the ANCA-Associated GN Classification. J. Am. Soc. Nephrol. 2013, 24, 1371–1375. [Google Scholar] [CrossRef]
- Iwakiri, T.; Fujimoto, S.; Kitagawa, K.; Furuichi, K.; Yamahana, J.; Matsuura, Y.; Yamashita, A.; Uezono, S.; Shimao, Y.; Hisanaga, S.; et al. Validation of a newly proposed histopathological classification in Japanese patients with anti-neutrophil cytoplasmic antibody-associated glomerulonephritis. BMC Nephrol. 2013, 14, 125. [Google Scholar] [CrossRef] [PubMed][Green Version]
- Ford, S.L.; Polkinghorne, K.; Longano, A.; Dowling, J.; Dayan, S.; Kerr, P.G.; Holdsworth, S.R.; Kitching, A.R.; Summers, S.A. Histopathologic and Clinical Predictors of Kidney Outcomes in ANCA-Associated Vasculitis. Am. J. Kidney Dis. 2014, 63, 227–235. [Google Scholar] [CrossRef]
- Naidu, G.; Sharma, A.; Nada, R.; Kohli, H.; Jha, V.; Gupta, K.L.; Sakhuja, V.; Rathi, M. Histopathological classification of pauci-immune glomerulonephritis and its impact on outcome. Rheumatol. Int. 2014, 34, 1721–1727. [Google Scholar] [CrossRef] [PubMed]
- Moroni, G.; Binda, V.; Leoni, A.; Raffiotta, F.; Quaglini, S.; Banfi, G.; Messa, P. Predictors of renal survival in ANCA-associated vasculitis. Validation of a histopatological classification schema and review of the literature. Clin. Exp. Rheumatol. 2015, 33, 56–63. [Google Scholar]
- Andreiana, I.; Stancu, S.; Avram, A.; Taran, L.; Mircescu, G. ANCA positive crescentic glomerulonephritis outcome in a Central East European cohort: A retrospective study. BMC Nephrol. 2015, 16, 90. [Google Scholar] [CrossRef] [PubMed]
- Tanna, A.; Guarino, L.; Tam, F.W.; Rodriquez-Cubillo, B.; Levy, J.B.; Cairns, T.D.; Griffith, M.; Tarzi, R.M.; Caplin, B.; Salama, A.D.; et al. Long-term outcome of anti-neutrophil cytoplasm antibody-associated glomerulonephritis: Evaluation of the international histological classification and other prognostic factors. Nephrol. Dial. Transplant. 2015, 30, 1185–1192. [Google Scholar] [CrossRef] [PubMed]
- Córdova-Sánchez, B.M.; Mejía-Vilet, J.M.; Morales-Buenrostro, L.E.; Loyola-Rodríguez, G.; Uribe-Uribe, N.O.; Correa-Rotter, R. Clinical presentation and outcome prediction of clinical, serological, and histopathological classification schemes in ANCA-associated vasculitis with renal involvement. Clin. Rheumatol. 2016, 35, 1805–1816. [Google Scholar] [CrossRef]
- Van Daalen, E.; Ferrario, F.; Noël, L.H.; Waldherr, R.; Hagen, E.C.; Bruijn, J.A.; Bajema, I.M. Twenty-five years of RENHIS: A history of histopathological studies within EUVAS. Nephrol. Dial. Transplant. 2015, 30 (Suppl. S1), i31–i36. [Google Scholar] [CrossRef]
- Bjørneklett, R.; Sriskandarajah, S.; Bostad, L. Prognostic Value of Histologic Classification of ANCA-Associated Glomerulonephritis. Clin. J. Am. Soc. Nephrol. 2016, 11, 2159–2167. [Google Scholar] [CrossRef] [PubMed][Green Version]
- Chen, Y.-X.; Xu, J.; Pan, X.-X.; Shen, P.-Y.; Li, X.; Ren, H.; Chen, X.-N.; Ni, L.-Y.; Zhang, W.; Chen, N. Histopathological Classification and Renal Outcome in Patients with Antineutrophil Cytoplasmic Antibodies-associated Renal Vasculitis: A Study of 186 Patients and Metaanalysis. J. Rheumatol. 2016, 44, 304–313. [Google Scholar] [CrossRef] [PubMed]
- Brix, S.R.; Noriega, M.; Tennstedt, P.; Vettorazzi, E.; Busch, M.; Nitschke, M.; Jabs, W.J.; Özcan, F.; Wendt, R.; Hausberg, M.; et al. Development and validation of a renal risk score in ANCA-associated glomerulonephritis. Kidney Int. 2018, 94, 1177–1188. [Google Scholar] [CrossRef]
- Vergunst, C.E.; Van Gurp, E.; Hagen, E.; Van Houwelingen, H.C.; Hauer, H.A.; Noël, L.-H.; Waldherr, R.; Ferrario, F.; Van Der Woude, F.J.; Bruijn, J.A.; et al. An index for renal outcome in ANCA-associated glomerulonephritis. Am. J. Kidney Dis. 2003, 41, 532–538. [Google Scholar] [CrossRef]
- Wu, L.; Li, X.-Q.; Goyal, T.; Eddy, S.; Kretzler, M.; Ju, W.-J.; Chen, M.; Zhao, M.-H. Urinary epidermal growth factor predicts renal prognosis in antineutrophil cytoplasmic antibody-associated vasculitis. Ann. Rheum. Dis. 2018, 77, 1339–1344. [Google Scholar] [CrossRef]
- Adachi, T.; Sugiyama, N.; Yagita, H.; Yokoyama, T. Renal atrophy after ischemia-reperfusion injury depends on massive tubular apoptosis induced by TNFalpha in the later phase. Med. Mol. Morphol. 2014, 47, 213–223. [Google Scholar] [CrossRef]
- Ferenbach, D.; Bonventre, J.V. Mechanisms of maladaptive repair after AKI leading to accelerated kidney ageing and CKD. Nat. Rev. Nephrol. 2015, 11, 264–276. [Google Scholar] [CrossRef]
- Pieters, T.T.; Falke, L.L.; Nguyen, T.Q.; Verhaar, M.C.; Florquin, S.; Bemelman, F.J.; Kers, J.; Vanhove, T.; Kuypers, D.; Goldschmeding, R.; et al. Histological characteristics of Acute Tubular Injury during Delayed Graft Function predict renal function after renal transplantation. Physiol. Rep. 2019, 7, e14000. [Google Scholar] [CrossRef]
- Hakroush, S.; Tampe, D.; Korsten, P.; Ströbel, P.; Zeisberg, M.; Tampe, B. Histopathological Findings Predict Renal Recovery in Severe ANCA-Associated Vasculitis Requiring Intensive Care Treatment. Front. Med. 2021, 7. [Google Scholar] [CrossRef]
- Hakroush, S.; Kluge, I.; Ströbel, P.; Korsten, P.; Tampe, D.; Tampe, B. Systematic Histological Scoring Reveals More Prominent Interstitial Inflammation in Myeloperoxidase-ANCA Compared to Proteinase 3-ANCA Glomerulonephritis. J. Clin. Med. 2021, 10, 1231. [Google Scholar] [CrossRef]
- Hakroush, S.; Tampe, D.; Korsten, P.; Ströbel, P.; Tampe, B. Bowman’s capsule rupture links glomerular damage to tubulointerstitial inflammation in ANCA-associated glomerulonephritis. Clin. Exp. Rheumatol 2021, 39 (Suppl. S129), 27–31. [Google Scholar]
- Tampe, D.; Korsten, P.; Ströbel, P.; Hakroush, S.; Tampe, B. Proteinuria Indicates Decreased Normal Glomeruli in ANCA-Associated Glomerulonephritis Independent of Systemic Disease Activity. J. Clin. Med. 2021, 10, 1538. [Google Scholar] [CrossRef] [PubMed]
- Levey, A.S.; Stevens, L.A.; Schmid, C.H.; Zhang, Y.L.; Castro, A.F.; Feldman, H.I.; Kusek, J.W.; Eggers, P.; Van Lente, F.; Greene, T.; et al. A new equation to estimate glomerular filtration rate. Ann. Intern. Med. 2009, 150, 604–612. [Google Scholar] [CrossRef]
- Mukhtyar, C.; Lee, R.; Brown, D.; Carruthers, D.; Dasgupta, B.; Dubey, S.; Flossmann, O.; Hall, C.; Hollywood, J.; Jayne, D.; et al. Modification and validation of the Birmingham Vasculitis Activity Score (version 3). Ann. Rheum. Dis. 2009, 68, 1827–1832. [Google Scholar] [CrossRef] [PubMed]
- Le Gall, J.-R.; Lemeshow, S.; Saulnier, F. A New Simplified Acute Physiology Score (SAPS II) Based on a European/North American Multicenter Study. JAMA 1993, 270, 2957–2963. [Google Scholar] [CrossRef] [PubMed]
- Waikar, S.S.; Sabbisetti, V.S.; Bonventre, J.V. Normalization of urinary biomarkers to creatinine during changes in glomerular filtration rate. Kidney Int. 2010, 78, 486–494. [Google Scholar] [CrossRef]
- Roufosse, C.; Simmonds, N.; Groningen, M.C.-V.; Haas, M.; Henriksen, K.J.; Horsfield, C.; Loupy, A.; Mengel, M.; Perkowska-Ptasińska, A.; Rabant, M.; et al. A 2018 Reference Guide to the Banff Classification of Renal Allograft Pathology. Transplantation 2018, 102, 1795–1814. [Google Scholar] [CrossRef]
- Nonclercq, D.; Toubeau, G.; Laurent, G.; Tulkens, P.M.; Heuson-Stiennon, J.A. Tissue injury and repair in the rat kidney after exposure to cisplatin or carboplatin. Exp. Mol. Pathol. 1989, 51, 123–140. [Google Scholar] [CrossRef]
- Solez, K.; Racusen, L.C.; Marcussen, N.; Slatnik, I.; Keown, P.; Burdick, J.F.; Olsen, S. Morphology of ischemic acute renal failure, normal function, and cyclosporine toxicity in cyclosporine-treated renal allograft recipients. Kidney Int. 1993, 43, 1058–1067. [Google Scholar] [CrossRef]
- Olsen, S.; Burdick, J.F.; Keown, P.A.; Wallace, A.C.; Racusen, L.C.; Solez, K. Primary acute renal failure (“acute tubular necrosis”) in the transplanted kidney: Morphology and pathogenesis. Medicine 1989, 68, 173–187. [Google Scholar] [CrossRef]
- Lieberthal, W.; Nigam, S.K. Acute renal failure. I. Relative importance of proximal vs. distal tubular injury. Am. J. Physiol. 1998, 275, 623–631. [Google Scholar] [CrossRef] [PubMed]
- Xu, K.; Rosenstiel, P.; Paragas, N.; Hinze, C.; Gao, X.; Shen, T.H.; Werth, M.; Forster, C.; Deng, R.; Bruck, E.; et al. Unique Transcriptional Programs Identify Subtypes of AKI. J. Am. Soc. Nephrol. 2016, 28, 1729–1740. [Google Scholar] [CrossRef]
- Sinico, R.A.; Di Toma, L.; Radice, A. Renal involvement in anti-neutrophil cytoplasmic autoantibody associated vasculitis. Autoimmun. Rev. 2013, 12, 477–482. [Google Scholar] [CrossRef] [PubMed]
- Finn, W.F.; Chevalier, R.L. Recovery from postischemic acute renal failure in the rat. Kidney Int. 1979, 16, 113–123. [Google Scholar] [CrossRef]
- Norlén, B.J.; Engberg, A.; Källskog, Ö.; Wolgast, M. Nephron function of the transplanted rat kidney. Kidney Int. 1978, 14, 10–20. [Google Scholar] [CrossRef] [PubMed]
- Oliver, J. Correlations of structure and function and mechanisms of recovery in acute tubular necrosis. Am. J. Med. 1953, 15, 535–557. [Google Scholar] [CrossRef]
- Shimizu, A.; Masuda, Y.; Ishizaki, M.; Sugisaki, Y.; Yamanaka, N. Tubular dilatation in the repair process of ischaemic tubular necrosis. Virchows Arch. 1994, 425, 281–290. [Google Scholar] [CrossRef]
- Kimura, M.; Suzuki, T.; Hishida, A. A Rat Model of Progressive Chronic Renal Failure Produced by Microembolism. Am. J. Pathol. 1999, 155, 1371–1380. [Google Scholar] [CrossRef][Green Version]
- Remuzzi, G.; Ruggenenti, P.; Benigni, A. Understanding the nature of renal disease progression. Kidney Int. 1997, 51, 2–15. [Google Scholar] [CrossRef] [PubMed]
- Winearls, C.G.; Rees, A.J.; Savage, C.O.S.; Evans, D.J.; Lockwood, C.M. Microscopic Polyarteritis: Presentation, Pathology and Prognosis. QJM Int. J. Med. 1985, 56, 467–483. [Google Scholar]
- Beale, L.S. Kidney Diseases, Urinary Deposits, and Calculous Disorders: Their Nature and Treatment; John Churchill and Sons: London, UK, 1869; Volume 43, pp. 370–383. [Google Scholar]
- Cavanaugh, C.; Perazella, M.A. Urine Sediment Examination in the Diagnosis and Management of Kidney Disease: Core Curriculum 2019. Am. J. Kidney Dis. 2019, 73, 258–272. [Google Scholar] [CrossRef] [PubMed]





| Parameter | Value |
|---|---|
| Median age (IQR)—years | 63 (54.25–74) |
| Female sex—no. (%) | 19 (39.58) |
| Disease onset—days before admission (IQR) | 18 (7–46) |
| Kidney biopsy—days after admission (IQR) | 6 (3–9.5) |
| ANCA subtype MPA/GPA—no. (%) | 26 (54.2)/22 (45.8) |
| History of vasculitis—no. (%) | 7 (14.6) |
| Dialysis within 30 days after admission—no. (%) | 16 (33.3) |
| Median BVAS (IQR)—points | 18 (15–20.75) |
| Extrarenal manifestation—no. (%) | 39 (81.3) |
| Lung involvement—no. (%) | 28 (58.3) |
| Pulmonary hemorrhage—no. (%) | 5 (10.4) |
| Sinus involvement—no. (%) | 8 (16.7) |
| Joint involvement—no. (%) | 10 (20.8) |
| Ear involvement—no. (%) | 4 (8.3) |
| Eye involvement—no. (%) | 3 (6.3) |
| Nerve involvement—no. (%) | 5 (10.4) |
| Skin involvement—no. (%) | 8 (16.7) |
| ANCA subtype MPO/PR3—no. (%) | 26 (54.2) |
| Serum creatinine (IQR)—mg/dL | 3.155 (1.355–5.138) |
| eGFR (IQR)—mL/min/1.73 m2 | 17.25 (9.525–48.15) |
| CRP (IQR)—mg/L | 63.7 (22.38–108) |
| C3c (IQR)—g/L | 1.295 (1.035–1.408) |
| C4 (IQR)—g/L | 0.26 (0.2–0.3075) |
| uPCR (IQR)—mg/g | 1067 (523.6–2038) |
| uACR (IQR)—mg/g | 451.4 (192.4–979.1) |
| α1-microglobulin (IQR)—mg/g | 69.67 (34.85–186) |
| α2-macroglobulin (IQR)—mg/g | 5.055 (2.903–12.42) |
| IgG (IQR)—mg/g | 56.52 (21.63–209.5) |
| Leukocyturia (IQR)—per HPF | 3 (2–4) |
| Hematuria (IQR)—per HPF | 4 (3.25–4) |
| Acanthocytes—no. (%) | 7 (14.6) |
| Crescentic class—no. (%) | 16 (33.3) |
| Focal class—no. (%) | 23 (47.9) |
| Sclerotic class—no. (%) | 3 (6.3) |
| Mixed class—no. (%) | 6 (12.5) |
| ARRS high risk—no. (%) | 8 (16.7) |
| ARRS medium risk—no. (%) | 22 (45.8) |
| ARRS low risk—no. (%) | 18 (16.7) |
| Any lesion—no. (%) | 46/48 (95.8) |
| Tubular dilatation—no. (%) | 44/48 (91.7) |
| Vacuolization—no. (%) | 9/48 (18.8) |
| Cellular casts—no. (%) | 19/48 (39.6) |
| RBC casts—no. (%) | 21/48 (43.8) |
| Hyaline casts—no. (%) | 28/48 (58.3) |
| Tubular Injury Lesion | 0 | 1 | 2 | 3 | 4 |
|---|---|---|---|---|---|
| Tubular dilatation—no. (%) | 4 (8.3) | 7 (14.6) | 11 (22.9) | 10 (20.8) | 16 (33.3) |
| Vacuolization—no. (%) | 39 (81.3) | 9 (18.8) | 0 (0) | 0 (0) | 0 (0) |
| Cellular casts—no. (%) | 19 (39.6) | 24 (50) | 4 (8.3) | 0 (0) | 1 (2.1) |
| RBC casts—no. (%) | 27 (56.3) | 17 (35.4) | 4 (8.3) | 0 (0) | 0 (0) |
| Hyaline casts—no. (%) | 20 (41.7) | 21 (43.8) | 6 (12.5) | 1 (2.1) | 0 (0) |
Publisher’s Note: MDPI stays neutral with regard to jurisdictional claims in published maps and institutional affiliations. |
© 2021 by the authors. Licensee MDPI, Basel, Switzerland. This article is an open access article distributed under the terms and conditions of the Creative Commons Attribution (CC BY) license (https://creativecommons.org/licenses/by/4.0/).
Share and Cite
Hakroush, S.; Tampe, D.; Korsten, P.; Ströbel, P.; Tampe, B. Systematic Scoring of Tubular Injury Patterns Reveals Interplay between Distinct Tubular and Glomerular Lesions in ANCA-Associated Glomerulonephritis. J. Clin. Med. 2021, 10, 2682. https://doi.org/10.3390/jcm10122682
Hakroush S, Tampe D, Korsten P, Ströbel P, Tampe B. Systematic Scoring of Tubular Injury Patterns Reveals Interplay between Distinct Tubular and Glomerular Lesions in ANCA-Associated Glomerulonephritis. Journal of Clinical Medicine. 2021; 10(12):2682. https://doi.org/10.3390/jcm10122682
Chicago/Turabian StyleHakroush, Samy, Désirée Tampe, Peter Korsten, Philipp Ströbel, and Björn Tampe. 2021. "Systematic Scoring of Tubular Injury Patterns Reveals Interplay between Distinct Tubular and Glomerular Lesions in ANCA-Associated Glomerulonephritis" Journal of Clinical Medicine 10, no. 12: 2682. https://doi.org/10.3390/jcm10122682
APA StyleHakroush, S., Tampe, D., Korsten, P., Ströbel, P., & Tampe, B. (2021). Systematic Scoring of Tubular Injury Patterns Reveals Interplay between Distinct Tubular and Glomerular Lesions in ANCA-Associated Glomerulonephritis. Journal of Clinical Medicine, 10(12), 2682. https://doi.org/10.3390/jcm10122682

