White Spot, a Novel Endoscopic Finding, May Be Associated with Acid-Suppressing Agents and Hypergastrinemia
Abstract
1. Introduction
2. Materials and Methods
2.1. Study Design, Setting, and Participants
2.2. Evaluation of Clinical Findings
2.3. Definition of White Spot
2.4. Evaluation of Endoscopic Findings
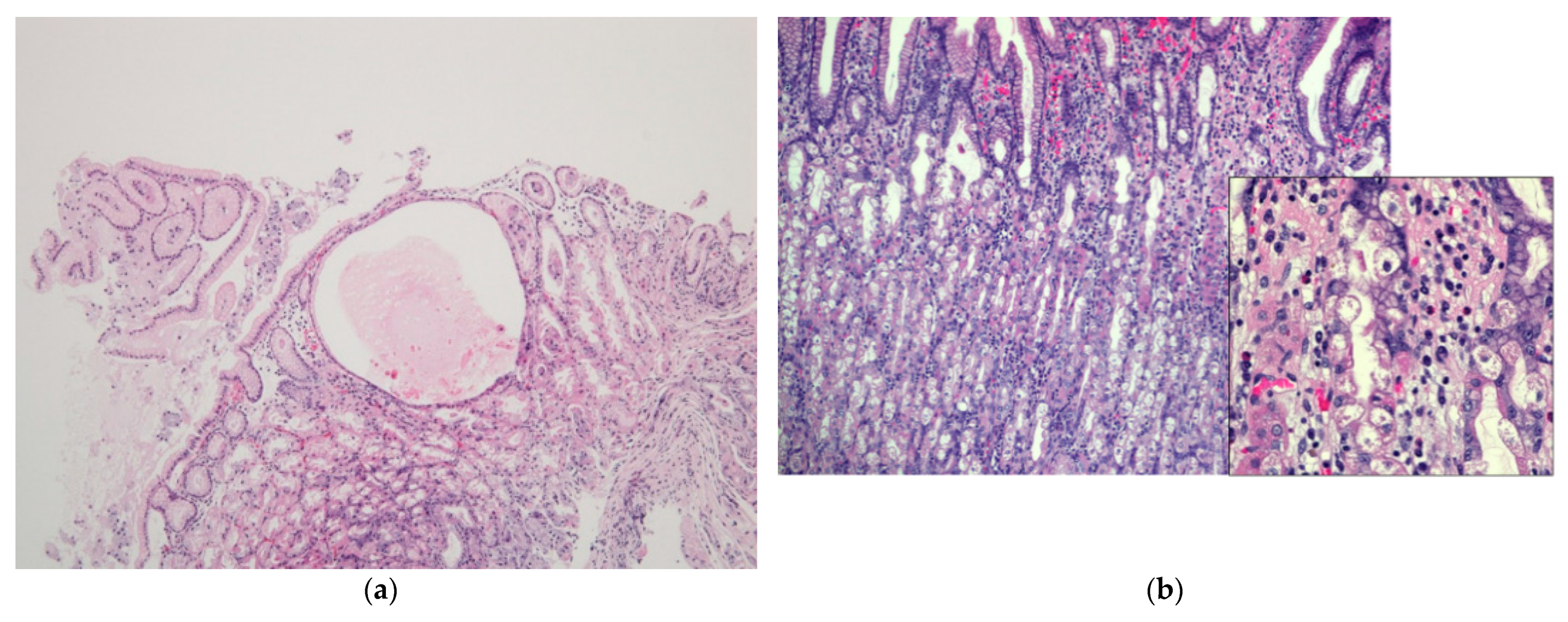
2.5. Histopathological Investigation
2.6. Outcome Measures
2.7. Statistical Analysis
3. Results
3.1. Study Flowchart
3.2. Characteristics of the 270 Patients in the Control and A-SA Groups
3.3. Prevalence of WS in Each PPI Group versus the P-CAB Group within the A-SA Group
3.4. Patient Characteristics in the A-SA Group
3.5. Characteristics of Endoscopic Findings
3.6. Histopathological Findings
4. Discussion
Study Limitations
5. Conclusions
Author Contributions
Funding
Institutional Review Board Statement
Informed Consent Statement
Data Availability Statement
Acknowledgments
Conflicts of Interest
References
- Doyama, H.; Yoshida, N.; Tsuyama, S.; Ota, R.; Takeda, Y.; Nakanishi, H.; Tsuji, K.; Tominaga, K.; Tsuji, S.; Takemura, K.; et al. The “white globe appearance” (WGA): A novel marker for a correct diagnosis of early gastric cancer by magnifying endoscopy with narrow-band imaging (M-NBI). Endosc. Int. Open 2015, 3, E120–E124. [Google Scholar] [CrossRef]
- Yoshida, N.; Doyama, H.; Nakanishi, H.; Tsuji, K.; Tominaga, K.; Matsunaga, K.; Tsuji, S.; Takemura, K.; Yamada, S.; Tsuyama, S.; et al. White globe appearance is a novel specific endoscopic marker for gastric cancer: A prospective study. Dig. Endosc. 2016, 28, 59–66. [Google Scholar] [CrossRef]
- Iwamura, M.; Tanaka, T.; Kanzaki, H.; Kawano, S.; Kawahara, Y.; Okada, H. Two cases of white globe appearance in autoimmune atrophic gastritis. Case Rep. Gastrointest. Med. 2018, 2018, 7091520. [Google Scholar] [CrossRef] [PubMed]
- Ayaki, M.; Kobara, H.; Matsunaga, T.; Tada, N.; Tomita, A.; Murota, M.; Mori, H.; Masaki, T. A case of type A gastritis with several white globe appearances. Gastrointest. Endosc. 2019, 61, 1226–1230. [Google Scholar]
- Nishiyama, N.; Kobara, H.; Kagawa, S.; Masaki, T. Vonoprazan may cause white globe appearance in nonatrophic mucosa of stomach. Gastrointest. Endosc. 2020, 93, 767–768. [Google Scholar] [CrossRef] [PubMed]
- Yang, Y.X.; Lewis, J.D.; Epstein, S.; Metz, D.C. Long-term proton pump inhibitor therapy and risk of hip fracture. JAMA 2006, 296, 2947–2953. [Google Scholar] [CrossRef] [PubMed]
- Janarthanan, S.; Ditah, I.; Adler, D.G.; Ehrinpreis, M.N. Clostridium difficile-associated diarrhea and proton pump inhibitor therapy: A meta-analysis. Am. J. Gastroenterol. 2012, 107, 1001–1010. [Google Scholar] [CrossRef]
- Laheij, R.J.; Sturkenboom, M.C.; Hassing, R.J.; Dieleman, J.; Stricker, B.H.; Jansen, J.B. Risk of community-acquired pneumonia and use of gastric acid-suppressive drugs. JAMA 2004, 292, 1955–1960. [Google Scholar] [CrossRef]
- Kuipers, E.J.; Uyterlinde, A.M.; Pena, A.S.; Hazenberg, H.J.; Bloemena, E.; Lindeman, J.; Klinkenberg-Knol, E.C.; Meuwissen, S.G. Increase of Helicobacter pylori-associated corpus gastritis during acid suppressive therapy: Implications for long-term safety. Am. J. Gastroenterol. 1995, 90, 1401–1406. [Google Scholar]
- Cheung, K.S.; Leung, W.K. Long-term use of proton-pump inhibitors and risk of gastric cancer: A review of the current evidence. Ther. Adv. Gastroenterol. 2019, 12, 1–11. [Google Scholar] [CrossRef]
- Ekman, L.; Hansson, E.; Havu, N.; Carlsson, E.; Lundberg, C. Toxicological studies on omeprazole. Scand. J. Gastroenterol. 1985, 108, 53–69. [Google Scholar]
- Hongo, M.; Fujimoto, K.; Gastric Polyps Study Group. Incidence and risk factor of fundic gland polyp and hyperplastic polyp in long-term proton pump inhibitor therapy: A prospective study in Japan. J. Gastroenterol. 2010, 45, 618–624. [Google Scholar] [CrossRef] [PubMed]
- Hatano, Y.; Haruma, K.; Kamada, T.; Shiotani, A.; Takahari, K.; Matsumoto, M.; Uchida, O. Factors associated with gastric black spot, white flat elevated mucosa, and cobblestone-like mucosa: A cross-sectional study. Digestion 2018, 98, 185–193. [Google Scholar] [CrossRef]
- Hatano, Y.; Haruma, K.; Ayaki, M.; Kamada, T.; Ohtani, H.; Murao, T.; Manabe, N.; Mori, H.; Masaki, T.; Shiotani, A. Black spot, a novel gastric finding potentially induced by proton pump inhibitors. Intern. Med. 2016, 55, 3079–3084. [Google Scholar] [CrossRef] [PubMed]
- Miyamoto, S.; Kato, M.; Tsuda, M.; Matsuda, K.; Muranaka, T.; Abiko, S.; Ono, M.; Mizushima, T.; Omori, S.; Yamamoto, K.; et al. Gastric mucosal cracked and cobblestone-like changes resulting from proton pump inhibitor use. Dig. Endosc. 2017, 29, 307–313. [Google Scholar] [CrossRef]
- Adachi, K.; Notsu, T.; Mishiro, T.; Kinoshita, Y. Relationship of Helicobacter pylori infection with gastric black spots shown by endoscopy. Intern. Med. 2019, 58, 767–772. [Google Scholar] [CrossRef] [PubMed]
- Takahari, K.; Haruma, K.; Ohtani, H.; Kiyoto, S.; Watanabe, A.; Kamada, T.; Manabe, N.; Hatano, Y. Proton pump inhibitor induction of gastric cobblestone-like lesions in the stomach. Intern. Med. 2017, 56, 2699–2703. [Google Scholar] [CrossRef]
- Naruki, A.; Fujino, T.; Ohnuma, S.; Endo, A.; Koizumi, H.; Kato, Y.; Takagi, M. Histopathologic and immunohistochemical characterization of human gastric oxyntic mucosa with parietal cell protrusions and investigation into the association between such mucosal changes of the stomach and use of proton pump inhibitors. J. St. Marianna Univ. 2015, 6, 119–130. [Google Scholar] [CrossRef]
- Cats, A.; Schenk, B.E.; Bloemena, E.; Roosendaal, R.; Lindeman, J.; Biemond, I.; Klinkenberg-Knol, E.C.; Meuwissen, S.G.; Kuipers, E.J. Parietal cell protrusions and fundic gland cysts during omeprazole maintenance treatment. Hum. Pathol. 2000, 31, 684–690. [Google Scholar] [CrossRef]
- Karasawa, H.; Tani, N.; Miwa, T. The effect of omeprazole on ultrastructural changes in gastric parietal cells. Gastroenterol. Jpn. 1988, 23, 1–8. [Google Scholar] [CrossRef]
- Kojima, Y.; Takeuchi, T.; Sanomura, M.; Higashino, K.; Kojima, K.; Fukumoto, K.; Takata, K.; Sakamoto, H.; Sakaguchi, M.; Tominaga, K.; et al. Does the novel potassium-competitive acid blocker vonoprazan cause more hypergastrinemia than conventional proton pump inhibitors? A multicenter prospective cross-sectional study. Digestion 2018, 97, 70–75. [Google Scholar] [CrossRef] [PubMed]
- Kagami, T.; Sahara, S.; Ichikawa, H.; Uotani, T.; Yamade, M.; Sugimoto, M.; Hamaya, Y.; Iwaizumi, M.; Osawa, S.; Sugimoto, K.; et al. Potent acid inhibition by vonoprazan in comparison with esomeprazole, with reference to CYP2C19 genotype. Aliment. Pharmacol. Ther. 2016, 43, 1048–1059. [Google Scholar] [CrossRef] [PubMed]
- Fukuda, M.; Ishigaki, H.; Sugimoto, M.; Mukaisho, K.I.; Matsubara, A.; Ishida, H.; Moritani, S.; Itoh, Y.; Sugihara, H.; Andoh, A.; et al. Histological analysis of fundic gland polyps secondary to PPI therapy. Histopathology 2019, 75, 537–545. [Google Scholar] [CrossRef] [PubMed]






| Control Group (n = 158) | A-SA Group (n = 112) | p Value | |
|---|---|---|---|
| Age (years), mean ± SD | 61.8 | 78.7 | <0.001 # |
| Sex, n (%) | 0.209 * | ||
| Male | 57 (36.0) | 49 (43.7) | |
| Female | 101 (63.9) | 63 (56.2) | |
| Presence of WS, n (%) | 2 (1.3) | 31 (27.6) | <0.001 # |
| PPI Users (n = 81) | P-CAB Users (n = 31) | p Value | |
|---|---|---|---|
| Presence of WS, n (%) | 10 (12) | 21 (68) | <0.001 & |
| WS-Positive Group (n = 31) | WS-Negative Group (n = 43) | p Value | |
|---|---|---|---|
| Age (years), median (range) | 82 (57–94) | 82 (59–99) | 0.6487 (1) |
| Sex | 0.8790 (2) | ||
| Male | 11 | 16 | |
| Female | 20 | 27 | |
| H. pylori antibody | 0.0176 (3) | ||
| <10 U/mL | 31 | 35 | |
| ≥10 U/mL | 0 | 8 | |
| H. pylori eradication history | 1 | 1 | 1.000 (3) |
| Renal function, eGFR | 0.4618 (2) | ||
| G1–G3a | 24 | 30 | |
| G3b–G5 | 7 | 13 | |
| Serum gastrin (pg/mL), median (range) | 624 (95–10,082) | 261 (73–954) | <0.001 (4) |
| High gastrin level (≥500 pg/mL) | 18 | 6 | <0.001 (2) |
| Duration of A-SA use (years) | 0.282 (2) | ||
| ≤1 | 7 | 6 | |
| 1–3 | 11 | 11 | |
| ≥3 | 13 | 26 | |
| A-SA type | <0.001 (3) | ||
| PPI | 10 | 38 | |
| P-CAB | 21 | 5 |
| Odds Ratio | 95%CI | p Value | |
|---|---|---|---|
| Age (1-year increments) | 1.096 | 0.220–5.466 | 0.9103 |
| Gender (Male) | 1.034 | 0.209–5.110 | 0.9667 |
| H.pylori eradication history | 5.122 | 0.232–112.7 | 0.3003 |
| Renal function, eGFR (G3b–G5) | 0.946 | 0.180–4.975 | 0.9483 |
| High gastrin (≧500 pg/mL) | 6.099 | 1.291–28.81 | 0.0224 |
| Duration of A-SA use (years, 3≦) | 0.732 | 0.164–3.268 | 0.683 |
| P-CAB user | 25.73 | 4.318–153.34 | 0.0004 |
| Endoscopic Finding | Number (%) |
|---|---|
| WS in the upper gastric body | 26 (79) |
| WS in the middle gastric body | 16 (48) |
| WS in the lower gastric body | 8 (24) |
| WS in the antrum | 1 (3) |
| Presence of multiple WSs | 29 (88) |
| Atrophy surrounded by WS | 2 (6) |
| PPI-related gastric lesions accompanying WS | |
| Black spot | 23 (70) |
| Fundic gland polyp | 5 (15) |
| White flat elevated mucosa | 15 (46) |
| Cobblestone-like mucosa | 9 (27) |
| Hyperplastic polyp | 2 (6) |
| Histopathological Finding | Number (%) |
|---|---|
| Parietal cell protrusion | 10 (71) |
| Parietal cell vacuolation | 12 (86) |
| Cystic gland dilation | 6 (43) |
Publisher’s Note: MDPI stays neutral with regard to jurisdictional claims in published maps and institutional affiliations. |
© 2021 by the authors. Licensee MDPI, Basel, Switzerland. This article is an open access article distributed under the terms and conditions of the Creative Commons Attribution (CC BY) license (https://creativecommons.org/licenses/by/4.0/).
Share and Cite
Nishiyama, N.; Kobara, H.; Ayaki, M.; Fujihara, S.; Nakatani, K.; Tada, N.; Koduka, K.; Matsui, T.; Takata, T.; Chiyo, T.; et al. White Spot, a Novel Endoscopic Finding, May Be Associated with Acid-Suppressing Agents and Hypergastrinemia. J. Clin. Med. 2021, 10, 2625. https://doi.org/10.3390/jcm10122625
Nishiyama N, Kobara H, Ayaki M, Fujihara S, Nakatani K, Tada N, Koduka K, Matsui T, Takata T, Chiyo T, et al. White Spot, a Novel Endoscopic Finding, May Be Associated with Acid-Suppressing Agents and Hypergastrinemia. Journal of Clinical Medicine. 2021; 10(12):2625. https://doi.org/10.3390/jcm10122625
Chicago/Turabian StyleNishiyama, Noriko, Hideki Kobara, Maki Ayaki, Shintaro Fujihara, Kaho Nakatani, Naoya Tada, Kazuhiro Koduka, Takanori Matsui, Tadayuki Takata, Taiga Chiyo, and et al. 2021. "White Spot, a Novel Endoscopic Finding, May Be Associated with Acid-Suppressing Agents and Hypergastrinemia" Journal of Clinical Medicine 10, no. 12: 2625. https://doi.org/10.3390/jcm10122625
APA StyleNishiyama, N., Kobara, H., Ayaki, M., Fujihara, S., Nakatani, K., Tada, N., Koduka, K., Matsui, T., Takata, T., Chiyo, T., Kobayashi, N., Shi, T., Fujita, K., Tani, J., Yachida, T., Masaki, T., & Haruma, K. (2021). White Spot, a Novel Endoscopic Finding, May Be Associated with Acid-Suppressing Agents and Hypergastrinemia. Journal of Clinical Medicine, 10(12), 2625. https://doi.org/10.3390/jcm10122625

