An Update on Pituitary Neuroendocrine Tumors Leading to Acromegaly and Gigantism
Abstract
1. Introduction
2. Manifestations of GH Excess
3. Causes of GH Excess
4. Pituitary Neuroendocrine Tumors (PitNETs)
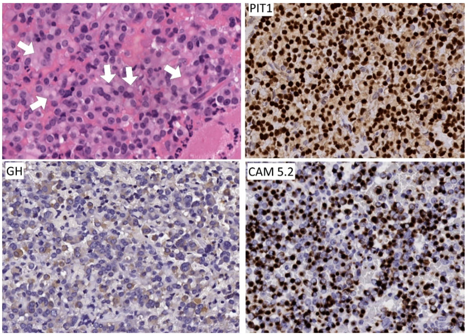
4.1. Densely Granulated Somatotroph Tumors
4.2. Sparsely Granulated Somatotroph Tumors
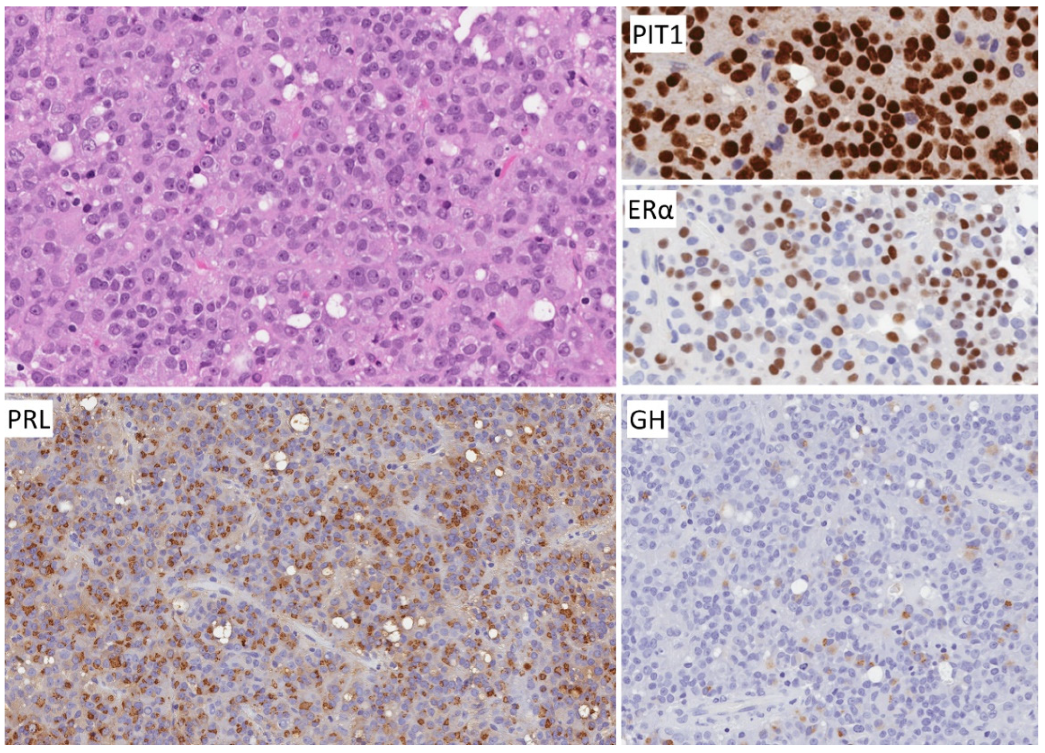
4.3. Mammosomatotroph Tumors
4.4. Mature Plurihormonal Tumors of PIT1-Lineage
4.5. Immature PIT1-Lineage Tumors
4.6. Acidophil Stem Cell Tumors
4.7. Mixed Tumors with GH Production
4.8. Unusual Plurihormonal Tumors
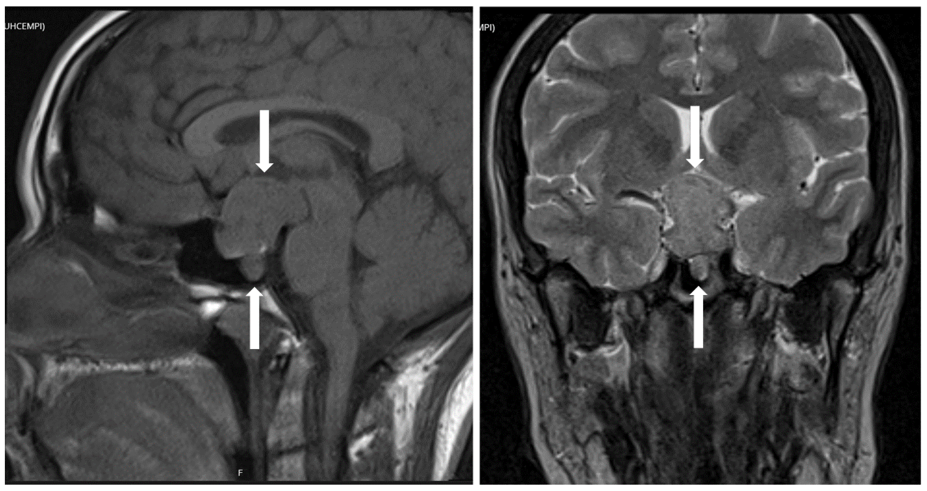
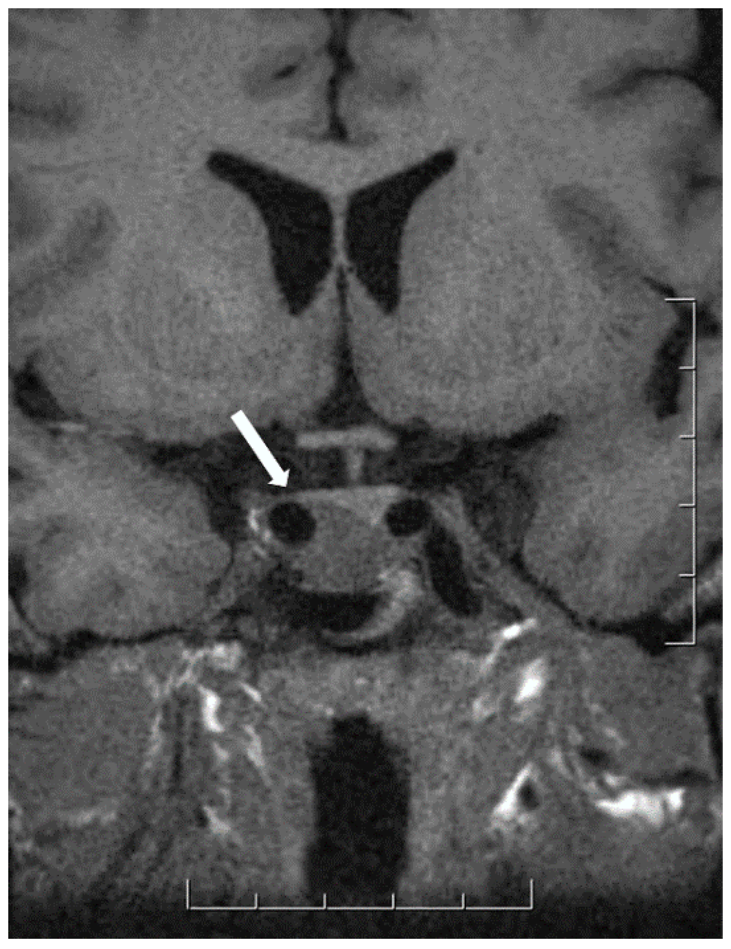
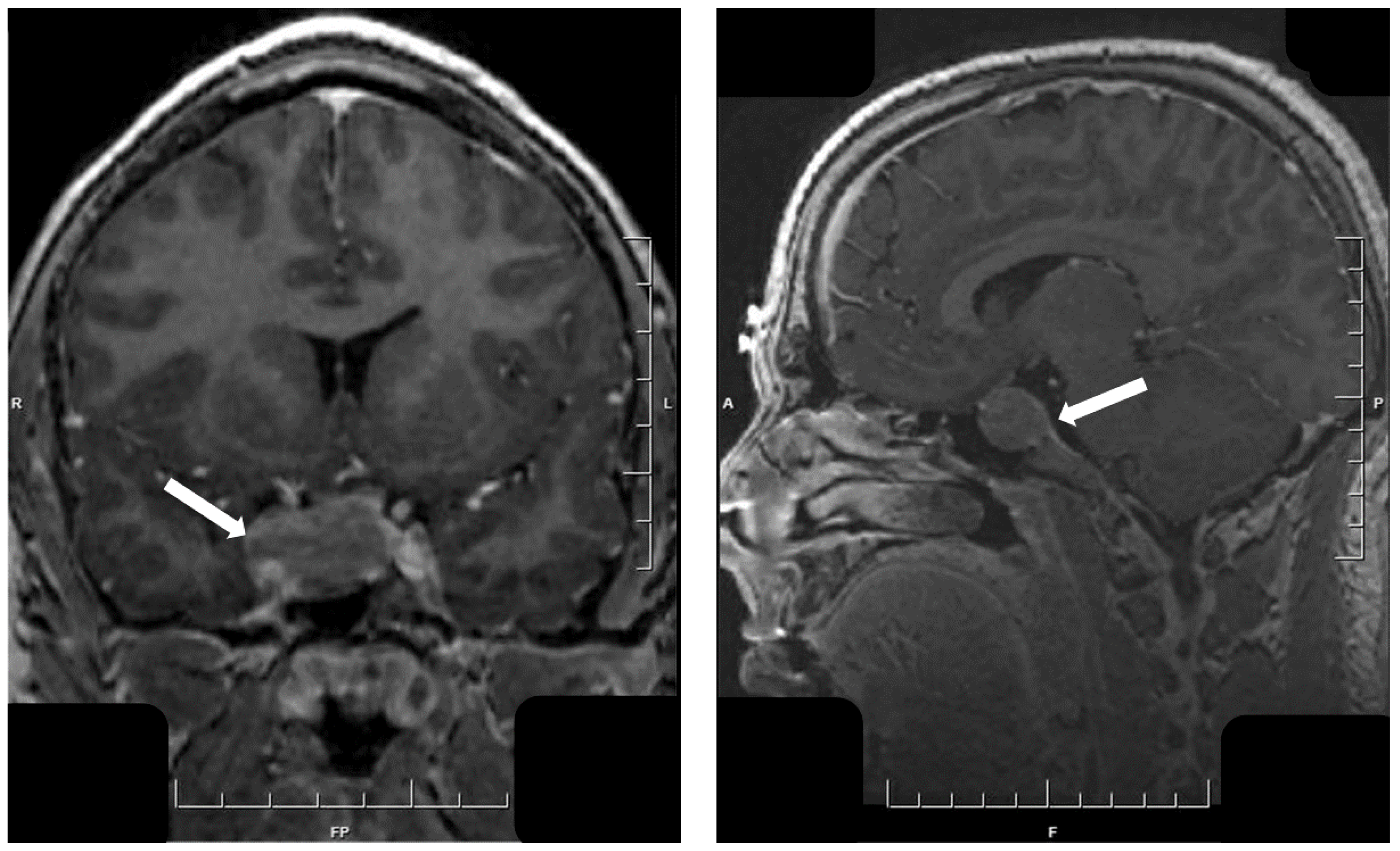
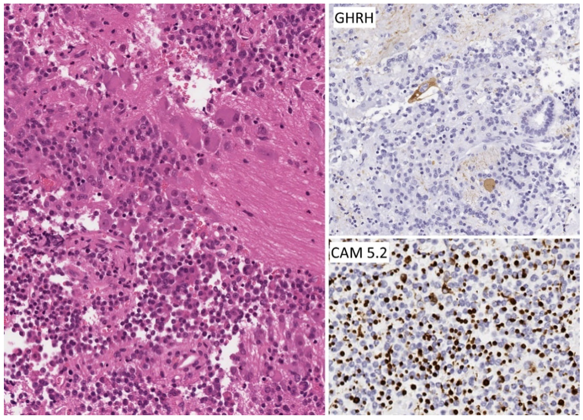
5. Hypothalamic Tumors
6. Conclusions
Author Contributions
Funding
Institutional Review Board Statement
Informed Consent Statement
Conflicts of Interest
References
- Binder, G. Growth hormone deficiency: New approaches to the diagnosis. Pediatr. Endocrinol. Rev. 2011, 9 (Suppl. 1), 535–537. [Google Scholar] [PubMed]
- Kao, P.C.; Abboud, C.F.; Zimmerman, D. Somatomedin C: An index of growth hormone activity. Mayo Clin. Proc. 1986, 61, 908–909. [Google Scholar] [CrossRef]
- Mestron, A.; Webb, S.M.; Astorga, R.; Benito, P.; Catala, M.; Gaztambide, S.; Gomez, J.M.; Halperin, I.; Lucas-Morante, T.; Moreno, B.; et al. Epidemiology, clinical characteristics, outcome, morbidity and mortality in acromegaly based on the Spanish Acromegaly Registry (Registro Espanol de Acromegalia, REA). Eur. J. Endocrinol. 2004, 151, 439–446. [Google Scholar] [CrossRef] [PubMed]
- Jenkins, P.J.; Mukherjee, A.; Shalet, S.M. Does growth hormone cause cancer? Clin. Endocrinol. (Oxf.) 2006, 64, 115–121. [Google Scholar] [CrossRef]
- Jenkins, P.J. Cancers associated with acromegaly. Neuroendocrinology 2006, 83, 218–223. [Google Scholar] [CrossRef]
- Loeper, S.; Ezzat, S. Acromegaly: Re-thinking the cancer risk. Rev. Endocr. Metab. Disord. 2008, 9, 41–58. [Google Scholar] [CrossRef] [PubMed]
- Kovacs, K.; Horvath, E.; Thorner, M.O.; Rogol, A.D. Mammosomatotroph hyperplasia associated with acromegaly and hyperprolactinemia in a patient with the McCune-Albright syndrome. Virchows Arch. A 1984, 403, 77–86. [Google Scholar] [CrossRef] [PubMed]
- Vortmeyer, A.O.; Glasker, S.; Mehta, G.U.; Abu-Asab, M.S.; Smith, J.H.; Zhuang, Z.; Collins, M.T.; Oldfield, E.H. Somatic GNAS mutation causes widespread and diffuse pituitary disease in acromegalic patients with McCune-Albright syndrome. J. Clin. Endocrinol. Metab. 2012, 97, 2404–2413. [Google Scholar] [CrossRef]
- Trivellin, G.; Daly, A.F.; Faucz, F.R.; Yuan, B.; Rostomyan, L.; Larco, D.O.; Schernthaner-Reiter, M.H.; Szarek, E.; Leal, L.F.; Caberg, J.H.; et al. Gigantism and acromegaly due to Xq26 microduplications and GPR101 mutation. N. Engl. J. Med. 2014, 371, 2363–2374. [Google Scholar] [CrossRef]
- Beckers, A.; Lodish, M.B.; Trivellin, G.; Rostomyan, L.; Lee, M.; Faucz, F.R.; Yuan, B.; Choong, C.S.; Caberg, J.H.; Verrua, E.; et al. X-linked acrogigantism syndrome: Clinical profile and therapeutic responses. Endocr. Relat. Cancer 2015, 22, 353–367. [Google Scholar] [CrossRef]
- Salpea, P.; Stratakis, C.A. Carney complex and McCune Albright syndrome: An overview of clinical manifestations and human molecular genetics. Mol. Cell. Endocrinol. 2014, 386, 85–91. [Google Scholar] [CrossRef] [PubMed]
- Cuny, T.; Mac, T.T.; Romanet, P.; Dufour, H.; Morange, I.; Albarel, F.; Lagarde, A.; Castinetti, F.; Graillon, T.; North, M.O.; et al. Acromegaly in Carney complex. Pituitary 2019, 22, 456–466. [Google Scholar] [CrossRef] [PubMed]
- Asa, S.L.; Perry, A. Tumors of the pituitary gland. In Armed Forces Institute of Pathology Atlas of Tumor Pathology, Series 5, Fascicle 1; ARP Press: Arlington, VA, USA, 2020. [Google Scholar]
- Asa, S.L.; Kucharczyk, W.; Ezzat, S. Pituitary acromegaly: Not one disease. Endocr. Relat. Cancer 2017, 24, C1–C4. [Google Scholar] [CrossRef] [PubMed]
- Minkowski, O. Ueber einen Fall von Akromegalie. Berl. Klin. Wochenschr. 1887, 24, 371–374. [Google Scholar]
- Mete, O.; Cintosun, A.; Pressman, I.; Asa, S.L. Epidemiology and biomarker profile of pituitary adenohypophysial tumors. Mod. Pathol. 2018, 31, 900–909. [Google Scholar] [CrossRef]
- Asa, S.L.; Mete, O. Cytokeratin profiles in pituitary neuroendocrine tumors. Human Pathol. 2020, in press. [Google Scholar] [CrossRef]
- Obari, A.; Sano, T.; Ohyama, K.; Kudo, E.; Qian, Z.R.; Yoneda, A.; Rayhan, N.; Mustafizur, R.M.; Yamada, S. Clinicopathological features of growth hormone-producing pituitary adenomas: Difference among various types defined by cytokeratin distribution pattern including a transitional form. Endocr. Pathol. 2008, 19, 82–91. [Google Scholar] [CrossRef]
- Trouillas, J.; Sassolas, G.; Guigard, M.P.; Fonlupt, P.; Ansaneli-Naves, L.; Perrin, G. Relationships between pathological diagnosis and clinical parameters in acromegaly. Metabolism 1996, 45 (Suppl. 1), 53–56. [Google Scholar] [CrossRef]
- Heck, A.; Ringstad, G.; Fougner, S.L.; Casar-Borota, O.; Nome, T.; Ramm-Pettersen, J.; Bollerslev, J. Intensity of pituitary adenoma on T2-weighted magnetic resonance imaging predicts the response to octreotide treatment in newly diagnosed acromegaly. Clin. Endocrinol. (Oxf.) 2012, 77, 72–78. [Google Scholar] [CrossRef]
- Fougner, S.L.; Casar-Borota, O.; Heck, A.; Berg, J.P.; Bollerslev, J. Adenoma granulation pattern correlates with clinical variables and effect of somatostatin analogue treatment in a large series of patients with acromegaly. Clin. Endocrinol. (Oxf.) 2012, 76, 96–102. [Google Scholar] [CrossRef]
- Kato, M.; Inoshita, N.; Sugiyama, T.; Tani, Y.; Shichiri, M.; Sano, T.; Yamada, S.; Hirata, Y. Differential expression of genes related to drug responsiveness between sparsely and densely granulated somatotroph adenomas. Endocr. J. 2012, 59, 221–228. [Google Scholar] [CrossRef] [PubMed]
- Brzana, J.; Yedinak, C.G.; Gultekin, S.H.; Delashaw, J.B.; Fleseriu, M. Growth hormone granulation pattern and somatostatin receptor subtype 2A correlate with postoperative somatostatin receptor ligand response in acromegaly: A large single center experience. Pituitary 2013, 16, 490–498. [Google Scholar] [CrossRef]
- Larkin, S.; Reddy, R.; Karavitaki, N.; Cudlip, S.; Wass, J.; Ansorge, O. Granulation pattern, but not GSP or GHR mutation, is associated with clinical characteristics in somatostatin-naive patients with somatotroph adenomas. Eur. J. Endocrinol. 2013, 168, 491–499. [Google Scholar] [CrossRef]
- Kiseljak-Vassiliades, K.; Carlson, N.E.; Borges, M.T.; Kleinschmidt-DeMasters, B.K.; Lillehei, K.O.; Kerr, J.M.; Wierman, M.E. Growth hormone tumor histological subtypes predict response to surgical and medical therapy. Endocrine 2015, 49, 231–241. [Google Scholar] [CrossRef] [PubMed]
- Cheng, S.; Al-Agha, R.; Araujo, P.B.; Serri, O.; Asa, L.; Ezzat, S. Metabolic glucose status and pituitary pathology portend therapeutic outcomes in acromegaly. PLoS ONE 2013, 8, e73543. [Google Scholar] [CrossRef] [PubMed]
- Hagiwara, A.; Inoue, Y.; Wakasa, K.; Haba, T.; Tashiro, T.; Miyamoto, T. Comparison of growth hormone-producing and non-growth hormone-producing pituitary adenomas: Imaging characteristics and pathologic correlation. Radiology 2003, 228, 533–538. [Google Scholar] [CrossRef] [PubMed]
- Potorac, I.; Petrossians, P.; Daly, A.F.; Alexopoulou, O.; Borot, S.; Sahnoun-Fathallah, M.; Castinetti, F.; Devuyst, F.; Jaffrain-Rea, M.L.; Briet, C.; et al. T2-weighted MRI signal predicts hormone and tumor responses to somatostatin analogs in acromegaly. Endocr. Relat. Cancer 2016, 23, 871–881. [Google Scholar] [CrossRef] [PubMed]
- Qian, Z.R.; Sano, T.; Yoshimoto, K.; Asa, S.L.; Yamada, S.; Mizusawa, N.; Kudo, E. Tumor-specific downregulation and methylation of the CDH13 (H-cadherin) and CDH1 (E-cadherin) genes correlate with aggressiveness of human pituitary adenomas. Mod. Pathol. 2007, 20, 1269–1277. [Google Scholar] [CrossRef]
- Sano, T.; Rong, Q.Z.; Kagawa, N.; Yamada, S. Down-regulation of E-cadherin and catenins in human pituitary growth hormone-producing adenomas. Front. Horm. Res. 2004, 32, 127–132. [Google Scholar]
- Xu, B.; Sano, T.; Yoshimoto, K.; Yamada, S. Downregulation of E-cadherin and its undercoat proteins in pituitary growth hormone cell adenomas with prominent fibrous bodies. Endocr. Pathol. 2002, 13, 341–351. [Google Scholar] [CrossRef]
- Sidhaye, A.; Burger, P.; Rigamonti, D.; Salvatori, R. Giant somatotrophinoma without acromegalic features: More “quiet” than “silent”: Case report. Neurosurgery 2005, 56, E1154. [Google Scholar]
- Pagesy, P.; Li, J.Y.; Kujas, M.; Peillon, F.; Delalande, O.; Visot, A.; Derome, P. Apparently silent somatotroph adenomas. Pathol. Res. Pract. 1991, 187, 950–956. [Google Scholar] [CrossRef]
- Yamada, S.; Sano, T.; Stefaneanu, L.; Kovacs, K.; Aiba, T.; Sawano, S.; Shishiba, Y. Endocrine and morphological study of a clinically silent somatotroph adenoma of the human pituitary. J. Clin. Endocrinol. Metab. 1993, 76, 352–356. [Google Scholar] [PubMed]
- Chahal, H.S.; Stals, K.; Unterlander, M.; Balding, D.J.; Thomas, M.G.; Kumar, A.V.; Besser, G.M.; Atkinson, A.B.; Morrison, P.J.; Howlett, T.A.; et al. AIP mutation in pituitary adenomas in the 18th century and today. N. Engl. J. Med. 2011, 364, 43–50. [Google Scholar] [CrossRef] [PubMed]
- Daly, A.F.; Tichomirowa, M.A.; Petrossians, P.; Heliovaara, E.; Jaffrain-Rea, M.L.; Barlier, A.; Naves, L.A.; Ebeling, T.; Karhu, A.; Raappana, A.; et al. Clinical characteristics and therapeutic responses in patients with germ-line AIP mutations and pituitary adenomas: An international collaborative study. J. Clin. Endocrinol. Metab. 2010, 95, E373–E383. [Google Scholar] [CrossRef] [PubMed]
- Denes, J.; Kasuki, L.; Trivellin, G.; Colli, L.M.; Takiya, C.M.; Stiles, C.E.; Barry, S.; de Castro, M.; Gadelha, M.R.; Korbonits, M. Regulation of aryl hydrocarbon receptor interacting protein (AIP) protein expression by MiR-34a in sporadic somatotropinomas. PLoS ONE 2015, 10, e0117107. [Google Scholar] [CrossRef]
- Losinski, N.E.; Horvath, E.; Kovacs, K.; Asa, S.L. Immunoelectron microscopic evidence of mammosomatotrophs in human adult and fetal adenohypophyses, rat adenohypophyses and human and rat pituitary adenomas. Anat. Anz. 1991, 172, 11–16. [Google Scholar]
- Frawley, L.S. Mammosomatotropes: Current status and possible functions. Trends Endocrinol. Metab. 1989, 1, 31–34. [Google Scholar] [CrossRef]
- Lloyd, R.V. Analysis of mammosomatotropic cells in normal and neoplastic human pituitaries. Pathol. Res. Pract. 1988, 183, 577–579. [Google Scholar] [CrossRef]
- Frawley, L.S.; Boockfor, F.R.; Hoeffler, J.P. Identification by plaque assays of a pituitary cell type that secretes both growth hormone and prolactin. Endocrinology 1985, 116, 734–737. [Google Scholar] [CrossRef]
- Horvath, E.; Kovacs, K.; Killinger, D.W.; Smyth, H.S.; Weiss, M.H.; Ezrin, C. Mammosomatotroph cell adenoma of the human pituitary: A morphologic entity. Virchows Arch. A 1983, 398, 277–289. [Google Scholar] [CrossRef] [PubMed]
- Felix, I.A.; Horvath, E.; Kovacs, K.; Smyth, H.S.; Killinger, D.W.; Vale, J. Mammosomatotroph adenoma of the pituitary associated with gigantism and hyperprolactinemia. A morphological study including immunoelectron microscopy. Acta Neuropathol. 1986, 71, 76–82. [Google Scholar] [CrossRef] [PubMed]
- Moran, A.; Asa, S.L.; Kovacs, K.; Horvath, E.; Singer, W.; Sagman, U.; Reubi, J.C.; Wilson, C.B.; Larson, R.; Pescovitz, O.H. Gigantism due to pituitary mammosomatotroph hyperplasia. N. Engl. J. Med. 1990, 323, 322–327. [Google Scholar] [CrossRef]
- Lv, L.; Jiang, Y.; Yin, S.; Hu, Y.; Chen, C.; Ma, W.; Jiang, S.; Zhou, P. Mammosomatotroph and mixed somatotroph-lactotroph adenoma in acromegaly: A retrospective study with long-term follow-up. Endocrine 2019, 66, 310–318. [Google Scholar] [CrossRef] [PubMed]
- Luo, P.; Zhang, L.; Yang, L.; An, Z.; Tan, H. Progress in the pathogenesis, diagnosis, and treatment of TSH-Secreting pituitary neuroendocrine tumor. Front. Endocrinol. (Lausanne) 2020, 11, 580264. [Google Scholar] [CrossRef] [PubMed]
- Mete, O.; Kefeli, M.; Caliskan, S.; Asa, S.L. GATA3 immunoreactivity expands the transcription factor profile of pituitary neuroendocrine tumors. Mod. Pathol. 2019, 32, 484–489. [Google Scholar] [CrossRef] [PubMed]
- Beck-Peccoz, P.; Brucker-Davis, F.; Persani, L.; Smallridge, R.C.; Weintraub, B.D. Thyrotropin-secreting pituitary tumors. Endocr. Rev. 1996, 17, 610–638. [Google Scholar] [PubMed]
- Mete, O.; Gomez-Hernandez, K.; Kucharczyk, W.; Ridout, R.; Zadeh, G.; Gentili, F.; Ezzat, S.; Asa, S.L. Silent subtype 3 pituitary adenomas are not always silent and represent poorly differentiated monomorphous plurihormonal Pit-1 lineage adenomas. Mod. Pathol. 2016, 29, 131–142. [Google Scholar] [CrossRef]
- Horvath, E.; Kovacs, K.; Smyth, H.S.; Cusimano, M.; Singer, W. Silent adenoma subtype 3 of the pituitary--immunohistochemical and ultrastructural classification: A review of 29 cases. Ultrastruct. Pathol. 2005, 29, 511–524. [Google Scholar] [CrossRef]
- Erickson, D.; Scheithauer, B.; Atkinson, J.; Horvath, E.; Kovacs, K.; Lloyd, R.V.; Young, W.F., Jr. Silent subtype 3 pituitary adenoma: A clinicopathologic analysis of the Mayo Clinic experience. Clin. Endocrinol. (Oxf.) 2009, 71, 92–99. [Google Scholar] [CrossRef]
- Tourniaire, J.; Trouillas, J.; Chalendar, D.; Bonneton-Emptoz, A.; Goutelle, A.; Girod, C. Somatotropic adenoma manifested by galactorrhea without acromegaly. J. Clin. Endocrinol. Metab. 1985, 61, 451–453. [Google Scholar] [CrossRef] [PubMed]
- Horvath, E.; Kovacs, K.; Singer, W.; Smyth, H.S.; Killinger, D.W.; Ezrin, C.; Weiss, M.H. Acidophil stem cell adenoma of the human pituitary: Clinicopathologic analysis of 15 cases. Cancer 1981, 47, 761–771. [Google Scholar] [CrossRef]
- Horvath, E.; Kovacs, K.; Singer, W.; Ezrin, C.; Kerenyi, N.A. Acidophil stem cell adenoma of the human pituitary. Arch. Pathol. Lab. Med. 1977, 101, 594–599. [Google Scholar] [PubMed]
- Huang, C.; Ezzat, S.; Asa, S.L.; Hamilton, J. Dopaminergic resistant prolactinomas in the peripubertal population. J. Pediatr. Endocrinol. Metab. 2006, 19, 951–953. [Google Scholar] [CrossRef] [PubMed]
- Papathomas, T.G.; Gaal, J.; Corssmit, E.P.; Oudijk, L.; Korpershoek, E.; Heimdal, K.; Bayley, J.P.; Morreau, H.; van Dooren, M.; Papaspyrou, K.; et al. Non-pheochromocytoma (PCC)/paraganglioma (PGL) tumors in patients with succinate dehydrogenase-related PCC-PGL syndromes: A clinicopathological and molecular analysis. Eur. J. Endocrinol. 2014, 170, 1–12. [Google Scholar] [CrossRef] [PubMed]
- Mete, O.; Alshaikh, O.M.; Cintosun, A.; Ezzat, S.; Asa, S.L. Synchronous Multiple Pituitary Neuroendocrine Tumors of Different Cell Lineages. Endocr. Pathol. 2018, 29, 332–338. [Google Scholar] [CrossRef] [PubMed]
- Tordjman, K.M.; Greenman, Y.; Ram, Z.; Hershkovitz, D.; Aizenstein, O.; Ariel, O.; Asa, S.L. Plurihormonal Pituitary Tumor of Pit-1 and SF-1 Lineages, with Synchronous Collision Corticotroph Tumor: A Possible Stem Cell Phenomenon. Endocr. Pathol. 2019, 30, 74–80. [Google Scholar] [CrossRef] [PubMed]
- Asa, S.L.; Mete, O. Hypothalamic Endocrine Tumors: An Update. J. Clin. Med. 2019, 8, 1741. [Google Scholar] [CrossRef]
- Asa, S.L.; Scheithauer, B.W.; Bilbao, J.M.; Horvath, E.; Ryan, N.; Kovacs, K.; Randall, R.V.; Laws, E.R.; Singer, W., Jr.; Linfoot, J.A.; et al. A case for hypothalamic acromegaly: A clinicopathological study of six patients with hypothalamic gangliocytomas producing growth hormone-releasing factor. J. Clin. Endocrinol. Metab. 1984, 58, 796–803. [Google Scholar] [CrossRef]
- Felix, I.; Bilbao, J.M.; Asa, S.L.; Tyndel, F.; Kovacs, K.; Becker, L.E. Cerebral and cerebellar gangliocytomas: A morphological study of nine cases. Acta Neuropathol. 1994, 88, 246–251. [Google Scholar] [CrossRef]
- Puchner, M.J.A.; Lüdecke, D.K.; Saeger, W.; Riedel, M.; Asa, S.L. Gangliocytomas of the sellar region—a review. Exper. Clin. Endocrinol. 1995, 103, 129–149. [Google Scholar] [CrossRef] [PubMed]
- Cossu, G.; Daniel, R.T.; Messerer, M. Gangliocytomas of the sellar region: A challenging diagnosis. Clin. Neurol. Neurosurg. 2016, 149, 122–135. [Google Scholar] [CrossRef] [PubMed]
- Hassoun, J.; Gambarelli, D.; Grisoli, F.; Pellet, W.; Salamon, G.; Pellissier, J.F.; Toga, M. Central neurocytoma. An electron-microscopic study of two cases. Acta Neuropathol. 1982, 56, 151–156. [Google Scholar] [CrossRef] [PubMed]
- Louis, D.N.; Ohgaki, H.; Wiestler, O.D.; Cavanee, W.K. World Health Organization Histological Classification of Tumours of the Central Nervous System; International Agency for Research on Cancer: Lyon, France, 2016. [Google Scholar]
- Asa, S.L.; Ezzat, S.; Kelly, D.F.; Cohan, P.; Takasumi, Y.; Barkhoudarian, G.; Heaney, A.P.; Ridout, R.; Chik, C.L.; Thompson, L.D.R.; et al. Hypothalamic vasopressin-producing tumors: Often inappropriate diuresis but occasionally cushing disease. Am. J. Surg. Pathol. 2018, 42, 251–260. [Google Scholar] [CrossRef]
- Araki, Y.; Sakai, N.; Andoh, T.; Yoshimura, S.; Yamada, H. Central neurocytoma presenting with gigantism: Case report. Surg. Neurol. 1992, 38, 141–145. [Google Scholar] [CrossRef]
- Akirov, A.; Asa, S.L.; Amer, L.; Shimon, I.; Ezzat, S. The clinicopathological spectrum of acromegaly. J. Clin. Med. 2019, 8, 1962. [Google Scholar] [CrossRef]













Publisher’s Note: MDPI stays neutral with regard to jurisdictional claims in published maps and institutional affiliations. |
© 2021 by the authors. Licensee MDPI, Basel, Switzerland. This article is an open access article distributed under the terms and conditions of the Creative Commons Attribution (CC BY) license (https://creativecommons.org/licenses/by/4.0/).
Share and Cite
Asa, S.L.; Ezzat, S. An Update on Pituitary Neuroendocrine Tumors Leading to Acromegaly and Gigantism. J. Clin. Med. 2021, 10, 2254. https://doi.org/10.3390/jcm10112254
Asa SL, Ezzat S. An Update on Pituitary Neuroendocrine Tumors Leading to Acromegaly and Gigantism. Journal of Clinical Medicine. 2021; 10(11):2254. https://doi.org/10.3390/jcm10112254
Chicago/Turabian StyleAsa, Sylvia L., and Shereen Ezzat. 2021. "An Update on Pituitary Neuroendocrine Tumors Leading to Acromegaly and Gigantism" Journal of Clinical Medicine 10, no. 11: 2254. https://doi.org/10.3390/jcm10112254
APA StyleAsa, S. L., & Ezzat, S. (2021). An Update on Pituitary Neuroendocrine Tumors Leading to Acromegaly and Gigantism. Journal of Clinical Medicine, 10(11), 2254. https://doi.org/10.3390/jcm10112254

