You are currently viewing a new version of our website. To view the old version click .
Vaccines
  • Article
  • Open Access

8 May 2023

NS1 Protein N-Linked Glycosylation Site Affects the Virulence and Pathogenesis of Dengue Virus

,
,
,
,
,
,
,
and
1
Institute of Health Inspection and Quarantine, Chinese Academy of Inspection and Quarantine, Beijing 100176, China
2
Department of Arbovirus Vaccine, National Institutes for Food and Drug Control, Beijing 102629, China
3
Vaccines R&D Department, Changchun Institute of Biological Products Co., Ltd., Changchun 130000, China
*
Author to whom correspondence should be addressed.

Abstract

Live attenuated vaccine is one of the most effective vaccines against flavivirus. Recently, site-directed mutation of the flavivirus genome using reverse genetics techniques has been used for the rapid development of attenuated vaccines. However, this technique relies on basic research of critical virulence loci of the virus. To screen the attenuated sites in dengue virus, a total of eleven dengue virus type four mutant strains with deletion of N-glycosylation sites in the NS1 protein were designed and constructed. Ten of them (except for the N207-del mutant strain) were successfully rescued. Out of the ten strains, one mutant strain (N130del+207-209QQA) was found to have significantly reduced virulence through neurovirulence assay in suckling mice, but was genetically unstable. Further purification using the plaque purification assay yielded a genetically stable attenuated strain #11-puri9 with mutations of K129T, N130K, N207Q, and T209A in the NS1 protein and E99D in the NS2A protein. Identifying the virulence loci by constructing revertant mutant and chimeric viruses revealed that five amino acid adaptive mutations in the dengue virus type four non-structural proteins NS1 and NS2A dramatically affected its neurovirulence and could be used in constructing attenuated dengue chimeric viruses. Our study is the first to obtain an attenuated dengue virus strain through the deletion of amino acid residues at the N-glycosylation site, providing a theoretical basis for understanding the pathogenesis of the dengue virus and developing its live attenuated vaccines.

1. Introduction

Dengue fever is a mosquito-borne viral infection caused by the dengue virus (DENV), which is widely spread in tropical and subtropical regions. The virus is transmitted in the “human-Aedes aegypti-human cycle” through the bite of DENV-infected A. aegypti mosquitoes. The sources of infection for dengue fever are primarily female A. aegypti mosquitoes and, to a lesser extent, dengue fever patients, latent infections, and non-human primates infected with dengue virus [1]. According to the World Health Organization (WHO), dengue cases increased more than eight times in the last 20 years, from 505,430 cases in 2000 to more than 2.4 million cases in 2010 and 5.2 million cases in 2019 [2]. Currently, dengue fever is still aggravating worldwide, with the epidemic area dominated by the co-prevalence of multiple virus serotypes, and which has become one of the acute infectious diseases of global concern.
According to the serum neutralization test and the antigenicity of the envelope protein (E), DENV is primarily divided into four serotypes. The fifth serotype (DENV-5) was identified in a patient’s blood in Sarawak, Malaysia, in 2007, but it needs to be confirmed with more data [3]. Dengue virus consists of three structural proteins (C, prM/M, and E) and seven non-structural proteins (NS1-5). The structural proteins are the main target antigens for vaccine design, while the non-structural proteins are mainly involved in RNA replication and viral packaging. NS1 protein is a glycoprotein possessing multiple forms [4,5,6] and is considered a protective antigen in dengue vaccines [7]. The immune response generated against NS1 protein can effectively prevent severe dengue fever. Dengue vaccines have been developed for nearly a century, beginning in the 1920s. However, most vaccines obtained at the early stage using viral inactivation or attenuation via successive passaging of the infected cells were ineffective. Later on, scholars around the world successfully developed live attenuated virus vaccines using reverse genetics, including Dengvaxia, a tetravalent YFV/DENV chimeric vaccine by Pasteur [8,9,10], tetravalent DENVax by Takeda [11,12,13,14,15], and tetravalent TV003/TV005 by the National Institute of Allergy and Infectious Diseases [16,17,18,19,20,21,22,23].
N-glycosylation is most common in organisms and refers to the covalent attachment of sugar chains to asparagine residues in the conserved motif NxS/T, with x denoting an amino acid other than proline [24]. During the infection cycle of the dengue virus, the N-glycosylation modifications on the E and NS1 proteins play important roles in the adsorption, invasion, maturation, assembly, and secretion of the virus [25,26]. N-glycosylation modifications not only hide the neutralizing epitopes on the surface of viral proteins, but also participate in viral infection and affect virulence [27]. Two N-glycosylation sites, N130 and N207, are present in the dengue virus NS1 protein and are highly conserved among flaviviruses. Deleting all N-glycosylation sites in the NS1 protein of West Nile virus (WNV) results in complete loss of neurovirulence of the attenuated virus to mice, but retains promising immunogenicity [28]. In this study, we constructed multiple NS1 protein N-glycosylation site deletion mutant strains using the reverse genetics technique and screened a dengue mutant strain with attenuated virulence and genetic stability for the development of attenuated dengue virus vectors and dengue chimeric vaccines.

2. Materials and Methods

2.1. Viruses, Plasmids, Cells, and Animals

DENV-4 Ban18 strain, which was isolated in 1981 from Xishuangbanna, Yunnan, China, and DENV-4 Ban18HK20 strain, which was obtained by passing DENV-4 Ban18 strain on primary hamster kidney cells for 20 generations, were from the Division of Arboviral Vaccines, National Institutes for Food and Drug Control (NIFDC), China. The infectious cloning plasmid pSPTM-DENV of DENV-4 Ban18HK20 strain, the chimeric dengue virus subcloning plasmid pUC57-DENV4/1-A, and the dengue chimeric virus rDENV4/1 were from NIFDC. The specific pathogen-free 3-day-old BALB/c suckling mice and 4-day-old ICR suckling mice were supplied by the Center of Animal Breeding, NIFDC. Vero cells were from ATCC and preserved in the Division of Arboviral Vaccines for passaging.

2.2. Design of Dengue Virus NS1 Protein N-Glycosylation Site Mutations

It has been reported that NS1 glycosylation affects WNV pathogenicity, and deletion of glycosylation sites significantly reduces WNV virulence and can be used as a design strategy for live attenuated vaccines [28]. Therefore, we constructed 11 glycosylation mutations of the dengue virus NS1 protein using its infectious cloning of Ban18HK20 strain, including eight single-site mutations and three double-site combined deletion mutations (Figure 1). These mutations included (i) a mutation of amino acid residue 130 from N to A (N130A), (ii) a mutation of amino acid residue 207 from N to A (N207A); (iii) a mutation of amino acid residue 130 from N to Q (N130Q); (iv) a mutation of amino acid residue 207 from N to Q (N207Q); (v) mutations of amino acid residues 130, 131, and 132 from NST to QQA (130-132QQA); (vi) mutations of amino acid residues 207, 208, and 209 from NQT to QQA (207-209QQA); (vii) a deletion of amino acid residue 130 (N130-del); (viii) a deletion of amino acid residue 207 (N207-del); (ix) N130A combined with N207A mutation (N130A+N207A); (x) 130-132QQA combined with 207-209QQA mutation (130-132QQA+207-209QQA); and (xi) N130-del combined with 207-209QQA mutation (N130-del+207-209QQA).
Figure 1. Construction of infectious clones with mutations at the N-glycosylation site in the NS1 proteins of the dengue virus. The letters in the blue or red boxes indicate amino acid residues at the N-linked glycosylation site of the NS1 protein. N, S, T, Q, and A indicate asparagine, serine, threonine, glutamine and alanine, respectively.

2.3. Construction Strategy for Molecular Cloning

To construct infectious clones of the N-glycosylation site mutant strains of dengue virus NS1 protein, we selected fragments flanking the NS1 protein glycosylation sites with suitable restriction sites at the 5′ and 3′ ends, PCR-amplified them, and cloned them using In-Fusion cloning into a dengue virus infectious clone plasmid pSPTM-DENV (Ban18HK20) reported previously [29,30]. Table S1 shows the amplification primers and enzymatic sites for cloning. Briefly, the plasmid was cleaved using the corresponding restriction endonucleases listed in Table S1 and separated by agarose gel electrophoresis. The target fragment was recovered from agarose gel and purified. Two fragments containing the mutation site were amplified using two pairs of primers with homologous arms that bind complementarily to the end of the linearized vector. After removal of the plasmid template using DpnI (Cat. R0176L; NEB), the PCR products were purified using a DNA purification kit (Cat.9761; TaKaRa, Kusatsu, Shiga). Homologous recombination was performed by mixing the two PCR amplification fragments with a linearization vector in a 2:2:1 molar ratio in 5× In-Fusion HD Enzyme Premix (Cat. 639650; TaKaRa). The recombinant products were transformed into DH10B competent cells, and single clones were selected for sequencing and identification. The correct plasmids were extracted and used for in vitro transcription.

2.4. In Vitro Transcription, Transfection, and Virus Rescue

The infectious clone plasmids were linearized using XhoI, which cleavage site had been artificially added to the 3′ end of the viral cDNA and digested using mung bean nuclease to make the sticky ends. After inactivating mung bean nuclease by adding SDS at a final concentration of 2%, the DNA fragments were purified and recovered using the V-Elute Gel Mini Purification Kit (Cat. ZPV202; Beijing Zoman Biotechnology Co., Ltd., Beijing, China) and used as a template for in vitro transcription with a RiboMAX Large Scale RNA Production System (Cat. P1280; Promega, Madison, WI, USA). The 5′ end of viral RNA was capped using a Ribo m7G Cap Analog (Cat. P1712; Promega) to mimic the native structure of the virus. After removal of the DNA template using DNase I, RNAs were purified using the RNeasy MinElute Cleanup Kit (Cat. 74204; QIAGEN, Hilden, Germany) and transfected into Vero cells using a Gene Pulser Xcell Electroporation System using a Gene Pulser Electroporation Buffer (Cat. 1652676; Bio-Rad, Hercules, CA, USA) with the voltage set at 220 V, capacitor set at 300 μF, cuvette gap at 0.4 cm, and resistor at none. Significant cytopathic effects were observed 5–7 days after electro-transfection, and cell supernatants were harvested as rescue viruses and stored frozen at −80 °C.

2.5. Virus Titer Assay

Vero cells were seeded in six-well plates at 1 × 106 cells/well. The supernatant was discarded at cell confluence of 80–90%, and cells were infected with the virus at 10-fold serial dilution (10−1–10−6) for 1 h at 37 °C and 5% CO2. The viruses were discarded, and cells were overlaid with methylcellulose and incubated for 7 days. After removing the overlay, cells were stained with crystalline violet for 30 min and washed. The plates were air-dried, and the number of plaques was counted. The virus titer was expressed as the log of the number of plaque-forming units (PFU) per mL or log10 (PFU/mL).

2.6. Western Blotting

Vero cells were infected with viruses at a multiplicity of infection (MOI) of 1 and incubated at 37 °C with 5% CO2 for 48 h. After washing the cells with PBS, cells were lysed with RIPA lysis buffer (Sigma, Cat.R0278-50ML, St. Louis, MO, USA) on ice for 30 min. Cell lysates were collected using centrifugation at 12,000× g for 30 min at 4 °C and used to detect protein concentrations. The protein samples were mixed with NuPAGE 4× Loading Buffer (Invitrogen, Cat.NP0007, Waltham, MA, USA), denatured at 70 °C for 10 min, subjected to SDS-PAGE electrophoresis, and transferred onto PVDF membranes using the iBlot 2 Gel Transfer Device (Thermo Fisher Scientific, IB21001, Waltham, MA, USA). After PVDF membranes were blocked with 5% BSA for 2 h at room temperature, the membranes containing target proteins were incubated with a 4G2 antibody (Novus Biologicals, Cat.NBP2-52709-0.2mg, Centennial, CO, USA) or NS1 antibody (Arigo Biolaboratories, Cat.ARG65660, Taiwan, China), respectively, and the membranes containing the internal reference protein were incubated with a GAPDH antibody (TransGen Biotech Co., Ltd., HC301, Beijing, China) overnight at 4 °C on a shaker. After washing the membrane with PBST, the membranes were further incubated with HRP-conjugated goat anti-mouse IgG secondary antibody (TransGen Biotech Co., Ltd., HS201, Beijing, China) for 1.5 h at room temperature before being washed with PBST. The signals were detected and imaged with a chemiluminescent imaging system.

2.7. Indirect Immunofluorescence Assays

Vero cells were seeded in a 96-well plate, infected with the virus at an MOI of 1, and cultured at 37 °C in an incubator with 5% CO2 for 48 h. After discarding the supernatants, cells were washed once with PBS and fixed using pre-cooled 80% acetone solution for 30 min at 4 °C. After that, acetone was removed and cells were air-dried at room temperature, washed once with PBS, and incubated with a primary anti-Dengue virus E glycoprotein antibody (Abcam, ab41349, Cambridge, UK) for 30 min at room temperature. After being washed three times with PBS, cells were incubated with fluorescent secondary goat anti-mouse IgG H&L (Abcam, ab150113) for 30 min at room temperature in the dark, washed three times with PBS, and counter stained with DAPI to visualize the nuclei for 5 min at room temperature in the dark. After being washed three times with PBS, cells were observed under an inversion fluorescence microscope and photographed for recording.

2.8. Virus Genome Sequencing and Genetic Stability Assay

RNA was extracted from the rescue virus using a QIAamp Viral RNA Mini Kit (QIAGEN, Cat. 52904) and reverse transcribed into cDNA using a GoScript™ Reverse Transcription System (Promega, Cat. A5000). Primers were designed to amplify the full length of the viral genome in segments, and the amplification products were sent to Sangon Biotech Co., Ltd. (Shanghai, China) for Sanger sequencing. The walking sequencing primers for amplification products of the E and NS1 regions of the dengue virus genome are listed in Table S2. For genetic stability analysis, viruses were passed through 5 generations in Vero cells, and viral RNA was extracted from cell supernatants of the 1st, 3rd, and 5th generations and subjected to RT-PCR sequencing to identify the mutation sites.

2.9. Mouse Experiments

Specific pathogen-free 3-day-old BALB/c suckling mice and 4-day-old ICR suckling mice were selected for neurovirulence assays of the dengue virus. In brief, mice were intracerebrally injected with 0.02 mL of virus diluted with PBS containing 2% FBS and observed for 21 days. The average survival time (AST) and mortality of mice were calculated. The neurovirulence of different mutant viruses in suckling mice was observed, and a half-lethal dose (LD50) was calculated based on the Reed-Muench method.

2.10. Virus Plaque Purification Assay

The virus to be purified was serially diluted 10-fold and used to infect Vero cells in a six-well plate at 37 °C in an incubator with 5% CO2 for 1 h. After the virus was discarded, cells were overlaid with a layer of agar overlay and incubated for 5 days, followed by overlaying the second layer of agar containing neutral red staining solution and incubating for 24 h. The monoclonal viral strain was isolated under the light at seven days post-infection and cultivated in monolayer Vero cells in a six-well plate, followed by passaging in T25 cell flasks for expansion.

2.11. Construction of Dengue Chimeric Virus

The chimeric plasmid pSPTM-DENV4/1 was constructed by replacing the corresponding gene in the infectious cloning plasmid pSPTM-DENV of DENV type 4 with the prM-E gene of DENV type 1 (79–116 strain). Since the full-length infectious clone of DENV4/1 was unstable, it was cloned via segmentation followed by in vitro ligation (Figure 2). First, pUC57-DENV4/1-A with N207Q+T209A and K129T+N130K+N207Q+T209A mutations and pSPTM-DENV(mut) with NS2A-E99D mutation were constructed. Second, the pUC57-DENV4/1-A was digested with AscI and AflII to generate a 3.4 kb linear fragment DENV4/1-A, and pSPTM-DENV(mut) was digested with XhoI and AflII to generate a 7.3 kb fragment DENV4/1-B. Third, the fragment DENV4/1-A and fragment DENV4/1-B were ligated overnight at 4 °C by T4 DNA ligase. The 10 kb fragment was purified after electrophoresis and used as the chimeric viral cDNA for in vitro transcription and virus rescue.
Figure 2. Construction of chimeric dengue virus DENV4/1 via in vitro ligation. The prM-E gene of DENV type 1 was cloned in the pUC57 vector as fragment A, and the backbone gene of DENV type 4 was used as fragment B. The two linear fragments, A and B, were then ligated in vitro using T4 DNA ligase to obtain the full-length viral cDNA. Finally, the chimeric virus was rescued by in vitro transcription and electro-transfection. The pentagrams in plasmid pUC57-DENV4/1-A indicate amino acid mutations at the N-glycosylation sites at positions 130 and 207, respectively, in the NS1 protein. The pentagram in plasmid pSPTM-DENV(Mut) indicates a mutation at amino acid 99 in the NS2A protein.

2.12. Statistical Analysis

All statistical analyses were performed using GraphPad Prism 9 (GraphPad Software Inc., San Diego, CA, USA). The differences among multiple groups were analyzed using one-way analysis of variance (ANOVA) followed by Dunnett’s test. Survival analysis was performed using Log-rank (Mantel–Cox) test. A p-value less than 0.05 was regarded as statistically significant. * p ≤ 0.05, ** p ≤ 0.01, *** p ≤ 0.001, and **** p ≤ 0.0001.

3. Results

3.1. Identification of Rescue Viruses

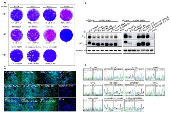
Virus titer determination revealed that the N207-del strain did not show any detectable level of virus (no viral titer was detected). N130A, N207A, N130Q, N207Q, 130-132QQA, 207-209QQA, and N130-del strains showed higher levels of virus (viral titers above 5.0 log10 PFU/mL); the three strains with combined deletion of the two glycosylation sites showed similar levels of virus (All above 7.0 log10 PFU/mL). The size of plaques formed by the rescued viruses was not significantly different (Figure 3A).
Figure 3. Identification of rescue viruses. (A) Plaque size of the dengue virus with mutations in the NS1 protein glycosylation site. The plaque size is indicated as average diameter of plaques ± standard deviation. (B) Expression of viral E and NS1 proteins in the parent strain of dengue virus and its NS1 protein glycosylation site mutant strain. (C) Indirect immunofluorescence assay of dengue virus parent strain and its NS1 protein glycosylation site mutant strain for specific E protein expression. (D) Genome sequencing of dengue virus and its mutant strains. The red lines below the bases indicate the mutation sites.
Among the mutant strains with deletion of one glycosylation site, the expression of NS1 protein was significantly reduced in the N130-del strain. However, in the N207-del strain, both viral-specific E protein and NS1 protein expression were not detected, indicating that deletion of the N207 site may impair the rescue of the virus. By contrast, higher expression of virus-specific E protein and NS1 protein was detected in all three mutant strains with deletion of both glycosylation sites (N130A+N207A, 130-132QQA+207-209QQA, and N130-del+207-209QQA). Additionally, the molecular weights of the NS1 proteins of the glycosylation-deficient mutant viruses were found to be lower than those of the parental Ban18HK20 strain without glycosylation deletion (Figure 3B). Indirect immunofluorescence assays showed that only the N207-del strain failed to express virus-specific E protein (Figure 3C). This may indicate that deletion of the N207 site affects viral replication or packaging. RT-PCR amplification of the RNA of the rescue viruses showed that only N207-del was not amplified. Sequencing of viral genomes of the remaining ten mutant strains showed consistent results with the target sequences (Figure 3D).

3.2. Dengue Virus Possesses an Attenuated Phenotype after Deletion of the N-Glycosylation Site in the NS1 Protein

The NS1 protein of the dengue virus Ban18HK20 strain contains two potential N-glycosylation motifs (130-132NST and 207-209NQT), and mutation of either the first or third amino acid residues of these motifs results in N-glycosylation deletion mutations. This study first constructed eight mutant strains with a single N-glycosylation site deletion at position 130 or 207. Only seven were used for subsequent studies because the deletion of asparagine residue at position 207 failed to rescue the virus. The impact of these mutations on virulence was tested using neurovirulence assays in suckling mice, and mutations with attenuated phenotypes were further mutated to find further attenuated strains.
The mutant N130del+207-209QQA strain showed the most significantly attenuated neurovirulence compared with other mutant strains, as indicated by its greater LD50 and longer average survival time in 3-day-old BALB/c suckling mice. However, it presented higher mortality at a low dose of 2.1 log10 PFU than at a high dose of 3.1 log10 PFU (Table 1), suggesting that the strain is genetically unstable and may further mutate to other strains with different virulence. Thus, additional plaque purification is necessary to further confirm its true virulence. This strain also showed significantly attenuated neurovirulence in 4-day-old ICR suckling mice (Figure 4, Table 2). However, unlike in BALB/c suckling mice, the N130-del mutation also resulted in significantly attenuated neurovirulence in 4-day-old ICR suckling mice, suggesting that N130 may be a critical locus affecting viral neurovirulence.
Table 1. Neurovirulence of different dengue virus strains with mutations at the glycosylation sites of the NS1 protein in the 3-day-old BALB/c suckling mice.
Figure 4. Neurovirulence of 100 PFU dengue virus mutated at the N-glycosylation site in the NS1 protein to 4-day-old ICR suckling mice. (A) Average survival time of mutant and parental viruses in 4-day-old ICR suckling mice inoculated with 100 PFU of mutant and parental viruses via the intracerebral route. * p ≤ 0.05, *** p ≤ 0.001. (B) Survival of 4-day-old ICR suckling mice inoculated with 100 PFU of mutant and parental viruses via the intracerebral route following 21 days of observation. Statistical significance was analyzed using Log-rank (Mantel–Cox) survival analysis. * p ≤ 0.05, ** p ≤ 0.01 and **** p ≤ 0.0001.
Table 2. Neurovirulence of different dengue virus strains with mutations at the glycosylation sites of the NS1 protein in the 4-day-old ICR suckling mice.

3.3. Plaque Purification of the Mutant N130del+207-209QQA Strain and Screening of Attenuated Strains

The mutant N130del+207-209QQA strain with the lowest virulence was sequenced after five serial passages in Vero cells. The results showed that three mutations, K112N, K129T, and del130K, appeared in the NS1 protein starting from the third generation and were maintained in the fifth generation (Table 3). Since the mutant N130del+207-209QQA strain was genetically unstable and had higher virulence at low doses in suckling mice, plaque purification was performed to isolate genetically stable attenuated clonal strains. Ten purified clonal strains (puri1–10) were injected intracerebrally into the 4-day-old ICR suckling mice. The results showed that of the ten purified clonal strains, #11-puri7 and #11-puri9 were not lethal to the suckling mice even at a high dose of 100 PUF (Table 4), showing significantly attenuated characteristics.
Table 3. Genetic stability of a dengue virus strain (#11) with mutations at the NS1 glycosylation sites.
Table 4. Neurovirulence of a plaque-purified dengue virus strain (#11) with mutations at the NS1 glycosylation in the 4-day-old ICR suckling mice.
Viral genome sequencing of the ten purified clonal strains (puri1–10) showed that #11-puri7 and #11-puri9 possessed the same mutation sites (K129T, N130K, N207Q, and T209A) in the NS1 protein, and E99D in the NS2A protein (Table 5), indicating that these mutations may affect virulence.
Table 5. RT-PCR sequencing of the plaque-purified dengue virus strain (#11) with mutations at the NS1 glycosylation sites.

3.4. Identification of Virulence Loci for Attenuated Mutants

The five amino acid mutation sites (NS1-K129T, N130K, N207Q, T209A, and NS2A-E99D) identified in this study were introduced into the dengue virus infectious clone plasmid, and their impacts on dengue virus virulence were evaluated. The plaque formation results showed that the rescue viruses with the same genotype as #11-puir9 showed significantly smaller plaques than the Ban18HK20 strain (Figure 5), consistent with previous reports that attenuated viruses had smaller plaques [31,32]. The neurovirulence test results showed that the rescue virus with the same genotype as #11-puir9 remained non-lethal to suckling mice after challenging at a dose of 100 PFU (Table 6), showing a significantly more attenuated profile than the Ban18HK20 strain. These results confirmed that K129T, N130K, N207Q, and T209A mutations in NS1 protein and E99D in NS2A protein could affect dengue virus virulence.
Figure 5. Plaque size of the plaque-purified attenuated rescued strain Ban18HK20 (Mut-NS1-K129T, N130K, N207Q, T209A, NS2A-E99D) and its non-mutated virus Ban18HK20. The plaque size is indicated as average diameter of plaques ± standard deviation.
Table 6. Neurovirulence of the rescued dengue virus mutants at the #11-puri9 virulence locus in the 4-day-old ICR suckling mice.
Since all mutations affecting virulence identified in our study were located in the non-structural proteins of dengue viruses, these mutations could be used for constructing attenuated dengue chimeric viruses. Because the DENV4/1 chimeric virus constructed in our previous study is still strongly neurovirulent to suckling mice, N207Q+T209A+E99D or K129T+N130K+N207Q+T209A+E99D mutations were introduced into the chimeric virus in this study. The plaque formation results showed that rDENV4/1 with N207Q+T209A+E99D mutations resulted in both large and small plaques, while rDENV4/1 with K129T+N130K+N207Q+T209A+E99D mutations resulted in only small plaques as #11-puri9, significantly different from non-mutated DENV4/1 (Figure 6). Neurovirulence results also demonstrated that the rDENV4/1 with N207Q+T209A+E99D mutations showed strong neurovirulence in the 4-day-old ICR suckling mice, similar to the non-mutated DENV4/1. By contrast, the rDENV4/1 with K129T+N130K+N207Q+T209A+E99D mutations was non-lethal to suckling mice and shared the same attenuated characteristics as the #11-puri9 strain (Table 7). These data suggest that K129T and N130K mutations significantly reduce neurovirulence in suckling mice.
Figure 6. Plaque size of dengue chimeric viruses with and without amino acid mutations.
Table 7. Neurovirulence of chimeric dengue virus DENV4/1 and its mutants in the 4-day-old ICR suckling mice.

3.5. Genetic Stability of Plaque-Purified Attenuated Dengue Virus Strains

The genetic stability of the #11-puri9 purified strain and the rescued virus of its infectious clone was confirmed via passaging to passage 5 (P5) in Vero cells and sequencing the viral genome of the third and fifth generations. The results showed that the #11-puri9 strain was genetically stable with no nucleotide mutations (Table 8). The adaptive mutation of the attenuated locus identified in the #11-puri9 strain (Figure 7) could be used in constructing attenuated dengue viruses or chimeric dengue viruses with other serotypes.
Table 8. Genetic stability of the purified and rescued dengue virus #11-puri9 strains.
Figure 7. Screening of the attenuated dengue virus strains and associated virulence loci derived from adaptive insertional mutations following deletion mutations.

4. Discussion

This study found that the deletion of amino acids in the NS1 protein of the dengue virus affected its packaging and stability, leading to a lack of detectable viral RNA and proteins during rescue and after multiple passages. Our results support previous findings that the glycosylation modification of NS1 protein in dengue and West Nile viruses can impact virus secretion and stability [33,34].
Flavivirus structural proteins prM and E and non-structural protein NS1 are glycoproteins. Their glycosylation modifications play key roles in virus assembly and secretion. Tajima et al. found that DENV1 production was not detected when full-length DENV-1 RNA, which has an N-glycosylation site Asn130-to-Ala mutation in NS1, was transfected into cells [35]. In this study, the dengue virus with a deletion at amino acid residue 207 of the NS1 protein (N207-del) showed no detectable viral RNA and proteins during rescue and a lack of virus packaging after three successive passages. In addition, NS1 protein expression was significantly reduced in the N130 deletion mutant strain. Our results suggest that the N-glycosylation site of the DENV NS1 is essential for viral replication. These different observations may be attributed to differences in virus type, virus strain, and cells.
The mutation of the N-glycosylation site of the dengue virus NS1 protein to different amino acids may affect the replication and virulence of the virus. Based on previous findings [28,35,36,37,38,39], we designed various amino acid mutation strategies. Among the glycosylation site mutant viruses designed in this study, the neurovirulence of N130-del and N130del+207-209QQA strains to suckling mice was significantly reduced, especially N130del+207-209QQA, which showed markedly attenuated phenotype in both ICR and BALB/c suckling mice. However, the mortality of suckling mice infected intracerebrally with N130del+207-209QQA was higher at low doses than at high doses. The problem persisted after repeating the experiment. It is speculated that there are several viruses with different genetic mutations due to the impurity of the rescue virus. Therefore, the genetic stability of the N130del+207-209QQA strain was studied, and the results showed that this strain was genetically unstable and prone to nucleotide insertion mutations. Therefore, a plaque assay was performed to purify the mutant strains, and the plaque-purified virus was used to re-infect the suckling mice intracerebrally. Genome sequencing of the purified clones showed that clone #11-puri9 with significantly attenuated phenotype possessed an insertional mutation at amino acid residue 130, where the original nucleotide deletion mutation occurred while still maintaining the deletion of the glycosylation sites at positions 130 and 207 (Figure 7). This insertion stabilized the genome and kept the significantly attenuated phenotype, indicating it could be used as a new strategy for developing live attenuated vaccines.
Recent studies have shown that deletion of the N-glycosylation site in the NS1 protein of flaviviruses such as YFV, WNV, and ZIKV attenuates or abolishes their neurovirulence in mice [39,40,41]. Whiteman et al. showed that mutating the three consecutive amino acid residues from NTT to QQA at the first glycosylation site in the NS1 protein of WNV abolished viral virulence in mice [28]. Further studies revealed that the underlying mechanism is that the lack of glycosylation in the NS1 protein hinders viral replication and blocks NS1 protein maturation and secretion, leading to altered viral ultrastructure and subsequent attenuation of neurovirulence in mice [42]. Similarly, Pryor et al. showed that a mutation (N207A) of the glycosylation site at amino acid residue 207 in the NS1 protein in DENV-2 led to a significant reduction in virulence of dengue virus to 3-day-old BALB/c suckling mice when intracerebrally infecting the mice with 10 PFU of the virus [43]. However, our study found that the same mutation in DENV-4, (N207A) did not attenuate virulence, and the #11-puri9 strain (KN129-130TK) with additional glycosylation site deletion completely abolished virulence after intracranial infection to suckling mice at a dose of 100 PFU. These results suggest that deleting N-glycosylation sites in the NS1 protein provides a novel approach for developing genetically stable, attenuated dengue vaccines.
It is generally accepted that a dengue vaccine should induce strong and long-lasting specific neutralizing antibodies and cellular immune responses against all four dengue virus serotypes simultaneously to effectively prevent dengue hemorrhagic fever and dengue shock syndrome caused by infection with other serotypes in the endemic areas. Takeda Pharmaceuticals developed a tetravalent attenuated dengue chimeric vaccine using the PDK-53 strain as a vaccine candidate against DENV-2. Three critical attenuating sites with 5′UTR-57, NS1-53, and NS3-250 were identified in the non-structural proteins of the PDK-53 strain using reverse genetics techniques [44]. The chimeric virus vaccine candidates ChiDEN-2/1, ChiDEN-2/3, and ChiDEN-2/4 constructed using the PDK-53 strain as the backbone showed complete loss of neurovirulence against suckling mice with a promising safety profile [12]. Our previous studies showed that the rDENV4/1 construct remains strongly neurovirulent to suckling mice, indicating it is challenging to be used as a safe dengue vaccine candidate strain for further development. Therefore, we introduced a potential virulence locus identified in the DENV4-Ban18HK20 strain into the rDENV4/1 chimeric virus to further investigate its effect on virulence attenuation. The rDENV4/1 with this mutant locus showed a significantly attenuated phenotype in plaque size and neurovirulence in suckling mice, making it a promising candidate for further development of novel dengue chimeric vaccines.
Construction of infectious clones of flaviviruses and their chimeric viruses can be challenging. To overcome this, some researchers used in vitro ligation, where the full-length viral genome was first divided into several fragments, which were then ligated using DNA ligase. For each subclone, the fragments were digested using restriction enzymes (e.g., BsmBI), reverse self-cleaved to prevent self-ligation, and subcloned. Subsequently, several linearized target fragments from subclones were ligated into a full-length viral cDNA in vitro using DNA ligase and used as a template for in vitro transcription and following viral rescue [45,46,47,48,49]. The method has been used to successfully construct larger SARS-CoV-2 recombinant virus and its reporter virus in a short period [50]. This study also used this approach and successfully constructed the recombinant chimeric dengue virus rDENV4/1. However, the viruses rescued through this approach generally have poor purity and need to be further purified using plaque assay to obtain genetically stable viruses. The approach can be applied to construct other serotypes of dengue chimeric viruses, laying the foundation for developing tetravalent dengue chimeric vaccines.

5. Conclusions

N-glycosylation modifications in the NS1 protein of flaviviruses are essential for their virulence. In this study, we identified mutant viruses with deletions in the N-glycosylation site of the NS1 protein, resulting in attenuated virulence in suckling mice. The finding highlights the importance of N-glycosylation modifications of the non-structural protein region in the virulence of flaviviruses. The attenuated virus could serve as a backbone for the construction of live attenuated dengue chimeric vaccines, providing a theoretical basis for the pathogenic mechanism of the dengue virus and the development of its potential live attenuated vaccines.

Supplementary Materials

The following supporting information can be downloaded at: https://www.mdpi.com/article/10.3390/vaccines11050959/s1, File S1: Western blot; Table S1: Cloning primers and digestion sites for dengue virus NS1 protein with mutations at the N-glycosylation site; Table S2: Sequencing primers for dengue virus NS1 protein with mutations at the N-glycosylation site.

Author Contributions

E.F. and Y.L. conceived and designed the study. E.F., M.L., X.L. (Xiaohui Liu), Z.Z., X.L. (Xingxing Li) and Q.P. performed the experiments. K.H. and L.L. provided technical support. E.F. analyzed the data and wrote the manuscript. All authors have read and agreed to the published version of the manuscript.

Funding

This research received no external funding.

Institutional Review Board Statement

All animal studies were approved by the Experimental Animal Welfare and Ethics Committee of the National Institutes for Food and Drug Control, China (approval code: 2019(A) 062) and were conducted according to the institutional guidelines.

Data Availability Statement

All data are available from the corresponding authors upon request.

Conflicts of Interest

The authors declare that there are no conflict of interest regarding the publication of this article.

References

  1. Whitehead, S.S.; Blaney, J.E.; Durbin, A.P.; Murphy, B.R. Prospects for a dengue virus vaccine. Nat. Rev. Microbiol. 2007, 5, 518–528. [Google Scholar] [CrossRef]
  2. WHO. Dengue and Severe Dengue. Available online: https://www.who.int/news-room/fact-sheets/detail/dengue-and-severe-dengue (accessed on 12 December 2022).
  3. Mustafa, M.S.; Rasotgi, V.; Jain, S.; Gupta, V. Discovery of fifth serotype of dengue virus (DENV-5): A new public health dilemma in dengue control. Med. J. Armed Forces India 2015, 71, 67–70. [Google Scholar] [CrossRef]
  4. Muller, D.A.; Young, P.R. The flavivirus NS1 protein: Molecular and structural biology, immunology, role in pathogenesis and application as a diagnostic biomarker. Antiviral Res. 2013, 98, 192–208. [Google Scholar] [CrossRef] [PubMed]
  5. Akey, D.L.; Brown, W.C.; Dutta, S.; Konwerski, J.; Jose, J.; Jurkiw, T.J.; DelProposto, J.; Ogata, C.M.; Skiniotis, G.; Kuhn, R.J.; et al. Flavivirus NS1 structures reveal surfaces for associations with membranes and the immune system. Science 2014, 343, 881–885. [Google Scholar] [CrossRef] [PubMed]
  6. Libraty, D.H.; Young, P.R.; Pickering, D.; Endy, T.P.; Kalayanarooj, S.; Green, S.; Vaughn, D.W.; Nisalak, A.; Ennis, F.A.; Rothman, A.L. High circulating levels of the dengue virus nonstructural protein NS1 early in dengue illness correlate with the development of dengue hemorrhagic fever. J. Infect. Dis. 2002, 186, 1165–1168. [Google Scholar] [CrossRef] [PubMed]
  7. Beatty, P.R.; Puerta-Guardo, H.; Killingbeck, S.S.; Glasner, D.R.; Hopkins, K.; Harris, E. Dengue virus NS1 triggers endothelial permeability and vascular leak that is prevented by NS1 vaccination. Sci. Transl. Med. 2015, 7, 304ra141. [Google Scholar] [CrossRef]
  8. Guy, B.; Briand, O.; Lang, J.; Saville, M.; Jackson, N. Development of the Sanofi Pasteur tetravalent dengue vaccine: One more step forward. Vaccine 2015, 33, 7100–7111. [Google Scholar] [CrossRef]
  9. Halstead, S.B.; Katzelnick, L.C.; Russell, P.K.; Markoff, L.; Aguiar, M.; Dans, L.R.; Dans, A.L. Ethics of a partially effective dengue vaccine: Lessons from the Philippines. Vaccine 2020, 38, 5572–5576. [Google Scholar] [CrossRef]
  10. Dayan, G.H.; Langevin, E.; Gilbert, P.B.; Wu, Y.; Moodie, Z.; Forrat, R.; Price, B.; Frago, C.; Bouckenooghe, A.; Cortes, M.; et al. Assessment of the long-term efficacy of a dengue vaccine against symptomatic, virologically-confirmed dengue disease by baseline dengue serostatus. Vaccine 2020, 38, 3531–3536. [Google Scholar] [CrossRef]
  11. Kinney, R.M.; Butrapet, S.; Chang, G.J.; Tsuchiya, K.R.; Roehrig, J.T.; Bhamarapravati, N.; Gubler, D.J. Construction of infectious cDNA clones for dengue 2 virus: Strain 16681 and its attenuated vaccine derivative, strain PDK-53. Virology 1997, 230, 300–308. [Google Scholar] [CrossRef]
  12. Osorio, J.E.; Huang, C.Y.; Kinney, R.M.; Stinchcomb, D.T. Development of DENVax: A chimeric dengue-2 PDK-53-based tetravalent vaccine for protection against dengue fever. Vaccine 2011, 29, 7251–7260. [Google Scholar] [CrossRef] [PubMed]
  13. Osorio, J.E.; Partidos, C.D.; Wallace, D.; Stinchcomb, D.T. Development of a recombinant, chimeric tetravalent dengue vaccine candidate. Vaccine 2015, 33, 7112–7120. [Google Scholar] [CrossRef] [PubMed]
  14. Huang, C.Y.; Kinney, R.M.; Livengood, J.A.; Bolling, B.; Arguello, J.J.; Luy, B.E.; Silengo, S.J.; Boroughs, K.L.; Stovall, J.L.; Kalanidhi, A.P.; et al. Genetic and phenotypic characterization of manufacturing seeds for a tetravalent dengue vaccine (DENVax). PLoS Negl. Trop. Dis. 2013, 7, e2243. [Google Scholar] [CrossRef] [PubMed]
  15. Tricou, V.; Sáez-Llorens, X.; Yu, D.; Rivera, L.; Jimeno, J.; Villarreal, A.C.; Dato, E.; Saldaña de Suman, O.; Montenegro, N.; DeAntonio, R.; et al. Safety and immunogenicity of a tetravalent dengue vaccine in children aged 2-17 years: A randomised, placebo-controlled, phase 2 trial. Lancet 2020, 395, 1434–1443. [Google Scholar] [CrossRef]
  16. Men, R.; Bray, M.; Clark, D.; Chanock, R.M.; Lai, C.J. Dengue type 4 virus mutants containing deletions in the 3’ noncoding region of the RNA genome: Analysis of growth restriction in cell culture and altered viremia pattern and immunogenicity in rhesus monkeys. J. Virol. 1996, 70, 3930–3937. [Google Scholar] [CrossRef]
  17. Whitehead, S.S.; Hanley, K.A.; Blaney, J.E., Jr.; Gilmore, L.E.; Elkins, W.R.; Murphy, B.R. Substitution of the structural genes of dengue virus type 4 with those of type 2 results in chimeric vaccine candidates which are attenuated for mosquitoes, mice, and rhesus monkeys. Vaccine 2003, 21, 4307–4316. [Google Scholar] [CrossRef] [PubMed]
  18. Whitehead, S.S.; Falgout, B.; Hanley, K.A.; Blaney, J.E., Jr.; Markoff, L.; Murphy, B.R. A live, attenuated dengue virus type 1 vaccine candidate with a 30-nucleotide deletion in the 3’ untranslated region is highly attenuated and immunogenic in monkeys. J. Virol. 2003, 77, 1653–1657. [Google Scholar] [CrossRef]
  19. Blaney, J.E., Jr.; Hanson, C.T.; Hanley, K.A.; Murphy, B.R.; Whitehead, S.S. Vaccine candidates derived from a novel infectious cDNA clone of an American genotype dengue virus type 2. BMC Infect. Dis. 2004, 4, 39. [Google Scholar] [CrossRef]
  20. Blaney, J.E., Jr.; Hanson, C.T.; Firestone, C.Y.; Hanley, K.A.; Murphy, B.R.; Whitehead, S.S. Genetically modified, live attenuated dengue virus type 3 vaccine candidates. Am. J. Trop. Med. Hyg. 2004, 71, 811–821. [Google Scholar] [CrossRef]
  21. Blaney, J.E., Jr.; Sathe, N.S.; Goddard, L.; Hanson, C.T.; Romero, T.A.; Hanley, K.A.; Murphy, B.R.; Whitehead, S.S. Dengue virus type 3 vaccine candidates generated by introduction of deletions in the 3’ untranslated region (3’-UTR) or by exchange of the DENV-3 3’-UTR with that of DENV-4. Vaccine 2008, 26, 817–828. [Google Scholar] [CrossRef]
  22. Whitehead, S.S. Development of TV003/TV005, a single dose, highly immunogenic live attenuated dengue vaccine; what makes this vaccine different from the Sanofi-Pasteur CYD™ vaccine? Expert Rev. Vaccines 2016, 15, 509–517. [Google Scholar] [CrossRef] [PubMed]
  23. Nivarthi, U.K.; Swanstrom, J.; Delacruz, M.J.; Patel, B.; Durbin, A.P.; Whitehead, S.S.; Kirkpatrick, B.D.; Pierce, K.K.; Diehl, S.A.; Katzelnick, L.; et al. A tetravalent live attenuated dengue virus vaccine stimulates balanced immunity to multiple serotypes in humans. Nat. Commun. 2021, 12, 1102. [Google Scholar] [CrossRef]
  24. Chandler, K.B.; Pompach, P.; Goldman, R.; Edwards, N. Exploring site-specific N-glycosylation microheterogeneity of haptoglobin using glycopeptide CID tandem mass spectra and glycan database search. J. Proteome Res. 2013, 12, 3652–3666. [Google Scholar] [CrossRef]
  25. Yap, S.S.L.; Nguyen-Khuong, T.; Rudd, P.M.; Alonso, S. Dengue Virus Glycosylation: What Do We Know? Front. Microbiol. 2017, 8, 1415. [Google Scholar] [CrossRef] [PubMed]
  26. Bryant, J.E.; Calvert, A.E.; Mesesan, K.; Crabtree, M.B.; Volpe, K.E.; Silengo, S.; Kinney, R.M.; Huang, C.Y.; Miller, B.R.; Roehrig, J.T. Glycosylation of the dengue 2 virus E protein at N67 is critical for virus growth in vitro but not for growth in intrathoracically inoculated Aedes aegypti mosquitoes. Virology 2007, 366, 415–423. [Google Scholar] [CrossRef]
  27. Krumm, S.A.; Doores, K.J. Targeting Glycans on Human Pathogens for Vaccine Design. Curr. Top. Microbiol. Immunol. 2020, 428, 129–163. [Google Scholar] [CrossRef]
  28. Whiteman, M.C.; Wicker, J.A.; Kinney, R.M.; Huang, C.Y.; Solomon, T.; Barrett, A.D. Multiple amino acid changes at the first glycosylation motif in NS1 protein of West Nile virus are necessary for complete attenuation for mouse neuroinvasiveness. Vaccine 2011, 29, 9702–9710. [Google Scholar] [CrossRef] [PubMed]
  29. Fang, E.; Wang, L.; Zhao, D.; Li, M.; Liu, M.; Li, Y. Construction, characterization and stability analysis of infectious clone of live attenuated dengue virus type 4 Ban18HK20 strain. Chin. J. Microbiol. Immunol. 2019, 12, 827–834. [Google Scholar]
  30. Fang, E.; Liu, X.; Li, M.; Liu, J.; Zhang, Z.; Liu, X.; Li, X.; Li, W.; Peng, Q.; Yu, Y.; et al. Construction of a Dengue NanoLuc Reporter Virus for In Vivo Live Imaging in Mice. Viruses 2022, 14, 1253. [Google Scholar] [CrossRef] [PubMed]
  31. Eckels, K.H.; Harrison, V.R.; Summers, P.L.; Russell, P.K. Dengue-2 vaccine: Preparation from a small-plaque virus clone. Infect. Immun. 1980, 27, 175–180. [Google Scholar] [CrossRef] [PubMed]
  32. Li, X.-F.; Deng, Y.-Q.; Yang, H.-Q.; Zhao, H.; Jiang, T.; Yu, X.-D.; Li, S.-H.; Ye, Q.; Zhu, S.-Y.; Wang, H.-J. A chimeric dengue virus vaccine using japanese encephalitis virus vaccine strain sa14-14-2 as backbone is immunogenic and protective against either parental virus in mice and nonhuman primates. J. Virol. 2013, 87, 13694–13705. [Google Scholar] [CrossRef]
  33. Somnuke, P.; Hauhart, R.E.; Atkinson, J.P.; Diamond, M.S.; Avirutnan, P. N-linked glycosylation of dengue virus NS1 protein modulates secretion, cell-surface expression, hexamer stability, and interactions with human complement. Virology 2011, 413, 253–264. [Google Scholar] [CrossRef] [PubMed]
  34. Basset, J.; Burlaud-Gaillard, J.; Feher, M.; Roingeard, P.; Rey, F.A.; Pardigon, N. A Molecular Determinant of West Nile Virus Secretion and Morphology as a Target for Viral Attenuation. J. Virol. 2020, 94, e00086-20. [Google Scholar] [CrossRef] [PubMed]
  35. Tajima, S.; Takasaki, T.; Kurane, I. Characterization of Asn130-to-Ala mutant of dengue type 1 virus NS1 protein. Virus Genes 2008, 36, 323–329. [Google Scholar] [CrossRef]
  36. Wang, C.; Puerta-Guardo, H.; Biering, S.B.; Glasner, D.R.; Tran, E.B.; Patana, M.; Gomberg, T.A.; Malvar, C.; Lo, N.T.N.; Espinosa, D.A.; et al. Endocytosis of flavivirus NS1 is required for NS1-mediated endothelial hyperpermeability and is abolished by a single N-glycosylation site mutation. PLoS Pathog. 2019, 15, e1007938. [Google Scholar] [CrossRef]
  37. Crabtree, M.B.; Kinney, R.M.; Miller, B.R. Deglycosylation of the NS1 protein of dengue 2 virus, strain 16681: Construction and characterization of mutant viruses. Arch. Virol. 2005, 150, 771–786. [Google Scholar] [CrossRef]
  38. Pryor, M.J.; Wright, P.J. Glycosylation mutants of dengue virus NS1 protein. J. Gen. Virol. 1994, 75 Pt 5, 1183–1187. [Google Scholar] [CrossRef]
  39. Muylaert, I.R.; Chambers, T.J.; Galler, R.; Rice, C.M. Mutagenesis of the N-linked glycosylation sites of the yellow fever virus NS1 protein: Effects on virus replication and mouse neurovirulence. Virology 1996, 222, 159–168. [Google Scholar] [CrossRef] [PubMed]
  40. Whiteman, M.C.; Li, L.; Wicker, J.A.; Kinney, R.M.; Huang, C.; Beasley, D.W.; Chung, K.M.; Diamond, M.S.; Solomon, T.; Barrett, A.D. Development and characterization of non-glycosylated E and NS1 mutant viruses as a potential candidate vaccine for West Nile virus. Vaccine 2010, 28, 1075–1083. [Google Scholar] [CrossRef]
  41. Annamalai, A.S.; Pattnaik, A.; Sahoo, B.R.; Guinn, Z.P.; Bullard, B.L.; Weaver, E.A.; Steffen, D.; Natarajan, S.K.; Petro, T.M.; Pattnaik, A.K. An Attenuated Zika Virus Encoding Non-Glycosylated Envelope (E) and Non-Structural Protein 1 (NS1) Confers Complete Protection against Lethal Challenge in a Mouse Model. Vaccines 2019, 7, 112. [Google Scholar] [CrossRef]
  42. Whiteman, M.C.; Popov, V.; Sherman, M.B.; Wen, J.; Barrett, A.D. Attenuated West Nile virus mutant NS1130-132QQA/175A/207A exhibits virus-induced ultrastructural changes and accumulation of protein in the endoplasmic reticulum. J. Virol. 2015, 89, 1474–1478. [Google Scholar] [CrossRef]
  43. Pryor, M.J.; Gualano, R.C.; Lin, B.; Davidson, A.D.; Wright, P.J. Growth restriction of dengue virus type 2 by site-specific mutagenesis of virus-encoded glycoproteins. J. Gen. Virol. 1998, 79 Pt 11, 2631–2639. [Google Scholar] [CrossRef]
  44. Butrapet, S.; Huang, C.Y.; Pierro, D.J.; Bhamarapravati, N.; Gubler, D.J.; Kinney, R.M. Attenuation markers of a candidate dengue type 2 vaccine virus, strain 16681 (PDK-53), are defined by mutations in the 5’ noncoding region and nonstructural proteins 1 and 3. J. Virol. 2000, 74, 3011–3019. [Google Scholar] [CrossRef]
  45. Messer, W.B.; Yount, B.; Hacker, K.E.; Donaldson, E.F.; Huynh, J.P.; de Silva, A.M.; Baric, R.S. Development and characterization of a reverse genetic system for studying dengue virus serotype 3 strain variation and neutralization. PLoS Negl. Trop. Dis. 2012, 6, e1486. [Google Scholar] [CrossRef]
  46. Deng, C.L.; Zhang, Q.Y.; Chen, D.D.; Liu, S.Q.; Qin, C.F.; Zhang, B.; Ye, H.Q. Recovery of the Zika virus through an in vitro ligation approach. J. Gen. Virol. 2017, 98, 1739–1743. [Google Scholar] [CrossRef]
  47. Rice, C.M.; Grakoui, A.; Galler, R.; Chambers, T.J. Transcription of infectious yellow fever RNA from full-length cDNA templates produced by in vitro ligation. New Biol. 1989, 1, 285–296. [Google Scholar] [PubMed]
  48. Sumiyoshi, H.; Hoke, C.H.; Trent, D.W. Infectious Japanese encephalitis virus RNA can be synthesized from in vitro-ligated cDNA templates. J. Virol. 1992, 66, 5425–5431. [Google Scholar] [CrossRef]
  49. Kapoor, M.; Zhang, L.; Mohan, P.M.; Padmanabhan, R. Synthesis and characterization of an infectious dengue virus type-2 RNA genome (New Guinea C strain). Gene 1995, 162, 175–180. [Google Scholar] [CrossRef] [PubMed]
  50. Xie, X.; Muruato, A.; Lokugamage, K.G.; Narayanan, K.; Zhang, X.; Zou, J.; Liu, J.; Schindewolf, C.; Bopp, N.E.; Aguilar, P.V.; et al. An Infectious cDNA Clone of SARS-CoV-2. Cell Host Microbe 2020, 27, 841–848.e3. [Google Scholar] [CrossRef] [PubMed]
Disclaimer/Publisher’s Note: The statements, opinions and data contained in all publications are solely those of the individual author(s) and contributor(s) and not of MDPI and/or the editor(s). MDPI and/or the editor(s) disclaim responsibility for any injury to people or property resulting from any ideas, methods, instructions or products referred to in the content.

Article Metrics

Citations

Article Access Statistics

Multiple requests from the same IP address are counted as one view.