Improved Immunogenicity of the Inactivated F Genotype Mumps Vaccine against Diverse Circulating Mumps Viruses in Mice
Abstract
1. Introduction
2. Materials and Methods
2.1. Cell Culture
2.2. Virus Strains
2.3. Virus Titrations
2.3.1. Plaque Assay
2.3.2. Focus Forming Assay
2.4. Purification and Inactivation of Candidate Vaccines
2.5. Animals and Vaccination Schedule
2.6. Immunoblot Analysis
2.7. Immunologic Assay
2.7.1. Enzyme-Linked Immunosorbent Assay (ELISA)
2.7.2. Focus-Reduction Neutralization Test (FRNT)
2.7.3. T-Cell ELISpot Assays
2.7.4. Cytokine Quantification
2.7.5. Histology and Immunohistochemistry
2.8. Phylogenetic Analysis
2.9. Ethical Statement
2.10. Statistical Analysis
3. Results
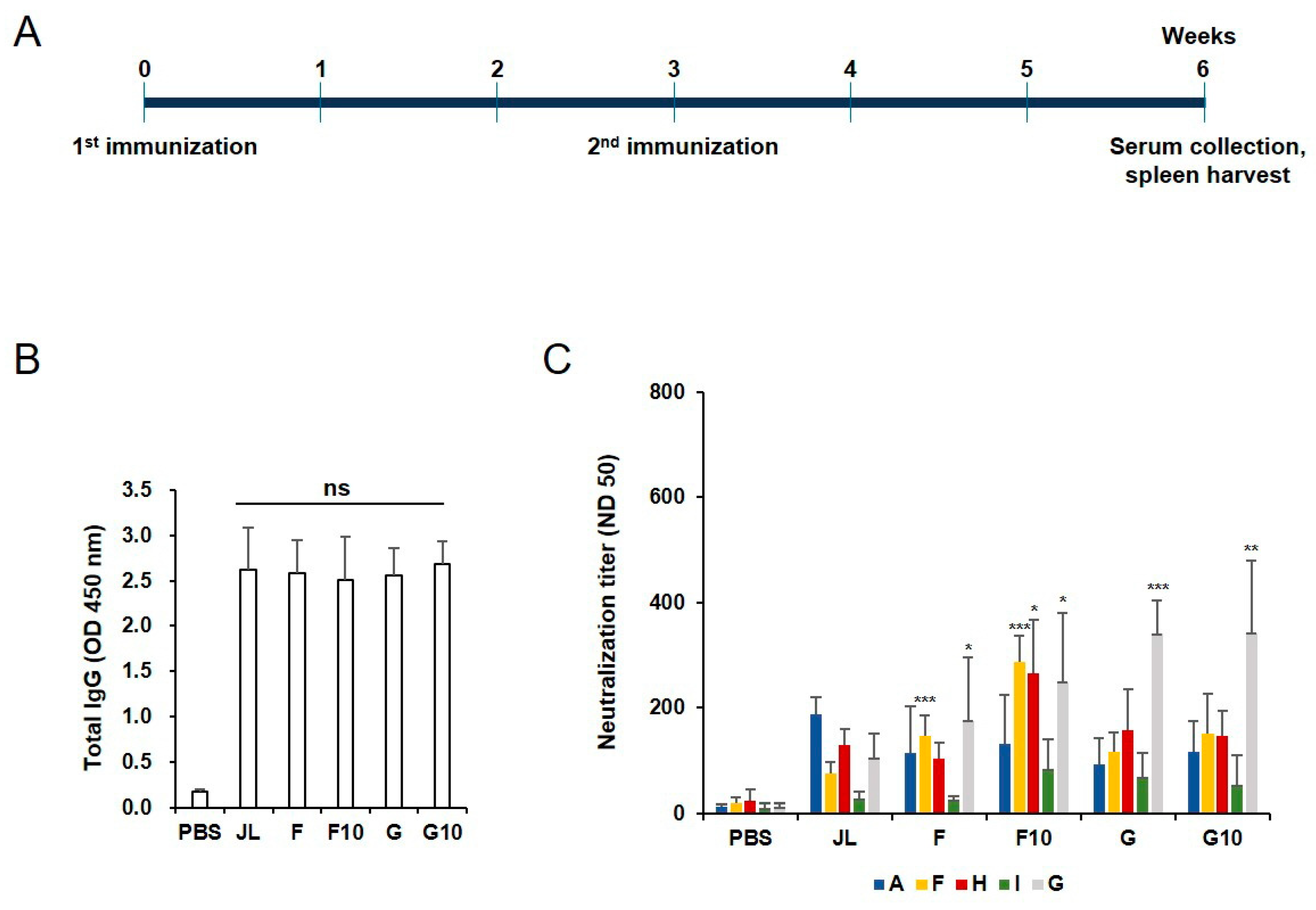
3.1. Preparation of Inactivated Mumps Vaccine and Humoral Immunity of Inactivated Mumps Vaccine Candidates in BALB/c Mice
3.2. Cell-Mediated Immunity of Inactivated Mumps Vaccine Candidates in BALB/c Mice
3.3. Longevity of Humoral Immunity from Inactivated Mumps Vaccine Candidates in BALB/c Mice
3.4. Comparison of Antigenic Sites and Whole-Genome Sequences between Genotypes A and F Mumps Virus
4. Discussion
Supplementary Materials
Author Contributions
Funding
Institutional Review Board Statement
Informed Consent Statement
Data Availability Statement
Conflicts of Interest
References
- Rubin, S.; Eckhaus, M.; Rennick, L.J.; Bamford, C.G.G.; Duprex, W.P. Molecular biology, pathogenesis and pathology of mumps virus. J. Pathol. 2015, 235, 242–252. [Google Scholar] [CrossRef] [PubMed]
- Jin, L.; Örvell, C.; Myers, R.; Rota, P.A.; Nakayama, T.; Forcic, D.; Hiebert, J.; Brown, K.E. Genomic diversity of mumps virus and global distribution of the 12 genotypes. Rev. Med. Virol. 2015, 25, 85–101. [Google Scholar] [CrossRef]
- McLean, H.Q.; Fiebelkorn, A.P.; Temte, J.L.; Wallace, G.S. Prevention of Measles, Rubella, Congenital Rubella Syndrome, and Mumps, 2013 Summary Recommendations of the Advisory Committee on Immunization Practices (ACIP). Morb. Mortal. Wkly. Rep. 2013, 62, 1–34. [Google Scholar]
- Lam, E.; Rosen, J.B.; Zucker, J.R. Mumps: An Update on Outbreaks, Vaccine Efficacy, and Genomic Diversity. Clin. Microbiol. Rev. 2020, 33, e00151-19. [Google Scholar] [CrossRef]
- Nic Lochlainn, L.M.; de Gier, B.; van der Maas, N.; Strebel, P.M.; Goodman, T.; van Binnendijk, R.S.; de Melker, H.E.; Hahné, S.J.M. Immunogenicity, effectiveness, and safety of measles vaccination in infants younger than 9 months: A systematic review and meta-analysis. Lancet Infect. Dis. 2019, 19, 1235–1245. [Google Scholar] [CrossRef] [PubMed]
- Davidkin, I.; Jokinen, S.; Broman, M.; Leinikki, P.; Peltola, H. Persistence of Measles, Mumps, and Rubella Antibodies in an MMR-Vaccinated Cohort: A 20-Year Follow-up. J. Infect. Dis. 2008, 197, 950–956. [Google Scholar] [CrossRef] [PubMed]
- Aasheim, E.T.; Inns, T.; Trindall, A.; Emmett, L.; Brown, K.E.; Williams, C.J.; Reacher, M. Outbreak of mumps in a school setting, United Kingdom, 2013. Hum. Vaccines Immunother. 2014, 10, 2446–2449. [Google Scholar] [CrossRef]
- Shah, M.; Quinlisk, P.; Weigel, A.; Riley, J.; James, L.; Patterson, J.; Hickman, C.; Rota, P.A.; Stewart, R.; Clemmons, N.; et al. Mumps Outbreak in a Highly Vaccinated University-Affiliated Setting Before and After a Measles-Mumps-Rubella Vaccination Campaign—Iowa, July 2015–May 2016. Clin. Infect. Dis. 2017, 66, 81–88. [Google Scholar] [CrossRef]
- Lewnard, J.A.; Grad, Y.H. Vaccine waning and mumps re-emergence in the United States. Sci. Transl. Med. 2018, 10, eaao5945. [Google Scholar] [CrossRef]
- Ramanathan, R.; Voigt, E.A.; Kennedy, R.B.; Poland, G.A. Knowledge gaps persist and hinder progress in eliminating mumps. Vaccine 2018, 36, 3721–3726. [Google Scholar] [CrossRef]
- Vygen, S.; Fischer, A.; Meurice, L.; Njoya, I.M.; Gregoris, M.; Ndiaye, B.; Ghenassia, A.; Poujol, I.; Stahl, J.P.; Antona, D.; et al. Waning immunity against mumps in vaccinated young adults, France 2013. Eurosurveillance 2016, 21, 30156. [Google Scholar] [CrossRef] [PubMed]
- Rubin, S.A.; Link, M.A.; Sauder, C.J.; Zhang, C.; Ngo, L.; Rima, B.K.; Duprex, W.P. Recent Mumps Outbreaks in Vaccinated Populations: No Evidence of Immune Escape. J. Virol. 2012, 86, 615–620. [Google Scholar] [CrossRef] [PubMed]
- Gouma, S.; Vermeire, T.; Van Gucht, S.; Martens, L.; Hutse, V.; Cremer, J.; Rota, P.A.; Leroux-Roels, G.; Koopmans, M.; van Binnendijk, R.; et al. Differences in antigenic sites and other functional regions between genotype A and G mumps virus surface proteins. Sci. Rep. 2018, 8, 13337. [Google Scholar] [CrossRef] [PubMed]
- Šantak, M.; Örvell, C.; Gulija, T.K. Identification of conformational neutralization sites on the fusion protein of mumps virus. J. Gen. Virol. 2015, 96, 982–990. [Google Scholar] [CrossRef] [PubMed]
- May, M.; Rieder, C.A.; Rowe, R.J. Emergent lineages of mumps virus suggest the need for a polyvalent vaccine. Int. J. Infect. Dis. 2018, 66, 1–4. [Google Scholar] [CrossRef]
- Vermeire, T.; Barbezange, C.; Francart, A.; Hamouda, A.; Litzroth, A.; Hutse, V.; Martens, L.; Vandermarliere, E.; Van Gucht, S. Sera from different age cohorts in Belgium show limited cross-neutralization between the mumps vaccine and outbreak strains. Clin. Microbiol. Infect. 2019, 25, 907.e901–907.e906. [Google Scholar] [CrossRef]
- Šantak, M.; Lang-Balija, M.; Ivancic-Jelecki, J.; Košutić-Gulija, T.; Ljubin-Sternak, S.; Forcic, D. Antigenic differences between vaccine and circulating wild-type mumps viruses decreases neutralization capacity of vaccine-induced antibodies. Epidemiol. Infect. 2012, 141, 1298–1309. [Google Scholar] [CrossRef]
- Won, H.; Kim, A.R.; Yoo, J.S.; Chung, G.T.; Kang, H.J.; Kim, S.J.; Kim, S.S.; Lee, J. Cross-neutralization between vaccine and circulating wild-type mumps viruses in Korea. Vaccine 2021, 39, 1870–1876. [Google Scholar] [CrossRef]
- Wohl, S.; Metsky, H.C.; Schaffner, S.F.; Piantadosi, A.; Burns, M.; Lewnard, J.A.; Chak, B.; Krasilnikova, L.A.; Siddle, K.J.; Matranga, C.B.; et al. Combining genomics and epidemiology to track mumps virus transmission in the United States. PLoS Biol. 2020, 18, e3000611. [Google Scholar] [CrossRef]
- Cusi, M.G.; Zurbriggen, R.; Valassina, M.; Bianchi, S.; Durrer, P.; Valensin, P.E.; Donati, M.; Glück, R. Intranasal Immunization with Mumps Virus DNA Vaccine Delivered by Influenza Virosomes Elicits Mucosal and Systemic Immunity. Virology 2000, 277, 111–118. [Google Scholar] [CrossRef]
- Zhou, D.; Zhu, M.-Y.; Wang, Y.-L.; Hao, X.-Q.; Zhou, D.-M.; Liu, R.-X.; Zhang, C.-D.; Qu, C.-F.; Zhao, Z.-Y. Establishment of an efficient reverse genetic system of Mumps virus S79 from cloned DNA. World J. Pediatr. 2019, 15, 499–505. [Google Scholar] [CrossRef] [PubMed]
- Liang, Y.; Ma, J.; Li, C.; Chen, Y.; Liu, L.; Liao, Y.; Zhang, Y.; Jiang, L.; Wang, X.-Y.; Che, Y.; et al. Safety and immunogenicity of a live attenuated mumps vaccine. Hum. Vaccines Immunother. 2014, 10, 1382–1390. [Google Scholar] [CrossRef] [PubMed]
- Liang, Y.; Che, Y.; Yang, B.; Zhan, F.; Li, H.; Guan, X.; Zhang, Y.; Yin, Q.; Li, C.; Li, J.; et al. Immunogenicity and Safety of an F-Genotype Attenuated Mumps Vaccine in Healthy 8- to 24-Month-Old Children. J. Infect. Dis. 2018, 219, 50–58. [Google Scholar] [CrossRef] [PubMed]
- Belete, T.M. Review on up-to-date status of candidate vaccines for COVID-19 disease. Infect. Drug Resist. 2021, 14, 151–161. [Google Scholar] [CrossRef]
- Martín, J.; Crossland, G.; Wood, D.J.; Minor, P.D. Characterization of formaldehyde-inactivated poliovirus preparations made from live-attenuated strains. J. Gen. Virol. 2003, 84, 1781–1788. [Google Scholar] [CrossRef]
- Hankaniemi, M.M.; Stone, V.M.; Sioofy-Khojine, A.-B.; Heinimäki, S.; Marjomäki, V.; Hyöty, H.; Blazevic, V.; Laitinen, O.H.; Flodström-Tullberg, M.; Hytönen, V.P. A comparative study of the effect of UV and formalin inactivation on the stability and immunogenicity of a Coxsackievirus B1 vaccine. Vaccine 2019, 37, 5962–5971. [Google Scholar] [CrossRef]
- Zhu, F.; Xu, W.; Xia, J.; Liang, Z.; Liu, Y.; Zhang, X.; Tan, X.; Wang, L.; Mao, Q.; Wu, J.; et al. Efficacy, Safety, and Immunogenicity of an Enterovirus 71 Vaccine in China. N. Engl. J. Med. 2014, 370, 818–828. [Google Scholar] [CrossRef]
- Bell, J.A.; Sundberg, J.P.; Ghim, S.J.; Newsome, J.; Jenson, A.B.; Schlegel, R. A Formalin-Inactivated Vaccine Protects against Mucosal Papillomavirus Infection: A Canine Model. Pathobiology 1994, 62, 194–198. [Google Scholar] [CrossRef]
- Delrue, I.; Verzele, D.; Madder, A.; Nauwynck, H.J. Inactivated virus vaccines from chemistry to prophylaxis: Merits, risks and challenges. Expert Rev. Vaccines 2012, 11, 695–719. [Google Scholar] [CrossRef]
- Hanna-Wakim, R.; Yasukawa, L.L.; Sung, P.; Arvin, A.M.; Gans, H.A. Immune Responses to Mumps Vaccine in Adults Who Were Vaccinated in Childhood. J. Infect. Dis. 2008, 197, 1669–1675. [Google Scholar] [CrossRef]
- Jokinen, S.; Österlund, P.; Julkunen, I.; Davidkin, I. Cellular Immunity to Mumps Virus in Young Adults 21 Years after Measles-Mumps-Rubella Vaccination. J. Infect. Dis. 2007, 196, 861–867. [Google Scholar] [CrossRef] [PubMed]
- Malaiyan, J.; Ramanan, P.V.; Subramaniam, D.; Menon, T. Analysis of Serum Th1/Th2 Cytokine Levels in Patients with Acute Mumps Infection. J. Glob. Infect. Dis. 2016, 8, 87–92. [Google Scholar] [CrossRef] [PubMed]
- de Wit, J.; Emmelot, M.E.; Poelen, M.C.M.; van Binnendijk, R.S.; van der Lee, S.; van Baarle, D.; Han, W.G.H.; van Els, C.A.C.M.; Kaaijk, P. Mumps infection but not childhood vaccination induces persistent polyfunctional CD8+ T-cell memory. J. Allergy Clin. Immunol. 2018, 141, 1908–1911.e1912. [Google Scholar] [CrossRef] [PubMed]
- Sanders, B.; Koldijk, M.; Schuitemaker, H. Inactivated Viral Vaccines. In Vaccine Analysis: Strategies, Principles, and Control; Nunnally, B.K., Turula, V.E., Sitrin, R.D., Eds.; Springer: Berlin/Heidelberg, Germany, 2015; pp. 45–80. [Google Scholar]
- Liang, Y.; Ma, S.; Yang, Z.; Liu, L.; Wang, L.; Wang, J.; Jiang, L.; Shi, C.; Dong, C.; Li, Q. Immunogenicity and safety of a novel formalin-inactivated and alum-adjuvanted candidate subunit vaccine for mumps. Vaccine 2008, 26, 4276–4283. [Google Scholar] [CrossRef] [PubMed]
- Young, K.R.; Nzula, S.; Burt, D.S.; Ward, B.J. Immunologic characterization of a novel inactivated nasal mumps virus vaccine adjuvanted with Protollin. Vaccine 2014, 32, 238–245. [Google Scholar] [CrossRef]
- Pickar, A.; Xu, P.; Elson, A.; Zengel, J.; Sauder, C.; Rubin, S.; He, B. Establishing a small animal model for evaluating protective immunity against mumps virus. PLoS ONE 2017, 12, e0174444. [Google Scholar] [CrossRef] [PubMed]




Disclaimer/Publisher’s Note: The statements, opinions and data contained in all publications are solely those of the individual author(s) and contributor(s) and not of MDPI and/or the editor(s). MDPI and/or the editor(s) disclaim responsibility for any injury to people or property resulting from any ideas, methods, instructions or products referred to in the content. |
© 2023 by the authors. Licensee MDPI, Basel, Switzerland. This article is an open access article distributed under the terms and conditions of the Creative Commons Attribution (CC BY) license (https://creativecommons.org/licenses/by/4.0/).
Share and Cite
Won, H.; Kim, A.-R.; Chung, G.T.; Kim, S.H.; Yoo, J.-S.; Lee, J.-W. Improved Immunogenicity of the Inactivated F Genotype Mumps Vaccine against Diverse Circulating Mumps Viruses in Mice. Vaccines 2023, 11, 106. https://doi.org/10.3390/vaccines11010106
Won H, Kim A-R, Chung GT, Kim SH, Yoo J-S, Lee J-W. Improved Immunogenicity of the Inactivated F Genotype Mumps Vaccine against Diverse Circulating Mumps Viruses in Mice. Vaccines. 2023; 11(1):106. https://doi.org/10.3390/vaccines11010106
Chicago/Turabian StyleWon, Hyeran, Ah-Ra Kim, Gyung Tae Chung, Su Hwan Kim, Jung-Sik Yoo, and June-Woo Lee. 2023. "Improved Immunogenicity of the Inactivated F Genotype Mumps Vaccine against Diverse Circulating Mumps Viruses in Mice" Vaccines 11, no. 1: 106. https://doi.org/10.3390/vaccines11010106
APA StyleWon, H., Kim, A.-R., Chung, G. T., Kim, S. H., Yoo, J.-S., & Lee, J.-W. (2023). Improved Immunogenicity of the Inactivated F Genotype Mumps Vaccine against Diverse Circulating Mumps Viruses in Mice. Vaccines, 11(1), 106. https://doi.org/10.3390/vaccines11010106

