Establishment of Recombinant Eimeria acervulina Expressing Multi-Copies M2e Derived from Avian Influenza Virus H9N2
Abstract
:1. Introduction
2. Materials and Methods
2.1. Animals and Parasites
2.2. Plasmid Construction and In Vivo Transfection of E. Acervulina
2.3. Genome Walking
2.4. IFA
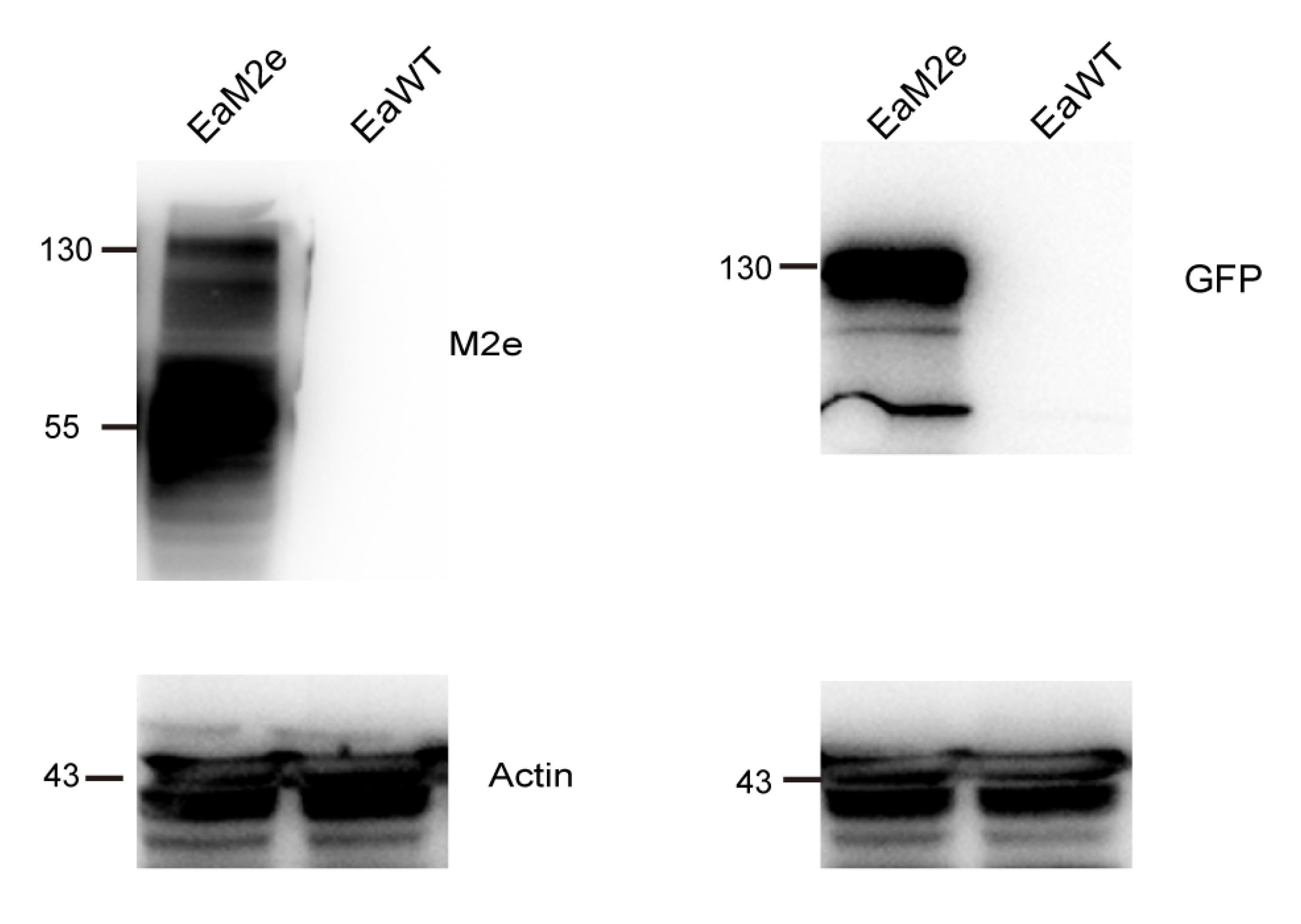
2.5. Western Blot
2.6. Immunohistochemistry Assay
2.7. Measurement of the Fecundity of Transgenic Parasite EaM2e
2.8. Test of Antibody Titer Elicited in Chickens Immunized by Transgenic EaM2e-Expressed M2e Peptides
2.9. Statistical Analysis
3. Results
3.1. Establishment and Validation of a Stably Transfected Line of E. acervulina
3.2. Detection of M2e Expression during the Endogenous Development Stage of EaM2e
3.3. Reproduction of EaM2e
3.4. EaM2e Induced Equivalent IgY Antibody Compared with EaWT
4. Discussion
5. Conclusions
Author Contributions
Funding
Institutional Review Board Statement
Informed Consent Statement
Data Availability Statement
Acknowledgments
Conflicts of Interest
References
- Blake, D.P.; Knox, J.; Dehaeck, B.; Huntington, B.; Rathinam, T.; Ravipati, V.; Ayoade, S.; Gilbert, W.; Adebambo, A.O.; Jatau, I.D.; et al. Re-calculating the cost of coccidiosis in chickens. Vet. Res. 2020, 51, 115. [Google Scholar] [CrossRef] [PubMed]
- Williams, R.B. Fifty years of anticoccidial vaccines for poultry (1952–2002). Avian Dis. 2002, 46, 775–802. [Google Scholar] [CrossRef]
- Chapman, H.D.; Jeffers, T.K. Vaccination of chickens against coccidiosis ameliorates drug resistance in commercial poultry production. Int. J. Parasitol. Drugs Drug Resist. 2014, 4, 214–217. [Google Scholar] [CrossRef] [PubMed] [Green Version]
- de Waal, D.T.; Combrink, M.P. Live vaccines against bovine babesiosis. Vet. Parasitol. 2006, 138, 88–96. [Google Scholar] [CrossRef]
- Chumakov, K.; Benn, C.S.; Aaby, P.; Kottilil, S.; Gallo, R. Can existing live vaccines prevent COVID-19? Science 2020, 368, 1187–1188. [Google Scholar] [CrossRef]
- Kelleher, M.; Tomley, F.M. Transient expression of beta-galactosidase in differentiating sporozoites of Eimeria Tenella. Mol. Biochem. Parasitol. 1998, 97, 21–31. [Google Scholar] [CrossRef]
- Yan, W.; Liu, X.; Shi, T.; Hao, L.; Tomley, F.M.; Suo, X. Stable transfection of Eimeria tenella: Constitutive expression of the YFP-YFP molecule throughout the life cycle. Int. J. Parasitol. 2009, 39, 109–117. [Google Scholar] [CrossRef]
- Clark, J.D.; Billington, K.; Bumstead, J.M.; Oakes, R.D.; Soon, P.E.; Sopp, P.; Tomley, F.M.; Blake, D.P. A toolbox facilitating stable transfection of Eimeria species. Mol. Biochem. Parasitol. 2008, 162, 77–86. [Google Scholar] [CrossRef] [PubMed]
- Qin, M.; Liu, X.Y.; Tang, X.M.; Suo, J.X.; Tao, G.R.; Suo, X. Transfection of Eimeria mitis with yellow fluorescent protein as reporter and the endogenous development of the transgenic parasite. PLoS ONE 2014, 9, e114188. [Google Scholar] [CrossRef]
- Li, Z.; Tang, X.; Suo, J.; Qin, M.; Yin, G.; Liu, X.; Suo, X. Transgenic Eimeria mitis expressing chicken interleukin 2 stimulated higher cellular immune response in chickens compared with the wild-type parasites. Front. Microbiol. 2015, 6, 533. [Google Scholar] [CrossRef] [PubMed]
- Duan, C.; Hu, D.; Tang, X.; Suo, J.; Wang, S.; Zhang, S.; Tao, G.; Li, C.; Wang, C.; Gu, X.; et al. Stable transfection of Eimeria necatrix through nucleofection of second generation merozoites. Mol. Biochem. Parasitol. 2019, 228, 1–5. [Google Scholar] [CrossRef]
- Clark, J.D.; Oakes, R.D.; Redhead, K.; Crouch, C.F.; Francis, M.J.; Tomley, F.M.; Blake, D.P. Eimeria species parasites as novel vaccine delivery vectors: Anti-Campylobacter jejuni protective immunity induced by Eimeria tenella-delivered CjaA. Vaccine 2012, 30, 2683–2688. [Google Scholar] [CrossRef]
- Pastor-Fernández, I.; Kim, S.; Marugán-Hernández, V.; Soutter, F.; Tomley, F.M.; Blake, D.P. Vaccination with transgenic Eimeria tenella expressing Eimeria maxima AMA1 and IMP1 confers partial protection against high-level E. maxima challenge in a broiler model of coccidiosis. Parasites Vectors 2020, 13, 343. [Google Scholar] [CrossRef]
- Tang, X.; Liu, X.; Yin, G.; Suo, J.; Tao, G.; Zhang, S.; Suo, X. A Novel Vaccine Delivery Model of the apicomplexan Eimeria tenella expressing Eimeria maxima antigen protects chickens against infection of the two parasites. Front. Immunol. 2017, 8, 1982. [Google Scholar] [CrossRef] [PubMed] [Green Version]
- Tang, X.; Yin, G.; Qin, M.; Tao, G.; Suo, J.; Liu, X.; Suo, X. Transgenic Eimeria tenella as a vaccine vehicle: Expressing TgSAG1 elicits protective immunity against Toxoplasma gondii infections in chickens and mice. Sci. Rep. 2016, 6, 29379. [Google Scholar] [CrossRef] [PubMed] [Green Version]
- Long, P.L.; Millard, B.J.; Joyner, L.P.; Norton, C.C. A guide to laboratory techniques used in the study and diagnosis of avian coccidiosis. Folia Vet. Lat. 1976, 6, 201–217. [Google Scholar] [PubMed]
- Tang, X.; Liu, X.; Tao, G.; Qin, M.; Yin, G.; Suo, J.; Suo, X. “Self-cleaving” 2A peptide from porcine teschovirus-1 mediates cleavage of dual fluorescent proteins in transgenic Eimeria tenella. Vet. Res. 2016, 47, 68. [Google Scholar] [CrossRef] [Green Version]
- Kim, J.H.; Lee, S.R.; Li, L.H.; Park, H.J.; Park, J.H.; Lee, K.Y.; Kim, M.K.; Shin, B.A.; Choi, S.Y. High cleavage efficiency of a 2A peptide derived from porcine teschovirus-1 in human cell lines, zebrafish and mice. PLoS ONE 2011, 6, e18556. [Google Scholar] [CrossRef] [Green Version]
- Liu, X.; Shi, T.; Ren, H.; Su, H.; Yan, W.; Suo, X. Restriction enzyme-mediated transfection improved transfection efficiency in vitro in Apicomplexan parasite Eimeria tenella. Mol. Biochem. Parasitol. 2008, 161, 72–75. [Google Scholar] [CrossRef]
- Schmatz, D.M.; Crane, M.S.; Murray, P.K. Purification of Eimeria sporozoites by DE-52 anion exchange chromatography. J. Protozool. 1984, 31, 181–183. [Google Scholar] [CrossRef]
- Zhang, Z.; Huang, J.; Li, M.; Sui, Y.; Wang, S.; Liu, L.; Xu, L.; Yan, R.; Song, X.; Li, X. Identification and molecular characterization of microneme 5 of Eimeria acervulina. PLoS One 2014, 9, e115411. [Google Scholar] [CrossRef] [PubMed] [Green Version]
- Kim, K.; Weiss, L.M. Toxoplasma gondii: The model apicomplexan. Int. J. Parasitol. 2004, 34, 423–432. [Google Scholar] [CrossRef] [PubMed] [Green Version]
- Martin, A.; Awadalla, S.; Lillehoj, H.S. Characterization of cell-mediated responses to Eimeria acervulina antigens. Avian Dis. 1995, 39, 538–547. [Google Scholar] [CrossRef]
- Fetterer, R.H.; Barfield, R.C. Characterization of a developmentally regulated oocyst protein from Eimeria tenella. J. Parasitol. 2003, 89, 553–564. [Google Scholar] [CrossRef] [PubMed]
- Tian, Y.; Xu, J.; Li, Y.; Zhao, R.; Du, S.; Lv, C.; Wu, W.; Liu, R.; Sheng, X.; Song, Y.; et al. MicroRNA-31 reduces inflammatory signaling and promotes regeneration in colon epithelium, and delivery of mimics in microspheres reduces colitis in mice. Gastroenterology 2019, 156, 2281–2296.e2286. [Google Scholar] [CrossRef] [PubMed]
- Norton, A.J.; Jordan, S.; Yeomans, P. Brief, high-temperature heat denaturation (pressure cooking): A simple and effective method of antigen retrieval for routinely processed tissues. J. Pathol. 1994, 173, 371–379. [Google Scholar] [CrossRef]
- Tang, X.; Liu, X.; Suo, X. Towards Innovative design and application of recombinant Eimeria as a vaccine vector. Infect Immun. 2020, 88, e00861-19. [Google Scholar] [CrossRef]
- Shi, T.; Tao, G.; Bao, G.; Suo, J.; Hao, L.; Fu, Y.; Suo, X. Stable transfection of Eimeria intestinalis and investigation of its life cycle, reproduction and immunogenicity. Front. Microbiol. 2016, 7, 807. [Google Scholar] [CrossRef] [Green Version]
- Tao, G.; Shi, T.; Tang, X.; Duszynski, D.W.; Wang, Y.; Li, C.; Suo, J.; Tian, X.; Liu, X.; Suo, X. Transgenic Eimeria magna Pérard, 1925 displays similar parasitological properties to the wild-type strain and induces an exogenous protein-specific immune response in rabbits (Oryctolagus cuniculus L.). Front. Immunol. 2017, 8, 2. [Google Scholar] [CrossRef] [Green Version]
- Sateriale, A.; Pawlowic, M.; Vinayak, S.; Brooks, C.; Striepen, B. Genetic manipulation of Cryptosporidium parvum with CRISPR/Cas9. Methods Mol. Biol. 2020, 2052, 219–228. [Google Scholar] [CrossRef]
- Rose, M.E.; Hesketh, P. Eimeria tenella: Localization of the sporozoites in the caecum of the domestic fowl. Parasitology 1991, 102, 317–324. [Google Scholar] [CrossRef] [PubMed]
- Liu, X.; Zou, J.; Yin, G.; Su, H.; Huang, X.; Li, J.; Xie, L.; Cao, Y.; Cui, Y.; Suo, X. Development of transgenic lines of Eimeria tenella expressing M2e-enhanced yellow fluorescent protein (M2e-EYFP). Vet. Parasitol. 2013, 193, 1–7. [Google Scholar] [CrossRef] [PubMed]
- Ma, J.H.; Yang, F.R.; Yu, H.; Zhou, Y.J.; Li, G.X.; Huang, M.; Wen, F.; Tong, G. An M2e-based synthetic peptide vaccine for influenza A virus confers heterosubtypic protection from lethal virus challenge. Virol. J. 2013, 10, 227. [Google Scholar] [CrossRef] [PubMed] [Green Version]
- Garg, N.; Nunes, M.P.; Tarleton, R.L. Delivery by Trypanosoma cruzi of proteins into the MHC class I antigen processing and presentation pathway. J. Immunol. 1997, 158, 3293–3302. [Google Scholar] [PubMed]
- Gregg, B.; Dzierszinski, F.; Tait, E.; Jordan, K.A.; Hunter, C.A.; Roos, D.S. Subcellular antigen location influences T-cell activation during acute infection with Toxoplasma gondii. PLoS ONE 2011, 6, e22936. [Google Scholar] [CrossRef] [PubMed] [Green Version]
- Tang, X.; Suo, J.; Liang, L.; Duan, C.; Hu, D.; Gu, X.; Yu, Y.; Liu, X.; Cui, S.; Suo, X. Genetic modification of the protozoan Eimeria tenella using the CRISPR/Cas9 system. Vet. Res. 2020, 51, 41. [Google Scholar] [CrossRef] [Green Version]
- Hu, D.; Tang, X.; Ben Mamoun, C.; Wang, C.; Wang, S.; Gu, X.; Duan, C.; Zhang, S.; Suo, J.; Deng, M.; et al. Efficient single-gene and gene family editing in the apicomplexan parasite Eimeria tenella using CRISPR-Cas9. Front. Bioeng. Biotechnol. 2020, 8, 128. [Google Scholar] [CrossRef]





| Generation | Percentage of Fluorescent Oocysts (%) | Selection Strategy |
|---|---|---|
| 1st * | ~0.1 | -- |
| 2nd | 2.63 | Drug + FACS |
| 3rd | 15.28 | Drug + FACS |
| 4th | 31.2 | Drug + FACS |
| 5th | 32.3 | Drug + FACS |
| 6th | 35.2 | Drug + FACS |
| 7th | 65.4 | Drug + FACS |
| 8th | 92.4 | Drug + FACS |
| 9th | >95 | Drug + FACS |
| 10–12th | >95 | -- |
Publisher’s Note: MDPI stays neutral with regard to jurisdictional claims in published maps and institutional affiliations. |
© 2021 by the authors. Licensee MDPI, Basel, Switzerland. This article is an open access article distributed under the terms and conditions of the Creative Commons Attribution (CC BY) license (https://creativecommons.org/licenses/by/4.0/).
Share and Cite
Zhang, S.; Tang, X.; Wang, S.; Shi, F.; Duan, C.; Bi, F.; Suo, J.; Hu, D.; Liu, J.; Wang, C.; et al. Establishment of Recombinant Eimeria acervulina Expressing Multi-Copies M2e Derived from Avian Influenza Virus H9N2. Vaccines 2021, 9, 791. https://doi.org/10.3390/vaccines9070791
Zhang S, Tang X, Wang S, Shi F, Duan C, Bi F, Suo J, Hu D, Liu J, Wang C, et al. Establishment of Recombinant Eimeria acervulina Expressing Multi-Copies M2e Derived from Avian Influenza Virus H9N2. Vaccines. 2021; 9(7):791. https://doi.org/10.3390/vaccines9070791
Chicago/Turabian StyleZhang, Sixin, Xinming Tang, Si Wang, Fangyun Shi, Chunhui Duan, Feifei Bi, Jingxia Suo, Dandan Hu, Jie Liu, Chaoyue Wang, and et al. 2021. "Establishment of Recombinant Eimeria acervulina Expressing Multi-Copies M2e Derived from Avian Influenza Virus H9N2" Vaccines 9, no. 7: 791. https://doi.org/10.3390/vaccines9070791
APA StyleZhang, S., Tang, X., Wang, S., Shi, F., Duan, C., Bi, F., Suo, J., Hu, D., Liu, J., Wang, C., Suo, X., & Liu, X. (2021). Establishment of Recombinant Eimeria acervulina Expressing Multi-Copies M2e Derived from Avian Influenza Virus H9N2. Vaccines, 9(7), 791. https://doi.org/10.3390/vaccines9070791

