Development of a Double-Antibody Sandwich ELISA for Rapid Detection of the MCP Antigen Concentration in Inactivated ISKNV Vaccines
Abstract
:1. Introduction
2. Materials and Methods
2.1. Cells, Animals and Reagents
2.2. Virus Proliferation and Purification
2.2.1. Virus Production
2.2.2. Sucrose Density Gradient Centrifugation
2.3. Preparation and Identification of Monoclonal Antibody (mAbs) against ISKNV
2.3.1. Animal Immunization
2.3.2. Cell Fusion
2.3.3. Hybridoma Screening
2.3.4. Characterization of the mAbs
2.4. Expression of MCP
2.5. Indirect Immunofluorescence Assay (IFA)
2.6. Establishment of a Double-Antibody Sandwich ELISA
2.7. Validation of the Double-Antibody Sandwich ELISA
3. Results
3.1. Virus Purification
3.2. Preparation of mAbs against ISKNV
3.2.1. Generation of Hybridoma Cells
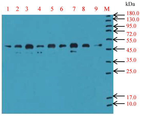
3.2.2. Purification and SDS-PAGE of the mAbs
3.2.3. Characterization of the mAbs
3.3. Expression and Purification of MCP
3.4. Indirect Immunofluorescence Assay (IFA)
3.5. Establishment of a Double-Antibody Sandwich ELISA
3.6. Validation of the Double-Antibody Sandwich ELISA in Inactivated ISKNV Vaccine
4. Discussion
5. Conclusions
Supplementary Materials
Author Contributions
Funding
Institutional Review Board Statement
Informed Consent Statement
Data Availability Statement
Conflicts of Interest
References
- He, J.G.; Zeng, K. Experimental transmission, pathogenicity andphysical–chemical properties of infectious spleenand kidney necrosis virus (ISKNV). Aquaculture 2002, 204, 11–24. [Google Scholar] [CrossRef]
- Li, N.; Fu, X.; Guo, H.; Lin, Q.; Liu, L.; Zhang, D.; Fang, X.; Wu, S. Protein encoded by ORF093 is an effective vaccine candidate for infectious spleen and kidney necrosis virus in Chinese perch Siniperca chuatsi. Fish Shellfish Immunol. 2015, 42, 88–90. [Google Scholar] [CrossRef] [PubMed]
- Fu, Y.T.; Li, Y.; Fu, W.X.; Su, H.B.; Zhang, L.; Huang, C.L.; Weng, S.P.; Yu, F.Z.; He, J.G.; Dong, C.F. Scale Drop Disease Virus Associated Yellowfin Seabream (Acanthopagrus latus) Ascites Diseases, Zhuhai, Guangdong, Southern China: The First Description. Viruses 2021, 13, 1617. [Google Scholar] [CrossRef] [PubMed]
- Jia, K.J.; Wu, Y.Y.; Liu, Z.Y.; Mi, S.; Zheng, Y.W.; He, J.; Weng, S.P.; Li, C.; He, J.G.; Guo, C.J. Mandarin Fish Caveolin 1 Interaction with Major Capsid Protein of Infectious Spleen and Kidney Necrosis Virus and Its Role in Early Stages of Infection. J. Virol. 2013, 87, 3027–3038. [Google Scholar] [CrossRef] [PubMed] [Green Version]
- Hnasko, L.H. ELISA; Humana Press: New York, NY, USA, 2015. [Google Scholar]
- Fu, X.; Li, N.; Lai, Y.; Luo, X.; Wang, Y.; Shi, C.; Huang, Z.; Wu, S.; Su, J. A novel fish cell line derived from the brain of Chinese perch Siniperca chuatsi: Development and characterization. J. Fish Biol. 2015, 86, 3–45. [Google Scholar] [CrossRef] [PubMed]
- Lin, Q.; Fu, X.; Li, N.; Wan, Q.; Chen, W.; Huang, Y.; Huang, Z.; Li, J.; Zhao, L.; Lin, L. Co-infections of infectious spleen and kidney necrosis virus and Sinipercachuatsi rhabdovirus in Chinese perch (Siniperca chuatsi). Microb. Pathog. 2017, 111, 422–430. [Google Scholar] [CrossRef] [PubMed]
- Fu, X.; Li, N.; Lin, Q.; Guo, H.; Liu, L.; Huang, Z.; Wu, S. Early protein ORF086 is an effective vaccine candidate for infectious spleen and kidney necrosis virus in mandarin fish Siniperca chuatsi. Fish Shellfish Immunol. 2015, 46, 200–205. [Google Scholar] [CrossRef] [PubMed]
- Zhu, L.; He, J.; Cao, X.; Huang, K.; Luo, Y.; Xu, W. Development of a double-antibody sandwich ELISA for rapid detection of Bacillus Cereus in food. Sci. Rep. 2016, 6, 16092. [Google Scholar] [CrossRef] [PubMed] [Green Version]
- Ding, X.X.; Li, X.F.; Deng, Y.Q.; Guo, Y.H.; Hao, W.; Che, X.Y.; Qin, C.F.; Fu, N. Development of a double antibody sandwich ELISA for West Nile virus detection using monoclonal antibodies against non-structural protein 1. PLoS ONE 2014, 9, e108623. [Google Scholar] [CrossRef] [PubMed]
- Chen, S.L.; Li, Y.L.; Tang, Y.; Chen, Z.C.; Zhou, J.; Zhou, J.; Lu, X.; Zhao, N.; Chen, Z.L.; Zuo, D. Development and evaluation of a double antibody sandwich ELISA for the detection of human sDC-SIGN. J. Immunol. Methods 2016, 436, 16–21. [Google Scholar] [CrossRef] [PubMed]
- Krebs, T.; Kilic, I.; Mutze, K.; Kleinhans, S.; Lucking, D.; Hennies, M.; Tetens, J. Establishment of a Sandwich-ELISA for simultaneous quantification of bovine pregnancy-associated glycoprotein in serum and milk. PLoS ONE 2021, 16, e0251414. [Google Scholar] [CrossRef] [PubMed]
- Bayry, J.; Feng, X.; Ma, J.-W.; Sun, S.-Q.; Guo, H.-C.; Yang, Y.-M.; Jin, Y.; Zhou, G.-Q.; He, J.-J.; Guo, J.-H. Quantitative Detection of the Foot-And-Mouth Disease Virus Serotype O 146S Antigen for Vaccine Production Using a Double-Antibody Sandwich ELISA and Nonlinear Standard Curves. PLoS ONE 2016, 11, e0149569. [Google Scholar]
- Sas, M.A.; Comtet, L.; Donnet, F.; Mertens, M.; Vatansever, Z.; Tordo, N.; Pourquier, P.; Groschup, M.H. A novel double-antigen sandwich ELISA for the species-independent detection of Crimean-Congo hemorrhagic fever virus-specific antibodies. Antiviral. Res. 2018, 151, 24–26. [Google Scholar] [CrossRef] [PubMed]
- Hartati, L.; Bakti, D.; Tantawi, A.R. Lisnawita, Detection of virus causes papaya ringspot virus—With the DAS-Elisa (Double Antibody Sandwich-Enzyme-Linked Immunosorbent Assay) method at different levels in North Sumatra. Earth Environ. Sci. 2020, 454, 012182. [Google Scholar]
- Balachandra, D.; Rahumatullah, A.; Lim, T.S.; Mustafa, F.H.; Ahmad, H.; Anuar, N.S.; Noordin, R. A new antigen detection ELISA for the diagnosis of Strongyloides infection. Acta Trop. 2021, 221, 105986. [Google Scholar] [CrossRef] [PubMed]
- Boonyalit, T.; Sarocha, J.; Pakkakul, S.; Sasimanas, U.; Pongsak, K.; Ha, T.; Vanvimon, S.; Triwit, R. Refolded recombinant major capsid protein (MCP) from Infectious Spleen and Kidney Necrosis Virus (ISKNV) effectively stimulates serum specific antibody and immune related genes response in Nile tilapia (Oreochromis niloticus). Protein Expr. Purification. 2021, 184, 105876–105879. [Google Scholar]
- Fu, X.; Li, N.; Lin, Q.; Guo, H.; Zhang, D.; Liu, L.; Wu, S. Protective immunity against infectious spleen and kidney necrosis virus induced by immunization with DNA plasmid containing mcp gene in Chinese perch Siniperca chuatsi. Fish Shellfish Immunol. 2014, 40, 259–266. [Google Scholar] [CrossRef] [PubMed]
- Jung-Schroers, V.; Adamek, M.; Wohlsein, P.; Wolter, J.; Wedekind, H.; Steinhagen, D. First outbreak of an infection with infectious spleen and kidney necrosis virus (ISKNV) in ornamental fish in Germany. Dis. Aquat. Organ. 2016, 119, 239–244. [Google Scholar] [CrossRef] [PubMed] [Green Version]






| Immunization Times | Immunogen Preparation | Immunization Route | Immune Cycle | Immunizing Dose |
|---|---|---|---|---|
| First immunization | immunogen + Freund’s complete adjuvant | intraperitoneally injected | 2-week intervals | 50–100 μg/mice |
| Second immunization | immunogen + Freund’s incomplete adjuvant | intraperitoneally injected | 2-week intervals | 50–80 μg/mice |
| Third immunization | immunogen + Freund’s incomplete adjuvant | intraperitoneally injected | 2-week intervals | 50–80 μg/mice |
| fourth immunization | immunogen + Freund’s incomplete adjuvant | intraperitoneally injected | 1-week intervals | 50–80 μg/mice |
| Cell Lines | 1C8 1B9 | 2A4 5C2 | 2G5 5D5 | 3B1 26B3 | 8C9 3C12 | 8D4 6F5 | 9C9 2D7 | 11F7 4C3 |
|---|---|---|---|---|---|---|---|---|
| Subclasses | IgG2b | IgG1 | IgG1 | IgG1 | IgG1 | IgG2b | IgG1 | IgG1 |
| Cell Lines | 1C8 1B9 | 2A4 5C2 | 2G5 5D5 | 8C9 3C12 | 9C9 2D7 | 11F7 4C3 |
|---|---|---|---|---|---|---|
| OD | 1.9874 | 1.8386 | 1.9723 | 0.2078 | 2.0015 | 0.1068 |
| Batches of Vaccine | OD Mean | Sample Concerntration (ng/mL) | TCID 50 |
|---|---|---|---|
| A | 3.68 | 263.79 | 10−8.5 |
| B | 3.82 | 287.27 | 10−9.25 |
| C | 2.70 | 111.63 | 10−8.14 |
Publisher’s Note: MDPI stays neutral with regard to jurisdictional claims in published maps and institutional affiliations. |
© 2021 by the authors. Licensee MDPI, Basel, Switzerland. This article is an open access article distributed under the terms and conditions of the Creative Commons Attribution (CC BY) license (https://creativecommons.org/licenses/by/4.0/).
Share and Cite
Liang, H.; Zhang, L.; Fu, X.; Lin, Q.; Liu, L.; Niu, Y.; Luo, X.; Huang, Z.; Li, N. Development of a Double-Antibody Sandwich ELISA for Rapid Detection of the MCP Antigen Concentration in Inactivated ISKNV Vaccines. Vaccines 2021, 9, 1264. https://doi.org/10.3390/vaccines9111264
Liang H, Zhang L, Fu X, Lin Q, Liu L, Niu Y, Luo X, Huang Z, Li N. Development of a Double-Antibody Sandwich ELISA for Rapid Detection of the MCP Antigen Concentration in Inactivated ISKNV Vaccines. Vaccines. 2021; 9(11):1264. https://doi.org/10.3390/vaccines9111264
Chicago/Turabian StyleLiang, Hongru, Lixi Zhang, Xiaozhe Fu, Qiang Lin, Lihui Liu, Yinjie Niu, Xia Luo, Zhibin Huang, and Ningqiu Li. 2021. "Development of a Double-Antibody Sandwich ELISA for Rapid Detection of the MCP Antigen Concentration in Inactivated ISKNV Vaccines" Vaccines 9, no. 11: 1264. https://doi.org/10.3390/vaccines9111264
APA StyleLiang, H., Zhang, L., Fu, X., Lin, Q., Liu, L., Niu, Y., Luo, X., Huang, Z., & Li, N. (2021). Development of a Double-Antibody Sandwich ELISA for Rapid Detection of the MCP Antigen Concentration in Inactivated ISKNV Vaccines. Vaccines, 9(11), 1264. https://doi.org/10.3390/vaccines9111264
