Improvement of PR8-Derived Recombinant Clade 2.3.4.4c H5N6 Vaccine Strains by Optimization of Internal Genes and H103Y Mutation of Hemagglutinin
Abstract
1. Introduction
2. Materials and Methods
2.1. Viruses, Plasmids, Eggs and Cells
2.2. Generation of Recombinant H5N6 Strain
2.3. Virus Titration in ECEs
2.4. Growth Kinetics of the Recombinant H5N6 Strain in Mammalian Cell Lines
2.5. Vaccine Efficacy Testing in Chickens and Ducks
2.6. Hemagglutination Inhibition (HI) Test
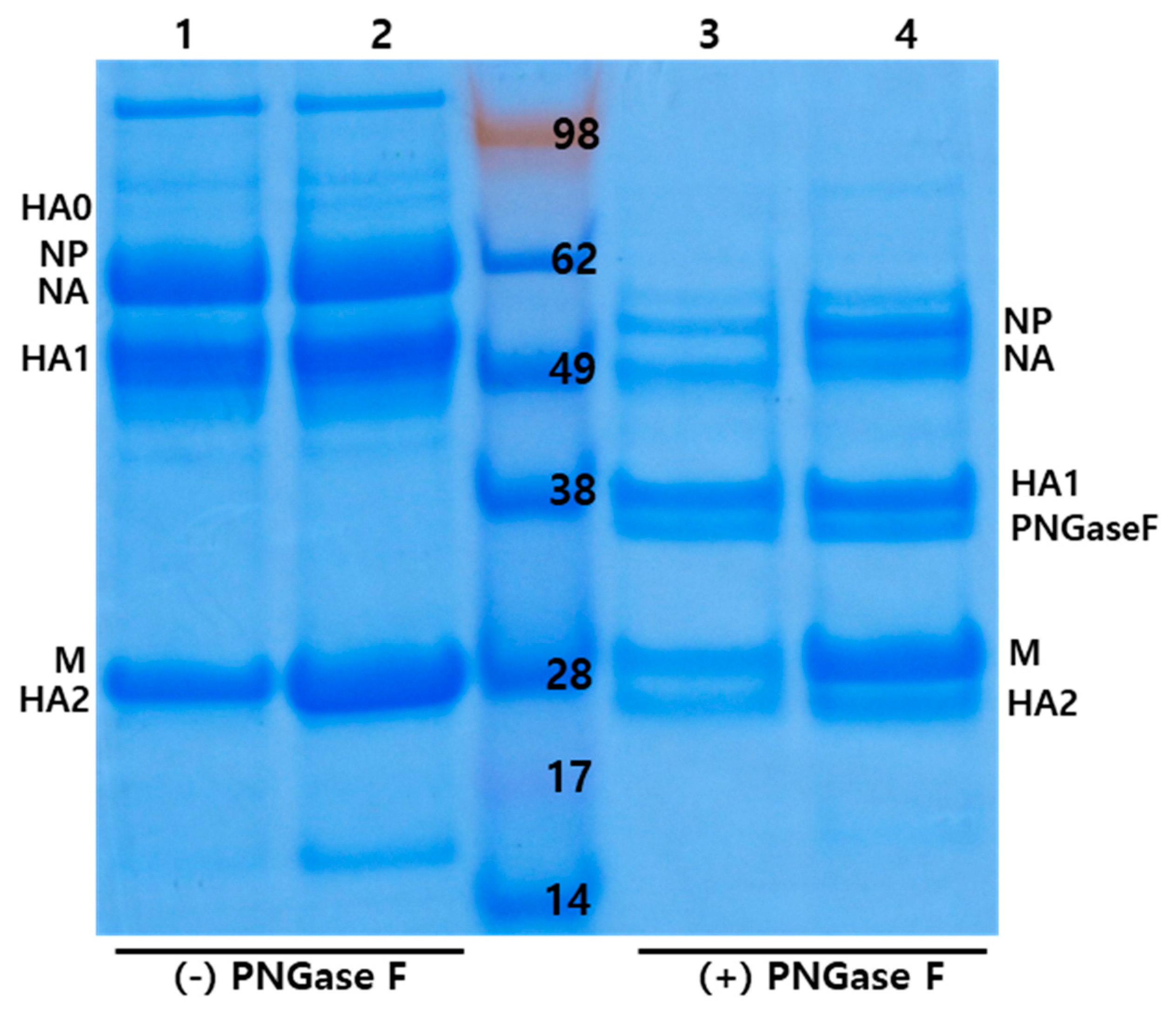
2.7. Quantification of Purified Total Viral Proteins and SDS-PAGE
2.8. Heat and Low pH Stability Testing
2.9. Statistical Analysis
3. Results
3.1. Comparison of the Predicted CD8+ T Cell Epitopes in the NP and M Proteins
3.2. Generation and Replication Efficiency of CD8+ T Cell Epitope-Matched Recombinant H5N6 Strain
3.3. Immunogenicity and Protective Efficacy of Inactivated CD8+ T Cell Epitope-Matched Recombinant H5N6 Strains in Chickens
3.4. Generation and Replication Efficiency of H103Y-Bearing Recombinant H5N6 Strains
3.5. Effect of H103Y Mutation on Immunogenicity of Recombinant H5N6 Strains in Chickens and Ducks
3.6. Effect of the H103Y Mutation on Antigen Productivity in ECEs
3.7. Effects of the H103Y Mutation on Heat and pH Stabilities of Recombinant H5Nx Strains
4. Discussion
5. Conclusions
Supplementary Materials
Author Contributions
Funding
Conflicts of Interest
References
- Krammer, F.; Smith, G.J.D.; Fouchier, R.A.M.; Peiris, M.; Kedzierska, K.; Doherty, P.C.; Palese, P.; Shaw, M.L.; Treanor, J.; Webster, R.G.; et al. Influenza (Primers). Nat. Rev. Dis. Primers 2018, 4, 3. [Google Scholar] [CrossRef] [PubMed]
- European Food Safety Authority; European Centre for Disease Prevention; Control and European Union Reference Laboratory for Avian Influenza; Adlhoch, C.; Fusaro, A.; Kuiken, T.; Niqueux, E.; Staubach, C.; Terregino, C.; Guajardo, I.M.; et al. Avian influenza overview February–May 2020. EFSA J. 2020, 18, e06194. [Google Scholar] [CrossRef] [PubMed]
- Lee, D.H.; Bahl, J.; Torchetti, M.K.; Killian, M.L.; Ip, H.S.; DeLiberto, T.J.; Swayne, D.E. Highly Pathogenic Avian Influenza Viruses and Generation of Novel Reassortants, United States, 2014–2015. Emerg. Infect. Dis. 2016, 22, 1283–1285. [Google Scholar] [CrossRef] [PubMed]
- Kwon, J.H.; Lee, D.H.; Swayne, D.E.; Noh, J.Y.; Yuk, S.S.; Erdene-Ochir, T.O.; Hong, W.T.; Jeong, J.H.; Jeong, S.; Gwon, G.B.; et al. Reassortant Clade 2.3.4.4 Avian Influenza A(H5N6) Virus in a Wild Mandarin Duck, South Korea, 2016. Emerg. Infect. Dis. 2017, 23, 822–826. [Google Scholar] [CrossRef]
- Hu, T.; Song, J.; Zhang, W.; Zhao, H.; Duan, B.; Liu, Q.; Zeng, W.; Qiu, W.; Chen, G.; Zhang, Y.; et al. Emergence of novel clade 2.3.4 influenza A (H5N1) virus subgroups in Yunnan Province, China. Infect. Genet. Evol. 2015, 33, 95–100. [Google Scholar] [CrossRef]
- Organisation Mondiale de la Santé. Antigenic and genetic characteristics of zoonotic influenza A viruses and development of candidate vaccine viruses for pandemic preparedness–Caractéristiques génétiques et antigéniques des virus grippaux A zoonotiques et mise au point de virus vaccinaux candidats pour se préparer à une pandémie. Relevé Épidémiologique Hebdomadaire 2020, 95, 117–127. [Google Scholar]
- Shin, J.; Kang, S.; Byeon, H.; Cho, S.M.; Kim, S.Y.; Chung, Y.J.; Jung, S.H. Highly pathogenic H5N6 avian influenza virus subtype clade 2.3.4.4 indigenous in South Korea. Sci. Rep. 2020, 10, 7241. [Google Scholar] [CrossRef]
- Li, C.; Bu, Z.; Chen, H. Avian influenza vaccines against H5N1 ‘bird flu’. Trends Biotechnol. 2014, 32, 147–156. [Google Scholar] [CrossRef]
- Le, T.H.; Nguyen, N.T. Evolutionary dynamics of highly pathogenic avian influenza A/H5N1 HA clades and vaccine implementation in Vietnam. Clin. Exp. Vaccine Res 2014, 3, 117–127. [Google Scholar] [CrossRef]
- Kim, S.H. Challenge for One Health: Co-Circulation of Zoonotic H5N1 and H9N2 Avian Influenza Viruses in Egypt. Viruses 2018, 10, 121. [Google Scholar] [CrossRef]
- Lee, C.Y.; An, S.H.; Choi, J.G.; Lee, Y.J.; Kim, J.H.; Kwon, H.J. Rank orders of mammalian pathogenicity-related PB2 mutations of avian influenza A viruses. Sci. Rep. 2020, 10, 5359. [Google Scholar] [CrossRef] [PubMed]
- Kim, I.H.; Kwon, H.J.; Lee, S.H.; Kim, D.Y.; Kim, J.H. Effects of different NS genes of avian influenza viruses and amino acid changes on pathogenicity of recombinant A/Puerto Rico/8/34 viruses. Vet. Microbiol. 2015, 175, 17–25. [Google Scholar] [CrossRef] [PubMed]
- An, S.H.; Lee, C.Y.; Hong, S.M.; Choi, J.G.; Lee, Y.J.; Jeong, J.H.; Kim, J.B.; Song, C.S.; Kim, J.H.; Kwon, H.J. Bioengineering a highly productive vaccine strain in embryonated chicken eggs and mammals from a non-pathogenic clade 2.3.4.4 H5N8 strain. Vaccine 2019, 37, 6154–6161. [Google Scholar] [CrossRef] [PubMed]
- Jang, J.W.; Lee, C.Y.; Kim, I.H.; Choi, J.G.; Lee, Y.J.; Yuk, S.S.; Lee, J.H.; Song, C.S.; Kim, J.H.; Kwon, H.J. Optimized clade 2.3.2.1c H5N1 recombinant-vaccine strains against highly pathogenic avian influenza. J. Vet. Sci. 2017, 18, 299–306. [Google Scholar] [CrossRef] [PubMed]
- Zheng, M.; Luo, J.; Chen, Z. Development of universal influenza vaccines based on influenza virus M and NP genes. Infection 2014, 42, 251–262. [Google Scholar] [CrossRef] [PubMed]
- Epstein, S.L.; Kong, W.-P.; Misplon, J.A.; Lo, C.-Y.; Tumpey, T.M.; Xu, L.; Nabel, G.J. Protection against multiple influenza A subtypes by vaccination with highly conserved nucleoprotein. Vaccine 2005, 23, 5404–5410. [Google Scholar] [CrossRef] [PubMed]
- Budimir, N.; Huckriede, A.; Meijerhof, T.; Boon, L.; Gostick, E.; Price, D.A.; Wilschut, J.; de Haan, A. Induction of heterosubtypic cross-protection against influenza by a whole inactivated virus vaccine: The role of viral membrane fusion activity. PLoS ONE 2012, 7, e30898. [Google Scholar] [CrossRef]
- Hou, Y.; Guo, Y.; Wu, C.; Shen, N.; Jiang, Y.; Wang, J. Prediction and identification of T cell epitopes in the H5N1 influenza virus nucleoprotein in chicken. PLoS ONE 2012, 7, e39344. [Google Scholar] [CrossRef]
- Reemers, S.S.; van Haarlem, D.A.; Sijts, A.J.; Vervelde, L.; Jansen, C.A. Identification of novel avian influenza virus derived CD8 + T-cell epitopes. PLoS ONE 2012, 7, e31953. [Google Scholar] [CrossRef]
- Herfst, S.; Schrauwen, E.J.; Linster, M.; Chutinimitkul, S.; de Wit, E.; Munster, V.J.; Sorrell, E.M.; Bestebroer, T.M.; Burke, D.F.; Smith, D.J.; et al. Airborne transmission of influenza A/H5N1 virus between ferrets. Science 2012, 336, 1534–1541. [Google Scholar] [CrossRef]
- Linster, M.; van Boheemen, S.; de Graaf, M.; Schrauwen, E.J.A.; Lexmond, P.; Manz, B.; Bestebroer, T.M.; Baumann, J.; van Riel, D.; Rimmelzwaan, G.F.; et al. Identification, characterization, and natural selection of mutations driving airborne transmission of A/H5N1 virus. Cell 2014, 157, 329–339. [Google Scholar] [CrossRef] [PubMed]
- Kim, I.H.; Kwon, H.J.; Choi, J.G.; Kang, H.M.; Lee, Y.J.; Kim, J.H. Characterization of mutations associated with the adaptation of a low-pathogenic H5N1 avian influenza virus to chicken embryos. Vet. Microbiol. 2013, 162, 471–478. [Google Scholar] [CrossRef] [PubMed]
- Hoffmann, E.; Neumann, G.; Kawaoka, Y.; Hobom, G.; Webster, R.G. A DNA transfection system for generation of influenza A virus from eight plasmids. Proc. Natl. Acad. Sci. USA 2000, 97, 6108–6113. [Google Scholar] [CrossRef] [PubMed]
- Kwon, H.-J.; Cho, S.-H.; Ahn, Y.-J.; Kim, J.-H.; Yoo, H.-S.; Kim, S.-J. Characterization of a Chicken Embryo-Adapted H9N2 Subtype Avian Influenza Virus. Open Vet. Sci. J. 2009, 3, 9–16. [Google Scholar] [CrossRef][Green Version]
- Hamilton, M.A.; Russo, R.C.; Thurston, R.V. Trimmed Spearman-Karber method for estimating median lethal concentrations in toxicity bioassays. Environ. Sci. Technol. 1977, 11, 714–719. [Google Scholar] [CrossRef]
- Kwon, J.H.; Noh, Y.K.; Lee, D.H.; Yuk, S.S.; Erdene-Ochir, T.O.; Noh, J.Y.; Hong, W.T.; Jeong, J.H.; Jeong, S.; Gwon, G.B.; et al. Experimental infection with highly pathogenic H5N8 avian influenza viruses in the Mandarin duck (Aix galericulata) and domestic pigeon (Columba livia domestica). Vet. Microbiol. 2017, 203, 95–102. [Google Scholar] [CrossRef]
- Imai, M.; Watanabe, T.; Hatta, M.; Das, S.C.; Ozawa, M.; Shinya, K.; Zhong, G.; Hanson, A.; Katsura, H.; Watanabe, S.; et al. Experimental adaptation of an influenza H5 HA confers respiratory droplet transmission to a reassortant H5 HA/H1N1 virus in ferrets. Nature 2012, 486, 420–428. [Google Scholar] [CrossRef]
- Baumann, J.; Kouassi, N.M.; Foni, E.; Klenk, H.D.; Matrosovich, M. H1N1 Swine Influenza Viruses Differ from Avian Precursors by a Higher pH Optimum of Membrane Fusion. J. Virol. 2016, 90, 1569–1577. [Google Scholar] [CrossRef]
- Philippon, D.A.M.; Wu, P.; Cowling, B.J.; Lau, E.H.Y. Avian Influenza Human Infections at the Human-Animal Interface. J. Infect. Dis. 2020, 222, 528–537. [Google Scholar] [CrossRef]
- Zhao, M.; Wang, L.; Li, S. Influenza A Virus-Host Protein Interactions Control Viral Pathogenesis. Int. J. Mol. Sci. 2017, 18, 1673. [Google Scholar] [CrossRef]
- Schrauwen, E.J.; de Graaf, M.; Herfst, S.; Rimmelzwaan, G.F.; Osterhaus, A.D.; Fouchier, R.A. Determinants of virulence of influenza A virus. Eur. J. Clin. Microbiol. Infect. Dis. 2014, 33, 479–490. [Google Scholar] [CrossRef] [PubMed]
- Lee, C.Y.; An, S.H.; Kim, I.; Go, D.M.; Kim, D.Y.; Choi, J.G.; Lee, Y.J.; Kim, J.H.; Kwon, H.J. Prerequisites for the acquisition of mammalian pathogenicity by influenza A virus with a prototypic avian PB2 gene. Sci. Rep. 2017, 7, 10205. [Google Scholar] [CrossRef] [PubMed]
- An, S.-H.; Lee, C.-Y.; Choi, J.-G.; Lee, Y.-J.; Kim, J.-H.; Kwon, H.-J. Generation of highly productive and mammalian nonpathogenic recombinant H9N2 avian influenza viruses by optimization of 3′end promoter and NS genome. Vet. Microbiol. 2019, 228, 213–218. [Google Scholar] [CrossRef] [PubMed]
- McCown, M.F.; Pekosz, A. Distinct domains of the influenza a virus M2 protein cytoplasmic tail mediate binding to the M1 protein and facilitate infectious virus production. J. Virol. 2006, 80, 8178–8189. [Google Scholar] [CrossRef]
- Schmitt, A.P.; Lamb, R.A. Influenza virus assembly and budding at the viral budozone. Adv. Virus Res. 2005, 64, 383–416. [Google Scholar] [CrossRef]
- Abt, M.; de Jonge, J.; Laue, M.; Wolff, T. Improvement of H5N1 influenza vaccine viruses: Influence of internal gene segments of avian and human origin on production and hemagglutinin content. Vaccine 2011, 29, 5153–5162. [Google Scholar] [CrossRef]
- Hung, S.J.; Hsu, Y.M.; Huang, S.W.; Tsai, H.P.; Lee, L.Y.Y.; Hurt, A.C.; Barr, I.G.; Shih, S.R.; Wang, J.R. Genetic variations on 31 and 450 residues of influenza A nucleoprotein affect viral replication and translation. J. Biomed. Sci 2020, 27, 17. [Google Scholar] [CrossRef]
- Kang, Y.M.; Cho, H.K.; Kim, H.M.; Lee, C.H.; Kim, D.Y.; Choi, S.H.; Lee, M.H.; Kang, H.M. Protection of layers and breeders against homologous or heterologous HPAIv by vaccines from Korean national antigen bank. Sci. Rep. 2020, 10, 9436. [Google Scholar] [CrossRef]
- DuBois, R.M.; Zaraket, H.; Reddivari, M.; Heath, R.J.; White, S.W.; Russell, C.J. Acid stability of the hemagglutinin protein regulates H5N1 influenza virus pathogenicity. PLoS Pathog. 2011, 7, e1002398. [Google Scholar] [CrossRef]
- Keeler, C.; Tettamanzi, M.C.; Meshack, S.; Hodsdon, M.E. Contribution of individual histidines to the global stability of human prolactin. Protein Sci. 2009, 18, 909–920. [Google Scholar] [CrossRef]
- Xu, R.; Wilson, I.A. Structural characterization of an early fusion intermediate of influenza virus hemagglutinin. J. Virol. 2011, 85, 5172–5182. [Google Scholar] [CrossRef] [PubMed]
- Li, Y.; Cao, H.; Dao, N.; Luo, Z.; Yu, H.; Chen, Y.; Xing, Z.; Baumgarth, N.; Cardona, C.; Chen, X. High-throughput neuraminidase substrate specificity study of human and avian influenza A viruses. Virology 2011, 415, 12–19. [Google Scholar] [CrossRef] [PubMed][Green Version]




| Primer Name | Sequence (5′–3′) |
|---|---|
| H5N6-H103Y-F | TATGAAGAACTGAAATACCTATTGAGCAGAA |
| H5N6-H103Y-R | TTCTGCTCAATAGGTATTTCAGTTCTTCATA |
| H5N1-H103Y-F | TATGAAGAATTGAAATACCTATTGAGCAGGA |
| H5N1-H103Y-R | TCCTGCTCAATAGGTATTTCAATTCTTCATA |
| NP | M | ||||||||||
|---|---|---|---|---|---|---|---|---|---|---|---|
| 10–17 | 26–34 | 76–83 | 127–134 | 249–258 | 347–354 | 368–375 | 134–142 | 162–169 | 200–207 | 229–237 | |
| YEQMETGG b,c | RASVGRMVG | NRYLEEHP | EDATAGLT | GNAEIEDLIF | IRGTRVVP | NENMETMD | RMGTVTTEV | HRQMATIT | AEAMEVAN | LRDNLLENL | |
| H5N1 (n = 21) | ........ a,d | ......... .......S. | ........ .K...... | ........ | .......... | ........ ...A.... | ........ ...T.... | ......... | ........ ...I..T. | .....I.. | ......... |
| H5N8 (n = 26) | ........ | ......... | .K...... | ........ | .......... | ........ | ........ | ......... K........ | ...I..T. | .......S | ......... |
| H5N6 (n = 37) | ........ | ......... | ........ .K...... | ........ | .......... | ........ ...A.... ......F. | ........ | ......... | ........ ...I..T. | ........ .......S | ......... ...N..... |
| SNU50-5 (H5N1) | ........ | ......... | .K...... | ........ | .......... | ........ | ........ | ......... | ....V.T. | .......S | .K.D..... |
| 01310 (H9N2) | ........ | ......... | ........ | ........ | .......... | ...A.... | ...T.... | ......... | ....V.T. | .......S | .K.D..... |
| 0028 (H9N2) | ........ | ......... | ........ | ........ | .......... | ........ | ...T.... | ......... | ....V... | .....I.S | .K.D..... |
| PR8 | ......D. | .....K.I. | .K...... | D....... | ....F...T. | .K..K.L. | .......E | ...A..... | ....V.T. | .......S | .KND..... |
| Recombinant Virus | HA | NA | PB2 | PB1 | PA | NP | M | NS | EID50/mL a |
|---|---|---|---|---|---|---|---|---|---|
| rH5N6 | H5 | N6 | PR8 | PR8 | PR8 | PR8 | PR8 | PR8 | 9.08 ± 0.14 |
| rH5N6-310PB2 | H5 | N6 | 01310 | PR8 | PR8 | PR8 | PR8 | PR8 | 9.33 ± 0.29 |
| rH5N6-IG | H5 | N6 | 01310 | PR8 | PR8 | SNU50-5 | 01310 | 0028 | 9.25 ± 0.25 |
| rH5N6-H103Y | H5-H103Y | N6 | PR8 | PR8 | PR8 | PR8 | PR8 | PR8 | 9.03 ± 0.31 |
| rH5N6-H103Y-310PB2 | H5-H103Y | N6 | 01310 | PR8 | PR8 | PR8 | PR8 | PR8 | 9.58 ± 0.14 |
| rH5N6-H103Y-IG | H5-H103Y | N6 | 01310 | PR8 | PR8 | SNU50-5 | 01310 | 0028 | 8.92 ± 0.38 |
| Inactivated Vaccine Strain | GMT of HI Titer a | Survival Rate | Viral Shedding Rate c | |||||||||
|---|---|---|---|---|---|---|---|---|---|---|---|---|
| 0 wpv | 3 wpv b | 1 wpc | Oro-pharyngeal Swab | Cloacal Swab | ||||||||
| 1 dpc | 3 dpc | 5 dpc | 7 dpc | 1 dpc | 3 dpc | 5 dpc | 7 dpc | |||||
| rH5N6-310PB2 | <2 d | 118.5 (78.14–179.7) | 118.5 (72.3–194.3) | 9/9 (100%) | 2/9 | 7/9 | 4/9 | 3/9 | 2/9 | 6/9 | 4/9 | 2/9 |
| rH5N6-IG | <2 | 64.0 (43.9–93.3) | 80.6 (55.3–117.5) | 9/9 (100%) | 4/9 | 4/9 | 4/9 | 0/9 | 1/9 | 5/9 | 4/9 | 0/9 |
| Mock | <2 | <2 | <2 | 0/9 (0%) | 9/9 | 9/9 | nt e | nt | 7/9 | 9/9 | nt | nt |
| Species | Vaccination Age | Inactivated Vaccine Strain | GMT of HI Titer a | ||
|---|---|---|---|---|---|
| 0 wpv b | 3 wpv | 4 wpv | |||
| Chicken | 3 week-old | rH5N6 -310PB2 | <2 c | 98.70 † (64.13–151.9) | 90.51 † (42.38–193.3) |
| rH5N6-H103Y-310PB2 | <2 | 172.3 † (88.28–356.4) | 152.2 † (68.06–340.4) | ||
| Control | <2 | <2 | < 2 | ||
| Duck | 2 week-old | rH5N6 -310PB2 | <2 | 14.86 (6.95–22.77) | 12.00 (7.22–16.78) |
| rH5N6-H103Y-310PB2 | <2 | 20.16 (9.49–42.83) | 18.66 * (9.84–35.41) | ||
| Control | <2 | <2 | <2 | ||
| EID50/mL (log10) a | HA Titer b | Amount of Virus Total Protein (μg/mL) a | |
|---|---|---|---|
| rH5N6-310PB2 | 9.92 ± 0.38 | 64.00 ± 0.00 | 1325.42 |
| rH5N6-H103Y-310PB2 | 9.42 ± 0.14 | 107.63 ± 0.89 | 2008.75 |
Publisher’s Note: MDPI stays neutral with regard to jurisdictional claims in published maps and institutional affiliations. |
© 2020 by the authors. Licensee MDPI, Basel, Switzerland. This article is an open access article distributed under the terms and conditions of the Creative Commons Attribution (CC BY) license (http://creativecommons.org/licenses/by/4.0/).
Share and Cite
An, S.-H.; Hong, S.-M.; Son, S.-E.; Song, J.-H.; Lee, C.-Y.; Choi, J.-G.; Lee, Y.-J.; Jeong, J.-H.; Kim, J.-B.; Song, C.-S.; et al. Improvement of PR8-Derived Recombinant Clade 2.3.4.4c H5N6 Vaccine Strains by Optimization of Internal Genes and H103Y Mutation of Hemagglutinin. Vaccines 2020, 8, 781. https://doi.org/10.3390/vaccines8040781
An S-H, Hong S-M, Son S-E, Song J-H, Lee C-Y, Choi J-G, Lee Y-J, Jeong J-H, Kim J-B, Song C-S, et al. Improvement of PR8-Derived Recombinant Clade 2.3.4.4c H5N6 Vaccine Strains by Optimization of Internal Genes and H103Y Mutation of Hemagglutinin. Vaccines. 2020; 8(4):781. https://doi.org/10.3390/vaccines8040781
Chicago/Turabian StyleAn, Se-Hee, Seung-Min Hong, Seung-Eun Son, Jin-Ha Song, Chung-Young Lee, Jun-Gu Choi, Youn-Jeong Lee, Jei-Hyun Jeong, Jun-Beom Kim, Chang-Seon Song, and et al. 2020. "Improvement of PR8-Derived Recombinant Clade 2.3.4.4c H5N6 Vaccine Strains by Optimization of Internal Genes and H103Y Mutation of Hemagglutinin" Vaccines 8, no. 4: 781. https://doi.org/10.3390/vaccines8040781
APA StyleAn, S.-H., Hong, S.-M., Son, S.-E., Song, J.-H., Lee, C.-Y., Choi, J.-G., Lee, Y.-J., Jeong, J.-H., Kim, J.-B., Song, C.-S., Kim, J.-H., Choi, K.-S., & Kwon, H.-J. (2020). Improvement of PR8-Derived Recombinant Clade 2.3.4.4c H5N6 Vaccine Strains by Optimization of Internal Genes and H103Y Mutation of Hemagglutinin. Vaccines, 8(4), 781. https://doi.org/10.3390/vaccines8040781

