Immunogenicity of an Intranasal Dual (Core and Surface)-Antigen Vaccine Against Hepatitis B Virus Enhanced by Carboxyl-Vinyl Polymer Excipients
Abstract
1. Introduction
2. Materials and Methods
2.1. Ethics Statement
2.2. Animals
2.3. Cell Cultures and Viruses
2.4. Experimental Vaccines
| Experimental vaccine formulations |
|
2.5. Immunization and Immunization Schedule
- (1)
- hy-LHBs antigen (Ag) 10 µg and HBc Ag 10 µg plus CVP①~⑥;
- (2)
- hy-LHBs Ag 10 µg and HBc Ag 2.5 µg plus CVP #00(⑦) and without CVP(⑧) CVP-
2.6. Detection of Antibodies Using Enzyme-Linked Immunosorbent Assay (ELISA)
2.7. Neutralization Test
2.8. Multiple Cytokine Expression Analysis
2.9. ELISpot Assay
2.10. Protein Stability Assay and Western Blot Assay
2.11. Statistical Analysis
3. Results
3.1. CVP Excipients Enhance Immunogenicity of Experimental HBc and hy-LHBs Antigen Vaccines
3.2. Cytokine, Chemokine Levels and Th1/Th2 Responses
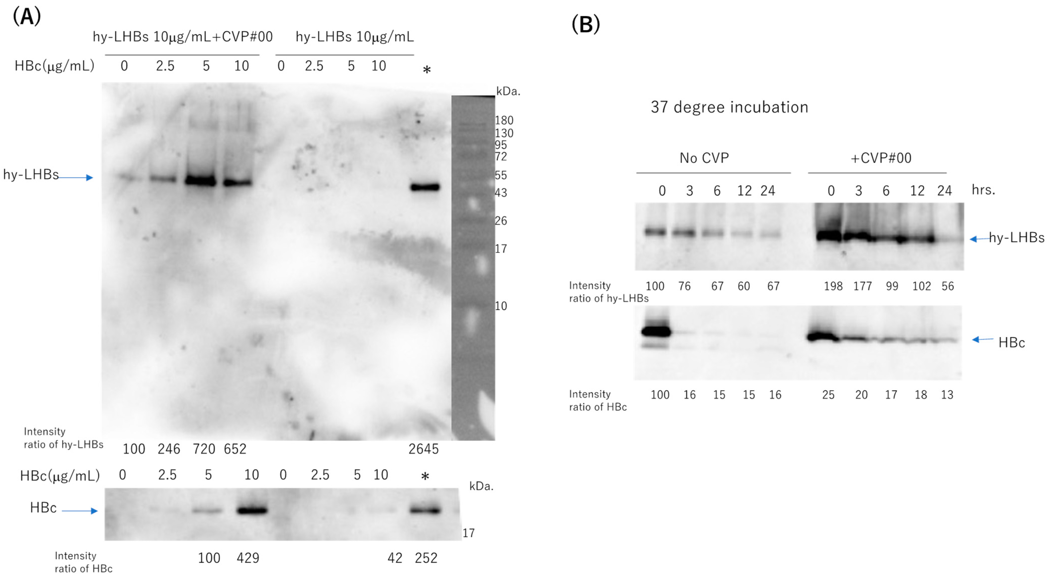
3.3. Effect of CVP on Stability of hy-LHBs and HBc Antigens
4. Discussion
Supplementary Materials
Author Contributions
Funding
Institutional Review Board Statement
Informed Consent Statement
Data Availability Statement
Acknowledgments
Conflicts of Interest
References
- Olaru, I.D.; Meier, M.B.; Mirzayev, F.; Prodanovic, N.; Kitchen, P.J.; Schumacher, S.G.; Denkinger, C.M. Global prevalence of hepatitis B or hepatitis C infection among patients with tuberculosis disease: Systematic review and meta-analysis. eClinicalMedicine 2023, 58, 101938. [Google Scholar] [CrossRef] [PubMed]
- Breen, R.W.B.; Parmley, L.E.; Mapingure, M.P.; Chingombe, I.; Mugurungi, O.; Musuka, G.; Hakim, A.J.; Rogers, J.H.; Moyo, B.; Samba, C.; et al. Hepatitis B virus infection (HBV) and HIV-HBV coinfection among men who have sex with men, transgender women, and genderqueer individuals in Harare and Bulawayo Zimbabwe, 2019. Heliyon 2024, 10, e25790. [Google Scholar] [CrossRef]
- Wu, J.W.; Kao, J.H.; Tseng, T.C. Three heads are better than two: Hepatitis B core-related antigen as a new predictor of hepatitis B virus-related hepatocellular carcinoma. Clin. Mol. Hepatol. 2021, 27, 524–534. [Google Scholar] [CrossRef] [PubMed]
- Seto, W.K.; Lo, Y.R.; Pawlotsky, J.M.; Yuen, M.F. Chronic hepatitis B virus infection. Lancet 2018, 392, 2313–2324. [Google Scholar] [CrossRef] [PubMed]
- Howe, A.Y.; Robins, M.J.; Wilson, J.S.; Tyrrell, D.L. Selective inhibition of the reverse transcription of duck hepatitis B virus by binding of 2′,3′-dideoxyguanosine 5′-triphosphate to the viral polymerase. Hepatology 1996, 23, 87–96. [Google Scholar]
- Menendez-Arias, L.; Alvarez, M.; Pacheco, B. Nucleoside/nucleotide analog inhibitors of hepatitis B virus polymerase: Mechanism of action and resistance. Curr. Opin. Virol. 2014, 8, 1–9. [Google Scholar] [CrossRef]
- Rehermann, B. Hepatitis C virus versus innate and adaptive immune responses: A tale of coevolution and coexistence. J. Clin. Investig. 2009, 119, 1745–1754. [Google Scholar] [CrossRef]
- Lebosse, F.; Testoni, B.; Fresquet, J.; Facchetti, F.; Galmozzi, E.; Fournier, M.; Hervieu, V.; Berthillon, P.; Berby, F.; Bordes, I.; et al. Intrahepatic innate immune response pathways are downregulated in untreated chronic hepatitis B. J. Hepatol. 2017, 66, 897–909. [Google Scholar] [CrossRef]
- Guidotti, L.G.; Isogawa, M.; Chisari, F.V. Host-virus interactions in hepatitis B virus infection. Curr. Opin. Immunol. 2015, 36, 61–66. [Google Scholar] [CrossRef]
- Durantel, D.; Zoulim, F. New antiviral targets for innovative treatment concepts for hepatitis B virus and hepatitis delta virus. J. Hepatol. 2016, 64, S117–S131. [Google Scholar] [CrossRef]
- Lobaina, Y.; Palenzuela, D.; Pichardo, D.; Muzio, V.; Guillen, G.; Aguilar, J.C. Immunological characterization of two hepatitis B core antigen variants and their immunoenhancing effect on co-delivered hepatitis B surface antigen. Mol. Immunol. 2005, 42, 289–294. [Google Scholar] [CrossRef]
- Aguilar, J.C.; Lobaina, Y.; Muzio, V.; Garcia, D.; Penton, E.; Iglesias, E.; Pichardo, D.; Urquiza, D.; Rodriguez, D.; Silva, D.; et al. Development of a nasal vaccine for chronic hepatitis B infection that uses the ability of hepatitis B core antigen to stimulate a strong Th1 response against hepatitis B surface antigen. Immunol. Cell Biol. 2004, 82, 539–546. [Google Scholar] [CrossRef] [PubMed]
- Freyre, F.M.; Aguiar, J.A.; Cinza, Z.; Figueroa, N.; Diaz, P.A.; Muzio, V.L.; Lemos, G.; Freyre, G.; Coizeau, E.; Rodriguez, C.; et al. Impact of the Route and Schedule of Immunization on the Serological and Virological Response of Chronic Hepatitis B Patients Treated with HeberNasvac. Euroasian. J. Hepatogastroenterol. 2023, 13, 73–78. [Google Scholar]
- Sanada, T.; Oda, Y.; Ohashi, C.; Isotani, K.; Goh, Y.; Kohara, M. Hybrid large hepatitis B surface protein composed of two viral genotypes C and D induces strongly cross-neutralizing antibodies. Vaccine 2023, 41, 6514–6521. [Google Scholar] [CrossRef] [PubMed]
- Yan, H.; Zhong, G.; Xu, G.; He, W.; Jing, Z.; Gao, Z.; Huang, Y.; Qi, Y.; Peng, B.; Wang, H.; et al. Sodium taurocholate cotransporting polypeptide is a functional receptor for human hepatitis B and D virus. eLife 2012, 3, e00049. [Google Scholar] [CrossRef]
- Saito, S.; Ainai, A.; Suzuki, T.; Harada, N.; Ami, Y.; Yuki, Y.; Takeyama, H.; Kiyono, H.; Tsukada, H.; Hasegawa, H. The effect of mucoadhesive excipient on the nasal retention time of and the antibody responses induced by an intranasal influenza vaccine. Vaccine 2016, 34, 1201–1207. [Google Scholar] [CrossRef]
- Sanada, T.; Yamamoto, N.; Kayesh, M.E.H.; Tsukiyama-Kohara, K.; Hasegawa, H.; Miyazaki, T.; Takano, J.I.; Shiogama, Y.; Yasutomi, Y.; Goh, Y.; et al. Intranasal vaccination with HBs and HBc protein combined with carboxyl vinyl polymer induces strong neutralizing antibody, anti-HBs IgA, and IFNG response. Biochem. Biophys. Res. Commun. 2019, 520, 86–92. [Google Scholar] [CrossRef]
- Honda, T.; Toyama, S.; Matsumoto, Y.; Sanada, T.; Yasui, F.; Koseki, A.; Kono, R.; Yamamoto, N.; Kamishita, T.; Kodake, N.; et al. Intranasally Inoculated SARS-CoV-2 Spike Protein Combined with Mucoadhesive Polymer Induces Broad and Long-Lasting Immunity. Vaccines 2024, 12, 794. [Google Scholar] [CrossRef]
- Yoshida, O.; Akbar, S.M.F.; Imai, Y.; Sanada, T.; Tsukiyama-Kohara, K.; Miyazaki, T.; Kamishita, T.; Miyake, T.; Tokumoto, Y.; Hikita, H.; et al. Intranasal therapeutic vaccine containing HBsAg and HBcAg for patients with chronic hepatitis B; 18 months follow-up results of phase IIa clinical study. Hepatol. Res. 2023, 53, 196–207. [Google Scholar] [CrossRef]
- Sanada, T.; Hirata, Y.; Naito, Y.; Yamamoto, N.; Kikkawa, Y.; Ishida, Y.; Yamasaki, C.; Tateno, C.; Ochiya, T.; Kohara, M. Transmission of HBV DNA Mediated by Ceramide-Triggered Extracellular Vesicles. Cell Mol. Gastroenterol. Hepatol. 2017, 3, 272–283. [Google Scholar] [CrossRef]
- Yi, Y.; Guo, M.; Qiu, F.; Jia, Z.; Lu, X.; Meng, Q.; Bi, S. Construction and immunological evaluation of truncated hepatitis B core particles carrying HBsAg amino acids 119-152 in the major immunodominant region (MIR). Biochem. Biophys. Res. Commun. 2013, 439, 84–89. [Google Scholar]
- Tavakoli, S.; Schwerin, W.; Rohwer, A.; Hoffmann, S.; Weyer, S.; Weth, R.; Meisel, H.; Diepolder, H.; Geissler, M.; Galle, P.R.; et al. Phenotype and function of monocyte derived dendritic cells in chronic hepatitis B virus infection. J. Gen. Virol. 2004, 85, 2829–2836. [Google Scholar] [CrossRef] [PubMed]
- Wang, S.; Liu, Y.; Su, M.; Yang, J.; Liu, H.; Qiu, W. UFMylation is involved in serum inflammatory cytokines generation and splenic T cell activation induced by lipopolysaccharide. Cytokine 2024, 183, 156755. [Google Scholar] [CrossRef] [PubMed]
- Mussano, F.; Genova, T.; Munaron, L.; Petrillo, S.; Erovigni, F.; Carossa, S. Cytokine, chemokine, and growth factor profile of platelet-rich plasma. Platelets 2016, 27, 467–471. [Google Scholar] [CrossRef]
- Porcher, L.; Bruckmeier, S.; Burbano, S.D.; Finnell, J.E.; Gorny, N.; Klett, J.; Wood, S.K.; Kelly, M.P. Aging triggers an upregulation of a multitude of cytokines in the male and especially the female rodent hippocampus but more discrete changes in other brain regions. J. Neuroinflamm. 2021, 18, 219. [Google Scholar] [CrossRef]
- La-Beck, N.M.; Lee, Y.R.; Patel, J.; Yang, H.; Stout, M.; Kologey, A.; Ruesewald, A.; Alvarez, C.A. Clinical Characteristics and Patterns of Immune Responses in COVID-19 Patients From a Rural Community Hospital. Cureus 2024, 16, e61600. [Google Scholar] [CrossRef] [PubMed]
- Mounika, N.; Mungase, S.B.; Verma, S.; Kaur, S.; Deka, U.J.; Ghosh, T.S.; Adela, R. Inflammatory Protein Signatures as Predictive Disease-Specific Markers for Non-Alcoholic Steatohepatitis (NASH). Inflammation 2024, 48, 25–41. [Google Scholar] [CrossRef]
- Adams, J.R.; Haughney, S.L.; Mallapragada, S.K. Effective polymer adjuvants for sustained delivery of protein subunit vaccines. Acta Biomater. 2015, 14, 104–114. [Google Scholar] [CrossRef]
- Kheirollahpour, M.; Mehrabi, M.; Dounighi, N.M.; Mohammadi, M.; Masoudi, A. Nanoparticles and Vaccine Development. Pharm. Nanotechnol. 2020, 8, 6–21. [Google Scholar] [CrossRef]
- Mair, K.H.; Koinig, H.; Gerner, W.; Hohne, A.; Bretthauer, J.; Kroll, J.J.; Roof, M.B.; Saalmuller, A.; Stadler, K.; Libanova, R. Carbopol improves the early cellular immune responses induced by the modified-life vaccine Ingelvac PRRS(R) MLV. Vet. Microbiol. 2015, 176, 352–357. [Google Scholar] [CrossRef] [PubMed]
- Gartlan, K.H.; Krashias, G.; Wegmann, F.; Hillson, W.R.; Scherer, E.M.; Greenberg, P.D.; Eisenbarth, S.C.; Moghaddam, A.E.; Sattentau, Q.J. Sterile inflammation induced by Carbopol elicits robust adaptive immune responses in the absence of pathogen-associated molecular patterns. Vaccine 2016, 34, 2188–2196. [Google Scholar] [CrossRef] [PubMed]
- Hasannejad-Asl, B.; Pooresmaeil, F.; Takamoli, S.; Dabiri, M.; Bolhassani, A. Cell penetrating peptide: A potent delivery system in vaccine development. Front. Pharmacol. 2022, 13, 1072685. [Google Scholar] [CrossRef] [PubMed]
- Bennett, N.R.; Zwick, D.B.; Courtney, A.H.; Kiessling, L.L. Multivalent Antigens for Promoting B and T Cell Activation. ACS Chem. Biol. 2015, 10, 1817–1824. [Google Scholar] [CrossRef] [PubMed]
- Fam, S.Y.; Chee, C.F.; Yong, C.Y.; Ho, K.L.; Mariatulqabtiah, A.R.; Lau, H.Y.; Tan, W.S. Shielding of Hepatitis B Virus-Like Nanoparticle with Poly(2-Ethyl-2-Oxazoline). Int. J. Mol. Sci. 2019, 20, 4903. [Google Scholar] [CrossRef]











Disclaimer/Publisher’s Note: The statements, opinions and data contained in all publications are solely those of the individual author(s) and contributor(s) and not of MDPI and/or the editor(s). MDPI and/or the editor(s) disclaim responsibility for any injury to people or property resulting from any ideas, methods, instructions or products referred to in the content. |
© 2025 by the authors. Licensee MDPI, Basel, Switzerland. This article is an open access article distributed under the terms and conditions of the Creative Commons Attribution (CC BY) license (https://creativecommons.org/licenses/by/4.0/).
Share and Cite
Rashid, M.H.O.; Yasui, F.; Sanada, T.; Kono, R.; Honda, T.; Kitab, B.; Akter, L.; Utsunomiya, M.; Sato, R.; Yoshida, O.; et al. Immunogenicity of an Intranasal Dual (Core and Surface)-Antigen Vaccine Against Hepatitis B Virus Enhanced by Carboxyl-Vinyl Polymer Excipients. Vaccines 2025, 13, 464. https://doi.org/10.3390/vaccines13050464
Rashid MHO, Yasui F, Sanada T, Kono R, Honda T, Kitab B, Akter L, Utsunomiya M, Sato R, Yoshida O, et al. Immunogenicity of an Intranasal Dual (Core and Surface)-Antigen Vaccine Against Hepatitis B Virus Enhanced by Carboxyl-Vinyl Polymer Excipients. Vaccines. 2025; 13(5):464. https://doi.org/10.3390/vaccines13050464
Chicago/Turabian StyleRashid, Md Haroon Or, Fumihiko Yasui, Takahiro Sanada, Risa Kono, Tomoko Honda, Bouchra Kitab, Lipi Akter, Masashi Utsunomiya, Risa Sato, Osamu Yoshida, and et al. 2025. "Immunogenicity of an Intranasal Dual (Core and Surface)-Antigen Vaccine Against Hepatitis B Virus Enhanced by Carboxyl-Vinyl Polymer Excipients" Vaccines 13, no. 5: 464. https://doi.org/10.3390/vaccines13050464
APA StyleRashid, M. H. O., Yasui, F., Sanada, T., Kono, R., Honda, T., Kitab, B., Akter, L., Utsunomiya, M., Sato, R., Yoshida, O., Hiasa, Y., Oda, Y., Goh, Y., Miyazaki, T., Kohara, M., & Tsukiyama-Kohara, K. (2025). Immunogenicity of an Intranasal Dual (Core and Surface)-Antigen Vaccine Against Hepatitis B Virus Enhanced by Carboxyl-Vinyl Polymer Excipients. Vaccines, 13(5), 464. https://doi.org/10.3390/vaccines13050464

