Differential Adjuvant Activity by Flagellins from Escherichia coli, Salmonella enterica Serotype Typhimurium, and Pseudomonas aeruginosa
Abstract
1. Introduction
2. Materials and Methods
2.1. Bacterial Strains and Plasmids
2.2. Gene Amplification and Construction of Recombinant Plasmids
2.3. Sequence Analysis and Modeling of Flagellins
2.4. Expression and Purification of Recombinant Flagellin Proteins
2.5. Endotoxin Removal and Measurement
2.6. TLR5 Bioactivity Assay of Flagellins In Vitro
2.7. Animal Immunization Regimens
2.8. The Serum Anti-FaeG Specific IgG Antibody Response
2.9. Cytokine Expression Measured in Mouse Splenocytes
2.10. Statistical Analysis
3. Results
3.1. Bioinformatics Analysis of Flagellin from Three Different Bacterial Species
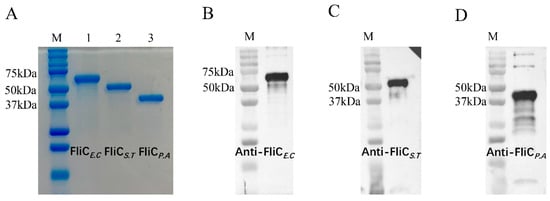
3.2. Expression, Purification, and Identification of Flagellins
3.3. Differential TLR5 Activation by Flagellins from Various Species
3.4. Enhanced Antibody Response Using FliCE.C, FliCS.T, and FliCP.A as Adjuvants
3.5. Enhanced IL-4 and TNF-α Responses with FliCE.C, FliCS.T, and FliCP.A Adjuvants
4. Discussion
5. Conclusions
Author Contributions
Funding
Institutional Review Board Statement
Informed Consent Statement
Data Availability Statement
Acknowledgments
Conflicts of Interest
References
- Cui, B.; Liu, X.; Fang, Y.; Zhou, P.; Zhang, Y.; Wang, Y. Flagellin as a vaccine adjuvant. Expert Rev. Vaccines 2018, 17, 335–349. [Google Scholar] [CrossRef] [PubMed]
- Hajam, I.A.; Dar, P.A.; Shahnawaz, I.; Jaume, J.C.; Lee, J.H. Bacterial flagellin—A potent immunomodulatory agent. Exp. Mol. Med. 2017, 49, e373. [Google Scholar] [CrossRef] [PubMed]
- Kumar, S.; Sunagar, R.; Gosselin, E. Bacterial Protein Toll-Like-Receptor Agonists: A Novel Perspective on Vaccine Adjuvants. Front. Immunol. 2019, 10, 1144. [Google Scholar] [CrossRef]
- Murthy, K.G.K.; Deb, A.; Goonesekera, S.; Szabó, C.; Salzman, A.L. Identification of Conserved Domains in Salmonella muenchen Flagellin That Are Essential for Its Ability to Activate TLR5 and to Induce an Inflammatory Response In Vitro. J. Biol. Chem. 2004, 279, 5667–5675. [Google Scholar] [CrossRef]
- Blanke, S.R.; Forstnerič, V.; Ivičak-Kocjan, K.; Plaper, T.; Jerala, R.; Benčina, M. The role of the C-terminal D0 domain of flagellin in activation of Toll like receptor 5. PLoS Pathog. 2017, 13, e1006574. [Google Scholar] [CrossRef]
- Wang, F.; Burrage, A.M.; Postel, S.; Clark, R.E.; Orlova, A.; Sundberg, E.J.; Kearns, D.B.; Egelman, E.H. A structural model of flagellar filament switching across multiple bacterial species. Nat. Commun. 2017, 8, 960. [Google Scholar] [CrossRef]
- López-Yglesias, A.H.; Lu, C.-C.; Zhao, X.; Chou, T.; VandenBos, T.; Strong, R.K.; Smith, K.D. FliC’s Hypervariable D3 Domain Is Required for Robust Anti-Flagellin Primary Antibody Responses. ImmunoHorizons 2019, 3, 422–432. [Google Scholar] [CrossRef]
- Nempont, C.m.; Cayet, D.; Rumbo, M.; Bompard, C.; Villeret, V.; Sirard, J.-C. Deletion of Flagellin’s Hypervariable Region Abrogates Antibody-Mediated Neutralization and Systemic Activation of TLR5-Dependent Immunity. J. Immunol. 2008, 181, 2036–2043. [Google Scholar] [CrossRef]
- Nedeljković, M.; Sastre, D.; Sundberg, E. Bacterial Flagellar Filament: A Supramolecular Multifunctional Nanostructure. Int. J. Mol. Sci. 2021, 22, 7521. [Google Scholar] [CrossRef]
- Kreutzberger, M.A.B.; Sobe, R.C.; Sauder, A.B.; Chatterjee, S.; Peña, A.; Wang, F.; Giron, J.A.; Kiessling, V.; Costa, T.R.D.; Conticello, V.P.; et al. Flagellin outer domain dimerization modulates motility in pathogenic and soil bacteria from viscous environments. Nat. Commun. 2022, 13, 1422. [Google Scholar] [CrossRef]
- Duan, Q.; Zhou, M.; Liang, H.; Zhu, X.; Guo, Z.; Li, Y.; Hardwidge, P.R.; Zhu, G. Contribution of flagellin subunit FliC to piglet epithelial cells invasion by F18ab E. coli. Vet. Microbiol. 2013, 166, 220–224. [Google Scholar] [CrossRef] [PubMed]
- Letran, S.E.; Lee, S.J.; Atif, S.M.; Uematsu, S.; Akira, S.; McSorley, S.J. TLR5 functions as an endocytic receptor to enhance flagellin-specific adaptive immunity. Eur. J. Immunol. 2010, 41, 29–38. [Google Scholar] [CrossRef]
- Hess, S.; Eme, L.; Roger, A.J.; Simpson, A.G.B. A natural toroidal microswimmer with a rotary eukaryotic flagellum. Nat. Microbiol. 2019, 4, 1620–1626. [Google Scholar] [CrossRef]
- Braga, C.J.M.; Massis, L.M.; Sbrogio-Almeida, M.E.; Alencar, B.C.G.; Bargieri, D.Y.; Boscardin, S.B.; Rodrigues, M.M.; Ferreira, L.C.S. CD8+ T cell adjuvant effects of Salmonella FliCd flagellin in live vaccine vectors or as purified protein. Vaccine 2010, 28, 1373–1382. [Google Scholar] [CrossRef] [PubMed]
- Girard, A.; Saron, W.; Bergeron-Sandoval, L.-P.; Sarhan, F.; Archambault, D. Flagellin produced in plants is a potent adjuvant for oral immunization. Vaccine 2011, 29, 6695–6703. [Google Scholar] [CrossRef] [PubMed]
- Yu, X.; Guo, C.; Yi, H.; Qian, J.; Fisher, P.B.; Subjeck, J.R.; Wang, X.-Y. A Multifunctional Chimeric Chaperone Serves as a Novel Immune Modulator Inducing Therapeutic Antitumor Immunity. Cancer Res. 2013, 73, 2093–2103. [Google Scholar] [CrossRef]
- Hajam, I.A.; Dar, P.A.; ChandraSekar, S.; Nanda, R.K.; Kishore, S.; Bhanuprakash, V.; Ganesh, K. Co-administration of flagellin augments immune responses to inactivated foot-and-mouth disease virus (FMDV) antigen. Res. Vet. Sci. 2013, 95, 936–941. [Google Scholar] [CrossRef]
- Bagheri, M.; Khani, M.-H.; Zahmatkesh, A.; Barkhordari, M.; Ebrahimi, M.M.; Asli, E.; Shahsavandi, S.; Banihashemi, S.R.; Esmaeilnejad-Ahranjani, P.; Moradi Bidhendi, S. Evaluation of cellular and humoral immune response in chickens immunized with flagellin-adjuvanted inactivated newcastle disease virus. Comp. Immunol. Microbiol. Infect. Dis. 2022, 85, 101796. [Google Scholar] [CrossRef]
- Gao, F.; Pang, J.; Lu, M.; Liu, Z.; Wang, M.; Ke, X.; Yi, M.; Cao, J. TLR5 recognizes Aeromonas hydrophila flagellin and interacts with MyD88 in Nile tilapia. Dev. Comp. Immunol. 2022, 133, 104409. [Google Scholar] [CrossRef]
- Cendra, M.d.M.; Christodoulides, M.; Hossain, P. Signaling Mediated by Toll-Like Receptor 5 Sensing of Pseudomonas aeruginosa Flagellin Influences IL-1β and IL-18 Production by Primary Fibroblasts Derived from the Human Cornea. Front. Cell. Infect. Microbiol. 2017, 7, 130. [Google Scholar] [CrossRef]
- Torres, A.G.; Dickey, A.K.; Chantratita, N.; Tandhavanant, S.; Ducken, D.; Lovelace-Macon, L.; Seal, S.; Robertson, J.; Myers, N.D.; Schwarz, S.; et al. Flagellin-independent effects of a Toll-like receptor 5 polymorphism in the inflammatory response to Burkholderia pseudomallei. PLoS Neglect. Trop. Dis. 2019, 13, e7354. [Google Scholar] [CrossRef]
- Flores-Langarica, A.; Bobat, S.; Marshall, J.L.; Yam-Puc, J.C.; Cook, C.N.; Serre, K.; Kingsley, R.A.; Flores-Romo, L.; Uematsu, S.; Akira, S.; et al. Soluble flagellin coimmunization attenuates Th1 priming to Salmonella and clearance by modulating dendritic cell activation and cytokine production. Eur. J. Immunol. 2015, 45, 2299–2311. [Google Scholar] [CrossRef] [PubMed]
- Chebly, H.; Marvaud, J.-C.; Safa, L.; Elkak, A.K.; Kobeissy, P.H.; Kansau, I.; Larrazet, C. Clostridioides difficile Flagellin Activates the Intracellular NLRC4 Inflammasome. Int. J. Mol. Sci. 2022, 23, 12366. [Google Scholar] [CrossRef] [PubMed]
- Orr, M.T.; Beebe, E.A.; Hudson, T.E.; Moon, J.J.; Fox, C.B.; Reed, S.G.; Coler, R.N. A dual TLR agonist adjuvant enhances the immunogenicity and protective efficacy of the tuberculosis vaccine antigen ID93. PLoS ONE 2014, 9, e83884. [Google Scholar] [CrossRef]
- Hinkula, J.; Nystrom, S.; Devito, C.; Brave, A.; Applequist, S.E. Long-Lasting Mucosal and Systemic Immunity against Influenza A Virus Is Significantly Prolonged and Protective by Nasal Whole Influenza Immunization with Mucosal Adjuvant N3 and DNA-Plasmid Expressing Flagellin in Aging In- and Outbred Mice. Vaccines 2019, 7, 64. [Google Scholar] [CrossRef]
- Nguyen, C.T.; Hong, S.H.; Sin, J.I.; Vu, H.V.; Jeong, K.; Cho, K.O.; Uematsu, S.; Akira, S.; Lee, S.E.; Rhee, J.H. Flagellin enhances tumor-specific CD8(+) T cell immune responses through TLR5 stimulation in a therapeutic cancer vaccine model. Vaccine 2013, 31, 3879–3887. [Google Scholar] [CrossRef]
- Treanor, J.J.; Taylor, D.N.; Tussey, L.; Hay, C.; Nolan, C.; Fitzgerald, T.; Liu, G.; Kavita, U.; Song, L.; Dark, I.; et al. Safety and immunogenicity of a recombinant hemagglutinin influenza–flagellin fusion vaccine (VAX125) in healthy young adults. Vaccine 2010, 28, 8268–8274. [Google Scholar] [CrossRef]
- Talbot, H.K.; Rock, M.T.; Johnson, C.; Tussey, L.; Kavita, U.; Shanker, A.; Shaw, A.R.; Taylor, D.N. Immunopotentiation of trivalent influenza vaccine when given with VAX102, a recombinant influenza M2e vaccine fused to the TLR5 ligand flagellin. PLoS ONE 2010, 5, e14442. [Google Scholar] [CrossRef]
- Makvandi, M.; Teimoori, A.; Parsa Nahad, M.; Khodadadi, A.; Ghasemi deh cheshmeh, M.; Zandi, M. Expression of Salmonella typhimurium and Escherichia coli flagellin protein and its functional characterization as an adjuvant. Microb. Pathog. 2018, 118, 87–90. [Google Scholar] [CrossRef]
- Jumper, J.; Evans, R.; Pritzel, A.; Green, T.; Figurnov, M.; Ronneberger, O.; Tunyasuvunakool, K.; Bates, R.; Žídek, A.; Potapenko, A.; et al. Highly accurate protein structure prediction with AlphaFold. Nature 2021, 596, 583–589. [Google Scholar] [CrossRef]
- Duan, Q.; Pang, S.; Wu, W.; Jiang, B.; Zhang, W.; Liu, S.; Wang, X.; Pan, Z.; Zhu, G. A multivalent vaccine candidate targeting enterotoxigenic Escherichia coli fimbriae for broadly protecting against porcine post-weaning diarrhea. Vet. Res. 2020, 51, 93. [Google Scholar] [CrossRef] [PubMed]
- Côté-Cyr, M.; Gauthier, L.; Zottig, X.; Bourgault, S.; Archambault, D. Recombinant Bacillus subtilis flagellin Hag is a potent immunostimulant with reduced proinflammatory properties compared to Salmonella enterica serovar Typhimurium FljB. Vaccine 2022, 40, 11–17. [Google Scholar] [CrossRef] [PubMed]
- Xiong, D.; Song, L.; Zhai, X.; Geng, S.; Pan, Z.; Jiao, X. A porcine reproductive and respiratory syndrome virus (PRRSV) vaccine candidate based on the fusion protein of PRRSV glycoprotein 5 and the Toll-like Receptor-5 agonist Salmonella typhimurium FljB. BMC Vet. Res. 2015, 11, 121. [Google Scholar] [CrossRef]
- Pang, S.; Wu, W.; Liu, Q.; Zhu, G.; Duan, Q. Different serotypes of Escherichia coli flagellin exert identical adjuvant effects. BMC Vet. Res. 2022, 18, 308. [Google Scholar] [CrossRef] [PubMed]
- Senevirathne, A.; Hewawaduge, C.; Lee, J.H. Immunization of chicken with flagellin adjuvanted Salmonella enteritidis bacterial ghosts confers complete protection against chicken salmonellosis. Poult. Sci. 2021, 100, 101205. [Google Scholar] [CrossRef]
- Smith, K.D.; Andersen-Nissen, E.; Hayashi, F.; Strobe, K.; Bergman, M.A.; Barrett, S.L.R.; Cookson, B.T.; Aderem, A. Toll-like receptor 5 recognizes a conserved site on flagellin required for protofilament formation and bacterial motility. Nat. Immunol. 2003, 4, 1247–1253. [Google Scholar] [CrossRef]
- Zhuang, X.Y.; Lo, C.J. Construction and Loss of Bacterial Flagellar Filaments. Biomolecules 2020, 10, 1528. [Google Scholar] [CrossRef]
- Chu, J.; Liu, J.; Hoover, T.R. Phylogenetic Distribution, Ultrastructure, and Function of Bacterial Flagellar Sheaths. Biomolecules 2020, 10, 363. [Google Scholar] [CrossRef]
- Bouteiller, M.; Dupont, C.; Bourigault, Y.; Latour, X.; Barbey, C.; Konto-Ghiorghi, Y.; Merieau, A. Pseudomonas Flagella: Generalities and Specificities. Int. J. Mol. Sci. 2021, 22, 3337. [Google Scholar] [CrossRef]
- Zhou, M.; Yang, Y.; Chen, P.; Hu, H.; Hardwidge, P.R.; Zhu, G. More than a locomotive organelle: Flagella in Escherichia coli. Appl. Microbiol. Biotechnol. 2015, 99, 8883–8890. [Google Scholar] [CrossRef]
- Song, W.S.; Jeon, Y.J.; Namgung, B.; Hong, M.; Yoon, S.-i. A conserved TLR5 binding and activation hot spot on flagellin. Sci. Rep. 2017, 7, 40878. [Google Scholar] [CrossRef] [PubMed]
- Mizel, S.B.; Bates, J.T. Flagellin as an adjuvant: Cellular mechanisms and potential. J. Immunol. 2010, 185, 5677–5682. [Google Scholar] [CrossRef] [PubMed]
- Song, W.S.; Yoon, S.-i. Crystal structure of FliC flagellin from Pseudomonas aeruginosa and its implication in TLR5 binding and formation of the flagellar filament. Biochem. Biophys. Res. Commun. 2014, 444, 109–115. [Google Scholar] [CrossRef] [PubMed]
- Sefidi, M.D.; Rasooli, I.; Owlia, P.; Talei, D.; Astaneh, S.D.; Nazarian, S. Adjuvant role of Pseudomonas flagellin for Acinetobacter baumannii biofilm associated protein. World J. Methodol. 2016, 6, 190–199. [Google Scholar] [CrossRef] [PubMed]
- Delavari, S.; Sohrabi, M.; Ardestani, M.S.; Faezi, S.; Tebianian, M.; Taghizadeh, M.; Shajiei, A.; Hosseini, S.Y.; Moghaddampour, M.; Mahdavi, M. Pseudomonas aeruginosa flagellin as an adjuvant: Superiority of a conjugated form of flagellin versus a mixture with a human immunodeficiency virus type 1 vaccine candidate in the induction of immune responses. J. Med. Microbiol. 2015, 64, 1361–1368. [Google Scholar] [CrossRef][Green Version]
- Blanco-Perez, F.; Papp, G.; Goretzki, A.; Moller, T.; Anzaghe, M.; Schulke, S. Adjuvant Allergen Fusion Proteins as Novel Tools for the Treatment of Type I Allergies. Arch. Immunol. Ther. Exp. 2019, 67, 273–293. [Google Scholar] [CrossRef]
- Zhao, Y.; Li, Z.; Voyer, J.; Li, Y.; Chen, X. Flagellin/Virus-like Particle Hybrid Platform with High Immunogenicity, Safety, and Versatility for Vaccine Development. ACS Appl. Mater. Interfaces 2022, 14, 21872–21885. [Google Scholar] [CrossRef]
- Oh, S.-h.; Kim Cho, Y.-S.; Lee, H.-B.; Lee, S.-M.; Kim, W.-S.; Hong, L.; Cho, C.-S.; Choi, Y.-J.; Kang, S.-K. Enhancement of antigen-specific humoral immune responses and protein solubility through conjugation of bacterial flagellin, Vibrio vulnificus FlaB, to the N-terminus of porcine epidemic diarrhea virus surface protein antigen S0. J. Vet. Sci. 2019, 20, e70. [Google Scholar] [CrossRef]
- Gupta, S.K.; Deb, R.; Gaikwad, S.; Saravanan, R.; Mohan, C.M.; Dey, S. Recombinant flagellin and its cross-talk with lipopolysaccharide—Effect on pooled chicken peripheral blood mononuclear cells. Res. Vet. Sci. 2013, 95, 930–935. [Google Scholar] [CrossRef]





| Primer Names | Primer Sequences (5′-3′) |
|---|---|
| fliCEC-F | CGCGGATCCATGGCACAAGTCATTAATACCAACAG |
| fliCEC-R | GAGCGTCGACTTAACCCTGCAGCAGAGACAGAAC |
| fliCST-F | CGCGGATCCATGGCACAAGTCATTAATACA |
| fliCST-R | AACGAGCTCTTAACGCAGTAAAGAGAGGAC |
| fliCPA-F | CGCGGATCCATGGCCCTTACAGTCAACACG |
| fliCPA-R | AACGAGCTCTTAGCGCAGCAGGCTCAGGA |
| faeG-F | ATTCGGGATCCATGAAAAAGAC |
| faeG-R | CAGCGTCGACTTAGTAATAAGT |
| GAPDH-F | GCCTTCCGTGTTCCTACCC |
| GAPDH-R | TGCCTGCTTCACCACCTTC |
| Il4-F | ACAGGAGAAGGGACGCCAT |
| Il4-R | GAAGCCCTACAGACGAGCTCA |
| Tnfα-F | AGCCCCCAGTCTGTATCCTT |
| Tnfα-R | CTCCCTTTGCAGAACTCAGG |
Disclaimer/Publisher’s Note: The statements, opinions and data contained in all publications are solely those of the individual author(s) and contributor(s) and not of MDPI and/or the editor(s). MDPI and/or the editor(s) disclaim responsibility for any injury to people or property resulting from any ideas, methods, instructions or products referred to in the content. |
© 2024 by the authors. Licensee MDPI, Basel, Switzerland. This article is an open access article distributed under the terms and conditions of the Creative Commons Attribution (CC BY) license (https://creativecommons.org/licenses/by/4.0/).
Share and Cite
Pang, S.; Liu, M.; Wang, L.; Shao, M.; Zhu, G.; Duan, Q. Differential Adjuvant Activity by Flagellins from Escherichia coli, Salmonella enterica Serotype Typhimurium, and Pseudomonas aeruginosa. Vaccines 2024, 12, 1212. https://doi.org/10.3390/vaccines12111212
Pang S, Liu M, Wang L, Shao M, Zhu G, Duan Q. Differential Adjuvant Activity by Flagellins from Escherichia coli, Salmonella enterica Serotype Typhimurium, and Pseudomonas aeruginosa. Vaccines. 2024; 12(11):1212. https://doi.org/10.3390/vaccines12111212
Chicago/Turabian StylePang, Shengmei, Mei Liu, Longlong Wang, Mingqing Shao, Guoqiang Zhu, and Qiangde Duan. 2024. "Differential Adjuvant Activity by Flagellins from Escherichia coli, Salmonella enterica Serotype Typhimurium, and Pseudomonas aeruginosa" Vaccines 12, no. 11: 1212. https://doi.org/10.3390/vaccines12111212
APA StylePang, S., Liu, M., Wang, L., Shao, M., Zhu, G., & Duan, Q. (2024). Differential Adjuvant Activity by Flagellins from Escherichia coli, Salmonella enterica Serotype Typhimurium, and Pseudomonas aeruginosa. Vaccines, 12(11), 1212. https://doi.org/10.3390/vaccines12111212

