A New Licensed Quadrivalent Antileptospiral Canine Vaccine Prevents Mortality, Clinical Signs, Infection, Bacterial Excretion, Renal Carriage and Renal Lesions Caused by Leptospira Australis Experimental Challenge
Abstract
1. Introduction
2. Material and Methods
2.1. Vaccines and Solvent
2.2. Animals
2.3. Experimental Design
2.4. Challenge
2.5. Clinical Monitoring
2.6. Sample Collection and Laboratory Analyses
2.7. Analyses of the Results
2.7.1. Clinical Score
2.7.2. Hematological and Biochemical Data
2.7.3. Statistical Analyses
3. Results
3.1. Serology
3.2. Clinical Signs
3.3. Hematology and Biochemistry
3.4. Detection of Leptospires in Blood, Urine, and Kidney
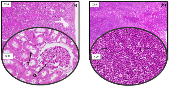
3.5. Histopathological Findings
4. Discussion
5. Conclusions
Author Contributions
Funding
Institutional Review Board Statement
Data Availability Statement
Acknowledgments
Conflicts of Interest
Abbreviations
References
- Adler, B.; de la Peña Moctezuma, A. Leptospira and leptospirosis. Vet. Microbiol. 2010, 140, 287–296. [Google Scholar] [CrossRef] [PubMed]
- Levett, P.N. Leptospirosis. Clin. Microbiol. Rev. 2001, 14, 296–326. [Google Scholar] [CrossRef] [PubMed]
- Ellis, W.A. Animal leptospirosis. Curr. Top. Microbiol. Immunol. 2015, 387, 99–137. [Google Scholar] [CrossRef]
- Goldstein, R.E. Canine leptospirosis. Vet. Clin. N. Am. Small Anim. Pract. 2010, 40, 1091–1101. [Google Scholar] [CrossRef] [PubMed]
- Schuller, S.; Francey, T.; Hartmann, K.; Hugonnard, M.; Kohn, B.; Nally, J.E.; Sykes, J. European consensus statement on leptospirosis in dogs and cats. J. Small Anim. Pract. 2015, 56, 159–179. [Google Scholar] [CrossRef] [PubMed]
- Ricardo, T.; Previtali, M.A.; Signorini, M. Meta-analysis of risk factors for canine leptospirosis. Prev. Vet. Med. 2020, 181, 105037. [Google Scholar] [CrossRef]
- Ellis, W.A. Control of canine leptospirosis in Europe: Time for a change? Vet. Rec. 2010, 167, 602–605. [Google Scholar] [CrossRef]
- Renaud, C.; Andrews, S.; Djelouadji, Z.; Lecheval, S.; Corrao-Revol, N.; Buff, S.; Demont, P.; Kodjo, A. Prevalence of the Leptospira serovars bratislava, grippotyphosa, mozdok and pomona in French dogs. Vet. J. 2013, 196, 126–127. [Google Scholar] [CrossRef]
- Ayral, F.C.; Bicout, D.J.; Pereira, H.; Artois, M.; Kodjo, A. Distribution of Leptospira serogroups in cattle herds and dogs in France. Am. J. Trop. Med. Hyg. 2014, 91, 756–759. [Google Scholar] [CrossRef]
- Tagliabue, S.; Figarolli, B.M.; D’Incau, M.; Foschi, G.; Gennero, M.S.; Giordani, R.; Natale, A.; Papa, P.; Ponti, N.; Scaltrito, D.; et al. Serological surveillance of Leptospirosis in Italy: Two-year national data (2010–2011). Vet. Ital. 2016, 52, 129–138. [Google Scholar] [CrossRef]
- Major, A.; Schweighauser, A.; Francey, T. Increasing incidence of canine leptospirosis in Switzerland. Int. J. Environ. Res. Public. Health 2014, 11, 7242–7260. [Google Scholar] [CrossRef] [PubMed]
- Delaude, A.; Rodriguez-Campos, S.; Dreyfus, A.; Counotte, M.J.; Francey, T.; Schweighauser, A.; Lettry, S.; Schuller, S. Canine leptospirosis in Switzerland—A prospective cross-sectional study examining seroprevalence, risk factors and urinary shedding of pathogenic leptospires. Prev. Vet. Med. 2017, 141, 48–60. [Google Scholar] [CrossRef]
- Arent, Z.J.; Andrews, S.; Adamama-Moraitou, K.; Gilmore, C.; Pardali, D.; Ellis, W.A. Emergence of novel Leptospira serovars: A need for adjusting vaccination policies for dogs? Epidemiol. Infect. 2013, 141, 1148–1153. [Google Scholar] [CrossRef]
- López, M.C.; Vila, A.; Rodón, J.; Roura, X. Leptospira seroprevalence in owned dogs from Spain. Heliyon 2019, 5, e02373. [Google Scholar] [CrossRef] [PubMed]
- Mayer-Scholl, A.; Luge, E.; Draeger, A.; Nöckler, K.; Kohn, B. Distribution of Leptospira serogroups in dogs from Berlin, Germany. Vector Borne Zoonotic Dis. 2013, 13, 200–202. [Google Scholar] [CrossRef] [PubMed]
- Scahill, K.; Windahl, U.; Boqvist, S.; Pelander, L. Leptospira seroprevalence and associated risk factors in healthy Swedish dogs. BMC Vet. Res. 2022, 18, 376. [Google Scholar] [CrossRef] [PubMed]
- Wenderlein, J.; Zitzl, T.; Dufay-Simon, N.; Cachet, N.; Pantchev, N.; Le Guyader, M.; Fontana, C.; Bomchil, N.; Tronel, J.P.; Cupillard, L.; et al. Detection and Identification of Pathogenic Leptospira spp. Serogroups in Europe between 2017 and 2020 Applying a Novel Gene-Based Molecular Approach. Transbound. Emerg. Dis. 2024, 2024, 1101841. [Google Scholar] [CrossRef]
- Goldstein, R.E.; Lin, R.C.; Langston, C.E.; Scrivani, P.V.; Erb, H.N.; Barr, S.C. Influence of infecting serogroup on clinical features of leptospirosis in dogs. J. Vet. Intern. Med. 2006, 20, 489–494. [Google Scholar] [CrossRef]
- Koizumi, N.; Muto, M.M.; Akachi, S.; Okano, S.; Yamamoto, S.; Horikawa, K.; Harada, S.; Funatsumaru, S.; Ohnishi, M. Molecular and serological investigation of Leptospira and leptospirosis in dogs in Japan. J. Med. Microbiol. 2013, 62 Pt 4, 630–636. [Google Scholar] [CrossRef]
- Koizumi, N.; Muto, M.M.; Izumiya, H.; Suzuki, M.; Ohnishi, M. Multiple-locus variable-number tandem repeat analysis and clinical characterization of Leptospira interrogans canine isolates. J. Med. Microbiol. 2015, 64 Pt 3, 288–294. [Google Scholar] [CrossRef][Green Version]
- Saeki, J.; Tanaka, A. Canine Leptospirosis Outbreak in Japan. Front. Vet. Sci. 2021, 8, 763859. [Google Scholar] [CrossRef] [PubMed]
- Abreu, J.A.P.; Krawczak, F.D.S.; Guedes, I.B.; Souza-Filho, A.F.; Souza, G.O.; Binder, L.C.; de Oliveira, C.S.; Sponchiado, J.; Melo, G.L.; Labruna, M.B.; et al. Frequency of anti-Leptospira spp. antibodies in dogs and wild small mammals from rural properties and conservation units in southern Brazil. One Health 2019, 8, 100104. [Google Scholar] [CrossRef] [PubMed]
- Orr, B.; Westman, M.E.; Malik, R.; Purdie, A.; Craig, S.B.; Norris, J.M. Leptospirosis is an emerging infectious disease of pig-hunting dogs and humans in North Queensland. PLoS Negl. Trop. Dis. 2022, 16, e0010100. [Google Scholar] [CrossRef] [PubMed]
- Wilson, S.; Stirling, C.; Thomas, A.; King, V.; Plevová, E.; Chromá, L.; Siedek, E.; Illambas, J.; Salt, J.; Sture, G. A new multivalent (DHPPi/L4R) canine combination vaccine prevents infection, shedding and clinical signs following experimental challenge with four Leptospira serovars. Vaccine 2013, 31, 3131–3134. [Google Scholar] [CrossRef]
- Wilson, S.; Stirling, C.; Thomas, A.; King, V.; Plevová, E.; Chromá, L.; Siedek, E.; Illambas, J.; Salt, J.; Sture, G. Duration of immunity of a multivalent (DHPPi/L4R) canine vaccine against four Leptospira serovars. Vaccine 2013, 31, 3126–3130. [Google Scholar] [CrossRef]
- Klaasen, H.L.; van der Veen, M.; Molkenboer, M.J.; Sutton, D. A novel tetravalent Leptospira bacterin protects against infection and shedding following challenge in dogs. Vet. Rec. 2013, 172, 181. [Google Scholar] [CrossRef]
- Klaasen, H.L.; van der Veen, M.; Sutton, D.; Molkenboer, M.J. A new tetravalent canine leptospirosis vaccine provides at least 12 months immunity against infection. Vet. Immunol. Immunopathol. 2014, 158, 26–29. [Google Scholar] [CrossRef]
- Bouvet, J.; Cariou, C.; Valfort, W.; Villard, S.; Hilaire, F.; Oberli, F.; Cupillard, L.; Guigal, P.M. Efficacy of a multivalent DAPPi-Lmulti canine vaccine against mortality, clinical signs, infection, bacterial excretion, renal carriage and renal lesions caused by Leptospira experimental challenges. Vaccine Rep. 2016, 6, 23–28. [Google Scholar] [CrossRef]
- Bergamo, P.; Le Guyader, M.; Hugonnard, M.; Bourhy, P.; Simon-Dufay, N.; Bouvet, J.; Thibault, J.C.; Cupillard, L. Isolation of virulent Leptospira serogroup Australis field strains from symptomatic dogs for canine leptospiral vaccine development. Microorganisms 2024, 12, 1946. [Google Scholar] [CrossRef]
- Cariou, C.; Herbet, G.; Ripart, P.; Martin-Cagnon, N.; Bouvet, J.; Schneider, M.; Guiot, A.L.; Cupillard, L. Development of antibody ELISA specific of Leptospira interrogans serovar Grippotyphosa, Canicola, and Icterohaemorrhagiae to monitor vaccine immunogenicity. Vet. Immunol. Immunopathol. 2020, 219, 109960. [Google Scholar] [CrossRef]
- Nervig, R.M.; Garrett, L.A. Use of furosemide to obtain bovine urine samples for leptospiral isolation. Am. J. Vet. Res. 1979, 40, 1197–1200. [Google Scholar] [PubMed]
- Blanchard, S.; Cariou, C.; Bouvet, J.; Valfort, W.; Oberli, F.; Villard, S.; Barret-Hilaire, F.; Poulet, H.; Cupillard, L.; de Saint-Vis, B. Quantitative Real-Time PCR Assays for the Detection of Pathogenic Leptospira Species in Urine and Blood Samples in Canine Vaccine Clinical Studies: A Rapid Alternative to Classical Culture Methods. J. Clin. Microbiol. 2021, 59, e0300620. [Google Scholar] [CrossRef] [PubMed]
- Minke, J.M.; Bey, R.; Tronel, J.P.; Latour, S.; Colombet, G.; Yvorel, J. Onset and duration of protective immunity against clinical disease and renal carriage in dogs provided by a bi-valent inactivated leptospirosis vaccine. Vet. Microbiol. 2009, 137, 137–145. [Google Scholar] [CrossRef] [PubMed]
- Klaasen, H.L.B.M.; Veen, M.V.; Dorrestein-Spierenburg, C.M.; Cao, Q. An Assessment and Comparison of the Efficacy of Two Licensed Tetravalent Leptospira Vaccines for Dogs Using an Improved Challenge Model. Vaccines 2022, 10, 1472. [Google Scholar] [CrossRef] [PubMed]
- Mastrorilli, C.; Dondi, F.; Agnoli, C.; Turba, M.E.; Vezzali, E.; Gentilini, F. Clinicopathologic features and outcome predictors of Leptospira interrogans Australis serogroup infection in dogs: A retrospective study of 20 cases (2001–2004). J. Vet. Intern. Med. 2007, 21, 3–10. [Google Scholar] [CrossRef]
- Balboni, A.; Zamagni, S.; Bertasio, C.; Boniotti, M.B.; Troìa, R.; Battilani, M.; Dondi, F. Identification of Serogroups Australis and Icterohaemorrhagiae in Two Dogs with a Severe Form of Acute Leptospirosis in Italy. Pathogens 2020, 9, 351. [Google Scholar] [CrossRef]
- Song, N.; Zhang, W.; Ding, Y.; Wu, D.; Dai, Z.; Xu, L.; Cao, Y. Preliminary Characterization of Dog Derived Pathogenic Strains of Leptospira interrogans Serovar Australis in Nanchang of Jiangxi Province, China. Front. Vet. Sci. 2021, 7, 607115. [Google Scholar] [CrossRef]
- Llewellyn, J.R.; Krupka-Dyachenko, I.; Rettinger, A.L.; Dyachenko, V.; Stamm, I.; Kopp, P.A.; Straubinger, R.K.; Hartmann, K. Urinary shedding of leptospires and presence of Leptospira antibodies in healthy dogs from Upper Bavaria. Berl. Munch. Tierarztl. Wochenschr. 2016, 129, 251–257. [Google Scholar]
- Altheimer, K.; Jongwattanapisan, P.; Luengyosluechakul, S.; Pusoonthornthum, R.; Prapasarakul, N.; Kurilung, A.; Broens, E.M.; Wagenaar, J.A.; Goris, M.G.A.; Ahmed, A.A.; et al. Leptospira infection and shedding in dogs in Thailand. BMC Vet. Res. 2020, 16, 89. [Google Scholar] [CrossRef]
- Rojas, P.; Monahan, A.M.; Schuller, S.; Miller, I.S.; Markey, B.K.; Nally, J.E. Detection and quantification of leptospires in urine of dogs: A maintenance host for the zoonotic disease leptospirosis. Eur. J. Clin. Microbiol. Infect. Dis. 2010, 29, 1305–1309. [Google Scholar] [CrossRef]
- Harkin, K.R.; Roshto, Y.M.; Sullivan, J.T.; Purvis, T.J.; Chengappa, M.M. Comparison of polymerase chain reaction assay, bacteriologic culture, and serologic testing in assessment of prevalence of urinary shedding of leptospires in dogs. J. Am. Vet. Med. Assoc. 2003, 222, 1230–1233. [Google Scholar] [CrossRef] [PubMed]
- Sant’anna, R.; Vieira, A.S.; Grapiglia, J.; Lilenbaum, W. High number of asymptomatic dogs as leptospiral carriers in an endemic area indicates a serious public health concern. Epidemiol. Infect. 2017, 145, 1852–1854. [Google Scholar] [CrossRef] [PubMed]
- Goy-Thollot, I.; Djelouadji, Z.; Nennig, M.; Hazart, G.; Hugonnard, M. Screening for Leptospira DNA in blood and urine from 30 apparently healthy dogs. Rev. Vet. Clin. 2018, 53, 79–86. [Google Scholar] [CrossRef]
- Adler, B. Vaccines against leptospirosis. Curr. Top. Microbiol. Immunol. 2015, 387, 251–272. [Google Scholar] [CrossRef]
- Hartman, E.G.; van Houten, M.; Frik, J.F.; van der Donk, J.A. Humoral immune response of dogs after vaccination against leptospirosis measured by an IgM- and IgG-specific ELISA. Vet. Immunol. Immunopathol. 1984, 7, 245–254. [Google Scholar] [CrossRef]
- Klaasen, H.L.; Molkenboer, M.J.; Vrijenhoek, M.P.; Kaashoek, M.J. Duration of immunity in dogs vaccinated against leptospirosis with a bivalent inactivated vaccine. Vet. Microbiol. 2003, 95, 121–132. [Google Scholar] [CrossRef]
- Martin, L.E.; Wiggans, K.T.; Wennogle, S.A.; Curtis, K.; Chandrashekar, R.; Lappin, M.R. Vaccine-associated Leptospira antibodies in client-owned dogs. J. Vet. Intern. Med. 2014, 28, 789–792, Erratum in: J. Vet. Intern. Med. 2022, Online ahead of print. [Google Scholar] [CrossRef]
- Novak, A.; Hindriks, E.; Hoek, A.; Veraart, C.; Broens, E.M.; Ludwig, I. Cellular and humoral immune responsiveness to inactivated Leptospira interrogans in dogs vaccinated with a tetravalent Leptospira vaccine. Vaccine 2023, 41, 119–129. [Google Scholar] [CrossRef]




| GENERAL CONDITION |
| 0 = good—animal in good health which plays and is attentive |
| 1 = apathy—animal with lack of energy (when compared to its normal behavior) or animal which stays lying but responds to stimuli |
| 2 = prostration—animal which stays lying without responding to stimuli 10 = animal found dead |
| DEHYDRATION |
| 0 = absence of dehydration |
| 1 = slight dehydration |
| 2 = severe dehydration |
| OCULAR SIGNS |
| 0 = absence of purulent discharge |
| 2 = purulent discharge |
| DIGESTIVE SIGNS: VOMITING |
| 0 = absence of signs |
| 1 = vomiting without abdominal pain |
| 2 = severe vomiting alone or abdominal pain alone or severe vomiting with blood and/or abdominal pain |
| DIGESTIVE SIGNS: DIARRHEA |
| 0 = absence of signs |
| 1 = non-bloody diarrhea |
| 2 = bloody diarrhea |
| CUTANEO-MUCOSAL SIGNS |
| 0 = absence of signs |
| 1 = slight icterus visible only on ocular mucosa |
| 2 = obvious icterus (of all non-pigmented body surfaces) alone or hemorrhagic disorders (petechiae, suffusions, hemorrhages) alone or obvious icterus with mucosa congestion and/or hemorrhagic disorders |
| Study | Titer at Time of 1st Vaccination | Titer at Time of Challenge | Titer after Challenge * | |
|---|---|---|---|---|
| Onset of immunity (OOI) | Vaccinates | neg | 0.51 (0.38–0.74) | <0.64 (neg–0.86) |
| Controls | neg | neg | 1.58 (0.60–2.27) | |
| Duration of immunity (DOI) | Vaccinates | neg | neg | 1.52 (1.06–1.98) |
| Controls | neg | neg | >1.78 (1.04–>2.41) | |
| neg: <0.30 | ||||
| Days after Challenge | |||||||||||||||
|---|---|---|---|---|---|---|---|---|---|---|---|---|---|---|---|
| Blood | Urine | Kidney | |||||||||||||
| Study | Group | 2 | 3 | 4 | 5 | 8 | 11/12 | 3 | 5 | 8 | 11/12 | 14 | 21 | 28 | Death/ Euthanasia |
| Onset of immunity (OOI) | V | 0/6 | 0/6 | 0/6 | 0/6 | 0/6 | 0/6 | 0/6 | 0/6 | 0/6 | 0/6 | 0/6 | 0/6 | 0/6 | 0/6 |
| C | 6/6 | 5/6 | 5/6 | 3/4 | 0/1 | 0/1 | 1/6 | 4/5 | 0/1 | 0/1 | 0/1 | 0/1 | 0/1 | 5/6 | |
| Duration of immunity (DOI) | V | 0/7 | 0/7 | 0/7 | 0/7 | 0/7 | 0/7 | 0/7 | 0/7 | 0/7 | 0/7 | 0/7 | 0/7 | 0/7 | 0/7 |
| C | 6/7 | 7/7 | 3/7 | 0/5 | 0/5 | 0/4 | 2/7 | 3/5 | 3/4 | 3/4 | 2/3 | 2/3 | 2/3 | 5/7 | |
| Onset of Immunity | Duration of Immunity | ||||||
|---|---|---|---|---|---|---|---|
| Parameter | V | C | p Value * | V | C | p Value * | Claim |
| Death | 0% | 83% | 0.003 | 0% | 57% | 0.012 | Prevents mortality |
| Clinical signs | 0% | 83% | 0.003 | 0% | 57% | 0.012 | Prevents clinical signs |
| Leptospiremia | 0% | 100% | <0.001 | 0% | 100% | <0.001 | Prevents infection |
| Leptospiruria | 0% | 67% | 0.011 | 0% | 86% | <0.001 | Prevents bacterial excretion |
| Positive kidney | 0% | 83% | 0.003 | 0% | 71% | 0.004 | Prevents renal carriage |
| Kidney lesions | 0% | 100% | <0.001 | 0% | 86% | <0.001 | Prevents renal lesions |
Disclaimer/Publisher’s Note: The statements, opinions and data contained in all publications are solely those of the individual author(s) and contributor(s) and not of MDPI and/or the editor(s). MDPI and/or the editor(s) disclaim responsibility for any injury to people or property resulting from any ideas, methods, instructions or products referred to in the content. |
© 2024 by the authors. Licensee MDPI, Basel, Switzerland. This article is an open access article distributed under the terms and conditions of the Creative Commons Attribution (CC BY) license (https://creativecommons.org/licenses/by/4.0/).
Share and Cite
Bouvet, J.; Segouffin Cariou, C.; Oberli, F.; Guiot, A.-L.; Cupillard, L. A New Licensed Quadrivalent Antileptospiral Canine Vaccine Prevents Mortality, Clinical Signs, Infection, Bacterial Excretion, Renal Carriage and Renal Lesions Caused by Leptospira Australis Experimental Challenge. Vaccines 2024, 12, 1104. https://doi.org/10.3390/vaccines12101104
Bouvet J, Segouffin Cariou C, Oberli F, Guiot A-L, Cupillard L. A New Licensed Quadrivalent Antileptospiral Canine Vaccine Prevents Mortality, Clinical Signs, Infection, Bacterial Excretion, Renal Carriage and Renal Lesions Caused by Leptospira Australis Experimental Challenge. Vaccines. 2024; 12(10):1104. https://doi.org/10.3390/vaccines12101104
Chicago/Turabian StyleBouvet, Jérôme, Carine Segouffin Cariou, Frantz Oberli, Anne-Laure Guiot, and Lionel Cupillard. 2024. "A New Licensed Quadrivalent Antileptospiral Canine Vaccine Prevents Mortality, Clinical Signs, Infection, Bacterial Excretion, Renal Carriage and Renal Lesions Caused by Leptospira Australis Experimental Challenge" Vaccines 12, no. 10: 1104. https://doi.org/10.3390/vaccines12101104
APA StyleBouvet, J., Segouffin Cariou, C., Oberli, F., Guiot, A.-L., & Cupillard, L. (2024). A New Licensed Quadrivalent Antileptospiral Canine Vaccine Prevents Mortality, Clinical Signs, Infection, Bacterial Excretion, Renal Carriage and Renal Lesions Caused by Leptospira Australis Experimental Challenge. Vaccines, 12(10), 1104. https://doi.org/10.3390/vaccines12101104

