Mineralization Reduces the Toxicity and Improves Stability and Protective Immune Response Induced by Toxoplasma gondii
Abstract
1. Introduction
2. Materials and Methods
2.1. Mice and Parasites
2.2. Regulation and Determination of Tachyzoites ζ Potential
2.3. Mineralization of Tachyzoites
2.4. Scanning Electron Microscopy Observation
2.5. Thermostability Test
2.6. Evaluation of Mineralized Tachyzoites Safety in Mice
2.7. Vaccination of Mice
2.8. Antibody and Cytokine Measurement
2.9. Protection of Mice against Acute and Chronic Infection
2.10. Statistical Analyses
3. Results
3.1. Regulation and Determination of Tachyzoites ζ Potential
3.2. Characterization of Mineralized Tachyzoites
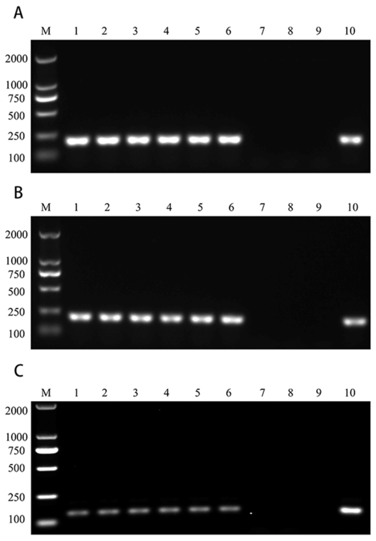
3.3. The Stability of Mineralized Tachyzoites
3.4. Safety Evaluation of Mineralized Tachyzoites
3.5. Immune Response Induced by Mineralized Tachyzoites
3.6. Protection against Acute and Chronic Infection
4. Discussion
5. Conclusions
Author Contributions
Funding
Institutional Review Board Statement
Informed Consent Statement
Data Availability Statement
Conflicts of Interest
References
- Darde, M.L. Toxoplasma gondii, “new” genotypes and virulence. Parasite 2008, 15, 366–371. [Google Scholar] [CrossRef] [PubMed]
- Pappas, G.; Roussos, N.; Falagas, M.E. Toxoplasmosis snapshots: Global status of Toxoplasma gondii seroprevalence and implications for pregnancy and congenital toxoplasmosis. Int. J. Parasitol. 2009, 39, 1385–1394. [Google Scholar] [CrossRef] [PubMed]
- Xiao, J.; Yolken, R.H. Strain hypothesis of Toxoplasma gondii infection on the outcome of human diseases. Acta Physiol. 2015, 213, 828–845. [Google Scholar] [CrossRef] [PubMed]
- Kochanowsky, J.A.; Koshy, A.A. Toxoplasma gondii. Curr. Biol. 2018, 28, R770–R771. [Google Scholar] [CrossRef] [PubMed]
- Melchor, S.J.; Ewald, S.E. Disease Tolerance in Toxoplasma Infection. Front. Cell. Infect. Microbiol. 2019, 9, 185. [Google Scholar] [CrossRef] [PubMed]
- Wang, Y.; Han, C.; Zhou, R.; Zhu, J.; Zhang, F.; Li, J.; Luo, Q.; Du, J.; Chu, D.; Cai, Y.; et al. Differential expression of TgMIC1 in isolates of Chinese 1 Toxoplasma with different virulence. Parasit. Vectors 2021, 14, 253. [Google Scholar] [CrossRef] [PubMed]
- Khorshidvand, Z.; Shirian, S.; Amiri, H.; Zamani, A.; Maghsood, A.H. Immunomodulatory chitosan nanoparticles for Toxoplasma gondii infection: Novel application of chitosan in complex propranolol-hydrochloride as an adjuvant in vaccine delivery. Int. J. Biol. Macromol. 2023, 253, 127228. [Google Scholar] [CrossRef] [PubMed]
- Wang, J.L.; Li, T.T.; Elsheikha, H.M.; Chen, K.; Cong, W.; Yang, W.B.; Bai, M.J.; Huang, S.Y.; Zhu, X.Q. Live Attenuated Pru:Deltacdpk2 Strain of Toxoplasma gondii Protects Against Acute, Chronic, and Congenital Toxoplasmosis. J. Infect. Dis. 2018, 218, 768–777. [Google Scholar] [CrossRef]
- Yoon, K.W.; Chu, K.B.; Kang, H.J.; Kim, M.J.; Eom, G.D.; Quan, F.S. Orally Administrated Recombinant Vaccinia Virus Displaying ROP4 Induces Protection against Toxoplasma gondii Challenge Infection. Vaccines 2022, 10, 152. [Google Scholar] [CrossRef]
- Hasan, T.; Kawanishi, R.; Akita, H.; Nishikawa, Y. Toxoplasma gondii GRA15 DNA Vaccine with a Liposomal Nanocarrier Composed of an SS-Cleavable and pH-Activated Lipid-like Material Induces Protective Immunity against Toxoplasmosis in Mice. Vaccines 2021, 10, 21. [Google Scholar] [CrossRef]
- Yu, Z.; He, K.; Cao, W.; Aleem, M.T.; Yan, R.; Xu, L.; Song, X.; Li, X. Nano vaccines for T. gondii Ribosomal P2 Protein With Nanomaterials as a Promising DNA Vaccine Against Toxoplasmosis. Front. Immunol. 2022, 13, 839489. [Google Scholar] [CrossRef] [PubMed]
- Zhang, N.Z.; Gao, Q.; Wang, M.; Elsheikha, H.M.; Wang, B.; Wang, J.L.; Zhang, F.K.; Hu, L.Y.; Zhu, X.Q. Immunization With a DNA Vaccine Cocktail Encoding TgPF, TgROP16, TgROP18, TgMIC6, and TgCDPK3 Genes Protects Mice Against Chronic Toxoplasmosis. Front. Immunol. 2018, 9, 1505. [Google Scholar] [CrossRef] [PubMed]
- Katzer, F.; Brulisauer, F.; Collantes-Fernandez, E.; Bartley, P.M.; Burrells, A.; Gunn, G.; Maley, S.W.; Cousens, C.; Innes, E.A. Increased Toxoplasma gondii positivity relative to age in 125 Scottish sheep flocks; evidence of frequent acquired infection. Vet. Res. 2011, 42, 121. [Google Scholar] [CrossRef] [PubMed]
- Schlehuber, L.D.; McFadyen, I.J.; Shu, Y.; Carignan, J.; Duprex, W.P.; Forsyth, W.R.; Ho, J.H.; Kitsos, C.M.; Lee, G.Y.; Levinson, D.A.; et al. Towards ambient temperature-stable vaccines: The identification of thermally stabilizing liquid formulations for measles virus using an innovative high-throughput infectivity assay. Vaccine 2011, 29, 5031–5039. [Google Scholar] [CrossRef] [PubMed][Green Version]
- Moradian-Oldak, J.; George, A. Biomineralization of Enamel and Dentin Mediated by Matrix Proteins. J. Dent. Res. 2021, 100, 1020–1029. [Google Scholar] [CrossRef] [PubMed]
- Yao, S.; Jin, B.; Liu, Z.; Shao, C.; Zhao, R.; Wang, X.; Tang, R. Biomineralization: From Material Tactics to Biological Strategy. Adv. Mater. 2017, 29, 1605903. [Google Scholar] [CrossRef] [PubMed]
- Sharma, V.; Srinivasan, A.; Nikolajeff, F.; Kumar, S. Biomineralization process in hard tissues: The interaction complexity within protein and inorganic counterparts. Acta Biomater. 2021, 120, 20–37. [Google Scholar] [CrossRef]
- Chua, K.B.; Ng, Q.; Meng, T.; Jia, Q. Safety and Immunogenicity of a Stable, Cold-Adapted, Temperature-Sensitive/Conditional Lethal Enterovirus A71 in Monkey Study. Viruses 2021, 13, 438. [Google Scholar] [CrossRef]
- Guo, M.; Li, J.; Teng, Z.; Ren, M.; Dong, H.; Zhang, Y.; Ru, J.; Du, P.; Sun, S.; Guo, H. Four Simple Biomimetic Mineralization Methods to Improve the Thermostability and Immunogenicity of Virus-like Particles as a Vaccine against Foot-and-Mouth Disease. Vaccines 2021, 9, 891. [Google Scholar] [CrossRef]
- Zhang, H.; Lin, Y.; Wang, J.; Lyu, R.G.; Meng, F.J.; Zhu, S. Synergistic activity of insulin combined with glucose on Toxoplasma gondii proliferation in Vero cells. Chin. Med. J. 2021, 134, 2762–2764. [Google Scholar] [CrossRef]
- Du, P.; Liu, R.; Sun, S.; Dong, H.; Zhao, R.; Tang, R.; Dai, J.; Yin, H.; Luo, J.; Liu, Z.; et al. Biomineralization improves the thermostability of foot-and-mouth disease virus-like particles and the protective immune response induced. Nanoscale 2019, 11, 22748–22761. [Google Scholar] [CrossRef] [PubMed]
- Yao, N.; He, J.K.; Pan, M.; Hou, Z.F.; Xu, J.J.; Yang, Y.; Tao, J.P.; Huang, S.Y. In Vitro Evaluation of Lavandula angustifolia Essential Oil on Anti-Toxoplasma Activity. Front. Cell Infect. Microbiol. 2021, 11, 755715. [Google Scholar] [CrossRef] [PubMed]
- Zhu, W.N.; Wang, J.L.; Chen, K.; Yue, D.M.; Zhang, X.X.; Huang, S.Y.; Zhu, X.Q. Evaluation of protective immunity induced by DNA vaccination with genes encoding Toxoplasma gondii GRA17 and GRA23 against acute toxoplasmosis in mice. Exp. Parasitol. 2017, 179, 20–27. [Google Scholar] [CrossRef] [PubMed]
- Kur, J.; Holec-Gasior, L.; Hiszczynska-Sawicka, E. Current status of toxoplasmosis vaccine development. Expert. Rev. Vaccines 2009, 8, 791–808. [Google Scholar] [CrossRef] [PubMed]
- Dubey, J.P. Toxoplasmosis in sheep--the last 20 years. Vet. Parasitol. 2009, 163, 1–14. [Google Scholar] [CrossRef] [PubMed]
- Zhang, X.; Yuan, H.; Mahmmod, Y.S.; Yang, Z.; Zhao, M.; Song, Y.; Luo, S.; Zhang, X.X.; Yuan, Z.G. Insight into the current Toxoplasma gondii DNA vaccine: A review article. Expert. Rev. Vaccines 2023, 22, 66–89. [Google Scholar] [CrossRef] [PubMed]
- Guan, N.; Liu, L. Microbial response to acid stress: Mechanisms and applications. Appl. Microbiol. Biotechnol. 2020, 104, 51–65. [Google Scholar] [CrossRef]
- Liu, Y.; Tang, H.; Lin, Z.; Xu, P. Mechanisms of acid tolerance in bacteria and prospects in biotechnology and bioremediation. Biotechnol. Adv. 2015, 33, 1484–1492. [Google Scholar] [CrossRef]
- Kartoglu, U.; Milstien, J. Tools and approaches to ensure quality of vaccines throughout the cold chain. Expert. Rev. Vaccines 2014, 13, 843–854. [Google Scholar] [CrossRef]
- Anamur, C.; Winter, G.; Engert, J. Stability of collapse lyophilized influenza vaccine formulations. Int. J. Pharm. 2015, 483, 131–141. [Google Scholar] [CrossRef]
- Lin, X.; Yang, Y.; Li, S.; Li, Z.; Sheng, Y.; Su, Z.; Zhang, S. Oil-in-ionic liquid nanoemulsion-based adjuvant simultaneously enhances the stability and immune responses of inactivated foot-and-mouth disease virus. Int. J. Pharm. 2022, 625, 122083. [Google Scholar] [CrossRef] [PubMed]
- Diab, M.R.; El-Bahy, M.M. Toxoplasma gondii: Virulence of tachyzoites in serum free media at different temperatures. Exp. Parasitol. 2008, 118, 75–79. [Google Scholar] [CrossRef] [PubMed]
- Teng, Z.; Hou, F.; Bai, M.; Li, J.; Wang, J.; Wu, J.; Ru, J.; Ren, M.; Sun, S.; Guo, H. Bio-mineralization of virus-like particles by metal-organic framework nanoparticles enhances the thermostability and immune responses of the vaccines. J. Mater. Chem. B 2022, 10, 2853–2864. [Google Scholar] [CrossRef] [PubMed]
- Liu, Y.; Xie, Z.; Li, Y.; Song, Y.; Di, D.; Liu, J.; Gong, L.; Chen, Z.; Wu, J.; Ye, Z.; et al. Evaluation of an I177L gene-based five-gene-deleted African swine fever virus as a live attenuated vaccine in pigs. Emerg. Microbes Infect. 2023, 12, 2148560. [Google Scholar] [CrossRef] [PubMed]
- Yao, Y.F.; Wang, Z.J.; Jiang, R.D.; Hu, X.; Zhang, H.J.; Zhou, Y.W.; Gao, G.; Chen, Y.; Peng, Y.; Liu, M.Q.; et al. Protective Efficacy of Inactivated Vaccine against SARS-CoV-2 Infection in Mice and Non-Human Primates. Virol. Sin. 2021, 36, 879–889. [Google Scholar] [CrossRef] [PubMed]
- Sayles, P.C.; Gibson, G.W.; Johnson, L.L. B cells are essential for vaccination-induced resistance to virulent Toxoplasma gondii. Infect. Immun. 2000, 68, 1026–1033. [Google Scholar] [CrossRef] [PubMed]
- Lima, T.S.; Lodoen, M.B. Mechanisms of Human Innate Immune Evasion by Toxoplasma gondii. Front. Cell Infect. Microbiol. 2019, 9, 103. [Google Scholar] [CrossRef]
- Yarovinsky, F. Innate immunity to Toxoplasma gondii infection. Nat. Rev. Immunol. 2014, 14, 109–121. [Google Scholar] [CrossRef]
- Jebbari, H.; Roberts, C.W.; Ferguson, D.J.; Bluethmann, H.; Alexander, J. A protective role for IL-6 during early infection with Toxoplasma gondii. Parasite Immunol. 1998, 20, 231–239. [Google Scholar] [CrossRef]
- Roberts, C.W.; Ferguson, D.J.; Jebbari, H.; Satoskar, A.; Bluethmann, H.; Alexander, J. Different roles for interleukin-4 during the course of Toxoplasma gondii infection. Infect. Immun. 1996, 64, 897–904. [Google Scholar] [CrossRef]
- Neyer, L.E.; Grunig, G.; Fort, M.; Remington, J.S.; Rennick, D.; Hunter, C.A. Role of interleukin-10 in regulation of T-cell-dependent and T-cell-independent mechanisms of resistance to Toxoplasma gondii. Infect. Immun. 1997, 65, 1675–1682. [Google Scholar] [CrossRef] [PubMed]
- Gieseck, R.L., 3rd; Wilson, M.S.; Wynn, T.A. Type 2 immunity in tissue repair and fibrosis. Nat. Rev. Immunol. 2018, 18, 62–76. [Google Scholar] [CrossRef] [PubMed]
- van de Wetering, D.; de Paus, R.A.; van Dissel, J.T.; van de Vosse, E. IL-23 modulates CD56+/CD3- NK cell and CD56+/CD3+ NK-like T cell function differentially from IL-12. Int. Immunol. 2009, 21, 145–153. [Google Scholar] [CrossRef] [PubMed]








| Group | Number of Animals | Morbidity (%) | Mortality (%) | Survival Time (Days) |
|---|---|---|---|---|
| G1 | 5 | 0 | 0 | >30 |
| G2 | 5 | 0 | 0 | >30 |
| G3 | 5 | 0 | 0 | >30 |
| Control | 5 | 100 | 100 | 8 ± 1 |
Disclaimer/Publisher’s Note: The statements, opinions and data contained in all publications are solely those of the individual author(s) and contributor(s) and not of MDPI and/or the editor(s). MDPI and/or the editor(s) disclaim responsibility for any injury to people or property resulting from any ideas, methods, instructions or products referred to in the content. |
© 2023 by the authors. Licensee MDPI, Basel, Switzerland. This article is an open access article distributed under the terms and conditions of the Creative Commons Attribution (CC BY) license (https://creativecommons.org/licenses/by/4.0/).
Share and Cite
Li, L.; Guan, Y.-C.; Bai, S.-Y.; Jin, Q.-W.; Tao, J.-P.; Zhu, G.-D.; Huang, S.-Y. Mineralization Reduces the Toxicity and Improves Stability and Protective Immune Response Induced by Toxoplasma gondii. Vaccines 2024, 12, 35. https://doi.org/10.3390/vaccines12010035
Li L, Guan Y-C, Bai S-Y, Jin Q-W, Tao J-P, Zhu G-D, Huang S-Y. Mineralization Reduces the Toxicity and Improves Stability and Protective Immune Response Induced by Toxoplasma gondii. Vaccines. 2024; 12(1):35. https://doi.org/10.3390/vaccines12010035
Chicago/Turabian StyleLi, Ling, Yong-Chao Guan, Shao-Yuan Bai, Qi-Wang Jin, Jian-Ping Tao, Guo-Ding Zhu, and Si-Yang Huang. 2024. "Mineralization Reduces the Toxicity and Improves Stability and Protective Immune Response Induced by Toxoplasma gondii" Vaccines 12, no. 1: 35. https://doi.org/10.3390/vaccines12010035
APA StyleLi, L., Guan, Y.-C., Bai, S.-Y., Jin, Q.-W., Tao, J.-P., Zhu, G.-D., & Huang, S.-Y. (2024). Mineralization Reduces the Toxicity and Improves Stability and Protective Immune Response Induced by Toxoplasma gondii. Vaccines, 12(1), 35. https://doi.org/10.3390/vaccines12010035

