CRISPR/Cas9 Editing of Duck Enteritis Virus Genome for the Construction of a Recombinant Vaccine Vector Expressing ompH Gene of Pasteurella multocida in Two Novel Insertion Sites
Abstract
1. Introduction
2. Materials and Methods
2.1. Cell Culture and Virus
2.2. Construction of sgRNAs Plasmid
2.3. Construction of the Donor Plasmid Containing the GFP-OmpH-V5 Expression Cassette
2.4. Generation of Recombinant DEV-GFP-OmpH-V5 by NHEJ-CRISPR/Cas9-Mediated Gene Insertion
2.5. Fluorescence-Activated Cell Sorting for Plaque Purification of the Recombinant Virus
2.6. The Excision of the GFP Cassette from DEV-GFP-OmpH-V5 with Cre Treatment
2.7. Western Blot Analysis
2.8. Indirect Immunofluorescence Analysis (IFA)
2.9. Stability of the Inserted Genes in the Recombinant Viruses
2.10. Growth Properties of the Recombinant DEV-OmpH-V5
2.11. Statistical Analysis
3. Results
3.1. Targeted Knock-in of GFP-OmpH-V5 Expression Cassette into to Multiple Sites of DEV Genome Using CRISPR/Cas9 System
3.2. Generation of Recombinant DEV-GFP-OmpH-V5 Using NHEJ-CRISPR/Cas9-Mediated Gene Insertion
3.3. Excision of the GFP Cassette from DEV-GFP-OmpH-V5 Using Cre Recombinase
3.4. Characterization of the Recombinant DEV-OmpH-V5 Expressing OmpH-V5 Cassettes
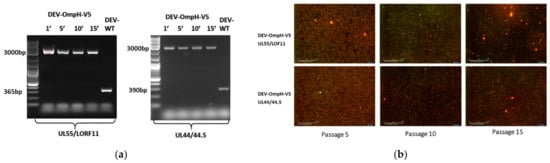
3.5. Stability of the Inserted Genes in the Recombinant Viruses
4. Discussion
5. Conclusions
Author Contributions
Funding
Institutional Review Board Statement
Informed Consent Statement
Data Availability Statement
Acknowledgments
Conflicts of Interest
References
- Boulianne, M.; American Association of Avian Pathologists. Avian Disease Manual, 7th ed.; American Association of Avian Pathologists: Jacksonville, FL, USA, 2013. [Google Scholar]
- Magyar, T.; Lax, A. 00106-Bacteria: Pasteurella multocida. In Encyclopedia of Food Safety; Motarjemi, Y., Ed.; Academic Press: Waltham, MA, USA, 2014; pp. 476–479. [Google Scholar]
- OIE Terrestrial Manual: Duck virus enteritis. 2018. Available online: https://www.oie.int/fileadmin/Home/eng/Health_standards/tahm/2.03.07_DVE.pdf (accessed on 8 January 2021).
- Lee, J.; Kim, Y.B.; Kwon, M. Outer membrane protein H for protective immunity against Pasteurella multocida. J. Microbiol. 2007, 45, 179–184. [Google Scholar] [PubMed]
- Varinrak, T.; Poolperm, P.; Sawada, T.; Sthitmatee, N. Cross-protection conferred by immunization with an rOmpH-based intranasal fowl cholera vaccine. Avian Pathol. 2017, 46, 515–525. [Google Scholar] [CrossRef] [PubMed]
- Sthitmatee, N.; Numee, S.; Kawamoto, E.; Sasaki, H.; Yamashita, K.; Takahashi, N.; Kataoka, Y.; Sawada, T. Protection of chickens from fowl cholera by vaccination with recombinant adhesive protein of Pasteurella multocida. Vaccine 2008, 26, 2398–2407. [Google Scholar] [CrossRef] [PubMed]
- Sthitmatee, N.; Yano, T.; Lampang, K.N.; Suphavilai, C.; Kataoka, Y.; Sawada, T. A 39-kDa capsular protein is a major cross-protection factor as demonstrated by protection of chickens with a live attenuated Pasteurella multocida strain of P-1059. J. Vet. Med. Sci. 2013, 75, 923–928. [Google Scholar] [CrossRef] [PubMed]
- Thanasarasakulpong, A.; Poolperm, P.; Tankaew, P.; Sawada, T.; Sthitmatee, N. Protectivity conferred by immunization with intranasal recombinant outer membrane protein H from Pasteurella multocida serovar A:1 in chickens. J. Vet. Med. Sci. 2015, 77, 321–326. [Google Scholar] [CrossRef] [PubMed][Green Version]
- Varinrak, T.; Muenthaisong, A.; Apinda, N.; Sawada, T.; Sthitmatee, N. Construction and characterization of an OmpH-deficient mutant of Pasteurella multocida strain X-73. Avian Pathol. 2019, 48, 4–11. [Google Scholar] [CrossRef]
- Apinda, N.; Nambooppha, B.; Rittipornlertrak, A.; Tankaew, P.; Punyapornwithaya, V.; Nair, V.; Sawada, T.; Sthitmatee, N. Protection against fowl cholera in ducks immunized with a combination vaccine containing live attenuated duck enteritis virus and recombinant outer membrane protein H of Pasteurella multocida. Avian Pathol. 2020, 49, 221–229. [Google Scholar] [CrossRef]
- Poolperm, P.; Apinda, N.; Kataoka, Y.; Suriyasathaporn, W.; Tragoolpua, K.; Sawada, T.; Sthitmatee, N. Protection against Pasteurella multocida conferred by an intranasal fowl cholera vaccine in Khaki Campbell ducks. Jpn. J. Vet. Res. 2018, 66, 239–250. [Google Scholar]
- Muangthai, K.; Tankaew, P.; Varinrak, T.; Uthi, R.; Rojanasthien, S.; Sawada, T.; Sthitmatee, N. Intranasal immunization with a recombinant outer membrane protein H based Haemorrhagic septicemia vaccine in dairy calves. J. Vet. Med. Sci. 2017, 80, 68–76. [Google Scholar] [CrossRef]
- Muenthaisong, A.; Rittipornlertrak, A.; Nambooppha, B.; Tankaew, P.; Varinrak, T.; Pumpuang, M.; Muangthai, K.; Atthikanyaphak, K.; Singhla, T.; Pringproa, K. Immune response in dairy cattle against combined foot and mouth disease and haemorrhagic septicemia vaccine under field conditions. BMC Vet. Res. 2021, 17, 186. [Google Scholar] [CrossRef]
- Dhama, K.; Kumar, N.; Saminathan, M.; Tiwari, R.; Karthik, K.; Kumar, M.A.; Palanivelu, M.; Shabbir, M.Z.; Malik, Y.S.; Singh, R.K. Duck virus enteritis (duck plague)—A comprehensive update. Vet. Q. 2017, 37, 57–80. [Google Scholar] [CrossRef] [PubMed]
- Liu, J.; Chen, P.; Jiang, Y.; Wu, L.; Zeng, X.; Tian, G.; Ge, J.; Kawaoka, Y.; Bu, Z.; Chen, H. A duck enteritis virus-vectored bivalent live vaccine provides fast and complete protection against H5N1 avian influenza virus infection in ducks. J. Virol. 2011, 85, 10989–10998. [Google Scholar] [CrossRef] [PubMed]
- Zou, Z.; Hu, Y.; Liu, Z.; Zhong, W.; Cao, H.; Chen, H.; Jin, M. Efficient strategy for constructing duck enteritis virus-based live attenuated vaccine against homologous and heterologous H5N1 avian influenza virus and duck enteritis virus infection. Vet. Res. 2015, 46, 42. [Google Scholar] [CrossRef]
- Wang, J.; Osterrieder, N. Generation of an infectious clone of duck enteritis virus (DEV) and of a vectored DEV expressing hemagglutinin of H5N1 avian influenza virus. Virus Res. 2011, 159, 23–31. [Google Scholar] [CrossRef] [PubMed]
- Zou, Z.; Liu, Z.; Jin, M. Efficient strategy to generate a vectored duck enteritis virus delivering envelope of duck Tembusu virus. Viruses 2014, 6, 2428–2443. [Google Scholar] [CrossRef] [PubMed]
- Zou, Z.; Huang, K.; Wei, Y.; Chen, H.; Liu, Z.; Jin, M. Construction of a highly efficient CRISPR/Cas9-mediated duck enteritis virus-based vaccine against H5N1 avian influenza virus and duck Tembusu virus infection. Sci. Rep. 2017, 7, 1478. [Google Scholar] [CrossRef]
- Ferreira, T.; Alves, P.; Aunins, J.; Carrondo, M. Use of adenoviral vectors as veterinary vaccines. Gene Ther. 2005, 12, S73–S83. [Google Scholar] [CrossRef]
- Ross, P.J.; Parks, R.J. Construction and characterization of adenovirus vectors. Cold Spring Harb. Protoc. 2009. [Google Scholar] [CrossRef]
- Darteil, R.; Bublot, M.; Laplace, E.; Bouquet, J.-F.; Audonnet, J.-C.; Rivière, M. Herpesvirus of turkey recombinant viruses expressing infectious bursal disease virus (IBDV) VP2 immunogen induce protection against an IBDV virulent challenge in chickens. Virology 1995, 211, 481–490. [Google Scholar] [CrossRef]
- Boyle, D.B.; Coupar, B.E. Construction of recombinant fowlpox viruses as vectors for poultry vaccines. Virus Res. 1988, 10, 343–356. [Google Scholar] [CrossRef]
- Li, Y.; Reddy, K.; Reid, S.M.; Cox, W.J.; Brown, I.H.; Britton, P.; Nair, V.; Iqbal, M. Recombinant herpesvirus of turkeys as a vector-based vaccine against highly pathogenic H7N1 avian influenza and Marek’s disease. Vaccine 2011, 29, 8257–8266. [Google Scholar] [CrossRef] [PubMed]
- Baron, M.D.; Iqbal, M.; Nair, V. Recent advances in viral vectors in veterinary vaccinology. Curr. Opin. Virol. 2018, 29, 1–7. [Google Scholar] [CrossRef] [PubMed]
- Liang, X.; Sun, L.; Yu, T.; Pan, Y.; Wang, D.; Hu, X.; Fu, Z.; He, Q.; Cao, G. A CRISPR/Cas9 and Cre/Lox system-based express vaccine development strategy against re-emerging Pseudorabies virus. Sci. Rep. 2016, 6, 19176. [Google Scholar] [CrossRef] [PubMed]
- Chang, P.; Ameen, F.; Sealy, J.E.; Sadeyen, J.-R.; Bhat, S.; Li, Y.; Iqbal, M. Application of HDR-CRISPR/Cas9 and erythrocyte binding for rapid generation of recombinant turkey herpesvirus-vectored avian influenza virus vaccines. Vaccines 2019, 7, 192. [Google Scholar] [CrossRef]
- Tang, N.; Zhang, Y.; Pedrera, M.; Chang, P.; Baigent, S.; Moffat, K.; Shen, Z.; Nair, V.; Yao, Y. A simple and rapid approach to develop recombinant avian herpesvirus vectored vaccines using CRISPR/Cas9 system. Vaccine 2018, 36, 716–722. [Google Scholar] [CrossRef]
- Tang, N.; Zhang, Y.; Sadigh, Y.; Moffat, K.; Shen, Z.; Nair, V.; Yao, Y. Generation of a triple insert live avian herpesvirus vectored vaccine using CRISPR/Cas9-based gene editing. Vaccines 2020, 8, 97. [Google Scholar] [CrossRef]
- Atasoy, M.O.; Rohaim, M.A.; Munir, M. Simultaneous deletion of virulence factors and insertion of antigens into the infectious laryngotracheitis virus using NHEJ-CRISPR/Cas9 and cre–lox system for construction of a stable vaccine vector. Vaccines 2019, 7, 207. [Google Scholar] [CrossRef]
- Chang, P.; Yao, Y.; Tang, N.; Sadeyen, J.-R.; Sealy, J.; Clements, A.; Bhat, S.; Munir, M.; Bryant, J.E.; Iqbal, M. The application of NHEJ-CRISPR/Cas9 and Cre-Lox system in the generation of bivalent duck enteritis virus vaccine against avian influenza virus. Viruses 2018, 10, 81. [Google Scholar] [CrossRef]
- Wu, Y.; Li, Y.; Wang, M.; Sun, K.; Jia, R.; Chen, S.; Zhu, D.; Liu, M.; Yang, Q.; Zhao, X.; et al. Preliminary study of the UL55 gene based on infectious Chinese virulent duck enteritis virus bacterial artificial chromosome clone. Virol. J. 2017, 14, 78. [Google Scholar] [CrossRef]
- Wang, J.; Ge, A.; Xu, M.; Wang, Z.; Qiao, Y.; Gu, Y.; Liu, C.; Liu, Y.; Hou, J. Construction of a recombinant duck enteritis virus (DEV) expressing hemagglutinin of H5N1 avian influenza virus based on an infectious clone of DEV vaccine strain and evaluation of its efficacy in ducks and chickens. Virol. J. 2015, 12, 126. [Google Scholar] [CrossRef]
- Teng, M.; Yao, Y.; Nair, V.; Luo, J. Latest advances of virology research using CRISPR/Cas9-based gene-editing technology and its application to vaccine development. Viruses 2021, 13, 779. [Google Scholar] [CrossRef] [PubMed]
- Vilela, J.; Rohaim, M.A.; Munir, M. Application of CRISPR/Cas9 in understanding avian viruses and developing poultry vaccines. Front. Cell Infect. Microbiol. 2020, 10, 581504. [Google Scholar] [CrossRef] [PubMed]
- Sthitmatee, N.; Kataoka, Y.; Sawada, T. Inhibition of capsular protein synthesis of Pasteurella multocida strain P-1059. J. Vet. Med. Sci. 2011, 73, 1445–1451. [Google Scholar] [CrossRef] [PubMed]
- Thanasarasakulpong, A.; Poolperm, P.; Tangjitjaroen, W.; Varinrak, T.; Sawada, T.; Pfeiffer, D.; Sthitmatee, N. Comparison of the effect of two purification methods on the immunogenicity of recombinant outer membrane protein H of Pasteurella multocida serovar A:1. Vet. Med. Int. 2016, 2579345. [Google Scholar]
- Klingbeil, K.; Lange, E.; Teifke, J.P.; Mettenleiter, T.C.; Fuchs, W. Immunization of pigs with an attenuated pseudorabies virus recombinant expressing the haemagglutinin of pandemic swine origin H1N1 influenza A virus. J. Gen. Virol. 2014, 95, 948–959. [Google Scholar] [CrossRef]
- Bernheim, A.; Calvo-Villamañán, A.; Basier, C.; Cui, L.; Rocha, E.P.; Touchon, M.; Bikard, D. Inhibition of NHEJ repair by type II-A CRISPR-Cas systems in bacteria. Nat. Commun. 2017, 8, 2094. [Google Scholar] [CrossRef]
- Yang, Y.; Xu, J.; Ge, S.; Lai, L. CRISPR/Cas: Advances, limitations, and applications for precision cancer research. Front. Med. 2021, 8, 649896. [Google Scholar] [CrossRef]









| sgRNA ID | Target Sequences | PAM | Gene Locus |
|---|---|---|---|
| sgA | GAGATCGAGTGCCGCATCAC | CGG | SgA |
| g2 | CAAGACAGACAAGTATTGCT | TGG | Between UL 15 & UL 18 |
| g3 | TGCGTAATTTCATAACCAAA | AGG | Between UL 21 & UL 22 |
| g4 | ATTTACGTCCTCGGGGGAGG | GGG | Between UL 3.5 & UL 4 |
| g5 | TTATTTCAAATATTAGTGTG | AGG | Between UL 7 & UL 8 |
| g6 | TTGGTAATCAAGAGTTTACT | GGG | Between UL 40 & UL 41 |
| g7 | GACTATGTAAAGACAGTCGA | CGG | Between UL 55 & LORF 11 |
| g8 | GTTTGCAATCCTTTATACAT | TGG | Between SORF3 & US 10 |
| g9 | GCACAACTTCAAAAATGATG | GGG | Between UL 44 & UL 44.5 |
| g10 | ACAACCTCTTCATATTAGAT | AGG | Between UL 50 & UL 51 |
| Primer | Sequences |
|---|---|
| GFP-SgA-F | GAGATCGAGTGCCGCATCACCGGATAACTTCGTATAATGTATGCTATACGAAGTTATTTAATTAAATAACTTCGTATAATGTATGCTATACGAAGTTATGGCCGCCTAGGCCGGCGCGCCGTTTAAACGGCCATTATGGCCGAGATCGAGTGCCGCATCACCGG |
| GFP-SgA-R | CCGGTGATGCGGCACTCGATCTCGGCCATAATGGCCGTTTAAACGGCGCGCCGGCCTAGGCGGCCATAACTTCGTATAGCATACATTATACGAAGTTATTTAATTAAATAACTTCGTATAGCATACATTATACGAAGTTATCCGGTGATGCGGCACTCGATCTC |
| SfiIx2-F | CTAGCAAGGCCGCCTAGGCCGGCGCGCCGTTAAACGGCCATTATGGCCGTTT |
| SfiIx2-R | AAACGGCCATAATGGCCGTTTAACGGCGCGCCGGCCTAGGCGGCCTTG |
| gUL21/22-F | CACCGGCGTAATTTCATAACCAAA |
| gUL21/22-R | AAACTTTGGTTATGAAATTACGCC |
| gUL3.5/4-F | CACCGTTTACGTCCTCGGGGGAGG |
| gUL3.5/4-R | AAACCCTCCCCCGAGGACGTAAAC |
| gUL7/8-F | CACCGTATTTCAAATATTAGTGTG |
| gUL7/8-R | AAACCACACTAATATTTGAAATAC |
| gUL40/41-F | CACCGTGGTAATCAAGAGTTTACT |
| gUL40/41-R | AAACAGTAAACTCTTGATTACCAC |
| gUL55/LORF11-F | CACCGACTATGTAAAGACAGTCGA |
| gUL55/LORF11-R | AAACTCGACTGTCTTTACATAGTC |
| gSORF3/US10-F | CACCGTTTGCAATCCTTTATACAT |
| gSORF3/US10-R | AAACATGTATAAAGGATTGCAAAC |
| gUL44/44.5-F | CACCGCACAACTTCAAAAATGATG |
| gUL44/44.5-R | AAACCATCATTTTTGAAGTTGTGC |
| gUL50/51-F | CACCGCAACCTCTTCATATTAGAT |
| gUL50/51-R | AAACATCTAATATGAAGAGGTTGTC |
| Primer | Sequences |
|---|---|
| UL55-F | GGCGCGAGAAACTAGTGGT |
| UL55-R | CGCGCAAAAAGTAAAGACCCA |
| UL44-F | TTTAGGCGTTTTGCCCGTTC |
| UL44.5-R | GGCTGGAATTTTAACCGGCG |
| OmpH-3F | ACGTGCTCTTGAAGTGGGTT |
| OmpH-5R | GCGAAACCCGCATAAAGACG |
| Omp-F | CAACAGTTTACAATCAAGAC |
| OmpH-V5-R | GCGGCCGCTTACGTAGAATCGAGACCGAG |
Publisher’s Note: MDPI stays neutral with regard to jurisdictional claims in published maps and institutional affiliations. |
© 2022 by the authors. Licensee MDPI, Basel, Switzerland. This article is an open access article distributed under the terms and conditions of the Creative Commons Attribution (CC BY) license (https://creativecommons.org/licenses/by/4.0/).
Share and Cite
Apinda, N.; Yao, Y.; Zhang, Y.; Reddy, V.R.A.P.; Chang, P.; Nair, V.; Sthitmatee, N. CRISPR/Cas9 Editing of Duck Enteritis Virus Genome for the Construction of a Recombinant Vaccine Vector Expressing ompH Gene of Pasteurella multocida in Two Novel Insertion Sites. Vaccines 2022, 10, 686. https://doi.org/10.3390/vaccines10050686
Apinda N, Yao Y, Zhang Y, Reddy VRAP, Chang P, Nair V, Sthitmatee N. CRISPR/Cas9 Editing of Duck Enteritis Virus Genome for the Construction of a Recombinant Vaccine Vector Expressing ompH Gene of Pasteurella multocida in Two Novel Insertion Sites. Vaccines. 2022; 10(5):686. https://doi.org/10.3390/vaccines10050686
Chicago/Turabian StyleApinda, Nisachon, Yongxiu Yao, Yaoyao Zhang, Vishwanatha R. A. P. Reddy, Pengxiang Chang, Venugopal Nair, and Nattawooti Sthitmatee. 2022. "CRISPR/Cas9 Editing of Duck Enteritis Virus Genome for the Construction of a Recombinant Vaccine Vector Expressing ompH Gene of Pasteurella multocida in Two Novel Insertion Sites" Vaccines 10, no. 5: 686. https://doi.org/10.3390/vaccines10050686
APA StyleApinda, N., Yao, Y., Zhang, Y., Reddy, V. R. A. P., Chang, P., Nair, V., & Sthitmatee, N. (2022). CRISPR/Cas9 Editing of Duck Enteritis Virus Genome for the Construction of a Recombinant Vaccine Vector Expressing ompH Gene of Pasteurella multocida in Two Novel Insertion Sites. Vaccines, 10(5), 686. https://doi.org/10.3390/vaccines10050686

