Raspberry Ketones Attenuate Cyclophosphamide-Induced Pulmonary Toxicity in Mice through Inhibition of Oxidative Stress and NF-ΚB Pathway
Abstract
1. Introduction
2. Materials and Methods
2.1. Chemicals
2.2. Animals
2.3. Experimental Design
2.4. Histopathology and Immunohistochemistry
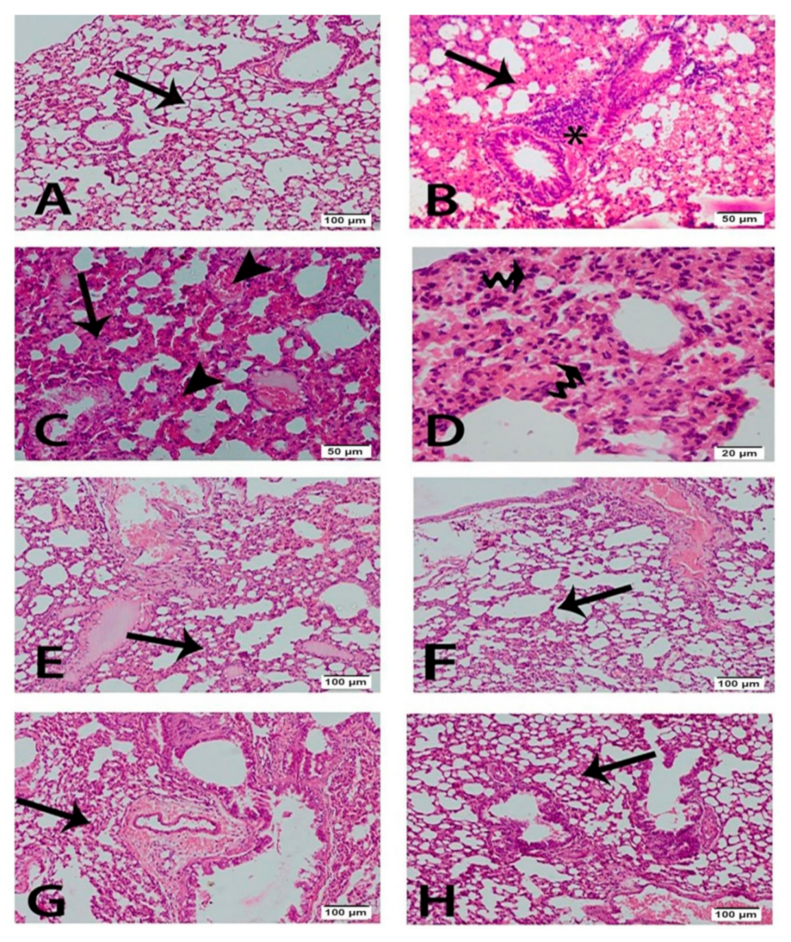
2.4.1. Histopathological Evaluation
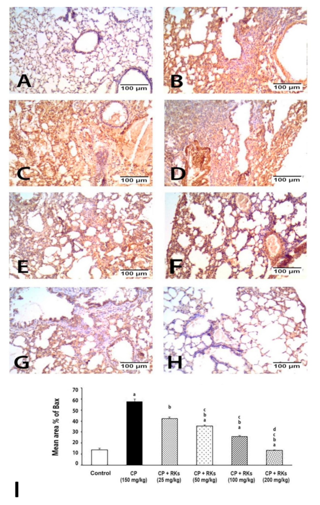
2.4.2. Immunohistochemistry of Bax and PCNA
2.5. Determination of Oxidative Stress Markers
2.6. Western Blot Analysis
2.7. DNA Extraction and DNA Ladder by Gel Electrophoresis
2.8. Statistical Analysis
3. Results
3.1. Histopathological Fndings in the Pulmonary Tissue of the Experimental Groups
3.2. Immunohistochemical Fndings in the Pulmonary Tissue of the Experimental Groups
3.3. Effect of CP and RKs on Lung Oxidative Stress Biomarkers
3.4. Effect of CP and RKs on NF-KB Pathway
3.5. Effect of CP and RKs on Nuclear DNA Fragmentation
4. Discussion
5. Conclusions
Author Contributions
Funding
Conflicts of Interest
References
- Meotti, F.C.; Forner, S.; Lima-Garcia, J.F.; Viana, A.F.; Calixto, J.B. Antagonism of the transient receptor potential ankyrin 1 (trpa1) attenuates hyperalgesia and urinary bladder overactivity in cyclophosphamide-induced haemorrhagic cystitis. Chem. Biol. Interact. 2013, 203, 440–447. [Google Scholar] [CrossRef] [PubMed]
- Patra, K.; Bose, S.; Sarkar, S.; Rakshit, J.; Jana, S.; Mukherjee, A.; Roy, A.; Mandal, D.P.; Bhattacharjee, S. Amelioration of cyclophosphamide induced myelosuppression and oxidative stress by cinnamic acid. Chem. Biol. Interact. 2012, 195, 231–239. [Google Scholar] [CrossRef]
- MacAllister, S.L.; Martin-Brisac, N.; Lau, V.; Yang, K.; O’Brien, P.J. Acrolein and chloroacetaldehyde: An examination of the cell and cell-free biomarkers of toxicity. Chem. Biol. Interact. 2013, 202, 259–266. [Google Scholar] [CrossRef] [PubMed]
- Richter, C.; Park, J.W.; Ames, B.N. Normal oxidative damage to mitochondrial and nuclear DNA is extensive. Proc. Natl. Acad. Sci. USA 1988, 85, 6465–6467. [Google Scholar] [CrossRef] [PubMed]
- Li, F.; Patterson, A.D.; Hofer, C.C.; Krausz, K.W.; Gonzalez, F.J.; Idle, J.R. Comparative metabolism of cyclophosphamide and ifosfamide in the mouse using uplc-esi-qtofms-based metabolomics. Biochem. Pharmacol. 2010, 80, 1063–1074. [Google Scholar] [CrossRef]
- Cooper, J.A., Jr.; Merrill, W.W.; Reynolds, H.Y. Cyclophosphamide modulation of bronchoalveolar cellular populations and macrophage oxidative metabolism. Possible mechanisms of pulmonary pharmacotoxicity. Am. Rev. Respir. Dis. 1986, 134, 108–114. [Google Scholar]
- Segura, A.; Yuste, A.; Cercos, A.; Lopez-Tendero, P.; Girones, R.; Perez-Fidalgo, J.A.; Herranz, C. Pulmonary fibrosis induced by cyclophosphamide. Ann. Pharmacother. 2001, 35, 894–897. [Google Scholar] [CrossRef]
- Man, S.; Zhang, Y.; Gao, W.; Yan, L.; Ma, C. Cyclophosphamide promotes pulmonary metastasis on mouse lung adenocarcinoma. Clin. Exp. Metastasis 2008, 25, 855–864. [Google Scholar] [CrossRef]
- Limper, A.H. Chemotherapy-induced lung disease. Clin. Chest. Med. 2004, 25, 53–64. [Google Scholar] [CrossRef]
- Park, K.S. Raspberry ketone increases both lipolysis and fatty acid oxidation in 3t3-l1 adipocytes. Planta Med. 2010, 76, 1654–1658. [Google Scholar] [CrossRef]
- Wang, L.; Meng, X.; Zhang, F. Raspberry ketone protects rats fed high-fat diets against nonalcoholic steatohepatitis. J. Med. Food 2012, 15, 495–503. [Google Scholar] [CrossRef]
- Jeong, J.B.; Jeong, H.J. Rheosmin, a naturally occurring phenolic compound inhibits lps-induced inos and cox-2 expression in raw264.7 cells by blocking nf-kappab activation pathway. Food Chem. Toxicol. 2010, 48, 2148–2153. [Google Scholar] [CrossRef] [PubMed]
- Song, J.; Liu, L.; Li, L.; Liu, J.; Song, E.; Song, Y. Protective effects of lipoic acid and mesna on cyclophosphamide-induced haemorrhagic cystitis in mice. Cell Biochem. Funct. 2014, 32, 125–132. [Google Scholar] [CrossRef] [PubMed]
- Fouad, D.; Badr, A.; Attia, H.A. Hepatoprotective activity of raspberry ketone is mediated via inhibition of the nf-kappab/tnf-alpha/caspase axis and mitochondrial apoptosis in chemically induced acute liver injury. Toxicol. Res. (Camb.) 2019, 8, 663–676. [Google Scholar] [CrossRef] [PubMed]
- Carson, F.L. Histotechnology, Aself-Instuctional Text; Ascp Press: Chicago, IL, USA, 1997. [Google Scholar]
- Kaya, H.; Oral, B.; Ozguner, F.; Tahan, V.; Babar, Y.; Delibas, N. The effect of melatonin application on lipid peroxidation during cyclophosphamide therapy in female rats. Zentralbl. Gynakol. 1999, 121, 499–502. [Google Scholar]
- Premkumar, K.; Pachiappan, A.; Abraham, S.K.; Santhiya, S.T.; Gopinath, P.M.; Ramesh, A. Effect of spirulina fusiformis on cyclophosphamide and mitomycin-c induced genotoxicity and oxidative stress in mice. Fitoterapia 2001, 72, 906–911. [Google Scholar] [CrossRef]
- Uchida, K.; Shiraishi, M.; Naito, Y.; Torii, Y.; Nakamura, Y.; Osawa, T. Activation of stress signaling pathways by the end product of lipid peroxidation. 4-hydroxy-2-nonenal is a potential inducer of intracellular peroxide production. J. Biol. Chem. 1999, 274, 2234–2242. [Google Scholar] [CrossRef]
- Bhattacharjee, A.; Basu, A.; Biswas, J.; Bhattacharya, S. Nano-se attenuates cyclophosphamide-induced pulmonary injury through modulation of oxidative stress and DNA damage in swiss albino mice. Mol. Cell Biochem. 2015, 405, 243–256. [Google Scholar] [CrossRef]
- Ricciardolo, F.L.; Sterk, P.J.; Gaston, B.; Folkerts, G. Nitric oxide in health and disease of the respiratory system. Physiol. Rev. 2004, 84, 731–765. [Google Scholar] [CrossRef]
- Emadi, A.; Jones, R.J.; Brodsky, R.A. Cyclophosphamide and cancer: Golden anniversary. Nat. Rev. Clin. Oncol. 2009, 6, 638–647. [Google Scholar] [CrossRef]
- Asiri, Y.A. Probucol attenuates cyclophosphamide-induced oxidative apoptosis, p53 and bax signal expression in rat cardiac tissues. Oxid. Med. Cell. Longev. 2010, 3, 308–316. [Google Scholar] [CrossRef] [PubMed]
- Van Berlo, D.; Knaapen, A.M.; van Schooten, F.J.; Schins, R.P.; Albrecht, C. Nf-kappab dependent and independent mechanisms of quartz-induced proinflammatory activation of lung epithelial cells. Part. Fibre Toxicol. 2010, 7, 13. [Google Scholar] [CrossRef] [PubMed]
- Su, Y.C.; Rolph, M.S.; Cooley, M.A.; Sewell, W.A. Cyclophosphamide augments inflammation by reducing immunosuppression in a mouse model of allergic airway disease. J. Allergy Clin. Immunol. 2006, 117, 635–641. [Google Scholar] [CrossRef] [PubMed]
- Badr, A.M.; El-Orabi, N.F.; Ali, R.A. The implication of the crosstalk of nrf2 with noxs, and hmgb1 in ethanol-induced gastric ulcer: Potential protective effect is afforded by raspberry ketone. PLoS ONE 2019, 14, e0220548. [Google Scholar] [CrossRef]
- Mohamed, H.E.; Abo, E.D.M.; Mesbah, N.M.; Saleh, S.M.; Ali, A.A.; Sakr, A.T. Raspberry ketone preserved cholinergic activity and antioxidant defense in obesity induced alzheimer disease in rats. Biomed. Pharmacother. 2018, 107, 1166–1174. [Google Scholar] [CrossRef]
- Khan, V.; Sharma, S.; Bhandari, U.; Ali, S.M.; Haque, S.E. Raspberry ketone protects against isoproterenol-induced myocardial infarction in rats. Life Sci. 2018, 194, 205–212. [Google Scholar] [CrossRef]






| Control | CP (150 mg/kg/i.p.) | CP+RKs (25 mg/kg/day) | CP+RKs (50 mg/kg/day) | CP+RKs (100 mg/kg/day) | CP+RKs (200 mg/kg/day) | |
|---|---|---|---|---|---|---|
| Catalase (U/mg protein) | 105.87 ± 3.83 | 59.86 ± 4.72 a | 84.31 ± 4.75 b | 89.31 ± 1.70 b | 116.32 ± 12.25 b | 128.59 ± 9.30 b |
| (SOD) (U/mg protein) | 70.53 ± 1.87 | 40.51 ± 3.72 a | 55.32 ± 2.42 b | 56.28 ± 2.30 b | 68.36 ± 3.89 b | 74.59 ± 2.15 b |
| (MDA) (nmol/mg protein) | 322.22 ± 9.89 | 730.25 ± 16.07 a | 537.04 ± 13.73 b | 456.79 ± 5.12 b | 424.69 ± 6.6.7 b | 374.07 ± 5.32 b |
Publisher’s Note: MDPI stays neutral with regard to jurisdictional claims in published maps and institutional affiliations. |
© 2020 by the authors. Licensee MDPI, Basel, Switzerland. This article is an open access article distributed under the terms and conditions of the Creative Commons Attribution (CC BY) license (http://creativecommons.org/licenses/by/4.0/).
Share and Cite
Mohamed, M.T.; Zaitone, S.A.; Ahmed, A.; Mehanna, E.T.; El-Sayed, N.M. Raspberry Ketones Attenuate Cyclophosphamide-Induced Pulmonary Toxicity in Mice through Inhibition of Oxidative Stress and NF-ΚB Pathway. Antioxidants 2020, 9, 1168. https://doi.org/10.3390/antiox9111168
Mohamed MT, Zaitone SA, Ahmed A, Mehanna ET, El-Sayed NM. Raspberry Ketones Attenuate Cyclophosphamide-Induced Pulmonary Toxicity in Mice through Inhibition of Oxidative Stress and NF-ΚB Pathway. Antioxidants. 2020; 9(11):1168. https://doi.org/10.3390/antiox9111168
Chicago/Turabian StyleMohamed, Marwa T., Sawsan A. Zaitone, Amal Ahmed, Eman T. Mehanna, and Norhan M. El-Sayed. 2020. "Raspberry Ketones Attenuate Cyclophosphamide-Induced Pulmonary Toxicity in Mice through Inhibition of Oxidative Stress and NF-ΚB Pathway" Antioxidants 9, no. 11: 1168. https://doi.org/10.3390/antiox9111168
APA StyleMohamed, M. T., Zaitone, S. A., Ahmed, A., Mehanna, E. T., & El-Sayed, N. M. (2020). Raspberry Ketones Attenuate Cyclophosphamide-Induced Pulmonary Toxicity in Mice through Inhibition of Oxidative Stress and NF-ΚB Pathway. Antioxidants, 9(11), 1168. https://doi.org/10.3390/antiox9111168

