Liposomal Myricetin Nanoantioxidants Attenuate Methotrexate-Induced Hepatotoxicity by Modulating Oxidative Stress, Inflammation, and Apoptosis in Rats
Abstract
1. Introduction
2. Materials and Methods
2.1. Drugs
2.2. Preparation of Myricetin-Loaded Liposomal Nanoparticles (MYR-LNPs)
2.3. Encapsulation Efficiency and Drug Loading of MYR
2.4. Fourier-Transform Infrared (FTIR) Analysis
2.5. In Vitro Release of Free MYR and MYR-LNPs
2.6. Experimental Animals
2.7. Study Design and Procedures
- Group I (control): received vehicle only and no active treatment.
- Group II (MYR): received MYR (50 mg/kg, intraperitoneal [IP]) once daily for 7 consecutive days.
- Group III (MYR-LNPs): received MYR-LNPs (equivalent to 50 mg/kg MYR, IP) once daily for 7 days.
- Group IV (MTX): received a single IP dose of MTX (20 mg/kg) on day 1.
- Group V (MYR + MTX): received MTX (20 mg/kg, IP) on day 1, followed by MYR (50 mg/kg, IP) once daily for 5 days.
- Group VI (MYR-LNPs + MTX): received MTX (20 mg/kg, IP) on day 1, followed by MYR-LNPs (equivalent to 50 mg/kg MYR, IP) once daily for 5 days.
2.8. Biological Sampling and Tissue Processing
2.9. Biochemical Analysis of Serum Parameters
2.10. Assessment of Antioxidant Defense and Oxidative Stress
2.11. Assessment of Key Inflammatory Mediators and Nitrosative Stress
2.12. RNA Extraction and cDNA Synthesis
2.13. Quantitative Real-Time PCR
2.14. Apoptotic Marker Profiling
2.15. Quantification of Phosphorylated MAPK Signaling Proteins
2.16. Liver Histopathology
2.17. Transmission Electron Microscopy (TEM)
2.18. Immunohistochemical Assay of NRF2 and NF-κB
2.19. Statistical Analysis
3. Results
3.1. Physicochemical Characterization of MYR-LNPs
3.2. Encapsulation Efficiency and Drug Loading of MYR
3.3. Fourier-Transform Infrared (FTIR) Analysis
3.4. In Vitro Release of Myricetin
3.5. Effect of MYR-LNPs on MTX-Induced Liver Dysfunction
3.6. Effect of MYR-LNPs on Antioxidant Status and Oxidative Stress
3.7. Effect of MYR-LNPs on Inflammatory and Nitrosative Markers
3.8. Effect of MYR-LNPs on MAP Signaling
3.9. Effect of MYR-LNPs on Apoptotic Markers
3.10. Histopathological Findings
3.11. Ultrastructural Findings
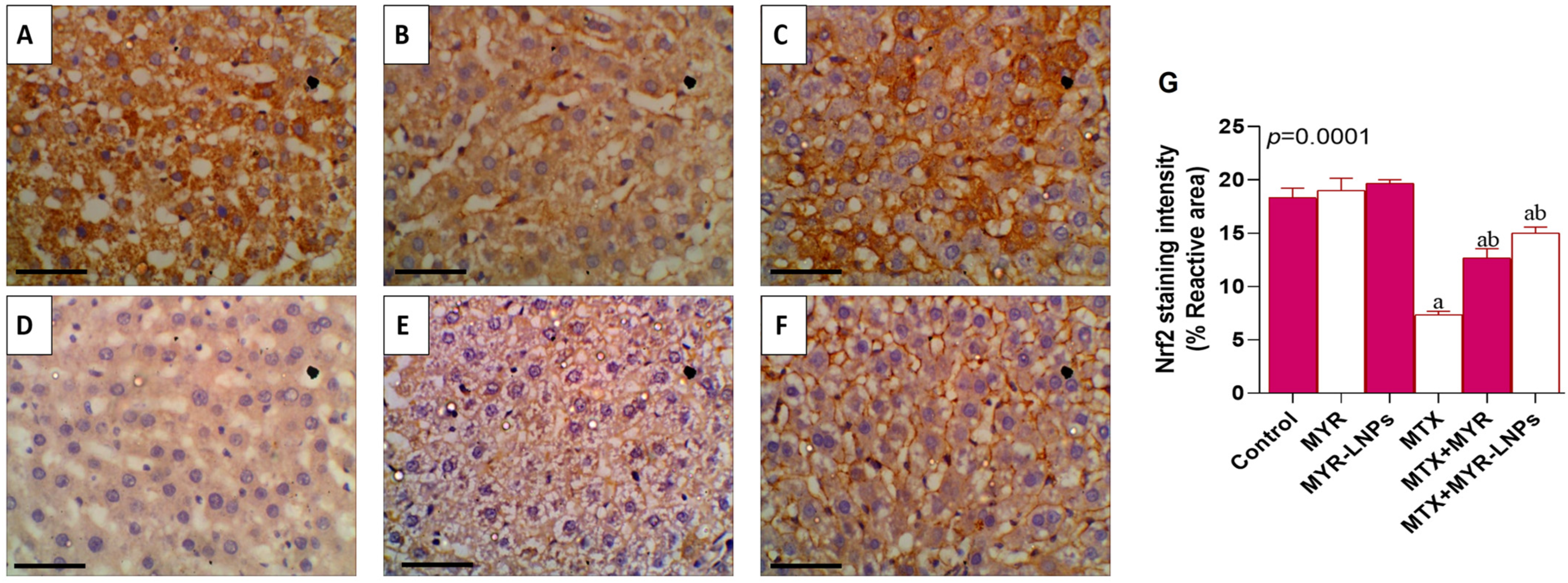
3.12. NRF2 Immunohistochemistry
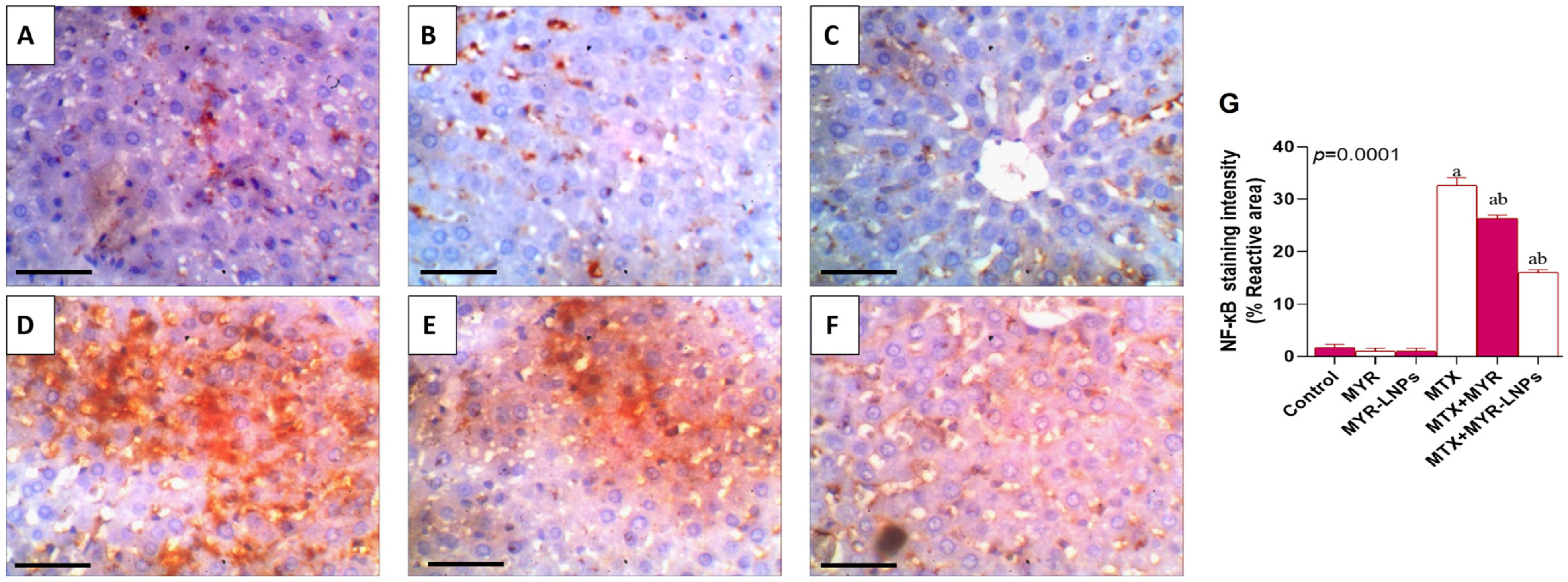
3.13. NF-κB Immunohistochemistry
4. Discussion
5. Study Limitations and Future Directions
6. Conclusions
Supplementary Materials
Author Contributions
Funding
Institutional Review Board Statement
Informed Consent Statement
Data Availability Statement
Acknowledgments
Conflicts of Interest
Abbreviations
| ALP | alkaline phosphatase |
| ALT | alanine aminotransferase |
| ANOVA | analysis of variance |
| AP-1 | activator protein 1 |
| AST | aspartate aminotransferase |
| Bax | Bcl-2–associated X protein |
| BCA | bicinchoninic acid |
| Bcl-2 | B-cell lymphoma 2 |
| BSA | bovine serum albumin |
| c-Fos | FBJ murine osteosarcoma viral oncogene homolog |
| c-Jun | Jun proto-oncogene |
| CAT | catalase |
| CDNB | 1-chloro-2,4-dinitrobenzene |
| DAB | 3,3′-diaminobenzidine |
| DCFH-DA | 2′,7′-dichlorofluorescin diacetate |
| DILI | drug-induced liver injury |
| DL | drug loading |
| DLS | dynamic light scattering |
| DMSO | dimethyl sulfoxide |
| DTNB | 5,5′-dithiobis(2-nitrobenzoic acid) |
| EE | encapsulation efficiency |
| ERK1/2 | extracellular signal-regulated kinases 1/2 |
| FTIR | Fourier-transform infrared |
| GPx | glutathione peroxidase |
| GSH | reduced glutathione |
| GST | glutathione S-transferase |
| H&E | hematoxylin and eosin |
| HO-1 | heme oxygenase-1 |
| HRP | horseradish peroxidase |
| HSD | honest significant difference |
| IL-1β | interleukin 1 beta |
| iNOS | inducible nitric oxide synthase |
| IP | intraperitoneal |
| JNK | c-Jun N-terminal kinase |
| L-PC | l-α-phosphatidylcholine |
| MAPK | mitogen-activated protein kinase |
| MDA | malondialdehyde |
| MERC | Medical Experimental Research Center |
| MTX | methotrexate |
| MYR | myricetin |
| MYR-LNPs | myricetin-loaded liposomal nanoparticles |
| NF-κB | nuclear factor kappa B |
| NO | nitric oxide |
| NRF2 | nuclear factor erythroid 2–related factor 2 |
| OECD | Organization for Economic Cooperation and Development |
| p38 | p38 mitogen-activated protein kinase |
| PBS | phosphate-buffered saline |
| PC | protein carbonyl |
| PDI | polydispersity index |
| qRT-PCR | quantitative real-time polymerase chain reaction |
| RFU | relative fluorescence unit |
| ROS | reactive oxygen species |
| SE | standard error |
| SOD | superoxide dismutase |
| TB | total bilirubin |
| TBARS | thiobarbituric acid reactive substances |
| TEM | transmission electron microscopy |
| TNF-α | tumor necrosis factor alpha |
References
- Weber, S.; Gerbes, A.L. Challenges and Future of Drug-Induced Liver Injury Research-Laboratory Tests. Int. J. Mol. Sci. 2022, 23, 6049. [Google Scholar] [CrossRef]
- Hu, Q.; Li, X.; Zou, D.; He, Z.; Xu, T. Development of a warning model for drug-induced liver injury in the older patients. Front. Pharmacol. 2025, 16, 1603089. [Google Scholar] [CrossRef] [PubMed]
- Singh, D.; Cho, W.C.; Upadhyay, G. Drug-Induced Liver Toxicity and Prevention by Herbal Antioxidants: An Overview. Front. Physiol. 2015, 6, 363. [Google Scholar] [CrossRef] [PubMed]
- Gan, C.; Yuan, Y.; Shen, H.; Gao, J.; Kong, X.; Che, Z.; Guo, Y.; Wang, H.; Dong, E.; Xiao, J. Liver diseases: Epidemiology, causes, trends and predictions. Signal Transduct. Target. Ther. 2025, 10, 33. [Google Scholar] [CrossRef] [PubMed]
- Koźmiński, P.; Halik, P.K.; Chesori, R.; Gniazdowska, E. Overview of Dual-Acting Drug Methotrexate in Different Neurological Diseases, Autoimmune Pathologies and Cancers. Int. J. Mol. Sci. 2020, 21, 3483. [Google Scholar] [CrossRef]
- Giannopoulos, F.; Gillstedt, M.; Laskowski, M.; Bruun Kristensen, K.; Polesie, S. Methotrexate Use for Patients with Psoriasis and Risk of Cutaneous Squamous Cell Carcinoma: A Nested Case-control Study. Acta Derm. Venereol. 2021, 101, adv00365. [Google Scholar] [CrossRef]
- Rana, R.M.; Rampogu, S.; Abid, N.B.; Zeb, A.; Parate, S.; Lee, G.; Yoon, S.; Kim, Y.; Kim, D.; Lee, K.W. In Silico Study Identified Methotrexate Analog as Potential Inhibitor of Drug Resistant Human Dihydrofolate Reductase for Cancer Therapeutics. Molecules 2020, 25, 3510. [Google Scholar] [CrossRef]
- Schmidt, S.; Messner, C.J.; Gaiser, C.; Hammerli, C.; Suter-Dick, L. Methotrexate-Induced Liver Injury Is Associated with Oxidative Stress, Impaired Mitochondrial Respiration, and Endoplasmic Reticulum Stress In Vitro. Int. J. Mol. Sci. 2022, 23, 15116. [Google Scholar] [CrossRef]
- Kolli, V.K.; Natarajan, K.; Isaac, B.; Selvakumar, D.; Abraham, P. Mitochondrial dysfunction and respiratory chain defects in a rodent model of methotrexate-induced enteritis. Hum. Exp. Toxicol. 2014, 33, 1051–1065. [Google Scholar] [CrossRef]
- Chong, Z.Z.; Souayah, N. Oxidative Stress: Pathological Driver in Chronic Neurodegenerative Diseases. Antioxidants 2025, 14, 696. [Google Scholar] [CrossRef]
- Hozayen, W.G.; Ramadan, S.M.; Fadel, A.; Mahmoud, A.M. Berberine mitigates methotrexate-induced oxidative stress and inflammation in the cerebrum of rats. J. Appl. Pharm. Sci. 2017, 7, 43–49. [Google Scholar]
- Gadre, M.; Srinivasan, V.; Vasanthan, K.S. Establishing Methotrexate-Induced Liver Fibrosis In Vitro Model with Regulatory Guidelines. Regen. Eng. Transl. Med. 2025, 1–18. [Google Scholar] [CrossRef]
- Arafah, A.; Rehman, M.U.; Ahmad, A.; AlKharfy, K.M.; Alqahtani, S.; Jan, B.L.; Almatroudi, N.M. Myricetin (3,3′,4′,5,5′,7-Hexahydroxyflavone) Prevents 5-Fluorouracil-Induced Cardiotoxicity. ACS Omega 2022, 7, 4514–4524. [Google Scholar] [CrossRef] [PubMed]
- Agraharam, G.; Girigoswami, A.; Girigoswami, K. Myricetin: A Multifunctional Flavonol in Biomedicine. Curr. Pharmacol. Rep. 2022, 8, 48–61. [Google Scholar] [CrossRef] [PubMed]
- El-Gendy, Z.A.; Ammar, N.M.; Kassem, A.M.; Attia, M.S.; Afifi, S.M.; Ibrahim, A.H.; Emam, S.E.; Korany, R.M.; El-Nasser, G.E.-G.A.; Elshamy, A.I. Myricetin-loaded SBA-15 silica nanoparticles for enhanced management of pyrexia, pain, and inflammation through modulation of MAPK/NF-kappaB and COX-2/PGE-2 pathways: Evidence from the biochemical, histological, and metabolomic analysis. Int. J. Pharm. 2024, 666, 124775. [Google Scholar] [CrossRef]
- Sobol, Z.; Chiczewski, R.; Watrobska-Swietlikowska, D. Advances in Liposomal Drug Delivery: Multidirectional Perspectives on Overcoming Biological Barriers. Pharmaceutics 2025, 17, 885. [Google Scholar] [CrossRef]
- Chelliah, R.; Rubab, M.; Vijayalakshmi, S.; Karuvelan, M.; Barathikannan, K.; Oh, D.-H. Liposomes for drug delivery: Classification, therapeutic applications, and limitations. Next Nanotechnol. 2025, 8, 100209. [Google Scholar] [CrossRef]
- Qian, J.; Mo, C.; Yang, H.; Zhang, J.; Zhu, S.; Gong, F.; Guo, H. Preparation of myricetin nanoliposomes using film-ultrasonic dispersion method and characterization. Appl. Nanosci. 2022, 13, 3263–3272. [Google Scholar] [CrossRef]
- Liao, Y.; Lv, F.; Quan, T.; Wang, C.; Li, J. Flavonoids in natural products for the therapy of liver diseases: Progress and future opportunities. Front. Pharmacol. 2024, 15, 1485065. [Google Scholar] [CrossRef]
- Yuan, D.; Guo, Y.; Pu, F.; Yang, C.; Xiao, X.; Du, H.; He, J.; Lu, S. Opportunities and challenges in enhancing the bioavailability and bioactivity of dietary flavonoids: A novel delivery system perspective. Food Chem. 2024, 430, 137115. [Google Scholar] [CrossRef]
- Tomou, E.M.; Papakyriakopoulou, P.; Saitani, E.M.; Valsami, G.; Pippa, N.; Skaltsa, H. Recent Advances in Nanoformulations for Quercetin Delivery. Pharmaceutics 2023, 15, 1656. [Google Scholar] [CrossRef]
- Abdalla, H.A.; Elmorsy, E.M.; Jawad, N.M.M.; Hosny, N.; Shams, A.S.; Salem, H.S.; Fawzy, M.S.; Salem, M.A. Hepatoprotection by Naringin Nanoliposomes Against Nickel Toxicity Involves Antioxidant Reinforcement and Modulation of Nrf2, NF-κB, PI3K/mTOR, JAK/STAT, and Apoptotic Pathways. Pharmaceuticals 2026, 19, 51. [Google Scholar] [CrossRef]
- Shende, S.; Patel, J. Role of tannin-rich plant fractions in hepatoprotection: A nanotechnology perspective. Discov. Nano 2026, 21, 11. [Google Scholar] [CrossRef]
- Eki Nci-Akdemi, R.F.; Yildirim, S.; Kandemi, R.F.; Gülçi, N.İ.; Küçükler, S.; Sağlam, Y.S.; Yakan, S. The effects of casticin and myricetin on liver damage induced by methotrexate in rats. Iran. J. Basic Med. Sci. 2018, 21, 1281–1288. [Google Scholar] [CrossRef]
- Sun, Y.; Lian, M.; Lin, Y.; Xu, B.; Li, Y.; Wen, J.; Chen, D.; Xu, M.; Almoiliqy, M.; Wang, L. Role of p-MKK7 in myricetin-induced protection against intestinal ischemia/reperfusion injury. Pharmacol. Res. 2018, 129, 432–442. [Google Scholar] [CrossRef]
- Abo-Haded, H.M.; Elkablawy, M.A.; Al-Johani, Z.; Al-Ahmadi, O.; El-Agamy, D.S. Hepatoprotective effect of sitagliptin against methotrexate induced liver toxicity. PLoS ONE 2017, 12, e0174295. [Google Scholar] [CrossRef]
- Mehrzadi, S.; Fatemi, I.; Esmaeilizadeh, M.; Ghaznavi, H.; Kalantar, H.; Goudarzi, M. Hepatoprotective effect of berberine against methotrexate induced liver toxicity in rats. Biomed. Pharmacother. 2018, 97, 233–239. [Google Scholar] [CrossRef]
- Akman, A.U.; Erisgin, Z.; Turedi, S.; Tekelioglu, Y. Methotrexate-induced hepatotoxicity in rats and the therapeutic properties of vitamin E: A histopathologic and flowcytometric research. Clin. Exp. Hepatol. 2023, 9, 359–367. [Google Scholar] [CrossRef]
- Almatroodi, S.A.; Rahmani, A.H. Unlocking the Pharmacological Potential of Myricetin Against Various Pathogenesis. Int. J. Mol. Sci. 2025, 26, 4188. [Google Scholar] [CrossRef]
- Bustin, S.; Ruijter, J.; van den Hoff, M.; Shipley, G.; Tran, N.; Rödiger, S.; Untergasser, A.; Mueller, R.; Nolan, T.; Milavec, M.; et al. MIQE 2.0: Revision of the Minimum Information for Publication of Quantitative Real-Time PCR Experiments Guidelines. Clin. Chem. 2025, 71, 634–651. [Google Scholar] [CrossRef]
- Livak, K.J.; Schmittgen, T.D. Analysis of relative gene expression data using real-time quantitative PCR and the 2−ΔΔCT Method. Methods 2001, 25, 402–408. [Google Scholar] [CrossRef]
- Cheville, N.; Stasko, J. Techniques in electron microscopy of animal tissue. Vet. Pathol. 2014, 51, 28–41. [Google Scholar] [CrossRef] [PubMed]
- Elmorsy, E.M.; Alqahtani, N.S.; Alenezi, Y.M.; Abbas, M.F.; Atta, M.M.F.; Aggour, A.; Fawzy, M.S.; Elshopakey, G.E. Nutritional nanotherapy with quercetin-loaded chitosan nanoparticles ameliorates imidacloprid-induced liver toxicity through antioxidant, anti-Inflammatory, and genoprotective mechanisms. Naunyn-Schmiedeberg’s Arch. Pharmacol 2025. Online ahead of print. [Google Scholar] [CrossRef]
- Alfawaz, M.; Elmorsy, E.M.; Alshammari, A.N.; Hakim, N.A.; Jawad, N.M.M.; Hassan, S.A.; Fawzy, M.S.; Esmaeel, S.E. Carvacrol-Loaded Chitosan Nanoparticles as a Multifunctional Nanotherapeutic Strategy Targeting Oxidative Stress, Inflammation, Apoptosis, and Genotoxicity in Nonalcoholic Fatty Liver Disease. Antioxidants 2025, 14, 1432. [Google Scholar] [CrossRef] [PubMed]
- Jarrar, B.; Almansour, M.; Al-Doaiss, A.; Jarrar, Q.; Lee, S.-J.; Sewelam, A. Histological and immunohistochemical alterations in the brain tissues induced by the subchronic toxicity of gold nanoparticles: In vivo study. Hum. Exp. Toxicol. 2025, 44, 09603271251390978. [Google Scholar] [CrossRef] [PubMed]
- Koutsompina, M.L.; Pappa, M.; Sakellariou, S.; Gialouri, C.G.; Fragoulis, G.E.; Androutsakos, T. Methotrexate-Related Liver Cirrhosis in Psoriatic Arthritis: A Case Report and Review of the Literature. Mediterr. J. Rheumatol. 2021, 32, 264–272. [Google Scholar] [CrossRef]
- Michelis, R.; Kristal, B.; Snitkovsky, T.; Sela, S. Oxidative modifications impair albumin quantification. Biochem. Biophys. Res. Commun. 2010, 401, 137–142. [Google Scholar] [CrossRef]
- Ramirez-Mejia, M.M.; Castillo-Castaneda, S.M.; Pal, S.C.; Qi, X.; Mendez-Sanchez, N. The Multifaceted Role of Bilirubin in Liver Disease: A Literature Review. J. Clin. Transl. Hepatol. 2024, 12, 939–948. [Google Scholar] [CrossRef]
- Song, X.; Tan, L.; Wang, M.; Ren, C.; Guo, C.; Yang, B.; Ren, Y.; Cao, Z.; Li, Y.; Pei, J. Myricetin: A review of the most recent research. Biomed. Pharmacother. 2021, 134, 111017. [Google Scholar] [CrossRef]
- Wu, Y.; Zhang, J.; He, W.; Li, C.; Wang, Y. Nanomaterials for Targeting Liver Disease: Research Progress and Future Perspectives. Nano Biomed. Eng. 2023, 15, 199–224. [Google Scholar] [CrossRef]
- Nemeth, Z.; Csoka, I.; Semnani Jazani, R.; Sipos, B.; Haspel, H.; Kozma, G.; Konya, Z.; Dobo, D.G. Quality by Design-Driven Zeta Potential Optimisation Study of Liposomes with Charge Imparting Membrane Additives. Pharmaceutics 2022, 14, 1798. [Google Scholar] [CrossRef]
- Jarzynska, K.; Gajewicz-Skretna, A.; Ciura, K.; Puzyn, T. Predicting zeta potential of liposomes from their structure: A nano-QSPR model for DOPE, DC-Chol, DOTAP, and EPC formulations. Comput. Struct. Biotechnol. J. 2024, 25, 3–8. [Google Scholar] [CrossRef] [PubMed]
- Ozturk, K.; Kaplan, M.; Calis, S. Effects of nanoparticle size, shape, and zeta potential on drug delivery. Int. J. Pharm. 2024, 666, 124799. [Google Scholar] [CrossRef] [PubMed]
- Peng, M.; Fang, F.; Wang, B. Nanoparticle technologies for liver targeting and their applications in liver diseases. Front. Bioeng. Biotechnol. 2025, 13, 1661872. [Google Scholar] [CrossRef] [PubMed]
- Wang, S.H.; Serr, I.; Digigow, R.; Metzler, B.; Surnov, A.; Gottwick, C.; Alsamman, M.; Krzikalla, D.; Heine, M.; Zahlten, M.; et al. Nanoparticle platform preferentially targeting liver sinusoidal endothelial cells induces tolerance in CD4+ T cell-mediated disease models. Front. Immunol. 2025, 16, 1542380. [Google Scholar] [CrossRef]
- Rodriguez-Garcia, A.; Garcia-Vicente, R.; Morales, M.L.; Ortiz-Ruiz, A.; Martinez-Lopez, J.; Linares, M. Protein Carbonylation and Lipid Peroxidation in Hematological Malignancies. Antioxidants 2020, 9, 1212. [Google Scholar] [CrossRef]
- Valgimigli, L. Lipid Peroxidation and Antioxidant Protection. Biomolecules 2023, 13, 1291. [Google Scholar] [CrossRef]
- Boutros, J.A.; Benmerzouga, K.; Bayachou, M. Peroxynitrite Activation by Inducible Nitric Oxide Synthase (iNOS). ECS Meet. Abstr. 2008, MA2008-02, 2885. [Google Scholar] [CrossRef]
- Lubos, E.; Loscalzo, J.; Handy, D.E. Glutathione peroxidase-1 in health and disease: From molecular mechanisms to therapeutic opportunities. Antioxid. Redox Signal. 2011, 15, 1957–1997. [Google Scholar] [CrossRef]
- Singhal, S.S.; Singh, S.P.; Singhal, P.; Horne, D.; Singhal, J.; Awasthi, S. Antioxidant role of glutathione S-transferases: 4-Hydroxynonenal, a key molecule in stress-mediated signaling. Toxicol. Appl. Pharmacol. 2015, 289, 361–370. [Google Scholar] [CrossRef]
- Georgiou-Siafis, S.K.; Tsiftsoglou, A.S. The Key Role of GSH in Keeping the Redox Balance in Mammalian Cells: Mechanisms and Significance of GSH in Detoxification via Formation of Conjugates. Antioxidants 2023, 12, 1953. [Google Scholar] [CrossRef] [PubMed]
- Gressler, S.; Hipfinger, C.; Part, F.; Pavlicek, A.; Zafiu, C.; Giese, B. A systematic review of nanocarriers used in medicine and beyond—Definition and categorization framework. J. Nanobiotechnology 2025, 23, 90. [Google Scholar] [CrossRef] [PubMed]
- Zhou, J.; Zheng, Q.; Chen, Z. The Nrf2 Pathway in Liver Diseases. Front. Cell Dev. Biol. 2022, 10, 826204. [Google Scholar] [CrossRef] [PubMed]
- Aguilar-Pérez, K.M.; Avilés-Castrillo, J.I.; Medina, D.I.; Parra-Saldivar, R.; Iqbal, H.M.N. Insight into Nanoliposomes as Smart Nanocarriers for Greening the Twenty-First Century Biomedical Settings. Front. Bioeng. Biotechnol. 2020, 8, 579536. [Google Scholar] [CrossRef]
- Eremia, M.-C.; Pavaloiu, R.-D.; Sha’at, F.; Miu, D.M.; Savoiu, G.; Raiciu, A.D. Liposomal Nanosystems Versus Hydrogels in the Prevention and Treatment of Metabolic Diseases. Gels 2025, 11, 917. [Google Scholar] [CrossRef]
- Liu, D.; Zhong, Z.; Karin, M. NF-kappaB: A Double-Edged Sword Controlling Inflammation. Biomedicines 2022, 10, 1250. [Google Scholar] [CrossRef]
- Zhang, B.; Zhao, Z.; Chen, X.; Wang, F.; Luo, Z.; Gu, L.; Tong, Q.; Zhang, Y. Kinsenoside derivatives mitigate acute liver injury in mice via MAPK pathway-mediated oxidative stress suppression. Bioorg. Chem. 2025, 164, 108840. [Google Scholar] [CrossRef]
- Bejjani, F.; Evanno, E.; Zibara, K.; Piechaczyk, M.; Jariel-Encontre, I. The AP-1 transcriptional complex: Local switch or remote command? Biochim. Et Biophys. Acta Rev. Cancer 2019, 1872, 11–23. [Google Scholar] [CrossRef]
- Nagesh, R.; Kiran Kumar, K.M.; Naveen Kumar, M.; Patil, R.H.; Sharma, S.C. Regulation of Jun and Fos AP-1 transcription factors by JNK MAPKs signaling cascade in areca nut extract treated KB cells. Biochem. Biophys. Rep. 2021, 27, 101090. [Google Scholar] [CrossRef]
- Imran, M.; Saeed, F.; Hussain, G.; Imran, A.; Mehmood, Z.; Gondal, T.A.; El-Ghorab, A.; Ahmad, I.; Pezzani, R.; Arshad, M.U.; et al. Myricetin: A comprehensive review on its biological potentials. Food Sci. Nutr. 2021, 9, 5854–5868. [Google Scholar] [CrossRef]
- Yang, S.; Wu, W.; Xi, W.; Sui, Y.; Wang, Y.; Huang, L.; Zhang, H.; Wang, D.; Huang, L.; Kang, Y. Ce-myricetin nanoparticles alleviate inflammation and multi-organ damage through ROS clearance and macrophage reprogramming in sepsis. Nano Res. 2026, 19, 94907779. [Google Scholar] [CrossRef]
- Mustafa, M.; Ahmad, R.; Tantry, I.Q.; Ahmad, W.; Siddiqui, S.; Alam, M.; Abbas, K.; Moinuddin; Hassan, M.I.; Habib, S.; et al. Apoptosis: A Comprehensive Overview of Signaling Pathways, Morphological Changes, and Physiological Significance and Therapeutic Implications. Cells 2024, 13, 1838. [Google Scholar] [CrossRef] [PubMed]
- Yang, Y.L.; Liu, M.; Cheng, X.; Li, W.H.; Zhang, S.S.; Wang, Y.H.; Du, G.H. Myricitrin blocks activation of NF-κB and MAPK signaling pathways to protect nigrostriatum neuron in LPS-stimulated mice. J. Neuroimmunol. 2019, 337, 577049. [Google Scholar] [CrossRef] [PubMed]
- Li, S.; Li, H.; Xu, X.; Saw, P.E.; Zhang, L. Nanocarrier-mediated antioxidant delivery for liver diseases. Theranostics 2020, 10, 1262–1280. [Google Scholar] [CrossRef]
- Abou Assi, R.; Abdulbaqi, I.M.; Siok Yee, C. The Evaluation of Drug Delivery Nanocarrier Development and Pharmacological Briefing for Metabolic-Associated Fatty Liver Disease (MAFLD): An Update. Pharmaceuticals 2021, 14, 215. [Google Scholar] [CrossRef]
- Patel, J.; Roy, H.; Khobragade, D.S.; Agrawal, S.; Das, N.R.; Patel, R.; Patel, V.; Lal, P. Natural lipid-based nanoformulations for enhancing hepatoprotective activity: Mechanisms, efficacy, and clinical translation. Health Nanotechnol. 2025, 1, 11. [Google Scholar] [CrossRef]
- Sunoqrot, S.; Abu Shalhoob, M.; Jarrar, Y.; Hammad, A.M.; Al-Ameer, H.J.; Al-Awaida, W. Nanoencapsulated Curcumin Mitigates Liver Injury and Drug-Metabolizing Enzymes Induction in Diclofenac-Treated Mice. ACS Omega 2024, 9, 7881–7890. [Google Scholar] [CrossRef]
- Tousson, E.; El Atrash, A.; Zaki, S.; Negm, M.; Ghoneim, A.I. Ferrite chitosan curcumin nanoparticles alleviate nandrolone decanote induced liver toxicity in male albino rats. Sci. Rep. 2025, 15, 37740. [Google Scholar] [CrossRef]
- Guan, Y.; Liu, J.; Yang, J.; Chen, S.; Yao, W.; Gong, S.; Xiao, C.; Li, M.; Luo, G.; Hei, Z. Oxidation-responsive PEG-poly(alpha-lipoic acid) nanoparticles for coenzyme Q10 delivery attenuate hepatic ischemia-reperfusion injury via ROS scavenging and ferroptosis inhibition. J. Mater. Chem. B 2025, 13, 10159–10169. [Google Scholar] [CrossRef]
- Gao, F.; Feng, X.; Li, X. Recent advances in polymeric nanoparticles for the treatment of hepatic diseases. Front. Pharmacol. 2025, 16, 1528752. [Google Scholar] [CrossRef]














| Gene | Sequences (5′–3′) | Accession No. | Length (bp) |
|---|---|---|---|
| Nrf2 | F: TTTGTAGATGACCATGAGTC R: TCCTGCCAAACTTGCTCCAT | NM_031789.2 | 161 |
| HO-1 | F: ATGTCCCAGGATTTGTCCGA R: ATGGTACAAGGAGGCCATCA | NM_012580.2 | 144 |
| NF-κB | F: AGTCCCGCCCCTTCTAAAAC R: CAATGGCCTCTGTGTAGCCC | NM_001276711.1 | 105 |
| iNOS | F: CAGCTGGGCTGTACAAACCT R: CATTGGAAGTGAAGCGTTTC | NM_012611.3 | 120 |
| Caspase 3 | F: ACTGGAATGTCAGCTCGCAA R: GCAGTAGTCGCCTCTGAAGA | NM_012922.2 | 270 |
| Bax | F: TTTCATCCAGGATCGAGCAG R: AATCATCCTCTGCAGCTCCA | NM_017059.2 | 154 |
| Bcl2 | F: GACTTTGCAGAGATGTCCAG R: TCAGGTACTCAGTCATCCAC | NM_016993.2 | 214 |
| c-Fos | F: CCCGTAGACCTAGGGAGGAC R: CAATACACTCCATGCGGTTG | NM_022197.3 | 181 |
| c-Jun | F: CCAACCAACGTGAGTGCAAG R: CGTCCCCGCTTCAGTAACAA | NM_031203.2 | 115 |
| β-Actin | F: CAGCCTTCCTTCTTGGGTATG R: AGCTCAGTAACAGTCCGCCT | NM_031144.3 | 360 |
| Score | Liver Composite Assessment Score |
|---|---|
| 0 (none) | No pathological changes |
| 1 (mild) | Mild, scattered hepatocellular degeneration and necrosis, minimal inflammatory cell infiltration, occasional vascular congestion |
| 2 (moderate) | Multifocal hepatocellular necrosis, mild vascular congestion, moderate vacuolar degeneration, and pronounced inflammatory cell infiltration |
| 3 (severe) | Extensive hepatocyte necrosis, marked hepatocellular degeneration, moderate to severe vascular congestion, and dense inflammatory cell infiltration |
Disclaimer/Publisher’s Note: The statements, opinions and data contained in all publications are solely those of the individual author(s) and contributor(s) and not of MDPI and/or the editor(s). MDPI and/or the editor(s) disclaim responsibility for any injury to people or property resulting from any ideas, methods, instructions or products referred to in the content. |
© 2026 by the authors. Licensee MDPI, Basel, Switzerland. This article is an open access article distributed under the terms and conditions of the Creative Commons Attribution (CC BY) license.
Share and Cite
Alshammari, F.; Elmorsy, E.M.; Aldaghmi, A.S.; Alaajam, F.; Alshammari, E.M.; Elghareeb, M.M.; Fawzy, M.S.; Abd El-Fadeal, N.M. Liposomal Myricetin Nanoantioxidants Attenuate Methotrexate-Induced Hepatotoxicity by Modulating Oxidative Stress, Inflammation, and Apoptosis in Rats. Antioxidants 2026, 15, 452. https://doi.org/10.3390/antiox15040452
Alshammari F, Elmorsy EM, Aldaghmi AS, Alaajam F, Alshammari EM, Elghareeb MM, Fawzy MS, Abd El-Fadeal NM. Liposomal Myricetin Nanoantioxidants Attenuate Methotrexate-Induced Hepatotoxicity by Modulating Oxidative Stress, Inflammation, and Apoptosis in Rats. Antioxidants. 2026; 15(4):452. https://doi.org/10.3390/antiox15040452
Chicago/Turabian StyleAlshammari, Fahad, Ekramy M. Elmorsy, Abdulrahman S. Aldaghmi, Fahd Alaajam, Eida M. Alshammari, Mona M. Elghareeb, Manal S. Fawzy, and Noha M. Abd El-Fadeal. 2026. "Liposomal Myricetin Nanoantioxidants Attenuate Methotrexate-Induced Hepatotoxicity by Modulating Oxidative Stress, Inflammation, and Apoptosis in Rats" Antioxidants 15, no. 4: 452. https://doi.org/10.3390/antiox15040452
APA StyleAlshammari, F., Elmorsy, E. M., Aldaghmi, A. S., Alaajam, F., Alshammari, E. M., Elghareeb, M. M., Fawzy, M. S., & Abd El-Fadeal, N. M. (2026). Liposomal Myricetin Nanoantioxidants Attenuate Methotrexate-Induced Hepatotoxicity by Modulating Oxidative Stress, Inflammation, and Apoptosis in Rats. Antioxidants, 15(4), 452. https://doi.org/10.3390/antiox15040452

