Abstract
A 70-day feeding experiment was performed to investigate the effects of dietary vitamin E at different addition levels (0, 100, 200, and 400 mg/kg) on the growth, collagen content, antioxidant capacity, and expressions of genes related to the transforming growth factor beta (TGF-β)/Sma- and Mad-related protein (SMAD) signaling pathway in sea cucumbers (Apostichopus japonicus). The results showed that the A. japonicus in the group with 200 mg/kg vitamin E exhibited significantly higher growth rates, hydroxyproline (Hyp) and type III collagen contents, and superoxide dismutase (SOD) activity, as well as the upregulation of genes related to Tenascin, SMAD1, and TGF-β. Additionally, the A. japonicus in the group with 100 mg/kg vitamin E exhibited significantly higher body-wall indexes, denser collagen arrangements, improved texture quality, higher activities of glutathione peroxidase (GSH-Px) and peroxidase (POD), as well as the upregulation of genes related to collagen type I alpha 2 chain (COL1A2), collagen type III alpha 1 chain (COL3A1), and Sp-Smad2/3 (SMAD2/3). In contrast, the A. japonicus in the group with 400 mg/kg vitamin E showed a decrease in the growth rates, reduced Hyp contents, increased type I collagen contents, collagen fiber aggregation and a harder texture, along with the downregulation of genes related to the TGF-β/SMAD signaling pathway. Furthermore, the A. japonicus in the group with 400 mg/kg exhibited oxidative stress, reflected by the lower activities of SOD, GSH-Px, and POD. These results indicated that A. japonicus fed diets with the addition of 100–200 mg/kg vitamin E had improved collagen retention and texture quality by increasing the activities of antioxidant enzymes and the expressions of genes in the TGF-β/SMAD signaling pathway. However, the excessive addition of vitamin E (400 mg/kg) induced oxidative stress, which could increase the collagen degradation and fibrosis and pose a threat to the growth and texture quality of A. japonicus.
1. Introduction
Sea cucumber (Apostichopus japonicus), recognized globally for aquaculture, is celebrated for its high nutritional value and unique medicinal properties [1]. The body wall is the primary edible part of A. japonicus [2,3]. Collagen, accounting for 70% of the total protein in the body wall, directly affects the market quality of A. japonicus, especially its characteristic glutinous texture [4,5].
Vitamin E is a feed additive with exceptional antioxidant properties [6,7]. Its antioxidant mechanism primarily involves reacting with excess free radicals in the body, blocking free-radical chain reactions, and thereby effectively preventing lipid peroxidation and enhancing the overall antioxidant capacity [8]. Additionally, vitamin E positively affects collagen deposition. It has been shown that the addition of vitamin E significantly increased the collagen contents in the muscles of rabbit (Oryctolagus cuniculus) and lamb (Ovis aries) [9,10]. The addition of vitamin E at a level of 300–500 mg/kg promoted the content of hydroxyproline (Hyp), an essential component of collagen, in the muscles of grass carp (Ctenopharyngodon idella) [11]. Adding 55.61–306.19 mg/kg vitamin E to the diets increased the deposition of collagen in the liver and muscles of the Chinese soft-shelled turtle (Pelodiscus sinensis) [12]. It was found that the addition of 250 mg/kg vitamin E promoted the growth, nonspecific immunity, and disease resistance of A. japonicus [13]. However, the impact of vitamin E on the collagen content and its underlying mechanisms remains largely unexplored in A. japonicus.
The collagen synthesis is regulated by the transforming growth factor beta (TGF-β)/Sma- and Mad-related protein (SMAD) signaling pathway [14]. TGF-β promotes collagen synthesis and deposition by activating the SMAD signaling pathway and increasing the collagen type I alpha 1 chain (COL1A1) gene expression [15]. Long-term inflammation triggers oxidative stress, enhances the expression of TGF-β, and results in the excessive deposition of collagen fibers in the extracellular matrix and the formation of fibrosis [16]. Antioxidants can inhibit tissue fibrosis by suppressing the TGF-β/SMAD pathway [16]. Studies have shown that the combined treatment of vitamin E and pentoxifylline suppressed the expression of fibrosis markers induced by transforming growth factor-beta 1 (TGF-β1) in mice (Mus musculus) [17]. Additionally, vitamin E improved renal fibrosis in mice (Mus musculus) with unilateral ureteral obstruction by inhibiting the TGF-β/SMAD signaling pathway [18]. The combination of selenium and vitamin E protected against TGF-β1-mediated liver fibrosis by reducing the accumulation of type I collagen in stellate cells [19]. Despite this, some researchers have reported the beneficial effects of vitamin E on the collagen synthesis through the TGF-β signaling pathway. It was shown that vitamin E activated the TGF-β/SMAD pathway and increased the collagen content in human bones [20]. Vitamin E plays a protective and promotive role in the growth and differentiation of dermal papilla stem cells by modulating the TGF-β signaling pathway [21]. Thus, it has been postulated that vitamin E may regulate the TGF-β/SMAD signaling pathway and collagen synthesis in a dose-dependent manner. Furthermore, it could be the different tissues that determine whether vitamin E exerts promoting or inhibitory effects on the collagen synthesis. However, there is still a poor understanding of the mechanisms by which vitamin E regulates the deposition of collagen through the TGF-β/SMAD signaling pathway in the body wall of A. japonicus.
Therefore, this study aimed to explore the effects of vitamin E on the collagen synthesis, antioxidant capacity, and expressions of key genes in the TGF-β/SMAD signaling pathway in A. japonicus, and to provide some scientific evidence for understanding the effects of vitamin E on the collagen synthesis in the body wall of A. japonicus and the relevant mechanisms.
2. Materials and Methods
2.1. Ethics Statement
A. japonicus were captive-bred in a local hatchery room. All experimental procedures on the experimental animals in this study strictly followed the relevant national guidelines of China and Dalian Ocean University.
2.2. Experimental Diets and Feeding Experiment
In this experiment, fish meal, fermented soybean meal, and kelp powder were used as the main sources of protein. Based on the designed crude protein and crude fat contents, a basic feed formula was formulated (Table 1). Different concentrations of DL-α-Tocopheryl Acetate (provided by Nanjing Dulai Biotechnology, purity ≥ 96%) were added to the experimental feeds to obtain four different vitamin E content groups: 0 mg/kg, 100 mg/kg, 200 mg/kg, and 400 mg/kg.
Table 1.
Ingredients and proximate analysis of the experimental diets (g/kg).
DL-α-Tocopheryl Acetate was proportionally added to fish oil, and the solid ingredients that had been finely ground were sieved through an 80-mesh sieve according to the feed formula ratio. Subsequently, they were weighed and added sequentially to the fish oil containing DL-α-Tocopheryl Acetate, thoroughly mixed, and stored sealed. For each feeding, the previous feed was mixed with 30% distilled water and kneaded into spherical solid feed with a diameter of approximately 1.5 cm.
The feeding experiment was conducted at the Key Laboratory of Mariculture, Ministry of Agriculture, Dalian Ocean University. The A. japonicus used in the experiment were sourced from Dalian Xinyulong Marine Biotechnology Co., Ltd. (Dalian, China). Prior to the experiment, the sea water was first sand-filtered before it was used for the feeding experiment. The A. japonicus were placed in the aquaculture system and pre-cultured for two weeks using basic feed. After 36 h of food deprivation, 180 healthy A. japonicus were randomly distributed into 12 square tanks of 30 L each, with 15 individuals per tank. The consistency of the initial total weights of the A. japonicus in each group was ensured at approximately 195 ± 1 g. The rearing period was scheduled from November to January, totaling 70 days. During the rearing period, feeding was conducted twice daily at 7 a.m. and 4:30 p.m., with a feeding amount equivalent to 3% of the initial body weight of the A. japonicus, adjusted based on their daily food consumption. During the feeding experiment, one-third of the water was replaced daily by using a siphon, and residual feed and feces were cleaned every two days. The rearing environment was maintained under dim-light conditions, with the natural sea water temperature slowly decreasing from 18 to 9 °C, the pH maintained between 7.6 and 8.3, dissolved oxygen levels above 6 mg/L, and the ammonia nitrogen and nitrite concentrations kept below 0.05 mg/L.
2.3. Sample Collection
After the conclusion of the feeding experiment, a 48 h fasting period was observed, followed by the measuring and weighing of the A. japonicus in each tank to calculate the survival rates, weight gain rates, visceral weight rates, specific growth rates, and body-wall indexes. Subsequently, coelomic fluid was extracted from ten A. japonicus individuals in each tank using a syringe. The coelomic fluid was then dissected for supernatant post-centrifugation (3500 rpm, 4 °C, 10 min) and stored at −80 °C for future enzyme activity analysis. A. japonicus were dissected by using sterile instruments. For each tank, the viscera and body walls from ten A. japonicus individuals were individually separated and weighed to calculate the viscera weight ratio. Then, pieces of the body walls (1 cm × 1 cm) were cut off from the middle backs of ten A. japonicus individuals. After that, muscle tissue was stripped from the body walls above. Subsequently, the body walls without muscle tissue of three individuals were cut into 5 mm × 5 mm pieces, which were rinsed with sterile saline and fixed in paraformaldehyde for histological observation. At last, the body walls of seven individuals without muscle tissue and pigment layers were pooled into 1.5 mL RNAase-free tubes (Axygen, Union City, CA, USA) and stored at −80 °C for subsequent gene expression and nutritional composition analyses.
2.4. Feed Composition Analysis
The nutritional components of the feeds were analyzed using the AOAC (1995) methods. Here, the relevant methods are simply described as follows: the crude protein content was determined by the Kjeldahl method, multiplying the nitrogen content by 6.25; the crude fat content was determined using the Soxhlet extraction method, with ether as the solvent.
2.5. Collagen Content Analysis
The Hyp content was determined using a kit (Art. No. A030-2; Nanjing Jiancheng Bioengineering Institute, Nanjing, China) to treat the samples. The operation followed the manufacturer’s instructions, and an Infinite® Pro 200 microplate reader (Tecan, Männedorf, Switzerland) was used to analyze the samples. The absorbance was measured at a wavelength of 550 nm, and the Hyp concentration was calculated from the standards according to the instructions. The collagen content was estimated by multiplying the Hyp content by 8 (AOAC, 2002).
2.6. Texture Quality Analysis
A tool knife was used to cut 1.5 cm × 1.5 cm squares from the middle dorsal parts of the sea cucumber body walls, and scissors were used to trim the sea cucumber papillae. A cylindrical probe with a diameter of 20 mm was used for the test, with a deformation of 50% and a trigger force of 1.5 N. The samples were compressed at a speed of 30 mm/min. (ENS-IPRP texture analyzer, Beijing Yingsheng Hengtai Technology Co., Ltd., Beijing, China)
2.7. Enzyme Activity Analysis
The activities of peroxidase (POD), glutathione peroxidase (GSH-Px), and total superoxide dismutase (SOD) in the body walls and coelomic fluid of A. japonicus were measured by Nanjing Jiancheng Bioengineering Institute Co., Ltd. The peroxidase activity was measured using the Peroxidase Assay Kit (A084-1-1) [22], the glutathione peroxidase activity was measured using the Glutathione Peroxidase (GSH-Px) Assay Kit (A005-1-1) [23], and the total superoxide dismutase activity was measured using the Total Superoxide Dismutase (T-SOD) Assay Kit (Hydroxylamine method) (A001-1-1) [24]. The specific measurement methods were carried out according to the instructions provided with the kits.
2.8. Detailed Microscopic Analysis of Collagen Proteins in Body Wall
Preparation of paraffin sections: First, the A. japonicus body walls were cut into pieces no larger than 2 cm × 2 cm and fixed in a solution of 4% paraformaldehyde fixing solution for 24 h. Next, the Leica ASP200S was used to dehydrate, clarify, and paraffin-embed the samples. Then, the Leica EGH50H + C embedding machine was used to embed the samples into paraffin blocks. Subsequently, the Leica RM2245 rotary microtome was used to cut the paraffin blocks into sections with a thickness of 6 μm. Finally, the Sirius Red (Sirius Red) staining protocol and Van Gieson (VG) staining were performed on two consecutive sections, respectively.
Sirius Red staining: Initially, the sections underwent deparaffinization from paraffin to water, followed by the gentle drying of the surfaces. The sections were then submerged in a Sirius Red staining solution for approximately 8 min. Following the staining, the sections were rapidly dehydrated using three changes of absolute ethanol, with the final change extended to between 30 s and 2 min. This was followed by a brief clearing in butanol for around 10 s. The sections were then placed in two fresh xylene baths for 5 min each to finish the clearing process. They were finally mounted with neutral gum for analysis under a polarized-light microscope.
VG staining: The sections were first deparaffinized and were then placed in two xylene baths for 20 min each. This was followed by two ethanol washes (absolute) for 5 min each and a 5 min immersion in 75% ethanol, concluding with a rinse in tap water. The VG staining solution was prepared by mixing 9 mL of VG solution B with 1 mL of VG solution A. The sections were stained in this mixture for about 1 min, quickly rinsed with water, and then swiftly dehydrated three times using absolute ethanol. Finally, the sections were cleared with xylene and mounted with neutral gum for microscopic examination and image collection and analysis.
2.9. Real-Time Quantitative PCR
RNA isolation and cDNA synthesis: Total RNA was extracted from the body walls of A. japonicus by using TianGen’s RNA Easy Fast kit (DP451) and FastKing gDNA Dispelling RT SuperMix (KR118) (TianGen, Beijing, China) [25]. The RNA integrity was confirmed via agarose gel electrophoresis by using 50X TAE Buffer (B548101) and Agarose, Regular (A620014) (Sangon Biotech, Shanghai, China) [26]. cDNA synthesis was performed under the following conditions: incubation at 37 °C for 15 min, denaturation at 85 °C for 5 s, and storage of the cDNA at −20 °C.
Primer design: Primers for RT-PCR were devised using NCBI’s Primer BLAST, targeting specific sequences within the coding regions identified in the NCBI database. This rigorous approach yielded eight pairs of primers, including the reference gene primer Cytochrome b (Cytb-R), cited directly from the relevant literature [27] (Table 2).
Table 2.
Real-time PCR primers used in the present study.
Quantitative PCR setup and analysis: The qPCR was performed by using the FastKing One Step RT-PCR Kit (KR123) (TianGen, Beijing, China) [28]. The qPCR employed SYBR Green I chemistry in a 20 μL reaction mixture containing 10 μL 2× TransStart® Tip Green qPCR Super Mix, 0.8 μL each of forward and reverse primers (20 μM), 2 μL of cDNA, and 6.4 μL of RNase-free water. PCR cycling consisted of an initial denaturation at 95 °C for 120 s, followed by 45 cycles of 95 °C for 5 s, 95 °C for 10 s for annealing/extension, and concluding with a melting-curve analysis.
Standard curve and dilution: Standard curves for the reference and target genes were established using high-expression samples at an initial concentration of 50 ng/μL, followed by a tenfold dilution series across five points, each replicated three times. The optimal reaction cDNA concentration was determined to be 5 ng/μL, achieved by diluting 50 ng/μL cDNA tenfold with DEPC-treated water.
Relative expression levels were calculated using the 2−ΔΔCT method. This involved computing the ΔCT as the difference between the CT values of the target and reference genes, normalizing the ΔCT to the control group to obtain the ΔΔCT, and determining the fold change as 2−ΔΔCT. Results were expressed as means and standard deviations.
2.10. Formulas for Calculation
In the formula, , , , and . are the initial number, final number, initial average weight, and final weight of the A. japonicus in each tank, respectively; , , and are the wet mass of visceral organs, body-wall index, and whole body; is the feeding period.
2.11. Data Analysis
Data were analyzed using SPSS 22.0 statistical software. Initially, the normality of the data distribution was assessed with the Shapiro–Wilk test, and the homogeneity of the variances was evaluated with Levene’s test. Subsequently, one-way analysis of variance (ANOVA) was employed to determine the significance among the dietary groups. If a significance (p < 0.05) was detected, Tukey’s multiple comparisons were used to identify the significant differences between the dietary groups. The collagen areas in the histological images were quantified using image analysis software (Image-Pro Plus 6.0). All data are presented as means ± standard errors (SEs).
3. Results
3.1. Effects of Vitamin E Addition on Growth Performance of A. japonicus
There were no significant differences in the survival rates of the A. japonicus between the different dietary groups (p > 0.05). As the vitamin E addition level increased, the weight growth rates and specific growth rates of the A. japonicus first increased and then decreased, with the peak values observed in the dietary group with the addition of 200 mg/kg vitamin E. The weight growth rates and specific growth rates of the A. japonicus fed diets with 200 mg/kg vitamin E were significantly higher than those of the control group (p < 0.05). The visceral weight ratios of the A. japonicus fed diets with the addition of 400 mg/kg vitamin E were significantly lower than those in the other dietary groups (p < 0.05). The body-wall indexes were significantly elevated in the groups fed diets with the addition of 100 mg/kg, 200 mg/kg, and 400 mg/kg of vitamin E compared to those in the control group (p < 0.05) (Table 3).
Table 3.
Effects of vitamin E addition levels on the growth performance of sea cucumber (Apostichopus japonicus).
3.2. Effects of Vitamin E Addition on Texture Quality of A. japonicus
As the vitamin E addition level increased, the hardness of the A. japonicus body walls gradually increased, reaching its highest value in the 400 mg/kg group, which was significantly higher than that in the control group (p < 0.05). As the vitamin E addition level increased, the springiness of the A. japonicus body walls initially increased and then decreased. The springiness was the highest in the 100 mg/kg group, which was significantly higher than that of the control group (p < 0.05). The gumminess of the A. japonicus body walls increased with the addition of vitamin E, reaching its highest value in the 400 mg/kg group, which was significantly higher than that in the control group (p < 0.05) (Table 4).
Table 4.
Effects of vitamin E (VE) addition levels on the texture profile analysis of sea cucumber (Apostichopus japonicus) body walls.
3.3. Effects of Vitamin E Addition on Collagen Content in Body Walls of A. japonicus
3.3.1. Body-Wall Hyp and Collagen Contents
As the vitamin E addition level increased, the Hyp contents in the body walls of the A. japonicus first increased and then decreased, with the peak values observed in the dietary group with the addition of 200 mg/kg vitamin E. The Hyp contents in the body walls of the A. japonicus fed diets with 200 mg/kg vitamin E were significantly higher than those in the control group (p < 0.05) (Figure 1A).
Figure 1.
Effects of Vitamin E on collagen contents in the body walls of sea cucumber (Apostichopus japonicus). (A) The content of hydroxyproline in the body wall; (B) Sirius Red staining (200×), c1: type I collagen fibers, c3: type III collagen fibers; (C) proportions of collagen in the body walls; (D) grayscale image (200×). Note: values are means ± SEs (n = 3). Bars bearing different lowercase letters are significantly different between the dietary groups (p < 0.05).
3.3.2. Body-Wall Collagen Categories and Distribution
Type I collagen fibers exhibit strong birefringence, with colors ranging from bright orange-red to pale yellow. Type III collagen fibers are densely arranged and have weak birefringence and a green color. In the groups supplemented with vitamin E, both the type I and type III collagen fibers showed significantly higher quantities and denser arrangements than those in the control group. The body walls in the 200 mg/kg group exhibited the most orderly and dense arrangements of collagen fibers, while those in the 400 mg/kg group had the most widespread distributions of type I collagen fibers (Figure 1B).
As the vitamin E addition level increased, the relative area percentages of collagen fibers first increased and then decreased, with the peak value observed in the 200 mg/kg addition group. The relative area percentages of collagen fibers in the 200 mg/kg group were significantly higher than those in the control group and 400 mg/kg group (p < 0.05) (Figure 1C,D).
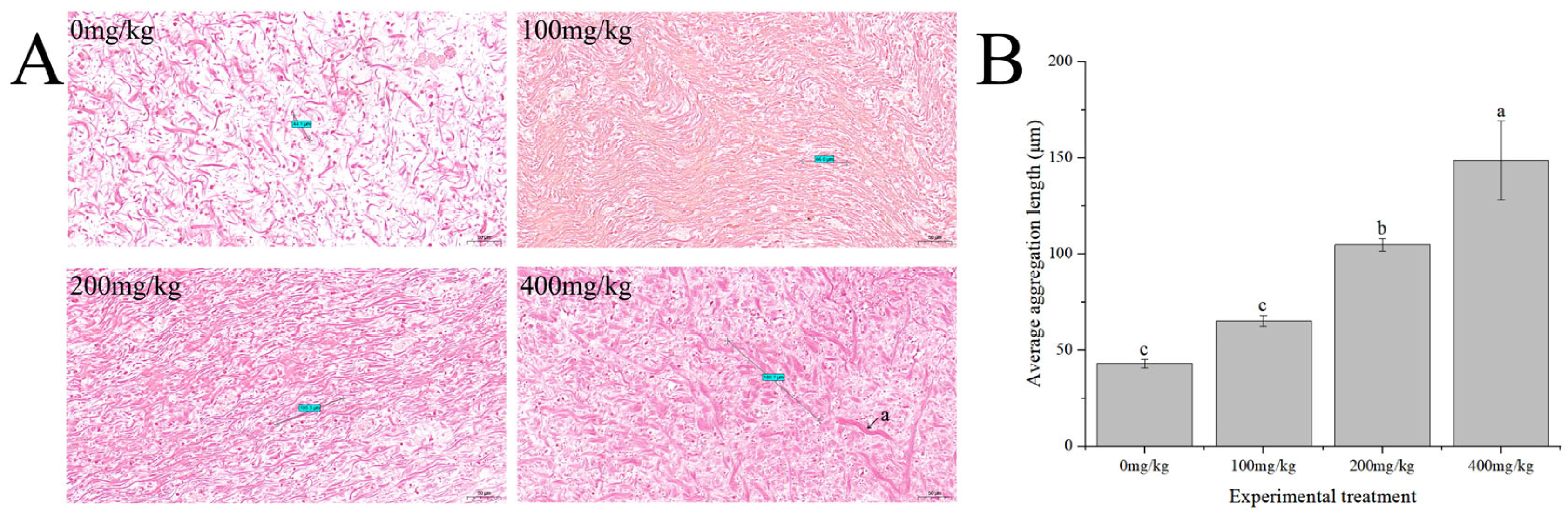
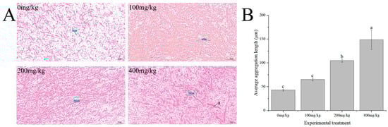
The pink fibers refer to collagen fibers. In the groups supplemented with vitamin E, the collagen fibers showed significantly higher quantities and denser arrangements compared to those of the control group. The arrangements of fibers in the 100 mg/kg and 200 mg/kg groups were more orderly than those in the control group and 400 mg/kg additive group. As the vitamin E addition level increased, the lengths of the collagen fibers gradually increased, leading to the aggregation of fiber bundles, reaching their maximum values in the 400 mg/kg group (Figure 2).
Figure 2.
Effects of vitamin E on collagen fiber morphology in the body walls of sea cucumber (Apostichopus japonicus). (A) Van Gieson staining (200×), a: fiber bundle aggregation; (B) average aggregation length (μm). Note: values are means ± SEs (n = 3). Bars bearing different lowercase letters are significantly different between the dietary groups (p < 0.05).
3.4. Effects of Vitamin E Addition on Antioxidant Enzyme Activities of A. japonicus
3.4.1. Antioxidant Enzyme Activities in the Coelomic Fluid of A. japonicus
As the vitamin E addition level increased, the SOD, GSH-Px, and POD activities in the coelomic fluid of the A. japonicus showed a trend of first increasing and then decreasing. Specifically, SOD reached its highest activity in the group with the 200 mg/kg addition, which was significantly higher than that in the control group (p < 0.05). GSH-Px and POD reached their highest activities in the group with the 100 mg/kg addition, which were higher than those in the control group (p > 0.05). However, the POD activity in the 400 mg/kg group was lower than that in the control group (Table 5).
Table 5.
Effects of VE addition level on antioxidant indexes of sea cucumber (Apostichopus japonicus) coelomic fluid.
3.4.2. Antioxidant Enzyme Activities in the Body Walls of A. japonicus
As the vitamin E addition level increased, the SOD and POD activities in the body walls of the A. japonicus showed a trend of first increasing and then decreasing. Specifically, SOD reached its highest activity in the group with the 200 mg/kg addition, which was significantly higher than that in the control group (p < 0.05). GSH-Px reached its highest activity in the group with the 400 mg/kg addition, which was higher than that in the control group (p > 0.05). POD reached its highest activity in the group with the 100 mg/kg addition, which was higher than that in the control group (p > 0.05). However, the POD activity in the 400 mg/kg group was lower than that in the control group (Table 6).
Table 6.
Effects of VE addition levels on antioxidant indexes of sea cucumber (Apostichopus japonicus) body walls.
3.5. Effects of Vitamin E Addition on Expressions of Collagen and TGF-β/Smads Pathway-Related Genes in Body Walls of A. japonicus
As the level of the vitamin E addition increased, the expression levels of the collagen type I alpha 2 chain (COL1A2), collagen type III alpha 1 chain (COL3A1), Sp-Smad2/3 (SMAD2/3), Tenascin, SMAD1, and TGF-β genes in the body walls of the A. japonicus showed a trend of first increasing and then decreasing. The expression levels of COL1A2, COL3A1, and SMAD2/3 in the groups supplemented with vitamin E were consistently observed to be higher than those in the control group. Specifically, COL1A2, COL3A1, and SMAD2/3 reached their highest expression levels in the group with the 100 mg/kg addition, which were significantly higher than those in the control group and the group supplemented with 400 mg/kg vitamin E (p > 0.05). Tenascin, SMAD1, and TGF-β reached their highest expression levels in the group with the 200 mg/kg vitamin E addition, significantly outperforming both the control and 400 mg/kg groups (p > 0.05). However, the expression levels of Tenascin, SMAD1, and TGF-β in the 400 mg/kg group were lower than those in the control group (Figure 3).
Figure 3.
Effects of different vitamin E addition levels on collagen and TGF-β/SMAD pathway gene expression in the body walls of sea cucumber (Apostichopus japonicus). Note: values are means ± SEs (n = 3). Bars bearing different lowercase letters are significantly different between the dietary groups (p < 0.05). (A) Col1A2; (B) Col3A1; (C) Tenascin; (D) SMAD2/3; (E) SMAD1; (F) TGF-β.
4. Discussion
Vitamin E is an essential micronutrient for many animal species [7,29]. Although there are many reports on the positive effects of vitamin E on the growth, development, immune regulation, and collagen accumulation in livestock and aquatic animals, research on its application in A. japonicus aquaculture is limited. It has been shown that the addition of 0.3 mg/kg of selenium and 200 mg/kg vitamin E to the feed of A. japonicus significantly increased the specific growth rate to 1.39 and the weight gain rate to 10.39 with an initial weight of 4.48 g. Additionally, the amylase activity of the A. japonicus was significantly increased by 200 mg/kg vitamin E [30]. The addition of 100 mg/kg vitamin E to the feed of A. japonicus with an initial weight of 7.96 g has been shown to significantly enhance its specific growth rate and survival rate [31]. In this study, the A. japonicus in all the groups showed obvious weight gain and no mortality, indicating that the experimental feeds were conducive to A. japonicus survival and growth. The specific growth rates of the A. japonicus were effectively improved by the addition of 100 mg/kg and 200 mg/kg vitamin E. Research indicates that the appropriate addition of 80 mg/kg vitamin E to feed can enhance the specific growth rate and feed conversion efficiency of juvenile discus fish (Symphysodon haraldi). However, the excessive addition of vitamin E resulted in decreased specific growth rates and digestive enzyme activities [32]. Vitamin E can affect cell growth, differentiation, and functioning by regulating cell signaling pathways, thereby indirectly influencing the absorption function of the intestine [33]. Additionally, vitamin E can improve the feed conversion efficiencies and growth rates of aquatic animals [34]. Moreover, the growth rates of the A. japonicus in this study were consistent with the relative areas of collagen fibers in their body walls. This indicated that collagen deposition is critical for body-wall formation and subsequent growth. Thus, understanding the effects of vitamin E on collagen synthesis will be helpful to better elucidate the mechanisms whereby vitamin E regulates the growth performance of A. japonicus.
The body wall is the main edible part of A. japonicus. The texture characteristics of the body wall are closely related to the collagen content and structure of A. japonicus [35]. Hyp is often used to estimate the total collagen, as it constitutes a significant portion of collagen’s unique triple-helical structure [36]. The existing research indicates that feeding hybrid grouper (Epinephelus fuscoguttatus) 110 mg/kg vitamin E promoted their growth performance by enhancing the synthesis of Hyp [37]. In this study, the addition of 100 mg/kg, 200 mg/kg, and 400 mg/kg vitamin E showed higher Hyp contents than the control group, with the 200 mg/kg group reaching the highest value (1.18 µg/mg tissue). This could be due to the promoting effects of vitamin E on the Hyp synthesis. Research has shown that TGF-β1 is a key initiator of collagen deposition [16]. The TGF-β/SMAD signaling pathway plays a crucial role in the deposition of collagen in aquatic life [38,39]. In addition, in rainbow trout (Oncorhynchus mykiss), cardiac fibroblasts are stimulated by TGF-β1 to synthesize more collagen [40]. In this study, the expression levels of collagen and genes related to the TGF-β/SMAD signaling pathway were the highest in the 100 mg/kg and 200 mg/kg vitamin E supplementation groups. Specifically, adding 100 mg/kg vitamin E resulted in the highest expression levels of COL1A2, COL3A1, and SMAD2/3, while adding 200 mg/kg vitamin E led to the highest expression levels of Tenascin, SMAD1, and TGF-β. This indicates that a balance in the regulation of the collagen synthesis pathway was achieved at the 100 mg/kg and 200 mg/kg vitamin E supplementation levels. Notably, the TGF-β/SMADS signaling pathway was fully activated at the 200 mg/kg vitamin E supplementation level. Furthermore, the collagen content and growth reached their peaks at this level, further supporting this hypothesis.
In this study, Sirius Red staining and polarized-light scanning were used to observe the type I and type III collagen fibers in the body walls of A. japonicus. Type I collagen fibers are usually present in the form of thick bundles that can withstand significant mechanical stress and tension. When the content of type I collagen fibers is high, the body wall becomes harder and more resistant to deformation, but softer and less elastic. Type III collagen fibers, being finer, are more flexible and easier to bend, contributing to the elasticity and recovery capacity of the tissues. Therefore, the proportion of type I and type III collagen fibers could affect the texture characteristics of the body wall of A. japonicus. Hardness, springiness, cohesiveness, and chewiness are important indicators for evaluating the textural characteristics of food [35]. In this study, the body walls of A. japonicus in the groups supplemented with vitamin E (100–400 mg/kg) showed significantly increased quantities of type III collagen fibers and improved springiness and chewiness compared to the control group. Studies have shown that springiness and chewiness are positively correlated with the soft, waxy texture of the body wall of A. japonicus [41].
In this study, the groups supplemented with 100 mg/kg and 200 mg/kg vitamin E exhibited more orderly arrangements and increased densities of collagen fibers. This was consistent with the results of a previous study that has shown that vitamin E can enhance the mechanical strength and elasticity of human skin by improving the arrangement and structure of collagen fibers [42]. In the periodontal ligament, the resistance to deformation is directly proportional to the collagen fiber content [43]. Additionally, in bone tissue, the mechanical strength and resistance to deformation are higher when the collagen fibers are more tightly and more orderly arranged [44]. Thus, the body walls of A. japonicus fed diets with the addition of 100–200 mg/kg vitamin E will be more resistant to deformation. Furthermore, the body walls of A. japonicus in the group with the addition of 400 mg/kg vitamin E exhibited higher hardness and quantities of type I collagen fibers compared to the other groups. The VG staining revealed that the collagen fibers formed thicker and longer fiber bundle aggregations in the 400 mg/kg group. This may be due to the substantial extracellular matrix deposition caused by oxidative stress, hardening the tissue and resulting in fibrosis [45]. At the 400 mg/kg dosage, the expressions of TGF-β and other genes did not increase further, likely due to the oxidative stress in the A. japonicus caused by the excessive vitamin E. Vitamin E inhibits the overexpression of the TGF-β/SMADS signaling pathway induced by oxidative stress, preventing its expression [46].
The beneficial effects of vitamin E on collagen deposition could be due to its protective effects on Hyp degradation through its antioxidant properties. Reactive oxygen species (ROS) could participate in the degradation of collagen [47]. It was found that the degradation of Hyp in fish can be reduced by the antioxidant properties of vitamin E [48]. Vitamin E, recognized for its potent antioxidant properties and capacity to neutralize free radicals, plays a crucial role in preventing lipid peroxidation and maintaining the integrity of cellular membranes [49]. The antioxidant enzymes SOD, GSH-Px, and POD within the sea cucumber’s body wall and coelomic fluid primarily function to eliminate harmful free radicals and peroxides, safeguarding cells from oxidative damage and maintaining internal equilibrium and health [50]. In this study, vitamin E at an appropriate supplementation level increased the activities of SOD, GSH-Px, and POD in the A. japonicus. However, in this study, the A. japonicus fed diets with the addition of 400 mg/kg vitamin E showed decreased antioxidant enzyme activities, which could be due to the induced oxidative stress caused by the excessive vitamin E. This was consistent with the findings of some previous studies [51,52]. Thus, it could be that the increased degradation of collagen accounted for the lower collagen contents in the control and 400 mg/kg vitamin E groups. Furthermore, oxidative stress can also induce the overexpression of the TGF-β1 signaling pathway and thereby promote the transcription of type I procollagen [18]. As mentioned above, the body walls of the A. japonicus fed diets with the addition of 400 mg/kg vitamin E exhibited higher quantities of type I collagen fibers compared to the other groups. Despite the suppression of the TGF-β/SMAD signaling pathway-related gene expression in the highest-dose group, the expression levels of COL1A2 and COL3A1 remained higher than those in the control group. This suggests that the antioxidant effect of vitamin E may continue to reduce the collagen degradation through other mechanisms. An appropriate amount of vitamin E can activate the TGF-β/SMAD signaling pathway, thereby promoting collagen synthesis. Although excessive vitamin E can induce oxidative stress, it does not lead to the overexpression of the TGF-β/SMAD signaling pathway, thereby preventing the formation of tissue fibrosis.
Consumer demands for nutritional value and health benefits have led to ongoing enhancements in farming techniques to improve the quality of aquaculture products [53,54]. A. japonicus, renowned for their high nutritional and unique medicinal value, hold a prestigious place among aquatic products. Improving their quality is crucial for their market competitiveness and consumer satisfaction [55]. In particular, the body wall thickness is a key indicator of the quality of A. japonicus, as it is closely related to the collagen content [56]. From a nutritional perspective, vitamin E promotes the synthesis of collagen, which enhances the body-wall thickness and thereby improves the nutritional value of A. japonicus [57]. Additionally, increasing the collagen content enhances the thickness and chewiness of the body wall, thereby improving its market value [58]. This results in the production of higher-quality, more nutritious A. japonicus, which benefits consumer health [54]. As a potent antioxidant, vitamin E can protect the cells from the hazards of oxidative stress and thereby significantly improve the health of A. japonicus [13]. It is known that the body wall is the primary edible part of A. japonicus [2,3]. Its market price is influenced not only by the quality but also by the body-wall index. Vitamin E is known to enhance the body-wall index, thereby increasing the profitability of A. japonicus [59,60]. In summary, optimizing the vitamin E levels in the feeds of A. japonicus can improve their nutritional value, physiological health, and commercial viability.
5. Conclusions
In conclusion, the addition of 200 mg/kg vitamin E to A. japonicus feed was shown to activate the TGF-β/SMAD signaling pathway, enhance the growth performance, and promote Hyp synthesis. Additionally, 200 mg/kg vitamin E promoted the synthesis of type III collagen fibers, increased the antioxidant enzyme activities, improved the collagen deposition, and increased the tissue structure and collagen fiber density, thereby improving the texture quality of the A. japonicus. However, the addition of 400 mg/kg vitamin E triggered oxidative stress, impaired the growth performance, induced collagen fiber aggregation, and hardened the texture of the body walls of the A. japonicus, which could be accomplished by downregulating the TGF-β/SMAD signaling pathway. This study provides valuable insights into improving the nutritional and sensory qualities reflected by the collagen contents by optimizing the addition of antioxidants to the feeds of A. japonicus. Further studies are needed to explore the effects of other antioxidants, as well as the interactive effects of different antioxidants, on the collagen synthesis in A. japonicus.
Author Contributions
Z.W.: writing—original draft, investigation, data, curation, formal analysis. R.Z.: data curation, writing—review, supervision, funding acquisition. R.X.: review and editing, data curation. H.Y.: investigation, data curation. R.L.: investigation, data curation. J.D.: methodology, resources. Y.C.: supervision, funding acquisition. All authors have read and agreed to the published version of the manuscript.
Funding
This research was funded by the Xingliao Talent Plan for Top Young Talents (XLYC2203036), the High-Level Talent Support Grant for Innovation in Dalian (2022RJ14), the Natural foundation of Liaoning Province (2023-MSLH-015), and the Natural foundation of Education Department of Liaoning Province (LJKMZ20221096).
Institutional Review Board Statement
Following the animal experiment guidelines for the care and use of laboratory animals at Dalian Ocean University, the studies on animals were reviewed by the Committee for the Welfare and Ethics of Laboratory Animals at Dalian Ocean University.
Informed Consent Statement
Not applicable.
Data Availability Statement
All relevant data are presented within the paper.
Conflicts of Interest
We declare that we have no financial or personal relationships with other people or organizations that could appear to have inappropriately influenced this work, and there is no professional or other personal interests of any nature or kind in any product, service, and/or company that could be construed as influencing the content of this paper.
References
- Liao, Y. Sea cucumbers, holothurians from China. Bull. Biol. 2001, 36, 1–3. [Google Scholar]
- Jiang, S.; Jiang, Y.; Tang, B.; Jiang, C. Research progress on nutritional quality of sea cucumber. Chin. J. Anim. Nutr. 2022, 34, 1361–1373. [Google Scholar] [CrossRef]
- Hanna, P.J.; Siangcham, T.; Tinikul, R.; Jattujan, P.; Poomtong, T.; Sobhon, P. Intorduction to nutritional components of sea cucmber. Sci. Fish Farming 2017, 7, 168–181. [Google Scholar] [CrossRef]
- Xing, L.; Sun, L.; Liu, S.; Zhang, L.; Yang, H. Comparative metabolomic analysis of the body wall from four varieties of the sea cucumber (Apostichopus japonicus). Food Chem. 2021, 352, 129339. [Google Scholar] [CrossRef] [PubMed]
- Xiong, X.; Xie, W.; Xie, J.; Qi, H.; Yang, X.; Li, H.; Che, H.; Song, L.; Dong, X. Protein oxidation results in textural changes in sea cucumber (Apostichopus japonicus) during tenderization. LWT 2021, 144, 111231. [Google Scholar] [CrossRef]
- Panel, E.; Bampidis, V.; Azimonti, G.; Bastos, M.d.L.; Christensen, H.; Dusemund, B.; Kouba, M.; Fašmon Durjava, M.; López-Alonso, M.; López Puente, S. Assessment of a feed additive consisting of all-rac-alpha tocopheryl acetate (vitamin E) for all animal species for the renewal of its authorisation (EUROPE-ASIA Import Export GmbH). EFSA J. 2021, 19, e06530. [Google Scholar] [CrossRef]
- Zhao, L.; Li, Z.; Wang, S. Application and prospects of vitamin E in aquaculture. South China Agric. 2022, 14, 160–163. [Google Scholar] [CrossRef]
- Tobias, D.K. Vitamin E: Objective Marker of Healthful Diet and Long-Term Mortality. Am. Heart Assoc. 2019, 125, 41–42. [Google Scholar] [CrossRef] [PubMed]
- Castellini, C.; Dal Bosco, A.; Bernardini, M. Improvement of lipid stability of rabbit meat by vitamin E and C administration. J. Sci. Food Agric. 2001, 81, 46–53. [Google Scholar] [CrossRef]
- Leal, L.N.; Beltran, J.A.; Alonso, V.; Bello, J.M.; den Hartog, L.A.; Hendriks, W.H.; Martin-Tereso, J. Dietary vitamin E dosage and source affects meat quality parameters in light weight lambs. J. Sci. Food Agric. 2018, 98, 1606–1614. [Google Scholar] [CrossRef]
- Ke, Y. Effects of Vitamin E on Growth Performance and Flesh Quality of Sub-Adult Grass Carp and Its Mechanism. Master’s Thesis, Sichuan Agricultural University, Ya’an, China, 2023. [Google Scholar]
- Huang, C.; Huei, L.; Way, Y. Effects of dietary vitamin E level on growth and tissue lipid peroxidation of soft-shelled turtle, Pelodiscus sinensis (Wiegmann). Aquac. Res. 2004, 35, 948–954. [Google Scholar] [CrossRef]
- Zhang, Q.; Mai, K.; Zhang, W.; Ma, H.; Ai, Q.; Wei, X. Effects of Dietary Selenoyeast and Vitamin E on Growth, Immunity and Disease Resistance of Sea Cucumbers (Apostichopus japonicus Selenka). J. Anim. Nutr. 2011, 23, 1745–1755. [Google Scholar]
- Nigdelioglu, R.; Hamanaka, R.B.; Meliton, A.Y.; O’Leary, E.; Witt, L.J.; Cho, T.; Sun, K.; Bonham, C.; Wu, D.; Woods, P.S. Transforming growth factor (TGF)-β promotes de novo serine synthesis for collagen production. J. Biol. Chem. 2016, 291, 27239–27251. [Google Scholar] [CrossRef] [PubMed]
- Zhou, S.; Ma, Y.; Yao, J.; Zhao, A.; Xie, C.; Mi, Y.; Zhang, C. TGF-β1-induced collagen promotes chicken ovarian follicle development via an intercellular cooperative pattern. Cell Biol. Int. 2021, 45, 1336–1348. [Google Scholar] [CrossRef] [PubMed]
- Ghafouri-Fard, S.; Askari, A.; Shoorei, H.; Seify, M.; Koohestanidehaghi, Y.; Hussen, B.M.; Taheri, M.; Samsami, M. Antioxidant therapy against TGF-β/SMAD pathway involved in organ fibrosis. J. Cell. Mol. Med. 2024, 28, e18052. [Google Scholar] [CrossRef] [PubMed]
- Lee, H.J. Therapeutic potential of the combination of pentoxifylline and vitamin-E in inflammatory bowel disease: Inhibition of intestinal fibrosis. J. Clin. Med. 2022, 11, 4713. [Google Scholar] [CrossRef] [PubMed]
- Tasanarong, A.; Kongkham, S.; Duangchana, S.; Thitiarchakul, S.; Eiam-Ong, S. Vitamin E ameliorates renal fibrosis by inhibition of TGF-beta/Smad2/3 signaling pathway in UUO mice. J. Med. Assoc. Thail. Chotmaihet Thangphaet 2011, 94, S1–S9. [Google Scholar]
- Mezey, E.; Liu, X.; Potter, J.J. The combination of selenium and vitamin e inhibits type i collagen formation in cultured hepatic stellate cells. Biol. Trace Elem. Res. 2011, 140, 82–94. [Google Scholar] [CrossRef] [PubMed]
- Skalny, A.V.; Aschner, M.; Tsatsakis, A.; Rocha, J.B.; Santamaria, A.; Spandidos, D.A.; Martins, A.C.; Lu, R.; Korobeinikova, T.V.; Chen, W. Role of vitamins beyond vitamin D 3 in bone health and osteoporosis. Int. J. Mol. Med. 2024, 53, 9. [Google Scholar] [CrossRef]
- Soe, Z.C.; Ei, Z.Z.; Visuttijai, K.; Chanvorachote, P. Potential Natural Products Regulation of Molecular Signaling Pathway in Dermal Papilla Stem Cells. Molecules 2023, 28, 5517. [Google Scholar] [CrossRef]
- Li, H.-X.; Xiao, Y.; Cao, L.-L.; Yan, X.; Li, C.; Shi, H.-Y.; Wang, J.-W.; Ye, Y.-H. Cerebroside C increases tolerance to chilling injury and alters lipid composition in wheat roots. PLoS ONE 2013, 8, e73380. [Google Scholar] [CrossRef] [PubMed]
- Gao, Y.; Xu, Y.; Yin, J. Selenomethionine ameliorates cognitive impairment, decreases hippocampal oxidative stress and attenuates dysbiosis in D-galactose-treated mice. Antioxidants 2022, 11, 111. [Google Scholar] [CrossRef] [PubMed]
- Zhao, Q.; Wang, X.; Chen, A.; Cheng, X.; Zhang, G.; Sun, J.; Zhao, Y.; Huang, Y.; Zhu, Y. Rhein protects against cerebral ischemic-/reperfusion-induced oxidative stress and apoptosis in rats. Int. J. Mol. Med. 2018, 41, 2802–2812. [Google Scholar] [CrossRef]
- Zhou, S.-M.; Yao, X.-M.; Cheng, Y.; Xing, Y.-J.; Sun, Y.; Hua, Q.; Wan, S.-J.; Meng, X.-J. Metformin enhances METTL14-Mediated m6A methylation to alleviate NIT-1 cells apoptosis induced by hydrogen peroxide. Heliyon 2024, 10, e24432. [Google Scholar] [CrossRef] [PubMed]
- Zucca, P.; Fernandez-Lafuente, R.; Sanjust, E. Agarose and its derivatives as supports for enzyme immobilization. Molecules 2016, 21, 1577. [Google Scholar] [CrossRef] [PubMed]
- Kenneth, J.L.; Schmittgen, T.D. Analysis of relative gene expression data using real-time quantitative PCR and the 2−ΔΔCT method. Methods 2001, 25, 402–408. [Google Scholar]
- Yao, H.; Hu, Y.; Tong, H.; Shi, S. Dimethylglycine Alleviates Metabolic Dysfunction-Associated Fatty Liver Disease by Improving the Circulating Estrogen Level via Gut Staphylococcus. J. Agric. Food Chem. 2023, 72, 2708–2717. [Google Scholar] [CrossRef] [PubMed]
- Li, B.; Wang, L.; Wang, J.; Sun, Y.; Wang, S.; Jiang, L.; Huang, B. Requirement of vitamin E of growing sea cucumber Apostichopus japonicus Selenka. Aquac. Res. 2020, 51, 1284–1292. [Google Scholar] [CrossRef]
- Xu, Y.; Gao, Q.; Dong, S.; Mei, Y.; Li, X. Effects of supplementary selenium and vitamin E on the growth performance, antioxidant enzyme activity, and gene expression of sea cucumber Apostichopus japonicus. Biol. Trace Elem. Res. 2021, 199, 4820–4831. [Google Scholar] [CrossRef]
- Wang, J.; Xu, Y.; Jin, L.; Li, X.; Wang, X.; Li, J.; Che, J. Effects of vitamin E-micro-mixed bolus feeds on growth and non-specific immune responses of sea cucumber and water quality. Siliao Gongye 2014, 3, 35. [Google Scholar] [CrossRef]
- Liu, H.; Wen, B.; Chen, Z.; Gao, J.; Liu, Y.; Zhang, Y.; Wang, Z.; Peng, Y. Effects of dietary vitamin C and vitamin E on the growth, antioxidant defence and digestive enzyme activities of juvenile discus fish (Symphysodon haraldi). Aquac. Nutr. 2019, 25, 176–183. [Google Scholar] [CrossRef]
- Guo, Y.; Huang, Z.; Sang, D.; Gao, Q.; Li, Q. The role of nutrition in the prevention and intervention of type 2 diabetes. Front. Bioeng. Biotechnol. 2020, 8, 575442. [Google Scholar] [CrossRef] [PubMed]
- Scocco, P.; Forte, C.; Franciosini, M.P.; Mercati, F.; Casagrande-Proietti, P.; Dall’Aglio, C.; Acuti, G.; Tardella, F.M.; Trabalza-Marinucci, M. Gut complex carbohydrates and intestinal microflora in broiler chickens fed with oregano (Origanum vulgare L.) aqueous extract and vitamin E. J. Anim. Physiol. Anim. Nutr. 2017, 101, 676–684. [Google Scholar] [CrossRef]
- Li, S.; Zhou, Y.; Sun, L.; Wang, Y.; Song, S.; Ai, C.; Yang, J. Effects of storage method on the quality of processed sea cucumbers (Apostichopus japonicus). Foods 2022, 11, 4098. [Google Scholar] [CrossRef] [PubMed]
- Yi, Y.; Sheng, H.; Li, Z.; Ye, Q. Biosynthesis of trans-4-hydroxyproline by recombinant strains of Corynebacterium glutamicum and Escherichia coli. BMC Biotechnol. 2014, 14, 44. [Google Scholar] [CrossRef] [PubMed]
- Huang, W.; Yan, X.; Liu, H.; Tan, B.; Suo, X.; Pan, S.; Li, T.; Yang, Y.; Dong, X. Effects of vitamin E supplementation of a high-lipid diet on the growth and biochemical parameters of hybrid groupers (female Epinephelus fuscoguttatus x male E. lanceolatus). Front. Mar. Sci. 2022, 9, 924018. [Google Scholar] [CrossRef]
- Rong, H.; Li, D.; Ma, M.; Dou, T.; Shi, Q.; Kong, L.; Bi, B.; Ning, L. TGF-Β/Smads Signacing Pathway Regulates Pro to Promote Collagen Deposition in the Swim Bladder of Chu’s Croaker(Nibea Coibor). Acata Hydrobiol. Sin. 2022, 46, 1649–1657. [Google Scholar] [CrossRef]
- Xia, Y.; Yu, E.; Li, Z.; Zhang, K.; Tian, J.; Wang, G.; Xie, J.; Gong, W. Both TGF-β1 and Smad4 regulate type I collagen expression in the muscle of grass carp, Ctenopharyngodon idella. Fish Physiol. Biochem. 2021, 47, 907–917. [Google Scholar] [CrossRef] [PubMed]
- Johnston, E.F.; Gillis, T.E. Transforming growth factor beta-1 (TGF-β1) stimulates collagen synthesis in cultured rainbow trout cardiac fibroblasts. J. Exp. Biol. 2017, 220, 2645–2653. [Google Scholar] [CrossRef]
- Dong, Q.; Xiao, S. Effect of Dietary Addition of Chitosan Oligosaccharide on the Product Quality of Sea Cucumber Apostichopus japonicus. Food Ind. 2017, 38, 119–122. [Google Scholar]
- Aziz, J.; Shezali, H.; Radzi, Z.; Yahya, N.A.; Abu Kassim, N.H.; Czernuszka, J.; Rahman, M.T. Molecular mechanisms of stress-responsive changes in collagen and elastin networks in skin. Ski. Pharmacol. Physiol. 2016, 29, 190–203. [Google Scholar] [CrossRef] [PubMed]
- Wu, B.; Li, N.; Liu, M.; Cheng, K.; Jiang, D.; Yi, Y.; Ma, S.; Yan, B.; Lu, Y. Construction of Human Periodontal Ligament Constitutive Model Based on Collagen Fiber Content. Materials 2023, 16, 6582. [Google Scholar] [CrossRef] [PubMed]
- Niu, Y.; Du, T.; Liu, Y. Biomechanical characteristics and analysis approaches of bone and bone substitute materials. J. Funct. Biomater. 2023, 14, 212. [Google Scholar] [CrossRef] [PubMed]
- Eder, K.; Siebers, M.; Most, E.; Scheibe, S.; Weissmann, N.; Gessner, D.K. An excess dietary vitamin E concentration does not influence Nrf2 signaling in the liver of rats fed either soybean oil or salmon oil. Nutr. Metab. 2017, 14, 71. [Google Scholar] [CrossRef] [PubMed]
- Zhan, J.; Liu, M.; Pan, L.; He, L.; Guo, Y. Oxidative stress and TGF-β1/smads signaling are involved in Rosa roxburghii fruit extract alleviating renal fibrosis. Evid.-Based Complement. Altern. Med. 2019, 2019, 4946580. [Google Scholar] [CrossRef] [PubMed]
- Geesin, J.C.; Brown, L.J.; Gordon, J.S.; Berg, R.A. Regulation of collagen synthesis in human dermal fibroblasts in contracted collagen gels by ascorbic acid, growth factors, and inhibitors of lipid peroxidation. Exp. Cell Res. 1993, 206, 283–290. [Google Scholar] [CrossRef]
- Lall, S.P.; Kaushik, S.J. Nutrition and metabolism of minerals in fish. Animals 2021, 11, 2711. [Google Scholar] [CrossRef] [PubMed]
- Traber; Maret, G. Vitamin E regulatory mechanisms. Annu. Rev. Nutr. 2007, 27, 347–362. [Google Scholar] [CrossRef] [PubMed]
- Roy, Z.; Bansal, R.; Siddiqui, L.; Chaudhary, N. Understanding the role of free radicals and antioxidant enzymes in human diseases. Curr. Pharm. Biotechnol. 2023, 24, 1265–1276. [Google Scholar] [CrossRef] [PubMed]
- Zheng, M.; Liu, Y.; Zhang, G.; Yang, Z.; Xu, W.; Chen, Q. The applications and mechanisms of superoxide dismutase in medicine, food, and cosmetics. Antioxidants 2023, 12, 1675. [Google Scholar] [CrossRef]
- Mahmood, N.; Hameed, A.; Hussain, T. Vitamin E and selenium treatment alleviates saline environment-induced oxidative stress through enhanced antioxidants and growth performance in suckling kids of beetal goats. Oxidative Med. Cell. Longev. 2020, 2020, 4960507. [Google Scholar] [CrossRef] [PubMed]
- Troell, M.; Naylor, R.L.; Metian, M.; Beveridge, M.; Tyedmers, P.H.; Folke, C.; Arrow, K.J.; Barrett, S.; Crépin, A.-S.; Ehrlich, P.R. Does aquaculture add resilience to the global food system? Proc. Natl. Acad. Sci. USA 2014, 111, 13257–13263. [Google Scholar] [CrossRef]
- Gephart, J.A.; Golden, C.D.; Asche, F.; Belton, B.; Brugere, C.; Froehlich, H.E.; Fry, J.P.; Halpern, B.S.; Hicks, C.C.; Jones, R.C. Scenarios for global aquaculture and its role in human nutrition. Rev. Fish. Sci. Aquac. 2020, 29, 122–138. [Google Scholar] [CrossRef]
- Zhao, H.; Soufan, O.; Xia, J.; Tang, R.; Li, L.; Li, D. Transcriptome and physiological analysis reveal alterations in muscle metabolisms and immune responses of grass carp (Ctenopharyngodon idellus) cultured at different stocking densities. Aquaculture 2019, 503, 186–197. [Google Scholar] [CrossRef]
- Zhang, K.; Hou, H.; Bu, L.; Li, B.; Xue, C.; Peng, Z.; Su, S. Effects of heat treatment on the gel properties of the body wall of sea cucumber (Apostichopus japonicus). J. Food Sci. Technol. 2017, 54, 707–717. [Google Scholar] [CrossRef]
- Zhou, D.; Wang, Y.; Xu, J.; Kim, S.M.; Chang, Y. Nutritional components of sea cucumber and the biochemical characteristics of autolytic enzymes. In Advances in Sea Cucumber Processing Technology and Product Development; Springer: Berlin/Heidelberg, Germany, 2022; pp. 21–49. [Google Scholar] [CrossRef]
- Bi, J.; Li, Y.; Cheng, S.; Dong, X.; Kamal, T.; Zhou, D.; Li, D.; Jiang, P.; Zhu, B.-W.; Tan, M. Changes in body wall of sea cucumber (Stichopus japonicus) during a two-step heating process assessed by rheology, LF-NMR, and texture profile analysis. Food Biophys. 2016, 11, 257–265. [Google Scholar] [CrossRef]
- Wang, Y.; Tian, M.; Chang, Y.; Xue, C.; Li, Z. Investigation of structural proteins in sea cucumber (Apostichopus japonicus) body wall. Sci. Rep. 2020, 10, 18744. [Google Scholar] [CrossRef]
- Purcell, S.W. Value, market preferences and trade of beche-de-mer from Pacific Island sea cucumbers. PLoS ONE 2014, 9, e95075. [Google Scholar] [CrossRef]
Disclaimer/Publisher’s Note: The statements, opinions and data contained in all publications are solely those of the individual author(s) and contributor(s) and not of MDPI and/or the editor(s). MDPI and/or the editor(s) disclaim responsibility for any injury to people or property resulting from any ideas, methods, instructions or products referred to in the content. |
© 2024 by the authors. Licensee MDPI, Basel, Switzerland. This article is an open access article distributed under the terms and conditions of the Creative Commons Attribution (CC BY) license (https://creativecommons.org/licenses/by/4.0/).


