Mitigating Dietary Microplastic Accumulation and Oxidative Stress Response in European Seabass (Dicentrarchus labrax) Juveniles Using a Natural Microencapsulated Antioxidant
Abstract
1. Introduction
2. Materials and Methods
2.1. Ethical Standards
2.2. Microplastics’ Characteristics
2.3. Astaxanthin and Microcapsules’ Composition
2.4. Experimental Diets
2.5. In Vitro Microplastic Coagulation
2.6. Experimental Design
2.7. Confocal Microscopy for Microplastic Detection in Fish Tissues
2.8. Microplastics’ Quantification in Feed and Fish Tissues and Feces
2.9. Distal Intestine and Liver Histology
2.10. Gene Expression Analysis
2.11. Statistical Analyses
3. Results
3.1. In Vitro Microplastics’ Coagulation
3.2. Fish Survival Rate and Growth Indexes
3.3. Microplastic Detection in Fish Tissues
3.4. Microplastics’ Quantification in Feed and Fish Tissues and Feces
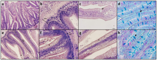
3.5. Histological Analysis
3.6. Real-Time qPCRs
4. Discussion
5. Conclusions
Author Contributions
Funding
Institutional Review Board Statement
Informed Consent Statement
Data Availability Statement
Acknowledgments
Conflicts of Interest
References
- Yu, R.S.; Singh, S. Microplastic pollution: Threats and impacts on global marine ecosystems. Sustainability 2023, 15, 13252. [Google Scholar] [CrossRef]
- Zeb, A.; Liu, W.; Ali, N.; Shi, R.; Wang, Q.; Wang, J.; Li, J.; Yin, C.; Liu, J.; Yu, M.; et al. Microplastic pollution in terrestrial ecosystems: Global implications and sustainable solutions. J. Hazard. Mater. 2024, 461, 132636. [Google Scholar] [CrossRef] [PubMed]
- Nunes, B.Z.; Huang, Y.; Ribeiro, V.V.; Wu, S.; Holbech, H.; Moreira, L.B.; Xu, E.G.; Castro, I.B. Microplastic contamination in seawater across global marine protected areas boundaries. Environ. Pollut. 2023, 316, 120692. [Google Scholar] [CrossRef] [PubMed]
- Bhardwaj, L.K.; Rath, P.; Yadav, P.; Gupta, U. Microplastic contamination, an emerging threat to the freshwater environment: A systematic review. Environ. Syst. Res. 2024, 13, 8. [Google Scholar] [CrossRef]
- Santana, M.F.M.; Moreira, F.T.; Turra, A. Trophic transference of microplastics under a low exposure scenario: Insights on the likelihood of particle cascading along marine food-webs. Mar. Pollut. Bull. 2017, 121, 154–159. [Google Scholar] [CrossRef]
- Wu, H.; Hou, J.; Wang, X. A review of microplastic pollution in aquaculture: Sources, effects, removal strategies and prospects. Ecotoxicol. Environ. Saf. 2023, 252, 114567. [Google Scholar] [CrossRef] [PubMed]
- Chen, G.; Li, Y.; Wang, J. Occurrence and ecological impact of microplastics in aquaculture ecosystems. Chemosphere 2021, 274, 129989. [Google Scholar] [CrossRef] [PubMed]
- Chen, M.; Jin, M.; Tao, P.; Wang, Z.; Xie, W.; Yu, X.; Wang, K. Assessment of microplastics derived from mariculture in Xiangshan Bay, China. Environ. Pollut. 2018, 242, 1146–1156. [Google Scholar] [CrossRef] [PubMed]
- Egea-Corbacho, A.; Martín-García, A.P.; Franco, A.A.; Albendín, G.; Arellano, J.M.; Rodríguez-Barroso, R.; Coello, M.D.; Quiroga, J.M.; Cabello, J.F.; Iglesias Prado, I.; et al. Microplastic in industrial aquaculture: Occurrence in the aquatic environment, feed and organisms (Dicentrarchus labrax). Sci. Total Environ. 2023, 904, 166774. [Google Scholar] [CrossRef]
- Matias, R.S.; Gomes, S.; Barboza, L.G.A.; Salazar-Gutierrez, D.; Guilhermino, L.; Valente, L.M.P. Microplastics in water, feed and tissues of European seabass reared in a recirculation aquaculture system (RAS). Chemosphere 2023, 335, 139055. [Google Scholar] [CrossRef]
- Castelvetro, V.; Corti, A.; Bianchi, S.; Giacomelli, G.; Manariti, A.; Vinciguerra, V. Microplastics in fish meal: Contamination level analyzed by polymer type, including polyester (PET), polyolefins, and polystyrene. Environ. Pollut. 2021, 273, 115792. [Google Scholar] [CrossRef] [PubMed]
- Siddique, M.A.M.; Tahsin, T.; Hossain, I.; Hossain, M.S.; Shazada, N.E. Microplastic contamination in commercial fish feeds: A major concern for sustainable aquaculture from a developing country. Ecotoxicol. Environ. Saf. 2023, 267, 115659. [Google Scholar] [CrossRef] [PubMed]
- Kim, S.W.; Chae, Y.; Kim, D.; An, Y.J. Zebrafish can recognize microplastics as inedible materials: Quantitative evidence of ingestion behavior. Sci. Total Environ. 2019, 649, 156–162. [Google Scholar] [CrossRef] [PubMed]
- Rainieri, S.; Conlledo, N.; Larsen, B.K.; Granby, K.; Barranco, A. Combined effects of microplastics and chemical contaminants on the organ toxicity of zebrafish (Danio rerio). Environ. Res. 2018, 162, 135–143. [Google Scholar] [CrossRef] [PubMed]
- Xiong, X.; Tu, Y.; Chen, X.; Jiang, X.; Shi, H.; Wu, C.; Elser, J.J. Ingestion and egestion of polyethylene microplastics by goldfish (Carassius auratus): Influence of color and morphological features. Heliyon 2019, 5, e03063. [Google Scholar] [CrossRef] [PubMed]
- De Sales-Ribeiro, C.; Brito-Casillas, Y.; Fernandez, A.; Caballero, M.J. An end to the controversy over the microscopic detection and effects of pristine microplastics in fish organs. Sci. Rep. 2020, 10, 12434. [Google Scholar] [CrossRef]
- Cormier, B.; Le Bihanic, F.; Cabar, M.; Crebassa, J.C.; Blanc, M.; Larsson, M.; Dubocq, F.; Yeung, L.; Clérandeau, C.; Keiter, S.H.; et al. Chronic feeding exposure to virgin and spiked microplastics disrupts essential biological functions in teleost fish. J. Hazard. Mater. 2021, 415, 125626. [Google Scholar] [CrossRef]
- Kang, H.M.; Byeon, E.; Jeong, H.; Kim, M.S.; Chen, Q.; Lee, J.S. Different effects of nano- and microplastics on oxidative status and gut microbiota in the marine medaka Oryzias melastigma. J. Hazard. Mater. 2021, 405, 124207. [Google Scholar] [CrossRef] [PubMed]
- Hou, M.; Xu, C.; Zou, X.; Xia, Z.; Su, L.; Qiu, N.; Cai, L.; Yu, F.; Wang, Q.; Zhao, X.; et al. Long-term exposure to microplastics induces intestinal function dysbiosis in rare minnow (Gobiocypris rarus). Ecotoxicol. Environ. Saf. 2022, 246, 114157. [Google Scholar] [CrossRef]
- Cattaneo, N.; Zarantoniello, M.; Conti, F.; Frontini, A.; Chemello, G.; Dimichino, B.; Marongiu, F.; Cardinaletti, G.; Gioacchini, G.; Olivotto, I. Dietary microplastic administration during zebrafish (Danio rerio) development: A comprehensive and comparative study between larval and juvenile stages. Animals 2023, 13, 2256. [Google Scholar] [CrossRef]
- Herrera, A.; Acosta-Dacal, A.; Pérez Luzardo, O.; Martínez, I.; Rapp, J.; Reinold, S.; Montesdeoca-Esponda, S.; Montero, D.; Gómez, M. Bioaccumulation of additives and chemical contaminants from environmental microplastics in European seabass (Dicentrarchus labrax). Sci. Total Environ. 2022, 822, 153396. [Google Scholar] [CrossRef] [PubMed]
- Bobori, D.C.; Feidantsis, K.; Dimitriadi, A.; Datsi, N.; Ripis, P.; Kalogiannis, S.; Sampsonidis, I.; Kastrinaki, G.; Ainali, N.M.; Lambropoulou, D.A.; et al. Dose-dependent cytotoxicity of polypropylene microplastics (PP-MPs) in two freshwater fishes. Int. J. Mol. Sci. 2022, 23, 13878. [Google Scholar] [CrossRef] [PubMed]
- Zhang, C.; Wang, F.; Wang, Q.; Zou, J.; Zhu, J. Species-specific effects of microplastics on juvenile fishes. Front. Physiol. 2023, 14, 1256005. [Google Scholar] [CrossRef] [PubMed]
- Pannetier, P.; Morin, B.; Le Bihanic, F.; Dubreil, L.; Clérandeau, C.; Chouvellon, F.; Van Arkel, K.; Danion, M.; Cachot, J. Environmental samples of microplastics induce significant toxic effects in fish larvae. Environ. Int. 2020, 134, 105047. [Google Scholar] [CrossRef] [PubMed]
- Kaloyianni, M.; Bobori, D.C.; Xanthopoulou, D.; Malioufa, G.; Sampsonidis, I.; Kalogiannis, S.; Feidantsis, K.; Kastrinaki, G.; Dimitriadi, A.; Koumoundouros, G.; et al. Toxicity and functional tissue responses of two freshwater fish after exposure to polystyrene microplastics. Toxics 2021, 9, 289. [Google Scholar] [CrossRef] [PubMed]
- Tarasco, M.; Gavaia, P.J.; Bensimon-Brito, A.; Cordelières, F.P.; Santos, T.; Martins, G.; de Castro, D.T.; Silva, N.; Cabrita, E.; Bebianno, M.J.; et al. Effects of pristine or contaminated polyethylene microplastics on zebrafish development. Chemosphere 2022, 303, 135198. [Google Scholar] [CrossRef] [PubMed]
- Hossain, M.A.R.; Olden, J.D. Global meta-analysis reveals diverse effects of microplastics on freshwater and marine fishes. Fish Fish. 2022, 23, 1439–1454. [Google Scholar] [CrossRef]
- Dimitriadi, A.; Papaefthimiou, C.; Genizegkini, E.; Sampsonidis, I.; Kalogiannis, S.; Feidantsis, K.; Bobori, D.C.; Kastrinaki, G.; Koumoundouros, G.; Lambropoulou, D.A.; et al. Adverse effects polystyrene microplastics exert on zebrafish heart—Molecular to individual level. J. Hazard. Mater. 2021, 416, 125969. [Google Scholar] [CrossRef]
- Ahrendt, C.; Perez-Venegas, D.J.; Urbina, M.; Gonzalez, C.; Echeveste, P.; Aldana, M.; Pulgar, J.; Galbán-Malagón, C. Microplastic ingestion cause intestinal lesions in the intertidal fish Girella laevifrons. Mar. Pollut. Bull. 2020, 151, 110795. [Google Scholar] [CrossRef]
- Choi, J.H.; Lee, J.H.; Jo, A.H.; Choi, Y.J.; Choi, C.Y.; Kang, J.C.; Kim, J.H. Microplastic polyamide toxicity: Neurotoxicity, stress indicators and immune responses in crucian carp, Carassius carassius. Ecotoxicol. Environ. Saf. 2023, 265, 115469. [Google Scholar] [CrossRef]
- Acarer Arat, S. An overview of microplastic in marine waters: Sources, abundance, characteristics and negative effects on various marine organisms. Desalin. Water Treat. 2024, 317, 100138. [Google Scholar] [CrossRef]
- Huang, J.N.; Wen, B.; Zhu, J.G.; Zhang, Y.S.; Gao, J.Z.; Chen, Z.Z. Exposure to microplastics impairs digestive performance, stimulates immune response and induces microbiota dysbiosis in the gut of juvenile guppy (Poecilia reticulata). Sci. Total Environ. 2020, 733, 138929. [Google Scholar] [CrossRef]
- Lu, Y.; Zhang, Y.; Deng, Y.; Jiang, W.; Zhao, Y.; Geng, J.; Ding, L.; Ren, H. Uptake and accumulation of polystyrene microplastics in zebrafish (Danio rerio) and toxic effects in liver. Environ. Sci. Technol. 2016, 50, 4054–4060. [Google Scholar] [CrossRef] [PubMed]
- Su, L.; Deng, H.; Li, B.; Chen, Q.; Pettigrove, V.; Wu, C.; Shi, H. The occurrence of microplastic in specific organs in commercially caught fishes from coast and estuary area of east China. J. Hazard. Mater. 2019, 365, 716–724. [Google Scholar] [CrossRef] [PubMed]
- Lee, J.H.; Kim, J.H. Toxic effects of microplastic (Polyethylene) on fish: Accumulation, hematological parameters and antioxidant responses in Korean Bullhead, Pseudobagrus fulvidraco. Sci. Total Environ. 2023, 877, 162874. [Google Scholar] [CrossRef] [PubMed]
- Guerrera, M.C.; Aragona, M.; Porcino, C.; Fazio, F.; Laurà, R.; Levanti, M.; Montalbano, G.; Germanà, G.; Abbate, F.; Germanà, A. Micro and nano plastics distribution in fish as model organisms: Histopathology, blood response and bioaccumulation in different organs. Appl. Sci. 2021, 11, 5768. [Google Scholar] [CrossRef]
- Ma, C.; Chen, Q.; Li, J.; Li, B.; Liang, W.; Su, L.; Shi, H. Distribution and translocation of micro- and nanoplastics in fish. Crit. Rev. Toxicol. 2021, 51, 740–753. [Google Scholar] [CrossRef] [PubMed]
- Compa, M.; Capó, X.; Alomar, C.; Deudero, S.; Sureda, A. A meta-analysis of potential biomarkers associated with microplastic ingestion in marine fish. Environ. Toxicol. Pharmacol. 2024, 107, 104414. [Google Scholar] [CrossRef] [PubMed]
- Di Giacinto, F.; Di Renzo, L.; Mascilongo, G.; Notarstefano, V.; Gioacchini, G.; Giorgini, E.; Bogdanović, T.; Petričević, S.; Listeš, E.; Brkljača, M.; et al. Detection of microplastics, polymers and additives in edible muscle of swordfish (Xiphias gladius) and bluefin tuna (Thunnus thynnus) caught in the Mediterranean Sea. J. Sea Res. 2023, 192, 102359. [Google Scholar] [CrossRef]
- Makhdoumi, P.; Hossini, H.; Nazmara, Z.; Mansouri, K.; Pirsaheb, M. Occurrence and exposure analysis of microplastic in the gut and muscle tissue of riverine fish in Kermanshah province of Iran. Mar. Pollut. Bull. 2021, 173, 112915. [Google Scholar] [CrossRef]
- Zeytin, S.; Wagner, G.; Mackay-Roberts, N.; Gerdts, G.; Schuirmann, E.; Klockmann, S.; Slater, M. Quantifying microplastic translocation from feed to the fillet in European sea bass Dicentrarchus labrax. Mar. Pollut. Bull. 2020, 156, 111210. [Google Scholar] [CrossRef] [PubMed]
- Mosconi, G.; Panseri, S.; Magni, S.; Malandra, R.; D’Amato, A.; Carini, M.; Chiesa, L.; Della Torre, C. Plastic contamination in seabass and seabream from off-shore aquaculture facilities from the Mediterranean Sea. J. Xenobiotics 2023, 13, 625–640. [Google Scholar] [CrossRef] [PubMed]
- Ferrante, M.; Pietro, Z.; Allegui, C.; Maria, F.; Antonio, C.; Pulvirenti, E.; Favara, C.; Chiara, C.; Grasso, A.; Omayma, M.; et al. Microplastics in fillets of Mediterranean seafood. A risk assessment study. Environ. Res. 2022, 204, 112247. [Google Scholar] [CrossRef] [PubMed]
- Gomiero, A.; Haave, M.; Bjorøy, Ø.; Herzke, D.; Kögel, T.; Nikiforov, V.; Øysaed, K.B. Quantification of Microplastic in Fillet and Organs of Farmed and Wild Salmonids—A Comparison of Methods for Detection and Quantification; NORCE Report 8; NORCE: Bergen, Norway, 2020; ISBN 978-82-8408-085-7. [Google Scholar]
- Garcia, A.G.; Suárez, D.C.; Li, J.; Rotchell, J.M. A comparison of microplastic contamination in freshwater fish from natural and farmed sources. Environ. Sci. Pollut. Res. 2021, 28, 14488–14497. [Google Scholar] [CrossRef] [PubMed]
- Aiguo, Z.; Di, S.; Chong, W.; Yuliang, C.; Shaolin, X.; Peiqin, L.; Guohuan, X.; Huijuan, T.; Jixing, Z. Characteristics and differences of microplastics ingestion for farmed fish with different water depths, feeding habits and diets. J. Environ. Chem. Eng. 2022, 10, 107189. [Google Scholar] [CrossRef]
- Kılıç, E. Microplastic ingestion evidence by economically important farmed fish species from Turkey. Mar. Pollut. Bull. 2022, 183, 114097. [Google Scholar] [CrossRef] [PubMed]
- Du, H.; Xie, Y.; Wang, J. Environmental impacts of microplastics on fishery products: An overview. Gondwana Res. 2022, 108, 213–220. [Google Scholar] [CrossRef]
- Li, Y.; Teng, M.; Zhao, L.; Sun, J.; Yan, J.; Zhu, W.; Wu, F. Vitamin D modulates disordered lipid metabolism in zebrafish (Danio rerio) liver caused by exposure to polystyrene nanoplastics. Environ. Int. 2023, 182, 108328. [Google Scholar] [CrossRef]
- Teng, M.; Li, Y.; Zhao, X.; White, J.C.; Zhao, L.; Sun, J.; Zhu, W.; Wu, F. Vitamin D modulation of brain-gut-virome disorder caused by polystyrene nanoplastics exposure in zebrafish (Danio rerio). Microbiome 2023, 11, 266. [Google Scholar] [CrossRef]
- Dong, R.; Zhou, C.; Wang, S.; Yan, Y.; Jiang, Q. Probiotics ameliorate polyethylene microplastics-induced liver injury by inhibition of oxidative stress in Nile tilapia (Oreochromis niloticus). Fish Shellfish Immunol. 2022, 130, 261–272. [Google Scholar] [CrossRef]
- Hayati, A.; Adriansyah, W.; Kusuma, M.R.; Astri, A.R.; Maulidah, S.; Maullani, A.; Wahyuni, A.D.; Zubaidi, M.F.; Soepriandono, H.; Pramudya, M.; et al. Effect of microplastic particles on the gills structure of freshwater fish supplemented with probiotics and vitamin C. IOP Conf. Ser. Earth Environ. Sci. 2023, 1273, 012085. [Google Scholar] [CrossRef]
- A’Yun, Q.; Musthoza, F.S.; Supartini, S.; Utari, D.; Listiani, I.; Triwahyudi, H.; Fikriyah, N.; Suprapti, N.; Hayati, A. Potential of feed supplements on morphometric and gonad weight of fish exposed to microplastics. IOP Conf. Ser. Earth Environ. Sci. 2022, 1036, 012001. [Google Scholar] [CrossRef]
- Hayati, A.; Pramudya, M.; Soepriandono, H.; Suhargo, L.; Rahmah, F.; Dewi, P.; Muchtaromah, B.; Mwendolwa, A.A. Supplementary feed potential on histology and immune response of tilapia (Oreochromis niloticus L.) exposed to microplastics. Sains Malays. 2023, 52, 1607–1617. [Google Scholar] [CrossRef]
- Hamed, M.; Soliman, H.A.M.; Eid, Z.; Al Naggar, Y.; Sayed, A.E.D.H. Dietary Feeding Lycopene, Citric Acid, and Chlorella Alleviated the Neurotoxicity of Polyethylene Microplastics in African Catfish (Clarias gariepinus). Front. Environ. Sci. 2022, 10, 869727. [Google Scholar] [CrossRef]
- Sayed, A.E.D.H.; Hana, M.N.; Hamed, M.; Abdel-Latif, H.M.R.; Lee, J.S.; Soliman, H.A.M. Protective efficacy of dietary natural antioxidants on microplastic particles-induced histopathological lesions in African catfish (Clarias gariepinus). Environ. Sci. Pollut. Res. 2023, 30, 24424–24440. [Google Scholar] [CrossRef] [PubMed]
- Sayed, A.E.D.H.; Hamed, M.; Badrey, A.E.A.; Soliman, H.A.M. Bioremediation of hemotoxic and oxidative stress induced by polyethylene microplastic in Clarias gariepinus using lycopene, citric acid, and chlorella. Comp. Biochem. Physiol. Part C Toxicol. Pharmacol. 2021, 250, 109189. [Google Scholar] [CrossRef] [PubMed]
- El-Din, H.S.; Sayed, A.; Hamed, M.; Ismail, R.F. Natural Antioxidants can Improve Microplastics-Induced Male Reproductive Impairment in the African Catfish (Clarias gariepinus). Front. Environ. Sci. 2022, 9, 811466. [Google Scholar] [CrossRef]
- Abasubong, K.P.; Gabriel, N.N.; Adjoumani, J.-J.Y. Ferulic acid as feed additives in aquaculture: A review on growth, immune response, and antioxidant status of finfish. In Emerging Sustainable Aquaculture Innovations in Africa. Sustainability Sciences in Asia and Africa; Springer: Singapore, 2023; pp. 251–272. [Google Scholar]
- Tadese, D.A.; Song, C.; Sun, C.; Liu, B.; Liu, B.; Zhou, Q.; Xu, P.; Ge, X.; Liu, M.; Xu, X.; et al. The role of currently used medicinal plants in aquaculture and their action mechanisms: A review. Rev. Aquac. 2022, 14, 816–847. [Google Scholar] [CrossRef]
- Dawood, M.A.O.; El Basuini, M.F.; Yilmaz, S.; Abdel-Latif, H.M.R.; Alagawany, M.; Kari, Z.A.; Razab, M.K.A.A.; Hamid, N.K.A.; Moonmanee, T.; Van Doan, H. Exploring the roles of dietary herbal essential oils in aquaculture: A review. Animals 2022, 12, 823. [Google Scholar] [CrossRef]
- Yaakob, Z.; Ali, E.; Zainal, A.; Mohamad, M.; Takriff, M.S. An overview: Biomolecules from microalgae for animal feed and aquaculture. J. Biol. Res. 2014, 21, 6. [Google Scholar] [CrossRef]
- Ciji, A.; Akhtar, M.S. Stress management in aquaculture: A review of dietary interventions. Rev. Aquac. 2021, 13, 2190–2247. [Google Scholar] [CrossRef]
- Habotta, O.A.; Dawood, M.A.O.; Kari, Z.A.; Tapingkae, W.; Van Doan, H. Antioxidative and immunostimulant potential of fruit derived biomolecules in aquaculture. Fish Shellfish Immunol. 2022, 130, 317–322. [Google Scholar] [CrossRef]
- Wilawan, B.; Chan, S.S.; Ling, T.C.; Show, P.L.; Ng, E.P.; Jonglertjunya, W.; Phadungbut, P.; Khoo, K.S. Advancement of carotenogenesis of astaxanthin from Haematococcus pluvialis: Recent insight and way Forward. Mol. Biotechnol. 2024, 66, 402–423. [Google Scholar] [CrossRef]
- Li, X.; Wang, X.; Duan, C.; Yi, S.; Gao, Z.; Xiao, C.; Agathos, S.N.; Wang, G.; Li, J. Biotechnological production of astaxanthin from the microalga Haematococcus pluvialis. Biotechnol. Adv. 2020, 43, 107602. [Google Scholar] [CrossRef] [PubMed]
- Lim, K.C.; Yusoff, F.M.; Shariff, M.; Kamarudin, M.S. Astaxanthin as feed supplement in aquatic animals. Rev. Aquac. 2018, 10, 738–773. [Google Scholar] [CrossRef]
- Elbahnaswy, S.; Elshopakey, G.E. Recent progress in practical applications of a potential carotenoid astaxanthin in aquaculture industry: A review. Fish Physiol. Biochem. 2023, 50, 97–126. [Google Scholar] [CrossRef]
- Lu, Q.; Li, H.; Zou, Y.; Liu, H.; Yang, L. Astaxanthin as a microalgal metabolite for aquaculture: A review on the synthetic mechanisms, production techniques, and practical application. Algal Res. 2021, 54, 102178. [Google Scholar] [CrossRef]
- Idenyi, J.N.; Eya, J.C.; Nwankwegu, A.S.; Nwoba, E.G. Aquaculture sustainability through alternative dietary ingredients: Microalgal value-added products. Eng. Microbiol. 2022, 2, 100049. [Google Scholar] [CrossRef]
- Mota, G.C.P.; de Moraes, L.B.S.; Oliveira, C.Y.B.; Oliveira, D.W.S.; de Abreu, J.L.; Dantas, D.M.M.; Gálvez, A.O. Astaxanthin from Haematococcus pluvialis: Processes, applications, and market. Prep. Biochem. Biotechnol. 2022, 52, 598–609. [Google Scholar] [CrossRef]
- Stachowiak, B.; Szulc, P. Astaxanthin for the food industry. Molecules 2021, 26, 2666. [Google Scholar] [CrossRef]
- Long, X.; Wang, L.; Li, Y.; Sun, W.; Wu, X. Effects of long-term Haematococcus pluvialis astaxanthin feeding on the growth, coloration, and antioxidant capacity of commercial-sized Oncorhynchus mykiss. Aquac. Rep. 2023, 30, 101603. [Google Scholar] [CrossRef]
- Capelli, B.; Talbott, S.; Ding, L. Astaxanthin sources: Suitability for human health and nutrition. Funct. Foods Health Dis. 2019, 9, 430–445. [Google Scholar] [CrossRef]
- Pérez-Legaspi, I.A.; Valadez-Rocha, V.; Ortega-Clemente, L.A.; Jiménez-García, M.I. Microalgal pigment induction and transfer in aquaculture. Rev. Aquac. 2020, 12, 1323–1343. [Google Scholar] [CrossRef]
- Patel, A.K.; Tambat, V.S.; Chen, C.W.; Chauhan, A.S.; Kumar, P.; Vadrale, A.P.; Huang, C.Y.; Di Dong, C.; Singhania, R.R. Recent advancements in astaxanthin production from microalgae: A review. Bioresour. Technol. 2022, 364, 128030. [Google Scholar] [CrossRef] [PubMed]
- Yao, Q.; Ma, J.; Chen, X.; Zhao, G.; Zang, J. A natural strategy for astaxanthin stabilization and color regulation: Interaction with proteins. Food Chem. 2023, 402, 134343. [Google Scholar] [CrossRef] [PubMed]
- Tahergorabi, R.; Adrah, K.; Abdollahi, M. Stability of astaxanthin during food processing and methods of preservation. In Global Perspectives on Astaxanthin: From Industrial Production to Food, Health, and Pharmaceutical Applications; Academic Press: Cambridge, MA, USA, 2021; pp. 539–556. [Google Scholar] [CrossRef]
- Martínez-Delgado, A.A.; Khandual, S.; Villanueva–Rodríguez, S.J. Chemical stability of astaxanthin integrated into a food matrix: Effects of food processing and methods for preservation. Food Chem. 2017, 225, 23–30. [Google Scholar] [CrossRef]
- Li, Y.; Zhao, Y.; Zhang, H.; Ding, Z.; Han, J. The application of natural carotenoids in multiple fields and their encapsulation technology: A review. Molecules 2024, 29, 967. [Google Scholar] [CrossRef]
- Khalid, N.; Barrow, C.J. Critical review of encapsulation methods for stabilization and delivery of astaxanthin. J. Food Bioact. 2018, 1, 104–115. [Google Scholar] [CrossRef]
- Abdol Wahab, N.R.; Meor Mohd Affandi, M.M.R.; Fakurazi, S.; Alias, E.; Hassan, H. Nanocarrier system: State-of-the-art in oral delivery of astaxanthin. Antioxidants 2022, 11, 1676. [Google Scholar] [CrossRef]
- Yang, L.; Li, F.; Cao, X.; Qiao, X.; Xue, C.; Xu, J. Stability and bioavailability of protein matrix-encapsulated astaxanthin ester microcapsules. J. Sci. Food Agric. 2022, 102, 2144–2152. [Google Scholar] [CrossRef]
- Sun, J.; Wei, Z.; Xue, C. Recent research advances in astaxanthin delivery systems: Fabrication technologies, comparisons and applications. Crit. Rev. Food Sci. Nutr. 2023, 63, 3497–3518. [Google Scholar] [CrossRef] [PubMed]
- Zhao, X.; Liu, H.; Zhang, X.; Zhang, G.; Zhu, H. Astaxanthin from Haematococcus pluvialis Microencapsulated by Spray Drying: Characterization and Antioxidant Activity. J. Am. Oil Chem. Soc. 2019, 96, 93–102. [Google Scholar] [CrossRef]
- Mezzomo, N.; De Paz, E.; Maraschin, M.; Martín, Á.; Cocero, M.J.; Ferreira, S.R.S. Supercritical anti-solvent precipitation of carotenoid fraction from pink shrimp residue: Effect of operational conditions on encapsulation efficiency. J. Supercrit. Fluids 2012, 66, 342–349. [Google Scholar] [CrossRef]
- Yang, J.; Hua, S.; Huang, Z.; Gu, Z.; Cheng, L.; Hong, Y. Comparison of bioaccessibility of astaxanthin encapsulated in starch-based double emulsion with different structures. Carbohydr. Polym. 2021, 272, 118475. [Google Scholar] [CrossRef]
- Sharayei, P.; Azarpazhooh, E.; Einafshar, S.; Zomorodi, S.; Zare, F.; Ramaswamy, H.S. Optimization of wall materials for astaxanthin powder production from shrimp shell extract using simplex lattice mixture design. J. Food Process Preserv. 2024, 2024, 9794290. [Google Scholar] [CrossRef]
- Tang, W.; Li, H.; Fei, L.; Wei, B.; Zhou, T.; Zhang, H. The removal of microplastics from water by coagulation: A comprehensive review. Sci. Total Environ. 2022, 851, 158224. [Google Scholar] [CrossRef]
- Lu, S.; Liu, L.; Yang, Q.; Demissie, H.; Jiao, R.; An, G.; Wang, D. Removal characteristics and mechanism of microplastics and tetracycline composite pollutants by coagulation process. Sci. Total Environ. 2021, 786, 147508. [Google Scholar] [CrossRef]
- Monira, S.; Bhuiyan, M.A.; Haque, N.; Pramanik, B.K. Assess the performance of chemical coagulation process for microplastics removal from stormwater. Process Saf. Environ. Prot. 2021, 155, 11–16. [Google Scholar] [CrossRef]
- Avazpour, S.; Noshadi, M. Enhancing the coagulation process for the removal of microplastics from water by anionic polyacrylamide and natural-based Moringa oleifera. Chemosphere 2024, 358, 142215. [Google Scholar] [CrossRef]
- Reza, T.; Mohamad Riza, Z.H.; Sheikh Abdullah, S.R.; Abu Hasan, H.; Ismail, N.I.; Othman, A.R. Microplastic removal in wastewater treatment plants (WWTPs) by natural coagulation: A literature review. Toxics 2024, 12, 12. [Google Scholar] [CrossRef]
- Girish, N.; Parashar, N.; Hait, S. Coagulative removal of microplastics from aqueous matrices: Recent progresses and future perspectives. Sci. Total Environ. 2023, 899, 165723. [Google Scholar] [CrossRef]
- Shen, X.; Huo, H.; Zhang, Y.; Zhu, Y.; Fettweis, M.; Bi, Q.; Lee, B.J.; Maa, J.P.Y.; Chen, Q. Effects of organic matter on the aggregation of anthropogenic microplastic particles in turbulent environments. Water Res. 2023, 232, 119706. [Google Scholar] [CrossRef]
- Pan, Y.; Gao, S.H.; Ge, C.; Gao, Q.; Huang, S.; Kang, Y.; Luo, G.; Zhang, Z.; Fan, L.; Zhu, Y.; et al. Removing microplastics from aquatic environments: A critical review. Environ. Sci. Ecotechnol. 2023, 13, 100222. [Google Scholar] [CrossRef]
- Mohd Asharuddin, S.; Othman, N.; Altowayti, W.A.H.; Abu Bakar, N.; Hassan, A. Recent advancement in starch modification and its application as water treatment agent. Environ. Technol. Innov. 2021, 23, 101637. [Google Scholar] [CrossRef]
- Tang, S.; Gao, L.; Zhao, T.; Tian, A. Enhancing the removal efficiency of microplastics in drinking water treatment. J. Water Process Eng. 2024, 57, 104630. [Google Scholar] [CrossRef]
- Zarantoniello, M.; de Oliveira, A.A.; Sahin, T.; Freddi, L.; Torregiani, M.; Tucciarone, I.; Chemello, G.; Cardinaletti, G.; Gatto, E.; Parisi, G.; et al. Enhancing rearing of European seabass (Dicentrarchus labrax) in aquaponic systems: Investigating the effects of enriched black soldier fly (Hermetia illucens) prepupae meal on fish welfare and quality traits. Animals 2023, 13, 1921. [Google Scholar] [CrossRef]
- Du, P.; Jin, M.; Yang, L.; Chen, G.; Zhang, C.; Jin, F.; Shao, H.; Yang, M.; Yang, X.; She, Y.; et al. Determination of astaxanthin in feeds using high performance liquid chromatography and an efficient extraction method. J. Liq. Chromatogr. Relat. Technol. 2016, 39, 35–43. [Google Scholar] [CrossRef]
- Parma, L.; Yúfera, M.; Navarro-Guillén, C.; Moyano, F.J.; Soverini, M.; D’Amico, F.; Candela, M.; Fontanillas, R.; Gatta, P.P.; Bonaldo, A. Effects of calcium carbonate inclusion in low fishmeal diets on growth, gastrointestinal pH, digestive enzyme activity and gut bacterial community of European sea bass (Dicentrarchus labrax L.) juveniles. Aquaculture 2019, 510, 283–292. [Google Scholar] [CrossRef]
- Nikolopoulou, D.; Moutou, K.A.; Fountoulaki, E.; Venou, B.; Adamidou, S.; Alexis, M.N. Patterns of gastric evacuation, digesta characteristics and pH changes along the gastrointestinal tract of gilthead sea bream (Sparus aurata L.) and European sea bass (Dicentrarchus labrax L.). Comp. Biochem. Physiol. Part A Mol. Integr. Physiol. 2011, 158, 406–414. [Google Scholar] [CrossRef]
- Jovanović, B.; Gökdağ, K.; Güven, O.; Emre, Y.; Whitley, E.M.; Kideys, A.E. Virgin microplastics are not causing imminent harm to fish after dietary exposure. Mar. Pollut. Bull. 2018, 130, 123–131. [Google Scholar] [CrossRef]
- Ašmonaite, G.; Sundh, H.; Asker, N.; Carney Almroth, B. Rainbow Trout maintain intestinal transport and barrier functions following exposure to polystyrene microplastics. Environ. Sci. Technol. 2018, 52, 14392–14401. [Google Scholar] [CrossRef]
- Varó, I.; Osorio, K.; Estensoro, I.; Naya-Català, F.; Sitjà-Bobadilla, A.; Navarro, J.C.; Pérez-Sánchez, J.; Torreblanca, A.; Piazzon, M.C. Effect of virgin low density polyethylene microplastic ingestion on intestinal histopathology and microbiota of gilthead sea bream. Aquaculture 2021, 545, 737245. [Google Scholar] [CrossRef]
- Lesser, M.P. Oxidative stress in marine environments: Biochemistry and physiological ecology. Annu. Rev. Physiol. 2006, 68, 253–278. [Google Scholar] [CrossRef]
- Hoseinifar, S.H.; Yousefi, S.; Van Doan, H.; Ashouri, G.; Gioacchini, G.; Maradonna, F.; Carnevali, O. Oxidative stress and antioxidant defense in fish: The implications of probiotic, prebiotic, and synbiotics. Rev. Fish. Sci. Aquac. 2020, 29, 198–217. [Google Scholar] [CrossRef]
- Menon, S.V.; Kumar, A.; Middha, S.K.; Paital, B.; Mathur, S.; Johnson, R.; Kademan, A.; Usha, T.; Hemavathi, K.N.; Dayal, S.; et al. Water physicochemical factors and oxidative stress physiology in fish, a review. Front. Environ. Sci. 2023, 11, 1240813. [Google Scholar] [CrossRef]
- Deng, W.; Yang, T.; Dong, R.; Yan, Y.; Jiang, Q. Astaxanthin protects tilapia head kidney cells against polystyrene microplastics-induced inflammation through MAPK and NF-κB signaling pathways. Aquaculture 2023, 574, 739686. [Google Scholar] [CrossRef]
- Diao, L.; Ding, M.; Sun, H.; Xu, Y.; Yin, R.; Chen, H. Micro-algal astaxanthin ameliorates polystyrene microplastics-triggered necroptosis and inflammation by mediating mitochondrial Ca2+ homeostasis in carp’s head kidney lymphocytes (Cyprinus carpio L.). Fish Shellfish Immunol. 2023, 143, 109205. [Google Scholar] [CrossRef]
- Xiao, Y.; Hu, L.; Duan, J.; Che, H.; Wang, W.; Yuan, Y.; Xu, J.; Chen, D.; Zhao, S. Polystyrene microplastics enhance microcystin-LR-induced cardiovascular toxicity and oxidative stress in zebrafish embryos. Environ. Pollut. 2024, 352, 124022. [Google Scholar] [CrossRef]
- Romano, N.; Renukdas, N.; Fischer, H.; Shrivastava, J.; Baruah, K.; Egnew, N.; Sinha, A.K. Differential modulation of oxidative stress, antioxidant defense, histomorphology, ion-regulation and growth marker gene expression in goldfish (Carassius auratus) following exposure to different dose of virgin microplastics. Comp. Biochem. Physiol. Part C Toxicol. Pharmacol. 2020, 238, 108862. [Google Scholar] [CrossRef]
- Kim, J.H.; Yu, Y.B.; Choi, J.H. Toxic effects on bioaccumulation, hematological parameters, oxidative stress, immune responses and neurotoxicity in fish exposed to microplastics: A review. J. Hazard. Mater. 2021, 413, 125423. [Google Scholar] [CrossRef]
- Huang, J.N.; Wen, B.; Li, X.X.; Xu, L.; Gao, J.Z.; Chen, Z.Z. Astaxanthin mitigates oxidative stress caused by microplastics at the expense of reduced skin pigmentation in discus fish. Sci. Total Environ. 2023, 874, 162494. [Google Scholar] [CrossRef] [PubMed]
- Bakke, A.M.; Glover, C.; Krogdahl, Å. Feeding, digestion and absorption of nutrients. In The Multifunctional Gut of Fish; Grosell, M., Farrell, A.P., Brauner, C.J., Eds.; Fish Physiology; Academic Press: Cambridge, MA, USA, 2010; Volume 30, pp. 57–110. [Google Scholar] [CrossRef]
- Zarantoniello, M.; Pulido Rodriguez, L.F.; Randazzo, B.; Cardinaletti, G.; Giorgini, E.; Belloni, A.; Secci, G.; Faccenda, F.; Pulcini, D.; Parisi, G.; et al. Conventional feed additives or red claw crayfish meal and dried microbial biomass as feed supplement in fish meal-free diets for rainbow trout (Oncorhynchus mykiss): Possible ameliorative effects on growth and gut health status. Aquaculture 2022, 554, 738137. [Google Scholar] [CrossRef]
- Verdile, N.; Pasquariello, R.; Scolari, M.; Scirè, G.; Brevini, T.A.L.; Gandolfi, F. A detailed study of rainbow trout (Oncorhynchus mykiss) intestine revealed that digestive and absorptive functions are not linearly distributed along its length. Animals 2020, 10, 745. [Google Scholar] [CrossRef]
- Liu, L.; Xu, K.; Zhang, B.; Ye, Y.; Zhang, Q.; Jiang, W. Cellular internalization and release of polystyrene microplastics and nanoplastics. Sci. Total Environ. 2021, 779, 146523. [Google Scholar] [CrossRef]
- Rennick, J.J.; Johnston, A.P.R.; Parton, R.G. Key principles and methods for studying the endocytosis of biological and nanoparticle therapeutics. Nat. Nanotechnol. 2021, 16, 266–276. [Google Scholar] [CrossRef]
- Gao, W.; Mo, A.; Jiang, J.; Liang, Y.; Cao, X.; He, D. Removal of microplastics from water by coagulation of cationic-modified starch: An environmentally friendly solution. Sci. Total Environ. 2023, 904, 166787. [Google Scholar] [CrossRef]
- Hu, P.; Su, K.; Sun, Y.; Li, P.; Cai, J.; Yang, H. Efficient removal of nano- and micro- sized plastics using a starch-based coagulant in conjunction with polysilicic acid. Sci. Total Environ. 2022, 850, 157829. [Google Scholar] [CrossRef]
- Mohd-Asharuddin, S.; Othman, N.; Mohd-Zin, N.S.; Tajarudin, H.A. Removal of total suspended solid by natural coagulant derived from cassava peel waste. J. Phys. Conf. Ser. 2018, 995, 012040. [Google Scholar] [CrossRef]
- Teh, C.Y.; Wu, T.Y.; Juan, J.C. Potential use of rice starch in coagulation–flocculation process of agro-industrial wastewater: Treatment performance and flocs characterization. Ecol. Eng. 2014, 71, 509–519. [Google Scholar] [CrossRef]
- Saleem, M.; Bachmann, R.T. A contemporary review on plant-based coagulants for applications in water treatment. J. Ind. Eng. Chem. 2019, 72, 281–297. [Google Scholar] [CrossRef]








| Index | Scores | Description |
|---|---|---|
| Episodes of mucosal folds (observations per section) | + | 0–5 |
| ++ | 5–15 | |
| +++ | >15 | |
| Supranuclear vacuoles | - | Absent |
| + | Scattered | |
| ++ | Diffused | |
| +++ | Highly abundant | |
| Ab+ goblet cells | + | Scattered cells |
| ++ | Diffused and widely spread | |
| +++ | Highly abundant and tightly packed cells | |
| Lymphocyte infiltration | + | Scarce |
| ++ | Moderated | |
| +++ | Diffused |
| Genes | Forward Sequence (5′-3′) | Reverse Sequence (5′-3′) | AT (°C) | NCBI ID |
|---|---|---|---|---|
| il1b | AACTCCAACAGCGCAGTACA | AGACTGGCTTTGTCCACCAC | 58 | AJ_311925 |
| il10 | GCAGTCCCATGTGCAACAAC | TGCTACTGAACCTACGTCGC | 59 | AM_268529 |
| tnfa | GACTGGCGAACAACCAGATT | GTCCGCTTCTGTAGCTGTCC | 59 | DQ_070246 |
| sod1 | AACCATGGTGATCCACGAGA | ATGCCGATGACTCCACAGG | 60 | FJ_860004.1 |
| sod2 | TGCCCTCCAGCCTGCTCT | CTTCTGGAAGGAGCCAAAGTC | 58 | MH_138007.1 |
| cat | GGCTGGGAGCCAACTATCTG | GGAGCTCCACCTTGGTTGTC | 58 | MH_138006.1 |
| b-actin (hk) | GGTACCCATCTCCTGCTCCAA | GACGTCGCACTTCATGATGCT | 60 | AJ_537421 |
| 18s (hk) | AGGGTGTTGGCAGACGTTAC | CTTCTGCCTGTTGAGGAACC | 60 | XM_051390998 |
| C | C/C+AX | C+AX | MP | MP/MP+AX | MP+AX | p-Value | |
|---|---|---|---|---|---|---|---|
| IBW (g/fish) | 74.6 ± 2.1 a | 74.7 ± 2.0 a | 74.9 ± 2.0 a | 74.5 ± 2.5 a | 74.8 ± 1.9 a | 74.1 ± 1.7 a | 0.955 |
| FBW (g/fish) | 146.8 ± 10.0 a | 144.5 ± 6.5 a | 143.3 ± 7.3 a | 146.4 ± 8.1 a | 144.0 ± 8.0 a | 146.3 ± 7.4 a | 0.863 |
| WG (g/fish) | 72.2 ± 8.0 a | 69.7 ± 4.7 a | 68.4 ± 4.3 a | 71.8 ± 5.7 a | 69.2 ± 6.2 a | 72.2 ± 5.3 a | 0.518 |
| RGR (%) | 96.5 ± 8.0 a | 93.2 ± 4.4 a | 91.2 ± 5.5 a | 96.2 ± 4.6 a | 92.4 ± 6.3 a | 97.3 ± 5.4 a | 0.081 |
| SGR (%) | 1.12 ± 0.07 a | 1.00 ± 0.04 a | 1.08 ± 0.05 a | 1.12 ± 0.04 a | 1.09 ± 0.05 a | 1.13 ± 0.04 a | 0.073 |
| C | C/C+AX | C+AX | MP | MP/MP+AX | MP+AX | |
|---|---|---|---|---|---|---|
| Intestine | 0 | 0 | 0 | 34.3 ± 4.7 a | 12.0 ± 3.0 b | 10.3 ± 1.5 b |
| Blood | 0 | 0 | 0 | 17.6 ± 2.8 a | 12.9 ± 1.5 b | 7.7 ± 1.5 c |
| Liver | 0 | 0 | 0 | 72.3 ± 5.8 a | 52.7 ± 11.4 a | 26.3 ± 8.0 b |
| Muscle | 0 | 0 | 0 | 3.0 ± 0.9 a | 3.2 ± 0.7 a | 0 |
| Adipose tissue | 0 | 0 | 0 | 7.1 ± 1.8 a | 3.7 ± 0.9 ab | 1.7 ± 0.6 b |
| Feces | 0 | 0 | 0 | 6461.5 ± 133.4 b | 7384.0 ± 127.6 a | 7476.9 ± 115.1 a |
| C | C/C+AX | C+AX | MP | MP/MP+AX | MP+AX | |
|---|---|---|---|---|---|---|
| Mucosal fold height | 566.1 ± 42.1 | 588.7 ± 35.5 | 569.1 ± 47.2 | 552.4 ± 30.4 | 583.6 ± 31.5 | 583.6 ± 44.3 |
| Mucosal fold fusion | + | + | + | + | + | + |
| Supranuclear vacuoles | + | + | + | +++ | +++ | ++ |
| Ab+ goblet cells | ++ | ++ | ++ | ++ | ++ | ++ |
| Submucosa width | 25.3 ± 2.1 | 25.9 ± 2.6 | 24.8 ± 2.3 | 26.7 ± 2.9 | 25.7 ± 2.6 | 26.3 ± 3.2 |
| Lymphocytes infiltration | + | + | + | + | + | + |
Disclaimer/Publisher’s Note: The statements, opinions and data contained in all publications are solely those of the individual author(s) and contributor(s) and not of MDPI and/or the editor(s). MDPI and/or the editor(s) disclaim responsibility for any injury to people or property resulting from any ideas, methods, instructions or products referred to in the content. |
© 2024 by the authors. Licensee MDPI, Basel, Switzerland. This article is an open access article distributed under the terms and conditions of the Creative Commons Attribution (CC BY) license (https://creativecommons.org/licenses/by/4.0/).
Share and Cite
Zarantoniello, M.; Cattaneo, N.; Conti, F.; Carrino, M.; Cardinaletti, G.; Şener, İ.; Olivotto, I. Mitigating Dietary Microplastic Accumulation and Oxidative Stress Response in European Seabass (Dicentrarchus labrax) Juveniles Using a Natural Microencapsulated Antioxidant. Antioxidants 2024, 13, 812. https://doi.org/10.3390/antiox13070812
Zarantoniello M, Cattaneo N, Conti F, Carrino M, Cardinaletti G, Şener İ, Olivotto I. Mitigating Dietary Microplastic Accumulation and Oxidative Stress Response in European Seabass (Dicentrarchus labrax) Juveniles Using a Natural Microencapsulated Antioxidant. Antioxidants. 2024; 13(7):812. https://doi.org/10.3390/antiox13070812
Chicago/Turabian StyleZarantoniello, Matteo, Nico Cattaneo, Federico Conti, Margherita Carrino, Gloriana Cardinaletti, İdris Şener, and Ike Olivotto. 2024. "Mitigating Dietary Microplastic Accumulation and Oxidative Stress Response in European Seabass (Dicentrarchus labrax) Juveniles Using a Natural Microencapsulated Antioxidant" Antioxidants 13, no. 7: 812. https://doi.org/10.3390/antiox13070812
APA StyleZarantoniello, M., Cattaneo, N., Conti, F., Carrino, M., Cardinaletti, G., Şener, İ., & Olivotto, I. (2024). Mitigating Dietary Microplastic Accumulation and Oxidative Stress Response in European Seabass (Dicentrarchus labrax) Juveniles Using a Natural Microencapsulated Antioxidant. Antioxidants, 13(7), 812. https://doi.org/10.3390/antiox13070812

