Impact of Lactic Acid Bacteria Fermentation on (Poly)Phenolic Profile and In Vitro Antioxidant and Anti-Inflammatory Properties of Herbal Infusions
Abstract
1. Introduction
2. Materials and Methods
2.1. Reagents
2.2. Plant Materials and Preparation of Extracts
2.3. Strains Descriptions
2.4. Fermented-Infusions Preparation
2.5. Determination of Total Phenolic Content
Analysis of Polyphenolic Content (Total) and by HPLC-MS/MS
2.6. HPLC-MS/MS Analysis
2.7. Antioxidant Activity
2.8. Xanthine Oxidase (XO) Inhibitory Activity
2.9. Cell Culture
2.10. Cell Viability and Inflammatory Assay
2.11. Effect of the Lacto-Fermented Beverages on Cytokine Production and PGE2 Biosynthesis in IL-1β-Stimulated Cells
2.12. Statistical Analysis
3. Results
3.1. Screening of Lacto-Fermented Beverages Based on pH
3.2. Phenolic Characterization of Plant Material
3.3. Phenolic Profile Comparison of Non-Fermented and Lacto-Fermented Beverages
3.4. Antioxidant Capacity
3.5. Effects on Cell Viability in CCD18-Co Myofibroblasts
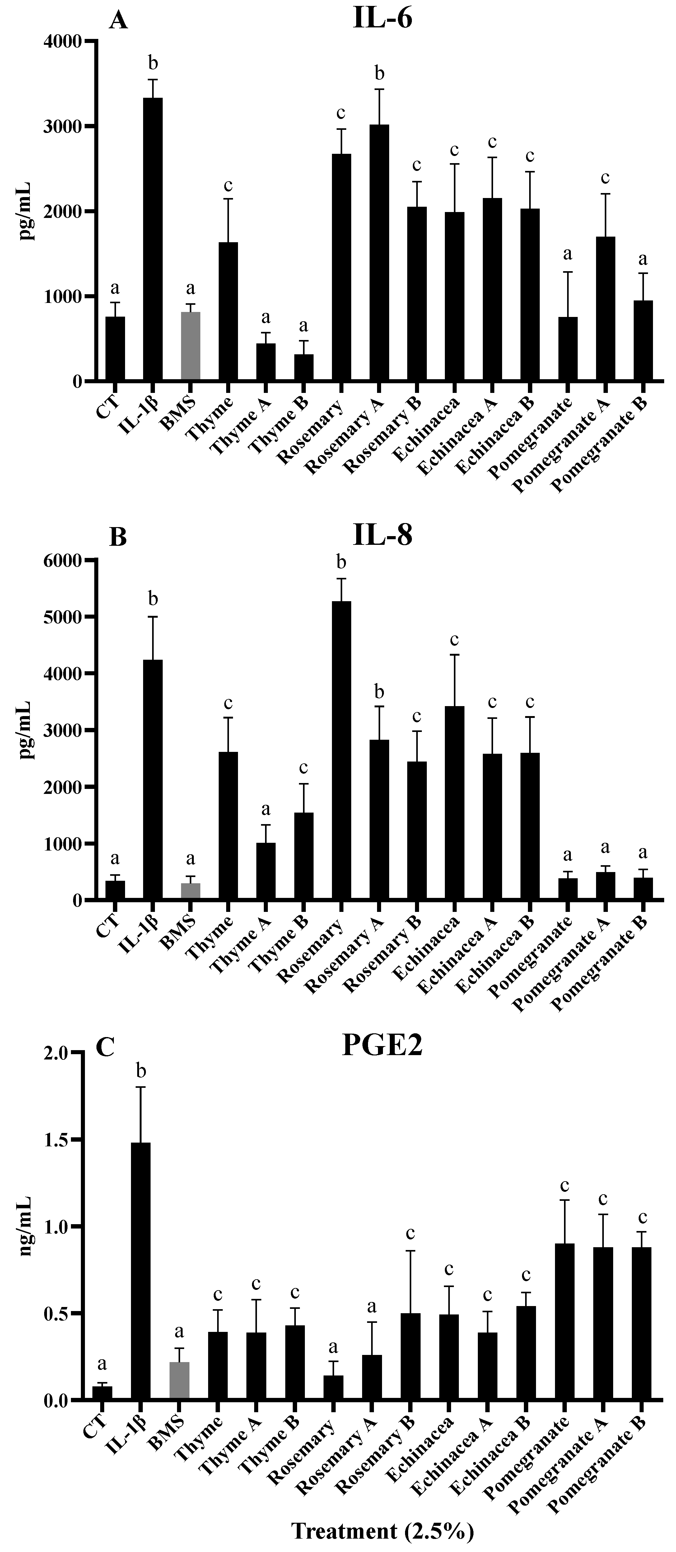
3.6. Effect on IL-1β-Induced IL-6, IL-8 and PGE2 Production in CCD18-Co Myofibroblasts
3.7. Correlation of (Poly)Phenolics with the Antioxidant and Anti-Inflammatory Effects
4. Discussion
5. Conclusions
Supplementary Materials
Author Contributions
Funding
Institutional Review Board Statement
Informed Consent Statement
Data Availability Statement
Conflicts of Interest
References
- Shah, A.M.; Tarfeen, N.; Mohamed, H.; Song, Y. Fermented Foods: Their Health-Promoting Components and Potential Effects on Gut Microbiota. Fermentation 2023, 9, 118. [Google Scholar] [CrossRef]
- Şanlier, N.; Gökcen, B.B.; Sezgin, A.C. Health Benefits of Fermented Foods. Crit. Rev. Food Sci. Nutr. 2019, 59, 506–527. [Google Scholar] [CrossRef] [PubMed]
- Dimidi, E.; Cox, S.; Rossi, M.; Whelan, K. Fermented Foods: Definitions and Characteristics, Impact on the Gut Microbiota and Effects on Gastrointestinal Health and Disease. Nutrients 2019, 11, 1806. [Google Scholar] [CrossRef]
- Filannino, P.; Bai, Y.; Di Cagno, R.; Gobbetti, M.; Gänzle, M.G. Metabolism of Phenolic Compounds by Lactobacillus spp. during Fermentation of Cherry Juice and Broccoli Puree. Food Microbiol. 2015, 46, 272–279. [Google Scholar] [CrossRef]
- Saleem, G.N.; Gu, R.; Qu, H.; Bahar Khaskheli, G.; Rashid Rajput, I.; Qasim, M.; Chen, X. Therapeutic Potential of Popular Fermented Dairy Products and Its Benefits on Human Health. Front. Nutr. 2024, 11, 1328620. [Google Scholar] [CrossRef]
- Zapaśnik, A.; Sokołowska, B.; Bryła, M. Role of Lactic Acid Bacteria in Food Preservation and Safety. Foods 2022, 11, 1283. [Google Scholar] [CrossRef] [PubMed]
- Icer, M.A.; Özbay, S.; Ağagündüz, D.; Kelle, B.; Bartkiene, E.; Rocha, J.M.F.; Ozogul, F. The Impacts of Acidophilic Lactic Acid Bacteria on Food and Human Health: A Review of the Current Knowledge. Foods 2023, 12, 2965. [Google Scholar] [CrossRef]
- Ashaolu, T.J. A Review on Selection of Fermentative Microorganisms for Functional Foods and Beverages: The Production and Future Perspectives. Int. J. Food Sci. Technol. 2019, 54, 2511–2519. [Google Scholar] [CrossRef]
- Mathur, H.; Beresford, T.P.; Cotter, P.D. Health Benefits of Lactic Acid Bacteria (LAB) Fermentates. Nutrients 2020, 12, 1679. [Google Scholar] [CrossRef]
- Zhu, H.; Guo, L.; Yu, D.; Du, X. New Insights into Immunomodulatory Properties of Lactic Acid Bacteria Fermented Herbal Medicines. Front. Microbiol. 2022, 13, 1073922. [Google Scholar] [CrossRef]
- Liu, Y.; Guo, C.; Zang, E.; Shi, R.; Liu, Q.; Zhang, M.; Zhang, K.; Li, M. Review on Herbal Tea as a Functional Food: Classification, Active Compounds, Biological Activity, and Industrial Status. J. Future Foods 2023, 3, 206–219. [Google Scholar] [CrossRef]
- Long, X.; Hu, C.; Geng, Y. Exploration and Enlightenment of Non-Camellia Tea Beverage Consumption Market for Health Care. J. Green Sci. Technol. 2023, 25, 275–280. [Google Scholar]
- Atoui, A. Tea and Herbal Infusions: Their Antioxidant Activity and Phenolic Profile. Food Chem. 2005, 89, 27–36. [Google Scholar] [CrossRef]
- Chandrasekara, A.; Shahidi, F. Herbal Beverages: Bioactive Compounds and Their Role in Disease Risk Reduction—A Review. J. Tradit. Complement. Med. 2018, 8, 451–458. [Google Scholar] [CrossRef] [PubMed]
- Poswal, F.S.; Russell, G.; Mackonochie, M.; MacLennan, E.; Adukwu, E.C.; Rolfe, V. Herbal Teas and Their Health Benefits: A Scoping Review. Plant Foods Hum. Nutr. 2019, 74, 266–276. [Google Scholar] [CrossRef] [PubMed]
- Parham, S.; Kharazi, A.Z.; Bakhsheshi-Rad, H.R.; Nur, H.; Ismail, A.F.; Sharif, S.; RamaKrishna, S.; Berto, F. Antioxidant, Antimicrobial and Antiviral Properties of Herbal Materials. Antioxidants 2020, 9, 1309. [Google Scholar] [CrossRef] [PubMed]
- Martins, N.; Barros, L.; Santos-Buelga, C.; Silva, S.; Henriques, M.; Ferreira, I.C.F.R. Decoction, Infusion and Hydroalcoholic Extract of Cultivated Thyme: Antioxidant and Antibacterial Activities, and Phenolic Characterisation. Food Chem. 2015, 167, 131–137. [Google Scholar] [CrossRef] [PubMed]
- Mena, P.; Cirlini, M.; Tassotti, M.; Herrlinger, K.; Dall’Asta, C.; Del Rio, D. Phytochemical Profiling of Flavonoids, Phenolic Acids, Terpenoids, and Volatile Fraction of a Rosemary (Rosmarinus officinalis L.) Extract. Molecules 2016, 21, 1576. [Google Scholar] [CrossRef] [PubMed]
- Akhtar, S.; Ismail, T.; Fraternale, D.; Sestili, P. Pomegranate Peel and Peel Extracts: Chemistry and Food Features. Food Chem. 2015, 174, 417–425. [Google Scholar] [CrossRef]
- Vieira, S.F.; Gonçalves, S.M.; Gonçalves, V.M.F.; Llaguno, C.P.; Macías, F.; Tiritan, M.E.; Cunha, C.; Carvalho, A.; Reis, R.L.; Ferreira, H.; et al. Echinacea Purpurea Fractions Represent Promising Plant-Based Anti-Inflammatory Formulations. Antioxidants 2023, 12, 425. [Google Scholar] [CrossRef]
- Ávila-Gálvez, M.Á.; Giménez-Bastida, J.A.; Karadeniz, B.; Romero-Reyes, S.; Espín, J.C.; Pelvan, E.; González-Sarrías, A. Polyphenolic Characterization and Anti-Inflammatory Effect of In Vitro Digested Extracts of Echinacea Purpurea L. Plant Parts in an Inflammatory Model of Human Colon Cells. Int. J. Mol. Sci. 2024, 25, 1744. [Google Scholar] [CrossRef] [PubMed]
- Espín, J.C.; González-Sarrías, A.; Tomás-Barberán, F.A. The Gut Microbiota: A Key Factor in the Therapeutic Effects of (Poly)Phenols. Biochem. Pharmacol. 2017, 139, 82–93. [Google Scholar] [CrossRef] [PubMed]
- Ndoye, S.; Fraisse, D.; Akendengué, B.; Dioum, M.; Gueye, R.; Sall, C.; Seck, I.; Felgines, C.; Seck, M.; Senejoux, F. Antioxidant and Antiglycation Properties of Two Mango (Mangifera Indica L.) Cultivars from Senegal. Asian Pac. J. Trop. Biomed. 2018, 8, 137. [Google Scholar] [CrossRef]
- Ávila-Gálvez, M.Á.; Romo-Vaquero, M.; González-Sarrías, A.; Espín, J.C. Kinetic Disposition of Dietary Polyphenols and Methylxanthines in the Rat Mammary Tissue. J. Funct. Foods 2019, 61, 103516. [Google Scholar] [CrossRef]
- Fraisse, D.; Bred, A.; Felgines, C.; Senejoux, F. Screening and Characterization of Antiglycoxidant Anthocyanins from Vaccinium Myrtillus Fruit Using DPPH and Methylglyoxal Pre-Column HPLC Assays. Antioxidants 2020, 9, 512. [Google Scholar] [CrossRef]
- Katalinić, V.; Generalić, I.; Skroza, D.; Ljubenkov, I.; Teskera, A.; Konta, I.; Boban, M. Insight in the Phenolic Composition and Antioxidative Properties of Vitis Vinifera Leaves Extracts. Croat. J. Food Sci. Technol. 2009, 1, 7–15. [Google Scholar]
- Sowndhararajan, K.; Joseph, J.M.; Rajendrakumaran, D. In Vitro Xanthine Oxidase Inhibitory Activity of Methanol Extracts of Erythrina Indica Lam. Leaves and Stem Bark. Asian Pac. J. Trop. Biomed. 2012, 2, S1415–S1417. [Google Scholar] [CrossRef]
- González-Sarrías, A.; Espín-Aguilar, J.C.; Romero-Reyes, S.; Puigcerver, J.; Alajarín, M.; Berná, J.; Selma, M.V.; Espín, J.C. Main Determinants Affecting the Antiproliferative Activity of Stilbenes and Their Gut Microbiota Metabolites in Colon Cancer Cells: A Structure–Activity Relationship Study. Int. J. Mol. Sci. 2022, 23, 15102. [Google Scholar] [CrossRef]
- Odlaug, T.E.; Pflug, I.J. Clostridium Botulinum and Acid Foods. J. Food Prot. 1978, 41, 566–573. [Google Scholar] [CrossRef]
- González-Sarrías, A.; Espín, J.C.; Tomás-Barberán, F.A. Non-Extractable Polyphenols Produce Gut Microbiota Metabolites That Persist in Circulation and Show Anti-Inflammatory and Free Radical-Scavenging Effects. Trends Food Sci. Technol. 2017, 69, 281–288. [Google Scholar] [CrossRef]
- Polia, F.; Pastor-Belda, M.; Martínez-Blázquez, A.; Horcajada, M.-N.; Tomás-Barberán, F.A.; García-Villalba, R. Technological and Biotechnological Processes To Enhance the Bioavailability of Dietary (Poly)Phenols in Humans. J. Agric. Food Chem. 2022, 70, 2092–2107. [Google Scholar] [CrossRef] [PubMed]
- Lee, N.-K.; Paik, H.-D. Bioconversion Using Lactic Acid Bacteria: Ginsenosides, GABA, and Phenolic Compounds. J. Microbiol. Biotechnol. 2017, 27, 869–877. [Google Scholar] [CrossRef]
- Wang, L.-C.; Pan, T.-M.; Tsai, T.-Y. Lactic Acid Bacteria-Fermented Product of Green Tea and Houttuynia Cordata Leaves Exerts Anti-Adipogenic and Anti-Obesity Effects. J. Food Drug Anal. 2018, 26, 973–984. [Google Scholar] [CrossRef] [PubMed]
- De Montijo-Prieto, S.; Razola-Díaz, M.d.C.; Barbieri, F.; Tabanelli, G.; Gardini, F.; Jiménez-Valera, M.; Ruiz-Bravo, A.; Verardo, V.; Gómez-Caravaca, A.M. Impact of Lactic Acid Bacteria Fermentation on Phenolic Compounds and Antioxidant Activity of Avocado Leaf Extracts. Antioxidants 2023, 12, 298. [Google Scholar] [CrossRef] [PubMed]
- Letizia, F.; Fratianni, A.; Cofelice, M.; Testa, B.; Albanese, G.; Di Martino, C.; Panfili, G.; Lopez, F.; Iorizzo, M. Antioxidative Properties of Fermented Soymilk Using Lactiplantibacillus Plantarum LP95. Antioxidants 2023, 12, 1442. [Google Scholar] [CrossRef] [PubMed]
- Rychen, G.; Aquilina, G.; Azimonti, G.; Bampidis, V.; Bastos, M.d.L.; Bories, G.; Chesson, A.; Cocconcelli, P.S.; Flachowsky, G.; Gropp, J.; et al. Guidance on the Characterisation of Microorganisms Used as Feed Additives or as Production Organisms. EFSA J. 2018, 16, e05206. [Google Scholar] [CrossRef]
- Yilmaz, B.; Bangar, S.P.; Echegaray, N.; Suri, S.; Tomasevic, I.; Manuel Lorenzo, J.; Melekoglu, E.; Rocha, J.M.; Ozogul, F. The Impacts of Lactiplantibacillus Plantarum on the Functional Properties of Fermented Foods: A Review of Current Knowledge. Microorganisms 2022, 10, 826. [Google Scholar] [CrossRef] [PubMed]
- Landete, J.M.; Curiel, J.A.; Rodríguez, H.; de las Rivas, B.; Muñoz, R. Aryl Glycosidases from Lactobacillus Plantarum Increase Antioxidant Activity of Phenolic Compounds. J. Funct. Foods 2014, 7, 322–329. [Google Scholar] [CrossRef]
- María Landete, J.; Hernández, T.; Robredo, S.; Dueñas, M.; de las Rivas, B.; Estrella, I.; Muñoz, R. Effect of Soaking and Fermentation on Content of Phenolic Compounds of Soybean (Glycine Max Cv. Merit) and Mung Beans (Vigna Radiata [L] Wilczek). Int. J. Food Sci. Nutr. 2015, 66, 203–209. [Google Scholar] [CrossRef]
- Plaza-Vinuesa, L.; Hernandez-Hernandez, O.; Sánchez-Arroyo, A.; Cumella, J.M.; Corzo, N.; Muñoz-Labrador, A.M.; Moreno, F.J.; de las Rivas, B.; Muñoz, R. Deciphering the Myrosinase-like Activity of Lactiplantibacillus Plantarum WCFS1 among GH1 Family Glycoside Hydrolases. J. Agric. Food Chem. 2022, 70, 15531–15538. [Google Scholar] [CrossRef]
- Muñoz, R.; de las Rivas, B.; Rodríguez, H.; Esteban-Torres, M.; Reverón, I.; Santamaría, L.; Landete, J.M.; Plaza-Vinuesa, L.; Sánchez-Arroyo, A.; Jiménez, N.; et al. Food Phenolics and Lactiplantibacillus Plantarum. Int. J. Food Microbiol. 2024, 412, 110555. [Google Scholar] [CrossRef] [PubMed]
- Pellati, F.; Benvenuti, S.; Magro, L.; Melegari, M.; Soragni, F. Analysis of Phenolic Compounds and Radical Scavenging Activity of Echinacea Spp. J. Pharm. Biomed. Anal. 2004, 35, 289–301. [Google Scholar] [CrossRef]
- Vallverdú-Queralt, A.; Regueiro, J.; Martínez-Huélamo, M.; Rinaldi Alvarenga, J.F.; Leal, L.N.; Lamuela-Raventos, R.M. A Comprehensive Study on the Phenolic Profile of Widely Used Culinary Herbs and Spices: Rosemary, Thyme, Oregano, Cinnamon, Cumin and Bay. Food Chem. 2014, 154, 299–307. [Google Scholar] [CrossRef] [PubMed]
- Chen, Y.-L.; Sung, J.-M.; Lin, S.-D. Effect of Extraction Methods on the Active Compounds and Antioxidant Properties of Ethanolic Extracts of Echinacea Purpurea Flower. Am. J. Plant Sci. 2015, 6, 201–212. [Google Scholar] [CrossRef]
- Mantzourani, I.; Kazakos, S.; Terpou, A.; Alexopoulos, A.; Bezirtzoglou, E.; Bekatorou, A.; Plessas, S. Potential of the Probiotic Lactobacillus Plantarum ATCC 14917 Strain to Produce Functional Fermented Pomegranate Juice. Foods 2018, 8, 4. [Google Scholar] [CrossRef] [PubMed]
- Rizzello, C.G.; Coda, R.; Macías, D.S.; Pinto, D.; Marzani, B.; Filannino, P.; Giuliani, G.; Paradiso, V.M.; Di Cagno, R.; Gobbetti, M. Lactic Acid Fermentation as a Tool to Enhance the Functional Features of Echinacea spp. Microb. Cell Fact. 2013, 12, 44. [Google Scholar] [CrossRef] [PubMed]
- Pontonio, E.; Montemurro, M.; Pinto, D.; Marzani, B.; Trani, A.; Ferrara, G.; Mazzeo, A.; Gobbetti, M.; Rizzello, C.G. Lactic Acid Fermentation of Pomegranate Juice as a Tool to Improve Antioxidant Activity. Front. Microbiol. 2019, 10, 1550. [Google Scholar] [CrossRef] [PubMed]
- Park, J.B. Identification and Quantification of a Major Anti-Oxidant and Anti-Inflammatory Phenolic Compound Found in Basil, Lemon Thyme, Mint, Oregano, Rosemary, Sage, and Thyme. Int. J. Food Sci. Nutr. 2011, 62, 577–584. [Google Scholar] [CrossRef] [PubMed]
- Chohan, M.; Naughton, D.P.; Jones, L.; Opara, E.I. An Investigation of the Relationship between the Anti-Inflammatory Activity, Polyphenolic Content, and Antioxidant Activities of Cooked and In Vitro Digested Culinary Herbs. Oxid. Med. Cell Longev. 2012, 2012, 627843. [Google Scholar] [CrossRef]
- Mastrogiovanni, F.; Mukhopadhya, A.; Lacetera, N.; Ryan, M.; Romani, A.; Bernini, R.; Sweeney, T. Anti-Inflammatory Effects of Pomegranate Peel Extracts on In Vitro Human Intestinal Caco-2 Cells and Ex Vivo Porcine Colonic Tissue Explants. Nutrients 2019, 11, 548. [Google Scholar] [CrossRef]
- Hussein, O.E.; Hozayen, W.G.; Bin-Jumah, M.N.; Germoush, M.O.; Abd El-Twab, S.M.; Mahmoud, A.M. Chicoric Acid Prevents Methotrexate Hepatotoxicity via Attenuation of Oxidative Stress and Inflammation and Up-Regulation of PPARγ and Nrf2/HO-1 Signaling. Environ. Sci. Pollut. Res. 2020, 27, 20725–20735. [Google Scholar] [CrossRef] [PubMed]
- Jin, B.-R.; Chung, K.-S.; Hwang, S.; Hwang, S.N.; Rhee, K.-J.; Lee, M.; An, H.-J. Rosmarinic Acid Represses Colitis-Associated Colon Cancer: A Pivotal Involvement of the TLR4-Mediated NF-ΚB-STAT3 Axis. Neoplasia 2021, 23, 561–573. [Google Scholar] [CrossRef] [PubMed]
- Xiang, C.; Liu, M.; Lu, Q.; Fan, C.; Lu, H.; Feng, C.; Yang, X.; Li, H.; Tang, W. Blockade of TLRs-Triggered Macrophage Activation by Caffeic Acid Exerted Protective Effects on Experimental Ulcerative Colitis. Cell Immunol. 2021, 365, 104364. [Google Scholar] [CrossRef] [PubMed]
- Li, X.; Xu, L.; Peng, X.; Zhang, H.; Kang, M.; Jiang, Y.; Shi, H.; Chen, H.; Zhao, C.; Yu, Y.; et al. The Alleviating Effect of Ellagic Acid on DSS-Induced Colitis via Regulating Gut Microbiomes and Gene Expression of Colonic Epithelial Cells. Food Funct. 2023, 14, 7550–7561. [Google Scholar] [CrossRef] [PubMed]
- Wojtunik-Kulesza, K.; Oniszczuk, A.; Oniszczuk, T.; Combrzyński, M.; Nowakowska, D.; Matwijczuk, A. Influence of In Vitro Digestion on Composition, Bioaccessibility and Antioxidant Activity of Food Polyphenols—A Non-Systematic Review. Nutrients 2020, 12, 1401. [Google Scholar] [CrossRef]
- García-Villalba, R.; Giménez-Bastida, J.A.; Cortés-Martín, A.; Ávila-Gálvez, M.Á.; Tomás-Barberán, F.A.; Selma, M.V.; Espín, J.C.; González-Sarrías, A. Urolithins: A Comprehensive Update on Their Metabolism, Bioactivity, and Associated Gut Microbiota. Mol. Nutr. Food Res. 2022, 66, e2101019. [Google Scholar] [CrossRef]
- Marco, M.L.; Heeney, D.; Binda, S.; Cifelli, C.J.; Cotter, P.D.; Foligné, B.; Gänzle, M.; Kort, R.; Pasin, G.; Pihlanto, A.; et al. Health Benefits of Fermented Foods: Microbiota and Beyond. Curr. Opin. Biotechnol. 2017, 44, 94–102. [Google Scholar] [CrossRef]


| Non-Fermented | Fermented A * | Fermented B * | |
|---|---|---|---|
| Thyme | 35.15 | 44.92 (+27.8%) | 48.07 (+36.8%) |
| Rosemary | 36.11 | 37.62 (+4.2%) | 34.16 (−5.4%) |
| Echinacea | 70.09 | 78.76 (+12.4%) | 79.29 (+13.1%) |
| Pomegranate peel | 90.01 | 98.96 (+9.9%) | 99.63 (+10.7%) |
| Herbal Infusion | Phenolic | Non-Fermented | Fermented A | Fermented B |
|---|---|---|---|---|
| Thyme | Luteolin glucoside | 6.19 ± 0.82 | 19.22 ± 0.97 a | 17.45 ± 2.36 a |
| Chrysoeriol glucoside | 8.72 ± 5.62 | 42.39 ± 3.69 a | 59.15 ± 2.91 a,b | |
| Eriodictyol | 22.30 ± 2.00 | 27.99 ± 0.85 a | 18.89 ± 1.50 b | |
| Rosmarinic acid a | 37.08 ± 3.21 | 51.40 ± 1.09 a | 58.84 ± 2.61 a | |
| Quercetin a | 0.17 ± 0.03 | 0.63 ± 0.01 a | 0.47 ± 0.03 a,b | |
| Salvianolic acid A | 6.37 ± 0.65 | 12.84 ± 0.39 a | 14.80 ± 1.03 a,b | |
| Rosemary | Isorhamnetin-3-glucoside | 42.12 ± 4.57 | 68.66 ± 10.30 | 43.37 ± 4.64 b |
| Hispidulin-7-O-glucoside | 43.58 ± 1.11 | 88.48 ± 7.25 a | 78.69 ± 3.99 a | |
| Rosmarinic acid * | 19.99 ± 2.60 | 50.80 ± 1.40 a | 97.41 ± 7.42 a,b | |
| Hesperidin * | 2.72 ± 0.47 | 39.44 ± 1.72 a | 25.74 ± 3.61 a,b | |
| Luteolin-3-acetyl-O-glucuronide | 4.45 ± 0.60 | 43.26 ± 0.85 a | 48.21 ± 10.58 a | |
| Luteolin glucoside | 1.93 ± 0.21 | 32.49 ± 0.82 a | 21.52 ± 2.93 a,b | |
| Isorhamnetin-3-O-rutinoside | 1.71 ± 0.28 | 29.38 ± 1.48 a | 22.31 ± 3.15 a | |
| Rosmanol peak1 | 0.36 ± 0.02 | 3.72 ± 0.10 a | 2.55 ± 0.38 a | |
| Rosmanol peak 2 | 0.25 ± 0.03 | 3.61 ± 0.29 a | 2.62 ± 0.41 a | |
| Echinacea | Caftaric acid | 0.15 ± 0.006 | 0.58 ± 0.02 a | 0.27 ± 0.03 a,b |
| Chlorogenic acid | 0.03 ± 0.003 | 0.04 ± 0.01 | 0.009 ± 0.004 | |
| Neochlorogenic acid | 0.02 ± 0.002 | 0.22 ± 0.03 a | 0.05 ± 0.004 a,b | |
| Caffeic acid * | 0.05 ± 0.007 | 0.30 ± 0.10 | 0.07 ± 0.01 | |
| Chicoric acid * | 1.52 ± 0.08 | 2.43 ± 0.15 a | 1.49 ± 0.09 b | |
| Feruloylcaffeoyltartaric acid 1 | 0.11 ± 0.01 | 0.34 ± 0.05 a | 0.11 ± 0.01 b | |
| Feruloylcaffeoyltartaric acid 2 | 0.08 ± 0.005 | 0.24 ± 0.01 a | 0.08 ± 0.02 b | |
| Pomegranate peel | Punicalin a | 38.05 ± 7.83 | 14.69 ± 0.50 a | 11.66 ± 1.25 a,b |
| Punicalagin isomers a | 67.29 ± 1.59 | 68.63 ± 4.86 | 63.66 ± 3.64 | |
| Punigluconin | 4.13 ± 1.66 | 3.04 ± 1.36 | 2.74 ± 0.96 | |
| Pedunculagin II | nd | 3.36 ± 0.18 | 2.96 ± 0.39 | |
| Galloyl-HHDP-hexose | 2.06 ± 0.67 | 3.18 ± 0.33 | 3.74 ± 0.80 | |
| Ellagic acid-hex | 2.76 ± 0.32 | 5.88 ± 0.40 a | 5.83 ± 0.19 a | |
| Gallagic acid | nd | 1.05 ± 0.08 | 1.09 ± 0.12 | |
| Granatin-B | 0.51 ± 0.12 | 1.36 ± 0.09 a | 1.57 ± 0.25 a | |
| Ellagic acid-pentose | nd | 2.96 ± 0.46 | 3.41 ± 0.12 | |
| Ellagic acid a | 9.58 ± 0.65 | 14.98 ± 0.47 a | 15.75 ± 0.38 a |
| DPPH Activity (µmol eq Trolox/g of Extract) | FRAP Activity (µmol eq Trolox/g of Extract) | Xanthine Oxidase (XO) IC50 (mg/mL) | |
|---|---|---|---|
| Thyme Non-fermented | 92.87 | 439.16 | 1.45 |
| Fermented A | 323.93 a | 519.90 | 0.98 c |
| Fermented B | 306.46 a | 507.33 | 0.97 c |
| Rosemary Non-fermented | 100.26 | 203.63 | 2.11 |
| Fermented A | 347.92 a | 401.86 b | 1.35 c |
| Fermented B | 355.41 a | 367.54 b | 1.36 c |
| Echinacea Non-fermented | 262.95 | 383.30 | 0.32 |
| Fermented A | 439.38 a | 642.82 b | 0.35 |
| Fermented B | 445.41 a | 644.37 b | 0.37 |
| Pomegranate peel Non-fermented | 1104.25 | 1373.50 | 0.44 |
| Fermented A | 1233.28 | 1142.97 | 0.42 |
| Fermented B | 1060.01 | 1199.00 | 0.34 |
Disclaimer/Publisher’s Note: The statements, opinions and data contained in all publications are solely those of the individual author(s) and contributor(s) and not of MDPI and/or the editor(s). MDPI and/or the editor(s) disclaim responsibility for any injury to people or property resulting from any ideas, methods, instructions or products referred to in the content. |
© 2024 by the authors. Licensee MDPI, Basel, Switzerland. This article is an open access article distributed under the terms and conditions of the Creative Commons Attribution (CC BY) license (https://creativecommons.org/licenses/by/4.0/).
Share and Cite
Ozturk, T.; Ávila-Gálvez, M.Á.; Mercier, S.; Vallejo, F.; Bred, A.; Fraisse, D.; Morand, C.; Pelvan, E.; Monfoulet, L.-E.; González-Sarrías, A. Impact of Lactic Acid Bacteria Fermentation on (Poly)Phenolic Profile and In Vitro Antioxidant and Anti-Inflammatory Properties of Herbal Infusions. Antioxidants 2024, 13, 562. https://doi.org/10.3390/antiox13050562
Ozturk T, Ávila-Gálvez MÁ, Mercier S, Vallejo F, Bred A, Fraisse D, Morand C, Pelvan E, Monfoulet L-E, González-Sarrías A. Impact of Lactic Acid Bacteria Fermentation on (Poly)Phenolic Profile and In Vitro Antioxidant and Anti-Inflammatory Properties of Herbal Infusions. Antioxidants. 2024; 13(5):562. https://doi.org/10.3390/antiox13050562
Chicago/Turabian StyleOzturk, Tarik, María Ángeles Ávila-Gálvez, Sylvie Mercier, Fernando Vallejo, Alexis Bred, Didier Fraisse, Christine Morand, Ebru Pelvan, Laurent-Emmanuel Monfoulet, and Antonio González-Sarrías. 2024. "Impact of Lactic Acid Bacteria Fermentation on (Poly)Phenolic Profile and In Vitro Antioxidant and Anti-Inflammatory Properties of Herbal Infusions" Antioxidants 13, no. 5: 562. https://doi.org/10.3390/antiox13050562
APA StyleOzturk, T., Ávila-Gálvez, M. Á., Mercier, S., Vallejo, F., Bred, A., Fraisse, D., Morand, C., Pelvan, E., Monfoulet, L.-E., & González-Sarrías, A. (2024). Impact of Lactic Acid Bacteria Fermentation on (Poly)Phenolic Profile and In Vitro Antioxidant and Anti-Inflammatory Properties of Herbal Infusions. Antioxidants, 13(5), 562. https://doi.org/10.3390/antiox13050562

